Long-Lasting Remission in De Novo Breast Myeloid Sarcoma Treated with Decitabine and Radiotherapy
Abstract
1. Introduction
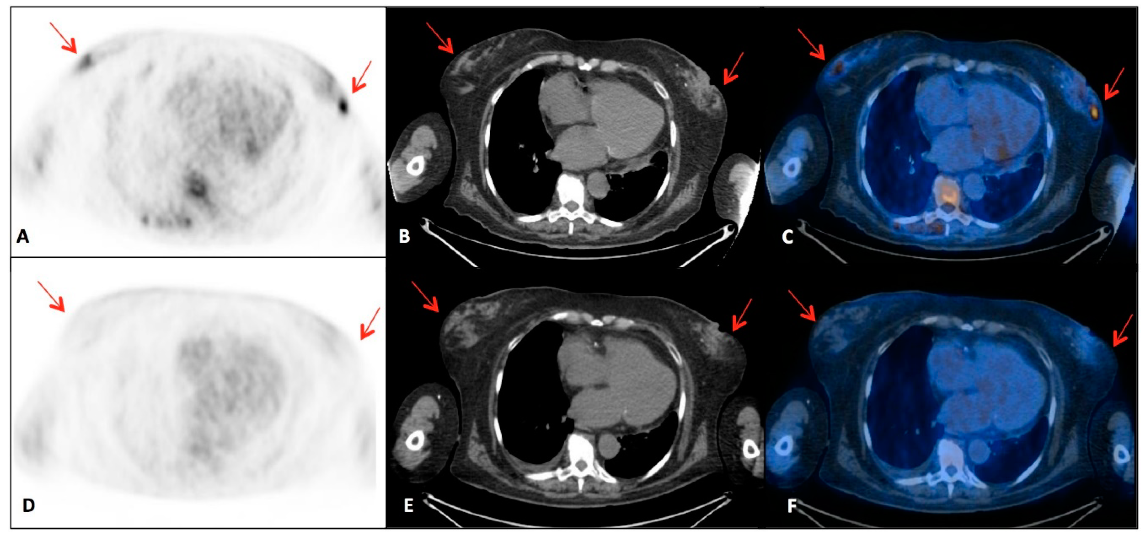
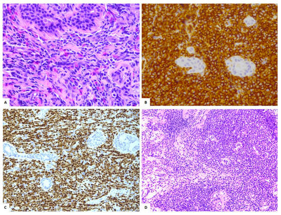
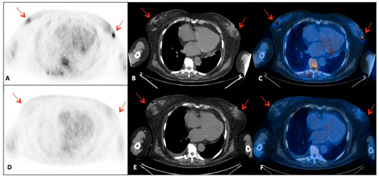
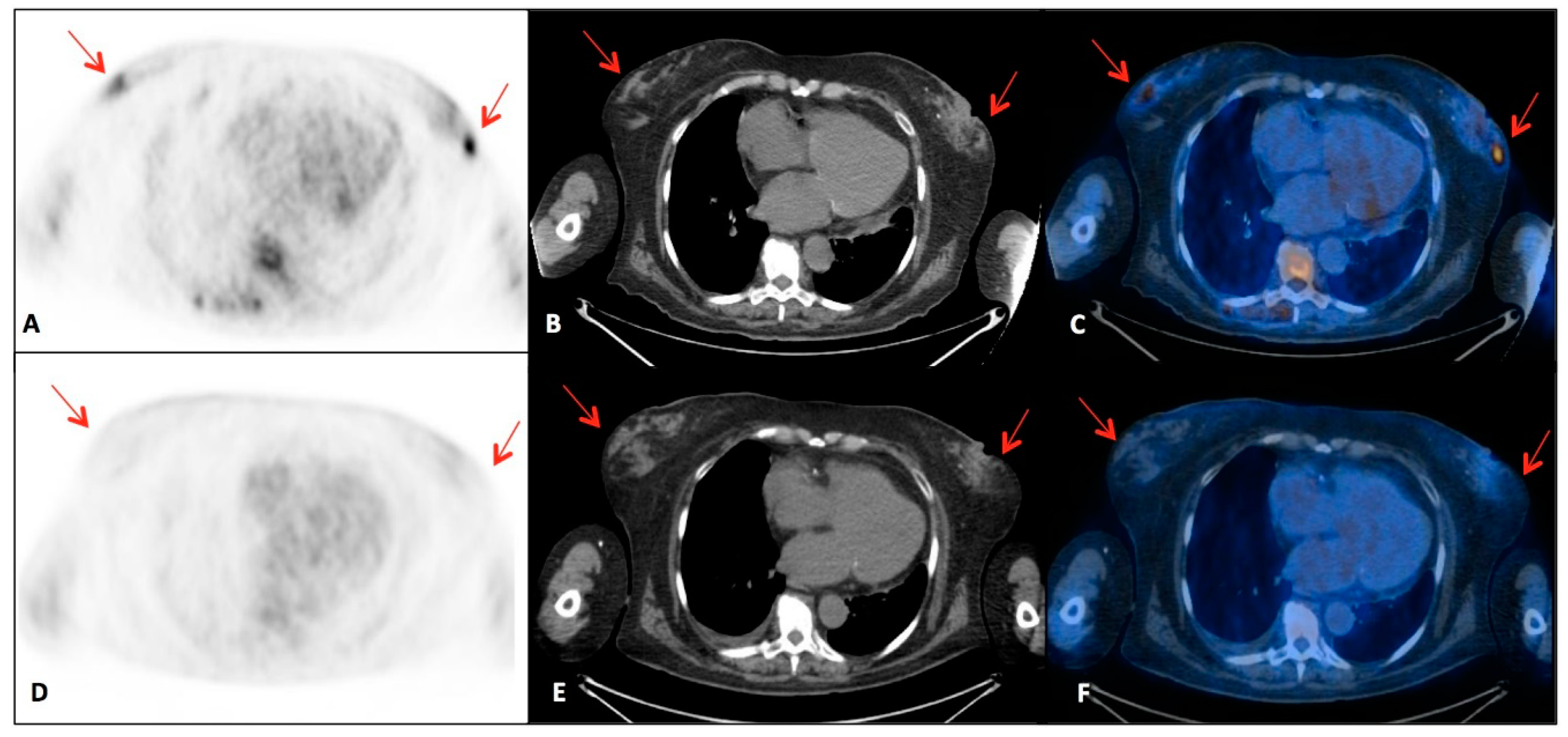
2. Case Presentation
Statement of Ethics
3. Discussion
Author Contributions
Funding
Acknowledgments
Conflicts of Interest
References
- Bakst, R.L.; Tallman, M.S.; Douer, D.; Yahalom, J. How I treat extramedullary acute myeloid leukemia. Blood 2011, 118, 3785–3793. [Google Scholar] [CrossRef]
- Solh, M.; Solomon, S.; Morris, L.; Holland, K.; Bashey, A. Extramedullary acute myelogenous leukemia. Blood Rev. 2016, 30, 333–339. [Google Scholar] [CrossRef]
- Azim, H.A., Jr.; Gigli, F.; Pruneri, G.; Martinelli, G.; Travaini, L.L.; Petralia, G.; Peccatori, F.A. Extramedullary myeloid sarcoma of the breast. J. Clin. Oncol. 2008, 26, 4041–4043. [Google Scholar] [CrossRef] [PubMed]
- Cunningham, I. A clinical review of breast involvement in acute leukemia. Leuk. Lymphoma 2006, 47, 2517–2526. [Google Scholar] [CrossRef] [PubMed]
- Quintas-Cardama, A.; Fraga, M.; Antunez, J.; Forteza, J. Primary extramedullary myeloid tumor of the breast: A case report and review of the literature. Ann. Hematol. 2003, 82, 431–434. [Google Scholar] [CrossRef] [PubMed]
- Gomaa, W.; Ghanim, A.; Emam, E.; Bayoumi, K.; Ghanim, A. Primary Myeloid Sarcoma of the Breast: A Case Report and Review of Literature. J. Microsc. Ultrastruct. 2018, 6, 212–214. [Google Scholar] [PubMed]
- Von Falck, C.; Laenger, F.; Knapp, W.H.; Galanski, M. F-18 FDG PET/CT showing bilateral breast involvement in acute myeloid leukemia relapse. Clin. Nucl. Med. 2009, 34, 713–715. [Google Scholar] [CrossRef] [PubMed]
- Lazzarotto, D.; Candoni, A.; Filì, C.; Forghieri, F.; Pagano, L.; Busca, A.; Spinosa, G.; Zannier, M.E.; Simeone, E.; Isola, M.; et al. Clinical outcome of myeloid sarcoma in adult patients and effect of allogeneic stem cell transplantation. Results from a multicenter survey. Leuk. Res. 2017, 53, 74–81. [Google Scholar] [CrossRef] [PubMed]
