From Early Morphometrics to Machine Learning—What Future for Cardiovascular Imaging of the Pulmonary Circulation?
Abstract
1. Introduction
2. Pulmonary Vascular Morphometrics: Evolution from Castings to Imaging
- Clinical Applications of Morphometrics in Pulmonary Vascular Diseases
2.1. Pulmonary Hypertension: Screening, Disease Detection, Disease Severity, and a Non-Invasive Measure of Mean PAP
2.2. Interstitial Lung Disease (ILD): Disease Severity, Risk Stratification, and Monitoring
2.3. Chronic Obstructive Pulmonary Disease (COPD): Disease Severity
2.4. Chronic Thromboembolic Pulmonary Hypertension: Disease Detection and Characterisation
2.5. COVID-19: Insights into the Pathophysiology of Disease
3. Pulmonary Perfusion
3.1. Nuclear Medicine
3.2. Dual Energy CT, DECT
3.3. MR Perfusion
4. Blood Flow Imaging (BFI)
5. Applications of Artificial Intelligence in Multimodality Imaging of the Pulmonary Circulation and Right Ventricle
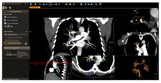
5.1. Computed Tomography Pulmonary Angiography (CTPA)
5.2. Nuclear Medicine
5.3. Echocardiography
5.4. Cardiovascular Magnetic Resonance (CMR)
6. Radiomics
7. Extant AI-Based Pulmonary Vascular Imaging Techniques in Clinical Practice
8. Conclusions
Supplementary Materials
Author Contributions
Funding
Acknowledgments
Conflicts of Interest
Abbreviations and Acronyms
| AI | Artificial Intelligence |
| ANN | Artificial Neuronal Networks |
| ASL | Arterial Spin Labelling |
| BFI | Blood Flow Imaging |
| CALIPER | Computer-Aided Lung Informatics for Pathology Evaluation and Rating |
| CFD | Computational Fluid Dynamics |
| CAD | Computed Aided Detection |
| CAE | Centriacinar emphysema |
| CMR | Cardiovascular Magnetic Resonance |
| CNN | Convolutional Neural Network |
| COPD | Chronic Obstructive Pulmonary Disease |
| CSA | Cross Sectional Area |
| CT | Computed Tomography |
| CTPA | Computed Tomography Pulmonary Angiogram |
| CTEPH | Chronic Thromboembolic Pulmonary Hypertension |
| DL | Deep Learning |
| DECT | Dual Energy Computed Tomography |
| DCE-MR | Dynamic Contrast Enhanced Magnetic Resonance |
| HFpEF | Heart Failure With Preserved Ejection Fraction |
| ILD | Interstitial Lung Disease |
| ML | Machine Learning |
| MPA | Main Pulmonary Artery |
| MRI | Magnetic Resonance Imaging |
| MTT | Mean Transit Time |
| PAP | Pulmonary Artery Pressure |
| PAH | Pulmonary Arterial Hypertension |
| PASP | Pulmonary Artery Systolic Pressure |
| PC-MRI | Phase Contrast Magnetic Resonance Imaging |
| PE | Pulmonary embolism |
| PH | Pulmonary Hypertension |
| PET | Positron Emission Tomography |
| PBF | Pulmonary Blood Flow |
| PBV | Pulmonary Blood Volume |
| PFT | Pulmonary Function Test |
| PVD | Pulmonary Vascular Disease |
| PVDOMICS | Pulmonary Vascular Disease Phenomics |
| RV | Right ventricle |
| SARS-CoV-2 | Severe Acute Respiratory Syndrome Coronavirus 2 |
| SPECT | Single Photon Emission Computed Tomography |
| TBV | Total Blood Vessel Volume |
| WSS | Wall Shear Stress |
| VQ | Ventilation-Perfusion |
References
- Singhal, S.; Henderson, R.; Horsfield, K.; Harding, K.; Cumming, G. Morphometry of the Human Pulmonary Arterial Tree. Circ. Res. 1973, 33, 190–197. [Google Scholar] [CrossRef]
- Horsfield, K. Morphometry of the small pulmonary arteries in man. Circ. Res. 1978, 42, 593–597. [Google Scholar] [CrossRef] [PubMed]
- Horsfield, K.; Gordon, W.I. Morphometry of pulmonary veins in man. Lung 1981, 159, 211–218. [Google Scholar] [CrossRef] [PubMed]
- Yen, R.T.; Sobin, S.S. Elasticity of arterioles and venules in postmortem human lungs. J. Appl. Physiol. 1988, 64, 611–619. [Google Scholar] [CrossRef] [PubMed]
- Huang, W.; Yen, R.T.; McLaurine, M.; Bledsoe, G. Morphometry of the human pulmonary vasculature. J. Appl. Physiol. 1996, 81, 2123–2133. [Google Scholar] [CrossRef]
- Hossler, F.E.; Douglas, J.E. Vascular Corrosion Casting: Review of Advantages and Limitations in the Application of Some Simple Quantitative Methods. Microsc. Microanal. 2001, 7, 253–264. [Google Scholar] [CrossRef]
- Resten, A.; Maitre, S.; Musset, D. CT imaging of peripheral pulmonary vessel disease. Eur. Radiol. 2005, 15, 2045–2056. [Google Scholar] [CrossRef]
- Lesage, D.; Angelini, E.D.; Bloch, I.; Funka-Lea, G. A review of 3D vessel lumen segmentation techniques: Models, features and extraction schemes. Med. Image Anal. 2009, 13, 819–845. [Google Scholar] [CrossRef]
- Nardelli, P.; Jimenez-Carretero, D.; Bermejo-Pelaez, D.; Washko, G.R.; Rahaghi, F.N.; Ledesma-Carbayo, M.J.; Estépar, R.S.J. Pulmonary Artery-Vein Classification in CT Images Using Deep Learning. IEEE Trans. Med. Imaging 2018, 37, 2428–2440. [Google Scholar] [CrossRef]
- Estepar, R.S.J.; Ross, J.C.; Russian, K.; Schultz, T.; Washko, G.R.; Kindlmann, G.L. Computational Vascular Morphometry for the Assessment of Pulmonary Vascular Disease Based on Scale-Space Particles. In 2012 9th IEEE International Symposium on Biomedical Imaging (ISBI); IEEE: Barcelona, Spain, 2012; pp. 1479–1482. [Google Scholar] [CrossRef][Green Version]
- Pienn, M.; Burgard, C.; Payer, C.; Avian, A.; Urschler, M.; Stollberger, R.; Olschewski, A.; Olschewski, H.; Johnson, T.; Meinel, F.G.; et al. Healthy Lung Vessel Morphology Derived From Thoracic Computed Tomography. Front. Physiol. 2018, 9, 346. [Google Scholar] [CrossRef]
