Application of a Deep Learning Algorithm for Combined Super-Resolution and Partial Fourier Reconstruction Including Time Reduction in T1-Weighted Precontrast and Postcontrast Gradient Echo Imaging of Abdominopelvic MR Imaging
Abstract
1. Introduction
2. Material and Methods
2.1. Study Design
2.2. Acquisition Parameters
2.3. Deep Learning Super-Resolution Postprocessing
2.4. Image Analysis
2.5. Statistical Analysis
3. Results
3.1. Patient Cohort
3.2. Image Analysis
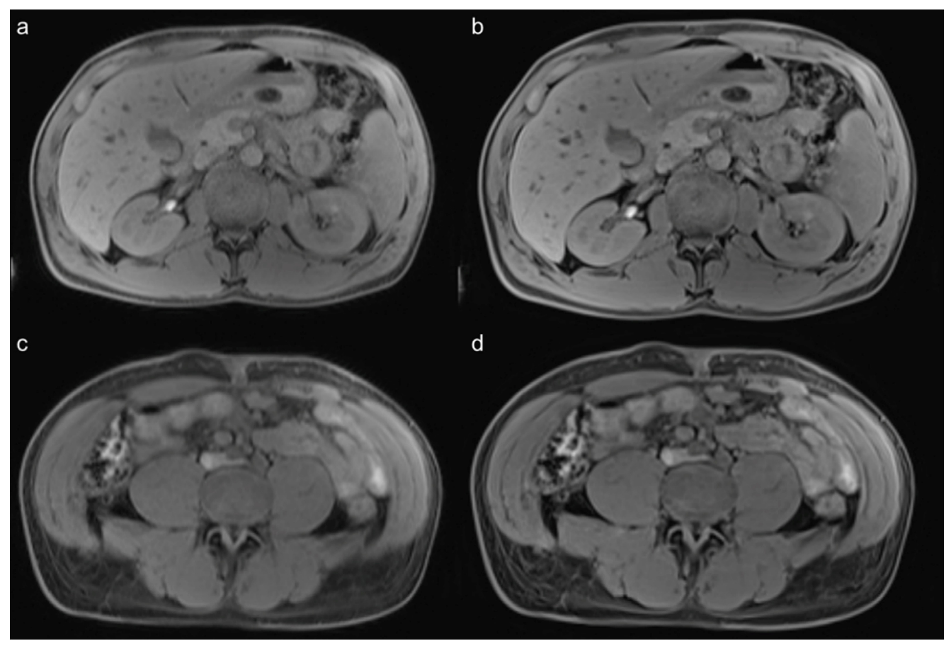
3.3. Qualitative Results of the Precontrast Images
3.4. Qualitative Results of the Postcontrast Images
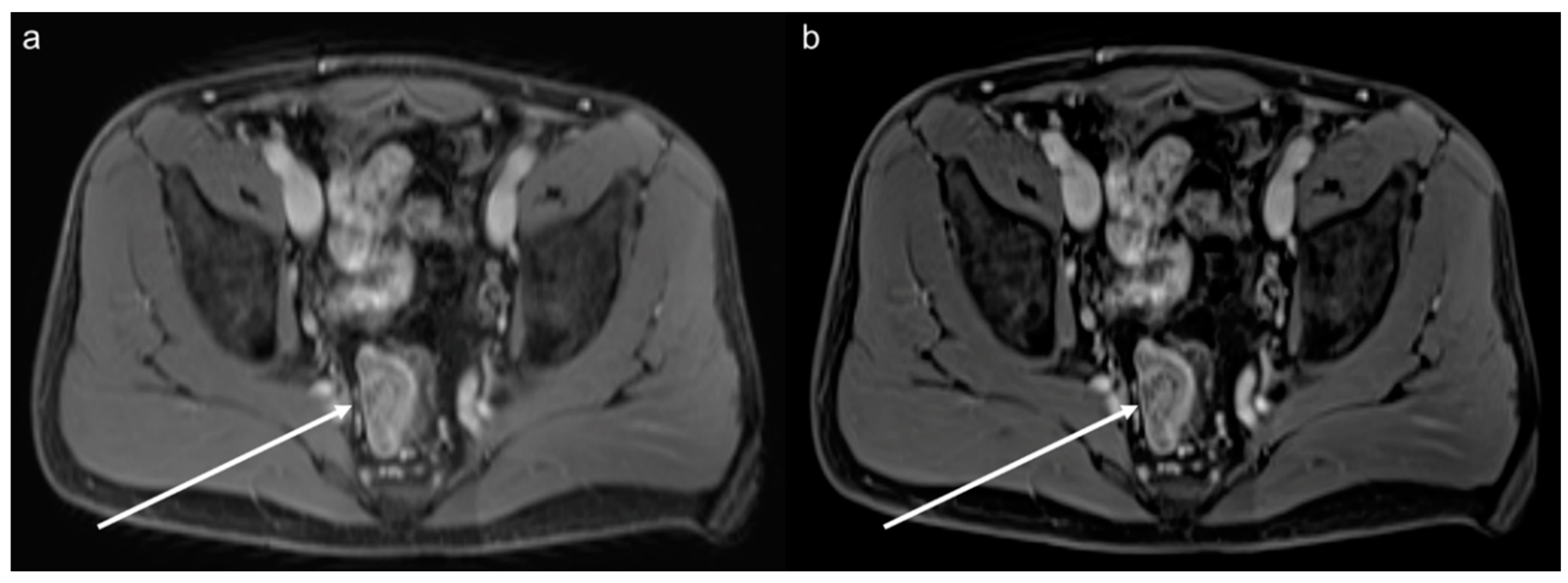
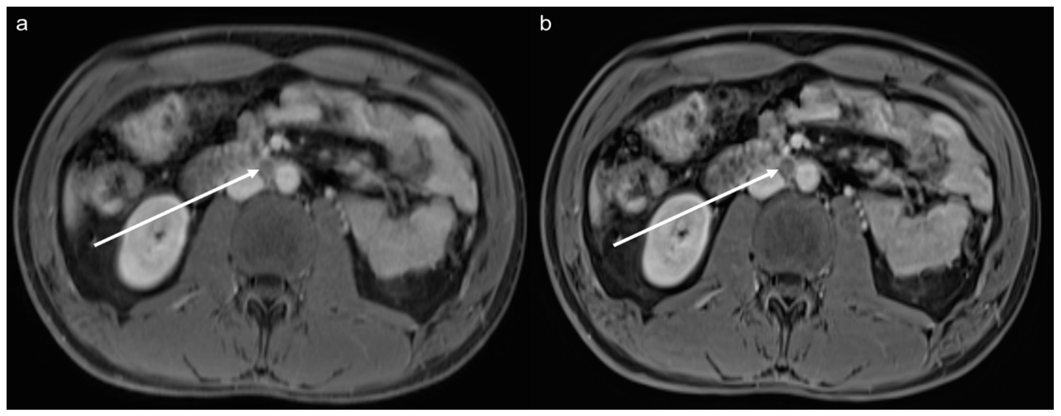
3.5. Lesion Assessment
3.6. Acquisition Time
4. Discussion
Limitations
Author Contributions
Funding
Institutional Review Board Statement
Informed Consent Statement
Data Availability Statement
Conflicts of Interest
References
- Caraiani, C.; Yi, D.; Petresc, B.; Dietrich, C. Indications for abdominal imaging: When and what to choose? J. Ultrason. 2020, 20, e43–e54. [Google Scholar] [CrossRef]
- Kilcoyne, A.; Kaplan, J.L.; Gee, M.S. Inflammatory bowel disease imaging: Current practice and future directions. World J. Gastroenterol. 2016, 22, 917–932. [Google Scholar] [CrossRef] [PubMed]
- Yu, H.S.; Gupta, A.; Soto, J.A.; LeBedis, C. Emergency abdominal MRI: Current uses and trends. Br. J. Radiol. 2016, 89, 20150804. [Google Scholar] [CrossRef]
- Furey, E.A.; Bailey, A.A.; Pedrosa, I. Magnetic resonance imaging of acute abdominal and pelvic pain in pregnancy. Top. Magn. Reson. Imaging 2014, 23, 225–242. [Google Scholar] [CrossRef] [PubMed]
- Chang, P.T.; Yang, E.; Swenson, D.W.; Lee, E.Y. Pediatric Emergency Magnetic Resonance Imaging: Current Indications, Techniques, and Clinical Applications. Magn. Reson. Imaging Clin. 2016, 24, 449–480. [Google Scholar] [CrossRef] [PubMed]
- Zaitsev, M.; Maclaren, J.; Herbst, M. Motion artifacts in MRI: A complex problem with many partial solutions. J. Magn. Reson. Imaging 2015, 42, 887–901. [Google Scholar] [CrossRef] [PubMed]
- Hargreaves, B.A. Rapid gradient-echo imaging. J. Magn. Reson. Imaging 2012, 36, 1300–1313. [Google Scholar] [CrossRef]
- Markl, M.; Leupold, J. Gradient echo imaging. J. Magn. Reson. Imaging 2012, 35, 1274–1289. [Google Scholar] [CrossRef] [PubMed]
