Next Article in Journal
Chloroplast Genome of Lithocarpus dealbatus (Hook.f. & Thomson ex Miq.) Rehder Establishes Monophyletic Origin of the Species and Reveals Mutational Hotspots with Taxon Delimitation Potential
Previous Article in Journal
The Incidence and Associated Risk Factors of Contrast-Induced Nephropathy after Contrast-Enhanced Computed Tomography in the Emergency Setting: A Systematic Review
 
 
Font Type:
Arial Georgia Verdana
Font Size:
Aa Aa Aa
Line Spacing:
Column Width:
Background:
Article

Unveiling a Novel Source of Resistance to Bacterial Blight in Medicinal Wild Rice, Oryza officinalis

1
Biotechnology and Germplasm Resources Institute, Yunnan Academy of Agricultural Sciences, Yunnan Provincial Key Lab of Agricultural Biotechnology, Ministry of Agriculture, Kunming 650205, China
2
National Key Facility for Crop Gene Resources and Genetic Improvement (NFCRI), Institute of Crop Sciences, Chinese Academy of Agriculture Sciences (CAAS), Beijing 100081, China
3
College of Plant Protection, Yunnan Agricultural University, Kunming 650201, China
*
Authors to whom correspondence should be addressed.
These authors contributed equally to this work.
Life 2022, 12(6), 827; https://doi.org/10.3390/life12060827
Submission received: 27 April 2022 / Revised: 18 May 2022 / Accepted: 22 May 2022 / Published: 2 June 2022
(This article belongs to the Section Plant Science)

Abstract

:
Bacterial blight (BB) caused by Xanthomonas oryzae pv. oryzae (Xoo) is among the oldest known bacterial diseases found for rice in Asia. It is the most serious bacterial disease in many rice growing regions of the world. A total of 47 resistance (R) genes (Xa1 to Xa47) have been identified. Nonetheless, these R genes could possibly be defeated to lose their qualitative nature and express intermediate phenotypes. The identification of sources of novel genetic loci regulating host plant resistance is crucial to develop an efficient control strategy. Wild ancestors of cultivated rice are a natural genetic resource contain a large number of excellent genes. Medicinal wild rice (Oryza officinalis) belongs to the CC genome and is a well-known wild rice in south China. In this study, O. officinalis was crossed with cultivated rice HY-8 and their hybrids were screened for BB resistance genes deployed through natural selection in wild rice germplasm. The molecular markers linked to R genes for BB were used to screen the genomic regions in wild parents and their recombinants. The gene coding and promoter regions of major R genes were inconsistently found in O. officinalis and its progenies. Oryza officinalis showed resistance to all thirty inoculated Xoo strains with non-availability of various known R genes. The results indicated the presence of novel genomic regions for BB resistance in O. officinalis. The present study not only provides a reference to investigate medicinal rice for R gene(s) identification against BB but also identified it as a new breeding material for BB resistance.

1. Introduction

Bacterial blight (BB) caused by Xanthomonas oryzae pv. oryzae (Xoo) is amongst the oldest known bacterial diseases in Asia [1,2]. It is the most serious bacterial disease in many rice growing regions of the world [3]. The Xoo strain enters through hydathodes, stomata and wounds on the roots or leaves which causes leaf wilting, affects photosynthesis that results in yield loss and can reduce rice yield by as much as 20–80% [4]. BB causes serious loss of rice production in Asia, Australia, Latin America, Africa and the United States [5,6,7]. It is particularly destructive in the rice growing tracts of Asia during monsoon season. At the seedling stage under high atmospheric temperatures (28–34 °C) sometimes Xoo infection causes the death of the central shoot, leading to complete crop loss [1,8].
Xoo isolates collected from and across Asia, Africa, and Australia exhibit high genetic diversity based on the polymorphism of transposable elements, a-virulence genes, insertion sequences, rep/box elements and other markers [1,9]. Based on the virulence of Xoo strains in particular host genotypes, several distinct races have been identified [1,10]. Around 30 races of Xoo have been reported globally [1,11]. Studies on Xoo pathotype diversity revealed 6–11 pathogenic races based on their virulence to Xa/xa differential lines only in India [1,11,12]. Among the total known resistance genes, Xa4, xa5, Xa7, xa8, Xa11, xa13 and Xa21 should be targeted as important candidates for resistance breeding against BB races in southwestern Asia.
There are different conventional control measures of BB such as antibiotics and application of copper compounds. The increasing trend of rice monoculture has spurred the development and emergence of new and more virulent races of Xoo, causing ineffectiveness of most of the chemical means of disease control. However, the development of resistant cultivars by incorporating major resistance (R) gene(s) has been proved to be the most effective, economical and eco-friendly strategy to control BB.
A total of 47 R genes (Xa1 to Xa47) have been identified [1,13]. Out of these, 14 are recessive genes, while some display semi-dominance (e.g., Xa27). Fourteen of the total R genes such as Xa1, Xa3/Xa26, xa5, xa13, Xa10, Xa21, Xa23, xa25, and Xa27 have been cloned and characterized indicating the involvement of multiple mechanisms of R-gene-mediated Xoo resistance [2,14]. The majority of the R genes have been tagged with closely linked molecular markers and are being used in marker-assisted selection for gene pyramiding [1,2,14]. Some genes, e.g., Xa21, Xa22, Xa23, Xa3/Xa26, Xa31(t) and Xa39 confer resistance to a broad spectrum of Xoo races, whereas others are effective against a limited number of localized BB races. Xoo race-specific resistance in rice is controlled by both major R genes with qualitative effect, and by quantitative trait loci (QTL) that condition for partial resistance [1,15]. The R genes could possibly be defeated to lose their qualitative nature and express intermediate phenotypes [1,16].
The identification of sources of novel genetic loci regulating host plant resistance is crucial to develop an efficient strategy followed by screening, mapping, cloning and breeding. The search for a novel source of resistance is a continuous process, as the breakdown of resistance occurs due to the appearance of virulent Xoo races [5,17]. With ever-evolving pathogens and changing climate patterns, it is now essential to know the status of the resistance gene(s), to expand genetic resources with novel BB resistance genes, and to deploy and pyramid them in breeding programs for durable resistance to Xoo. Identification and isolation of novel host resistance and pathogen a-virulence genes are required for a broader understanding of mechanisms involved in host–pathogen interactions and also to determine the resistance breeding approaches. The wild species often contain untapped resources of distinct alleles useful for breeding programs. For this purpose, normally tightly linked molecular markers are exploited in order to identify genotypes with multiple resistance genes. Molecular markers offer an opportunity to characterize the germplasm collections for the existence of various resistance genes. Several markers specific to BB resistance genes have been previously studied [5,17,18,19,20]. The marker aided selection (MAS) approach has proved its efficiency in breeding programs to improve rice genotypes against disease which allows the introgression/pyramiding of single/multiple resistance genes in a genotype with desirable traits [5,6,17,21].
Wild ancestors of cultivated rice, a natural genetic resource contain a large number of excellent genes. Along with ordinary wild rice (Oryza rufipogon Griff.), the granular wild rice (O. meyeriana Baill.) and the pharmaceutical/medicinal wild rice (O. officinalis Wall.) are also well-known genetic resources. Different species are categorized into 10 genome types, six are diploid (AA, BB, CC, EE, FF, and GG) (2n = 2x = 24) and the other four are allotetraploid (BBCC, CCDD, HHJJ, and HHKK) (2n = 4x = 28) [22]. Medicinal wild rice (O. officinalis) belongs to the CC genome. The O. officinalis genome is 1.6 times larger than the AA genome of cultivated O. sativa, mostly due to proliferation of Gypsy type long-terminal repeat transposable elements, but overall syntenic relationships are maintained with other Oryza genomes (A, B, and F) [17]. With its diverse ecology, it has been distributed in the Yunnan, Guangdong, Guangxi and Hainan provinces of China. Its higher genetic diversity has resulted in higher resistance and tolerance to many diseases including BB.
In this study, the O. officinalis genotypes from the Yunnan province of China were crossed with O. sativa subsp. indica HY-8 and their hybrids were screened for BB resistance genes deployed through natural selection and molecular selection in wild rice germplasm. The wild rice demonstrated BB resistance in the absence of major known BB-resistance genes. The exploration of BB in its descendants provides a theoretical basis and data support. This information will aid in the further utilization of the wild rice germplasm, and in deciding gene pyramiding programs for BB resistance genes in high yielding rice varieties.

