Viscosity Plane-Wave UltraSound (Vi PLUS) in the Evaluation of Thyroid Gland in Healthy Volunteers—A Preliminary Study
Abstract
1. Introduction
2. Materials and Methods
2.1. Study Population
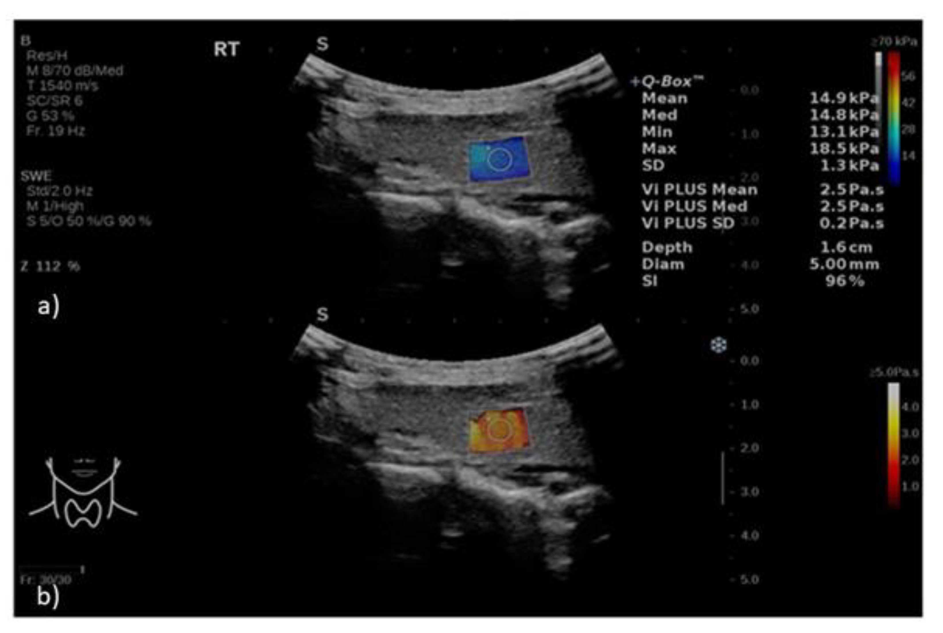
2.2. Viscosity and Shear-Wave Ultrasound Technique
2.3. Statistical Analysis
3. Results
4. Discussion
5. Conclusions
Author Contributions
Funding
Institutional Review Board Statement
Informed Consent Statement
Data Availability Statement
Conflicts of Interest
References
- Hossain, M.M.; Gallippi, C.M. Viscoelastic Response Ultrasound Derived Relative Elasticity and Relative Viscosity Reflect True Elasticity and Viscosity: In Silico and Experimental Demonstration. IEEE Trans. Ultrason. Ferroelectr. Freq. Control 2020, 67, 1102–1117. [Google Scholar] [CrossRef] [PubMed]
- Bakırtaş Palabıyık, F.; İnci, E.; Papatya Çakır, E.D.; Hocaoğlu, E. Evaluation of Normal Thyroid Tissue and Autoimmune Thyroiditis in Children Using Shear Wave Elastography. J. Clin. Res. Pediatr. Endocrinol. 2019, 11, 132–139. [Google Scholar] [CrossRef] [PubMed]
- Petersen, M.; Schenke, S.A.; Firla, J.; Croner, R.S.; Kreissl, M.C. Shear Wave Elastography and Thyroid Imaging Reporting and Data System (TIRADS) for the Risk Stratification of Thyroid Nodules-Results of a Prospective Study. Diagnostics 2022, 12, 109. [Google Scholar] [CrossRef]
- Bamber, J.; Cosgrove, D.; Dietrich, C.F.; Fromageau, J.; Bojunga, J.; Calliada, F.; Cantisani, V.; Correas, J.M.; D’Onofrio, M.; Drakonaki, E.E.; et al. EFSUMB guidelines and recommendations on the clinical use of ultrasound elastography. Part 1: Basic principles and technology. Ultraschall Med. 2013, 34, 169–184. [Google Scholar] [CrossRef]
- Sugimoto, K.; Moriyasu, F.; Oshiro, H.; Takeuchi, H.; Yoshimasu, Y.; Kasai, Y.; Furuichi, Y.; Itoi, T. Viscoelasticity Measurement in Rat Livers Using Shear-Wave US Elastography. Ultrasound Med. Biol. 2018, 44, 2018–2024. [Google Scholar] [CrossRef] [PubMed]
- Popa, A.; Bende, F.; Șirli, R.; Popescu, A.; Bâldea, V.; Lupușoru, R.; Cotrău, R.; Fofiu, R.; Foncea, C.; Sporea, I. Quantification of Liver Fibrosis, Steatosis, and Viscosity Using Multiparametric Ultrasound in Patients with Non-Alcoholic Liver Disease: A "Real-Life" Cohort Study. Diagnostics 2021, 11, 783. [Google Scholar] [CrossRef] [PubMed]
- Chen, X.; Wang, Y.; Lu, J.; Li, P. Simultaneous viscosity and elasticity measurement using laser speckle contrast imaging. Opt. Lett. 2018, 43, 1582–1585. [Google Scholar] [CrossRef]
