The Diagnosis of Autoimmune Pancreatitis Using Endoscopic Ultrasonography
Abstract
1. Introduction
2. Diagnostic Criteria for AIP
3. The Role of Endoscopy in the Diagnosis of AIP
3.1. Endoscopic Retrograde Cholangiopancreatography
3.2. IDUS
3.3. EUS
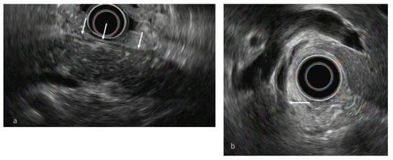
3.3.1. Conventional EUS
3.3.2. Contrast-Enhanced EUS
Ultrasound Contrast Agents/Contrast-Enhanced Ultrasound
Contrast-Enhanced Doppler EUS
Contrast-Enhanced Harmonic EUS
3.3.3. Elastography
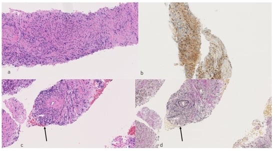
3.3.4. EUS-Fine Needle Aspiration
4. EUS-FNA Procedures
4.1. Puncture Needles
4.2. Puncture Technique
4.3. Processing Pathological Specimens
5. Can Endoscopic Diagnosis Rule out Pancreatic Cancer or Cholangiocarcinoma?
6. Conclusions
Author Contributions
Funding
Conflicts of Interest
References
- Yoshida, K.; Toki, F.; Takeuchi, T.; Watanabe, S.; Shiratori, K.; Hayashi, N. Chronic pancreatitis caused by an autoimmune abnormality. Proposal of the concept of autoimmune pancreatitis. Dig. Dis. Sci. 1995, 40, 1561–1568. [Google Scholar] [CrossRef] [PubMed]
- Umehara, H.; Okazaki, K.; Masaki, Y.; Kawano, M.; Yamamoto, M.; Saeki, T.; Matsui, S.; Yoshino, T.; Nakamura, S.; Kawa, S.; et al. Comprehensive diagnostic criteria for IgG4-related disease(IgG4-RD), 2011. Mod. Rheumatol. 2012, 22, 21–30. [Google Scholar] [CrossRef] [PubMed]
- Members of the Criteria Committee for Autoimmune Pancreatitis of the Japan Pancreas Society. Diagnostic criteria for autoimmune pancreatitis by the Japan Pancreas Society (2002). Suizo 2002, 17, 585–587. [Google Scholar]
- Okazaki, K.; Kawa, S.; Kamisawa, T.; Naruse, S.; Tanaka, S.; Nishimori, I.; Ohara, H.; Ito, T.; Kiriyama, S.; Inui, K.; et al. Clinical diagnostic criteria of autoimmune pancreatitis: Revised proposal. J. Gastroenterol. 2006, 41, 626–631. [Google Scholar] [CrossRef] [PubMed]
- The Japan Pancreas Society, the Ministry of Health and Welfare Investigation Research Team for Intractable Pancreatic Disease. Clinical diagnostic criteria for autoimmune pancreatitis 2011 (proposal). Suizou 2012, 27, 17–25. [Google Scholar] [CrossRef]
- Shimosegawa, T.; Chari, S.T.; Frulloni, L.; Kamisawa, T.; Kawa, S.; Mino-Kenudson, M.; Kim, M.H.; Klöppel, G.; Lerch, M.M.; Löhr, M.; et al. International Consensus Diagnostic Criteria for Autoimmune Pancreatitis: Guidelines of the International Association of Pancreatology. Pancreas 2011, 40, 352–358. [Google Scholar] [CrossRef]
- Chari, S.T.; Kloeppel, G.; Zhang, L.; Notohara, K.; Lerch, M.M.; Shimosegawa, T.; Autoimmune Pancreatitis International Cooperative Study Group (APICS). Histopathologic and clinical subtypes of autoimmune pancreatitis: The Honolulu consensus document. Pancreas 2010, 39, 549–554. [Google Scholar] [CrossRef]
- The Japan Pancreas Society, the Ministry of Health and Welfare Investigation Research Team for Intractable Pancreatic Disease. Clinical diagnostic criteria for autoimmune pancreatitis 2018 (proposal). Suizou 2018, 33, 902–913. [Google Scholar]
- Wakabayashi, T.; Kawaura, Y.; Satomura, Y.; Watanabe, H.; Motoo, Y.; Okai, T.; Sawabu, N. Clinical and imaging features of autoimmune pancreatitis with focal pancreatic swelling or mass formation: Comparison with so-called tumor-forming pancreatitis and pancreatic carcinoma. Am. J. Gastroenterol. 2003, 98, 2679–2687. [Google Scholar] [CrossRef]
