Desmoplastic Small Round Cell Tumor with “Pure” Spindle Cell Morphology and Novel EWS-WT1 Fusion Transcript: Expanding the Morphological and Molecular Spectrum of This Rare Entity
Abstract
1. Introduction
2. Materials and Methods
2.1. Clinical Features
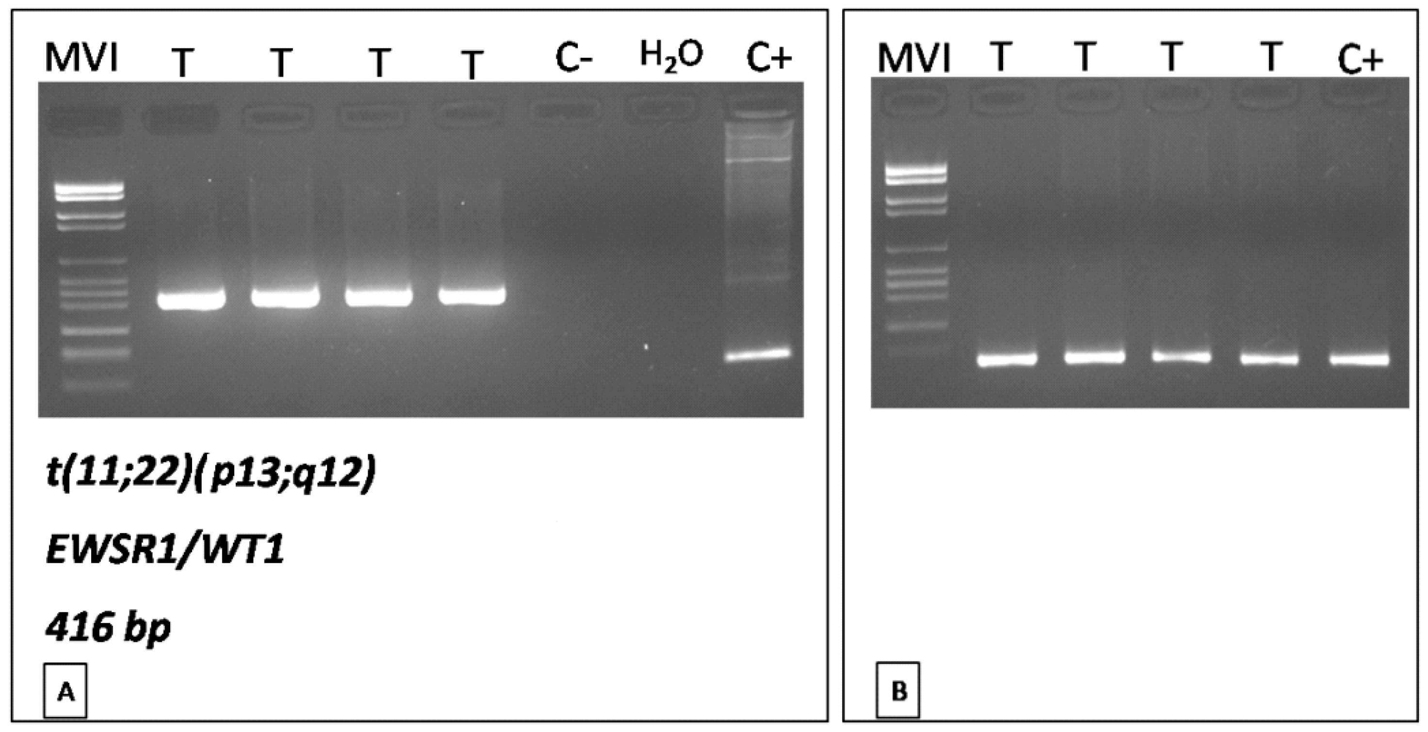
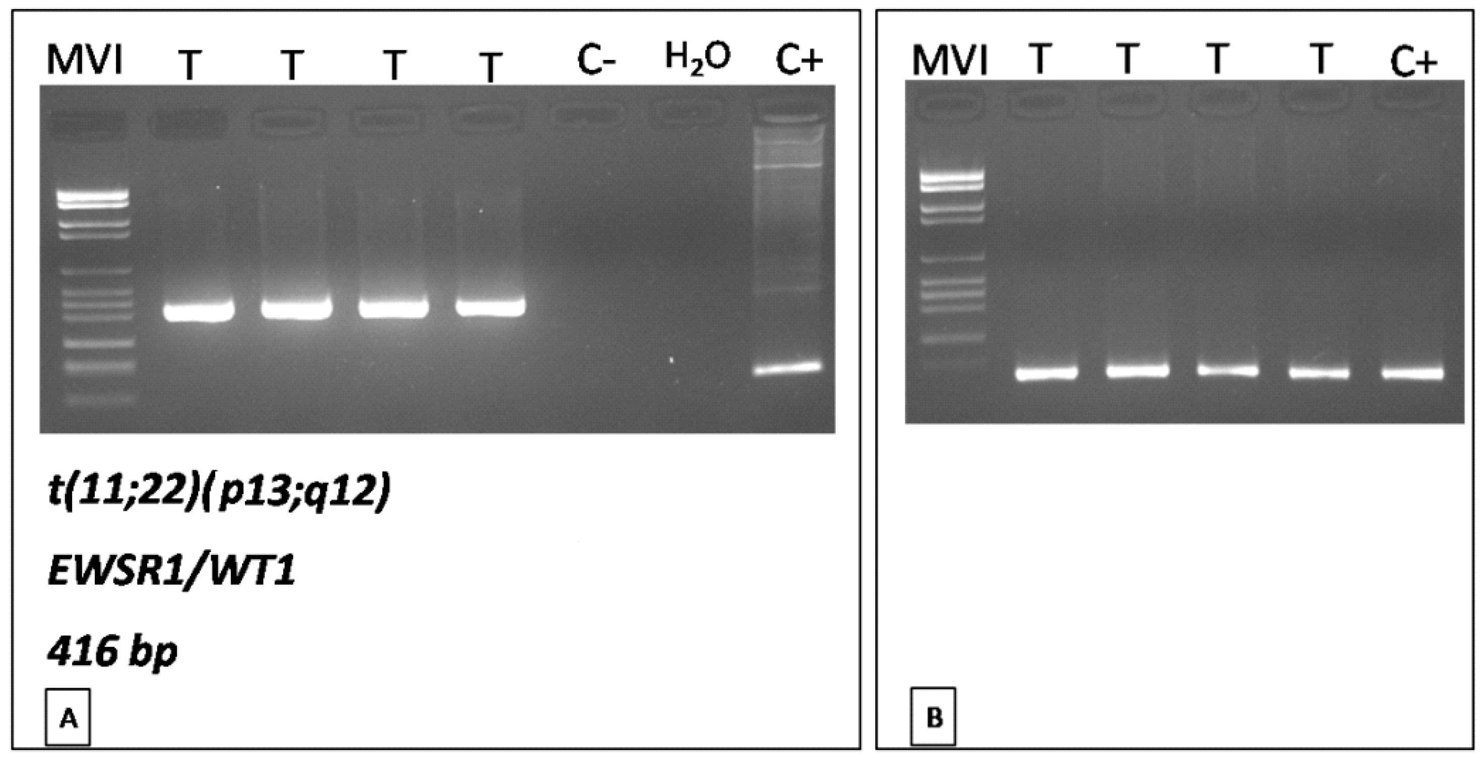
2.2. RT-PCR
3. Results
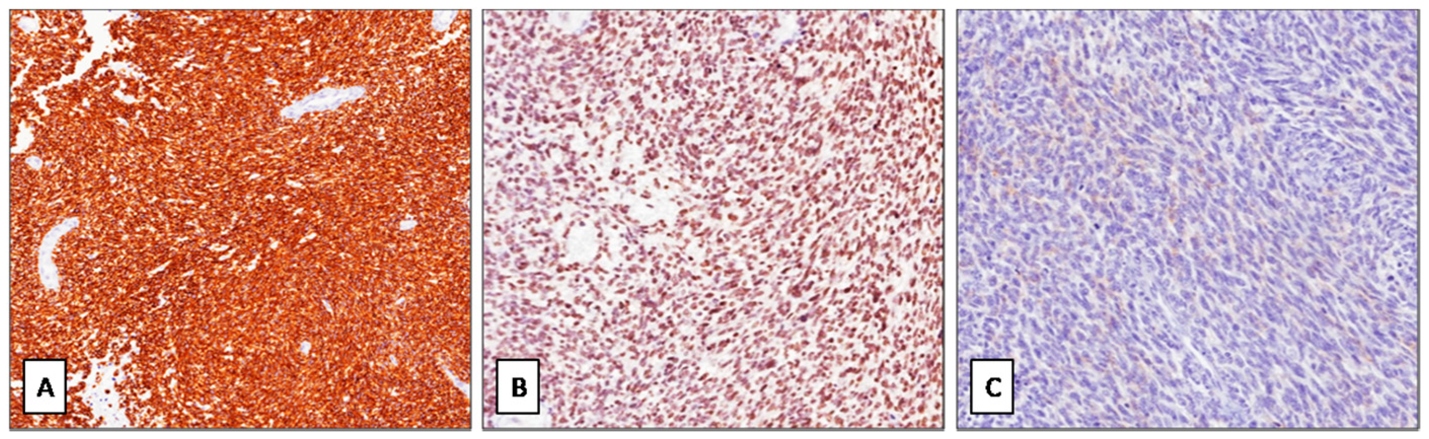
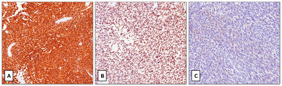
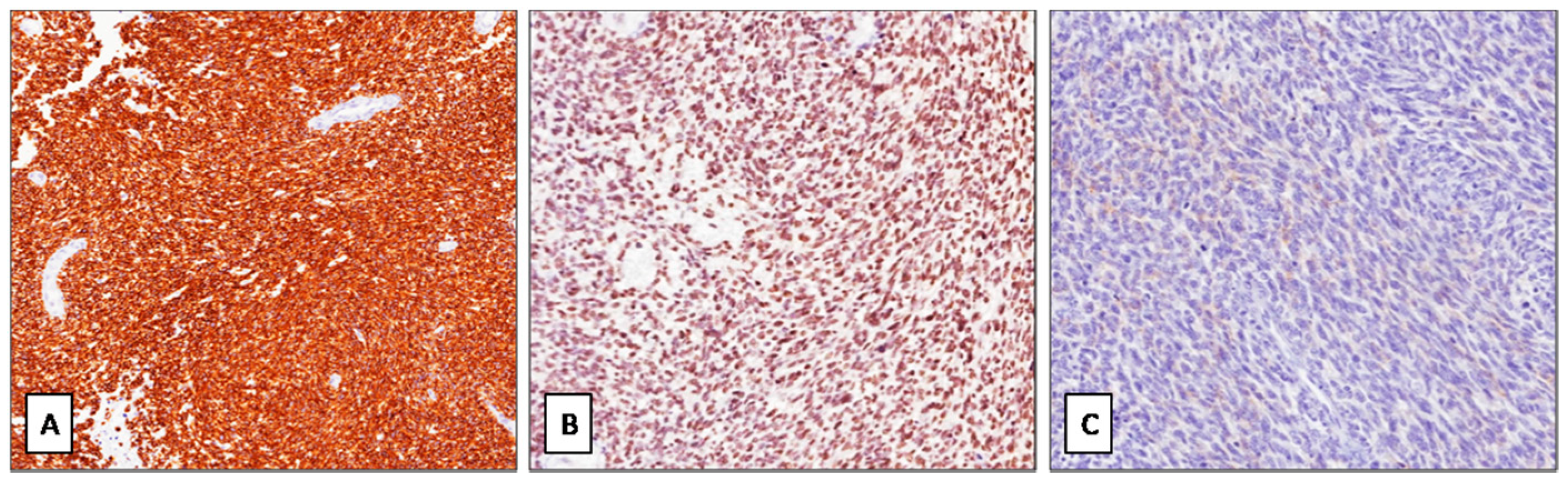
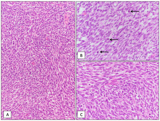
3.1. Histological and Molecular Findings
3.2. Outcome
4. Discussion
5. Conclusions
Author Contributions
Funding
Institutional Review Board Statement
Informed Consent Statement
Conflicts of Interest
References
- Gerald, W.L.; Rosai, J. Case 2. Desmoplastic small cell tumor with divergent differentiation. Pediatr. Pathol. 1989, 9, 177–183. [Google Scholar] [CrossRef]
- Gerald, W.L.; Ladanyi, M.; de Alava, E.; Cuatrecasas, M.; Kushner, B.H.; LaQuaglia, M.P.; Rosai, J. Clinical, pathologic, and molecular spectrum of tumors associated with t(11;22)(p13;q12): Desmoplastic small round-cell tumor and its variants. J. Clin. Oncol. 1998, 16, 3028–3036. [Google Scholar] [CrossRef] [PubMed]
- Sawyer, J.R.; Tryka, A.F.; Lewis, J.M. A novel reciprocal chromosome translocation t(11;22)(p13;q12) in an intraabdominal desmoplastic small round-cell tumor. Am. J. Surg. Pathol. 1992, 16, 411–416. [Google Scholar] [CrossRef] [PubMed]
- Mora, J.; Modak, S.; Cheung, N.K.; Meyers, P.; de Alava, E.; Kushner, B.; Magnan, H.; Tirado, O.M.; Laquaglia, M.; Ladanyi, M.; et al. Desmoplastic small round cell tumor 20 years after its discovery. Future Oncol. 2015, 11, 1071–1081. [Google Scholar] [CrossRef] [PubMed]
