Enhancing Arrhythmogenic Right Ventricular Cardiomyopathy Detection and Risk Stratification: Insights from Advanced Echocardiographic Techniques
Abstract
1. Introduction
2. Materials and Methods
Statistical Analysis
3. Results
3.1. Patient Population
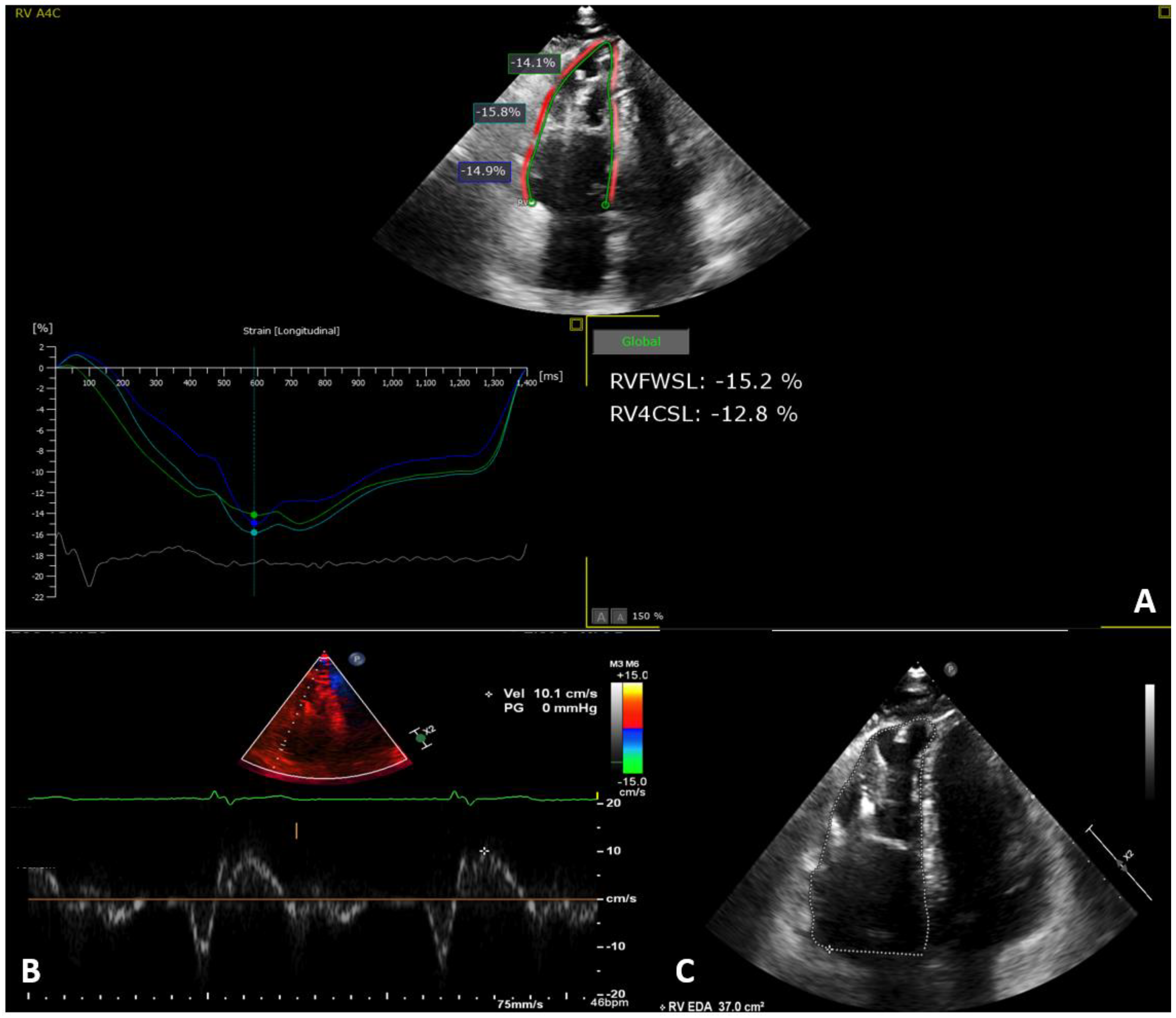
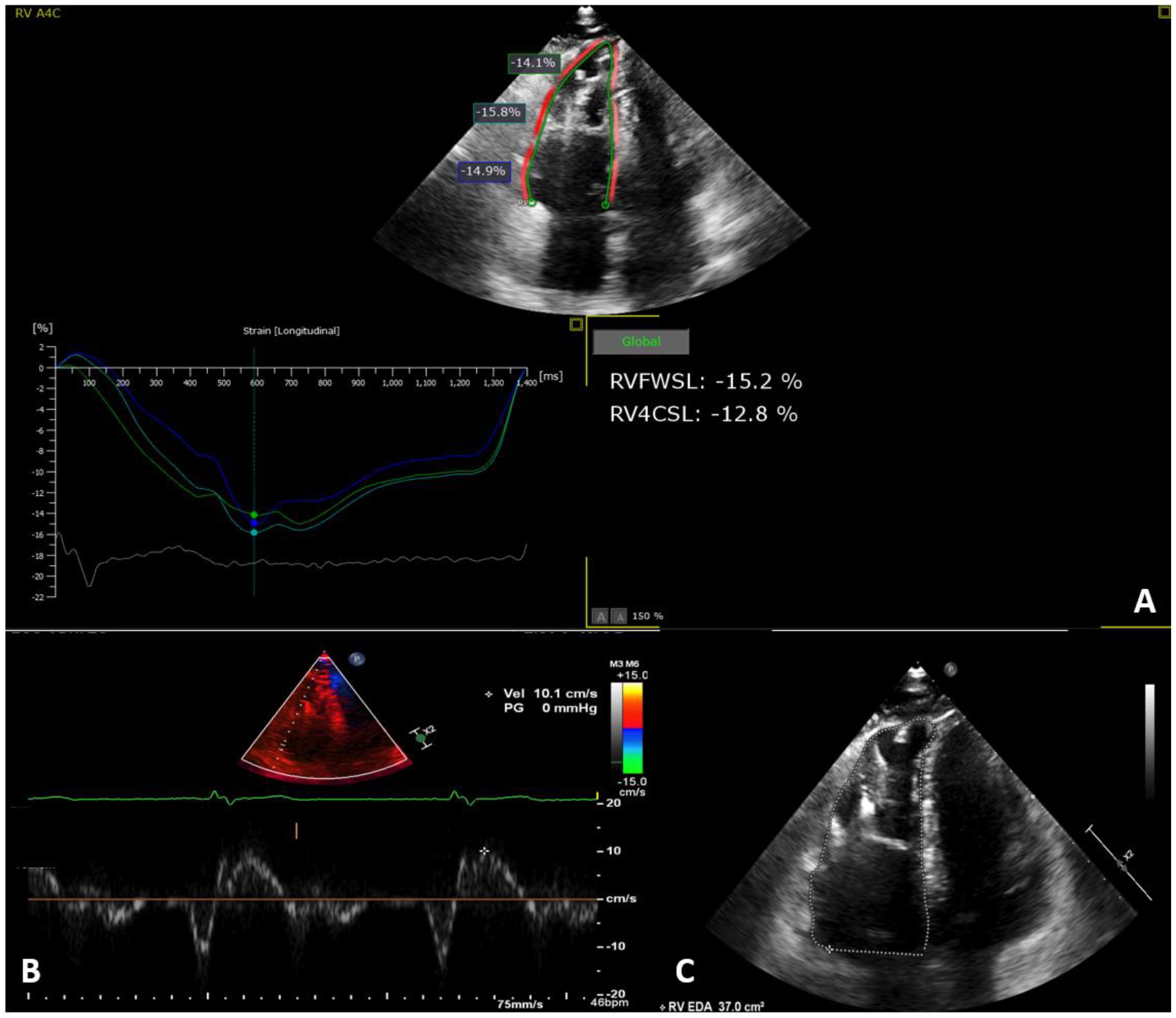
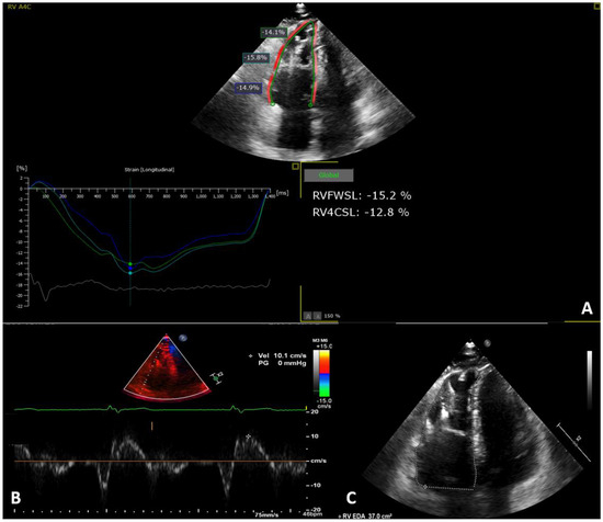
3.2. Advanced Speckle-Tracking ECHO Analysis
3.3. Comparison of Different Methods to Detect ARVC
3.4. Arrhythmic Outcomes and the Prediction of STE Parameters in ARVC
4. Discussion
5. Study Limitations
6. Conclusions
Author Contributions
Funding
Institutional Review Board Statement
Informed Consent Statement
Data Availability Statement
Acknowledgments
Conflicts of Interest
References
- Costa, S.; Cerrone, M.; Saguner, A.M.; Brunckhorst, C.; Delmar, M.; Duru, F. Arrhythmogenic cardiomyopathy: An in-depth look at molecular mechanisms and clinical correlates. Trends Cardiovasc. Med. 2021, 31, 395–402. [Google Scholar] [CrossRef] [PubMed]
- Marcus, F.I.; Fontaine, G.H.; Guiraudon, G.; Frank, R.; Laurenceau, J.L.; Malergue, C.; Grosgogeat, Y. Right ventricular dysplasia: A report of 24 adult cases. Circulation 1982, 65, 384–398. [Google Scholar] [CrossRef] [PubMed]
- Hoorntje, E.T.; Te Rijdt, W.P.; James, C.A.; Pilichou, K.; Basso, C.; Judge, D.P.; Bezzina, C.R.; van Tintelen, J.P. Arrhythmogenic cardiomyopathy: Pathology, genetics, and concepts in pathogenesis. Cardiovasc. Res. 2017, 113, 1521–1531. [Google Scholar] [CrossRef] [PubMed]
- Corrado, D.; Mark, S. Link, and Hugh Calkins. Arrhythmogenic Right Ventricular Cardiomyopathy. N. Engl. J. Med. 2017, 376, 61–72. [Google Scholar] [CrossRef] [PubMed]
- Te Rijdt, W.P.; Jongbloed, J.D.; de Boer, R.A.; Thiene, G.; Basso, C.; van den Berg, M.P.; van Tintelen, J.P. Clinical utility gene card for: Arrhythmogenic right ventricular cardiomyopathy (ARVC). Eur. J. Hum. Genet. 2014, 22, 293. [Google Scholar] [CrossRef] [PubMed]
- Protonotarios, A.; Brodehl, A.; Asimaki, A.; Jager, J.; Quinn, E.; Stanasiuk, C.; Ratnavadivel, S.; Futema, M.; Akhtar, M.M.; Gossios, T.D.; et al. The Novel Desmin Variant p.Leu115Ile is Associated with a Unique Form of Biventricular Arrhythmogenic Cardiomyopathy. Can. J. Cardiol. 2021, 37, 857–866. [Google Scholar] [CrossRef]
- Gerull, B.; Brodehl, A. Insights into Genetics and Pathophysiology of Arrhythmogenic Cardiomyopathy. Curr. Heart Fail Rep. 2021, 18, 378–390. [Google Scholar] [CrossRef]