- Kim, J.G.; Bae, J.H.; Kim, J.; Heo, K.; Yang, K.; Yi, J.M. Combination effect of epigenetic regulation and ionizing radiation in colorectal cancer cells. PLoS ONE 2014, 9, e105405. [Google Scholar] [CrossRef] [PubMed]
- Zielske, S.P. Epigenetic DNA methylation in radiation biology: On the field or on the sidelines? J. Cell. Biochem. 2015, 116, 212–217. [Google Scholar] [CrossRef] [PubMed]
- Singh, S.N.; Cao, Q.; Gojo, I.; Rapoport, A.P.; Akpek, G. Durable complete remission after single agent decitabine in AML relapsing in extramedullary sites after allo-SCT. Bone Marrow Transplant. 2012, 47, 1008–1009. [Google Scholar] [CrossRef] [PubMed]
- Modi, G.; Madabhavi, I.; Panchal, H.; Patel, A.; Anand, A.; Parikh, S.; Jain, P.; Revannasiddaiah, S.; Sarkar, M. Primary vaginal myeloid sarcoma: A rare case report and review of the literature. Case Rep. Obstet. Gynecol. 2015, 957490. [Google Scholar] [CrossRef] [PubMed]
- Gornicec, M.; Wölfler, A.; Stanzel, S.; Sill, H.; Zebisch, A. Evidence for a role of decitabine in the treatment of myeloid sarcoma. Ann. Hematol. 2017, 96, 505–506. [Google Scholar] [CrossRef]
- Evers, D.; Bär, B.M.A.M.; Gotthardt, M.; van der Velden, W.J.F.M. Activity of decitabine in pericardial myeloid sarcoma. Int. J. Hematol. 2018, 108, 121–122. [Google Scholar] [CrossRef]
- Castelli, A.; Mosca-Siez, M.L.; Riccomagno, P.; Patriarca, A.; Liscia, D.; Conconi, A. Efficacy and safety of decitabine against cutaneous granuloblastic sarcoma: A case report. Ann. Hematol. 2018, 97, 1485–1486. [Google Scholar] [CrossRef]
- Li, Z.; Stölzel, F.; Onel, K.; Sukhanova, M.; Sukhanova, M.; Mirza, M.K.; Yap, K.L.; Borinets, O.; Larson, R.A.; Stock, W.; et al. Next-generation sequencing reveals clinically actionable molecular markers in myeloid sarcoma. Leukemia 2015, 29, 2113–2116. [Google Scholar] [CrossRef][Green Version]
- Choi, M.; Jeon, Y.K.; Sun, C.H.; Yun, H.S.; Hong, J.; Shin, D.Y.; Kim, I.; Yoon, S.S.; Koh, Y. RTK-RAS pathway mutation is enriched in myeloid sarcoma. Blood Cancer J. 2018, 8, 43. [Google Scholar] [CrossRef] [PubMed]
- Gil-Perez, A.; Montalban-Bravo, G. Management of myelodysplastic syndromes after failure of response to hypomethylating agents. Ther. Adv. Hematol. 2019. [Google Scholar] [CrossRef] [PubMed]