- Takuma, K.; Kamisawa, T.; Tabata, T.; Inaba, Y.; Egawa, N.; Igarashi, Y. Utility of pancreatography for diagnosing autoimmune pancreatitis. World J. Gastroenterol. 2011, 17, 2332–2337. [Google Scholar] [CrossRef] [PubMed]
- Sugumar, A.; Levy, M.J.; Kamisawa, T.; Webster, G.J.; Kim, M.H.; Enders, F.; Amin, Z.; Baron, T.H.; Chapman, M.H.; Church, N.I.; et al. Endoscopic retrograde pancreatography criteria to diagnose autoimmune pancreatitis: An international multicentre study. Gut 2011, 60, 666–670. [Google Scholar] [CrossRef] [PubMed]
- Ghazale, A.; Chari, S.T.; Zhang, L.; Smyrk, T.C.; Takahashi, N.; Levy, M.J.; Topazian, M.D.; Clain, J.E.; Pearson, R.K.; Petersen, B.T.; et al. Immunoglobulin G4-associated cholangitis: Clinical profile and response to therapy. Gastroenterology 2008, 134, 706–715. [Google Scholar] [CrossRef] [PubMed]
- Ohara, H.; Okazaki, K.; Tsubouchi, H.; Inui, K.; Kawa, S.; Kamisawa, T.; Tazuma, S.; Uchida, K.; Hirano, K.; Yoshida, H.; et al. Clinical diagnostic criteria of IgG4-related sclerosing cholangitis 2012. J. Hepatobiliary Pancreat. Sci. 2012, 19, 536–542. [Google Scholar] [CrossRef] [PubMed]
- Nakazawa, T.; Ohara, H.; Sano, H.; Ando, T.; Joh, T. Schematic classification of sclerosing cholangitis with autoimmune pancreatitis by cholangiography. Pancreas 2006, 32, 229. [Google Scholar] [CrossRef]
- Nakazawa, T.; Ohara, H.; Sano, H.; Aoki, S.; Kobayashi, S.; Okamoto, T.; Imai, H.; Nomura, T.; Joh, T.; Itoh, M. Cholangiography can discriminate sclerosing cholangitis with autoimmune pancreatitis from primary sclerosing cholangitis. Gastrointest. Endosc. 2004, 60, 937–944. [Google Scholar] [CrossRef]
- Kawakami, H.; Zen, Y.; Kuwatani, M.; Eto, K.; Haba, S.; Yamato, H.; Shinada, K.; Kubota, K.; Asaka, M. IgG4-related sclerosing cholangitis and autoimmune pancreatitis: Histological assessment of biopsies from Vater’s ampulla and the bile duct. J. Gastroenterol. Hepatol. 2010, 25, 1648–1655. [Google Scholar] [CrossRef]
- Naitoh, I.; Nakazawa, T.; Ohara, H.; Ando, T.; Hayashi, K.; Tanaka, H.; Okumura, F.; Takahashi, S.; Joh, T. Endoscopic transpapillary intraductal ultrasonography and biopsy in the diagnosis of IgG4-related sclerosing cholangitis. J. Gastroenterol. 2009, 44, 1147–1155. [Google Scholar] [CrossRef]
- Hirano, K.; Tada, M.; Isayama, H.; Yamamoto, K.; Mizuno, S.; Yagioka, H.; Yashima, Y.; Sasaki, T.; Kogure, H.; Togawa, O.; et al. Endoscopic evaluation of factors contributing to intrapancreatic biliary stricture in autoimmune pancreatitis. Gastrointest. Endosc. 2010, 71, 85–90. [Google Scholar] [CrossRef]
- Umemura, T.; Zen, Y.; Hamano, H.; Kawa, S.; Nakanuma, Y.; Kiyosawa, K. Immunoglobin G4-hepatopathy: Association of immunoglobin G4-bearing plasma cells in liver with autoimmune pancreatitis. Hepatology 2007, 46, 463–471. [Google Scholar] [CrossRef]
- Deshpande, V.; Sainani, N.I.; Chung, R.T.; Pratt, D.S.; Mentha, G.; Rubbia-Brandt, L.; Lawwers, G.Y. IgG4-associated cholangitis: A comparative histological and immunophenotypic study with primary sclerosing cholangitis on liver biopsy material. Mod. Pathol. 2009, 22, 1287–1295. [Google Scholar] [CrossRef]