- Gerald, W.L.; Miller, H.K.; Battifora, H.; Miettinen, M.; Silva, E.G.; Rosai, J. Intra-abdominal desmoplastic small round-cell tumor. Report of 19 cases of a distinctive type of high-grade polyphenotypic malignancy affecting young individuals. Am. J. Surg. Pathol. 1991, 15, 499–513. [Google Scholar] [CrossRef]
- Thway, K.; Noujaim, J.; Zaidi, S.; Miah, A.B.; Benson, C.; Messiou, C.; Jones, R.L.; Fisher, C. Desmoplastic Small Round Cell Tumor: Pathology, Genetics, and Potential Therapeutic Strategies. Int. J. Surg. Pathol. 2016, 24, 672–684. [Google Scholar] [CrossRef] [PubMed]
- Brodie, S.G.; Stocker, S.J.; Wardlaw, J.C.; Duncan, M.H.; McConnell, T.S.; Feddersen, R.M.; Williams, T.M. EWS and WT-1 gene fusion in desmoplastic small round cell tumor of the abdomen. Hum. Pathol. 1995, 26, 1370–1374. [Google Scholar] [CrossRef]
- Rekhi, B.; Ahmed, S.; Basak, R.; Qureshi, S.S.; Desai, S.S.; Ramadwar, M.; Desai, S.B.; Kurkure, P.; Jambhekar, N.A. Desmoplastic small round cell tumor-clinicopathological spectrum, including unusual features and immunohistochemical analysis of 45 tumors diagnosed at a tertiary cancer referral centre, with molecular results t(11;22)(p13;q12) (EWS-WT1) in select cases. Pathol. Oncol. Res. 2012, 18, 917–927. [Google Scholar] [CrossRef]
- Zhang, J.; Xu, H.; Ren, F.; Yang, Y.; Chen, B.; Zhang, F. Analysis of clinicopathological features and prognostic factors of desmoplastic small round cell tumor. Pathol. Oncol. Res. 2014, 20, 161–168. [Google Scholar] [CrossRef]
- Morani, A.C.; Bathala, T.K.; Surabhi, V.R.; Yedururi, S.; Jensen, C.T.; Huh, W.W.; Prasad, S.; Hayes-Jordan, A. Desmoplastic Small Round Cell Tumor: Imaging Pattern of Disease at Presentation. AJR Am. J. Roentgenol. 2019, 212, W45–W54. [Google Scholar] [CrossRef]
- Ertoy Baydar, D.; Armutlu, A.; Aydin, O.; Dagdemir, A.; Yakupoglu, Y.K. Desmoplastic small round cell tumor of the kidney: A case report. Diagn. Pathol. 2020, 15, 95. [Google Scholar] [CrossRef]
