Patient Diagnosed Initially with Peripartum Cardiomyopathy, Later Rediagnosed with Peripartum Myocardial Infarction: A Case Report
Abstract
1. Introduction
2. Case Report
2.1. Anamnesis
2.2. Physical Examination
2.3. Laboratory Examination
2.4. Echocardiography
2.5. A Year Later
2.6. Patient Follow-Up
3. Discussion
4. Conclusions
Author Contributions
Funding
Institutional Review Board Statement
Informed Consent Statement
Data Availability Statement
Conflicts of Interest
Abbreviations
| PPCM | Peripartum Cardiomyopathy |
| PAMI | Pregnancy-Associated Myocardial Infarction |
| LVEF | Left Ventricular Ejection Fraction |
| ECG | Electrocardiography (Electrocardiogram) |
| RR | Blood Pressure (Riva-Rocci, mmHg) |
| LV | Left Ventricle |
| RV | Right Ventricle |
| TDD | Telediastolic Diameter |
| TSD | Telesystolic Diameter |
| EDV | End-Diastolic Volume |
| ESV | End-Systolic Volume |
| EF | Ejection Fraction |
| BNP | B-type Natriuretic Peptide |
| CMR | Cardiac Magnetic Resonance (Imaging) |
| MRI | Magnetic Resonance Imaging |
| PAI-1 | Plasminogen Activator Inhibitor-1 |
| ACE | Angiotensin-Converting Enzyme |
| MTHFR | Methylenetetrahydrofolate Reductase |
| MTRR | 5-methyltetrahydrofolate-homocysteine Methyl Transferase Reductase |
| GP1 | Glycoprotein 1 (anti-beta 2 GP1 antibody) |
| SCAD | Spontaneous Coronary Artery Dissection |
| ECG-Holter | 24-Hour Electrocardiography Monitoring |
| C-section | Cesarean Section |
| DOAC | Direct Oral Anticoagulant |
| IV | Intravenous or Intraventricular |
| WHO | World Health Organization |
References
- Rodriguez Ziccardi, M.; Siddique, M.S. Peripartum Cardiomyopathy. In StatPearls; National Library of Medicine: Bethesda, MD, USA, 2025. Available online: https://www.ncbi.nlm.nih.gov/books/NBK482185/ (accessed on 8 August 2025).
- Hoes, M.F.; Arany, Z.; Bauersachs, J.; Hilfiker-Kleiner, D.; Petrie, M.C.; Sliwa, K.; van der Meer, P. Pathophysiology and risk factors of peripartum cardiomyopathy. Nat. Rev. Cardiol. 2022, 19, 555–565. [Google Scholar] [CrossRef]
- Zagelbaum, N.K.; Bhinder, J.; Gupta, C.A.; Frishman, W.H.; Aronow, W.S. Peripartum cardiomyopathy incidence, risk factors, diagnostic criteria, pathophysiology, and treatment options. Cardiol. Rev. 2020, 28, 148–155. [Google Scholar] [CrossRef]
- Iannaccone, G.; Graziani, F.; Kacar, P.; Tamborrino, P.P.; Lillo, R.; Montanaro, C.; Burzotta, F.; Gatzoulis, M.A. Diagnosis and management of peripartum cardiomyopathy and recurrence risk. Int. J. Cardiol. Congenit. Heart Dis. 2024, 17, 100530. [Google Scholar] [CrossRef]
- Thordsen, S.; Briller, J.; Cruz, M.O. Cardiac considerations in pregnancy: A spotlight on peripartum cardiomyopathy and pregnancy-associated spontaneous coronary dissection. Obstet. Gynecol. Clin. N. Am. 2025, 52, 445–456. [Google Scholar] [CrossRef] [PubMed]
- Isogai, T.; Kamiya, C.A. Worldwide incidence of peripartum cardiomyopathy and overall maternal mortality. Int. Heart J. 2019, 60, 503–511. [Google Scholar] [CrossRef]
- Krishnamoorthy, P.; Garg, J.; Palaniswamy, C.; Pandey, A.; Ahmad, H.; Frishman, W.H.; Lanier, G. Epidemiology and outcomes of peripartum cardiomyopathy in the United States: Findings from the Nationwide Inpatient Sample. J. Cardiovasc. Med. 2016, 17, 756–761. [Google Scholar] [CrossRef] [PubMed]
