Dermoscopy of Acquired Perforating Dermatoses: A Case Series and Review of the Literature
Abstract
1. Introduction
2. Materials and Methods
3. Results
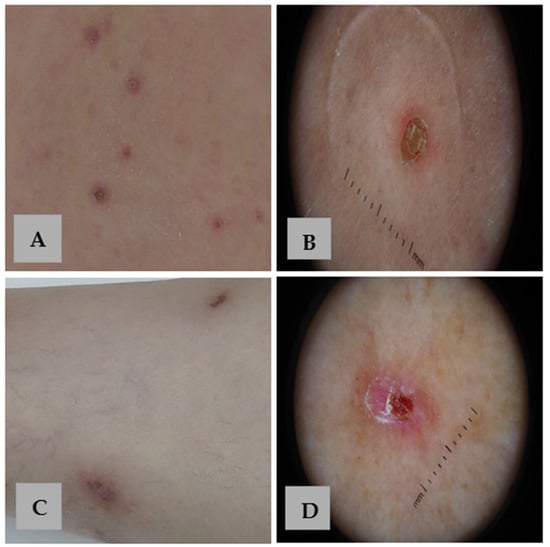
3.1. Case Series
| Patient No. | Age (Years) | Sex | Distribution | Symptom | Concomitant Diseases | Clinical Findings | Dermoscopic Findings | Histopathological Diagnosis |
|---|---|---|---|---|---|---|---|---|
| 1 | 53 | female | lower extremities | pruritus | recent scabies infection, CRF | keratotic nodules, papules and plaques with an erythematous border | central yellow-to-brown structureless area surrounded by a white rim and a pink structureless area with dotted vessels | KD |
| 2 | 53 | female | upper and lower extremities | pruritus | - | skin-colored to erythematous papules with central keratotic plug and an erythematous border | central yellow-to-brown structureless area with a rim of white scales surrounded by a pink structureless area with dotted vessels | PF |
| 3 | 65 | female | trunk, lower extremities, and buttocks | pruritus | microcellular lung cancer treated with atezolizumab, carboplatin and etoposide | keratotic papules with an erythematous border | central yellow-to-brown structureless area with a rim of white scales surrounded by a pink structureless area with dotted vessels | RPC |
| 4 | 51 | female | lower extremities | pruritus | uterine cancer/staphylococcal bacteremia/pericarditis | skin-colored to erythematous papules with central keratotic plug and an erythematous border | central yellow-to-brown structureless area surrounded by a rim of white scales and a red structureless area with dotted vessels, hairpin vessels and blood spots | PF |
| 5 | 46 | female | lower extremities | pruritus, pain | myasthenia gravis treated with azathioprine and corticosteroids | crateriform papules and plaques with erythematous border, ulcerations | central yellow-to-brown structureless area surrounded by a white rim and a peripheral pink structureless area | KD |
| 6 | 59 | female | trunk, buttocks | pruritus | - | skin-colored to erythematous papules with central keratotic plug and an erythematous border | central yellow-to-brown structureless area with blood spots surrounded by a rim of white scale and a pink structureless area | PF |
| 7 | 90 | female | shoulders, chest | pruritus | - | keratotic papules and plaques with an erythematous border | central hemorrhagic structureless area surrounded by white scale, blood spots and a red structureless area | KD |
| 8 | 73 | male | upper and lower extremities | pruritus | - | crateriform papules and plaques with an erythematous border, atrophic scars | central yellow-to-brown structureless area with white clods and blood spots surrounded by a white irregular rim with scale and a pink structureless area | KD |
| 9 | 69 | male | ears, upper extremities | pruritus | - | keratotic papules, yellow-to-green crusts | yellow-to-brown structureless area, surrounded by a rim of white scales and a pink structureless area | RPC |
| 10 | 48 | female | chest | pruritus | rheumatoid arthritis treated with azathioprine | keratotic papules with an erythematous border | central yellow-to-brown structureless area surrounded by a thin white irregular rim and pink structureless area | RPC |
3.2. Literature Review
4. Discussion
5. Conclusions
Author Contributions
Funding