2. Material and Methods

2.1. Plant Materials

The O. officinalis from Mingding, Yunnan Province of China were obtained to hybridize with O. sativa subsp. indica HY-8. The F1 was further crossed and selfed to obtain the next segregation generations. A total of 30 BC1F1 individuals were obtained for both of the F1 hybrids and HY-8 progeny, respectively. The 28 BC2F1 and 145 BC3F1 plants, 4 F2 generation individuals were finally obtained from the crossing of F1 for further study. A local japonica rice cultivated variety ‘02428’ was used as a susceptible control denoted as “Control” during our evaluation (Figure 1, Supplementary Table S1).

2.2. Pathogen Collection for Inoculation

A total of 30 domestic and international pathogenic bacterial strains were collected for this study (Supplementary Table S1). Among them, C1 to C7 and C9 were obtained from local research institutes; T7147 and PXO99A were the international strains; PB, was a PXO99A mutant strain; Y8, X1, X6, X9 and X10, were local pathogenic bacteria of Yunnan; HZ, Hzhj19, YM1, YM187, YJdp-2 and YJws-2, were obtained from fresh leaf samples from different rice areas of Yunnan in epidemic conditions; LN44, HAN05-1, HAN08-2, YuN17-1, YuN18-2, YuN96-11 and YuN98-5 were obtained from the Institute of Crop Science, Chinese Academy of Agricultural Sciences, Beijing, China.
The inocula of all 30 strains were stored at −80 °C. Before use, the pathogens were cultured on Na-solid medium, at 28 °C for 48 h to 72 h, eluted with sterile water, formulated into a concentration of 3 × 108 CFU/mL with 0.5 OD of 600 visible wavelengths.

2.3. Pathogen Inoculation and Screening of Germplasm

The selected germplasm was grown in a field at Yumen, Yunnan Province, China screening base during the wet season (May to July) of 2019 and 2020. Each genotype was grown in a single row plot with a standard plant-to-plant and row-to-row distance of 10 cm and 15 cm, respectively. The plants were inoculated with the propagules of a BB field isolate using the leaf-clipping inoculation method [1,23]. During the reproductive growth stage, five fully expanded uppermost leaves from five plants of each entry were clip inoculated at around six weeks after transplanting (i.e., at the maximum tillering stage). The pathogen growth on the local japonica variety susceptible to BB was considered as a control. The lesion lengths (LL) were recorded after about three weeks on a single leaf from each of the five inoculated plants. BB severity (growth of the lesions) was visually scored following the Standard Evaluation System (SES) for rice [1,24]. That is, a lesion length less than or equal to 6 cm is resistant (R), and a lesion length greater than 6 cm is susceptible (S). Each of the calculated data points was the average of 15 measured readings.

2.4. Identification of R Genes

A total of 63 primer pairs were obtained to evaluate the 15 BB resistance genes. They are used for marker assisted selection in wild rice germplasm. The genomic sequences of 13 BB resistance genes (Xa1, Xa2, Xa3, Xa4, Xa5, Xa7, Xa10, Xa13, Xa14, Xa21, Xa23, Xa25 and Xa26) were obtained from an online rice database to design the specific primers, while Xa32(t), xa34(t), Xa38(t), xa42(t) and Xa45(t)11 functional markers were used as reported (Table 1). Three to nine primer pairs were designed to cover the whole length of each gene. Total genomic DNA was extracted from fresh leaves as per the standard protocol provided by the DNA-extraction kit (Tiangen Biochemical Technology, Co., Ltd., Beijing, China). The high-quality DNA was separated in 1% agarose gel and the DNA concentration was controlled by A260/A280 spectroscopy values.
The polymerase chain reaction (PCR) was performed using all of the primer pairs as per the standard protocol required for Nanjing Kownsi’s high-fidelity PCR amplification kit. PCR system 20 μL, 2× Phanta ® Max Master Mix 10 μL, upstream and downstream primers (10 μmol/L) 1 μL, template DNA (50 ng/μL) about 1 μL and ddH2O about 7 μL. PCR procedure: 95 °C for 5 min; then 35 cycles included reaction at 95 °C for 15 s, reaction at 51 °C–61 °C for 15 s (depending on the Tm value of each primer), and reaction at 72 °C for 30–60 s/kb (depending on the length of target sequence); last extension at 72 °C for 10 min; heat preservation at 12 °C. Detection of PCR products by 1–3% agarose gel electrophoresis [25].
The possible presence of nine R genes (Xa1, Xa2, Xa3/Xa26, Xa4, Xa14, Xa23, Xa27, Xa31(t) and Xa45(t)4) in HY-8 and its descendants was confirmed by comparing the amplicons in corresponding resistant and susceptible controls. Then we selected HY-8, F2-3, F2-4, No.10 and FD-3 as representative material. The genomic region of these five selected genotypes and the O. officinalis wall., (as control) were subjected to further amplification. The PCR product was collected and inserted in the T vector, and submitted to Beijing Offilla Biotechnology Co., Ltd. Kunming Branch for sequencing.

2.5. Statistical Analysis

The primary data analysis of field data and the marker data was performed by Microsoft Office Excel. The nucleotide data and primer designing were performed by the available online tools of the NCBI data base. The sequencing data was compared by biology software DNAMAN [26].

3. Results

3.1. Reactions of BB Pathogenic Strains on Wild Parent and Its Hybrid

The reactions of 30 bacterial pathogenic strains after 21 days of inoculation were studied to evaluate the resistance level of Mingding medicinal wild (MDMW) plant O. officinalis Wall., cultivated HY-8 parent and a susceptible control ‘02428’. The compatible reaction on the genotypes was observed with all 30 strains. The lesion length (LL) on the leaves of control plant ‘02428’ ranged from 15.4 cm to 25.4 cm. Hence, the MDMW was observed as resistant against all of the studied strains of BB pathogens (Table 2). The hybrid plant HY-8 was found to be resistant with an average 4.19 cm LL. Nonetheless, there was a strong reaction in HY-8 against seven pathovars including C5, C9, T7147, YJws-2, YJdp-2, PXO99A and HAN05-1. The HAN05-1 with 15.97 cm LL showed the strongest reaction, followed by T7147 (10.3 cm) and C9 (10.1 cm) (Figure 2).