- Tweet, M.S.; Lewey, J.; Smilowitz, N.R.; Rose, C.H.; Best, P.J.M. Pregnancy-associated myocardial infarction: Prevalence, causes, and interventional management. Circ. Cardiovasc. Interv. 2020, 13, e008687. [Google Scholar] [CrossRef]
- Balgobin, C.A.; Zhang, X.; Lima, F.V.; Avila, C.; Parikh, P.B.; Yang, J.; Stergiopoulos, K. Risk factors and timing of acute myocardial infarction associated with pregnancy: Insights from the national inpatient sample. J. Am. Heart Assoc. 2020, 9, e016623. [Google Scholar] [CrossRef]
- Hrebenyk, M.; Komorovsky, R.; Zhehestovska, D.; Oryshchyn, L.; Kotsyuba, O.; Zelenenka, L. Acute myocardial infarction due to spontaneous coronary dissection in pregnancy: A case report and management considerations. Int. J. Womens Health 2025, 17, 1923–1932. [Google Scholar] [CrossRef]
- Sigauke, F.R.; Ntsinjana, H.; Tsabedze, N. Peripartum cardiomyopathy: A comprehensive and contemporary review. Heart Fail. Rev. 2024, 29, 1261–1278. [Google Scholar] [CrossRef] [PubMed]
- Trivedi, J.; Goyal, V.; Sohail; Kunwar, P.; Balki, S.; Soni, K.; Pal Singh, A.; Deswal, S.; Pandey, S.; kaur, H.; et al. Peripartum Cardiomyopathy (PPCM)—A Comprehensive Review. J. Hypertens. 2025, 11, 295–303. [Google Scholar]
- Gédéon, T.; Akl, E.; D’Souza, R.; Altit, G.; Rowe, H.; Flannery, A.; Siriki, P.; Bhatia, K.; Thorne, S.; Malhamé, I. Acute myocardial infarction in pregnancy. Curr. Probl. Cardiol. 2022, 47, 101327. [Google Scholar] [CrossRef]
- Goland, S.; Modi, K.; Bitar, F.; Janmohamed, M.; Mirocha, J.M.; Czer, L.S.; Illum, S.; Hatamizadeh, P.; Elkayam, U. Clinical profile and predictors of complications in peripartum cardiomyopathy. J. Card. Fail. 2009, 15, 645–650. [Google Scholar] [CrossRef]
- Merlo, A.C.; Rosa, G.M.; Porto, I. Pregnancy-related acute myocardial infarction: A review of the recent literature. Clin. Res. Cardiol. 2022, 111, 723–731. [Google Scholar] [CrossRef]
- Chirillo, F.; Baritussio, A.; Cucchini, U.; Toniolli, E.; Polo, A.; Iavernaro, A. Challenges in the diagnosis of peripartum cardiomyopathy: A case series. Eur. Heart J. Case Rep. 2021, 5, ytab001. [Google Scholar] [CrossRef] [PubMed]
- Bauersachs, J.; Arrigo, M.; Hilfiker-Kleiner, D.; Veltmann, C.; Coats, A.J.; Crespo-Leiro, M.G.; De Boer, R.A.; van der Meer, P.; Maack, C.; Mouquet, F.; et al. Current management of patients with severe acute peripartum cardiomyopathy: Practical guidance from the Heart Failure Association of the European Society of Cardiology Study Group on peripartum cardiomyopathy. Eur. J. Heart Fail. 2016, 18, 1096–1105. [Google Scholar] [CrossRef] [PubMed]
- Rallidis, L.S.; Belesi, C.I.; Manioudaki, H.S.; Chatziioakimidis, V.K.; Fakitsa, V.C.; Sinos, L.E.; Laoutaris, N.P.; Apostolou, T.S. Myocardial infarction under the age of 36: Prevalence of thrombophilic disorders. Thromb. Haemost. 2003, 90, 272–278. [Google Scholar] [CrossRef] [PubMed]
- Centers for Disease Control and Prevention. Pregnancy Mortality Surveillance System. 2020. Available online: https://www.cdc.gov/reproductivehealth/maternal-mortality/pregnancy-mortality-surveillance-system.htm (accessed on 8 August 2025).