- Mühlfeld, C.; Wrede, C.; Knudsen, L.; Buchacker, T.; Ochs, M.; Grothausmann, R. Recent developments in 3-D reconstruction and stereology to study the pulmonary vasculature. Am. J. Physiol. Cell. Mol. Physiol. 2018, 315, L173–L183. [Google Scholar] [CrossRef] [PubMed]
- Kulik, T.J.; Clark, R.L.; Hasan, B.S.; Keane, J.F.; Springmüller, D.; Mullen, M.P. Pulmonary Arterial Hypertension: What the Large Pulmonary Arteries Tell Us. Pediatr. Cardiol. 2011, 32, 759–765. [Google Scholar] [CrossRef] [PubMed]
- Helmberger, M.; Pienn, M.; Urschler, M.; Kullnig, P.; Stollberger, R.; Kovacs, G.; Olschewski, A.; Olschewski, H.; Bálint, Z. Quantification of Tortuosity and Fractal Dimension of the Lung Vessels in Pulmonary Hypertension Patients. PLoS ONE 2014, 9, e87515. [Google Scholar] [CrossRef] [PubMed]
- Rengier, F.; Wörz, S.; Melzig, C.; Ley, S.; Fink, C.; Benjamin, N.; Partovi, S.; von Tengg-Kobligk, H.; Rohr, K.; Kauczor, H.-U.; et al. Automated 3D Volumetry of the Pulmonary Arteries Based on Magnetic Resonance Angiography Has Potential for Predicting Pulmonary Hypertension. PLoS ONE 2016, 11, e0162516. [Google Scholar] [CrossRef] [PubMed][Green Version]
- Melzig, C.; Wörz, S.; Egenlauf, B.; Partovi, S.; Rohr, K.; Grünig, E.; Kauczor, H.-U.; Heussel, C.P.; Rengier, F. Combined Automated 3D Volumetry by Pulmonary CT Angiography and Echocardiography for Detection of Pulmonary Hypertension. Eur. Radiol. 2019, 29, 6059–6068. [Google Scholar] [CrossRef]
- Jacob, J.; Bartholmai, B.J.; Rajagopalan, S.; Kokosi, M.; Nair, A.; Karwoski, R.; Raghunath, S.M.; Walsh, S.L.F.; Wells, A.U.; Hansell, D.M. Automated Quantitative Computed Tomography Versus Visual Computed Tomography Scoring in Idiopathic Pulmonary Fibrosis: Validation against Pulmonary Function. J. Thorac. Imaging 2016, 31, 304–311. [Google Scholar] [CrossRef]
- Romei, C.; Tavanti, L.M.; Taliani, A.; De Liperi, A.; Karwoski, R.; Celi, A.; Palla, A.; Bartholmai, B.J.; Falaschi, F. Automated Computed Tomography Analysis in the Assessment of Idiopathic Pulmonary Fibrosis Severity and Progression. Eur. J. Radiol. 2020, 124, 108852. [Google Scholar] [CrossRef]
- Opitz, I.; Ulrich, S. Pulmonary Hypertension in Chronic Obstructive Pulmonary Disease and Emphysema Patients: Prevalence, Therapeutic Options and Pulmonary Circulatory Effects of Lung Volume Reduction Surgery. J. Thorac. Dis. 2018, 10, S2763–S2774. [Google Scholar] [CrossRef]
- Matsuoka, S.; Washko, G.R.; Dransfield, M.T.; Yamashiro, T.; San Jose Estepar, R.; Diaz, A.; Silverman, E.K.; Patz, S.; Hatabu, H. Quantitative CT Measurement of Cross-Sectional Area of Small Pulmonary Vessel in COPD. Acad. Radiol. 2010, 17, 93–99. [Google Scholar] [CrossRef] [PubMed]
- Rahaghi, F.N.; Argemí, G.; Nardelli, P.; Domínguez-Fandos, D.; Arguis, P.; Peinado, V.I.; Ross, J.C.; Ash, S.Y.; de La Bruere, I.; Come, C.E.; et al. Pulmonary Vascular Density: Comparison of Findings on Computed Tomography Imaging with Histology. Eur. Respir. J. 2019, 54, 1900370. [Google Scholar] [CrossRef]
- Rahaghi, F.N.; Ross, J.C.; Agarwal, M.; González, G.; Come, C.E.; Diaz, A.A.; Vegas-Sánchez-Ferrero, G.; Hunsaker, A.; Estépar, R.S.J.; Waxman, A.B.; et al. Pulmonary Vascular Morphology as an Imaging Biomarker in Chronic Thromboembolic Pulmonary Hypertension. Pulm. Circ. 2016, 6, 70–81. [Google Scholar] [CrossRef] [PubMed]
- Lins, M.; Vandevenne, J.; Thillai, M.; Lavon, B.R.; Lanclus, M.; Bonte, S.; Godon, R.; Kendall, I.; De Backer, J.; De Backer, W. Assessment of Small Pulmonary Blood Vessels in COVID-19 Patients Using HRCT. Acad. Radiol. 2020, 27, 1449–1455. [Google Scholar] [CrossRef] [PubMed]
- Hopkins, S.R.; Wielpütz, M.O.; Kauczor, H.-U. Imaging Lung Perfusion. J. Appl. Physiol. 2012, 113, 328–339. [Google Scholar] [CrossRef] [PubMed]
- Hopkins, S.R.; Prisk, G.K. Lung Perfusion Measured Using Magnetic Resonance Imaging: New Tools for Physiological Insights into the Pulmonary Circulation. J. Magn. Reson. Imaging 2010, 32, 1287–1301. [Google Scholar] [CrossRef]
- West, J.B.; Dollery, C.T.; Hugh-Jones, P. The use of radioactive carbon dioxide to measure regional blood flow in the lungs of patients with pulmonary disease. J. Clin. Investig. 1961, 40, 1–12. [Google Scholar] [CrossRef] [PubMed][Green Version]
- Vidal Melo, M.F.; Layfield, D.; Harris, R.S.; O’Neill, K.; Musch, G.; Richter, T.; Winkler, T.; Fischman, A.J.; Venegas, J.G. Quantification of Regional Ventilation-Perfusion Ratios with PET. J. Nucl. Med. 2003, 44, 1982–1991. [Google Scholar]
- Vidal Melo, M.F.; Winkler, T.; Harris, R.S.; Musch, G.; Greene, R.E.; Venegas, J.G. Spatial Heterogeneity of Lung Perfusion Assessed with 13N PET as a Vascular Biomarker in Chronic Obstructive Pulmonary Disease. J. Nucl. Med. 2009, 51, 57–65. [Google Scholar] [CrossRef]
- Olsson, C.-G.; Bitzén, U.; Olsson, B.; Magnusson, P.; Carlsson, M.S.; Jonson, B.; Bajc, M. Outpatient Tinzaparin Therapy in Pulmonary Embolism Quantified with Ventilation/Perfusion Scintigraphy. Med. Sci. Monit. 2006, 12, PI9–PI13. [Google Scholar]
- Elf, J.E.; Jögi, J.; Bajc, M. Home Treatment of Patients with Small to Medium Sized Acute Pulmonary Embolism. J. Thromb. Thrombolysis 2014, 39, 166–172. [Google Scholar] [CrossRef]
