Evaluation of Root Canal Configuration of Maxillary and Mandibular First Molar by CBCT: A Retrospective Cross-Sectional Study
Abstract
1. Introduction
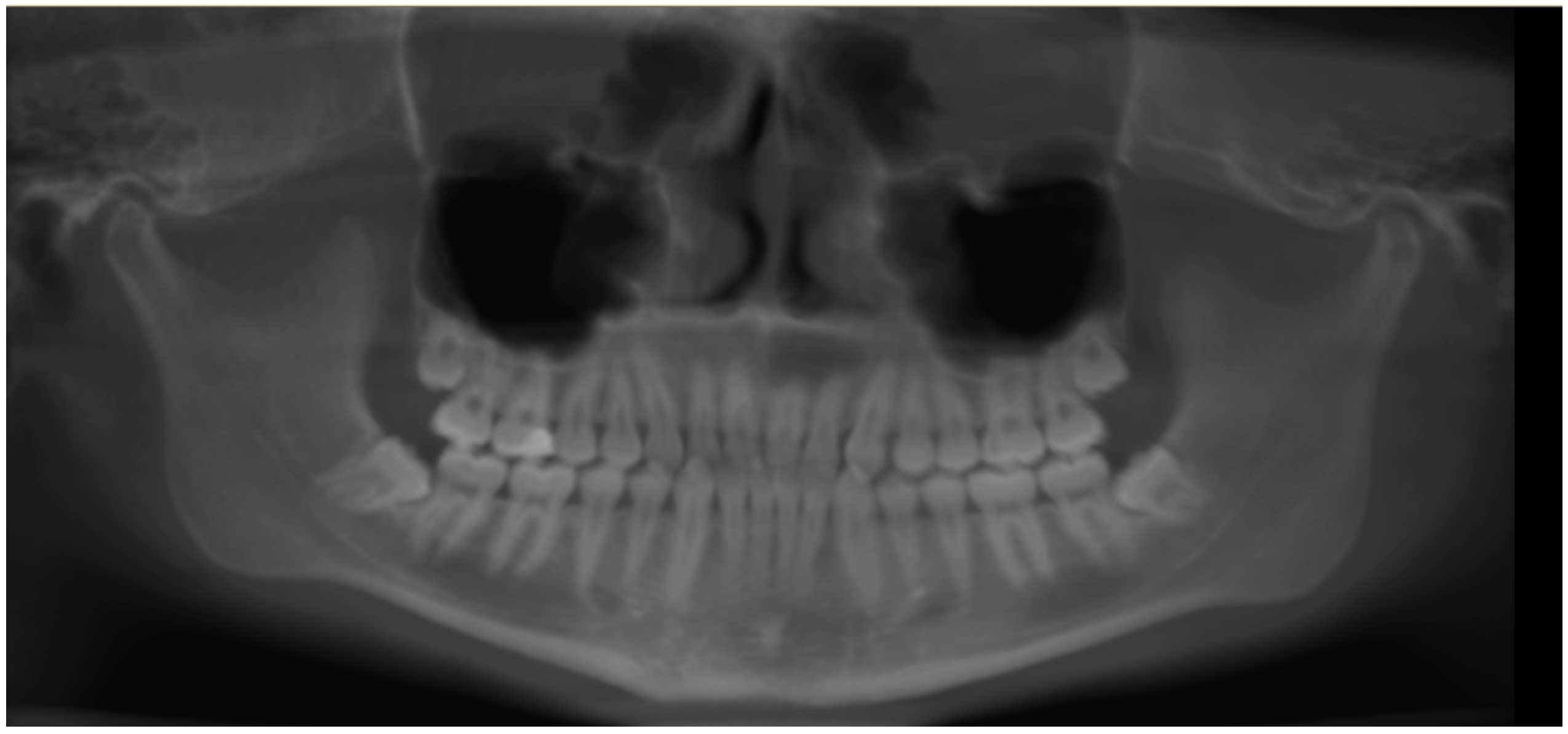
2. Materials and Methods

Statistical Analysis
3. Results
4. Discussion
| Studies | Year | Population | CBCT Scans | Number of Canals in the Maxillary First Molar |
|---|---|---|---|---|
| Kim et al. [9] | 2012 | Korean | 814 | Additional canals were found in 63.59% of the mesiobuccal (MB) roots |
| Silva et al. [36] | 2014 | Brazilian | 314 | The prevalence of MB2 canal was 44.4% |
| Martin et al. [40] | 2018 | Indian | 250 | MB2 proportion in USA was 64.8%. |
| Al Mheiri et al. [42] | 2020 | Emirati | 261 | MB2 canal was found in 80.1% of all examined samples. |
| Martin et al. [40] | 2018 | Australian | 250 | 50.8% samples had MB2 canal |
| Martin et al. [43] | 2017 | Caucasian | 542 | The mesiobuccal root of the maxillary first molars had two root canals in 71% |
| Heibert et al. [44] | 2017 | American | 100 | A review of CBCT volumes found the presence of an MB2 canal 69% of the time. |
| ABARCA et al. [45] | 2015 | Chilean | 802 | The presence of the MB2 canal in maxillary first was 32.5%. |
| Jing et al. [46] | 2014 | Chinese | 630 | 30.9% maxillary molars had the additional canal in the mesio-buccal roots. |
| Naseri et al. [47] | 2016 | Irani | 149 | Additional canal (MB2) was detected in 86.6% of mesiobuccal roots |
5. Conclusions
Author Contributions
Funding
Institutional Review Board Statement
Data Availability Statement
Acknowledgments
Conflicts of Interest
References
- Tabassum, S.; Khan, F.R. Failure of endodontic treatment: The usual suspects. Eur. J. Dent. 2016, 10, 144–147. [Google Scholar] [CrossRef]
- Karamifar, K.; Tondari, A.; Saghiri, M.A. Endodontic Periapical Lesion: An Overview on the Etiology, Diagnosis and Current Treatment Modalities. Eur. Endod. J. 2020, 5, 54–67. [Google Scholar] [CrossRef] [PubMed]
- Ahmad, I.A.; Alenezi, M.A. Root and Root Canal Morphology of Maxillary First Premolars: A Literature Review and Clinical Considerations. J. Endod. 2016, 42, 861–872. [Google Scholar] [CrossRef] [PubMed]
- Qiao, X.; Xu, T.; Chen, L.; Yang, D. Analysis of Root Canal Curvature and Root Canal Morphology of Maxillary Posterior Teeth in Guizhou, China. Med. Sci. Monit. 2021, 27, e928758. [Google Scholar] [CrossRef] [PubMed]
- Baruwa, A.; Martins, J.; Meirinhos, J.; Pereira, B.; Gouveia, J.; Quaresma, S.; Monroe, A.; Ginjeira, A. The Influence of Missed Canals on the Prevalence of Periapical Lesions in Endodontically Treated Teeth: A Cross-sectional Study. J. Endod. 2020, 46, 34–39.e1. [Google Scholar] [CrossRef] [PubMed]
- Pereira, B.; Martins, J.; Baruwa, A.; Meirinhos, J.; Gouveia, J.; Quaresma, S.; Monroe, A.; Ginjeira, A. Association between Endodontically Treated Maxillary and Mandibular Molars with Fused Roots and Periapical Lesions: A Cone-beam Computed Tomography Cross-sectional Study. J. Endod. 2020, 46, 771–777.e1. [Google Scholar] [CrossRef]