3.2. Reactions of BB Pathogens on 208 Progenies

The reaction response of all 208 hybrids and recombinants was evaluated against seven strong pathogenic strains. Based on their resistance response to seven pathogenic strains, all the genotypes were clustered into seven major groups which could be further divided into 21 subgroups (Table 3). Of the total 208 progenies, 61 were susceptible to all studied strains, while 37 showed resistance to one strain and were susceptible to others. There was no genotype resistant to HAN05-1 (Table 3). The representative plants of 21 resistance groups including individuals from F1, F2, BC1F1, BC2F1 and BC3F1 generations were further scored against the 30 pathogenic strains and the disease reaction as LL was measured (Supplementary Table S3). The 21 representative plants showed resistance against a minimum of 10 to a maximum of 29 pathogenic strains. There was no hybrid or recombinant individual that was resistant against the HAN05-1 isolate. The individuals in F1 and BC1F1 were resistant to most (more than 20) of the pathogenic strains (Supplementary Table S3). The F1-1, F1-2-4 and FC7-11 showed resistance to all pathogenic strains except HAN05-1. Among the two F2 plants, F2-3 showed resistance to 50% (15) of strains and susceptibility to the other 50% (15), on the other hand F2-4 was resistant to 27 strains (Supplementary Table S3).

3.3. Molecular Markers-Based Survey of BB Resistance Genes

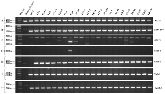
A molecular markers-based survey with 55 sequence tagged sites (STS) markers was performed for the parental, control and selected representative individuals of 21 resistant groups. The screening results of genotypes for the availability (+) or absence (−) of twenty R genes were evaluated (Table 4 and Figure 3). The gene of Xa1, Xa4 and X23 with ten primer pairs (Xa1-3, Xa1-5, Xa3-1, Xa3-4, Xa3-5, Xa3-7, Xa3-8, Xa4-1, Xa4-6 and Xa4-7) was detected in all individuals (Figure 3A). The genomic segments for xa5, Xa7, Xa10, Xa27, Xa32(t), xa34(t), Xa38(t), xa42(t) and Xa45(t)11 tested with fourteen primer pairs (xa5L, Xa7-1, Xa7-2, Xa10-1, Xa10-2, Xa10-3, xa13-3, Xa21-2, xa25-1, xa34-nv7, Oso4g53050-1, RM27296, KGC3 16.3, Hxyj-1) were not detected in any of individuals (Figure 3B) but may have their homologs. However, one or more segments of Xa3, xa13 and Xa25 were observed to be missing in recombinants.
The allele specific markers of resistant gene Xa3 were tested. The Xa3-2d with 535 bp amplicon size was only identified in F2-3 and F2-4, and missing in all other individuals. Similarly, the 368 bp and 438 bp amplicons of xa13, and 954 bp amplicon of Xa21 were missing in almost all individuals except xa13-4 that was identified in F2-3 and F2-4 (Table 4, Figure 3C). Only a minor proportion of recombinants contained all of the five genomic segments of targeted genes (Figure 3B–E). The gene segment amplicons of xa13-2, xa25-2 were identified in O. officinalis but not in some of the offspring and the HY-8. The other 24 primer pairs which were not amplified in O. officinalis but found in progenies may indicate the absence of targeted segments in O. officinalis (Figure 3F,G). Nonetheless, the partial fragment or part of Xa1, Xa3, Xa4, xa13 and Xa25 reference genes were amplified in various recombinants. Hence, it could be concluded that F2-3 and F2-4 were commonly carrying nine R genes (Xa1, Xa2, Xa3/Xa26, Xa4, Xa14, Xa23, Xa27, Xa31(t), Xa45(t)4), while HY-8, No.10 and other decedents were carrying seven R genes (Xa1, Xa2, Xa4, Xa14, Xa23, Xa31(t) and Xa45(t)4) (Table 5).

3.4. Genomic Comparison of Polymorphic R Genes (Xa3/Xa26, Xa23, and Xa27)

Previous results showed that the HY-8, F2-3, F2-4, No.10 and the other progenies may contain nine R genes (Xa1, Xa2, Xa3/Xa26, Xa4, Xa14, Xa23, Xa27, Xa31(t) and Xa45(t)4) or their homologous gene. In order to further clarify these nine cases, which carry the genes, O. officinalis, HY-8, F2-3, F2-4, No. 10 and FD-3 representative genotypes were selected and their obtained PCR products were sequenced. The coding region of Xa1, Xa2, Xa14, Xa31(t) and the end of Xa45(t)4 showed a number of deletions.
The Xa1 had a deletion in 837 bp segment, Xa2 had a deletion of 558 bp segment, Xa14 type showed deletion of 405 bp, Xa31(t) showed deletion of 558 bp, and Xa45(t)4 was missing 1116 bp. The genomic similarity between resistant donor wild parent and the HY-8 for Xa1, Xa2, Xa14, Xa31(t), and Xa45(t)4 was up to 86.13%, 90.2%, 89.22%, 90.2% and 82.61%, respectively (Table 6, Figure 4). This may be an indication of the genes homology in HY-8.
The Xa3/Xa26 region showed InDel and SNP mutations (Figure 3A) in the HY-8, F2-3, F2-4, No.10 and FD-3, and showed 96.05% similarity to the resistant donor. F2-3 and F2-4 seem to carry the two historical genomes AA and BB [22]. Wherein, AA was consistent with the HY-8, while for the BB genotype it showed 98.36% similarity to the resistant donor. Nonetheless, the downstream sequence of the Xa3/Xa26 gene coding region (could be amplified by marker Xa3-KL2) could not be amplified in any medicinal rice plant. Hence, the primers near Xa3-KL3 within the coding region were designed (Figure 4A). The results showed that the target band could be amplified in O. officinalis, but the cloning and sequencing showed that the coding region sequence in O. officinalis was significantly different from that in F2-3 and F2-4, as well as that in the donor parent (Figure 4A), indicating that the BB genotype was not from two parents, but a new variation type. The Xa4 sequence evaluation showed the 100% similarity of genomic and promoter regions among HY-8, F2-3, FD-3, F2-4, No.10 and the donor sequence in the resistant cultivar IR64, which indicated that the HY-8 and its hybrids contained Xa4 gene. The sequence of Xa23 in HY-8, F2-3, F2-4, No.10 and FD-3 showed 99.71% consistency to the donor wild rice varieties. In all five genotypes the DNA sequence has one SNP as a point mutation at 104 bp position (Figure 4B) i.e., nonsense mutation.
The Xa27 sequence also showed the InDel and SNP mutation in HY-8, No.10 and FD-3 (Figure 4C), while having 89.74% consistency to the O. minuta. Its genomic region also supposed to be evolved from two parts from A and B genomes as in Xa3/Xa26. The genomic region in HY-8 was exactly the same as the O. minuta but the promoter region showed an inconsistent resistant due to a large difference among genotypes (Figure 4D). Further estimation from O. officinalis genome, as in Figure 3D showed a substantial matching of genome sequence in promoter region of Xa27, which could amplify the genomic region in F2-3 and F2-4 but could not amplify in the O. officinalis. The full-length amplification by primers Xa27-KL1 also could not amplify in wild rice. The coding region sequence of O. officinalis in F2-3 and F2-4 genotypes showed a larger variation and revealed only 78.27% similarity (Figure 4E). Hence, it could be concluded that the O. officinalis, HY-8, and the progenies contain only the homologous gene Xa27, while the F2 generation materials F2-3 and F2-4 may also contain Xa27 resistance gene or susceptible allele xa27.
It can be seen from the above results that HY-8 and its hybrids contained the Xa4 gene. In addition, only the homologous genes of Xa1, Xa2, Xa3/Xa26, Xa14, Xa23, Xa31(t) and Xa45(t)4 were carried. A small number of offspring contained the disease resistance gene Xa27 or its susceptible allele xa27.