- Derlin, T.; Kelting, C.; Hueper, K.; Weiberg, D.; Meyer, K.; Olsson, K.M.; Thackeray, J.T.; Welte, T.; Bengel, F.M.; Hoeper, M.M. Quantitation of Perfused Lung Volume Using Hybrid SPECT/CT Allows Refining the Assessment of Lung Perfusion and Estimating Disease Extent in Chronic Thromboembolic Pulmonary Hypertension. Clin. Nucl. Med. 2018, 43, e170–e177. [Google Scholar] [CrossRef]
- Seiffert, A.P.; Gómez-Grande, A.; Pilkington, P.; Cara, P.; Bueno, H.; Estenoz, J.; Gómez, E.J.; Sánchez-González, P. Automatic Diagnosis of Chronic Thromboembolic Pulmonary Hypertension Based on Volumetric Data from SPECT Ventilation and Perfusion Images. Appl. Sci. 2020, 10, 5360. [Google Scholar] [CrossRef]
- Sharma, K.T.; Lau, E.; Corte, T.; Celermajer, D.; Bailey, D.; Bailey, E.; Schembri, G. Quantitative Evaluation of Ventilation-Perfusion Heterogeneity in Precapillary Pulmonary Hypertension with SPECT Scintigraphy. In 4.3 Pulmonary Circulation and Pulmonary Vascular Disease; European Respiratory Society: Lausanne, Switzerland, 2015; p. PA4570. [Google Scholar] [CrossRef]
- Fukuchi, K.; Hayashida, K.; Nakanishi, N.; Inubushi, M.; Kyotani, S.; Nagaya, N.; Ishida, Y. Quantitative Analysis of Lung Perfusion in Patients with Primary Pulmonary Hypertension. J. Nucl. Med. 2002, 43, 757–761. [Google Scholar]
- Di Chiro, G.; Brooks, R.A.; Kessler, R.M.; Johnston, G.S.; Jones, A.E.; Herdt, J.R.; Sheridan, W.T. Tissue Signatures with Dual-Energy Computed Tomography. Radiology 1979, 131, 521–523. [Google Scholar] [CrossRef] [PubMed]
- Johnson, T.R.C. Dual Energy in Clinical Practice, 1st ed.; Springer: Berlin/Heidelberg, Germany; New York, NY, USA, 2011; ISBN13 9783642017391. [Google Scholar]
- Fink, C.; Johnson, T.; Michaely, H.; Morhard, D.; Becker, C.; Reiser, M.; Nikolaou, K. Dual-Energy CT Angiography of the Lung in Patients with Suspected Pulmonary Embolism: Initial Results. Fortschr. Röntgenstr. 2008, 180, 879–883. [Google Scholar] [CrossRef]
- Pontana, F.; Faivre, J.-B.; Remy-Jardin, M.; Flohr, T.; Schmidt, B.; Tacelli, N.; Pansini, V.; Remy, J. Lung Perfusion with Dual-Energy Multidetector-Row CT (MDCT). Acad. Radiol. 2008, 15, 1494–1504. [Google Scholar] [CrossRef]
- Thieme, S.F.; Becker, C.R.; Hacker, M.; Nikolaou, K.; Reiser, M.F.; Johnson, T.R.C. Dual Energy CT for the Assessment of Lung Perfusion—Correlation to Scintigraphy. Eur. J. Radiol. 2008, 68, 369–374. [Google Scholar] [CrossRef]
- Hoey, E.T.D.; Mirsadraee, S.; Pepke-Zaba, J.; Jenkins, D.P.; Gopalan, D.; Screaton, N.J. Dual-Energy CT Angiography for Assessment of Regional Pulmonary Perfusion in Patients With Chronic Thromboembolic Pulmonary Hypertension: Initial Experience. Am. J. Roentgenol. 2011, 196, 524–532. [Google Scholar] [CrossRef] [PubMed]
- Geyer, L.L.; Scherr, M.; Körner, M.; Wirth, S.; Deak, P.; Reiser, M.F.; Linsenmaier, U. Imaging of Acute Pulmonary Embolism Using a Dual Energy CT System with Rapid KVp Switching: Initial Results. Eur. J. Radiol. 2012, 81, 3711–3718. [Google Scholar] [CrossRef] [PubMed]
- Lu, G.-M.; Wu, S.-Y.; Yeh, B.M.; Zhang, L.-J. Dual-Energy Computed Tomography in Pulmonary Embolism. BJR 2010, 83, 707–718. [Google Scholar] [CrossRef] [PubMed]
- Thieme, S.F.; Graute, V.; Nikolaou, K.; Maxien, D.; Reiser, M.F.; Hacker, M.; Johnson, T.R.C. Dual Energy CT Lung Perfusion Imaging—Correlation with SPECT/CT. Eur. J. Radiol. 2012, 81, 360–365. [Google Scholar] [CrossRef]
- Chae, E.J.; Seo, J.B.; Jang, Y.M.; Krauss, B.; Lee, C.W.; Lee, H.J.; Song, K.-S. Dual-Energy CT for Assessment of the Severity of Acute Pulmonary Embolism: Pulmonary Perfusion Defect Score Compared With CT Angiographic Obstruction Score and Right Ventricular/Left Ventricular Diameter Ratio. Am. J. Roentgenol. 2010, 194, 604–610. [Google Scholar] [CrossRef] [PubMed]
- Zhang, L.J.; Yang, G.F.; Zhao, Y.E.; Zhou, C.S.; Lu, G.M. Detection of Pulmonary Embolism Using Dual-Energy Computed Tomography and Correlation with Cardiovascular Measurements: A Preliminary Study. Acta Radiol. 2009, 50, 892–901. [Google Scholar] [CrossRef] [PubMed]
- Meinel, F.G.; Graef, A.; Bamberg, F.; Thieme, S.F.; Schwarz, F.; Sommer, W.H.; Neurohr, C.; Kupatt, C.; Reiser, M.F.; Johnson, T.R.C. Effectiveness of Automated Quantification of Pulmonary Perfused Blood Volume Using Dual-Energy CTPA for the Severity Assessment of Acute Pulmonary Embolism. Investig. Radiol. 2013, 48, 563–569. [Google Scholar] [CrossRef] [PubMed]
- Dournes, G.; Verdier, D.; Montaudon, M.; Bullier, E.; Rivière, A.; Dromer, C.; Picard, F.; Billes, M.-A.; Corneloup, O.; Laurent, F.; et al. Dual-Energy CT Perfusion and Angiography in Chronic Thromboembolic Pulmonary Hypertension: Diagnostic Accuracy and Concordance with Radionuclide Scintigraphy. Eur. Radiol. 2013, 24, 42–51. [Google Scholar] [CrossRef] [PubMed]
- Nakazawa, T.; Watanabe, Y.; Hori, Y.; Kiso, K.; Higashi, M.; Itoh, T.; Naito, H. Lung Perfused Blood Volume Images with Dual-Energy Computed Tomography for Chronic Thromboembolic Pulmonary Hypertension: Correlation to Scintigraphy with Single-Photon Emission Computed Tomography. J. Comput. Assist. Tomogr. 2011, 35, 590–595. [Google Scholar] [CrossRef] [PubMed]
