Dermoscopy of Chronic Radiation-Induced Dermatitis in Patients with Head and Neck Cancers Treated with Radiotherapy
Abstract
1. Introduction
2. Materials and Methods
2.1. Patients
2.2. Treatment
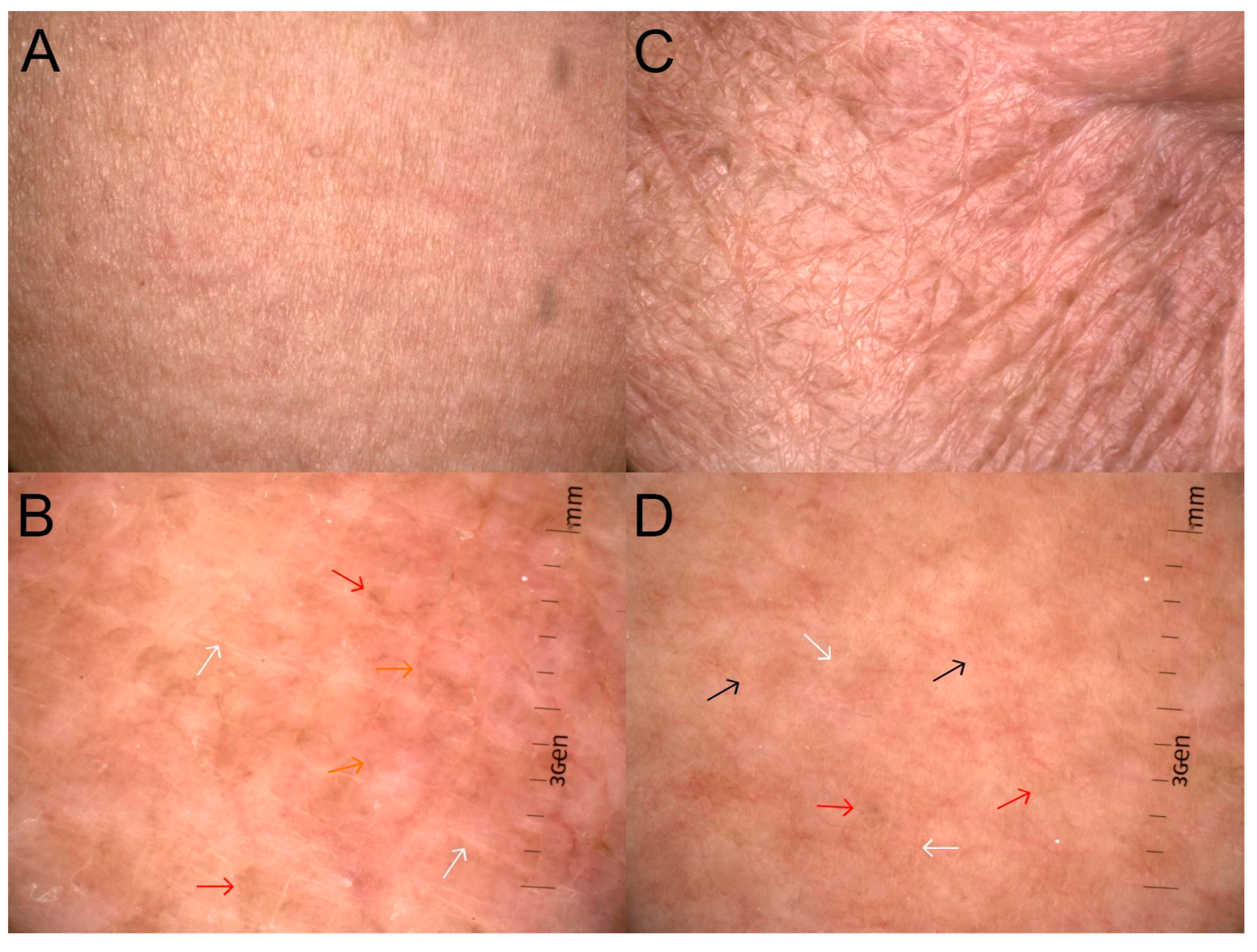
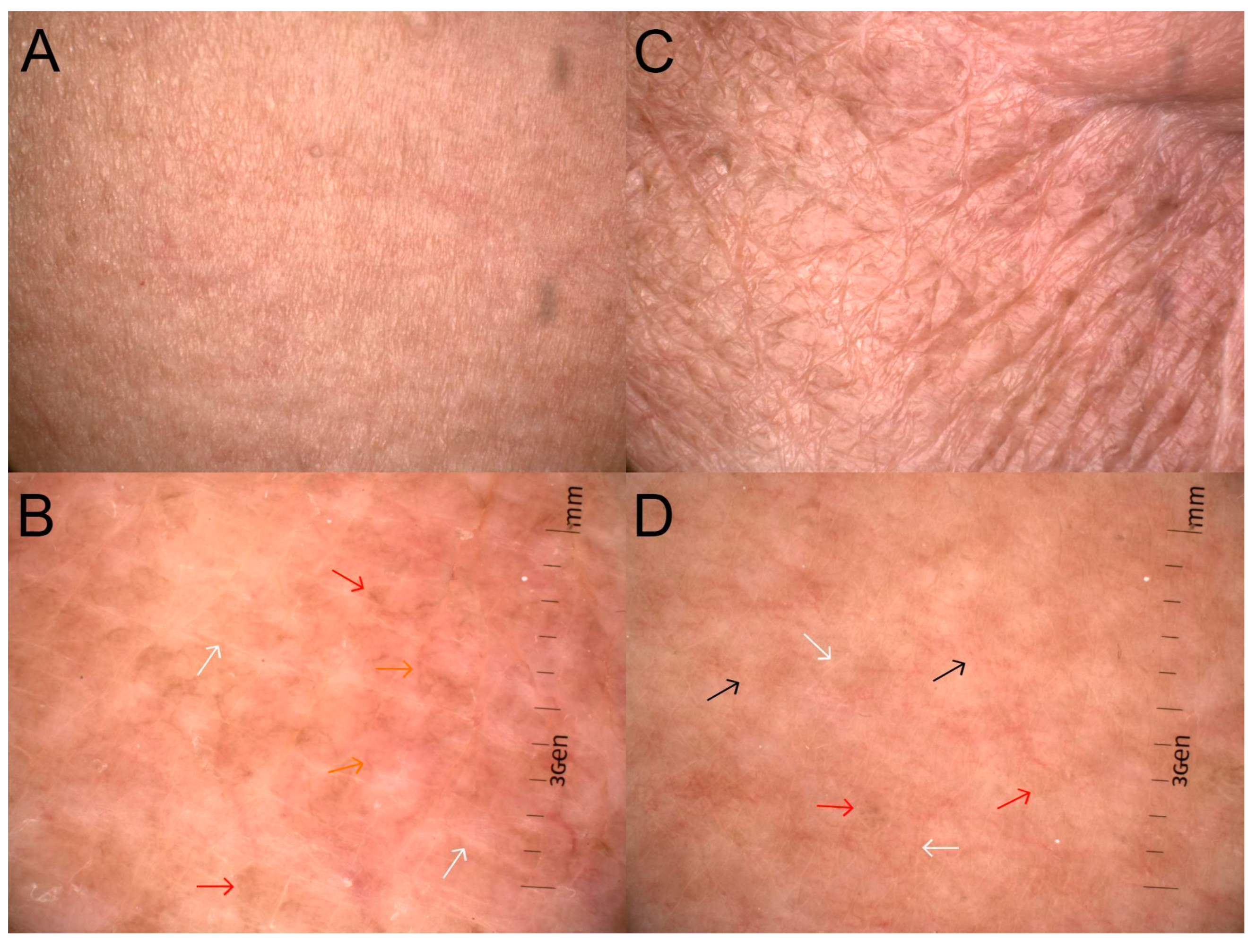
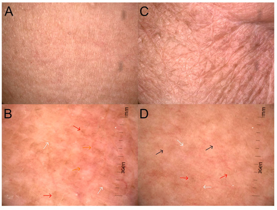
2.3. Clinical and Dermoscopic Evaluation
2.4. Statistical Analysis
3. Results
4. Discussion
Limitations of the Study
5. Conclusions
Author Contributions
Funding
Institutional Review Board Statement
Informed Consent Statement
Data Availability Statement
Acknowledgments
Conflicts of Interest
References
- American Cancer Society. Cancer Facts & Figures 2024. Available online: https://www.cancer.org (accessed on 17 January 2024).