4. Discussion

Rice is an important crop contributing to global food security and grows in almost all ecosystems [27]. Rice production is being affected by various biotic and abiotic stresses. Among these stresses, BB caused by Xoo results in a significant reduction in global rice yield. It particularly has devastating effects in Asian countries including China, Pakistan and India [28]. Genetic diversity is always required for any successful rice breeding program [28]. Historically, BB has occurred epidemically and is now found in almost all major rice growing areas of Asia [27]. This study aimed to reveal the novel source of BB resistance in rice. Hence, a medicinal rice plant (O. officinalis) was evaluated and found as resistant even in the absence of historically known resistance (R) genes for BB.
Germplasm screening may lead to the identification of both narrow and broad sense resistance to various types of bacterial blast including leaf and neck blast [29,30]. In various studies, a geographically diverse mixture of blast isolates has been used to identify the stable QTL/gene(s) [31]. To date, forty-seven genes have been identified that induce resistance against broad spectrum or race specific resistance to Xoo [27]. Evolving environmental conditions could cause the emergence of new pathogenic variants. Hence, a fresh effort to reveal new sources of resistance in wild material may be helpful to generate longer-term resistance to BB in cultivated species.
The current study was conducted to screen the medicinal wild rice plants O. officinalis and its hybrids to characterize against BB. The evaluation of medicinal wild parent plants and their F1, F2 and backcross individuals for BB resistance by traits, specific morphological and gene specific molecular markers revealed novel sources of BB resistance. It further highlighted the chromosomal substitutions in genomic and promoter regions of inbred and recombinants with a reference to their parental wild genotypes.
The molecular marker survey revealed that O. officinalis does not contain the evaluated 20 reference genes. The markers-based amplification of genomic segments indicated the absence of a few targeted R genes segments in hybrid plant HY-8 but they were available in a few of the other progenies. Twenty-four primer pairs which were not amplified in O. officinalis and detected in progenies indicate the absence of targeted segments in O. officinalis (Figure 3F,G). Hence, it may be an indication of an unknown source of resistance in O. officinalis. Similar results were observed in a few recent studies, in which they used a molecular survey to screen the potentially resistant landraces and the tested genes were not found [28]. The identification of new genes and manipulation of O. officinalis in rice breeding may increase BB resistance since most of the genes are losing their durability and effectiveness [32].
The sharing of common R-gene segments or the availability of homolog genomic regions indicated a common pedigree. The sources of two genomes may have common parents with HY-8, and the other genotype as O. officinalis. Nonetheless, the absence of the downstream sequences of Xa3/Xa26 gene coding region in O. officinalis indicated the availability of alternate and unrevealed causes of BB resistance. The sequencing analysis revealed the genetic differences between F2-3 from O. officinalis and F2-4 (Figure 4A). Hence, it illustrated that the two parental genotypes had a new type of mutation. We also observed that O. officinalis, HY-8 and their descendants did not contain the Xa3/Xa26 gene but may contain Xa3/Xa26 homologous genes.
The sequence similarity of genomic and promoter regions for Xa4 and Xa23 genes among HY-8, F2-3, FD-3, F2-4, No. 10 and the donor sequence in the resistant cultivar IR64, indicated the availability of these genes in HY-8 and its hybrids. It was observed that the five studied materials had exactly the same protein as in O. rufipogon, but their promoter regions were missing the 38 bp region, which created a resemblance to the susceptible xa23 gene and allelic differences in the Xa23 functional region (EBE avrXa23) [2,33]. Hence the recombinant progeny HY-8 contains a susceptible xa23 and not the disease-resistant gene Xa23. Similarly, the resemblance of the promoter region of Xa27 sequence as the O. minuta and observed variation in protein coding regions resulted in inconsistent resistance in the progeny. A previous study has also been reported for the promoter region variation of the Xa27 [2,34]. The similarity with two differences in genomic region sequence of Xa27 in susceptible cultivar IR24 and small grain wild has been reported. The promoter region of the susceptible genotype had an insertion of 10 bp at about 1.4 kb upstream of the ATG and an insertion of 25 bp before the TA frame. It may not only cause the variation in the promoter region but also affect the gene function from resistant Xa27 to susceptible xa27. Furthermore, the similarity in the promoter region of Xa27 with O. officinalis in F2-3 and F2-4 and a variation in the coding region was observed. Hence, we propose that O. officinalis, HY-8 and the progeny only possessed the homolog of Xa27, while the F2 generation may also contain Xa27 resistance or susceptible allele xa27.
The wild species are valuable sources of potential genes for tolerance or resistance to abiotic and biotic stresses and are helpful for revealing the gaps in genetic diversity [28,35]. In the case of bacterial blight, many important genes such as xa5, xa13 and Xa21 have been identified from cultivated rice and wild species [2,36]. Previously, a dominant gene Xa21 was identified from a wild rice parent O. longistaminanta, showed resistance to all six races of BB in Philippines [27]. However, it was defeated and broken down in other Asian countries such as Nepal, Thailand and India [27]. Another similar study was conducted on wild rice O. malampuzhaensis and O. rufipogon. They reported the susceptibility of O. malampuzhaensis for all 20 tested Xoo strains in the absence of Xa21 but O. rufipogon showed resistance without Xa21, which may due to the availability of a new major gene. O. rufipogon was also identified as source of resistance to BB in China [27,37] and found the major BB resistance gene Xa23 [37]. Other similar studies have been reported for the presence of BB resistance in O. minuta Presl. [38] and O. latifolia [39].
The current study revealed that in addition to carrying the Xa1, Xa2, Xa3/Xa26, Xa14, Xa23, Xa31(t) and Xa45(t)4 homologous genes, the hybrid of O. officinalis also contained the parts from the xa27 susceptible region and had lesser parts from resistant Xa27, which may have come from the medicinal wild parent and directly contributed to BB resistance. The genotypes without the R genes exhibited a resistant response to Xoo and may be a valuable genetic resource for rice breeding for BB resistance for higher yield. The present study provides a reference for investigating medicinal rice for R gene(s) identification against BB using a forward genomics tool. The gene(s) linked to the molecular markers used for R gene assays can be used as a tool to validate the bi-parental or diverse mapping population. A genome-wide association analysis of BB resistance will help in the identification of DNA-markers.

Supplementary Materials

The supporting information can be downloaded at: https://www.mdpi.com/article/10.3390/life12060827/s1.

Author Contributions

Conceptualization, L.C., F.Y., Q.Z., B.W., Z.J. and Z.C.; Data curation, L.C., L.W., Y.Z., C.J., L.L. and T.Y.; Formal analysis, L.C., B.W., Y.L. and Z.C.; Funding acquisition, Z.C.; Investigation, D.Z., S.X., Q.Z., Y.Z., L.L. and Y.L.; Methodology, F.Y., X.K., Z.J. and T.Y.; Project administration, F.Y., L.W., Y.Z., C.J. and J.L.; Resources, D.Z., S.X., X.K., Z.J., J.L., Y.L. and Z.C.; Software, D.Z., S.X., Q.Z., J.L. and T.Y.; Supervision, X.K.; Validation, B.W.; Visualization, L.W.; Writing—original draft, L.L. and Z.C.; Writing—review and editing, Z.C. All authors have read and agreed to the published version of the manuscript.