- Renapurkar, R.D.; Bolen, M.A.; Shrikanthan, S.; Bullen, J.; Karim, W.; Primak, A.; Heresi, G.A. Comparative Assessment of Qualitative and Quantitative Perfusion with Dual-Energy CT and Planar and SPECT-CT V/Q Scanning in Patients with Chronic Thromboembolic Pulmonary Hypertension. Cardiovasc. Diagn. Ther. 2018, 8, 414–422. [Google Scholar] [CrossRef] [PubMed]
- Koike, H.; Sueyoshi, E.; Sakamoto, I.; Uetani, M. Clinical Significance of Late Phase of Lung Perfusion Blood Volume (Lung Perfusion Blood Volume) Quantified by Dual-Energy Computed Tomography in Patients with Pulmonary Thromboembolism. J. Thorac. Imaging 2017, 32, 43–49. [Google Scholar] [CrossRef]
- Renard, B.; Remy-Jardin, M.; Santangelo, T.; Faivre, J.-B.; Tacelli, N.; Remy, J.; Duhamel, A. Dual-Energy CT Angiography of Chronic Thromboembolic Disease: Can It Help Recognize Links between the Severity of Pulmonary Arterial Obstruction and Perfusion Defects? Eur. J. Radiol. 2011, 79, 467–472. [Google Scholar] [CrossRef]
- Takagi, H.; Ota, H.; Sugimura, K.; Otani, K.; Tominaga, J.; Aoki, T.; Tatebe, S.; Miura, M.; Yamamoto, S.; Sato, H.; et al. Dual-Energy CT to Estimate Clinical Severity of Chronic Thromboembolic Pulmonary Hypertension: Comparison with Invasive Right Heart Catheterization. Eur. J. Radiol. 2016, 85, 1574–1580. [Google Scholar] [CrossRef]
- Meinel, F.; Graef, A.; Thierfelder, K.; Armbruster, M.; Schild, C.; Neurohr, C.; Reiser, M.; Johnson, T. Automated Quantification of Pulmonary Perfused Blood Volume by Dual-Energy CTPA in Chronic Thromboembolic Pulmonary Hypertension. Fortschr. Röntgenstr. 2013, 186, 151–156. [Google Scholar] [CrossRef]
- Koike, H.; Sueyoshi, E.; Sakamoto, I.; Uetani, M.; Nakata, T.; Maemura, K. Quantification of Lung Perfusion Blood Volume (Lung PBV) by Dual-Energy CT in Patients with Chronic Thromboembolic Pulmonary Hypertension (CTEPH) before and after Balloon Pulmonary Angioplasty (BPA): Preliminary Results. Eur. J. Radiol. 2016, 85, 1607–1612. [Google Scholar] [CrossRef] [PubMed]
- Koike, H.; Sueyoshi, E.; Sakamoto, I.; Uetani, M. Quantification of Lung Perfusion Blood Volume by Dual-Energy CT in Patients with and Without Chronic Obstructive Pulmonary Disease. J. Belg. Soc. Radiol. 2015, 99, 62–68. [Google Scholar] [CrossRef] [PubMed][Green Version]
- Alford, S.K.; van Beek, E.J.; McLennan, G.; Hoffman, E.A. Heterogeneity of pulmonary perfusion as a mechanistic image-based phenotype in emphysema susceptible smokers. Proc. Natl. Acad. Sci. USA 2010, 107, 7485–7490. [Google Scholar] [CrossRef] [PubMed]
- Iyer, K.S.; Newell, J.D.; Jin, D.; Fuld, M.K.; Saha, P.K.; Hansdottir, S.; Hoffman, E.A. Quantitative Dual-Energy Computed Tomography Supports a Vascular Etiology of Smoking-Induced Inflammatory Lung Disease. Am. J. Respir. Crit. Care Med. 2016, 193, 652–661. [Google Scholar] [CrossRef]
- Ohno, Y.; Hatabu, H.; Murase, K.; Higashino, T.; Kawamitsu, H.; Watanabe, H.; Takenaka, D.; Fujii, M.; Sugimura, K. Quantitative Assessment of Regional Pulmonary Perfusion in the Entire Lung Using Three-Dimensional Ultrafast Dynamic Contrast-Enhanced Magnetic Resonance Imaging: Preliminary Experience in 40 Subjects. J. Magn. Reson. Imaging 2004, 20, 353–365. [Google Scholar] [CrossRef]
- Hopkins, S.R.; Levin, D.L.; Emami, K.; Kadlecek, S.; Yu, J.; Ishii, M.; Rizi, R.R. Advances in Magnetic Resonance Imaging of Lung Physiology. J. Appl. Physiol. 2007, 102, 1244–1254. [Google Scholar] [CrossRef][Green Version]
- Pedersen, M.R.; Fisher, M.T.; van Beek, E.J.R. MR Imaging of the Pulmonary Vasculature—An Update. Eur. Radiol. 2006, 16, 1374–1386. [Google Scholar] [CrossRef]
- Fink, C.; Risse, F.; Buhmann, R.; Ley, S.; Meyer, F.J.; Plathow, C.; Puderbach, M.; Kauczor, H.U. Quantitative Analysis of Pulmonary Perfusion using Time-Resolved Parallel 3D MRI—Initial results. Rofo Fortschr. Geb. Rontgenstr. Neuen Bildgeb. Verfahr. 2004, 176, 170–174. [Google Scholar] [CrossRef]
- Hansch, A.; Kohlmann, P.; Hinneburg, U.; Boettcher, J.; Malich, A.; Wolf, G.; Laue, H.; Pfeil, A. Quantitative Evaluation of MR Perfusion Imaging Using Blood Pool Contrast Agent in Subjects without Pulmonary Diseases and in Patients with Pulmonary Embolism. Eur. Radiol. 2012, 22, 1748–1756. [Google Scholar] [CrossRef]
- Ohno, Y.; Koyama, H.; Matsumoto, K.; Onishi, Y.; Nogami, M.; Takenaka, D.; Yoshikawa, T.; Matsumoto, S.; Sugimura, K. Dynamic MR Perfusion Imaging: Capability for Quantitative Assessment of Disease Extent and Prediction of Outcome for Patients with Acute Pulmonary Thromboembolism. J. Magn. Reson. Imaging 2010, 31, 1081–1090. [Google Scholar] [CrossRef]
- Rajaram, S.; Swift, A.J.; Telfer, A.; Hurdman, J.; Marshall, H.; Lorenz, E.; Capener, D.; Davies, C.; Hill, C.; Elliot, C.; et al. 3D Contrast-Enhanced Lung Perfusion MRI Is an Effective Screening Tool for Chronic Thromboembolic Pulmonary Hypertension: Results from the ASPIRE Registry. Thorax 2013, 68, 677–678. [Google Scholar] [CrossRef] [PubMed]
- Ley, S.; Fink, C.; Zaporozhan, J.; Borst, M.M.; Meyer, F.J.; Puderbach, M.; Eichinger, M.; Plathow, C.; Grünig, E.; Kreitner, K.-F.; et al. Value of High Spatial and High Temporal Resolution Magnetic Resonance Angiography for Differentiation between Idiopathic and Thromboembolic Pulmonary Hypertension: Initial Results. Eur. Radiol. 2005, 15, 2256–2263. [Google Scholar] [CrossRef] [PubMed]