- Gamerith, G.; Fuereder, T. Treating head and neck cancer—A multidisciplinary effort. Memo 2020, 13, 359–360. [Google Scholar] [CrossRef]
- Ziółkowska, E.; Biedka, M.; Windorbska, W. Odczyn popromienny u chorych na raka regionu głowy i szyi: Mechanizmy i konsekwencje. Otorynolaryngologia 2011, 10, 147–153. [Google Scholar]
- Borrelli, M.R.; Shen, A.H.; Lee, G.K.; Momeni, A.; Longaker, M.T.; Wan, D.C. Radiation-Induced Skin Fibrosis: Pathogenesis, Current Treatment Options, and Emerging Therapeutics. Ann. Plast Surg. 2019, 83, S59–S64. [Google Scholar] [CrossRef] [PubMed]
- DeSantis, C.E.; Lin, C.C.; Mariotto, A.B.; Siegel, R.L.; Stein, K.D.; Kramer, J.L.; Alteri, R.; Robbins, A.S.; Jemal, A. Cancer treatment and survivorship statistics. CA Cancer J. Clin. 2014, 64, 252–271. [Google Scholar] [CrossRef] [PubMed]
- Dudek, A.; Rutkowski, T.; Kamińska-Winciorek, G.; Krzysztof Składowski, K. What is new when it comes to acute and chronic radiation-induced dermatitis in head and neck cancer patients? Nowotw. J. Oncol. 2020, 70, 9–15. [Google Scholar] [CrossRef][Green Version]
- Whelan, T.J.; Pignol, J.P.; Levine, M.N.; Julian, J.A.; MacKenzie, R.; Parpia, S.; Shelley, W.; Grimard, L.; Bowen, J.; Lukka, H.; et al. Long-term results of hypofractionated radiation therapy for breast cancer. N. Engl. J. Med. 2010, 362, 513–520. [Google Scholar] [CrossRef] [PubMed]
- Hegedus, F.; Mathew, L.M.; Schwartz, R.A. Radiation dermatitis: An overview. Int. J. Dermatol. 2017, 56, 909–914. [Google Scholar] [CrossRef]
- Robijns, J.; Laubach, H.J. Acute and chronic radiodermatitis. J. Egypt. Women’s Dermatol. Soc. 2018, 15, 2–9. [Google Scholar] [CrossRef]
- Wong, R.K.; Bensadoun, R.J.; Boers-Doets, C.B.; Bryce, J.; Chan, A.; Epstein, J.B.; Eaby-Sandy, B.; Lacouture, M.E. Clinical practice guidelines for the prevention and treatment of acute and late radiation reactions from the MASCC Skin Toxicity Study Group. Support. Care Cancer 2013, 21, 2933–2948. [Google Scholar] [CrossRef]
- Lanigan, S.W.; Joannides, T. Pulsed dye laser treatment of telangiectasia after radiotherapy for carcinoma of the breast. Br. J. Dermatol. 2003, 148, 77–79. [Google Scholar] [CrossRef]
- Yarnold, J.; Brotons, M.C. Pathogenetic mechanisms in radiation fibrosis. Radiother. Oncol. 2010, 97, 149–161. [Google Scholar] [CrossRef] [PubMed]
- Phulpin, B.; Gangloff, P.; Tran, N.; Bravetti, P.; Merlin, J.L.; Dolivet, G. Rehabilitation of irradiated head and neck tissues by autologous fat transplantation. Plast. Reconstr. Surg. 2009, 123, 1187–1197. [Google Scholar] [CrossRef] [PubMed]
- Martin, M.; Lefaix, J.L.; Delanian, S. TGF-β1 and radiation fibrosis: A master switch and a specific therapeutic target? Int. J. Radiat. Oncol. Biol. Phys. 2000, 47, 277–290. [Google Scholar] [CrossRef] [PubMed]
- Kamińska-Winciorek, G.; Pilśniak, A. The role of dermoscopy in dermato-oncological diagnostics—New trends and perspectives. Nowotw. J. Oncol. 2021, 71, 103–110. [Google Scholar] [CrossRef]
- Pilśniak, A.; Szlauer-Stefańska, A.; Tukiendorf, A.; Rutkowski, T.; Składowski, K.; Kamińska-Winciorek, G. Dermoscopy of acute radiation-induced dermatitis in patients with head and neck cancers treated with radiotherapy. Sci. Rep. 2023, 13, 15711. [Google Scholar] [CrossRef] [PubMed]
- Cox, J.D.; Stetz, J.; Pajak, T.F. Toxicity criteria of the Radiation Therapy Oncology Group (RTOG) and the European Organization for Research and Treatment of Cancer (EORTC). Int. J. Radiat. Oncol. Biol. Phys. 1995, 31, 1341–1346. [Google Scholar] [CrossRef] [PubMed]
- Errichetti, E.; Zalaudek, I.; Kittler, H.; Apalla, Z.; Argenziano, G.; Bakos, R.; Blum, A.; Braun, R.P.; Ioannides, D.; Lacarrubba, F.; et al. Standardization of dermoscopic terminology and basic dermoscopic parameters to evaluate in general dermatology (non-neoplastic dermatoses): An expert consensus on behalf of the International Dermoscopy Society. Br. J. Dermatol. 2020, 182, 454–467. [Google Scholar] [CrossRef]
- R Core Team. R: A Language and Environment for Statistical Computing; R Foundation for Statistical Computing: Vienna, Austria, 2022; Available online: https://www.R-project.org (accessed on 31 October 2023).