Funding

This research was funded by Academician Yan Longan Expert Workstation, Yunnan Province (202005AF150032); Basic research projects in Yunnan Province (202001AT070015 and 202001AT070003); Yunnan Agricultural Basic Research Joint Special Project (2018FG001-068); Yunnan Science and Technology Talents and Platform Project (2019HB034 and 202005AM070029); Yunnan Youth Top Talents Project (YNWR-QNBJ-2018-284); Science and Technology Innovation and Achievement Transformation Pilot Project of Yunnan Academy of Agricultural Sciences in 2021 (202102AE090036-06); National Natural Science Fund Regional Project (31960374); Joint Laboratory Project of Yunnan Seed Industry.

Institutional Review Board Statement

Not applicable.

Informed Consent Statement

Not applicable.

Data Availability Statement

Not applicable.

Conflicts of Interest

The authors declare no conflict of interest.

References

  1. Banerjee, A.; Roy, S.; Bag, M.K.; Bhagat, S.; Kar, M.K.; Mandal, N.P.; Mukherjee, A.K.; Maiti, D. A survey of bacterial blight (Xanthomonas oryzae pv. oryzae) resistance in rice germplasm from eastern and northeastern India using molecular markers. Crop Prot. 2018, 112, 168–176. [Google Scholar]
  2. Angeles-Shim, R.B.; Shim, J.; Vinarao, R.B.; Lapis, R.S.; Singleton, J.J. A novel locus from the wild allotetraploid rice species Oryza latifolia Desv. confers bacterial blight (Xanthomonas oryzae pv. oryzae) resistance in rice (O. sativa). PLoS ONE 2020, 15, e0229155. [Google Scholar]
  3. Xu, Y.; Zhu, X.-F.; Zhou, M.-G.; Kuang, J.; Zhang, Y.; Shang, Y.; Wang, J.-X. Status of streptomycin resistance development in Xanthomonas oryzae pv. oryzae and Xanthomonas oryzae pv. oryzicola in China and their resistance characters. J. Phytopathol. 2010, 158, 601–608. [Google Scholar]
  4. Niño-Liu, D.O.; Ronald, P.C.; Bogdanove, A. Xanthomonas oryzae pathovars: Model pathogens of a model crop. Mol. Plant Pathol. 2006, 7, 303–324. [Google Scholar] [CrossRef]
  5. Noreen, R.; Khan, S.; Rabbani, A.; Kanwal, A.; Uzair, B. Screening of different rice (Oryza sativa L.) varieties for genetic diversity and bacterial blight resistance gene. Pak. J. Bot. 2020, 52, 1087–1096. [Google Scholar] [CrossRef]
  6. Sabar, M.; Bibi, T.; Farooq, H.U.; Haider, Z.; Naseem, I.; Mahoomd, A.; Akhter, M. Molecular screening of rice (Oryza sativa L.) germplasm for Xa4, xa5 and Xa21 bacterial leaf blight (BLB) resistant genes using linked marker approach. Afr. J. Biotechnol. 2016, 15, 2317–2324. [Google Scholar]
  7. Chu, Z.; Fu, B.; Yang, H.; Xu, C.; Li, Z.; Sanchez, A.; Park, Y.J.; Bennetzen, J.L.; Zhang, Q.; Wang, S. Targeting xa13, a recessive gene for bacterial blight resistance in rice. Theor. Appl. Genet. 2006, 112, 455–461. [Google Scholar] [CrossRef]
  8. Zaragoza, B.; Mew, T.W. Relationship of root injury to the “kresek” phase of bacterial blight of rice. Plant Dis. Rep. 1979, 63, 1007–1011. [Google Scholar]
  9. Leach, J.E.; Leung, H.; Nelson, R.J.; Twng-wah, W.M. Population biology of Xanthomonas oryzae pv. oryzae and approaches to its control. Curr. Opin. Biotechnol. 1995, 6, 298–304. [Google Scholar] [CrossRef]
  10. Mew, T. Current status and future prospects of research on bacterial blight of rice. Annu. Rev. Phytopathol. 1987, 25, 359–382. [Google Scholar] [CrossRef]
  11. Mishra, D.; Vishnupriya, M.R.; Anil, M.G.; Konda, K.; Raj, Y.; Sonti, R.V. Pathotype and genetic diversity amongst Indian isolates of Xanthomonas oryzae pv. oryzae. PLoS ONE 2013, 8, e81996. [Google Scholar] [CrossRef] [PubMed] [Green Version]
  12. Mondal, K.K.; Meena, B.R.; Junaid, A.; Verma, G.; Mani, C.; Majumder, D.; Khicher, M.; Kumar, S.; Banik, S. Pathotyping and genetic screening of type III effectors in Indian strains of Xanthomonas oryzae pv. oryzae causing bacterial leaf blight of rice. Physiol. Mol. Plant Pathol. 2014, 86, 98–106. [Google Scholar] [CrossRef]
  13. Xing, J.; Zhang, D.; Yin, F.; Zhong, Q.; Wang, B.; Xiao, S.; Ke, X.; Wang, L.; Zhang, Y.; Zhao, C.; et al. Identification and fine-mapping of a new bacterial blight resistance gene, Xa47 (t), in G252, an introgression line of yuanjiang common wild rice (Oryza rufipogon). Plant Dis. 2021, 105, 4106–4112. [Google Scholar] [CrossRef]
  14. Kim, S.-M.; Suh, J.-P.; Qin, Y.; Noh, T.-H.; Reinke, R.F.; Jena, K.K. Identification and fine-mapping of a new resistance gene, Xa40, conferring resistance to bacterial blight races in rice (Oryza sativa L.). Theor. Appl. Genet. 2015, 128, 1933–1943. [Google Scholar] [CrossRef] [PubMed]
  15. Li, Z.; Arif, M.; Zhong, D.B.; Fu, B.Y.; Xu, J.L.; Domingo-Rey, J.; Ali, J.; Vijayakumar, C.H.M.; Yu, S.B.; Khush, G.S. Complex genetic networks underlying the defensive system of rice (Oryza sativa L.) to Xanthomonas oryzae pv. oryzae. Proc. Natl. Acad. Sci. USA 2006, 103, 7994–7999. [Google Scholar] [CrossRef] [PubMed] [Green Version]
  16. Li, Z.-K.; Luo, L.J.; Mei, H.W.; Paterson, A.H.; Zhao, X.H.; Zhong, D.B.; Wang, Y.P.; Yu, X.Q.; Zhu, L.; Tabien, R.; et al. A “defeated” rice resistance gene acts as a QTL against a virulent strain of Xanthomonas oryzae pv. oryzae. Mol. Gen. Genet. 1999, 261, 58–63. [Google Scholar] [CrossRef] [PubMed]