- Pui, M.H.; Fok, E.C. MR imaging of the brain: Comparison of gradient-echo and spin-echo pulse sequences. AJR Am. J. Roentgenol. 1995, 165, 959–962. [Google Scholar] [CrossRef]
- Tang, M.Y.; Chen, T.W.; Zhang, X.M.; Huang, X.H. GRE T2∗-weighted MRI: Principles and clinical applications. Biomed. Res. Int. 2014, 2014, 312142. [Google Scholar] [CrossRef]
- Rofsky, N.M.; Lee, V.S.; Laub, G.; Pollack, M.A.; Krinsky, G.A.; Thomasson, D.; Ambrosino, M.M.; Weinreb, J.C. Abdominal MR imaging with a volumetric interpolated breath-hold examination. Radiology 1999, 212, 876–884. [Google Scholar] [CrossRef] [PubMed]
- Chu, M.L.; Chang, H.C.; Chung, H.W.; Bashir, M.R.; Cai, J.; Zhang, L.; Sun, D.; Chen, N.K. Free-breathing abdominal MRI improved by repeated k-t-subsampling and artifact-minimization (ReKAM). Med. Phys. 2018, 45, 178–190. [Google Scholar] [CrossRef] [PubMed]
- Kim, K.W.; Lee, J.M.; Jeon, Y.S.; Kang, S.E.; Baek, J.H.; Han, J.K.; Choi, B.I.; Bang, Y.J.; Kiefer, B.; Block, K.T.; et al. Free-breathing dynamic contrast-enhanced MRI of the abdomen and chest using a radial gradient echo sequence with K-space weighted image contrast (KWIC). Eur. Radiol. 2013, 23, 1352–1360. [Google Scholar] [CrossRef] [PubMed]
- Yoshida, T.; Shirata, K.; Urikura, A.; Ito, M.; Nakaya, Y. Signal-to-noise ratio and parallel imaging performance of commercially available phased array coils in 3.0 T brain magnetic resonance imaging. Radiol. Phys. Technol. 2015, 8, 305–311. [Google Scholar] [CrossRef]
- Yang, R.K.; Roth, C.G.; Ward, R.J.; de Jesus, J.O.; Mitchell, D.G. Optimizing abdominal MR imaging: Approaches to common problems. Radiographics 2010, 30, 185–199. [Google Scholar] [CrossRef]
- Gassenmaier, S.; Afat, S.; Nickel, D.; Kannengiesser, S.; Herrmann, J.; Hoffmann, R.; Othman, A.E. Application of a Novel Iterative Denoising and Image Enhancement Technique in T1-Weighted Precontrast and Postcontrast Gradient Echo Imaging of the Abdomen: Improvement of Image Quality and Diagnostic Confidence. Investig. Radiol. 2021, 56, 328–334. [Google Scholar] [CrossRef]
- Gassenmaier, S.; Herrmann, J.; Nickel, D.; Kannengiesser, S.; Afat, S.; Seith, F.; Hoffmann, R.; Othman, A.E. Image Quality Improvement of Dynamic Contrast-Enhanced Gradient Echo Magnetic Resonance Imaging by Iterative Denoising and Edge Enhancement. Investig. Radiol. 2021, 56, 465–470. [Google Scholar] [CrossRef]
