Rare Case of Intravascular Myopericytoma—Imaging Characteristics and Review of the Literature
Abstract
1. Introduction
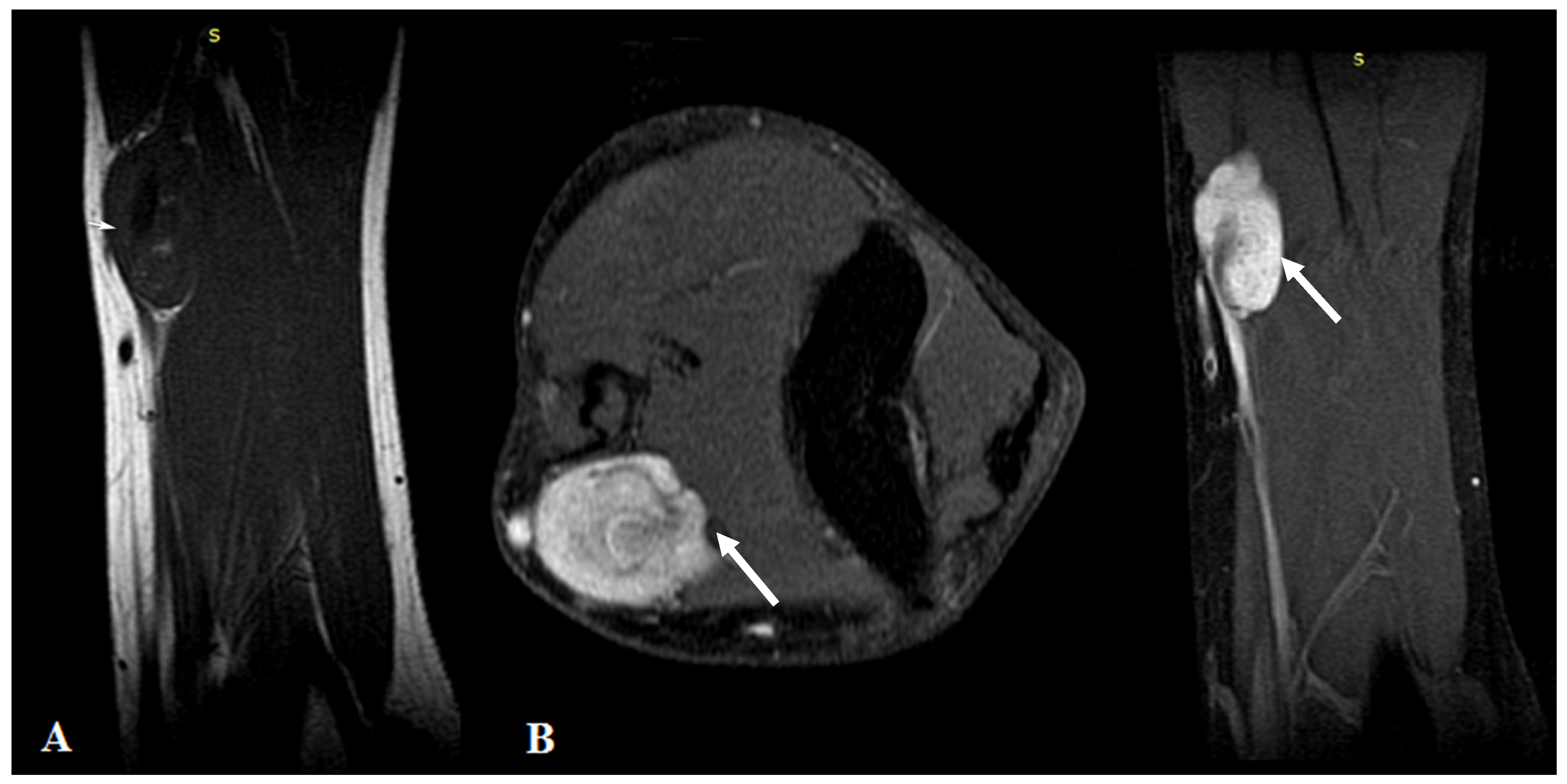
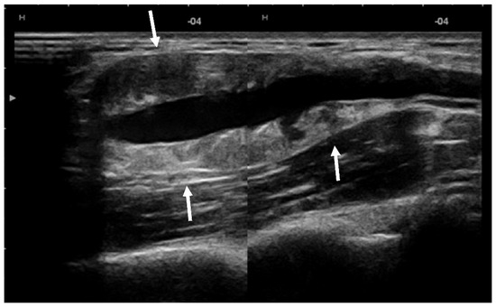
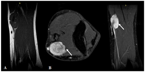
2. Case Report
3. Discussion
Author Contributions
Funding
Institutional Review Board Statement
Informed Consent Statement
Conflicts of Interest
References
- Mentzel, T.; Dei Tos, A.P.; Sapi, Z.; Kutzner, H. Myopericytoma of skin and soft tissues: Clinicopathologic and immunohistochemical study of 54 cases. Am. J. Surg. Pathol. 2006, 30, 104–113. [Google Scholar] [CrossRef] [PubMed]
- Manaster, B. Diagnostic Imaging, 2nd ed.; Elsevier: Philadelphia, PA, USA, 2016; pp. 494–499. [Google Scholar]
- Samaratunga, H.; Delahunt, B. Mesenchymal tumors of adult kidney. Semin. Diagn. Pathol. 2015, 32, 160–171. [Google Scholar] [CrossRef] [PubMed]
- Yang, P.; Shi, X.; Li, J.; Qian, L. Imaging features of myopericytoma of the breast: A case report and review of the literature. Radiol. Case Rep. 2020, 16, 98–102. [Google Scholar] [CrossRef]
- Granter, S.R.; Badizadegan, K.; Fletcher, C.D. Myofibromatosis in adults, glomangiopericytoma, and myopericytoma: A spectrum of tumors showing perivascular myoid differentiation. Am. J. Surg. Pathol. 1998, 22, 513–525. [Google Scholar] [CrossRef] [PubMed]
- Zhao, M.; Williamson, S.R.; Sun, K.; Zhu, Y.; Li, C.; Xia, W.; Qi, H.; Wang, L.; Linos, K.; Cheng, L. Benign perivascular myoid cell tumor (myopericytoma) of the urinary tract: A report of 2 cases with an emphasis on differential diagnosis. Hum. Pathol. 2014, 45, 1115–1121. [Google Scholar] [CrossRef] [PubMed]
- Lau, S.K.; Klein, R.; Jiang, Z.; Weiss, L.M.; Chu, P.G. Myopericytoma of the kidney. Hum Pathol. 2010, 41, 1500–1504. [Google Scholar] [CrossRef]
- Lau, P.P.L.; Wong, O.-K.; Lui, P.C.; Cheung, O.-Y.; Ho, L.-C.; Wong, W.-C.; To, K.-F.; Chan, J.K.C. Myopericytoma in patients with AIDS: A new class of epstein-barr virus-associated tumor. Am. J. Surg. Pathol. 2009, 33, 1666e72. [Google Scholar] [CrossRef] [PubMed]
- Calderaro, J.; Polivka, M.; Gallien, S.; Bertheau, P.; Thiebault, J.B.; Molina, J.M.; Gray, F. Multifocal Epstein Barr virus (EBV)-associated myopericytoma in a patient with aids. Neuropathol. Appl. Neurobiol. 2008, 34, 115e7. [Google Scholar] [CrossRef]
- McMenamin, M.E.; Calonje, E. Intravascular myopericytoma. J. Cutan. Pathol. 2002, 29, 557–561. [Google Scholar] [CrossRef]
