Next Article in Journal
Proinflammatory Cytokines in Women with PCOS in Atypical Pathogen Infections
Next Article in Special Issue
Imaging Findings of a Rare Intrahepatic Splenosis, Mimicking Hepatic Tumor
Previous Article in Journal
Enhancing Transradial Transarterial Microembolization Efficiency and Patient Satisfaction with Oral Benzodiazepine Premedication
Previous Article in Special Issue
Prurigo Nodularis at Ultra-High-Frequency Ultrasound
 
 
Font Type:
Arial Georgia Verdana
Font Size:
Aa Aa Aa
Line Spacing:
Column Width:
Background:
Interesting Images

Right Vertebral Artery Intermittent Flow Reversal Due to Innominate Artery Dissection

1
AST Ancona, Ospedale di Comunità Maria Montessori di Chiaravalle, Via Fratelli Rosselli 176, 60033 Chiaravalle, Italy
2
AST Macerata, Cardiologia, Distretto Sanitario di Civitanova Marche, Via Abruzzo, 62012 Civitanova Marche, Italy
3
Maternal-Child, Senological, Cardiological Radiology and Outpatient Ultrasound, Department of Radiological Sciences, University Hospital of Marche, Via Conca 71, 60126 Ancona, Italy
4
Department of Biotechnological and Applied Clinical Sciences, University of L’Aquila, Via Vetoio, 67100 L’Aquila, Italy
5
AST Ascoli Piceno, Cardiologia, Ospedale Mazzoni, Via degli Iris 1, 63100 Ascoli Piceno, Italy
6
Department of Services, UOSD Radiology, San Liberatore Hospital, Viale Risorgimento, 64032 Atri, Italy
7
Department of Neuroscience, Imaging and Clinical Sciences, University “G. d’Annunzio”, 66100 Chieti, Italy
8
Department of Services, UOSD Diagnostica per Immagini Teramo, Ospedale Civile Giuseppe Mazzini, Piazza Italia, 64100 Teramo, Italy
9
AST Pesaro-Urbino, Radiologia, Ospedale San Salvatore, Piazzale Cinnelli 1, 61121 Pesaro, Italy
10
AST Ancona, Radiologia, Ospedale Santa Casa di Loreto, via San Francesco 1, 60025 Loreto, Italy
11
Medical, Movement and Wellbeing Sciences Department, University of Naples “Parthenope”, 80133 Naples, Italy
12
Department of Radiological, Oncological and Pathological Sciences, Academic Diagnostic Imaging Division, I.C.O.T. Hospital, Sapienza University of Rome, Via F. Faggiana 1668, 04100 Latina, Italy
*
Author to whom correspondence should be addressed.
Diagnostics 2025, 15(13), 1668; https://doi.org/10.3390/diagnostics15131668
Submission received: 22 May 2025 / Revised: 25 June 2025 / Accepted: 28 June 2025 / Published: 30 June 2025
(This article belongs to the Collection Interesting Images)

Abstract

Here, we describe a case of an asymptomatic 73-year-old female patient who suffered from type A acute aortic dissection with epiaortic arteries involvement and underwent surgical operation 9 years ago. A follow-up color Doppler ultrasound revealed a right vertebral artery intermittent flow reversal due to innominate artery dissection. To our knowledge, no previous studies have reported this intermittent flow reversal; therefore, supra-aortic trunks should be considered among the possible causes of vertebral artery flow reversal.