- Vertucci, F.J. Root canal morphology and its relationship to endodontic procedure. Endod. Topics 2005, 10, 3–29. [Google Scholar] [CrossRef]
- Hasan, M.; Khan, F.R. Determination of Frequency of the Second Mesiobuccal Canal in the Permanent Maxillary First Molar Teeth with Magnification Loupes (×3.5). Int. J. Biomed. Sci. 2014, 10, 201–207. [Google Scholar] [PubMed]
- Kim, Y.; Lee, S.J.; Woo, J. Morphology of maxillary first and second molars analyzed by cone-beam computed tomography in a korean population: Variations in the number of roots and canals and the prevalence of fusion. J. Endod. 2012, 38, 1063–1068. [Google Scholar] [CrossRef]
- Abd-Latib, A.H.; Nordin, N.F.; Alkadhim, A.H. CBCT diagnostic application in detection of mesiobuccal canal in maxillary molars and distolingual canal in mandibular molars: A descriptive study. J. Dent. Oral Health 2015, 1, 1–3. [Google Scholar]
- Studebaker, B.; Hollender, L.; Mancl, L.; Johnson, J.D.; Paranjpe, A. The Prevalence of Second Mesiobuccal Canals Located in Maxillary Molars with the Aid of Cone-beam Computed Tomography. J. Endod. 2018, 44, 565–570. [Google Scholar] [CrossRef]
- AL-Alawi, H.; Al-Nazhan, S.; Al-Maflehi, N.; Aldosimani, M.A.; Zahid, M.N.; Shihabi, G.N. The prevalence of radix molaris in the mandibular first molars of a Saudi subpopulation based on cone-beam computed tomography. Restor. Dent. Endod. 2020, 45, e1. [Google Scholar] [CrossRef] [PubMed]
- Nur, B.G.; Ok, E.; Altunsoy, M.; Aglarci, O.S.; Colak, M.; Gungor, E. Evaluation of the root and canal morphology of mandibular permanent molars in a south-eastern Turkish population using cone-beam computed tomography. Eur. J. Dent. 2014, 8, 154–159. [Google Scholar] [CrossRef] [PubMed]
- Wang, Y.; Zheng, Q.H.; Zhou, X.D.; Tang, L.; Wang, Q.; Zheng, G.N.; Huang, D.M. Evaluation of the root and canal morphology of mandibular first permanent molars in a western Chinese population by cone-beam computed tomography. J. Endod. 2010, 36, 1786–1789. [Google Scholar] [CrossRef] [PubMed]
- Park, J.B.; Kim, N.; Park, S.; Kim, Y.; Ko, Y. Evaluation of root anatomy of permanent mandibular premolars and molars in a Korean population with cone-beam computed tomography. Eur. J. Dent. 2013, 7, 94–101. [Google Scholar]
- Shukla, S.; Chug, A.; Afrashtehfar, K.I. Role of Cone Beam Computed Tomography in Diagnosis and Treatment Planning in Dentistry: An Update. J. Int. Soc. Prev. Community Dent. 2017, 7, S125–S136. [Google Scholar]
- Venkatesh, E.; Elluru, S.V. Cone beam computed tomography: Basics and applications in dentistry. J. Istanb. Univ. Fac. Dent. 2017, 51, S102–S121. [Google Scholar] [CrossRef]
- Witherspoon, D.E.; Small, J.C.; Regan, J.D. Missed canal systems are the most likely basis for endodontic retreatment of molars. Tex. Dent. J. 2013, 130, 127–139. [Google Scholar]