- Naitoh, I.; Zen, Y.; Nakazawa, T.; Ando, T.; Hayashi, K.; Okumura, F.; Miyabe, K.; Yoshida, M.; Nojiri, S.; Kanematsu, T. Small bile duct involvement in IgG4-related sclerosing cholangitis: Liver biopsy and cholangiography correlation. J. Gastroenterol. 2011, 46, 269–276. [Google Scholar] [CrossRef] [PubMed]
- Kubota, K.; Kato, S.; Akiyama, T.; Yoneda, M.; Fujita, K.; Ogawa, M.; Inamori, M.; Kobayashi, N.; Saito, S.; Kakuta, Y.; et al. Differentiating sclerosing cholangitis caused by autoimmune pancreatitis and primary sclerosing cholangitis according to endoscopic duodenal papillary features. Gastrointest. Endosc. 2008, 68, 1204–1208. [Google Scholar] [CrossRef] [PubMed]
- Tamada, K.; Tomiyama, T.; Wada, S.; Ohashi, A.; Satoh, Y.; Ido, K.; Sugano, K. Endoscopic transpapillary bile duct biopsy with the combination of intraductal ultrasonography in the diagnosis of biliary strictures. Gut 2002, 50, 326–331. [Google Scholar] [CrossRef] [PubMed]
- Moon, S.H.; Kim, M.H. The role of endoscopy in the diagnosis of autoimmune pancreatitis. Gastrointest. Endosc. 2012, 76, 645–656. [Google Scholar] [CrossRef]
- Kim, H.J.; Kim, Y.K.; Jeong, W.K.; Lee, W.J.; Choi, D. Pancreatic duct “Icicle sign” on MRI for distinguishing autoimmune pancreatitis from pancreatic ductal adenocarcinoma in the proximal pancreas. Eur. Radiol. 2015, 25, 1551–1560. [Google Scholar] [CrossRef]
- Negrelli, R.; Manfredi, R.; Pedrinolla, B.; Boninsegna, E.; Ventriglia, A.; Mehrabi, S.; Frulloni, L.; Pozzi Mucelli, R. Pancreatic duct abnormalities in focal autoimmune pancreatitis: MR/MRCP imaging findings. Eur. Radiol. 2015, 25, 359–367. [Google Scholar] [CrossRef]
- Carbognin, G.; Girardi, V.; Biasiutti, C.; Biasiutti, C.; Camera, L.; Manfredi, R.; Frulloni, L.; Hermans, J.J.; Mucelli, R.P. Autoimmune pancreatitis: Imaging findings on contrast-enhanced, M.R.; MRCP and dynamic secretin-enhanced MRCP. Radiol. Med. 2009, 114, 1214–1231. [Google Scholar] [CrossRef]
- Kuwatani, M.; Kawakami, H.; Zen, Y.; Kawakubo, K.; Kudo, T.; Abe, Y.; Kubo, K.; Sakamoto, N. Difference from bile duct cancer and relationship between bile duct wall thickness and serum IgG/IgG4 levels in IgG4-related sclerosing cholangitis. Hepatogastroenterology 2014, 61, 1852–1856. [Google Scholar]
- Moon, S.H.; Kim, M.H.; Park, D.H.; Song, T.J.; Eum, J.; Lee, S.S.; Seo, D.W.; Lee, S.K. IgG4 immunostaining of duodenal papillary biopsy specimens may be useful for supporting a diagnosis of autoimmune pancreatitis. Gastrointest. Endosc. 2010, 71, 960–966. [Google Scholar] [CrossRef]
- Hoki, N.; Mizuno, N.; Sawaki, A.; Tajika, M.; Takayama, R.; Shimizu, Y.; Bhatia, V.; Yamao, K. Diagnosis of autoimmune pancreatitis using endoscopic ultrasonography. J. Gastroenterol. 2009, 44, 154–159. [Google Scholar] [CrossRef]
- Farrell, J.J.; Garber, J.; Sahani, D.; Brugge, W.R. EUS findings in patients with autoimmune pancreatitis. Gastrointest. Endosc. 2004, 60, 927–936. [Google Scholar] [CrossRef]
- Okabe, Y.; Ishida, Y.; Kaji, R.; Sugiyama, G.; Yasumoto, M.; Naito, Y.; Toyonaga, A.; Tsuruta, O.; Sata, M. Endoscopic ultrasonographic study of autoimmune pancreatitis and the effect of steroid therapy. J. Hepatobiliary Pancreat. Sci. 2012, 19, 266–273. [Google Scholar] [CrossRef] [PubMed]
- Masuzaki, R.; Shiina, S.; Tateishi, R.; Yoshida, H.; Goto, E.; Sugioka, Y.; Kondo, Y.; Goto, T.; Ikeda, H.; Omata, M.; et al. Utility of contrast-enhanced ultrasonography with Sonazoid in radiofrequency ablation for hepatocellular carcinoma. J. Gastroenterol. Hepatol. 2011, 26, 759–764. [Google Scholar] [CrossRef] [PubMed]