Institutional Review Board Statement
Informed Consent Statement
Data Availability Statement
Conflicts of Interest
Abbreviations
| APD | Acquired Perforating Dermatoses |
| CRF | Chronic Renal Failure |
| DM | Diabetes Mellitus |
| EPS | Elastosis Perforans Serpiginosa |
| HT | Hypertension |
| KD | Kyrle’s Disease |
| PD | Perforating Dermatoses |
| PN | Prurigo Nodularis |
| PF | Perforating Folliculitis |
| RPC | Reactive Perforating Dermatosis |
| WD | Wilson’s Disease |
References
- Macca, L.; Vaccaro, F.; Li Pomi, F.; Borgia, F.; Irrera, N.; Vaccaro, M. Kyrle disease: A case report and literature review. Eur. Rev. Med. Pharmacol. Sci. 2023, 27, 10705–10715. [Google Scholar] [CrossRef] [PubMed]
- García-Malinis, A.J.; Del Valle Sánchez, E.; Sánchez-Salas, M.P.; Del Prado, E.; Coscojuela, C.; Gilaberte, Y. Acquired perforating dermatosis: Clinicopathological study of 31 cases, emphasizing pathogenesis and treatment. J. Eur. Acad. Dermatol. Venereol. 2017, 31, 1757–1763. [Google Scholar] [CrossRef] [PubMed]
- Wagner, G.; Sachse, M.M. Acquired reactive perforating dermatosis. J. Dtsch. Dermatol. Ges. 2013, 11, 723–729. [Google Scholar] [CrossRef] [PubMed]
- Harbaoui, S.; Litaiem, N. Acquired Perforating Dermatosis. In StatPearls [Internet]; [Updated 13 February 2023]; StatPearls Publishing: Treasure Island, FL, USA, 2024. Available online: https://www.ncbi.nlm.nih.gov/books/NBK539715/ (accessed on 30 October 2025).
- Gore Karaali, M.; Erdil, D.; Erdemir, V.A.; Gurel, M.S.; Koku Aksu, A.E.; Leblebici, C. Evaluation of clinicopathological and treatment characteristics of 80 patients with acquired perforating dermatosis. Dermatol. Ther. 2020, 33, e14465. [Google Scholar] [CrossRef] [PubMed]
- Gao, Z.; Lu, S.J.; Shan, S.J. Acquired perforating dermatosis: A clinicopathologic study, and the features of dermoscopy and reflective confocal microscopy of 37 cases. Ski. Res. Technol. 2023, 29, e13416. [Google Scholar] [CrossRef] [PubMed] [PubMed Central]
- Rasul, T.; Wan, L.; Lawlor, A.; Cooper, B.; Khalafbeigi, S.; Krishnamurthy, K. Kyrle disease: A systematic review of clinical features, diagnostic approaches, dermatoscopic insights, systemic associations, and therapeutic strategies. Arch. Dermatol. Res. 2025, 317, 622. [Google Scholar] [CrossRef] [PubMed]
- Zhang, M.; Chu, R.; Shen, J.; Liu, C.; Wang, Y.; Zhang, S.; Ren, X. Acquired Reactive Perforating Collagenosis Complicated by Diabetes Mellitus and Hypertension: A Case Report. Case Rep. Dermatol. 2025, 17, 143–149. [Google Scholar] [CrossRef] [PubMed] [PubMed Central]
- Ramirez-Fort, M.K.; Khan, F.; Rosendahl, C.O.; Mercer, S.E.; Shim-Chang, H.; Levitt, J.O. Acquired perforating dermatosis: A clinical and dermatoscopic correlation. Dermatol. Online J. 2013, 19, 18958. [Google Scholar] [CrossRef] [PubMed]
- Kittisak, P.; Tanaka, M. Dermoscopic findings in a case of reactive perforating collagenosis. Dermatol. Pract. Concept. 2015, 5, 75–77. [Google Scholar] [CrossRef] [PubMed] [PubMed Central]
- Ramírez-Bellver, J.L.; Bernárdez, C.; Macías, E.; Moya, L.; Molina-Ruiz, A.M.; Cannata Ortiz, P.; Requena, L. Dermoscopy and direct immunofluorescence findings of elastosis perforans serpiginosa. Clin. Exp. Dermatol. 2016, 41, 667–670. [Google Scholar] [CrossRef] [PubMed]