- Al-Fouzan, K.S.; Ounis, H.F.; Merdad, K.; Al-Hezaimi, K. Prevalence of canal systems in the mesio-buccal roots of maxillary first and second molars in Saudi Arabian population. Aust. Endod. J. 2013, 39, 98–101. [Google Scholar] [CrossRef]
- Alrahabi, M.; Sohail-Zafar, M. Evaluation of root canal morphology of maxillary molars using cone beam computed tomography. Pak. J. Med. Sci. 2015, 31, 426–430. [Google Scholar] [CrossRef]
- Blinov, V.S.; Kartashov, M.V.; Zholudev, S.E.; Zornikova, O.S. Estimation of the cone-beam computed tomography in diagnostics of the molar root system anatomy of the mandible and maxilla. Radiol. Pract. 2016, 59, 6–15. [Google Scholar]
- Filpo-Perez, C.; Bramante, C.M.; Villas-Boas, M.H.; Húngaro-Duarte, M.A.; Versiani, M.A.; Ordinola-Zapata, R. Micro-computed tomographic analysis of the root canal morphology of the distal root of mandibular first molar. J. Endod. 2015, 41, 231–236. [Google Scholar] [CrossRef] [PubMed]
- Dinakar, C.; Shetty, U.A.; Salian, V.V.; Shetty, P. Root canal morphology of maxillary first premolars using the clearing technique in a south Indian population: An in vitro study. Int. J. Appl. Basic Med. Res. 2018, 8, 143–147. [Google Scholar] [CrossRef] [PubMed]
- Patel, S.; Durack, C.; Abella, F.; Shemesh, H.; Roig, M.; Lemberg, K. Cone beam computed tomography in endodontics–a review. Int. Endod. J. 2015, 48, 3–15. [Google Scholar] [CrossRef] [PubMed]
- Neelakantan, P.; Subbarao, C.; Subbarao, C.V. Comparative evaluation of modified canal staining and clearing technique, cone-beam computed tomography, peripheral quantitative computed tomography, spiral computed tomography, and plain and contrast medium–enhanced digital radiography in studying root canal morphology. J. Endod. 2010, 36, 1547–1551. [Google Scholar]
- Zheng, Q.H.; Wang, Y.; Zhou, X.D.; Wang, Q.; Zheng, G.N.; Huang, D.M. A cone-beam computed tomography study of maxillary first permanent molar root and canal morphology in a Chinese population. J. Endod. 2010, 36, 1480–1484. [Google Scholar] [CrossRef]
- Vertucci, F.J. Root canal anatomy of the human permanent teeth. Oral Surg. Oral Med. Oral Pathol. 1984, 58, 589–599. [Google Scholar] [CrossRef]
- Martins, J.; Kishen, A.; Marques, D.; Nogueira Leal Silva, E.; Caramês, J.; Mata, A.; Versiani, M. Preferred Reporting Items for Epidemiologic Cross-sectional Studies on Root and Root Canal Anatomy Using Cone-beam Computed Tomographic Technology: A Systematized Assessment. J. Endod. 2020, 46, 915–935. [Google Scholar] [CrossRef]
- Domark, J.D.; Hatton, J.F.; Benison, R.P.; Hildebolt, C.F. An ex vivo comparison of digital radiography and cone-beam and micro computed tomography in the detection of the number of canals in the mesiobuccal roots of maxillary molars. J. Endod. 2013, 39, 901–905. [Google Scholar] [CrossRef]
- Al-Zubaidi, S.M.; Almansour, M.I.; Al-Mansour, N.N.; Alshammari, A.S.; Alshammari, A.F.; Altamimi, Y.S.; Madfa, A.A. Assessment of root morphology and canal configuration of maxillary premolars in a Saudi subpopulation: A cone-beam computed tomographic study. BMC Oral Health 2021, 21, 397. [Google Scholar] [CrossRef]