- Venables, W.N.; Ripley, B.D. Modern Applied Statistics with S, 4th ed.; Springer: New York, NY, USA, 2022. [Google Scholar]
- Spałek, M. Chronic radiation-induced dermatitis: Challenges and solutions. Clin. Cosmet. Investig. Dermatol. 2016, 9, 473–482. [Google Scholar] [CrossRef]
- Hymes, S.R.; Strom, E.A.; Fife, C. Radiation dermatitis: Clinical presentation, pathophysiology, and treatment. J. Am. Acad. Dermatol. 2006, 54, 28–46. [Google Scholar] [CrossRef]
- Bray, F.N.; Simmons, B.J.; Wolfson, A.H.; Nouri, K. Acute and Chronic Cutaneous Reactions to Ionizing Radiation Therapy. Dermatol. Ther. 2016, 6, 185–206. [Google Scholar] [CrossRef]
- Vozenin-Brotons, M.C.; Milliat, F.; Sabourin, J.C.; de Gouville, A.C.; François, A.; Lasser, P.; Morice, P.; Haie-Meder, C.; Lusinchi, A.; Antoun, S. Fibrogenic signals in patients with radiation enteritis are associated with increased connective tissue growth factor expression. Int. J. Radiat. Oncol. Biol. Phys. 2003, 56, 561–572. [Google Scholar] [CrossRef] [PubMed]
- Anscher, M.S. The irreversibility of radiation-induced fibrosis: Fact or folklore? J. Clin. Oncol. 2005, 23, 8551–8552. [Google Scholar] [CrossRef] [PubMed]
- Wolff, K.; Johnson, R.; Saavedra, A. Skin reactions to ionizing radiation. In Fitzpatrick’s Color Atlas and Synopsis of Clinical Dermatology; McGraw-Hill: New York, NY, USA, 2013. [Google Scholar]
- Porock, D. Factors influencing the severity of radiation skin and oral mucosal reactions: Development of a conceptual framework. Eur. J. Cancer Care 2002, 11, 33–43. [Google Scholar]
- Hegedus, F.; Schwartz, R.A. Cutaneous radiation damage: Updating a clinically challenging concern. G. Ital. Dermatol. Venereol. 2019, 154, 550–556. [Google Scholar] [CrossRef] [PubMed]
- Meyer, F.; Fortin, A.; Wang, C.S.; Liu, G.; Bairati, I. Predictors of severe acute and late toxicities in patients with localized head-and-neck cancer treated with radiation therapy. Int. J. Radiat. Oncol. Biol. Phys. 2012, 82, 1454–1462. [Google Scholar] [CrossRef]
- Kawamura, M.; Yoshimura, M.; Asada, H.; Nakamura, M.; Matsuo, Y.; Mizowaki, T. A scoring system predicting acute radiation dermatitis in patients with head and neck cancer treated with intensity-modulated radiotherapy. Radiat. Oncol. 2019, 14, 14. [Google Scholar] [CrossRef] [PubMed]
- Toledano, A.; Garaud, P.; Serin, D.; Fourquet, A.; Bosset, J.F.; Breteau, N.; Body, G.; Azria, D.; Le Floch, O.; Calais, G. Concurrent administration of adjuvant chemotherapy and radiotherapy after breast-conserving surgery enhances late toxicities: Long-term results of the ARCO-SEIN multicenter randomized study. Int. J. Radiat. Oncol. Biol. Phys. 2006, 65, 324–332. [Google Scholar] [CrossRef]


| CRD | |||
|---|---|---|---|
| RTOG/EORTC | 0 | Grade 1 | Grade 2 |
| Vessel morphology | |||
| Dotted | 18.75% | 84.6% | 82.6% |
| Linear (without bends or branches) | 3.13% | 7.7% | 4.4% |
| Linear with branches | 65.63% | 61.5% | 69.6% |
| Linear curved | 46.88% | 76.9% | 47.8% |
| Vessel distribution | |||
| Uniform | 0.0% | 0.0% | 0.0% |
| Clustered | 18.75% | 53.9% | 43.5% |