- Ohno, Y.; Koyama, H.; Yoshikawa, T.; Nishio, M.; Matsumoto, S.; Matsumoto, K.; Aoyama, N.; Nogami, M.; Murase, K.; Sugimura, K. Contrast-Enhanced Multidetector-Row Computed Tomography vs. Time-Resolved Magnetic Resonance Angiography vs. Contrast-Enhanced Perfusion MRI: Assessment of Treatment Response by Patients with Inoperable Chronic Thromboembolic Pulmonary Hypertension. J. Magn. Reson. Imaging 2012, 36, 612–623. [Google Scholar] [CrossRef] [PubMed]
- Schönfeld, C.; Cebotari, S.; Voskrebenzev, A.; Gutberlet, M.; Hinrichs, J.; Renne, J.; Hoeper, M.M.; Olsson, K.M.; Welte, T.; Wacker, F.; et al. Performance of Perfusion-Weighted Fourier Decomposition MRI for Detection of Chronic Pulmonary Emboli: Detection of Chronic PE. J. Magn. Reson. Imaging 2015, 42, 72–79. [Google Scholar] [CrossRef]
- Ohno, Y.; Hatabu, H.; Murase, K.; Higashino, T.; Nogami, M.; Yoshikawa, T.; Sugimura, K. Primary Pulmonary Hypertension: 3D Dynamic Perfusion MRI for Quantitative Analysis of Regional Pulmonary Perfusion. Am. J. Roentgenol. 2007, 188, 48–56. [Google Scholar] [CrossRef] [PubMed]
- Swift, A.J.; Telfer, A.; Rajaram, S.; Condliffe, R.; Marshall, H.; Capener, D.; Hurdman, J.; Elliot, C.; Kiely, D.G.; Wild, J.M. Dynamic Contrast–Enhanced Magnetic Resonance Imaging in Patients with Pulmonary Arterial Hypertension. Pulm. Circ. 2014, 4, 61–70. [Google Scholar] [CrossRef]
- Skrok, J.; Shehata, M.L.; Mathai, S.; Girgis, R.E.; Zaiman, A.; Mudd, J.O.; Boyce, D.; Lechtzin, N.; Lima, J.A.C.; Bluemke, D.A.; et al. Pulmonary Arterial Hypertension: MR Imaging-Derived First-Pass Bolus Kinetic Parameters Are Biomarkers for Pulmonary Hemodynamics, Cardiac Function, and Ventricular Remodeling. Radiology 2012, 263, 678–687. [Google Scholar] [CrossRef]
- Ohno, Y.; Koyama, H.; Nogami, M.; Takenaka, D.; Matsumoto, S.; Onishi, Y.; Matsumoto, K.; Murase, K.; Sugimura, K. Dynamic Perfusion MRI: Capability for Evaluation of Disease Severity and Progression of Pulmonary Arterial Hypertension in Patients with Connective Tissue Disease. J. Magn. Reson. Imaging 2008, 28, 887–899. [Google Scholar] [CrossRef]
- Hueper, K.; Parikh, M.A.; Prince, M.R.; Schoenfeld, C.; Liu, C.; Bluemke, D.A.; Dashnaw, S.M.; Goldstein, T.A.; Hoffman, E.A.; Lima, J.A.; et al. Quantitative and Semiquantitative Measures of Regional Pulmonary Microvascular Perfusion by Magnetic Resonance Imaging and Their Relationships to Global Lung Perfusion and Lung Diffusing Capacity: The Multiethnic Study of Atherosclerosis Chronic Obstructive Pulmonary Disease Study. Investig. Radiol. 2013, 48, 223–230. [Google Scholar] [CrossRef]
- Sergiacomi, G.; Bolacchi, F.; Cadioli, M.; Angeli, M.L.; Fucci, F.; Crusco, S.; Rogliani, P.; Pezzuto, G.; Romeo, F.; Mariano, E.; et al. Combined Pulmonary Fibrosis and Emphysema: 3D Time-Resolved MR Angiographic Evaluation of Pulmonary Arterial Mean Transit Time and Time to Peak Enhancement. Radiology 2010, 254, 601–608. [Google Scholar] [CrossRef]
- Runge, V.M. Critical Questions Regarding Gadolinium Deposition in the Brain and Body after Injections of the Gadolinium-Based Contrast Agents, Safety, and Clinical Recommendations in Consideration of the EMA’s Pharmacovigilance and Risk Assessment Committee Recommendation for Suspension of the Marketing Authorizations for 4 Linear Agents. Investig. Radiol. 2017, 52, 317–323. [Google Scholar] [CrossRef]
- Prybylski, J.P.; Semelka, R.C.; Jay, M. The Stability of Gadolinium-Based Contrast Agents in Human Serum: A Reanalysis of Literature Data and Association with Clinical Outcomes. Magn. Reson. Imaging 2017, 38, 145–151. [Google Scholar] [CrossRef] [PubMed]
- Schoenfeld, C.; Cebotari, S.; Hinrichs, J.; Renne, J.; Kaireit, T.; Olsson, K.M.; Voskrebenzev, A.; Gutberlet, M.; Hoeper, M.M.; Welte, T.; et al. MR Imaging–Derived Regional Pulmonary Parenchymal Perfusion and Cardiac Function for Monitoring Patients with Chronic Thromboembolic Pulmonary Hypertension before and after Pulmonary Endarterectomy. Radiology 2016, 279, 925–934. [Google Scholar] [CrossRef] [PubMed]
- Itatani, K.; Miyazaki, S.; Furusawa, T.; Numata, S.; Yamazaki, S.; Morimoto, K.; Makino, R.; Morichi, H.; Nishino, T.; Yaku, H. New Imaging Tools in Cardiovascular Medicine: Computational Fluid Dynamics and 4D Flow MRI. Gen. Thorac. Cardiovasc. Surg. 2017, 65, 611–621. [Google Scholar] [CrossRef] [PubMed]
- Zambrano, B.A.; McLean, N.A.; Zhao, X.; Tan, J.-L.; Zhong, L.; Figueroa, C.A.; Lee, L.C.; Baek, S. Image-Based Computational Assessment of Vascular Wall Mechanics and Hemodynamics in Pulmonary Arterial Hypertension Patients. J. Biomech. 2018, 68, 84–92. [Google Scholar] [CrossRef] [PubMed]
- Su, Z.; Tan, W.; Shandas, R.; Hunter, K.S. Influence of Distal Resistance and Proximal Stiffness on Hemodynamics and RV Afterload in Progression and Treatments of Pulmonary Hypertension: A Computational Study with Validation Using Animal Models. Comput. Math. Methods Med. 2013, 2013, 1–12. [Google Scholar] [CrossRef]