- Hatanaka, K.C.; Takakuwa, E.; Hatanaka, Y.; Suzuki, A.; IIzuka, S.; Tsushima, N.; Mitsuhashi, T.; Sugita, S.; Homma, A.; Morinaga, S.; et al. Desmoplastic small round cell tumor of the parotid gland-report of a rare case and a review of the literature. Diagn. Pathol. 2019, 14, 43. [Google Scholar] [CrossRef] [PubMed]
- He, X.R.; Liu, Z.; Wei, J.; Li, W.J.; Liu, T. Primary desmoplastic small round cell tumor in the left orbit: A case report and literature review. Int. Ophthalmol. 2019, 39, 471–475. [Google Scholar] [CrossRef] [PubMed]
- Lal, D.R.; Su, W.T.; Wolden, S.L.; Loh, K.C.; Modak, S.; La Quaglia, M.P. Results of multimodal treatment for desmoplastic small round cell tumors. J. Pediatr. Surg. 2005, 40, 251–255. [Google Scholar] [CrossRef] [PubMed]
- Al-Ibraheemi, A.; Broehm, C.; Tanas, M.R.; Horvai, A.E.; Rubin, B.P.; Cheah, A.L.; Thway, K.; Fisher, C.; Bahrami, A.; Folpe, A.L.; et al. Desmoplastic Small Round Cell Tumors With Atypical Presentations: A Report of 34 Cases. Int. J. Surg. Pathol. 2019, 27, 236–243. [Google Scholar] [CrossRef]
- Magro, G.; Longo, F.R.; Angelico, G.; Spadola, S.; Amore, F.F.; Salvatorelli, L. Immunohistochemistry as potential diagnostic pitfall in the most common solid tumors of children and adolescents. Acta Histochem. 2015, 117, 397–414. [Google Scholar] [CrossRef] [PubMed]
- Parenti, R.; Salvatorelli, L.; Musumeci, G.; Parenti, C.; Giorlandino, A.; Motta, F.; Magro, G. Wilms’ tumor 1 (WT1) protein expression in human developing tissues. Acta Histochem. 2015, 117, 386–396. [Google Scholar] [CrossRef]
- Salvatorelli, L.; Parenti, R.; Leone, G.; Musumeci, G.; Vasquez, E.; Magro, G. Wilms tumor 1 (WT1) protein: Diagnostic utility in pediatric tumors. Acta Histochem. 2015, 117, 367–378. [Google Scholar] [CrossRef] [PubMed]