- Sontum, P.C. Physicochemical characteristics of Sonazoid, a new contrast agent for ultrasound imaging. Ultrasound Med. Biol. 2008, 34, 824–833. [Google Scholar] [CrossRef]
- D’Onofrio, M.; Martone, E.; Malago, R.; Faccioli, N.; Zamboni, G.; Comai, A.; Cugini, C.; Gubello, T.; Pozzi Mucelli, R. Contrast-enhanced ultrasonography of the pancreas. JOP 2007, 8, 71–76. [Google Scholar]
- Faccioli, N.; D’Onofrio, M.; Malago, R.; Zamboni, G.; Falconi, M.; Capelli, P.; Mucelli, R.P. Resectable pancreatic adenocarcinoma: Depiction of tumoral margins at contrast-enhanced ultrasonography. Pancreas 2008, 37, 265–268. [Google Scholar] [CrossRef]
- Faccioli, N.; Crippa, S.; Bassi, C.; D’Onofrio, M. Contrast-enhanced ultrasonography of the pancreas. Pancreatology 2009, 9, 560–566. [Google Scholar] [CrossRef][Green Version]
- Recaldini, C.; Carrafiello, G.; Bertolotti, E.; Angeretti, M.G.; Fugazzola, C. Contrast-enhanced ultrasonograpic findings in pancreatic tumors. Int. J. Med. Sci. 2008, 5, 203–208. [Google Scholar] [CrossRef]
- Scialpi, M.; Midiri, M.; Bartolotta, T.V.; Cazzolla, M.P.; Rotondo, A.; Resta, M.C.; Lagalla, R.; Cardinale, A.E. Pancreatic carcinoma versus chronic focal pancreatitis: Contrast-enhanced power Doppler ultrasonography findings. Abdom. Imaging 2005, 30, 222–227. [Google Scholar] [CrossRef]
- Itoh, T.; Hirooka, Y.; Itoh, A.; Hashimoto, S.; Kawashima, H.; Hara, K.; Kanamori, A.; Ohmiya, N.; Niwa, Y.; Goto, H. Usefulness of contrast-enhanced transabdominal ultrasonography in the diagnosis of intraductal papillary mucinous tumors of the pancreas. Am. J. Gastroenterol. 2005, 100, 144–152. [Google Scholar] [CrossRef]
- Kersting, S.; Konopke, R.; Kersting, F.; Volk, A.; Distler, M.; Bergert, H.; Saeger, H.D.; Grützmann, R.; Bunk, A. Quantitative perfusion analysis of transabdominal contrast-enhanced ultrasonography of pancreatic masses and carcinomas. Gastroenterology 2009, 137, 1903–1911. [Google Scholar] [CrossRef]
- Kitano, M.; Sakamoto, H.; Matsui, U.; Ito, Y.; Maekawa, K.; von Schrenck, T.; Kudo, M. A novel perfusion imaging technique of the pancreas: Contrast-enhanced harmonic EUS (with video). Gastrointest. Endosc. 2008, 67, 141–150. [Google Scholar] [CrossRef]
- Dietrich, C.F.; Ignee, A.; Braden, B.; Barreiros, A.P.; Ott, M.; Hocke, M. Improved differentiation of pancreatic tumors using contrast-enhanced endoscopic ultrasound. Clin. Gastroenterol. Hepatol. 2008, 6, 590–597.e1. [Google Scholar] [CrossRef] [PubMed]
- Hocke, M.; Ignee, A.; Dietrich, C.F. Contrast-enhanced endoscopic ultrasound in the diagnosis of autoimmune pancreatitis. Endoscopy 2011, 43, 163–165. [Google Scholar] [CrossRef]
- Fusaroli, P.; Saftoiu, A.; Mancino, M.G.; Caletti, G.; Eloubeidi, M.A. Techniques of image enhancement in EUS (with videos). Gastrointest. Endosc. 2011, 74, 645–655. [Google Scholar] [CrossRef]
- Hocke, M.; Schulze, E.; Gottschalk, P.; Topalidis, T.; Dietrich, C.F. Contrast-enhanced endoscopic ultrasound in discrimination between focal pancreatitis and pancreatic cancer. World J. Gastroenterol. 2006, 12, 246–250. [Google Scholar] [CrossRef] [PubMed]