- Navarrete-Dechent, C.; del Puerto, C.; Bajaj, S.; Marghoob, A.A.; González, S.; Jaque, A. Dermoscopy of elastosis perforans serpiginosa: A useful tool to distinguish it from granuloma annulare. J. Am. Acad. Dermatol. 2015, 73, e7–e9. [Google Scholar] [CrossRef] [PubMed]
- Russo, T.; Piccolo, V.; Mascolo, M.; Staibano, S.; Alfano, R.; Argenziano, G. Dermoscopy of Kyrle disease. J. Am. Acad. Dermatol. 2016, 75, e99–e101. [Google Scholar] [CrossRef] [PubMed]
- Castrejón-Pérez, A.D.; Garza-Chapa, J.I.; Herz-Ruelas, M.; Villarreal-Villarreal, A.; Gomez-Flores, M.; Gonzalez, R.; Miran-da-Maldonado, L.; Ocampo-Candiani, J. Elastosis perforans serpiginosa: Dermoscopic features. J. Am. Acad. Dermatol. 2016, 74 (Suppl. 1), AB170. [Google Scholar] [CrossRef]
- Horn, G.; Siebel, M.d.J.O.; Facci, D.S.; Leda, Y.L.d.A.; Bet, D.L. Clinical and Dermoscopic correlation of reactive Perforating Collagenosis. Surg. Cosmet. Dermatol. 2016, 8, 61–63. [Google Scholar] [CrossRef]
- Ormerod, E.; Atwan, A.; Intzedy, L.; Stone, N. Dermoscopy features of acquired reactive perforating collagenosis: A case series. Dermatol. Pract. Concept. 2018, 8, 303–305. [Google Scholar] [CrossRef] [PubMed] [PubMed Central]
- Nair, P.; Pariath, K. A Case of Kyrle’s Disease with Dermatoscopic Findings. Indian Dermatol. Online J. 2018, 9, 364–366. [Google Scholar] [CrossRef] [PubMed] [PubMed Central]
- Barit, J.-V.J.G.; Lizarondo, F.P.J.; Cubillan, E.L.A. Clinicopathologic and Dermoscopic Features of Acquired Perforating Dermatosis: A Case Report. Acta Med. Philipp. 2019, 53, 379–382. [Google Scholar] [CrossRef]
- Wang, C.; Liu, Y.H.; Wang, Y.X.; Zhang, J.Z.; Jin, J. Acquired reactive perforating collagenosis. Chin. Med. J. 2020, 133, 2119–2120. [Google Scholar] [CrossRef] [PubMed]
- Ozbagcivan, O.; Lebe, B.; Fetil, E. Dermoscopic pattern of Kyrle’s disease. An. Bras. Dermatol. 2020, 95, 244–246. [Google Scholar] [CrossRef] [PubMed] [PubMed Central]
- Rajan, A.; Pai, V.V.; Shukla, P. Perforating folliculitis in Down’s syndrome—A rare case report. Egypt. J. Dermatol. Venerol. 2022, 42, 73–76. [Google Scholar] [CrossRef]
- Gupta, S.; Gupte, R.; Manoj, R.; Raman, A.; Buccha, Y. An Unusual Case of Kyrle Disease. Cureus 2024, 16, e67767. [Google Scholar] [CrossRef] [PubMed] [PubMed Central]
- Su, Y.; Cui, W. A case report on acquired reactive perforating collagenosis. Medicine 2024, 103, e39071. [Google Scholar] [CrossRef] [PubMed] [PubMed Central]
- Uikey, D.; Thekho, A.J.; Godara, A. A challenging case of Kyrle’s disease successfully treated with apremilast. Indian J. Dermatol. Venereol. Leprol. 2024. [Google Scholar] [CrossRef]
- Ennaciri, M.A.; Damiri, A.; Khalidi, M.; Hanafi, T.; Zemmez, Y.; El Amraoui, M.; Frikh, R.; Hjira, N. Dermoscopy of an acquired perforating dermatosis: A case report. Sch. J. Med. Case Rep. 2024, 12, 2029–2033. [Google Scholar]
- Karpouzis, A.; Giatromanolaki, A.; Sivridis, E.; Kouskoukis, C. Acquired reactive perforating collagenosis: Current status. J. Dermatol. 2010, 37, 585–592. [Google Scholar] [CrossRef] [PubMed]
- Edek, Y.C.; Aypek, Y.; Öğüt, B.; Erdem, Ö.; Adışen, E. Acquired Perforating Dermatosis: Clinical and Histopathological Analysis of 95 Patients From One Center. Dermatol. Pract. Concept. 2024, 14, e2024100. [Google Scholar] [CrossRef] [PubMed] [PubMed Central]
- Imran, N. Acquired Perforating Dermatosis as a Paraneoplastic Feature: A Case Report, Literature Review, and Novel Association. Case Rep. Nephrol. Dial. 2023, 13, 36–44. [Google Scholar] [CrossRef] [PubMed] [PubMed Central]