- Khanna, A.B. Applications of cone beam computed tomography in endodontics. Evid.-Based Endod. 2020, 5, 1. [Google Scholar] [CrossRef]
- American Association of Endodontics and American Academy of Oral and Maxillofacial Radiology. AAE and AAOMR joint position statement: Use of cone beam computed tomography in endodontics 2015 update. J. Endod. 2015, 41, 1393–1396. [Google Scholar] [CrossRef] [PubMed]
- Bauman, R.; Scarfe, W.; Clark, S.; Morelli, J.; Scheetz, J.; Farman, A. Ex vivo detection of mesiobuccal canals in maxillary molars using CBCT at four different isotropic voxel dimensions. Int. Endod. J. 2011, 44, 752–758. [Google Scholar] [CrossRef] [PubMed]
- Al-Shehri, S.; Al-Nazhan, S.; Shoukry, S.; Al-Shwaimi, E.; Al-Sadhan, R.; Al-Shemmery, B. Root and canal configuration of the maxillary first molar in a Saudi subpopulation: A cone-beam computed tomography study. Saudi. Endod. J. 2017, 7, 69–76. [Google Scholar]
- Vizzotto, M.B.; Silveira, P.F.; Arús, N.A.; Montagner, F.; Gomes, B.P.; da Silveira, H.E. CBCT for the assessment of second mesiobuccal (MB2) canals in maxillary molar teeth: Effect of voxel size and presence of root filling. Int. Endod. J. 2013, 46, 870–876. [Google Scholar] [CrossRef]
- Silva, E.J.; Nejaim, Y.; Silva, A.I.; Haiter-Neto, F.; Zaia, A.A.; Cohenca, N. Evaluation of root canal configuration of maxillary molars in a Brazilian population using cone-beam computed tomographic imaging: An in vivo study. J. Endod. 2014, 40, 173–176. [Google Scholar] [CrossRef]
- Görduysus, M.O.; Görduysus, M.; Friedman, S. Operating microscope improves negotiation of second mesiobuccal canals in maxillary molars. J. Endod. 2001, 27, 683–686. [Google Scholar] [CrossRef]
- Pan, J.Y.Y.; Parolia, A.; Chuah, S.R.; Bhatia, S.; Mutalik, S.; Pau, A. Root canal morphology of permanent teeth in a Malaysian subpopulation using cone-beam computed tomography. BMC Oral Health. 2019, 19, 14. [Google Scholar] [CrossRef]
- Aktan, A.M.; Yildirim, C.; Culha, E.; Demir, E.; Ertugrul-Ciftci, M. Detection of Second Mesiobuccal Canals in Maxillary First Molars Using a New Angle of Cone Beam Computed Tomography. Iran. J. Radiol. 2016, 13, e31155. [Google Scholar] [CrossRef]
- Martins, J.N.R.; Alkhawas, M.A.M.; Altaki, Z.; Bellardini, G.; Berti, L.; Boveda, C.; Chaniotis, A.; Flynn, D.; Gonzalez, J.A.; Kottoor, J.; et al. Worldwide Analyses of Maxillary First Molar Second Mesiobuccal Prevalence: A Multicenter Cone-beam Computed Tomographic Study. J. Endod. 2018, 44, 1641–1649.e1. [Google Scholar] [CrossRef]
- Alfouzan, K.; Alfadley, A.; Alkadi, L.; Alhezam, A.; Jamleh, A. Detecting the Second Mesiobuccal Canal in Maxillary Molars in a Saudi Arabian Population: A Micro-CT Study. Scanning 2019, 2019, 9568307. [Google Scholar] [CrossRef] [PubMed]