- Imazu, H.; Kanazawa, K.; Mori, N.; Ikeda, K.; Kakutani, H.; Sumiyama, K.; Hino, S.; Ang, T.L.; Omar, S.; Tajiri, H. Novel quantitative perfusion analysis with contrast-enhanced harmonic EUS for differentiation of autoimmune pancreatitis from pancreatic carcinoma. Scand. J. Gastroenterol. 2012, 47, 853–860. [Google Scholar] [CrossRef] [PubMed]
- Mei, M.; Ni, J.; Liu, D.; Jin, P.; Sun, L. EUS elastography for diagnosis of solid pancreatic masses: A meta-analysis. Gastrointest. Endosc. 2013, 77, 578–589. [Google Scholar] [CrossRef] [PubMed]
- Dietrich, C.F.; Hirche, T.O.; Ott, M.; Ignee, A. Real-time tissue elastography in the diagnosis of autoimmune pancreatitis. Endoscopy 2009, 41, 718–720. [Google Scholar] [CrossRef]
- Levy, M.J.; Reddy, R.P.; Wiersema, M.J.; Smyrk, T.C.; Clain, J.E.; Harewood, G.C.; Pearson, R.K.; Rajan, E.; Topazian, M.D.; Yusuf, T.E.; et al. EUS-guided trucut biopsy in establishing autoimmune pancreatitis as the cause of obstructive jaundice. Gastrointest. Endosc. 2005, 61, 467–472. [Google Scholar] [CrossRef]
- Iwashita, T.; Yasuda, I.; Doi, S.; Ando, N.; Nakashima, M.; Adachi, S.; Hirose, Y.; Mukai, T.; Iwata, K.; Tomita, E.; et al. Use of samples from endoscopic ultrasound-guided 19-gauge fine-needle aspiration in diagnosis of autoimmune pancreatitis. Clin. Gastroenterol. Hepatol. 2012, 10, 316–322. [Google Scholar] [CrossRef] [PubMed]
- Varadarajulu, S.; Fraig, M.; Schmulewitz, N.; Roberts, S.; Wildi, S.; Hawes, R.H.; Hoffman, B.J.; Wallace, M.B. Comparison of EUS-guided 19-gauge Trucut needle biopsy with EUS-guided fine-needle aspiration. Endoscopy 2004, 36, 397–401. [Google Scholar] [CrossRef]
- Ishikawa, T.; Itoh, A.; Kawashima, H.; Ohno, E.; Matsubara, H.; Itoh, Y.; Nakamura, Y.; Hiramatsu, T.; Nakamura, M.; Miyahara, R.; et al. Endoscopic ultrasound-guided fine needle aspiration in the differentiation of type 1 and type 2 autoimmune pancreatitis. World J. Gastroenterol. 2012, 18, 3883–3888. [Google Scholar] [CrossRef] [PubMed]
- Kanno, A.; Ishida, K.; Hamada, S.; Fujishima, F.; Unno, J.; Kume, K.; Kikuta, K.; Hirota, M.; Masamune, A.; Satoh, K.; et al. Diagnosis of autoimmune pancreatitis by EUS-FNA by using a 22-gauge needle based on the International Consensus Diagnostic Criteria. Gastrointest. Endosc. 2012, 76, 594–602. [Google Scholar] [CrossRef] [PubMed]
- Morishima, T.; Kawashima, H.; Ohno, E.; Yamamura, T.; Funasaka, K.; Nakamura, M.; Miyahara, R.; Watanabe, O.; Ishigami, M.; Shimoyama, Y.; et al. Prospective multicenter study on the usefulness of EUS-guided FNA biopsy for the diagnosis of autoimmune pancreatitis. Gastrointest. Endosc. 2016, 84, 241–248. [Google Scholar] [CrossRef] [PubMed]
- Kanno, A.; Masamune, A.; Fujishima, F.; Iwashita, T.; Kodama, Y.; Katanuma, A.; Ohara, H.; Kitano, M.; Inoue, H.; Itoi, T.; et al. Diagnosis of autoimmune pancreatitis by EUS-guided FNA using a 22-gauge needle: A prospective multicenter study. Gastrointest. Endosc. 2016, 84, 797–804. [Google Scholar] [CrossRef]
- Kandel, P.; Tranesh, G.; Nassar, A.; Bingham, R.; Raimondo, M.; Woodward, T.A.; Gomez, V.; Wallace, M.B. EUS-guided fine needle biopsy sampling using a novel fork-tip needle: A case control study. Gastrointest. Endosc. 2016, 84, 1034–1039. [Google Scholar] [CrossRef]