- Mule, S.; Kharrat, R.; Zerbib, P.; Massire, A.; Nickel, M.D.; Ambarki, K.; Reizine, E.; Baranes, L.; Zegai, B.; Pigneur, F.; et al. Fast T2-weighted liver MRI: Image quality and solid focal lesions conspicuity using a deep learning accelerated single breath-hold HASTE fat-suppressed sequence. Diagn. Interv. Imaging 2022. [Google Scholar] [CrossRef]
- Soyer, P.; Fishman, E.K.; Rowe, S.P.; Patlas, M.N.; Chassagnon, G. Does artificial intelligence surpass the radiologist? Diagn. Interv. Imaging 2022. [Google Scholar] [CrossRef]
- Rowe, S.P.; Soyer, P.; Fishman, E.K. The future of radiology: What if artificial intelligence is really as good as predicted? Diagn. Interv. Imaging 2022, 103, 385–386. [Google Scholar] [CrossRef]
- Dupuis, M.; Delbos, L.; Veil, R.; Adamsbaum, C. External validation of a commercially available deep learning algorithm for fracture detection in children. Diagn. Interv. Imaging 2022, 103, 151–159. [Google Scholar] [CrossRef] [PubMed]
- Gassenmaier, S.; Afat, S.; Nickel, D.; Mostapha, M.; Herrmann, J.; Othman, A.E. Deep learning-accelerated T2-weighted imaging of the prostate: Reduction of acquisition time and improvement of image quality. Eur. J. Radiol. 2021, 137, 109600. [Google Scholar] [CrossRef] [PubMed]
- Chen, F.; Taviani, V.; Malkiel, I.; Cheng, J.Y.; Tamir, J.I.; Shaikh, J.; Chang, S.T.; Hardy, C.J.; Pauly, J.M.; Vasanawala, S.S. Variable-Density Single-Shot Fast Spin-Echo MRI with Deep Learning Reconstruction by Using Variational Networks. Radiology 2018, 289, 366–373. [Google Scholar] [CrossRef] [PubMed]
- Chen, F.; Cheng, J.Y.; Taviani, V.; Sheth, V.R.; Brunsing, R.L.; Pauly, J.M.; Vasanawala, S.S. Data-driven self-calibration and reconstruction for non-cartesian wave-encoded single-shot fast spin echo using deep learning. J. Magn. Reson. Imaging 2020, 51, 841–853. [Google Scholar] [CrossRef] [PubMed]
- Afat, S.; Wessling, D.; Afat, C.; Nickel, D.; Arberet, S.; Herrmann, J.; Othman, A.E.; Gassenmaier, S. Analysis of a Deep Learning-Based Superresolution Algorithm Tailored to Partial Fourier Gradient Echo Sequences of the Abdomen at 1.5 T: Reduction of Breath-Hold Time and Improvement of Image Quality. Investig. Radiol. 2022, 57, 157–162. [Google Scholar] [CrossRef] [PubMed]