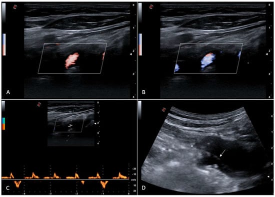
Figure 1. Color Doppler ultrasound shows antegrade (A) and retrograde (B) right vertebral artery flow; Doppler spectral waveform shows intermittent and irregular right vertebral artery flow reversal (C). Innominate artery dissection can be demonstrated ((D), Figure S1), with a dissection flap just near the right subclavian artery origin. It can be supposed that dissection flap irregular movements can cause a sporadic reduction of end-systolic subclavian artery pressure, which could be at the base of the random right vertebral artery flow reversal occurrence. The 73-year-old female patient was asymptomatic at the time of the ultrasound examination; she suffered from spontaneous type A acute aortic dissection with epiaortic arteries involvement and underwent surgical operation 9 years ago. Type A aortic dissection is a life-threatening surgical emergency with a suggested incidence of about 5 per 100,000 person-years, sometimes associated with supra-aortic trunk involvement [1,2,3,4]. Long-term outcomes of this disease are improving over time, and it is known that sometimes false channels remain patent after surgery [5,6]. A previous study reported an aortic dissection extending to the innominate and right common carotid arteries which showed blood passing from the false lumen of the distal right common carotid artery into the true lumen with antegrade flow in the false lumen but reverse flow in the true channel, the latter supplying the subclavian artery [7]. To our knowledge, no previous studies have reported this intermittent flow reversal; therefore, supra-aortic trunks dissection should be considered among the possible causes of vertebral artery flow reversal.
Figure 1. Color Doppler ultrasound shows antegrade (A) and retrograde (B) right vertebral artery flow; Doppler spectral waveform shows intermittent and irregular right vertebral artery flow reversal (C). Innominate artery dissection can be demonstrated ((D), Figure S1), with a dissection flap just near the right subclavian artery origin. It can be supposed that dissection flap irregular movements can cause a sporadic reduction of end-systolic subclavian artery pressure, which could be at the base of the random right vertebral artery flow reversal occurrence. The 73-year-old female patient was asymptomatic at the time of the ultrasound examination; she suffered from spontaneous type A acute aortic dissection with epiaortic arteries involvement and underwent surgical operation 9 years ago. Type A aortic dissection is a life-threatening surgical emergency with a suggested incidence of about 5 per 100,000 person-years, sometimes associated with supra-aortic trunk involvement [1,2,3,4]. Long-term outcomes of this disease are improving over time, and it is known that sometimes false channels remain patent after surgery [5,6]. A previous study reported an aortic dissection extending to the innominate and right common carotid arteries which showed blood passing from the false lumen of the distal right common carotid artery into the true lumen with antegrade flow in the false lumen but reverse flow in the true channel, the latter supplying the subclavian artery [7]. To our knowledge, no previous studies have reported this intermittent flow reversal; therefore, supra-aortic trunks dissection should be considered among the possible causes of vertebral artery flow reversal.
Diagnostics 15 01668 g001

Supplementary Materials

The following supporting information can be downloaded at: https://www.mdpi.com/article/10.3390/diagnostics15131668/s1, Figure S1: Computed tomography angiography image of type A acute aortic dissection with innominate artery involvement.

Author Contributions

Conceptualization, C.T. and A.Q.; methodology, C.T., A.Q., M.F., S.L., A.A.M., D.B., G.C., G.L., A.R., F.P., G.A., A.C., I.C., E.D.C. and N.S.; data curation, C.T., A.Q., M.F., S.L., A.A.M., D.B., G.C., G.L., A.R., F.P., G.A. and A.C.; writing—original draft preparation, C.T., A.Q., M.F., S.L., A.A.M., D.B., G.C., G.L., A.R., F.P., G.A., A.C., I.C., E.D.C. and N.S.; writing—review and editing, C.T., A.Q., M.F., S.L., A.A.M., D.B., G.C., G.L., A.R., F.P., G.A., A.C., I.C., E.D.C. and N.S.; supervision, G.A., A.C., I.C., E.D.C. and N.S. All authors have read and agreed to the published version of the manuscript.

Funding

This research received no external funding.

Institutional Review Board Statement

Not applicable.

Informed Consent Statement

Written informed consent has been obtained from the patient to publish this paper.

Data Availability Statement

Data are contained within the article.

Conflicts of Interest

The authors declare no conflicts of interest.