- Bang, J.Y.; Hebert-Magee, S.; Hasan, M.K.; Navaneethan, U.; Hawes, R.; Varadarajulu, S. Endoscopic ultrasonography-guided biopsy using a Franseen needle design: Initial assessment. Dig. Endosc. 2017, 29, 338–346. [Google Scholar] [CrossRef]
- Detlefsen, S.; Joergensen, M.T.; Mortensen, M.B. Microscopic findings in EUS-guided fine needle (SharkCore) biopsies with type 1 and type 2 autoimmune pancreatitis. Pathol. Int. 2017, 67, 514–520. [Google Scholar] [CrossRef]
- Bhattacharya, A.; Cruise, M.; Chahal, P. Endoscopic ultrasound guided 22 gauge core needle biopsy for the diagnosis of Autoimmune pancreatitis. Pancreatology 2018, 18, 168–169. [Google Scholar] [CrossRef]
- Kurita, A.; Yasukawa, S.; Zen, Y.; Yoshimura, K.; Ogura, T.; Ozawa, E.; Okabe, Y.; Asada, M.; Nebiki, H.; Shigekawa, M.; et al. Comparison of a 22-gauge Franseen-tip needle with a 20-gauge forward-bevel needle for the diagnosis of type 1 autoimmune pancreatitis: A prospective, randomized, controlled, multicenter study (COMPAS study). Gastrointest. Endosc. 2020, 91, 373–381. [Google Scholar] [CrossRef] [PubMed]
- Runge, T.M.; Hart, P.A.; Sasatomi, E.; Baron, T.H. Diagnosis of autoimmune pancreatitis using new, flexible EUS core biopsy needles: Report of 2 cases. Gastrointest. Endosc. 2017, 85, 1311–1312. [Google Scholar] [CrossRef] [PubMed][Green Version]
- Yoon, S.B.; Moon, S.H.; Song, T.J.; Kim, J.H.; Kim, M.H. Endoscopic ultrasound-guided fine needle aspiration versus biopsy for diagnosis of autoimmune pancreatitis: A systematic review and comparative meta-analysis. Dig. Endosc. 2020. [Google Scholar] [CrossRef]
- Madhoun, M.F.; Wani, S.B.; Rastogi, A.; Early, S.; Gaddam, S.; Tierney, W.M.; Maple, J.T. The diagnostic accuracy of 22-gauge and 25-gauge needles in endoscopic ultrasound-guided fine needle aspiration of solid pancreatic lesions: A meta-analysis. Endoscopy 2013, 45, 86–92. [Google Scholar] [CrossRef] [PubMed]
- Song, T.J.; Kim, J.H.; Lee, S.S.; Eum, J.B.; Moon, S.H.; Park, D.Y.; Seo, D.W.; Lee, S.K.; Jang, S.J.; Yun, S.C.; et al. The prospective randomized, controlled trial of endoscopic ultrasound-guided fine-needle aspiration using 22G and 19G aspiration needles for solid pancreatic or peripancreatic masses. Am. J. Gastroenterol. 2010, 105, 1739–1745. [Google Scholar] [CrossRef] [PubMed]
- Bang, J.Y.; Magee, S.H.; Ramesh, J.; Trevino, S.; Varadarajulu, S. Randomized trial comparing fanning with standard technique for endoscopic ultrasound-guided fine-needle aspiration of solid pancreatic mass lesions. Endoscopy 2013, 45, 445–450. [Google Scholar] [CrossRef]
- Rastogi, A.; Wani, S.; Gupta, N.; Singh, V.; Gaddam, S.; Reddymasu, S.; Ulusarac, O.; Fan, F.; Romanas, M.; Dennis, K.L.; et al. A prospective, single-blind, randomized, controlled trial of EUS-guided FNA with and without a stylet. Gastrointest. Endosc. 2011, 74, 58–64. [Google Scholar] [CrossRef]
- Nakai, Y.; Isayama, H.; Chang, K.J.; Yamamoto, N.; Hamada, T.; Uchino, R.; Mizuno, S.; Miyabayashi, K.; Yamamoto, K.; Kawakubo, K.; et al. Slow pull versus suction in endoscopic ultrasound-guided fine-needle aspiration of pancreatic solid masses. Dig. Dis. Sci. 2014, 59, 1578–1585. [Google Scholar] [CrossRef]