- World Health Organization. Postnatal Care for Mothers and Newborns: Highlights from the WHO (2013) Guidelines. 2014. Available online: https://www.who.int/docs/default-source/mca-documents/nbh/brief-postnatal-care-for-mothers-and-newborns-highlights-from-the-who-2013-guidelines.pdf (accessed on 8 August 2025).
- Tamis-Holland, J.E.; Jneid, H.; Reynolds, H.R.; Agewall, S.; Brilakis, E.S.; Brown, T.M.; Lerman, A.; Cushman, M.; Kumbhani, D.J.; Arslanian-Engoren, C.; et al. Contemporary diagnosis and management of patients with myocardial infarction in the absence of obstructive coronary artery disease: A scientific statement from the American Heart Association. Circulation 2019, 139, e891–e908. [Google Scholar] [CrossRef]
- Watson, H.; Emsile-Smith, D.; Herring, J.; Hill, I.G. Myocardial infarction during pregnancy and puerperium. Lancet 1960, 2, 523–525. [Google Scholar] [CrossRef]
- Canning, B.S.; Green, A.T.; Mulcahy, R. Coronary heart disease in the puerperium: A case report. J. Obstet. Gynaecol. Br. Commonw. 1969, 76, 1018–1020. [Google Scholar] [CrossRef]
- Bruschke, A.V.; Bruyneel, K.J.; Bloch, A.; van Herpen, G. Acute myocardial infarction without obstructive coronary artery disease demonstrated by selective cinearteriography. Br. Heart J. 1971, 33, 585–594. [Google Scholar] [CrossRef][Green Version]
- Glancy, D.L.; Marcus, M.K.; Epstein, S.E. Myocardial infarction in young women with normal coronary arteriograms. Circulation 1971, 44, 495–502. [Google Scholar] [CrossRef]
- Hands, M.E.; Johnson, M.D.; Saltzman, D.H.; Rutherford, J.D. The cardiac, obstetric, and anesthetic management of pregnancy complicated by acute myocardial infarction. J. Clin. Anesth. 1990, 2, 258–268. [Google Scholar] [CrossRef] [PubMed]
- Vinatier, D.; Virelizier, S.; Depret-Moser, S.; Dufour, P.; Prolongeau, J.F.; Monnier, J.C.; Decoulx, E.; Theeten, G. Pregnancy after myocardial infarction. Eur. J. Obstet. Gynecol. Reprod. Biol. 1994, 56, 89–93. [Google Scholar] [CrossRef] [PubMed]
- Badui, E.; Enciso, R. Acute myocardial infarction during pregnancy and puerperium: A review. Angiology 1996, 47, 739–756. [Google Scholar] [CrossRef]
- Janion-Sadowska, A.; Sadowski, M.; Kurzawski, J.; Zandecki, A.; Janion, M. Pregnancy after acute coronary syndrome: A proposal for patients’ management and a literature review. BioMed. Res. Int. 2013, 2013, 957027. [Google Scholar] [CrossRef]
- Ladner, H.E.; Danielsen, B.; Gilbert, W.M. Acute myocardial infarction in pregnancy and the puerperium: A population-based study. Obstet. Gynecol. 2005, 105, 480–484. [Google Scholar] [CrossRef] [PubMed]
- Gibson, P.; Narous, M.; Firoz, T.; Chou, D.; Barreix, M.; Say, L.; James, M.; WHO Maternal Morbidity Working Group. Incidence of myocardial infarction in pregnancy: A systematic review and meta-analysis of population-based studies. Eur. Heart J. Qual. Care Clin. Outcomes 2017, 3, 198–207. [Google Scholar] [CrossRef]