- Salvatorelli, L.; Calabrese, G.; Parenti, R.; Vecchio, G.M.; Puzzo, L.; Caltabiano, R.; Musumeci, G.; Magro, G. Immunohistochemical Expression of Wilms’ Tumor 1 Protein in Human Tissues: From Ontogenesis to Neoplastic Tissues. Appl. Sci. 2020, 10, 40. [Google Scholar] [CrossRef]
- Piombino, E.; Broggi, G.; Barbareschi, M.; Castorina, S.; Parenti, R.; Bartoloni, G.; Salvatorelli, L.; Magro, G. Wilms’ Tumor 1 (WT1): A Novel Immunomarker of Dermatofibrosarcoma Protuberans-An Immunohistochemical Study on a Series of 114 Cases of Bland-Looking Mesenchymal Spindle Cell Lesions of the Dermis/Subcutaneous Tissues. Cancers 2021, 13, 252. [Google Scholar] [CrossRef]
- Ordóñez, N.G. Desmoplastic small round cell tumor: I: A histopathologic study of 39 cases with emphasis on unusual histological patterns. Am. J. Surg. Pathol. 1998, 22, 1303–1313. [Google Scholar] [CrossRef]
- Alaggio, R.; Rosolen, A.; Sartori, F.; Leszl, A.; d’Amore, E.S.; Bisogno, G.; Carli, M.; Cecchetto, G.; Coffin, C.M.; Ninfo, V. Spindle cell tumor with EWS-WT1 transcript and a favorable clinical course: A variant of DSCT, a variant of leiomyosarcoma, or a new entity? Report of 2 pediatric cases. Am. J. Surg. Pathol. 2007, 31, 454–459. [Google Scholar] [CrossRef]
- Lae, M.E.; Roche, P.C.; Jin, L.; Lloyd, R.V.; Nascimento, A.G. Desmoplastic small round cell tumor: A clinicopathologic, immunohistochemical, and molecular study of 32 tumors. Am. J. Surg. Pathol. 2002, 26, 823–835. [Google Scholar] [CrossRef] [PubMed]
- Gerald, W.L.; Rosai, J.; Ladanyi, M. Characterization of the genomic breakpoint and chimeric transcripts in the EWS-WT1 gene fusion of desmoplastic small round cell tumor. Proc. Natl. Acad. Sci. USA 1995, 92, 1028–1032. [Google Scholar] [CrossRef] [PubMed]
- Werner, H.; Idelman, G.; Rubinstein, M.; Pattee, P.; Nagalla, S.R.; Roberts, C.T., Jr. A novel EWS-WT1 gene fusion product in desmoplastic small round cell tumor is a potent transactivator of the insulin-like growth factor-I receptor (IGF-IR) gene. Cancer Lett. 2007, 247, 84–90. [Google Scholar] [CrossRef] [PubMed]