- Attam, R.; Arain, M.A.; Bloechl, S.J.; Trikudanathan, G.; Munigala, S.; Bakman, Y.; Singh, M.; Wallace, T.; Henderson, J.B.; Catalano, M.F.; et al. ”Wet suction technique (WEST)”: A novel way to enhance the quality of EUS-FNA aspirate. Results of a prospective, single-blind, randomized, controlled trial using a 22-gauge needle for EUS-FNA of solid lesions. Gastrointest. Endosc. 2015, 81, 1401–1407. [Google Scholar] [CrossRef]
- Kudo, T.; Kawakami, H.; Hayashi, T.; Yasuda, I.; Mukai, T.; Inoue, H.; Katanuma, A.; Kawakubo, K.; Ishiwatari, H.; Doi, S.; et al. High and low negative pressure suction techniques in EUS-guided fine-needle tissue acquisition by using 25-gauge needles: A multicenter, prospective, randomized, controlled trial. Gastrointest. Endosc. 2014, 80, 1030–1037. [Google Scholar] [CrossRef]
- Iglesias-Garcia, J.; Dominguez-Munoz, J.E.; Abdulkader, I.; Larino-Noia, J.; Eugenyeva, E.; Lozano-Leon, A.; Forteza-Vila, J. Influence of on-site cytopathology evaluation on the diagnostic accuracy of endoscopic ultrasound-guided fine needle aspiration (EUS-FNA) of solid pancreatic masses. Am. J. Gastroenterol. 2011, 106, 1705–1710. [Google Scholar] [CrossRef]
- Iwashita, T.; Yasuda, I.; Mukai, T.; Doi, S.; Nakashima, M.; Uemura, S.; Mabuchi, M.; Shimizu, M.; Hatano, Y.; Hara, A.; et al. Macroscopic on-site quality evaluation of biopsy specimens to improve the diagnostic accuracy during EUS-guided FNA using a 19-gauge needle for solid lesions: A single-center prospective pilot study (MOSE study). Gastrointest. Endosc. 2015, 81, 177–185. [Google Scholar] [CrossRef]
- Chen, J.; Yang, R.; Lu, Y.; Xia, Y.; Zhou, H. Diagnostic accuracy of endoscopic ultrasound-guided fine-needle aspiration for solid pancreatic lesion: A systematic review. J. Cancer Res. Clin. Oncol. 2012, 138, 1433–1441. [Google Scholar] [CrossRef]
- Hewitt, M.J.; McPhail, M.J.; Possamai, L.; Dhar, A.; Vlavianos, P.; Monahan, K.J. EUS-guided FNA for diagnosis of solid pancreatic neoplasms: A meta-analysis. Gastrointest. Endosc. 2012, 75, 319–331. [Google Scholar] [CrossRef]
- Puli, S.R.; Bechtold, M.L.; Buxbaum, J.L.; Eloubeidi, M.A. How good is endoscopic ultrasound-guided fine-needle aspiration in diagnosing the correct etiology for a solid pancreatic mass? A meta-analysis and systematic review. Pancreas 2013, 42, 20–26. [Google Scholar] [CrossRef]
- Crinò, S.F.; Conti Bellocchi, M.C.; Bernardoni, L.; Manfrin, E.; Parisi, A.; Amodio, A.; De Pretis, N.; Frulloni, L.; Gabbrielli, A. Diagnostic yield of EUS-FNA of small (15 mm) solid pancreatic lesions using a 25-gauge needle. Hepatobiliary Pancreat. Dis. Int. 2018, 17, 70–74. [Google Scholar] [CrossRef]
- Gong, T.T.; Hu, D.M.; Zhu, Q. Contrast-enhanced EUS for differential diagnosis of pancreatic mass lesions: A meta-analysis. Gastrointest. Endosc. 2012, 76, 301–309. [Google Scholar] [CrossRef]
- Ohshima, Y.; Yasuda, I.; Kawakami, H.; Kuwatani, M.; Mukai, T.; Iwashita, T.; Doi, S.; Nakashima, M.; Hirose, Y.; Asaka, M.; et al. EUS-FNA for suspected malignant biliary strictures after negative endoscopic transpapillary brush cytology and forceps biopsy. J. Gastroenterol. 2011, 46, 921–928. [Google Scholar] [CrossRef] [PubMed]
- Kawakami, H.; Kuwatani, M.; Onodera, M.; Haba, S.; Eto, K.; Ehira, N.; Yamato, H.; Kudo, T.; Tanaka, E.; Hirano, S.; et al. Endoscopic nasobiliary drainage is the most suitable preoperative biliary drainage method in the management of patients with hilar cholangiocarcinoma. J. Gastroenterol. 2011, 46, 242–248. [Google Scholar] [CrossRef] [PubMed]