- Boogerd, C.J.; Lacraz, G.P.A.; Vértesy, Á.; van Kampen, S.J.; Perini, I.; de Ruiter, H.; Versteeg, D.; Brodehl, A.; van der Kraak, P.; Giacca, M.; et al. Spatial transcriptomics unveils ZBTB11 as a regulator of cardiomyocyte degeneration in arrhythmogenic cardiomyopathy. Cardiovasc. Res. 2023, 119, 477–491. [Google Scholar] [CrossRef]
- Marcus, F.I.; McKenna, W.J.; Sherrill, D.; Basso, C.; Bauce, B.; Bluemke, D.A.; Calkins, H.; Corrado, D.; Cox, M.G.P.J.; Daubert, J.P.; et al. Diagnosis of arrhythmogenic right ventricular cardiomyopathy/dysplasia: Proposed modification of the Task Force Criteria. Eur. Heart J. 2010, 31, 806–814. [Google Scholar] [CrossRef]
- Corrado, D.; Zorzi, A.; Cipriani, A.; Bauce, B.; Bariani, R.; Beffagna, G.; De Lazzari, M.; Migliore, F.; Pilichou, K.; Rampazzo, A.; et al. Evolving Diagnostic Criteria for Arrhythmogenic Cardiomyopathy. J. Am. Heart Assoc. 2021, 10, e021987. [Google Scholar] [CrossRef]
- Gandjbakhch, E.; Redheuil, A.; Pousset, F.; Charron, P.; Frank, R. Clinical Diagnosis, Imaging, and Genetics of Arrhythmogenic Right Ventricular Cardiomyopathy/Dysplasia: JACC State-of-the-Art Review. J. Am. Coll. Cardiol. 2018, 72, 784–804. [Google Scholar] [CrossRef] [PubMed]
- Malik, N.; Win, S.; James, C.A.; Kutty, S.; Mukherjee, M.; Gilotra, N.A.; Tichnell, C.; Murray, B.; Agafonova, J.; Tandri, H.; et al. Right Ventricular Strain Predicts Structural Disease Progression in Patients with Arrhythmogenic Right Ventricular Cardiomyopathy. J. Am. Heart Assoc. 2020, 9, e015016. [Google Scholar] [CrossRef] [PubMed]
- Almeida, A.L.; Melo, M.D.; Bihan, D.C.; Vieira, M.L.; Pena, J.L.; Castillo, J.M.; Abensur, H.; Hortegal, R.D.; Otto, M.E.; Piveta, R.B.; et al. Posicionamento do Departamento de Imagem Cardiovascular da Sociedade Brasileira de Cardiologia sobre o Uso do Strain Miocárdico na Rotina do Cardiologista—2023. Arq. Bras. Cardiol. 2023, 120, e20230646. [Google Scholar]
- Lang, R.M.; Badano, L.P.; Mor-Avi, V.; Afilalo, J.; Armstrong, A.; Ernande, L.; Flachskampf, F.A.; Foster, E.; Goldstein, S.A.; Kuznetsova, T.; et al. Recommendations for cardiac chamber quantification by echocardiography in adults: An update from the American Society of Echocardiography and the European Association of Cardiovascular Imaging. Eur. Heart J. Cardiovasc. Imaging 2015, 16, 233–270. [Google Scholar] [CrossRef] [PubMed]