- Kheyfets, V.O.; Rios, L.; Smith, T.; Schroeder, T.; Mueller, J.; Murali, S.; Lasorda, D.; Zikos, A.; Spotti, J.; Reilly, J.J.; et al. Patient-Specific Computational Modeling of Blood Flow in the Pulmonary Arterial Circulation. Comput. Methods Programs Biomed. 2015, 120, 88–101. [Google Scholar] [CrossRef] [PubMed]
- Tang, B.T.; Pickard, S.S.; Chan, F.P.; Tsao, P.S.; Taylor, C.A.; Feinstein, J.A. Wall Shear Stress Is Decreased in the Pulmonary Arteries of Patients with Pulmonary Arterial Hypertension: An Image-Based, Computational Fluid Dynamics Study. Pulm. Circ. 2012, 2, 470–476. [Google Scholar] [CrossRef]
- Hunter, K.S.; Feinstein, J.A.; Ivy, D.D.; Shandas, R. Computational Simulation of the Pulmonary Arteries and Its Role in the Study of Pediatric Pulmonary Hypertension. Prog. Pediatr. Cardiol. 2010, 30, 63–69. [Google Scholar] [CrossRef]
- Spazzapan, M.; Sastry, P.; Dunning, J.; Nordsletten, D.; de Vecchi, A. The Use of Biophysical Flow Models in the Surgical Management of Patients Affected by Chronic Thromboembolic Pulmonary Hypertension. Front. Physiol. 2018, 9, 223. [Google Scholar] [CrossRef]
- Reiter, U.; Reiter, G.; Fuchsjäger, M. MR Phase-Contrast Imaging in Pulmonary Hypertension. BJR 2016, 89, 20150995. [Google Scholar] [CrossRef] [PubMed]
- Reiter, U.; Reiter, G.; Kovacs, G.; Stalder, A.F.; Gulsun, M.A.; Greiser, A.; Olschewski, H.; Fuchsjäger, M. Evaluation of Elevated Mean Pulmonary Arterial Pressure Based on Magnetic Resonance 4D Velocity Mapping: Comparison of Visualization Techniques. PLoS ONE 2013, 8, e82212. [Google Scholar] [CrossRef] [PubMed]
- Helderman, F.; Mauritz, G.-J.; Andringa, K.E.; Vonk-Noordegraaf, A.; Marcus, J.T. Early Onset of Retrograde Flow in the Main Pulmonary Artery Is a Characteristic of Pulmonary Arterial Hypertension. J. Magn. Reson. Imaging 2011, 33, 1362–1368. [Google Scholar] [CrossRef] [PubMed]
- Ota, H.; Sugimura, K.; Miura, M.; Shimokawa, H. Four-Dimensional Flow Magnetic Resonance Imaging Visualizes Drastic Change in Vortex Flow in the Main Pulmonary Artery after Percutaneous Transluminal Pulmonary Angioplasty in a Patient with Chronic Thromboembolic Pulmonary Hypertension. Eur. Heart J. 2015, 36, 1630. [Google Scholar] [CrossRef] [PubMed]
- Barker, A.J.; Roldán-Alzate, A.; Entezari, P.; Shah, S.J.; Chesler, N.C.; Wieben, O.; Markl, M.; François, C.J. Four-Dimensional Flow Assessment of Pulmonary Artery Flow and Wall Shear Stress in Adult Pulmonary Arterial Hypertension: Results from Two Institutions: Pulmonary Arterial Flow in Adult Pulmonary Arterial Hypertension. Magn. Reson. Med. 2015, 73, 1904–1913. [Google Scholar] [CrossRef] [PubMed]
- Odagiri, K.; Inui, N.; Miyakawa, S.; Hakamata, A.; Wei, J.; Takehara, Y.; Sakahara, H.; Sugiyama, M.; Alley, M.T.; Tran, Q.-K.; et al. Abnormal Hemodynamics in the Pulmonary Artery Seen on Time-Resolved 3-Dimensional Phase-Contrast Magnetic Resonance Imaging (4D-Flow) in a Young Patient With Idiopathic Pulmonary Arterial Hypertension. Circ. J. 2014, 78, 1770–1772. [Google Scholar] [CrossRef] [PubMed]
- Schäfer, M.; Kheyfets, V.O.; Schroeder, J.D.; Dunning, J.; Shandas, R.; Buckner, J.K.; Browning, J.; Hertzberg, J.; Hunter, K.S.; Fenster, B.E. Main Pulmonary Arterial Wall Shear Stress Correlates with Invasive Hemodynamics and Stiffness in Pulmonary Hypertension. Pulm. Circ. 2016, 6, 37–45. [Google Scholar] [CrossRef]
- Kheyfets, V.O.; Schafer, M.; Podgorski, C.A.; Schroeder, J.D.; Browning, J.; Hertzberg, J.; Buckner, J.K.; Hunter, K.S.; Shandas, R.; Fenster, B.E. 4D Magnetic Resonance Flow Imaging for Estimating Pulmonary Vascular Resistance in Pulmonary Hypertension: Estimating PVR With MRI. J. Magn. Reson. Imaging 2016, 44, 914–922. [Google Scholar] [CrossRef]
- Han, Q.J.; Witschey, W.R.T.; Fang-Yen, C.M.; Arkles, J.S.; Barker, A.J.; Forfia, P.R.; Han, Y. Altered Right Ventricular Kinetic Energy Work Density and Viscous Energy Dissipation in Patients with Pulmonary Arterial Hypertension: A Pilot Study Using 4D Flow MRI. PLoS ONE 2015, 10, e0138365. [Google Scholar] [CrossRef]
- Deo, R.C. Machine Learning in Medicine. Circulation 2015, 132, 1920–1930. [Google Scholar] [CrossRef]
- Mackie, P.; Sim, F.; Johnman, C. Big Data! Big Deal? Public Health 2015, 129, 189–190. [Google Scholar] [CrossRef] [PubMed]
- LeCun, Y.; Bengio, Y.; Hinton, G. Deep Learning. Nature 2015, 521, 436–444. [Google Scholar] [CrossRef] [PubMed]
- Albrecht, M.H.; Bickford, M.W.; Nance, J.W.; Zhang, L.; De Cecco, C.N.; Wichmann, J.L.; Vogl, T.J.; Schoepf, U.J. State-of-the-Art Pulmonary CT Angiography for Acute Pulmonary Embolism. Am. J. Roentgenol. 2017, 208, 495–504. [Google Scholar] [CrossRef] [PubMed]
- Dhakal, P.; Iftikhar, M.H.; Wang, L.; Atti, V.; Panthi, S.; Ling, X.; Mujer, M.T.P.; Dawani, O.; Rai, M.P.; Tatineni, S.; et al. Overutilisation of Imaging Studies for Diagnosis of Pulmonary Embolism: Are We Following the Guidelines? Postgrad. Med. J. 2019, 95, 420–424. [Google Scholar] [CrossRef] [PubMed]
- Wasson, J.H. Clinical Prediction Rules. Have They Come of Age? JAMA 1996, 275, 641–642. [Google Scholar] [CrossRef]
- Banerjee, I.; Sofela, M.; Yang, J.; Chen, J.H.; Shah, N.H.; Ball, R.; Mushlin, A.I.; Desai, M.; Bledsoe, J.; Amrhein, T.; et al. Development and Performance of the Pulmonary Embolism Result Forecast Model (PERFORM) for Computed Tomography Clinical Decision Support. JAMA Netw. Open 2019, 2, e198719. [Google Scholar] [CrossRef]