  17. Shenton, M.; Kobayashi, M.; Terashima, S.; Ohyanagi, H.; Copetti, D.; Hernández-Hernández, T.; Zhang, J.; Ohmido, N.; Fujita, M.; Toyoda, A.; et al. Evolution and diversity of the wild rice Oryza officinalis complex, across continents, genome types, and ploidy levels. Genome Biol. Evol. 2020, 12, 413–428. [Google Scholar] [CrossRef]
  18. Patel, A.A.; Jadeja, G.C.; Patel, H.J.; Prajapati, V.I.; Zala, H.N.; Shah, K.P.; Zaman, M. Molecular analysis of bacterial leaf blight resistance Xa5 gene in near isogenic lines of rice (Oryza sativa L.). EcoScan 2015, 9, 635–641. [Google Scholar]
  19. Rao, K.K.; Narasu, M.L. Molecular tagging of a new bacterial blight resistance gene in rice using RAPD and SSR markers. Int. Rice Res. Notes 2003, 28, 1. [Google Scholar]
  20. Sun, X.; Yang, Z.; Wang, S.; Zhang, Q. Identification of a 47-kb DNA fragment containing Xa4, a locus for bacterial blight resistance in rice. Theor. Appl. Genet. 2003, 106, 683–687. [Google Scholar] [CrossRef]
  21. Abbasi, F.; Shah, A.H.; Masood, R.; Mujadad, R.; Nawaz, F.; Sajid, M.; Afzal, M.; Majid, A.; Akhtar, N.; Bukhari, I. Production and molecular characterization of wide cross derivatives in rice. Afr. J. Biotechnol. 2010, 9, 3732–3735. [Google Scholar]
  22. Ge, S.; Sang, T.; Lu, B.-R.; Hong, D.-Y. Phylogeny of rice genomes with emphasis on origins of allotetraploid species. Proc. Natl. Acad. Sci. USA 1999, 96, 14400–14405. [Google Scholar] [CrossRef] [PubMed] [Green Version]
  23. Kauffman, H. An improved technique for evaluat-ing resistance of rice varieties to Xanthomonas oryzae. Plant Dis. Rep. 1973, 57, 537–541. [Google Scholar]
  24. IRRI. Standard Evaluation System (SES) for Rice; IRRI: Manila, Philippines, 2013. [Google Scholar]
  25. Pavel, A.B.; Vasile, C.I. PyElph-a software tool for gel images analysis and phylogenetics. BMC Bioinform. 2012, 13, 9. [Google Scholar] [CrossRef] [Green Version]
  26. Wang, W. The molecular detection of Corynespora Cassiicola on cucumber by PCR assay using DNAman software and NCBI. In International Conference on Computer and Computing Technologies in Agriculture; Springer: Berlin/Heidelberg, Germany, 2015. [Google Scholar]
  27. Srinivasan, B.; Gnanamanickam, S.S. Identification of a new source of resistance in wild rice, Oryza rufipogon to bacterial blight of rice caused by Indian strains of Xanthomonas oryzae pv. oryzae. Curr. Sci. 2005, 88, 1229–1231. [Google Scholar]
  28. Umakanth, B.; Vishalakshi, B.; Kumar, P.S.; Devi, S.J.S.R.; Bhadana, V.P.; Senguttuvel, P.; Kumar, S.; Sharma, S.; Sharma, P.K.; Prasad, M.S.; et al. Diverse rice landraces of North-East India enables the identification of novel genetic resources for Magnaporthe resistance. Front. Plant Sci. 2017, 8, 1500. [Google Scholar] [CrossRef] [Green Version]
  29. Mohan, K.M.; Madhav, M.S.; Prasad, M.S.; Devi, S.J.S.; Kumar, G.R.; Viraktamath, B.C. Analysis of population structure of Magnaporthe grisea using genome specific microsatellite markers. Curr. Trends Biotechnol. 2012, 6, 173–182. [Google Scholar]
  30. Devi, S.R.; Singh, K.; Umakanth, B.; Vishalakshi, B.; Renuka, P.; Sudhakar, K.V.; Prasad, M.; Viraktamath, B.; Babu, V.R.; Madhav, M. Development and identification of novel rice blast resistant sources and their characterization using molecular markers. Rice Sci. 2015, 22, 300–308. [Google Scholar] [CrossRef] [Green Version]
  31. Aglawe, S.B.; Bangale, U.; Satya, R.D.S.J.; Balija, V.; Pal, B.V.; Kumar, S.S.; Kumar, S.; Maddamshetty, S.; Maganti, S.M. Identification of novel QTLs conferring field resistance for rice leaf and neck blast from an unique landrace of India. Gene Rep. 2017, 7, 35–42. [Google Scholar] [CrossRef]
  32. Das, A.; Soubam, D.; Singh, P.; Thakur, S.; Sharma, T.R. A novel blast resistance gene, Pi54rh cloned from wild species of rice, Oryza rhizomatis confers broad spectrum resistance to Magnaporthe oryzae. Funct. Integr. Genom. 2012, 12, 215–228. [Google Scholar] [CrossRef]
  33. Natarajkumar, P.; Sujatha, K.; Laha, G.S.; Viraktamath, B.C.; Reddy, C.S.; Mishra, B.; Balachandran, S.M.; Ram, T.; Srinivasarao, K.; Hari, Y.; et al. Identification of a dominant bacterial blight resistance gene from Oryza nivara and its molecular mapping. Rice Genet. Newsl. 2010, 25, 54–56. [Google Scholar]
  34. Cheema, K.K.; Grewal, N.K.; Vikal, Y.; Sharma, R.; Lore, J.S.; Das, A.; Bhatia, D.; Mahajan, R.; Gupta, V.; Bharaj, T.S.; et al. A novel bacterial blight resistance gene from Oryza nivara mapped to 38 kb region on chromosome 4L and transferred to Oryza sativa L. Genet. Res. 2008, 90, 397–407. [Google Scholar] [CrossRef] [PubMed]
  35. Frankel, O.H. Plant genetic resources today: A critical appraisal. In Crop Genetic Resources: Conservation and Evaluation; Holden, J.H.W., Williams, J.T., Eds.; George Allen and Unwin Ltd.: London, UK, 1984; pp. 249–257. [Google Scholar]
  36. Abbasi, F.M.; Rabia, M.; Habib, A.; Uzma, K.; Muhammad, A.; Inamullah; Mujaddad, U.R.; Muhammad, T.K.; Kehkashan, A.; Muhammad, A.K.; et al. Molecular screening of Pakistani rice germplasm for xa5 gene resistance to bacterial blight. Afr. J. Biotechnol. 2011, 10, 2833–2837. [Google Scholar]
  37. Wang, C.; Zhang, X.; Fan, Y.; Gao, Y.; Zhu, Q.; Zheng, C.; Qin, T.; Li, Y.; Che, J.; Zhang, M.; et al. XA23 is an executor R protein and confers broad-spectrum disease resistance in rice. Mol. Plant 2015, 8, 290–302. [Google Scholar] [CrossRef] [Green Version]