- Smiseth, O.A.; Morris, D.A.; Cardim, N.; Cikes, M.; Delgado, V.; Donal, E.; Flachskampf, F.A.; Galderisi, M.; Gerber, B.L.; Gimelli, A. Multimodality imaging in patients with heart failure and preserved ejection fraction: An expert consensus document of the European Association of Cardiovascular Imaging. Eur. Heart J. Cardiovasc. Imaging 2022, 23, e34–e61. [Google Scholar] [CrossRef] [PubMed]
- Farsalinos, K.E.; Daraban, A.M.; Ünlü, S.; Thomas, J.D.; Badano, L.P.; Voigt, J.U. Head-to-head comparison of global longitudinal strain measurements among nine different vendors: The EACVI/ASE inter-vendor comparison study. J. Am. Soc. Echocardiogr. 2015, 28, 1171–1181. [Google Scholar] [CrossRef] [PubMed]
- Haugaa, K.H.; Basso, C.; Badano, L.P.; Bucciarelli-Ducci, C.; Cardim, N.; Gaemperli, O.; Galderisi, M.; Habib, G.; Knuuti, J.; Lancellotti, P.; et al. Eacvi Scientific Documents Committee, EACVI board members and external reviewers. Comprehensive multi-modality imaging approach in arrhythmogenic cardiomyopathy-an expert consensus document of the European Association of Cardiovascular Imaging. Eur. Heart J. Cardiovasc. Imaging 2017, 18, 237–253. [Google Scholar] [CrossRef]
- Habib, G.; Bucciarelli-Ducci, C.; Caforio, A.L.; Cardim, N.; Charron, P.; Cosyns, B.; Dehaene, A.; Derumeaux, G.; Donal, E.; Dweck, M.R.; et al. Multimodality imaging in restrictive cardiomyopathies: An EACVI expert consensus document in collaboration with the “Working Group on Myocardial and Pericardial Diseases” of the European Society of Cardiology endorsed by the Indian Academy of Echocardiography. Eur. Heart J. Cardiovasc. Imaging 2017, 18, 1090–1121. [Google Scholar]
- Sade, L.E.; Joshi, S.S.; Cameli, M.; Cosyns, B.; Delgado, V.; Donal, E.; Edvardsen, T.; Carvalho, R.F.; Manka, R.; Podlesnikar, T.; et al. Current clinical use of speckle-tracking strain imaging: Insights from a worldwide survey from the European Association of Cardiovascular Imaging (EACVI). Eur. Heart J. Cardiovasc. Imaging 2023, 24, 1583–1592. [Google Scholar] [CrossRef]
- Muraru, D.; Haugaa, K.; Donal, E.; Stankovic, I.; Voigt, J.U.; Petersen, S.E.; Popescu, B.A.; Marwick, T. Right ventricular longitudinal strain in the clinical routine: A state-of-the-art review. Eur. Heart J. Cardiovasc. Imaging 2022, 23, 898–912. [Google Scholar] [CrossRef] [PubMed]
- Addetia, K.; Miyoshi, T.; Citro, R.; Daimon, M.; Gutierrez Fajardo, P.; Kasliwal, R.R.; Kirkpatrick, J.N.; Monaghan, M.J.; Muraru, D.; Ogunyankin, K.O.; et al. Two-Dimensional Echocardiographic Right Ventricular Size and Systolic Function Measurements Stratified by Sex, Age, and Ethnicity: Results of the World Alliance of Societies of Echocardiography Study. J. Am. Soc. Echocardiogr. 2021, 34, 1148–1157.e1. [Google Scholar] [CrossRef]