- Zhu, Y.; Dong, C.; Yin, Y.; Chen, X.; Guo, Y.; Zheng, Y.; Shen, Y.; Wang, T.; Zhang, X.; Chen, S. The role of viscosity estimation for oil-in-gelatin phantom in shear wave based ultrasound elastography. Ultrasound Med. Biol. 2015, 41, 601–609. [Google Scholar] [CrossRef]
- Muntean, D.; Lenghel, M.; Ciurea, A.; Dudea, S. Viscosity Plane-wave UltraSound (ViPLUS) in the assessment of parotid and submandibular glands in healthy subjects—Preliminary results. Med. Ultrason. 2022, 24, 300–304. [Google Scholar] [CrossRef]
- Kara, T.; Ateş, F.; Durmaz, M.S.; Akyürek, N.; Durmaz, F.G.; Özbakır, B.; Öztürk, M. Assessment of thyroid gland elasticity with shear-wave elastography in Hashimoto’s thyroiditis patients. J. Ultrasound 2020, 23, 543–551. [Google Scholar] [CrossRef]
- Liu, Z.; Jing, H.; Han, X.; Shao, H.; Sun, Y.X.; Wang, Q.C.; Cheng, W. Shear wave elastography combined with the thyroid imaging reporting and data system for malignancy risk stratification in thyroid nodules. Oncotarget 2017, 8, 43406–43416. [Google Scholar] [CrossRef][Green Version]
- Săftoiu, A.; Gilja, O.H.; Sidhu, P.S.; Dietrich, C.F.; Cantisani, V.; Amy, D.; Bachmann-Nielsen, M.; Bob, F.; Bojunga, J.; Brock, M.; et al. The EFSUMB Guidelines and Recommendations for the Clinical Practice of Elastography in Non-Hepatic Applications: Update 2018. Ultraschall Med. 2019, 40, 425–453. [Google Scholar] [CrossRef]
- Hazem, M.; Al Jabr, I.K.; AlYahya, A.A.; Hassanein, A.G.; Algahlan, H.A.E. Reliability of shear wave elastography in the evaluation of diffuse thyroid diseases in children and adolescents. Eur. J. Radiol. 2021, 143, 109942. [Google Scholar] [CrossRef]
- Zhao, C.K.; Xu, H.X. Ultrasound elastography of the thyroid: Principles and current status. Ultrasonography 2019, 38, 106–124. [Google Scholar] [CrossRef]
- Fukuhara, T.; Matsuda, E.; Izawa, S.; Fujiwara, K.; Kitano, H. Utility of Shear Wave Elastography for Diagnosing Chronic Autoimmune Thyroiditis. J. Thyroid Res. 2015, 2015, 164548. [Google Scholar] [CrossRef]
- Rus, G.; Faris, I.H.; Torres, J.; Callejas, A.; Melchor, J. Why Are Viscosity and Nonlinearity Bound to Make an Impact in Clinical Elastographic Diagnosis? Sensors 2020, 20, 2379. [Google Scholar] [CrossRef]
- Rianna, C.; Radmacher, M. Comparison of viscoelastic properties of cancer and normal thyroid cells on different stiffness substrates. Eur. Biophys. J. 2017, 46, 309–324. [Google Scholar] [CrossRef]
- Sugimoto, K.; Moriyasu, F.; Oshiro, H.; Takeuchi, H.; Yoshimasu, Y.; Kasai, Y.; Itoi, T. Clinical utilization of shear wave dispersion imaging in diffuse liver disease. Ultrasonography 2020, 39, 3–10. [Google Scholar] [CrossRef]