- Yamamoto, T. Skin Manifestation Induced by Immune Checkpoint Inhibitors. Clin. Cosmet. Investig. Dermatol. 2022, 15, 829–841. [Google Scholar] [CrossRef] [PubMed] [PubMed Central]
- Ippoliti, E.; Gori, N.; Chiricozzi, A.; Di Stefani, A.; Peris, K. Scabies-induced perforating dermatosis successfully treated with low dose methotrexate. JEADV Clin. Pract. 2024, 3, 293–295. [Google Scholar] [CrossRef]
- Grillo, E.; Vano-Galván, S.; Moreno, C.; Jaén, P. Perforating dermatosis in a patient receiving azathioprine. Indian J. Dermatol. 2013, 58, 158. [Google Scholar] [CrossRef] [PubMed] [PubMed Central]
- Wang, W.; Liao, Y.; Fu, L.; Kan, B.; Peng, X.; Lu, Y. Dermoscopy Features of Acquired Perforating Dermatosis Among 39 Patients. Front. Med. 2021, 8, 631642. [Google Scholar] [CrossRef] [PubMed] [PubMed Central]
- Errichetti, E.; Piccirillo, A.; Stinco, G. Dermoscopy of prurigo nodularis. J. Dermatol. 2015, 42, 632–634. [Google Scholar] [CrossRef] [PubMed]
- Elmas, Ö.F.; Kilitci, A.; Uyar, B. Dermoscopic patterns of acquired reactive perforating collagenosis. Dermatol. Pract. Concept. 2021, 11, e2020085. [Google Scholar] [CrossRef] [PubMed]
- Behera, B.; Kumari, R.; Mohan Thappa, D.; Hanuman Srinivas, B.; Gochhait, D.; Ayyanar, P. Dermoscopic features of acquired perforating dermatosis: A retrospective analysis of 19 cases. Clin. Exp. Dermatol. 2021, 46, 184–187. [Google Scholar] [CrossRef] [PubMed]
- Karampinis, E.; Georgopoulou, K.-E.; Kampra, E.; Zafiriou, E.; Lallas, A.; Lazaridou, E.; Apalla, Z.; Behera, B.; Errichetti, E. Clinical and Dermoscopic Patterns of Basal Cell Carcinoma and Its Mimickers in Skin of Color: A Practical Summary. Medicina 2024, 60, 1386. [Google Scholar] [CrossRef]




| Authors, Reference Number and Year | Type of Study | Sex/Age (Years) | Distribution | Concomitant Diseases | Clinical Findings | Dermoscopic Findings | Histopathological Diagnosis |
|---|---|---|---|---|---|---|---|
| Ramirez-Fort et al. [9], 2013 | Case report | F/65 | Lower extremities | DM, hypothyroidism, dyslipidemia, HT, CRF | Follicular hyperkeratotic, hyperpigmented papules and nodules with central keratotic crust | Central white clod, structureless gray area, brown reticular lines at the periphery | PF |
| Kittisak P., Tanaka M. [10], 2015 | Case report | F/46 | Upper and lower extremities | DM, CRF | Ulcerated papules and plaques with central crust | Yellow-to-brown structureless area, white rim, pink erythematous halo, hairpin vessels at the periphery | RPC |
| Ramirez-Bellver et al. [11], 2015 | Case report | F/33 | Neck, upper extremities | WD | Keratotic papules in an annular pattern with a depressed yellowish center | Central pink-to- yellow discoloration, brown crusts, white halo | EPS |
| Navarrete-Dechent et al. [12], 2015 | Case report | F/70 | Neck, upper extremities, back | DM | Annular erythematous plaques | White structureless area, arborizing vessels | EPS |
| Russo et al. [13], 2016 | Case report | F/38 | Upper and lower extremities | N/A | Follicular, keratotic, hyperpigmented papules and nodules | Central crust, scale white-to-gray structureless area, peripheral brown pigmentation | KD |
| Castrejon-Perez et al. [14], 2016 | Case Report | F/64 | Face, neck, upper extremities, trunk | HT | Keratotic papules in an annular pattern | Comedo-like structures, gray structureless area, white halo, red background | EPS |