- Leren, I.S.; Saberniak, J.; Haland, T.F.; Edvardsen, T.; Haugaa, K.H. Combination of ECG and Echocardiography for Identification of Arrhythmic Events in Early ARVC. JACC Cardiovasc. Imaging 2017, 10, 503–513. [Google Scholar] [CrossRef] [PubMed]
- Teske, A.J.; Cox, M.G.; De Boeck, B.W.; Doevendans, P.A.; Hauer, R.N.; Cramer, M.J. Echocardiographic tissue deformation imaging quantifies abnormal regional right ventricular function in arrhythmogenic right ventricular dysplasia/cardiomyopathy. J. Am. Soc. Echocardiogr. 2009, 22, 920–927. [Google Scholar] [CrossRef] [PubMed]
- Sarvari, S.I.; Haugaa, K.H.; Anfinsen, O.G.; Leren, T.P.; Smiseth, O.A.; Kongsgaard, E.; Amlie, J.P.; Edvardsen, T. Right ventricular mechanical dispersion is related to malignant arrhythmias: A study of patients with arrhythmogenic right ventricular cardiomyopathy and subclinical right ventricular dysfunction. Eur. Heart J. 2011, 32, 1089–1096. [Google Scholar] [CrossRef] [PubMed]
- Teske, A.J.; Cox, M.G.; Te Riele, A.S.; De Boeck, B.W.; Doevendans, P.A.; Hauer, R.N.; Cramer, M.J. Early detection of regional functional abnormalities in asymptomatic ARVD/C gene carriers. J. Am. Soc. Echocardiogr. 2012, 25, 997–1006. [Google Scholar] [CrossRef] [PubMed]
- Mast, T.P.; Teske, A.J.; Te Riele, A.S.; Groeneweg, J.A.; Van Der Heijden, J.F.; Velthuis, B.K.; Loh, P.; Doevendans, P.A.; Van Veen, T.A.; Dooijes, D.; et al. Prolonged Electromechanical Interval Unmasks Arrhythmogenic Right Ventricular Dysplasia/Cardiomyopathy in the Subclinical Stage. J. Cardiovasc. Electrophysiol. 2016, 27, 303–314. [Google Scholar] [CrossRef] [PubMed]
- Richards, S.; Aziz, N.; Bale, S.; Bick, D.; Das, S.; Gastier-Foster, J.; Grody, W.W.; Hegde, M.; Lyon, E.; Spector, E.; et al. Standards and guidelines for the interpretation of sequence variants: A joint consensus recommendation of the American College of Medical Genetics and Genomics and the Association for Molecular Pathology. Genet. Med. 2015, 17, 405–424. [Google Scholar] [CrossRef] [PubMed]
- Murray, B.; James, C.A. Genotype-phenotype Correlates in Arrhythmogenic Cardiomyopathies. Curr. Cardiol. Rep. 2022, 24, 1557–1565. [Google Scholar] [CrossRef]