- Pasupathy, S.; Rodgers, S.; Tavella, R.; McRae, S.; Beltrame, J.F. Risk of thrombosis in patients presenting with myocardial infarction with nonobstructive coronary arteries (MINOCA). TH Open 2018, 2, e167–e172. [Google Scholar] [CrossRef]
- Vincent, G.M.; Anderson, J.L.; Marshall, H.W. Coronary spasm producing coronary thrombosis and myocardial infarction. N. Engl. J. Med. 1983, 309, 220–223. [Google Scholar] [CrossRef]
- Maseri, A.; L’Abbate, A.; Baroldi, G.; Chierchia, S.; Marzilli, M.; Ballestra, A.M.; Severi, S.; Parodi, O.; Biagini, A.; Distante, A.; et al. Coronary vasospasm as a possible cause of myocardial infarction. A conclusion derived from the study of “preinfarction” angina. N. Engl. J. Med. 1978, 299, 1271–1277. [Google Scholar] [CrossRef]
- Movsesian, M.; Wray, R. Postpartum myocardial infarction. Br. Heart J. 1989, 62, 154–156. [Google Scholar] [CrossRef]
- Urdan, B.E.; Madden, W.J. Pregnancy complicated by myocardial infarction: Report of a fatal case. Obstet. Gynecol. 1959, 14, 378–380. [Google Scholar]
- Vasicka, A.L.; Lim, T.J. Fatal coronary artery disease during the early postpartum period. Report of one case. Am. J. Obstet. Gynecol. 1959, 77, 899–904. [Google Scholar] [CrossRef]
- Frenkel, Y.; Barkai, G.; Reisin, L.; Rath, S.; Mashiach, S.; Battler, A. Pregnancy after myocardial infarction: Are we playing safe? Obstet. Gynecol. 1991, 77, 822–825. [Google Scholar] [CrossRef] [PubMed]
- Duke, M. Pregnancy, myocardial infarction and normal coronary arteries. A case study and long term follow-up. Conn. Med. 1982, 46, 626–628. [Google Scholar] [PubMed]
- Bornstein, A.; Dalal, P.; Tischler, J.; Novack, S.; Michaelson, S. Acute myocardial infarction in a thirty-six year old postpartum female. Angiology 1984, 35, 591–594. [Google Scholar] [CrossRef]
- Iung, B.; Squara, P.; Fruchaud, J.; Gallet, B.; Sollet, J.P.; Saudemont, J.P.; Hiltgen, M.; Bleichner, G. Infarctus du post-partum à coronaires saines. A propos d’un cas [Postpartum myocardial infarction with normal coronary arteries. Apropos of a case]. Arch. Mal. Coeur Vaiss. 1986, 79, 1951–1955. [Google Scholar] [PubMed]
- Valente, A.; Barillà, F.; Vicchio, D.; Ciolli, A.; Pannarale, G.; Di Fusco, V.; Romeo, F. Infarto miocardico acuto in puerperio: Descrizione di 2 casi [Acute myocardial infarct in puerperium: Description of 2 cases]. Cardiologia 1988, 33, 995–998. [Google Scholar]




| in the beginning | 1. second pregnancy last month 2. cardiac arrest 3. emergency cesarean section due to a stillbirth |
| first day | 1. no cardiac sighs 2. normal echocardiography—EF = 60% |
| third day | 1. acute left side heart failure symptoms—cardiac asthma 2. marked reduction EF = 30% 3. treatment as in heart failure with reduced EF—torasemide 5 mg, carvedilol 2 × 3.125 mg, ramipril 2.5 mg, aspirin 100 mg |