  38. Amante-Bordeos, A.; Sitch, L.A.; Nelson, R.; Dalmacio, R.D.; Oliva, N.P.; Aswidinnoor, H.; Leung, H. Transfer of bacterial blight and blast resistance from the tetraploid wild rice Oryza minuta to cultivated rice, Oryza sativa. Theor. Appl. Genet. 1992, 84, 345–354. [Google Scholar] [CrossRef]
  39. Multani, D.; Khush, G.; Brar, D. Alien genes introgression and development of monosomic alien addition lines from Oryza latifolia Desv. to rice, Oryza sativa L. Theor. Appl. Genet. 2003, 107, 395–405. [Google Scholar] [CrossRef]
Figure 1. Establishment of mapping population for bacterial blight from medicinal wild rice Oryza officinalis and the domesticated rice HY-8.
Figure 1. Establishment of mapping population for bacterial blight from medicinal wild rice Oryza officinalis and the domesticated rice HY-8.
Life 12 00827 g001
Figure 2. Identification and evaluation of disease assay for cultivated rice HY-8 (A), medicinal wild rice Oryza officinalis (B), and control variety 02428 (C) after inoculation with 30 Xanthomonas pathotypes, where, 1: C1, 2: C2, 3: C3, 4: C4, 5: C5, 6: C6, 7: C7, 8: C9, 9: Y8, 10: X1, 11: X6, 12: X9, 13: X10, 14: T7147, 15: PX099A, 16: PB, 17: Hz, 18: hzHJ19, 19: YM1, 20: YM187, 21: YJDP-2, 22: YJWS-2, 23: LN44, 24: HAN05-1, 25: HAN08-2, 26: HUB05-4, 27: YUN17-1, 28: YUN18-2, 29: YUN96-11, 30: YUN98-5, while S: susceptible; R: Resistant, side ruler indicates 1 cm of the lesion length.
Figure 2. Identification and evaluation of disease assay for cultivated rice HY-8 (A), medicinal wild rice Oryza officinalis (B), and control variety 02428 (C) after inoculation with 30 Xanthomonas pathotypes, where, 1: C1, 2: C2, 3: C3, 4: C4, 5: C5, 6: C6, 7: C7, 8: C9, 9: Y8, 10: X1, 11: X6, 12: X9, 13: X10, 14: T7147, 15: PX099A, 16: PB, 17: Hz, 18: hzHJ19, 19: YM1, 20: YM187, 21: YJDP-2, 22: YJWS-2, 23: LN44, 24: HAN05-1, 25: HAN08-2, 26: HUB05-4, 27: YUN17-1, 28: YUN18-2, 29: YUN96-11, 30: YUN98-5, while S: susceptible; R: Resistant, side ruler indicates 1 cm of the lesion length.
Life 12 00827 g002
Figure 3. PCR amplicon based screening of genetic material, where (AE) show five types of reactions, (A): reaction type 1 indicating the availability of ten fragments for primers Xa1-3, Xa1-5, Xa3-1, Xa3-4, Xa3-5, Xa3-7, Xa3-8, Xa4-1, Xa4-6 and Xa4-7, (B) represents reaction type 2 indicating the availability of 14 fragments of primers xa5L, Xa7-1, Xa7-2, Xa10-1, Xa10-2, Xa10-3, xa13-3, Xa21-2, xa25-1, xa34-nv7, Oso4g53050-1, RM27296, KGC3 16.3 and Hxyj-1, (C) represents the fragments for Xa3-2, Xa4-4, xa13-4, xa25-3 and Xa27L primer pairs with inconsistent amplification, and (D) represents the only amplified fragment, (E) represents the fragments of xa13-2 and xa25-2 primers, (F) represents the non-amplified fragments of 24 primer pairs, while (G) represents the amplified fragments of remaining primers.
Figure 3. PCR amplicon based screening of genetic material, where (AE) show five types of reactions, (A): reaction type 1 indicating the availability of ten fragments for primers Xa1-3, Xa1-5, Xa3-1, Xa3-4, Xa3-5, Xa3-7, Xa3-8, Xa4-1, Xa4-6 and Xa4-7, (B) represents reaction type 2 indicating the availability of 14 fragments of primers xa5L, Xa7-1, Xa7-2, Xa10-1, Xa10-2, Xa10-3, xa13-3, Xa21-2, xa25-1, xa34-nv7, Oso4g53050-1, RM27296, KGC3 16.3 and Hxyj-1, (C) represents the fragments for Xa3-2, Xa4-4, xa13-4, xa25-3 and Xa27L primer pairs with inconsistent amplification, and (D) represents the only amplified fragment, (E) represents the fragments of xa13-2 and xa25-2 primers, (F) represents the non-amplified fragments of 24 primer pairs, while (G) represents the amplified fragments of remaining primers.
Life 12 00827 g003
Figure 4. Comparative analysis of nucleotide sequences of Xa3/Xa26, Xa23 and Xa27, where (A) indicates the comparison of genomic regions of Xa3/Xa26 in different genotypes; (B) shows a comparison of the Xa23 gene region between HY-8 and Zhachanglong; (C) indicates comparison results of coding region of Xa27 gene in HY-8 and O. minuta; (D) indicates comparison of promoter regions of Xa27 gene in F2-4 and O. minuta; (E) is the comparison of coding region of Xa27 gene in O. officinalis and O. minuta, EBEavrXa23 is a transcription activation effector that recognizes a specific DNA sequence on the promoter of Xa23 gene, the red box indicates the Xa27L upstream primer binding region, and the green box shows Xa27L downstream primer binding region.
Figure 4. Comparative analysis of nucleotide sequences of Xa3/Xa26, Xa23 and Xa27, where (A) indicates the comparison of genomic regions of Xa3/Xa26 in different genotypes; (B) shows a comparison of the Xa23 gene region between HY-8 and Zhachanglong; (C) indicates comparison results of coding region of Xa27 gene in HY-8 and O. minuta; (D) indicates comparison of promoter regions of Xa27 gene in F2-4 and O. minuta; (E) is the comparison of coding region of Xa27 gene in O. officinalis and O. minuta, EBEavrXa23 is a transcription activation effector that recognizes a specific DNA sequence on the promoter of Xa23 gene, the red box indicates the Xa27L upstream primer binding region, and the green box shows Xa27L downstream primer binding region.
Life 12 00827 g004
Table 1. Primer pairs used to amplify the total gene length of targeted R genes.