- Chaika, M.; Afat, S.; Wessling, D.; Afat, C.; Nickel, D.; Kannengiesser, S.; Herrmann, J.; Almansour, H.; Mannlin, S.; Othman, A.E.; et al. Deep learning-based super-resolution gradient echo imaging of the pancreas: Improvement of image quality and reduction of acquisition time. Diagn. Interv. Imaging 2022. [Google Scholar] [CrossRef] [PubMed]
- McHugh, M.L. Interrater reliability: The kappa statistic. Biochem. Med. 2012, 22, 276–282. [Google Scholar] [CrossRef]
- Koo, T.K.; Li, M.Y. A Guideline of Selecting and Reporting Intraclass Correlation Coefficients for Reliability Research. J. Chiropr. Med. 2016, 15, 155–163. [Google Scholar] [CrossRef]
- Sun, T.; Jiang, L.; Zhang, Z.; Zhang, C.; Zhang, H.; Wang, G.; Qian, Z. Feasibility of free-breathing T1-weighted 3D radial VIBE for fetal MRI in various anomalies. Magn. Reson. Imaging 2020, 69, 57–64. [Google Scholar] [CrossRef]
- Reiner, C.S.; Neville, A.M.; Nazeer, H.K.; Breault, S.; Dale, B.M.; Merkle, E.M.; Bashir, M.R. Contrast-enhanced free-breathing 3D T1-weighted gradient-echo sequence for hepatobiliary MRI in patients with breath-holding difficulties. Eur. Radiol. 2013, 23, 3087–3093. [Google Scholar] [CrossRef]
- Martí-Bonmatí, L.; Graells, M.; Ronchera-Oms, C.L. Reduction of peristaltic artifacts on magnetic resonance imaging of the abdomen: A comparative evaluation of three drugs. Abdom. Imaging 1996, 21, 309–313. [Google Scholar] [CrossRef] [PubMed]
- Mirowitz, S.A. Diagnostic pitfalls and artifacts in abdominal MR imaging: A review. Radiology 1998, 208, 577–589. [Google Scholar] [CrossRef]
- Hausmann, D.; Pindur, A.; Todorski, I.; Weiland, E.; Kuehn, B.; Zhou, K.; Bosshard, L.; Prummer, M.; Kubik-Huch, R.A. Quantitative assessment of iteratively denoised 3D SPACE with inner-volume excitation and simultaneous multi-slice BLADE for optimizing female pelvis magnetic resonance imaging at 1.5 T. Acad. Radiol. 2022. [Google Scholar] [CrossRef]
- Herrmann, J.; Wessling, D.; Nickel, D.; Arberet, S.; Almansour, H.; Afat, C.; Afat, S.; Gassenmaier, S.; Othman, A.E. Comprehensive clinical evaluation of a deep learning-accelerated, single-breath-hold abdominal HASTE at 1.5 T and 3 T. Acad. Radiol. 2022. [Google Scholar] [CrossRef] [PubMed]
- Ciritsis, A.; Rossi, C.; Marcon, M.; Van, V.D.P.; Boss, A. Accelerated diffusion-weighted imaging for lymph node assessment in the pelvis applying simultaneous multislice acquisition: A healthy volunteer study. Medicine 2018, 97, e11745. [Google Scholar] [CrossRef] [PubMed]