- Deffieux, T.; Gennisson, J.L.; Bousquet, L.; Corouge, M.; Cosconea, S.; Amroun, D.; Tripon, S.; Terris, B.; Mallet, V.; Sogni, P.; et al. Investigating liver stiffness and viscosity for fibrosis, steatosis and activity staging using shear wave elastography. J. Hepatol. 2015, 62, 317–324. [Google Scholar] [CrossRef]
- Muntean, D.D.; Lenghel, M.L.; Petea-Balea, D.R.; Ciurea, A.I.; Solomon, C.; Dudea, S.M. Functional Evaluation of Major Salivary Glands Using Viscosity PLUS and 2D Shear-Wave PLUS Elastography Techniques in Healthy Subjects-A Pilot Study. Diagnostics 2022, 12, 1963. [Google Scholar] [CrossRef]
- Arda, K.; Ciledag, N.; Aktas, E.; Aribas, B.K.; Köse, K. Quantitative assessment of normal soft-tissue elasticity using shear-wave ultrasound elastography. AJR Am. J. Roentgenol. 2011, 197, 532–536. [Google Scholar] [CrossRef]
- Ferraioli, G.; Barr, R.G.; Farrokh, A.; Radzina, M.; Cui, X.W.; Dong, Y.; Rocher, L.; Cantisani, V.; Polito, E.; D’Onofrio, M.; et al. How to perform shear wave elastography. Part I. Med. Ultrason. 2022, 24, 95–106. [Google Scholar] [CrossRef]
- Ozturk, A.; Zubajlo, R.E.; Dhyani, M.; Grajo, J.R.; Mercaldo, N.; Anthony, B.W.; Samir, A.E. Variation of Shear Wave Elastography with Preload in the Thyroid: Quantitative Validation. J. Ultrasound Med. 2021, 40, 779–786. [Google Scholar] [CrossRef]
- Herman, J.; Sedlackova, Z.; Vachutka, J.; Furst, T.; Salzman, R.; Vomacka, J. Shear wave elastography parameters of normal soft tissues of the neck. Biomed. Pap. Med. Fac. Univ. Palacky Olomouc Czech Repub. 2017, 161, 320–325. [Google Scholar] [CrossRef]
- Dulgheriu, I.T.; Solomon, C.; Muntean, D.D.; Petea-Balea, R.; Lenghel, M.; Ciurea, A.I.; Dudea, S.M. Shear-Wave Elastography and Viscosity PLUS for the Assessment of Peripheric Muscles in Healthy Subjects: A Pre- and Post-Contraction Study. Diagnostics 2022, 12, 2138. [Google Scholar] [CrossRef]



| Descriptor | N (%)/Median (Range) |
|---|---|
| Total no subjects | 85 |
| Female | 56 (65.9%) |
| Male | 29 (34.1%) |
| Age (years) | 29 (17–81) |
| BMI groups | |
| Normal weight range (18.5–24.9) | 51 |
| Overweight range (> 25) | 33 |
| Right Lobe | Left Lobe | |||
|---|---|---|---|---|
| Viscosity (Pa.s) | Mean | 2.73 | 2.64 | p = 0.525 |
| SD | 1.12 | 0.54 | ||
| 95% CI | 2.48–2.97 | 2.52–2.76 | ||
| SWE (kPa) | Mean | 15.88 | 15.80 | p = 0.911 |
| SD | 4.24 | 5.40 | ||
| 95% CI | 14.95–16.80 | 14.61–16.98 |
| Viscosity (Pa.s) | SWE (kPa) | |
|---|---|---|
| Mean± SD | 2.63 ± 0.47 | 15.89 ± 4.25 |
| 95% CI | 2.52–2.73 | 14.98–16.81 |
| Min | 1.53 | 6.7 |
| Max | 3.95 | 33.65 |