| Horn et al. [15], 2018 | Case series | -M/63 -M/46 | -Upper extremities -Upper extremities | -DM, CRF, HT, ischemic heart disease, peripheral vascular disease -DM, CRF, HT | -Keratotic papules and nodules with central keratotic crust -Keratotic papules with central keratotic crust | -Yellow structureless area, white halo, brown-gray structureless area -Yellow-to-brown structureless area, white halo, erythematous-grayish structureless area | -RPC -RPC |
| Ormerod et al. [16], 2018 | Case series | -F/53 -M/67 -M/58 -F/83 -F/80 | Trunk and/or lower extremities | -DM, ischemic heart disease, peripheral vascular disease -Pulmonary embolism -Sarcoidosis -Aortic aneurysm, HT, transient ischemic attack, atrial fibrillation -DM, HT, ischemic heart disease | Erythematous keratotic nodules with central keratotic crust in all patients | Yellow-to-brown structureless area, white halo, pink structureless area with dotted and hairpin vessels in all patients | -RPC -RPC -RPC -RPC -RPC |
| Nair et al. [17], 2018 | Case report | M/36 | Upper and lower extremities, abdomen | None | Hyperkeratotic, hyperpigmented papules with central keratotic crust | Central crust, scale, gray structureless area, brown pigmentation | KD |
| Barit et al. [18], 2019 | Case report | M/47 | Abdomen and extremities | DM, CRF, HT | Keratotic papules with central keratotic plug | Central keratotic plug, white structureless area, peripheral hyperpigmentation | RPC |
| Wang et al. [19], 2020 | Case report | M/50 | Trunk and extremities | Alcoholism, Meniere’s disease | Red and brown papules and nodules with central keratotic plug | Central red-brown structureless area, scale, white rim in the middle, red circle with hairpin and dotted vessels at the periphery | RPC |
| Ozbagcivan et al. [20], 2020 | Case report | W/61 | Entire body | DM, CRF | Erythematous umbilicated papules with central keratotic plug | Central crust, hemorrhage, scale, white structureless area, structureless pink area with dotted vessels, brown pigmentation | KD |
| Rajan et al. [21], 2021 | Case report | M/11 | Abdomen, buttocks, lower extremities | Down’s syndrome, recent femoral shaft fracture | Folliculocentric papules with central keratotic plug | Orange-to-brown clod with coiled- up hair, scale, white-to-gray structureless area | PF |
| Macca et al. [1], 2023 | Case report | M/55 | Upper extremities and trunk | CRF, HT | Papules and nodules with central keratotic plug | Central crust, scale, whitish gray structureless area, brown pigmentation at the periphery | KD |
| Gupta et al. [22], 2024 | Case report | M/54 | Lower extremities | Hyperuricemia | Erythematous, hyperkeratotic papules and plaques, crateriform erosions, with central keratotic crust | Yellow-to-brown structureless area, scale, linear and dotted vessels, white irregular ring at the periphery | KD |
| Su et al. [23], 2024 | Case report | F/54 | Trunk, buttocks, lower extremities | DM, HT, coronary heart disease, uterine fibroid removal | Papules and nodules with central keratotic plug | Yellow-to-brown structureless area, hemorrhage, dotted vessels, scale, pink structureless area, brown pigmentation at the periphery | RPC |