- Al Mheiri, E.; Chaudhry, J.; Abdo, S.; El Abed, R.; Khamis, A.H.; Jamal, M. Evaluation of root and canal morphology of maxillary permanent first molars in an Emirati population; a cone-beam computed tomography study. BMC Oral Health 2020, 20, 274. [Google Scholar] [CrossRef] [PubMed]
- Martins, J.N.; Marques, D.; Mata, A.; Caramês, J. Root and root canal morphology of the permanent dentition in a Caucasian population: A cone-beam computed tomography study. Int. Endod. J. 2017, 50, 1013–1026. [Google Scholar] [CrossRef] [PubMed]
- Hiebert, B.M.; Abramovitch, K.; Rice, D.; Torabinejad, M. Prevalence of second mesiobuccal canals in maxillary first molars detected using cone-beam computed tomography, direct occlusal access, and coronal plane grinding. J. Endod. 2017, 43, 1711–1715. [Google Scholar] [CrossRef]
- Abarca, J.; Gómez, B.; Zaror, C.; Monardes, H.; Bustos, L.; Cantin, M. Assessment of mesial root morphology and frequency of MB2 canals in maxillary molars using cone beam computed tomography. Int. J. Morphol. 2015, 33, 1333–1337. [Google Scholar] [CrossRef]
- Kim, S.Y.; Kim, B.S.; Woo, J.; Kim, Y. Morphology of mandibular first molars analyzed by cone-beam computed tomography in a Korean population: Variations in the number of roots and canals. J. Endod. 2013, 39, 1516–1521. [Google Scholar] [CrossRef]
- Guo, J.; Vahidnia, A.; Sedghizadeh, P.; Enciso, R. Evaluation of root and canal morphology of maxillary permanent first molars in a North American population by cone-beam computed tomography. J. Endod. 2014, 40, 635–639. [Google Scholar] [CrossRef]
- Ratanajirasut, R.; Panichuttra, A.; Panmekiate, S. A cone-beam computed tomographic study of root and canal morphology of maxillary first and second permanent molars in a Thai population. J. Endod. 2018, 44, 56–61. [Google Scholar] [CrossRef]
- Martins, J.N.R.; Gu, Y.; Marques, D.; Francisco, H.; Caramês, J. Differences on the root and root canal morphologies between Asian and Caucasian ethnic groups analyzed by cone beam computed tomography. J. Endod. 2018, 44, 1096–1104. [Google Scholar] [CrossRef] [PubMed]
- Miloglu, O.; Arslan, H.; Barutcigil, C.; Cantekin, K. Evaluating root and canal configuration of mandibular first molars with cone beam computed tomography in a Turkish population. J. Dent. Sci. 2013, 8, 80–86. [Google Scholar] [CrossRef]
- Ahmed, H.A.; Abu-bakr, N.H.; Yahia, N.A.; Ibrahim, Y.E. Root and canal morphology of permanent mandibular molars in a Sudanese population. Int. Endod. J. 2007, 40, 766–771. [Google Scholar] [CrossRef] [PubMed]
- Betancourt, P.; Navarro, P.; Muñoz, G.; Fuentes, R. Prevalence and location of the secondary mesiobuccal canal in 1,100 maxillary molars using cone beam computed tomography. BMC Med. Imaging. 2016, 16, 66. [Google Scholar] [CrossRef] [PubMed]
- Jing, Y.; Ye, X.; Liu, D.; Zhang, Z.; Ma, X. Cone-beam computed tomography was used for study of root and canal morphology of first and second molars. Beijing Da Xue Xue Bao. Yi Xue Ban J. Peking Univ. Health Sci. 2014, 46, 958–962. [Google Scholar]