- Wong, K.K.; Lawrie, C.H.; Green, T.M. Oncogenic Roles and Inhibitors of DNMT1, DNMT3A, and DNMT3B in Acute Myeloid Leukaemia. Biomark. Insights 2019. [Google Scholar] [CrossRef] [PubMed]



| Reference | Number of Patients | MS Localization | Number of Cycles | Response | OS (Months) |
|---|---|---|---|---|---|
| Singh SN et al., 2012 [11] | 1 | Lymph node/relapse post HSCT | 13 | CR | 26 |
| Modi G et al., 2015 [12] | 1 | Vagina | 4/ongoing | PR | 4, alive |
| Gornicec M et al., 2017 [13] | 3 | Ear | 9 | Progression to AML | 14 |
| Skin | 6 | Progression to AML | 8 | ||
| Skin/relapse | 3/ongoing | CR | 3, alive | ||
| Evers D et al., 2018 [14] | 1 | Pericardium/relapse post HSCT | 6 + DLI | PR | 6, alive |
| Castelli A et al., 2018 [15] | 1 | Skin + BM/relapse post HSCT | 8 | PR | 8 |
| Minoia C et al., 2019 | 1 | Bilateral breast | 22/ongoing | CR | 27, alive |
© 2019 by the authors. Licensee MDPI, Basel, Switzerland. This article is an open access article distributed under the terms and conditions of the Creative Commons Attribution (CC BY) license (http://creativecommons.org/licenses/by/4.0/).
Share and Cite
Minoia, C.; de Fazio, V.; Scognamillo, G.; Scattone, A.; Maggialetti, N.; Ferrari, C.; Guarini, A. Long-Lasting Remission in De Novo Breast Myeloid Sarcoma Treated with Decitabine and Radiotherapy. Diagnostics 2019, 9, 84. https://doi.org/10.3390/diagnostics9030084
Minoia C, de Fazio V, Scognamillo G, Scattone A, Maggialetti N, Ferrari C, Guarini A. Long-Lasting Remission in De Novo Breast Myeloid Sarcoma Treated with Decitabine and Radiotherapy. Diagnostics. 2019; 9(3):84. https://doi.org/10.3390/diagnostics9030084
Chicago/Turabian StyleMinoia, Carla, Vincenza de Fazio, Giovanni Scognamillo, Anna Scattone, Nicola Maggialetti, Cristina Ferrari, and Attilio Guarini. 2019. "Long-Lasting Remission in De Novo Breast Myeloid Sarcoma Treated with Decitabine and Radiotherapy" Diagnostics 9, no. 3: 84. https://doi.org/10.3390/diagnostics9030084
APA StyleMinoia, C., de Fazio, V., Scognamillo, G., Scattone, A., Maggialetti, N., Ferrari, C., & Guarini, A. (2019). Long-Lasting Remission in De Novo Breast Myeloid Sarcoma Treated with Decitabine and Radiotherapy. Diagnostics, 9(3), 84. https://doi.org/10.3390/diagnostics9030084