- Corrado, D.; Perazzolo Marra, M.; Zorzi, A.; Beffagna, G.; Cipriani, A.; Lazzari, M.; Migliore, F.; Pilichou, K.; Rampazzo, A.; Rigato, I.; et al. Diagnosis of arrhythmogenic cardiomyopathy: The Padua criteria. Int. J. Cardiol. 2020, 319, 106–114. [Google Scholar] [CrossRef]
- Malik, N.; Mukherjee, M.; Wu, K.C.; Zimmerman, S.L.; Zhan, J.; Calkins, H.; James, C.A.; Gilotra, N.A.; Sheikh, F.H.; Tandri, H.; et al. Multimodality Imaging in Arrhythmogenic Right Ventricular Cardiomyopathy. Circ. Cardiovasc. Imaging 2022, 15, e013725. [Google Scholar] [CrossRef]
- Knackstedt, C.; Bekkers, S.C.; Schummers, G.; Schreckenberg, M.; Muraru, D.; Badano, L.P.; Franke, A.; Bavishi, C.; Omar, A.M.; Sengupta, P.P. Fully Automated Versus Standard Tracking of Left Ventricular Ejection Fraction and Longitudinal Strain: The FAST-EFs Multicenter Study. J. Am. Coll. Cardiol. 2015, 66, 1456–1466. [Google Scholar] [CrossRef] [PubMed]
- Backhaus, S.J.; Aldehayat, H.; Kowallick, J.T.; Evertz, R.; Lange, T.; Kutty, S.; Bigalke, B.; Gutberlet, M.; Hasenfuß, G.; Thiele, H.; et al. Artificial intelligence fully automated myocardial strain quantification for risk stratification following acute myocardial infarction. Sci. Rep. 2022, 12, 12220. [Google Scholar] [CrossRef] [PubMed]
- Prakasa, K.R.; Wang, J.; Tandri, H.; Dalal, D.; Bomma, C.; Chojnowski, R.; James, C.; Tichnell, C.; Russell, S.; Judge, D.; et al. Utility of tissue Doppler and strain echocardiography in arrhythmogenic right ventricular dysplasia/cardiomyopathy. Am. J. Cardiol. 2007, 100, 507–512. [Google Scholar] [CrossRef]
- Mast, T.P.; Taha, K.; Cramer, M.J.; Lumens, J.; van der Heijden, J.F.; Bouma, B.J.; van den Berg, M.P.; Asselbergs, F.W.; Doevendans, P.A.; Teske, A.J. The Prognostic Value of Right Ventricular Deformation Imaging in Early Arrhythmogenic Right Ventricular Cardiomyopathy. JACC Cardiovasc. Imaging 2019, 12, 446–455. [Google Scholar] [CrossRef] [PubMed]
- Hosseini, S.; Erhart, L.; Anwer, S.; Heiniger, P.S.; Winkler, N.E.; Cimen, T.; Kuzo, N.; Hess, R.; Akdis, D.; Costa, S.; et al. Tissue Doppler echocardiography and outcome in arrhythmogenic right ventricular cardiomyopathy. Int. J. Cardiol. 2022, 368, 86–93. [Google Scholar] [CrossRef] [PubMed]
- Saguner, A.M.; Vecchiati, A.; Baldinger, S.H.; Rüeger, S.; Medeiros-Domingo, A.; Mueller-Burri, A.S.; Haegeli, L.M.; Biaggi, P.; Manka, R.; Lüscher, T.F.; et al. Different prognostic value of functional right ventricular parameters in arrhythmogenic right ventricular cardiomyopathy/dysplasia. Circ. Cardiovasc. Imaging 2014, 7, 230–239. [Google Scholar] [CrossRef] [PubMed]