References

  1. Munir, W.; Chong, J.H.; Harky, A.; Bashir, M.; Adams, B. Type A aortic dissection: Involvement of carotid artery and impact on cerebral malperfusion. Asian Cardiovasc. Thorac. Ann. 2021, 29, 635–642. [Google Scholar] [CrossRef] [PubMed]
  2. Corvino, A.; Lonardo, V.; Tafuri, D.; Cocco, G.; Pizzi, A.D.; Boccatonda, A.; Corvino, F.; Costantino, T.G.; Horer, T.; Catalano, O. Aortic dissection: How to identify it during an abdominal ultrasound examination and achieve a potentially lifesaving diagnosis. J. Clin. Ultrasound 2024, 52, 967–972. [Google Scholar] [CrossRef] [PubMed]
  3. Arslan, Ü.; Jalalzai, I. A Narrative Review of Biomarkers and Imaging in the Diagnosis of Acute Aortic Syndrome. Diagnostics 2025, 15, 183. [Google Scholar] [CrossRef] [PubMed]
  4. di Gioia, C.R.T.; Ascione, A.; Carletti, R.; Giordano, C. Thoracic Aorta: Anatomy and Pathology. Diagnostics 2023, 13, 2166. [Google Scholar] [CrossRef] [PubMed]
  5. Bacour, N.; Grewal, S.; Theijsse, R.T.; Klautz, R.J.M.; Grewal, N. From Survival to Recovery: Understanding the Life Impact of an Acute Aortic Dissection Through Activity, Sleep, and Quality of Life. J. Clin. Med. 2025, 14, 859. [Google Scholar] [CrossRef] [PubMed]
  6. Bing, F.; Rodière, M.; Martinelli, T.; Monnin-Bares, V.; Chavanon, O.; Bach, V.; Baguet, J.P.; Ferretti, G.R.; Thony, F. Type A acute aortic dissection: Why does the false channel remain patent after surgery? Vasc. Endovascular. Surg. 2014, 48, 239–245. [Google Scholar] [CrossRef] [PubMed]
  7. Bonnin, P.; Giannesini, C.; Amah, G.; Kevorkian, J.P.; Woimant, F.; Levy, B.I. Doppler sonograpy with dynamic testing in a case of aortic dissection extending to the innominate and right common carotid arteries. Neuroradiology 2003, 45, 472–475. [Google Scholar] [CrossRef] [PubMed]
Disclaimer/Publisher’s Note: The statements, opinions and data contained in all publications are solely those of the individual author(s) and contributor(s) and not of MDPI and/or the editor(s). MDPI and/or the editor(s) disclaim responsibility for any injury to people or property resulting from any ideas, methods, instructions or products referred to in the content.

Share and Cite

MDPI and ACS Style

Tagliati, C.; Quaranta, A.; Fogante, M.; Lamja, S.; Matarrese, A.A.; Battista, D.; Cocco, G.; Lanni, G.; Rebonato, A.; Principi, F.; et al. Right Vertebral Artery Intermittent Flow Reversal Due to Innominate Artery Dissection. Diagnostics 2025, 15, 1668. https://doi.org/10.3390/diagnostics15131668

AMA Style

Tagliati C, Quaranta A, Fogante M, Lamja S, Matarrese AA, Battista D, Cocco G, Lanni G, Rebonato A, Principi F, et al. Right Vertebral Artery Intermittent Flow Reversal Due to Innominate Artery Dissection. Diagnostics. 2025; 15(13):1668. https://doi.org/10.3390/diagnostics15131668

Chicago/Turabian Style

Tagliati, Corrado, Alessia Quaranta, Marco Fogante, Stefania Lamja, Alfonso Alberto Matarrese, Davide Battista, Giulio Cocco, Giuseppe Lanni, Alberto Rebonato, Fabiola Principi, and et al. 2025. "Right Vertebral Artery Intermittent Flow Reversal Due to Innominate Artery Dissection" Diagnostics 15, no. 13: 1668. https://doi.org/10.3390/diagnostics15131668

APA Style

Tagliati, C., Quaranta, A., Fogante, M., Lamja, S., Matarrese, A. A., Battista, D., Cocco, G., Lanni, G., Rebonato, A., Principi, F., Argalia, G., Corvino, A., Carbone, I., Di Cesare, E., & Schicchi, N. (2025). Right Vertebral Artery Intermittent Flow Reversal Due to Innominate Artery Dissection. Diagnostics, 15(13), 1668. https://doi.org/10.3390/diagnostics15131668

Note that from the first issue of 2016, this journal uses article numbers instead of page numbers. See further details here.

Article Metrics

Back to TopTop