| Uikey et al. [24], 2024 | Case report | F/29 | Entire body | Type I DM, HT, pancreatitis, gastric ulcer, hypothyroidism, depression | Papules and nodules with central keratotic plug | Central keratotic plug with a structureless white area, pink structureless area with dotted vessels, structureless brown area at the periphery | KD |
| Ennaciri et al. [25], 2024 | Case report | M/73 | Upper and lower extremities | DM | Umbilicated papules and plaques with central keratotic plug | Central crust, scale, white structureless area, pink structureless area with dotted and looped vessels, brown structureless area at the periphery | RPC |
| Zhang et al. [8], 2025 | Case report | M/55 | Lower extremities | DM, HT | Erythematous papules and nodules with central keratotic plug and elevated edges | Central brown structureless area, scale, white structureless area, red structureless area with dotted vessels at the periphery | RPC |
| Dermoscopic Feature | Lesions, n (%) |
|---|---|
| Central area | |
| Yellow-to-brown structureless area/crust | 20 (83.3) |
| White clods/comedo-like structures | 2 (8.3) |
| Pink-to-white discoloration | 1 (4.1) |
| White structureless area | 1 (4.1) |
| Middle zone | |
| White rim/halo | 11 (45.8) |
| White/white-to-gray structureless area | 10 (41.7) |
| Scale | 10 (41.7) |
| Outer zone | |
| Erythematous/erythematous-to-gray structureless area | 14 (58.3) |
| Brown pigmentation | 9 (37.5) |
| White-to-gray structureless area | 2 (8.3) |
| Brown reticular lines | 1 (4.1) |
| Crusts | 1 (4.1) |
| Vessels | |
| Dotted vessels | 12 (50) |
| Linear/hairpin vessels | 9 (37.5) |
| Hemorrhage | 2 (8.3) |
| Arborizing vessels | 1 (4.1) |
| Other features | |
| Coiled-up hair | 1 (4.1) |
Disclaimer/Publisher’s Note: The statements, opinions and data contained in all publications are solely those of the individual author(s) and contributor(s) and not of MDPI and/or the editor(s). MDPI and/or the editor(s) disclaim responsibility for any injury to people or property resulting from any ideas, methods, instructions or products referred to in the content. |
© 2025 by the authors. Licensee MDPI, Basel, Switzerland. This article is an open access article distributed under the terms and conditions of the Creative Commons Attribution (CC BY) license (https://creativecommons.org/licenses/by/4.0/).
Share and Cite
Papadopoulou, M.-M.; Karampinis, E.; Sgouros, D.; Sakellaropoulou, S.; Lazaridou, E.; Lallas, A.; Apalla, Z. Dermoscopy of Acquired Perforating Dermatoses: A Case Series and Review of the Literature. Life 2025, 15, 1786. https://doi.org/10.3390/life15121786
Papadopoulou M-M, Karampinis E, Sgouros D, Sakellaropoulou S, Lazaridou E, Lallas A, Apalla Z. Dermoscopy of Acquired Perforating Dermatoses: A Case Series and Review of the Literature. Life. 2025; 15(12):1786. https://doi.org/10.3390/life15121786
Chicago/Turabian StylePapadopoulou, Maria-Myrto, Emmanouil Karampinis, Dimitrios Sgouros, Styliani Sakellaropoulou, Elizabeth Lazaridou, Aimilios Lallas, and Zoe Apalla. 2025. "Dermoscopy of Acquired Perforating Dermatoses: A Case Series and Review of the Literature" Life 15, no. 12: 1786. https://doi.org/10.3390/life15121786
APA StylePapadopoulou, M.-M., Karampinis, E., Sgouros, D., Sakellaropoulou, S., Lazaridou, E., Lallas, A., & Apalla, Z. (2025). Dermoscopy of Acquired Perforating Dermatoses: A Case Series and Review of the Literature. Life, 15(12), 1786. https://doi.org/10.3390/life15121786