- Lie, Ø.H.; Rootwelt-Norberg, C.; Dejgaard, L.A.; Leren, I.S.; Stokke, M.K.; Edvardsen, T.; Haugaa, K.H. Prediction of life-threatening ventricular arrhythmia in patients with arrhythmogenic cardiomyopathy: A primary prevention cohort study. J. Am. Coll. Cardiol. Imaging 2018, 11, 1377–1386. [Google Scholar] [CrossRef] [PubMed]
- Calkins, H.; Corrado, D.; Marcus, F. Risk Stratification in Arrhythmogenic Right Ventricular Cardiomyopathy. Circulation 2017, 136, 2068–2082. [Google Scholar] [CrossRef]
- Asch, F.M.; Mor-Avi, V.; Rubenson, D.; Goldstein, S.; Saric, M.; Mikati, I.; Surette, S.; Chaudhry, A.; Poilvert, N.; Hong, H.; et al. Deep Learning-Based Automated Echocardiographic Quantification of Left Ventricular Ejection Fraction: A Point-of-Care Solution. Circ. Cardiovasc. Imaging 2021, 14, e012293. [Google Scholar] [CrossRef]
- Zhang, X.; Cerna, A.E.U.; Stough, J.V.; Chen, Y.; Carry, B.J.; Alsaid, A.; Raghunath, S.; vanMaanen, D.P.; Fornwalt, B.K.; Haggerty, C.M. Generalizability and quality control of deep learning-based 2D echocardiography segmentation models in a large clinical dataset. Int. J. Cardiovasc. Imaging 2022, 38, 1685–1697. [Google Scholar] [CrossRef]
- Kim, S.; Park, H.B.; Jeon, J.; Arsanjani, R.; Heo, R.; Lee, S.E.; Moon, I.; Yoo, S.K.; Chang, H.J. Fully automated quantification of cardiac chamber and function assessment in 2-D echocardiography: Clinical feasibility of deep learning-based algorithms. Int. J. Cardiovasc. Imaging 2022, 38, 1047–1059. [Google Scholar] [CrossRef] [PubMed]
- Guo, S.; Xu, L.; Feng, C.; Xiong, H.; Gao, Z.; Zhang, H. Multi-level semantic adaptation for few-shot segmentation on cardiac image sequences. Med. Image Anal. 2021, 73, 102170. [Google Scholar] [CrossRef] [PubMed]
- Painchaud, N.; Duchateau, N.; Bernard, O.; Jodoin, P.M. Echocardiography Segmentation With Enforced Temporal Consistency. IEEE Trans. Med. Imaging 2022, 41, 2867–2878. [Google Scholar] [CrossRef] [PubMed]



| Mean age (min, max); years | 33 (13, 57) |
| Male (%) | 27/28 (96) |
| Proband (%) | 25/28 (89) |
| First Clinical Presentation n (%) | |
| 18/28 (64) |
| 6/28 (21) |
| 2/28 (7) |
| Arrhythmias, n (%) | |
| 18/28 (64) |
| 23/28 (82) |
| 2/28 (7) |
| Genetic Test, n/N (%) | |
| 16/25 (64) |
| PKP2 nonsense | 12/16 (75) |
| DSC2 nonsense | 3/16 (19) |
| DSG2 nonsense | 1/16 (6) |
| Pathogenic or Likely Pathogenic Variants | ||||
|---|---|---|---|---|
| Gene | Codon | Protein | Class | ACMG Criteria |