- Nakanishi, Y.; Oinuma, T.; Sano, M.; Fuchinoue, F.; Komatsu, K.; Seki, T.; Obana, Y.; Tabata, M.; Kikuchi, K.; Shimamura, M.; et al. Coexpression of an unusual form of the EWS-WT1 fusion transcript and interleukin 2/15 receptor betamRNA in a desmoplastic small round cell tumour. J. Clin. Pathol. 2006, 59, 1108–1110. [Google Scholar] [CrossRef] [PubMed]
- Hamazaki, M.; Okita, H.; Hata, J.; Shimizu, S.; Kobayashi, H.; Aoki, K.; Nara, T. Desmoplastic small cell tumor of soft tissue: Molecular variant of EWS-WT1 chimeric fusion. Pathol. Int. 2006, 56, 543–548. [Google Scholar] [CrossRef]
- Murphy, A.J.; Bishop, K.; Pereira, C.; Chilton-MacNeill, S.; Ho, M.; Zielenska, M.; Thorner., P.S. A new molecular variant of desmoplastic small round cell tumor: Significance of WT1 immunostaining in this entity. Hum. Pathol. 2008, 39, 1763–1770. [Google Scholar] [CrossRef]
- Shimizu, Y.; Mitsui, T.; Kawakami, T.; Ikegami, T.; Kanazawa, C.; Katsuura, M.; Obata, K.; Yamagiwa, I.; Hayasaka, K. Novel breakpoints of the EWS gene and the WT1 gene in a desmoplastic small round cell tumor. Cancer Genet. Cytogenet. 1998, 106, 156–158. [Google Scholar] [CrossRef]
- Rieux-Laucat, F. What’s up in the ALPS. Curr. Opin. Immunol. 2017, 49, 79–86. [Google Scholar] [CrossRef]
- Lee, Y.S.; Hsiao, C.H. Desmoplastic small round cell tumor: A clinicopathologic, immunohistochemical and molecular study of four patients. J. Formos. Med. Assoc. 2007, 106, 854–860. [Google Scholar] [CrossRef]
- Chan, A.S.; MacNeill, S.; Thorner, P.; Squire, J.; Zielenska, M. Variant EWS-WT1 chimeric product in the desmoplastic small round cell tumor. Pediatr. Dev. Pathol. 1999, 2, 188–192. [Google Scholar] [CrossRef] [PubMed]