- Eberhard, M.; Alkadhi, H. Machine Learning and Deep Neural Networks: Applications in Patient and Scan Preparation, Contrast Medium, and Radiation Dose Optimization. J. Thorac. Imaging 2020, 35, S17–S20. [Google Scholar] [CrossRef]
- Liang, J.; Bi, J. Computer aided detection of pulmonary embolism with tobogganing and mutiple instance classification in CT pulmonary angiography. In IPMI; Karssemeijer, N., Lelieveldt, B., Eds.; LNCS; Springer: Heidelberg, Germany, 2007; Volume 4584, pp. 630–641. [Google Scholar]
- Buhmann, S.; Herzog, P.; Liang, J.; Wolf, M.; Salganicoff, M.; Kirchhoff, C.; Reiser, M.; Becker, C.H. Clinical Evaluation of a Computer-Aided Diagnosis (CAD) Prototype for the Detection of Pulmonary Embolism. Acad. Radiol. 2007, 14, 651–658. [Google Scholar] [CrossRef]
- Das, M.; Mühlenbruch, G.; Helm, A.; Bakai, A.; Salganicoff, M.; Stanzel, S.; Liang, J.; Wolf, M.; Günther, R.W.; Wildberger, J.E. Computer-Aided Detection of Pulmonary Embolism: Influence on Radiologists’ Detection Performance with Respect to Vessel Segments. Eur. Radiol. 2008, 18, 1350–1355. [Google Scholar] [CrossRef]
- Park, S.C.; Chapman, B.E.; Zheng, B.E. A Multistage Approach to Improve Performance of Computer-Aided Detection of Pulmonary Embolisms Depicted on CT Images: Preliminary Investigation. IEEE Trans. Biomed. Eng. 2011, 58, 1519–1527. [Google Scholar] [CrossRef]
- Tajbakhsh, N.; Gotway, M.B.; Liang, J. Computer-Aided Pulmonary Embolism Detection Using a Novel Vessel-Aligned Multi-Planar Image Representation and Convolutional Neural Networks. In Medical Image Computing and Computer-Assisted Intervention—MICCAI 2015; Navab, N., Hornegger, J., Wells, W.M., Frangi, A., Eds.; Lecture Notes in Computer Science; Springer International Publishing: Cham, Switzerland, 2015; Volume 9350, pp. 62–69. [Google Scholar] [CrossRef]
- Engelke, C.; Schmidt, S.; Bakai, A.; Auer, F.; Marten, K. Computer-Assisted Detection of Pulmonary Embolism: Performance Evaluation in Consensus with Experienced and Inexperienced Chest Radiologists. Eur. Radiol. 2008, 18, 298–307. [Google Scholar] [CrossRef] [PubMed]
- Li, Y.; Dai, Y.; Deng, L.; Yu, N.; Guo, Y. Computer-Aided Detection for the Automated Evaluation of Pulmonary Embolism. THC 2017, 25, 135–142. [Google Scholar] [CrossRef] [PubMed]
- González, G.; Jiménez-Carretero, D.; Rodríguez-López, S.; Kumamaru, K.K.; George, E.; San José Estépar, R.; Rybicki, F.J.; Ledesma-Carbayo, M.J. Automated Axial Right Ventricle to Left Ventricle Diameter Ratio Computation in Computed Tomography Pulmonary Angiography. PLoS ONE 2015, 10, e0127797. [Google Scholar] [CrossRef] [PubMed]
- Scott, J.A.; Palmer, E.L. Neural Network Analysis of Ventilation-Perfusion Lung Scans. Radiology 1993, 186, 661–664. [Google Scholar] [CrossRef] [PubMed]
- Patil, S.; Henry, J.W.; Rubenfire, M.; Stein, P.D. Neural Network in the Clinical Diagnosis of Acute Pulmonary Embolism. Chest 1993, 104, 1685–1689. [Google Scholar] [CrossRef]
- Tourassi, G.D.; Floyd, C.E.; Sostman, H.D.; Coleman, R.E. Acute Pulmonary Embolism: Artificial Neural Network Approach for Diagnosis. Radiology 1993, 189, 555–558. [Google Scholar] [CrossRef]
- Holst, H.; Åström, K.; Järund, A.; Palmer, J.; Heyden, A.; Kahl, F.; Trägil, K.; Evander, E.; Sparr, G.; Edenbrandt, L. Automated Interpretation of Ventilation-Perfusion Lung Scintigrams for the Diagnosis of Pulmonary Embolism Using Artificial Neural Networks. Eur. J. Nucl. Med. Mol. Imaging 2000, 27, 400–406. [Google Scholar] [CrossRef]
- Betancur, J.; Otaki, Y.; Motwani, M.; Fish, M.B.; Lemley, M.; Dey, D.; Gransar, H.; Tamarappoo, B.; Germano, G.; Sharir, T.; et al. Prognostic Value of Combined Clinical and Myocardial Perfusion Imaging Data Using Machine Learning. JACC Cardiovasc. Imaging 2018, 11, 1000–1009. [Google Scholar] [CrossRef]
- Leha, A.; Hellenkamp, K.; Unsöld, B.; Mushemi-Blake, S.; Shah, A.M.; Hasenfuß, G.; Seidler, T. A Machine Learning Approach for the Prediction of Pulmonary Hypertension. PLoS ONE 2019, 14, e0224453. [Google Scholar] [CrossRef]
- Zhang, J.; Gajjala, S.; Agrawal, P.; Tison, G.H.; Hallock, L.A.; Beussink-Nelson, L.; Lassen, M.H.; Fan, E.; Aras, M.A.; Jordan, C.; et al. Fully Automated Echocardiogram Interpretation in Clinical Practice: Feasibility and Diagnostic Accuracy. Circulation 2018, 138, 1623–1635. [Google Scholar] [CrossRef]
- Sengupta, P.P.; Huang, Y.-M.; Bansal, M.; Ashrafi, A.; Fisher, M.; Shameer, K.; Gall, W.; Dudley, J.T. Cognitive Machine-Learning Algorithm for Cardiac Imaging: A Pilot Study for Differentiating Constrictive Pericarditis From Restrictive Cardiomyopathy. Circ. Cardiovasc. Imaging 2016, 9. [Google Scholar] [CrossRef]
- Sanchez-Martinez, S.; Duchateau, N.; Erdei, T.; Kunszt, G.; Aakhus, S.; Degiovanni, A.; Marino, P.; Carluccio, E.; Piella, G.; Fraser, A.G.; et al. Machine Learning Analysis of Left Ventricular Function to Characterize Heart Failure With Preserved Ejection Fraction. Circ. Cardiovasc. Imaging 2018, 11. [Google Scholar] [CrossRef] [PubMed]