- Rao, A.; Sitheeque, F.; Gustafson, S.; Lu, M.; Prior, M. MR enterography—Impact on image quality between single- versus split-dose Buscopan. J. Med. Imaging Radiat. Oncol. 2020, 64, 331–337. [Google Scholar] [CrossRef] [PubMed]





| Patients (Male/Female), n | 40 (16/24) |
|---|---|
| Age, mean ± SD (range), y | total: 56 ± 17 (18–84) |
| male: 57 ± 18 (29–84) | |
| female: 55 ± 16 (18–79) | |
| Diagnosis, n | Neuroendocrine neoplasia, 12 |
| Sarcoma, 6 | |
| GIST, 4 | |
| Melanoma, 4 | |
| Further diagnostic clarification of unclear symptoms, 4 | |
| Urothelial carcinoma, 3 | |
| Testicular cancer, 2 | |
| Breast cancer, 2 | |
| Ovarian/fallopian tube malignancy, 2 | |
| Lymphoma, 1 |
| Precontrast Images | Reader 1 | Reader 2 | ||||
|---|---|---|---|---|---|---|
| VIBEStd Median (IQR) | VIBESR Median (IQR) | p-Value | VIBEStd Median (IQR) | VIBESR Median (IQR) | p-Value | |
| Image Quality parameters | ||||||
| IQ | 4 (4–4) | 5 (5–5) | <0.001 | 4 (4–4.5) | 5 (5–5) | <0.001 |
| Noise | 4 (3–4) | 5 (5–5) | <0.001 | 4 (3–4) | 5 (4–5) | <0.001 |
| Sharpness organs and lymph nodes | 4 (3–4) | 5 (5–5) | <0.001 | 4 (4–4) | 5 (5–5) | <0.001 |
| Sharpness intestine | 4 (3–4) | 5 (5–5) | <0.001 | 4 (3–4) | 5 (5–5) | <0.001 |
| Artifacts | 4 (4–4) | 5 (4–5) | <0.001 | 4 (4–4) | 5 (4–5) | <0.001 |
| Postcontrast Images | Reader 1 | Reader 2 | ||||
|---|---|---|---|---|---|---|
| VIBEStd Median (IQR) | VIBESR Median (IQR) | p-Value | VIBEStd Median (IQR) | VIBESR Median (IQR) | p-Value | |
| Image Quality parameters | ||||||
| IQ | 4 (3–4) | 5 (5–5) | <0.001 | 4 (4–5) | 5 (5–5) | <0.001 |
| Noise | 4 (3.5–4) | 5 (5–5) | <0.001 | 4 (4–4) | 5 (5–5) | <0.001 |
| Sharpness organs and lymph nodes | 4 (4–4.5) | 5 (5–5) | <0.001 | 4 (4–5) | 5 (4–5) | <0.001 |
| Sharpness intestine | 4 (3–4) | 5 (5–5) | <0.001 | 4 (3–4) | 4 (4–5) | <0.001 |
| Artifacts | 4 (4–4) | 5 (4–5) | <0.001 | 4 (4–4) | 5 (4–5) | <0.001 |
| Precontrast Images | Reader 1 | Reader 2 | ||||
|---|---|---|---|---|---|---|
| VIBEStd Median (IQR) | VIBESR Median (IQR) | p-Value | VIBEStd Median (IQR) | VIBESR Median (IQR) | p-Value | |
| Lesion size (mm) | 11 (7–25) | 12 (7–26) | 0.173 | 11 (7–26) | 12 (7–26) | 0.625 |
| Lesion detectability | 4 (4–5) | 5 (4–5) | <0.001 | 4 (4–5) | 5 (5–5) | 0.003 |
| Postcontrast Images | Reader 1 | Reader 2 | ||||
|---|---|---|---|---|---|---|