| Male | Female | |||
|---|---|---|---|---|
| Viscosity (Pa.s) | Mean | 2.67 | 2.60 | p = 0.501 |
| SD | 0.59 | 0.39 | ||
| 95% CI | 2.50–2.85 | 2.48–2.73 | ||
| SWE (kPa) | Mean | 15.60 | 16.04 | p = 0.655 |
| SD | 4.23 | 4.29 | ||
| 95% CI | 14.03–17.18 | 14.91–17.18 |
| Age Group (17–29) | Age Group (30–50) | Age Group (51–81) | |||
|---|---|---|---|---|---|
| Viscosity (Pa.s) | Mean | 2.63 | 2.65 | 2.60 | p= 0.958 |
| SD | 0.48 | 0.50 | 0.43 | ||
| 95% CI | 2.49–2.76 | 2.41–2.90 | 2.40–2.81 | ||
| SWE (kPa) | Mean | 15.56 | 17.22 | 15.72 | p= 0.413 |
| SD | 3.84 | 5.96 | 3.73 | ||
| 95% CI | 14.35–16.77 | 15.03–19.41 | 13.87–17.57 |
| Normal Weighted (BMI = 18.5–24.9) | Overweighted (BMI > 25) | |||
|---|---|---|---|---|
| Viscosity (Pa.s) | Mean | 2.52 | 2.79 | p = 0.009 |
| SD | 0.44 | 0.47 | ||
| 95% CI | 2.40–2.65 | 2.63–2.95 | ||
| SWE (kPa) | Mean | 15.12 | 17.11 | p = 0.035 |
| SD | 3.90 | 4.55 | ||
| 95% CI | 13.97–16.27 | 15.67–18.55 |
Publisher’s Note: MDPI stays neutral with regard to jurisdictional claims in published maps and institutional affiliations. |
© 2022 by the authors. Licensee MDPI, Basel, Switzerland. This article is an open access article distributed under the terms and conditions of the Creative Commons Attribution (CC BY) license (https://creativecommons.org/licenses/by/4.0/).
Share and Cite
Petea-Balea, D.-R.; Solomon, C.; Muntean, D.D.; Dulgheriu, I.-T.; Silaghi, C.A.; Dudea, S.M. Viscosity Plane-Wave UltraSound (Vi PLUS) in the Evaluation of Thyroid Gland in Healthy Volunteers—A Preliminary Study. Diagnostics 2022, 12, 2474. https://doi.org/10.3390/diagnostics12102474
Petea-Balea D-R, Solomon C, Muntean DD, Dulgheriu I-T, Silaghi CA, Dudea SM. Viscosity Plane-Wave UltraSound (Vi PLUS) in the Evaluation of Thyroid Gland in Healthy Volunteers—A Preliminary Study. Diagnostics. 2022; 12(10):2474. https://doi.org/10.3390/diagnostics12102474
Chicago/Turabian StylePetea-Balea, Diana-Raluca, Carolina Solomon, Delia Doris Muntean, Ioana-Teofana Dulgheriu, Cristina Alina Silaghi, and Sorin Marian Dudea. 2022. "Viscosity Plane-Wave UltraSound (Vi PLUS) in the Evaluation of Thyroid Gland in Healthy Volunteers—A Preliminary Study" Diagnostics 12, no. 10: 2474. https://doi.org/10.3390/diagnostics12102474
APA StylePetea-Balea, D.-R., Solomon, C., Muntean, D. D., Dulgheriu, I.-T., Silaghi, C. A., & Dudea, S. M. (2022). Viscosity Plane-Wave UltraSound (Vi PLUS) in the Evaluation of Thyroid Gland in Healthy Volunteers—A Preliminary Study. Diagnostics, 12(10), 2474. https://doi.org/10.3390/diagnostics12102474