- Altunsoy, M.; Ok, E.; Nur, B.; Aglarci, O.; Gungor, E.; Colak, M. Root canal morphology analysis of maxillary permanent first and second molars in a southeastern Turkish population using cone-beam computed tomography. J. Dent. Sci. 2015, 10, 401–407. [Google Scholar] [CrossRef][Green Version]
- Naseri, M.; Safi, Y.; Akbarzadeh-Baghban, A.; Khayat, A.; Eftekhar, L. Survey of Anatomy and Root Canal Morphology of Maxillary First Molars Regarding Age and Gender in an Iranian Population Using Cone-Beam Computed Tomography. Iran. Endod. J. 2016, 11, 298–303. [Google Scholar] [PubMed]
- Deng, P.U.; Halim, M.S.; Masudi, S.M.; Al-Shehadat, S.; Ahmad, B. Cone-beam computed tomography analysis on root and canal morphology of mandibular first permanent molar among multiracial population in East Coast Malaysian population. Eur. J. Dent. 2018, 12, 410–416. [Google Scholar] [CrossRef] [PubMed]
- Wolf, T.G.; Paqué, F.; Zeller, M.; Willershausen, B.; Briseño-Marroquín, B. Root Canal Morphology and Configuration of 118 Mandibular First Molars by Means of Micro-Computed Tomography: An Ex Vivo Study. J Endod. 2016, 42, 610–614. [Google Scholar] [CrossRef]
- Briseño-Marroquín, B.; Paqué, F.; Maier, K.; Willershausen, B.; Wolf, T.G. Root Canal Morphology and Configuration of 179 Maxillary First Molars by Means of Micro-computed Tomography: An Ex Vivo Study. J Endod. 2015, 41, 2008–2013. [Google Scholar] [CrossRef]



| Variables | Mean ± SD n (%) | |
|---|---|---|
| Age (years) | 26.95 ± 10.65 | |
| Gender | Male | 59 (48.0%) |
| Female | 64 (52.0%) | |
| Nationality | Saudi | 123 (100.0%) |
| Variables | n (%) | ||
|---|---|---|---|
| Tooth # 16 (first molar right side) | mesio-buccal (MB) | I | 107 (87.0%) |
| II | 4 (3.3%) | ||
| III | 0 (0%) | ||
| IV | 12 (9.8%) | ||
| distobuccal (DB) | I | 123 (100.0%) | |
| Palatal | I | 122 (99.2%) | |
| Mesiopalatal MP (I) | 1 (0.8%) | ||
| other configuration | Second mesiobuccal canal MB2 (I) | 10 (8.1%) | |
| Disto-palatal DP (I) | 1 (0.8%) | ||
| No | 112 (91.1%) | ||
| Number of Roots | 3 | 111 (90.2%) | |
| 4 | 12 (9.8%) | ||
| Number of Canals | 3 | 97 (78.9%) | |
| 4 | 26 (21.1%) | ||
| Tooth # 26 (first molar left side) | mesio-buccal (MB) | I | 104 (84.6%) |
| II | 7 (5.7%) | ||
| IV | 12 (9.8%) | ||
| Disto buccal (DB) | I | 123 (100.0%) | |
| Palatal | I | 122 (99.2%) | |
| Mesiopalatal (I) | 1 (0.8%) | ||
| other configuration | Second mesiobuccal canal.MB2 (I) | 10 (8.1%) | |
| Disto-palatal DP (I) | 1 (0.8%) | ||
| No | 112 (91.1%) | ||
| Number of Roots | 3 | 111 (90.2%) | |
| 4 | 12 (9.8%) | ||
| Number of Canals | 3 | 94 (76.4%) | |
| 4 | 29 (23.6%) | ||
| Variable | n (%) | ||
|---|---|---|---|
| Tooth # 36 (first molar left side) | mesio-buccal (MB) | I | 123 (100.0%) |
| Mesiolingual (ML) | I | 122 (99.2%) | |
| II | 1 (0.8%) | ||
| Distal | I | 91 (74.0%) | |