- Woollard, A.C.; Southgate, C.; Blair, J.W. Intravascular myopericytoma of the superficial palmar arch. J. Hand Surg. Eur. Vol. 2007, 32, 475–476. [Google Scholar] [CrossRef]
- Ide, F.; Obara, K.; Yamada, H.; Mishima, K.; Saito, I. Intravascular myopericytoma of the oral mucosa: A rare histologic variant in an uncommon location. Virchows Arch. 2007, 450, 475–477. [Google Scholar] [CrossRef] [PubMed]
- Xia, C.Y.; Liu, H.; Xu, T.; Wang, J. Intravascular myopericytoma beside the shinbone: A rare histological variant. J. Clin. Pathol. 2009, 62, 862–863. [Google Scholar] [CrossRef] [PubMed]
- Park, H.J.; Lee, D.R.; Park, M.Y.; Choi, Y.S.; Lee, D.B. A case of intravascular myopericytoma. J. Clin. Pathol. 2010, 63, 847–848. [Google Scholar] [CrossRef] [PubMed]
- Ko, J.Y.; Choi, W.J.; Kang, H.S.; Yu, H.J.; Park, M.H. Intravascular myopericytoma: An interesting case of a long-standing large, painful subcutaneous tumor. Pathol. Int. 2011, 61, 161–164. [Google Scholar] [CrossRef]
- Mahapatra, P.; Dunne, J.; Colville, R.J. Digital artery intravascular myopericytoma—A rare cause of a painful finger. J. Hand Surg. Eur. Vol. 2015, 40, 753–754. [Google Scholar] [CrossRef]
- Valero, J.; Salcini, J.L.; Gordillo, L.; Gallart, J.; González, D.; Deus, J.; Lahoz, M. Intravascular myopericytoma in the heel: Case report and literature review. Medicine 2015, 94, e642. [Google Scholar] [CrossRef]
- Agustí, J.; Peñas, L.; Bosch, N. Intravascular Myopericytoma of the Plantar Region: Case Report and Discussion of the Probable Origin from a Cutaneous Vascular Malformation. Am. J. Dermatopathol. 2016, 38, 546–548. [Google Scholar] [CrossRef]
- Kagoyama, K.; Makino, T.; Minamisaka, T.; Shimizu, T. Intravascular myopericytoma on the right dorsal foot. Eur. J. Dermatol. 2020, 30, 736–737. [Google Scholar] [CrossRef]
- Pintican, R.; Duma, M.; Chiorean, A.; Fetica, B.; Badan, M.; Bura, V.; Szep, M.; Feier, D.; Dudea, S. Mucinous versus medullary breast carcinoma: Mammography, ultrasound, and MRI findings. Clin. Radiol. 2020, 75, 483–496. [Google Scholar] [CrossRef]
- Peters, K.; Caracciolo, J.T.; Henderson-Jackson, E.; Binitie, O. Myopericytoma/myopericytomatosis of the lower extremity in two young patients: A recently designated rare soft tissue neoplasm. Radiol. Case Rep. 2017, 13, 275–280. [Google Scholar] [CrossRef]