| Peripheral | 0.0% | 0.0% | 0.0% |
| Reticular | 0.0% | 0.0% | 4.4% |
| Unspecific | 75.0% | 84.6% | 91.3% |
| Scale color | |||
| White | 15.63% | 53.9% | 52.2% |
| Yellow | 0.0% | 7.7% | 13.0% |
| Brown | 0.0% | 15.4% | 17.4% |
| Scale distribution | |||
| Diffuse | 0.0% | 0.0% | 0.0% |
| Central | 0.0% | 0.0% | 0.0% |
| Peripheral | 0.0% | 7.7% | 0.0% |
| Patchy | 15.63% | 46.2% | 56.5% |
| Follicular findings | |||
| Follicular plugs | 0.0% | 0.0% | 0.0% |
| Follicular red dots | 0.0% | 0.0% | 0.0% |
| Perifollicular white color | 3.13% | 15.4% | 43.5% |
| Perifollicular pigmentation | 9.38% | 23.1% | 0.0% |
| Other structures | |||
| White structureless | 3.13% | 92.3% | 100.0% |
| Brown structureless | 0.0% | 0.0% | 0.0% |
| Yellow structureless | 0.0% | 0.0% | 0.0% |
| White dots or globules | 0.0% | 0.0% | 0.0% |
| Brown dots or globules | 31.25% | 69.2% | 95.7% |
| Yellow dots or globules | 0.0% | 0.0% | 0.0% |
| White lines | 21.88% | 84.6% | 78.3% |
| Brown lines | 0.0% | 0.0% | 0.0% |
| Yellow lines | 0.0% | 0.0% | 0.0% |
| Dermoscopic Features | Clinical Features | ||||||
|---|---|---|---|---|---|---|---|
| Slight Atrophy | Patchy Atrophy | Pigmentation Change | Some Hair Loss | Total Hair Loss | Thin Telangiectasias | Moderate Telangiectasias | |
| Dotted vessels | −0.05 | 0.0625 | 0.0357 | 0.111 | −0.111 | 0.16 | −0.0125 |
| Linear vessels | 0.0217 | −0.0161 | 0.0188 | 0.111 | −0.111 | −0.0112 | −0.0862 |
| Linear vessels with branches | −0.105 | 0.118 | 0.0488 | 0 | 0 | 0.423 | 0.149 |
| Linear curved vessels | 0.135 | −0.143 | −0.0105 | 0.278 | −0.278 | 0.264 | 0.207 |
| Clustered vessels | 0.103 | −0.101 | −0.0682 | 0.167 | −0.167 | 0.0613 | 0.19 |
| Reticular vessels | −0.0549 | 0.04 | 0.00917 | 0.0556 | −0.0556 | −0.0559 | 0.301 |
| Unspecific vessels | −0.0328 | 0.0426 | 0.366 | 0 | 0 | 0.027 | 0.0395 |
| White scale | −0.101 | 0.103 | 0.074 | 0.0556 | −0.0556 | 0.161 | 0.145 |
| Yellow scale | −0.0851 | 0.0656 | 0.0395 | 0 | 0 | 0.0795 | −0.141 |
| Brown scale | −0.0625 | 0.05 | −0.0125 | 0.111 | −0.111 | 0.069 | 0.0357 |
| Peripheral scale | 0.0769 | −0.056 | 0.00917 | 0.0556 | −0.0556 | 0.0447 | −0.0485 |
| Patchy scale | −0.211 | 0.215 | 0.074 | 0.0556 | −0.0556 | 0.0497 | 0.145 |
| Perifollicular white color | −0.353 | 0.316 | 0.149 | 0 | 0 | −0.0714 | −0.0976 |
| Perifollicular pigmentation | 0.226 | −0.171 | −0.11 | 0.167 | −0.167 | 0.136 | −0.116 |
| White structureless areas | −0.06 | 0.08 | 0.30 | −0.06 | 0.06 | 0.07 | 0.01 |
| Brown dots or globules | −0.19 | 0.24 | 0.30 | −0.17 | 0.17 | −0.15 | −0.02 |
| White lines | 0.09 | −0.11 | 0.01 | 0.06 | −0.06 | −0.25 | 0.00 |
| Dermoscopic Features | Univariate Analysis (OR (95%CI) p-Value) | |
|---|---|---|
| Linear vessels (without bends or branches) | Gender | 0.06 (0.00–0.89) 0.0400 |
| White scale | Operation | 4.06 (1.06–17.68) 0.0402 |
| Patchy scale | Age | 1.10 (1.01–1.23) 0.0264 |
| Perifollicular pigmentation | Age | 1.31 (1.03–1.98) 0.0243 |
| White structureless areas | Age | 1.20 (1.04–1.71) 0.0105 |
| Fraction dose | 0.17 (0.00–0.65) 0.0092 | |