- Kitajima, Y.; Ohara, H.; Nakazawa, T.; Ando, T.; Hayashi, K.; Takada, H.; Tanaka, H.; Ogawa, K.; Sano, H.; Togawa, S.; et al. Usefulness of transpapillary bile duct brushing cytology and forceps biopsy for improved diagnosis in patients with biliary strictures. J. Gastroenterol. Hepatol. 2007, 22, 1615–1620. [Google Scholar] [CrossRef]
- Pugliese, V.; Conio, M.; Nicolò, G.; Saccomanno, S.; Gatteschi, B. Endoscopic retrograde forceps biopsy and brush cytology of biliary strictures: A prospective study. Gastrointest. Endosc. 1995, 42, 520–526. [Google Scholar] [CrossRef]
- Sugiyama, M.; Atomi, Y.; Wada, N.; Kuroda, A.; Muto, T. Endoscopic transpapillary bile duct biopsy without sphincterotomy for diagnosing biliary strictures: A prospective comparative study with bile and brush cytology. Am. J. Gastroenterol. 1996, 91, 465–467. [Google Scholar]
- Farrell, R.J.; Jain, A.K.; Brandwein, S.L.; Wang, H.; Chuttani, R.; Pleskow, D.K. The combination of stricture dilation, endoscopic needle aspiration, and biliary brushings significantly improves diagnostic yield from malignant bile duct strictures. Gastrointest. Endosc. 2001, 54, 587–594. [Google Scholar] [CrossRef] [PubMed]
- Ponchon, T.; Gagnon, P.; Berger, F.; Labadie, M.; Liaras, A.; Chavaillon, A.; Bory, R. Value of endobiliary brush cytology and biopsies for the diagnosis of malignant bile duct stenosis: Results of a prospective study. Gastrointest. Endosc. 1995, 42, 565–572. [Google Scholar] [CrossRef]
- Volmar, K.E.; Vollmer, R.T.; Routbort, M.J.; Creager, A.J. Pancreatic and bile duct brushing cytology in 1000 cases: Review of findings and comparison of preparation methods. Cancer 2006, 108, 231–238. [Google Scholar] [CrossRef]






Publisher’s Note: MDPI stays neutral with regard to jurisdictional claims in published maps and institutional affiliations. |
© 2020 by the authors. Licensee MDPI, Basel, Switzerland. This article is an open access article distributed under the terms and conditions of the Creative Commons Attribution (CC BY) license (http://creativecommons.org/licenses/by/4.0/).
Share and Cite
Kanno, A.; Ikeda, E.; Ando, K.; Nagai, H.; Miwata, T.; Kawasaki, Y.; Tada, Y.; Yokoyama, K.; Numao, N.; Ushio, J.; et al. The Diagnosis of Autoimmune Pancreatitis Using Endoscopic Ultrasonography. Diagnostics 2020, 10, 1005. https://doi.org/10.3390/diagnostics10121005
Kanno A, Ikeda E, Ando K, Nagai H, Miwata T, Kawasaki Y, Tada Y, Yokoyama K, Numao N, Ushio J, et al. The Diagnosis of Autoimmune Pancreatitis Using Endoscopic Ultrasonography. Diagnostics. 2020; 10(12):1005. https://doi.org/10.3390/diagnostics10121005
Chicago/Turabian StyleKanno, Atsushi, Eriko Ikeda, Kozue Ando, Hiroki Nagai, Tetsuro Miwata, Yuki Kawasaki, Yamato Tada, Kensuke Yokoyama, Norikatsu Numao, Jun Ushio, and et al. 2020. "The Diagnosis of Autoimmune Pancreatitis Using Endoscopic Ultrasonography" Diagnostics 10, no. 12: 1005. https://doi.org/10.3390/diagnostics10121005
APA StyleKanno, A., Ikeda, E., Ando, K., Nagai, H., Miwata, T., Kawasaki, Y., Tada, Y., Yokoyama, K., Numao, N., Ushio, J., Tamada, K., Lefor, A. K., & Yamamoto, H. (2020). The Diagnosis of Autoimmune Pancreatitis Using Endoscopic Ultrasonography. Diagnostics, 10(12), 1005. https://doi.org/10.3390/diagnostics10121005