- Seen, K.F. A case review of myopericytoma: Radiological, macroscopic and histological correlation. Pathology 2014, 46 (Suppl. S1), S69. [Google Scholar] [CrossRef]
- McMenamin, M.E.; Fletcher, C.D. Malignant myopericytoma: Expanding the spectrum of tumours with myopericytic differentiation. Histopathology 2002, 41, 450–460. [Google Scholar] [CrossRef] [PubMed]
- Harish, S.; Donnell, P.O.; Briggs, T.W.R.; Saifuddin, A.; Flanagan, A.M. Myopericytoma in Kager’s fat pad. Skelet. Radiol. 2007, 36, 165–169. [Google Scholar] [CrossRef]
- Chen, Z.; Liang, W. Myopericytoma occurrence in the liver and stomach space: Imaging performance. BMC Cancer 2017, 17, 143. [Google Scholar] [CrossRef]
- Chaskes, M.B.; Bishop, J.W.; Bobinski, M.; Farwell, D.G. Myopericytoma of the Neck Originating in the Middle Scalene Muscle: A Case Report. ENT J. 2017, 96, E5–E7. [Google Scholar] [CrossRef] [PubMed][Green Version]
- Holling, M.; Wildforster, U.; Verheggen, R.; Muller, K.; Stummer, W.; Jeibmann, A. Myopericytoma: A series of 5 cases affecting the nervous system. World Neurosurg. 2015, 84, 1493–1495. [Google Scholar] [CrossRef] [PubMed]
- Chu, Z.; Yu, J.; Yang, Z.; Zhu, Z.; Yuan, H. Myopericytoma involving the parotid gland as depicted on multidetector CT. Korean J. Radiol. 2009, 10, 398–401. [Google Scholar] [CrossRef] [PubMed]
- Li, G.; Qiu, S. Neurodevelopmental underpinnings of Angelman Syndrome. OMICS J. Radiol. 2014, 6, 052056. [Google Scholar] [CrossRef]
- Kuo, A.H.; Nagpal, P.; Ghoshhajra, B.B.; Hedgire, S.S. Vascular magnetic resonance angiography techniques. Cardiovasc. Diagn. Ther. 2019, 9 (Suppl. S1), S28–S36. [Google Scholar] [CrossRef]
- Ersoy, H.; Rybicki, F.J. MR angiography of the lower extremities. AJR Am. J. Roentgenol. 2008, 190, 1675–1684. [Google Scholar] [CrossRef]





| Author, Year * | Age/Sex | Blood Vessel | Site | Imaging Modality |
|---|---|---|---|---|
| McMenamin et al., 2002 | Man/54 | Artery | Thigh | NA |
| Woolard Ac et al., 2007 | Man/54 | Artery | Hand | NA |
| Ide F et al., 2007 | Woman/45 | Artery | Oral | NA |
| Xia CY et al., 2009 | Man/50 | Vein | Thigh | MRI |
| Park HJ et al., 2010 | Woman/9 | Vein | Infraorbital | NA |
| Ko Jy et al., 2011 | Man/67 | Vein | Thigh | NA |
| Mahapatra P et al., 2014 | Woman/59 | Artery | Hand | MRI |
| Valero J et al., 2015 | Man/48 | Vein | Foot | US |
| Augusti j et al., 2016 | Woman/63 | Arterio-venous malformation | Foot | NA |
| Kagoyama K et al., 2020 | Man/78 | Vein | Foot | US |