| Number of fractions | 1.15 (1.02–3.48) 0.0235 | |
| Total dose | 1.09 (1.02–1.77) 0.0168 | |
| Brown dots or globules | Number of fractions | 1.10 (1.02–1.20) 0.0171 |
| Total dose | 1.05 (1.00–1.10) 0.0339 | |
| Clinical Features | ||
| Pigmentation change | Gender | 11.77 (1.79–133.87) 0.0098 |
| Number of fractions | 1.11 (1.03–1.21) 0.0088 | |
| Total dose | 1.06 (1.02–1.12) 0.0086 | |
| Some hair loss | Number of fractions | 0.87 (0.59–0.97) 0.0070 |
| Total dose | 0.84 (0.67–0.98) 0.0038 | |
| Radiochemotherapy | 0.18 (0.04–0.69) 0.0123 | |
| Total hair loss | Number of fractions | 1.12 (1.02–1.45) 0.0141 |
| Total dose | 1.16 (1.02–1.45) 0.0067 | |
| Radiochemotherapy | 6.20 (1.59–28.18) 0.0080 | |
| RTOG | Number of fractions | 1.07 (1.00–1.18) 0.0479 |
| Total dose | 1.04 (1.00–1.11) 0.0494 | |
| Dermoscopic Features | Univariate Analysis (OR (95%CI) p-Value) |
|---|---|
| Dotted vessels | 1.31 (1.12–1.59) 0.0002 |
| White scale | 1.18 (1.04–1.34) 0.0068 |
| Patchy scale | 1.22 (1.08–1.40) 0.0011 |
| Perifollicular white color | 1.21 (1.06–1.39) 0.0047 |
| White structureless areas | 2.67 (1.78–4.46) <0.0001 |
| Brown dots or globules | 1.82 (1.35–2.69) <0.0001 |
| White lines | 1.25 (1.09–1.50) 0.0008 |
Disclaimer/Publisher’s Note: The statements, opinions and data contained in all publications are solely those of the individual author(s) and contributor(s) and not of MDPI and/or the editor(s). MDPI and/or the editor(s) disclaim responsibility for any injury to people or property resulting from any ideas, methods, instructions or products referred to in the content. |
© 2024 by the authors. Licensee MDPI, Basel, Switzerland. This article is an open access article distributed under the terms and conditions of the Creative Commons Attribution (CC BY) license (https://creativecommons.org/licenses/by/4.0/).
Share and Cite
Pilśniak, A.; Szlauer-Stefańska, A.; Tukiendorf, A.; Rutkowski, T.; Składowski, K.; Kamińska-Winciorek, G. Dermoscopy of Chronic Radiation-Induced Dermatitis in Patients with Head and Neck Cancers Treated with Radiotherapy. Life 2024, 14, 399. https://doi.org/10.3390/life14030399
Pilśniak A, Szlauer-Stefańska A, Tukiendorf A, Rutkowski T, Składowski K, Kamińska-Winciorek G. Dermoscopy of Chronic Radiation-Induced Dermatitis in Patients with Head and Neck Cancers Treated with Radiotherapy. Life. 2024; 14(3):399. https://doi.org/10.3390/life14030399
Chicago/Turabian StylePilśniak, Aleksandra, Anastazja Szlauer-Stefańska, Andrzej Tukiendorf, Tomasz Rutkowski, Krzysztof Składowski, and Grażyna Kamińska-Winciorek. 2024. "Dermoscopy of Chronic Radiation-Induced Dermatitis in Patients with Head and Neck Cancers Treated with Radiotherapy" Life 14, no. 3: 399. https://doi.org/10.3390/life14030399
APA StylePilśniak, A., Szlauer-Stefańska, A., Tukiendorf, A., Rutkowski, T., Składowski, K., & Kamińska-Winciorek, G. (2024). Dermoscopy of Chronic Radiation-Induced Dermatitis in Patients with Head and Neck Cancers Treated with Radiotherapy. Life, 14(3), 399. https://doi.org/10.3390/life14030399