| PKP2 | ||||
| NM_001005242.3 | c.148_151del | p.Thr50Serfs * | 4 | PVS1, PM2, PS3 |
| NM_001005242.3 | c.368G>A | p.Trp123 * | 5 | PVS1, PM2, PP1 |
| NM_001005242.3 | c.775dupG | p.Glu259fs * | 4 | PVS1, PM2 |
| NM_001005242.3 | c.1170+2T>A | p.(?) | 5 | PVS1, PM2, PP3, PS4, PP1 |
| NM_001005242.3 | c.1643delG | p.Gly548fs * | 4 | PVS1, PM2 |
| NM_004572.3 | c.1951C>T | p.Arg651 * | 5 | PVS1, PM2, PS4, PP1 |
| NM_004572.3 | c.2062T>C | p.Ser688Profs * | 5 | PVS1, PM2, PS4, PP1 |
| NM_001005242.3 | c.2146-1G>C | Splice acceptor | 5 | PVS1, PM2, PP3, PS4 |
| NM_001005242.3 | c.2357+1G>A | p.(?) | 5 | PVS1, PM2, PP3, PS4 |
| NM_001005242.3 | c.2446-2A>C | p.(?) | 5 | PVS1, PM2, PP3, |
| NM_004572.3 | Deletion (exon 4) | p.(?) | 4 | PVS1, PM2 |
| DSC2 | ||||
| NM_024422.6 | c.923C>G | p.Ser308fs * | 4 | PVS1, PM2 |
| NM_024422.6 | c.929delinsTT | p.Gln310fs * | 4 | PVS1, PM2 |
| NM_024422.6 | c.1053_1059del | p.His351Glnfs * | 4 | PVS1, PM2 |
| DSG2 | ||||
| NM_001943.5 | c.523+1G>C | p.(?) | 5 | PVS1, PM2, PP3, PS4 |
| RV Diameter, Volume, and Function | |
|---|---|
| mean ± DP or median, IQR | |
| 27 ± 0.08 |
| 45.00 (41.00, 48.75) |
| 37.00 (33.75, 39.25) |
| 83.14 ± 6.64 |
| 37.50 (34.75, 41.25) |
| 37.471 (35.75, 40.00) |
| 18.07 ± 4.38 |
| −15.86 ± 4.25 |
| LV diameter, volume, and function | |
| mean ± DP or median, IQR | |
| 35.96 ± 4.64 |
| 28.90 (26.00, 31.70) |
| 8.85 (7.00–11.0) |
| 8.41 (7.00–10.0) |
| 47.86 ± 6.46 |
| 34.06 (24.0–59.0) |
| 0.60 (0.47, 0.66) |
| RV Diameter, Volume, and Function | |||
|---|---|---|---|
| Arrhythmia (Yes) | Arrhythmia (No) | p-Value * | |
| RV FAC (%) | 0.25 ± 0.09 | 0.30 ± 0.08 | 0.159 |
| RVDd basal (mm) | 45.50 (44.25, 52.00) | 42.50 (41.00, 45.75) | 0.075 |
| RVDd mid (mm) | 39.00 (36.25, 42.50) | 35.00 (33.00, 37.75) | 0.018 |
| RVDd longitudinal (mm) | 85.36 ± 5.79 | 80.93 ± 6.90 | 0.077 |
| RVOT (PLAX) (mm) | 39.00 (35.50, 45.50) | 36.00 (33.00, 40.75) | 0.196 |
| RVOT (PSAX) (mm) | 39.00 (36.50, 44.75) | 36.50 (34.00, 39.00) | 0.044 |
| TAPSE (mm) | 16.50 ± 3.94 | 19.64 ± 4.36 | 0.055 |
| RVFWL Strain | −14.48 ± 3.85 | −17.24 ± 4.32 | 0.086 |
| LAD (mm) | 34.64 ± 4.09 | 37.29 ± 4.92 | 0.134 |
| LAD vol (mm) | 28.50 (25.25, 30.05) | 29.50 (26.70, 32.30) | 0.382 |
| LVDd (mm) | 45.79 ± 7.20 | 49.93 ± 5.06 | 0.091 |
| LVDs (mm) | 31.64 ± 5.93 | 33.29 ± 4.63 | 0.421 |
| LVEF (%) | 0.59 (0.56, 0.67) | 0.60 (0.57, 0.66) | 0.611 |
| Arrhythmic Outcomes (Yes) | Arrhythmic Outcomes (No) | p-Value | |