| II | 9 (7.3%) | ||
| III | 2 (1.6%) | ||
| IV | 3 (2.4%) | ||
| V | 3 (2.4%) | ||
| Distobuccal (I) | 15 (12.2%) | ||
| other configuration | Distolingual (I) | 15 (12.2%) | |
| No | 108 (87.8%) | ||
| Number of Roots | 1 | 1 (0.8%) | |
| 2 | 2 (1.6%) | ||
| 3 | 105 (85.4%) | ||
| 4 | 15 (12.2%) | ||
| Number of Canals | 1 | 1 (0.8%) | |
| 2 | 1 (0.8%) | ||
| 3 | 90 (73.2%) | ||
| 4 | 31 (25.2%) | ||
| Tooth # 46 (first molar right side) | mesio-buccal (MB) | I | 123 (100.0%) |
| Mesiolingual (ML) | I | 122 (99.2%) | |
| II | 1 (0.8%) | ||
| Distal | I | 91 (74.0%) | |
| II | 7 (5.7%) | ||
| III | 2 (1.6%) | ||
| IV | 5 (4.1%) | ||
| V | 2 (1.6%) | ||
| Distobuccal (I) | 16 (13.0%) | ||
| other configuration | Distolingual (I) | 16 (13.0%) | |
| No | 107 (87.0%) | ||
| Number of Roots | 2 | 2 (1.6%) | |
| 3 | 105 (85.4%) | ||
| 4 | 16 (13.0%) | ||
| Number of Canals | 2 | 1 (0.8%) | |
| 3 | 91 (74.0%) | ||
| 4 | 31 (25.2%) | ||
| Variable | Male Mean ± S.D n (%) | Female Mean ± S.D n (%) | p-Value | ||
|---|---|---|---|---|---|
| Age (years) | 27.57 ± 11.32 | 26.37 ± 10.05 | 0.534 | ||
| Nationality | Saudi | 59 (100.0%) | 64 (100.0%) | - | |
| Tooth # 16 (first molar right side) | mesio-buccal (MB) | I | 48 (81.4%) | 59 (92.2$) | 0.195 |
| II | 3 (5.1%) | 1 (1.6%) | |||
| IV | 8 (13.6%) | 4 (6.3%) | |||
| distobuccal (DB) | I | 59 (100.0%) | 64 (100.0%) | - | |
| Palatal | I | 58 (98.3%) | 64 (100.0%) | 0.296 | |
| Mesiopalatal MP (I) | 1 (1.7%) | 0 (0.0%) | |||
| other configuration | Second mesiobuccal canal. MB2 (I) | 7 (11.9%) | 3 (4.7%) | 0.193 | |
| Disto-palatal DP (I) | 1 (1.7%) | 0 (0.0%) | |||
| No | 51 (86.4%) | 61 (95.3%) | |||
| Number of Roots | 3 | 51 (86.4%) | 60 (93.8%) | 0.172 | |
| 4 | 8 (13.6%) | 4 (6.3%) | |||
| Number of Canals | 3 | 40 (67.8%) | 57 (89.1%) | 0.004 | |
| 4 | 19 (32.2%) | 7 (10.9%) | |||
| Tooth # 26 (first molar left side) | mesio-buccal (MB) | I | 45 (76.3%) | 59 (92.2%) | 0.050 |
| II | 5 (8.5%) | 2 (3.1%) | |||
| IV | 9 (15.3%) | 3 (4.7%) | |||
| distobuccal (DB) | I | 59 (100.0%) | 64 (100.0%) | - | |
| Palatal | I | 58 (98.3%) | 64 (100.0%) | 0.296 | |
| Mesiopalatal MP (I) | 1 (1.7%) | 0 (0.0%) | |||
| other configuration | Second mesiobuccal canal. MB2 (I) | 7 (11.9%) | 3 (4.7%) | 0.193 | |
| Disto-palatal DP (I) | 1 (1.7%) | 0 (0.0%) | |||
| NO | 51 (86.4%) | 61 (95.3%) | |||
| Number of Roots | 3 | 51 (86.4%) | 60 (93.8%) | 0.172 | |
| 4 | 8 (13.6%) | 4 (6.3%) | |||
| Number of Canals | 3 | 37 (62.7%) | 57 (89.1%) | 0.001 | |
| 4 | 22 (37.3%) | 7 (10.9%) | |||
| Variable | Male n (%) | Female n (%) | p-Value | ||
|---|---|---|---|---|---|
| Tooth #36 (first molar left side) | Mesio-buccal (MB) | I | 59 (100.0%) | 64 (100.0%) | - |
| Mesiolingual (ML) | I | 59 (100.0%) | 63 (98.4%) | 0.335 | |
| II | 0 (0.0%) | 1 (1.6%) | |||
| Distal | I | 41 (69.5%) | 50 (78.1%) | 0.449 | |
| II | 4(6.8%) | 5 (7.8%) | |||
| III | 1 (1.7%) | 1 (1.6%) | |||