- Tabassian, M.; Sunderji, I.; Erdei, T.; Sanchez-Martinez, S.; Degiovanni, A.; Marino, P.; Fraser, A.G.; D’hooge, J. Diagnosis of Heart Failure With Preserved Ejection Fraction: Machine Learning of Spatiotemporal Variations in Left Ventricular Deformation. J. Am. Soc. Echocardiogr. 2018, 31, 1272–1284.e9. [Google Scholar] [CrossRef] [PubMed]
- Kusunose, K.; Abe, T.; Haga, A.; Fukuda, D.; Yamada, H.; Harada, M.; Sata, M. A Deep Learning Approach for Assessment of Regional Wall Motion Abnormality from Echocardiographic Images. JACC Cardiovasc. Imaging 2020, 13, 374–381. [Google Scholar] [CrossRef] [PubMed]
- Winther, H.B.; Hundt, C.; Schmidt, B.; Czerner, C.; Bauersachs, J.; Wacker, F.; Vogel-Claussen, J. ν-Net. JACC Cardiovasc. Imaging 2018, 11, 1036–1038. [Google Scholar] [CrossRef]
- Avendi, M.R.; Kheradvar, A.; Jafarkhani, H. Automatic Segmentation of the Right Ventricle from Cardiac MRI Using a Learning-Based Approach: Automatic Segmentation Using a Learning-Based Approach. Magn. Reson. Med. 2017, 78, 2439–2448. [Google Scholar] [CrossRef]
- Bai, W.; Shi, W.; de Marvao, A.; Dawes, T.J.W.; O’Regan, D.P.; Cook, S.A.; Rueckert, D. A Bi-Ventricular Cardiac Atlas Built from 1000+ High Resolution MR Images of Healthy Subjects and an Analysis of Shape and Motion. Med. Image Anal. 2015, 26, 133–145. [Google Scholar] [CrossRef]
- Mauger, C.; Gilbert, K.; Lee, A.M.; Sanghvi, M.M.; Aung, N.; Fung, K.; Carapella, V.; Piechnik, S.K.; Neubauer, S.; Petersen, S.E.; et al. Right Ventricular Shape and Function: Cardiovascular Magnetic Resonance Reference Morphology and Biventricular Risk Factor Morphometrics in UK Biobank. J. Cardiovasc. Magn. Reson. 2019, 21, 41. [Google Scholar] [CrossRef]
- Swift, A.J.; Lu, H.; Uthoff, J.; Garg, P.; Cogliano, M.; Taylor, J.; Metherall, P.; Zhou, S.; Johns, C.S.; Alabed, S.; et al. A Machine Learning Cardiac Magnetic Resonance Approach to Extract Disease Features and Automate Pulmonary Arterial Hypertension Diagnosis. Eur. Heart J.—Cardiovasc. Imaging 2020, jeaa001. [Google Scholar] [CrossRef]
- Dawes, T.J.W.; de Marvao, A.; Shi, W.; Fletcher, T.; Watson, G.M.J.; Wharton, J.; Rhodes, C.J.; Howard, L.S.G.E.; Gibbs, J.S.R.; Rueckert, D.; et al. Machine Learning of Three-Dimensional Right Ventricular Motion Enables Outcome Prediction in Pulmonary Hypertension: A Cardiac MR Imaging Study. Radiology 2017, 283, 381–390. [Google Scholar] [CrossRef]
- Samad, M.D.; Wehner, G.J.; Arbabshirani, M.R.; Jing, L.; Powell, A.J.; Geva, T.; Haggerty, C.M.; Fornwalt, B.K. Predicting Deterioration of Ventricular Function in Patients with Repaired Tetralogy of Fallot Using Machine Learning. Eur. Heart J.—Cardiovasc. Imaging 2018, 19, 730–738. [Google Scholar] [CrossRef] [PubMed]
- Gillies, R.J.; Kinahan, P.E.; Hricak, H. Radiomics: Images Are More than Pictures, They Are Data. Radiology 2016, 278, 563–577. [Google Scholar] [CrossRef]
- Leopold, J.A.; Maron, B.A. Precision Medicine in Pulmonary Arterial Hypertension: A First Step. Circ. Res. 2019, 124, 832–833. [Google Scholar] [CrossRef]
- Lambin, P.; Rios-Velazquez, E.; Leijenaar, R.; Carvalho, S.; van Stiphout, R.G.P.M.; Granton, P.; Zegers, C.M.L.; Gillies, R.; Boellard, R.; Dekker, A.; et al. Radiomics: Extracting More Information from Medical Images Using Advanced Feature Analysis. Eur. J. Cancer 2012, 48, 441–446. [Google Scholar] [CrossRef] [PubMed]
- Kumar, V.; Gu, Y.; Basu, S.; Berglund, A.; Eschrich, S.A.; Schabath, M.B.; Forster, K.; Aerts, H.J.W.L.; Dekker, A.; Fenstermacher, D.; et al. Radiomics: The Process and the Challenges. Magn. Reson. Imaging 2012, 30, 1234–1248. [Google Scholar] [CrossRef] [PubMed]
- Hemnes, A.R.; Beck, G.J.; Newman, J.H.; Abidov, A.; Aldred, M.A.; Barnard, J.; Berman Rosenzweig, E.; Borlaug, B.A.; Chung, W.K.; Comhair, S.A.A.; et al. PVDOMICS: A Multi-Center Study to Improve Understanding of Pulmonary Vascular Disease Through Phenomics. Circ. Res. 2017, 121, 1136–1139. [Google Scholar] [CrossRef] [PubMed]











Publisher’s Note: MDPI stays neutral with regard to jurisdictional claims in published maps and institutional affiliations. |
© 2020 by the authors. Licensee MDPI, Basel, Switzerland. This article is an open access article distributed under the terms and conditions of the Creative Commons Attribution (CC BY) license (http://creativecommons.org/licenses/by/4.0/).
Share and Cite
Gopalan, D.; Gibbs, J.S.R. From Early Morphometrics to Machine Learning—What Future for Cardiovascular Imaging of the Pulmonary Circulation? Diagnostics 2020, 10, 1004. https://doi.org/10.3390/diagnostics10121004
Gopalan D, Gibbs JSR. From Early Morphometrics to Machine Learning—What Future for Cardiovascular Imaging of the Pulmonary Circulation? Diagnostics. 2020; 10(12):1004. https://doi.org/10.3390/diagnostics10121004
Chicago/Turabian StyleGopalan, Deepa, and J. Simon R. Gibbs. 2020. "From Early Morphometrics to Machine Learning—What Future for Cardiovascular Imaging of the Pulmonary Circulation?" Diagnostics 10, no. 12: 1004. https://doi.org/10.3390/diagnostics10121004
APA StyleGopalan, D., & Gibbs, J. S. R. (2020). From Early Morphometrics to Machine Learning—What Future for Cardiovascular Imaging of the Pulmonary Circulation? Diagnostics, 10(12), 1004. https://doi.org/10.3390/diagnostics10121004