Publisher’s Note: MDPI stays neutral with regard to jurisdictional claims in published maps and institutional affiliations. |
© 2021 by the authors. Licensee MDPI, Basel, Switzerland. This article is an open access article distributed under the terms and conditions of the Creative Commons Attribution (CC BY) license (http://creativecommons.org/licenses/by/4.0/).
Share and Cite
Magro, G.; Broggi, G.; Zin, A.; Di Benedetto, V.; Meli, M.; Di Cataldo, A.; Alaggio, R.; Salvatorelli, L. Desmoplastic Small Round Cell Tumor with “Pure” Spindle Cell Morphology and Novel EWS-WT1 Fusion Transcript: Expanding the Morphological and Molecular Spectrum of This Rare Entity. Diagnostics 2021, 11, 545. https://doi.org/10.3390/diagnostics11030545
Magro G, Broggi G, Zin A, Di Benedetto V, Meli M, Di Cataldo A, Alaggio R, Salvatorelli L. Desmoplastic Small Round Cell Tumor with “Pure” Spindle Cell Morphology and Novel EWS-WT1 Fusion Transcript: Expanding the Morphological and Molecular Spectrum of This Rare Entity. Diagnostics. 2021; 11(3):545. https://doi.org/10.3390/diagnostics11030545
Chicago/Turabian StyleMagro, Gaetano, Giuseppe Broggi, Angelica Zin, Vincenzo Di Benedetto, Mariaclaudia Meli, Andrea Di Cataldo, Rita Alaggio, and Lucia Salvatorelli. 2021. "Desmoplastic Small Round Cell Tumor with “Pure” Spindle Cell Morphology and Novel EWS-WT1 Fusion Transcript: Expanding the Morphological and Molecular Spectrum of This Rare Entity" Diagnostics 11, no. 3: 545. https://doi.org/10.3390/diagnostics11030545
APA StyleMagro, G., Broggi, G., Zin, A., Di Benedetto, V., Meli, M., Di Cataldo, A., Alaggio, R., & Salvatorelli, L. (2021). Desmoplastic Small Round Cell Tumor with “Pure” Spindle Cell Morphology and Novel EWS-WT1 Fusion Transcript: Expanding the Morphological and Molecular Spectrum of This Rare Entity. Diagnostics, 11(3), 545. https://doi.org/10.3390/diagnostics11030545