|---|---|---|---|
| Strain > −14.35% (or <14.35% in absolute value) | 7 | 1 | 0.033 * |
| Strain ≤ −14.35% (or ≥14.35% in absolute value) | 7 | 13 | |
| Total | 14 | 14 |
Disclaimer/Publisher’s Note: The statements, opinions and data contained in all publications are solely those of the individual author(s) and contributor(s) and not of MDPI and/or the editor(s). MDPI and/or the editor(s) disclaim responsibility for any injury to people or property resulting from any ideas, methods, instructions or products referred to in the content. |
© 2024 by the authors. Licensee MDPI, Basel, Switzerland. This article is an open access article distributed under the terms and conditions of the Creative Commons Attribution (CC BY) license (https://creativecommons.org/licenses/by/4.0/).
Share and Cite
Olivetti, N.; Sacilotto, L.; Moleta, D.B.; França, L.A.d.; Capeline, L.S.; Wulkan, F.; Wu, T.C.; Pessente, G.D.; Carvalho, M.L.P.d.; Hachul, D.T.; et al. Enhancing Arrhythmogenic Right Ventricular Cardiomyopathy Detection and Risk Stratification: Insights from Advanced Echocardiographic Techniques. Diagnostics 2024, 14, 150. https://doi.org/10.3390/diagnostics14020150
Olivetti N, Sacilotto L, Moleta DB, França LAd, Capeline LS, Wulkan F, Wu TC, Pessente GD, Carvalho MLPd, Hachul DT, et al. Enhancing Arrhythmogenic Right Ventricular Cardiomyopathy Detection and Risk Stratification: Insights from Advanced Echocardiographic Techniques. Diagnostics. 2024; 14(2):150. https://doi.org/10.3390/diagnostics14020150
Chicago/Turabian StyleOlivetti, Natália, Luciana Sacilotto, Danilo Bora Moleta, Lucas Arraes de França, Lorena Squassante Capeline, Fanny Wulkan, Tan Chen Wu, Gabriele D’Arezzo Pessente, Mariana Lombardi Peres de Carvalho, Denise Tessariol Hachul, and et al. 2024. "Enhancing Arrhythmogenic Right Ventricular Cardiomyopathy Detection and Risk Stratification: Insights from Advanced Echocardiographic Techniques" Diagnostics 14, no. 2: 150. https://doi.org/10.3390/diagnostics14020150
APA StyleOlivetti, N., Sacilotto, L., Moleta, D. B., França, L. A. d., Capeline, L. S., Wulkan, F., Wu, T. C., Pessente, G. D., Carvalho, M. L. P. d., Hachul, D. T., Pereira, A. d. C., Krieger, J. E., Scanavacca, M. I., Vieira, M. L. C., & Darrieux, F. (2024). Enhancing Arrhythmogenic Right Ventricular Cardiomyopathy Detection and Risk Stratification: Insights from Advanced Echocardiographic Techniques. Diagnostics, 14(2), 150. https://doi.org/10.3390/diagnostics14020150