| VIBEStd Median (IQR) | VIBESR Median (IQR) | p-Value | VIBEStd Median (IQR) | VIBESR Median (IQR) | p-Value | |
| Lesion size (mm) | 11 (7–25) | 12 (7–26) | 0.173 | 11 (7–26) | 12 (7–26) | 0.625 |
| Lesion detectability | 4 (4–5) | 5 (5–5) | <0.001 | 4 (4–5) | 5 (5–5) | <0.001 |
Publisher’s Note: MDPI stays neutral with regard to jurisdictional claims in published maps and institutional affiliations. |
© 2022 by the authors. Licensee MDPI, Basel, Switzerland. This article is an open access article distributed under the terms and conditions of the Creative Commons Attribution (CC BY) license (https://creativecommons.org/licenses/by/4.0/).
Share and Cite
Wessling, D.; Herrmann, J.; Afat, S.; Nickel, D.; Almansour, H.; Keller, G.; Othman, A.E.; Brendlin, A.S.; Gassenmaier, S. Application of a Deep Learning Algorithm for Combined Super-Resolution and Partial Fourier Reconstruction Including Time Reduction in T1-Weighted Precontrast and Postcontrast Gradient Echo Imaging of Abdominopelvic MR Imaging. Diagnostics 2022, 12, 2370. https://doi.org/10.3390/diagnostics12102370
Wessling D, Herrmann J, Afat S, Nickel D, Almansour H, Keller G, Othman AE, Brendlin AS, Gassenmaier S. Application of a Deep Learning Algorithm for Combined Super-Resolution and Partial Fourier Reconstruction Including Time Reduction in T1-Weighted Precontrast and Postcontrast Gradient Echo Imaging of Abdominopelvic MR Imaging. Diagnostics. 2022; 12(10):2370. https://doi.org/10.3390/diagnostics12102370
Chicago/Turabian StyleWessling, Daniel, Judith Herrmann, Saif Afat, Dominik Nickel, Haidara Almansour, Gabriel Keller, Ahmed E. Othman, Andreas S. Brendlin, and Sebastian Gassenmaier. 2022. "Application of a Deep Learning Algorithm for Combined Super-Resolution and Partial Fourier Reconstruction Including Time Reduction in T1-Weighted Precontrast and Postcontrast Gradient Echo Imaging of Abdominopelvic MR Imaging" Diagnostics 12, no. 10: 2370. https://doi.org/10.3390/diagnostics12102370
APA StyleWessling, D., Herrmann, J., Afat, S., Nickel, D., Almansour, H., Keller, G., Othman, A. E., Brendlin, A. S., & Gassenmaier, S. (2022). Application of a Deep Learning Algorithm for Combined Super-Resolution and Partial Fourier Reconstruction Including Time Reduction in T1-Weighted Precontrast and Postcontrast Gradient Echo Imaging of Abdominopelvic MR Imaging. Diagnostics, 12(10), 2370. https://doi.org/10.3390/diagnostics12102370