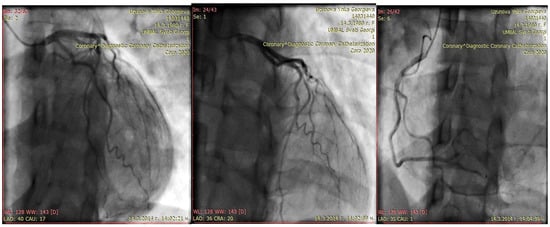
| first month | 1. no cardiac sighs 2. EchoC-normal EF, but persist regional apical wall motion abnormalitica 3. coronary angiography—normal 4. Initially diagnosis—perypartal cardiomyopathy 5. treatment with torasemide 5 mg, carvedilol 2 × 3.125 mg, and ramipril 2.5 mg |
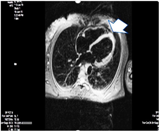
| first year | 1. no cardiac sighs 2. nuclear magnetic resonance imaging of the heart- EF- 50% 3. data on the previous apical myocardial infarction 4. Finally diagnosis peripartum myocardial infarction 5. Therapy with beta blocker, ACE inhibitor, aspirin |
| 1 year and 2 months | 1. she became pregnant 2. without clinical signs 3. all medications are stopped except the beta blocker and aspirin |
| 1 year and 11 months | 1. cesarean section 2. without clinical and echocardiographic evidence of heart failure 3. complex ventricular arrhythmias 4. beta blocker, ranolazine, alternation of aspirin or low molecular weight heparin |
| monitoring 2, 3, 4, 5 years | 1. no clinical signs of heart failure 2. normal ejection fraction 3. persistent complex ventricular arrhythmias 4. therapy—beta blocker, ranolazine and aspirin |
Disclaimer/Publisher’s Note: The statements, opinions and data contained in all publications are solely those of the individual author(s) and contributor(s) and not of MDPI and/or the editor(s). MDPI and/or the editor(s) disclaim responsibility for any injury to people or property resulting from any ideas, methods, instructions or products referred to in the content. |
© 2025 by the authors. Licensee MDPI, Basel, Switzerland. This article is an open access article distributed under the terms and conditions of the Creative Commons Attribution (CC BY) license (https://creativecommons.org/licenses/by/4.0/).
Share and Cite
Kitov, S.; Kitova, M.-F.; Hristamyan, M.; Vladimirova-Kitova, L. Patient Diagnosed Initially with Peripartum Cardiomyopathy, Later Rediagnosed with Peripartum Myocardial Infarction: A Case Report. Life 2025, 15, 1502. https://doi.org/10.3390/life15101502
Kitov S, Kitova M-F, Hristamyan M, Vladimirova-Kitova L. Patient Diagnosed Initially with Peripartum Cardiomyopathy, Later Rediagnosed with Peripartum Myocardial Infarction: A Case Report. Life. 2025; 15(10):1502. https://doi.org/10.3390/life15101502
Chicago/Turabian StyleKitov, Spas, Maria-Florance Kitova, Meri Hristamyan, and Lyudmila Vladimirova-Kitova. 2025. "Patient Diagnosed Initially with Peripartum Cardiomyopathy, Later Rediagnosed with Peripartum Myocardial Infarction: A Case Report" Life 15, no. 10: 1502. https://doi.org/10.3390/life15101502
APA StyleKitov, S., Kitova, M.-F., Hristamyan, M., & Vladimirova-Kitova, L. (2025). Patient Diagnosed Initially with Peripartum Cardiomyopathy, Later Rediagnosed with Peripartum Myocardial Infarction: A Case Report. Life, 15(10), 1502. https://doi.org/10.3390/life15101502