| IV | 1 (1.7%) | 2 (3.1%) | |||
| V | 3 (5.1%) | 0 (0.0%) | |||
| Distobuccal (I) | 9 (15.3%) | 6 (9.4%) | |||
| other configuration | Distolingual (I) | 9 (15.3%) | 6 (9.4%) | 0.320 | |
| No | 50 (84.7%) | 58 (90.6%) | |||
| Number of Roots | 1 | 1 (1.7%) | 0 (0.0%) | 0.276 | |
| 2 | 0 (0.0%) | 2 (3.1%) | |||
| 3 | 49 (83.1%) | 56 (87.5%) | |||
| 4 | 9 (15.3%) | 6 (9.4%) | |||
| Number of Canals | 1 | 1 (1.7%) | 0 (0.0%) | 0.293 | |
| 2 | 0 (0.0%) | 1 (1.6%) | |||
| 3 | 40 (67.8%) | 50 (78.1%) | |||
| 4 | 18 (30.5%) | 13 (20.3%) | |||
| Tooth# 46 (first molar right side) | mesio-buccal (MB) | I | 59 (100.0%) | 64 (100.0%) | - |
| mesiolingual (ML) | I | 59 (100.0%) | 63 (98.4%) | 0.335 | |
| II | 0 (0.0%) | 1 (1.6%) | |||
| Distal | I | 40 (67.8%) | 51 (79.7%) | 0.178 | |
| II | 5 (8.5%) | 2 (3.1%) | |||
| III | 0 (0.0%) | 2 (3.1%) | |||
| IV | 2 (3.4%) | 3 (4.7%) | |||
| V | 2 (3.4%) | 0 (0.0%) | |||
| Distobuccal (I) | 10 (16.9%) | 6 (9.4%) | |||
| other configuration | Distolingual (I) | 10 (16.9%) | 6 (9.4%) | 0.212 | |
| No | 49 (83.1%) | 58 (90.6%) | |||
| Number of Roots | 2 | 1 (1.7%) | 1 (1.6%) | 0.456 | |
| 3 | 48 (81.4%) | 57 (89.1%) | |||
| 4 | 10 (16.9%) | 6 (9.4%) | |||
| Number of Canals | 2 | 1 (1.7%) | 0.120 | ||
| 3 | 39 (66.1%) | 52 (81.3%) | |||
| 4 | 19 (32.2%) | 12 (18.8%) | |||
Publisher’s Note: MDPI stays neutral with regard to jurisdictional claims in published maps and institutional affiliations. |
© 2022 by the authors. Licensee MDPI, Basel, Switzerland. This article is an open access article distributed under the terms and conditions of the Creative Commons Attribution (CC BY) license (https://creativecommons.org/licenses/by/4.0/).
Share and Cite
Alhujhuj, R.R.; Jouhar, R.; Ahmed, M.A.; Almujhim, A.A.; Albutayh, M.T.; Adanir, N. Evaluation of Root Canal Configuration of Maxillary and Mandibular First Molar by CBCT: A Retrospective Cross-Sectional Study. Diagnostics 2022, 12, 2121. https://doi.org/10.3390/diagnostics12092121
Alhujhuj RR, Jouhar R, Ahmed MA, Almujhim AA, Albutayh MT, Adanir N. Evaluation of Root Canal Configuration of Maxillary and Mandibular First Molar by CBCT: A Retrospective Cross-Sectional Study. Diagnostics. 2022; 12(9):2121. https://doi.org/10.3390/diagnostics12092121
Chicago/Turabian StyleAlhujhuj, Rakan Rafdan, Rizwan Jouhar, Muhammad Adeel Ahmed, Abdullatif Abdulrahman Almujhim, Mohammed Tariq Albutayh, and Necdet Adanir. 2022. "Evaluation of Root Canal Configuration of Maxillary and Mandibular First Molar by CBCT: A Retrospective Cross-Sectional Study" Diagnostics 12, no. 9: 2121. https://doi.org/10.3390/diagnostics12092121
APA StyleAlhujhuj, R. R., Jouhar, R., Ahmed, M. A., Almujhim, A. A., Albutayh, M. T., & Adanir, N. (2022). Evaluation of Root Canal Configuration of Maxillary and Mandibular First Molar by CBCT: A Retrospective Cross-Sectional Study. Diagnostics, 12(9), 2121. https://doi.org/10.3390/diagnostics12092121