| Authors/Year | Imaging Modality | Role of Imaging Modalities and Tumor Characteristics |
|---|---|---|
| Koh Fong Seen/2014 | CT | N/A Avid, homogeneous enhancement |
| Peters K et al./2018 | N/A | |
| MRI | - Ill-defined, nodular mass with T2 hyperintense SI and avid enhancement suggestive of myopericitomatosis | |
| - Blood products | ||
| - Surrounding edema | ||
| CT | - Small foci of calcifications | |
| PeiPei Yang et al./2020 * | Both can provide morphological details | |
| CEUS | - Irregular non-enhancement mass | |
| MRI | - Avid, heterogeneous enhancement | |
| Manole et al./2022 | US | First-line imaging tool |
| - detection and characterization | ||
| - assessment of the vessel | ||
| - follow-up | ||
| MRI | Second-line imaging tool | |
| - boundaries and relation with surrounding structures | ||
| - +/−invading features | ||
| - soft tissue edema | ||
| - distant metastasis |
Publisher’s Note: MDPI stays neutral with regard to jurisdictional claims in published maps and institutional affiliations. |
© 2022 by the authors. Licensee MDPI, Basel, Switzerland. This article is an open access article distributed under the terms and conditions of the Creative Commons Attribution (CC BY) license (https://creativecommons.org/licenses/by/4.0/).
Share and Cite
Manole, S.; Pintican, R.; Manole, V.; Rusneac, C.; Schiau, C.; Bene, I.; Solomon, C.; Dudea, S. Rare Case of Intravascular Myopericytoma—Imaging Characteristics and Review of the Literature. Diagnostics 2022, 12, 2473. https://doi.org/10.3390/diagnostics12102473
Manole S, Pintican R, Manole V, Rusneac C, Schiau C, Bene I, Solomon C, Dudea S. Rare Case of Intravascular Myopericytoma—Imaging Characteristics and Review of the Literature. Diagnostics. 2022; 12(10):2473. https://doi.org/10.3390/diagnostics12102473
Chicago/Turabian StyleManole, Simona, Roxana Pintican, Viorel Manole, Cosmin Rusneac, Calin Schiau, Ioana Bene, Carolina Solomon, and Sorin Dudea. 2022. "Rare Case of Intravascular Myopericytoma—Imaging Characteristics and Review of the Literature" Diagnostics 12, no. 10: 2473. https://doi.org/10.3390/diagnostics12102473
APA StyleManole, S., Pintican, R., Manole, V., Rusneac, C., Schiau, C., Bene, I., Solomon, C., & Dudea, S. (2022). Rare Case of Intravascular Myopericytoma—Imaging Characteristics and Review of the Literature. Diagnostics, 12(10), 2473. https://doi.org/10.3390/diagnostics12102473