Table 1. Primer pairs used to amplify the total gene length of targeted R genes.
Gene/DonorPrimer NameForward Primer (5′-3′)Reverse Primer (5′-3′)Tm (°C)Expected Product Size (bp)
Xa1/Huangyu; Xa2/Rantai Emas 2; Xa14/TN1; Xa31(t)/Changlong; Xa45(t)4/IRGC 102463Xa1a *CCACACGCCCCACACGCACTGCCATCTCTGCAGCCCTCCCATACA611823
Xa1b *GCAGCCCTCTTGCACACGCCATTGGCCGGTACATCAGTATTGTCCATCGG55552
Xa1-1 *AGGAACTGTGTATATCGTGCTAGGATACGAGTTGGTGGAT55989
Xa1-2 *ACACCGAAACACTACAATCAACAGTAGGATACGAGTTGGT55444
Xa1-3 *ACCAACTCGTATCCTACTGTTGGTATGATCGAACTGTCAC55191
Xa1-4 *CCAAACAGATACCAACTCCTGTGGTATGATCGAACTGTCA55287
Xa1-5 *ATCCACCAACTCGTATCCTTGTTGTTTACAGGAGAGCAA55356
Xa1-KL1 *TCAGACGATTAATCCACGACGATCTTTTCTGGGAGCTGTCTTGA597400
Xa3/Xa26/ChanglongXa3-1 *ATGTGGCAGACTTTGGTATTGCTCATATACCACGAGAGAG55605
Xa3-2 *CAGTGATTCATCGCTCTCTCTAATGACGTGTGTGAGGTTT55535
Xa3-3 *CAATCGTTGCTGTTCTAACCATTAAGTAGCTGAAGCCTCG55853
Xa3-4 *AACGTTGGTAACAATAGCCTCAGTGGAATCTGACCAAAGA55258
Xa3-5 *TCCTGCTACTGAAAGGAAACCCGTTAGTGAGTTCATGCTA5572
Xa3-6 *CTACACAATCGTTGCTGTTCTTCACAGTGACGATCAAGTT55321
Xa3-7 *CCAGTATGGATTTTCGTTGCTTAAGGTGTTGGAGGATTGG55692
Xa3-8 *CCTTGGGTGGGAATAACTTTGGTAATGATCCATCCAGCAA55253
Xa3-9 *ACCTTAACTTTCAGGCCAATAAAGTTATTCCCACCCAAGG55317
Xa3-KL2 *ATCGTTGCTGTTCTAACCACCTCGTCGTTTAGTGTCCACCTC604207
Xa3-KL3 *TCACACACAACCAGACATGGATACCACGAGAGAGCGATGA583454
Xa4/IR64Xa4-1 *TGGACATCATCGTTTTCACTGTCAGCATATACGTTCCACT55623
Xa4-2 *ATGTTTCTTTGTATGCAGCGAGCATATACGTTCCACTTCC55743
Xa4-3 *CAACGACGAGTGATTCTTTGAGTACGGCCTGCTATATTTG55205
Xa4-4 *ACACATGCATGGTGGATATTATCCGAGACCTTTTATCTGC55703
Xa4-5 *ATACAGTACCGATACGAGGTTATATGTACGTTTGCTGCGA55151
Xa4-6 *GAATGAGAGTCAGAAGGGACCGCTGCATACAAAGAAACAT55187
Xa4-7 *TTACTTGTTACGGTGGTAGCGGTTTACCTATTGCATTGGC55157
Xa4-8 *TAGTCGTCATACAGTACCGAGTATATGTACGTTTGCTGCG55160
Xa4-9 *TGACATGAACTACATCGACCCATCCTCATAATGGCTGACA55164
Xa4-KL3 *ACTTCTAATATGGTAGTCGTCAAGGTAGATTTGCACCTCTGAT505701
xa5/IRBB5xa5LCCGGAGCTCGCCATTCAAGTTCTTGTGCTCTTGACTTGGTTCTCC55145
Xa7/IRBB7Xa7-1 *CATCCTGATCGTATGCCCGTGCGACGAGGGCAATAGACAT58248
Xa7-2 *GACTGCTGACCGTCAACTCCGCCACCGATGAGGTAATCCTG58242
Xa10/IRBB10Xa10-1 *ATCGGGTTCCTCTACATCTCAGCTATACGGGCATAAGAAG55148
Xa10-2 *TGTCGCAATCACTTCAATTACGAGAGGTAGAAGAGTATGGC55477
Xa10-3 *CTCCTTCTTATGCCCGTATAGCGCCGGTTTCTCTTTATTAAC55415
xa13/BJ1xa13-1 *GCTTAGTCACTTGATTGCACCCTCTCTCCACTACTCTGAA55309
xa13-2 *AAAACATCTTGGCATGTTGGGTGCAATCAAGTGACTAAGC55331
xa13-3 *GCTTTAGGATTAGCGGGTTATGGAATGCTGATCAATGGAA55368
xa13-4 *AGCACTTAAGCCTTTCTCTCCTAGAAGCATCAAAAGCGTG55438
Xa21/O. longistaminataXa21-1 *GAAGCACTACGAAATATGCGATTGCAGTGTAGAGCAGAAA55675
Xa21-2 *CAGCAAGTCCTTCCAGTATTAATCGGGTCTGAATGTACTG53954
Xa21-3 *AAAAGCAACAGATGGTTTCGATCAATGAGGTCCCATCAAC55516
Xa21-4 *GGAGGGATCAATACCACAAGCTGCTAAGGATGTGGGTATC55245
Xa21-5 *CCTCGATGTTGTCCATTACTAGCTTTAGTACCTTCACTGC55305
Xa21-6 *CAGTACATTCAGACCCGATTATCCGGAGAGATTCTGTTTG55269
Xa21-KL4 *TTGACGAAGACGACCGCTACTGCGGTGTGGCAATTCAGAG584583
Xa23/O. rufipogonXa23-1 *CCGGTATACACATGATCCTCCAGTTAATACCTTGAGGCGA55111
Xa23-2 *TAGCTTGTGTTGTGAGTTGTTGGAATCCCAGAATTCGATG55606
Xa23-3 *CGCCTCAAGGTATTAACTGTAATAACCATCTTGTCGTCGT55204
Xa23-4 *ACGACGACAAGATGGTTATTGTGACTGATCACTACACACA55337
Xa23-5 *AAACAACCATTACAGAGCCAAGGAGGAGGTAAGGGATAGA55222
Xa23-KL13 *AATTATGCGGCATCACTAACATGGATGAGGATATGATGAGC55797
Xa25/Minghui 63xa25-1 *TGTGTGAGAGAAGTTCCAAGGAGCAGTTTGTGATTTGAAGA512187
xa25-2 *GTGTGTGACCACATGAATTGTGAATACAACAGAAGCGGAA51847
xa25-3 *ACCACAACTAAGACATTCCCTGAGCAGTTTGTGATTTGAAG521996
Xa27/O. minutaXa27LTAGTGTCTAAATACAGGGACTGAGTACTTTGCTCTGATGCTC56149
Xa27-KL1 *CTGGATTCGTCACTGCCCATAAAATCGGCCCAAACAACGG601148
Xa27-KL7 *ATGGCGGATTGGGCGATGGAGACCAGAGACCACCAAGC60337
Xa32(t)/O. australiensisRM27296GGGTCTTTGTACACATTCTTGTGGCTTGAAGGATGAGCAGTATCTCG55500
xa34(t)/BG1222xa34-nv7GTCTTGGGTGGAAGTCTGACCTCGGGTAGGTCTGTTTGCAAGAGTTG55411
Xa38(t)/O. australiensisOso4g53050-1TCTTCTATTGCTAACATTGGTGTCGCATTCATTTTCAGAG55269
xa42(t)/BaixiangzhanKGC3_16.3ATTAGAGTATCCACCAATAAGCCCGGAGGTAAGATGAGATCGTGTAGGAG55247
Xa45(t)11/O. rufipogon from YuanjiangHxjy-1GTCTTGGGTGGAAGTCTGACCTCGGGTAGGTCTGTTTGCAAGAGTTG55169
*: Represents primers designed according to gene nucleotide sequences.
Table 2. Average lesion length (in cm) and standard deviation in resistant and susceptible parents and control against various pathogenic strains evaluated against 30 pathogenic strains.
Table 2. Average lesion length (in cm) and standard deviation in resistant and susceptible parents and control against various pathogenic strains evaluated against 30 pathogenic strains.
StrainSusceptible ControlO. officinalisHY-8
Mean ± SDMean ± SDMean ± SD
C118.50 ± 1.260.90 ± 0.366.00 ± 0.41
C216.43 ± 0.651.20 ± 0.165.27 ± 0.71
C316.8 ± 1.390.37 ± 0.093.77 ± 0.38
C417.13 ± 1.252.47 ± 1.010.80 ± 0.22
C521.00 ± 0.831.07 ± 0.398.17 ± 0.59
C616.40± 1.670.60 ± 0.082.43 ± 1.37
C723.67 ± 3.181.30 ± 0.735.73 ± 0.56
C925.40 ± 2.291.50 ± 0.6410.10 ± 0.62
Y820.57 ± 2.033.33 ± 0.541.57 ± 0.33
X118.03 ± 1.091.50 ± 0.362.33 ± 0.71
X615.90 ± 1.390.83 ± 0.332.57 ± 0.83
X918.03 ± 0.951.47 ± 0.342.40 ± 0.29
X1017.53 ± 1.63.73 ± 1.114.53 ± 1.58
T714721.73 ± 1.390.63 ± 0.2110.30 ± 2.97
PXO99A19.03 ± 2.830.73 ± 0.249.17 ± 1.57
PB17.63 ± 0.540.77 ± 0.120.70 ± 0.41
HZ18.46 ± 1.251.03 ± 0.40.83 ± 0.29
Hzhj1917.90 ± 0.822.70 ± 1.422.37 ± 0.82
Ym115.90 ± 1.11.07 ± 0.171.00 ± 0.62
Ym18716.83 ± 1.732.90 ± 0.860.60 ± 0.71
YJdp-216.73 ± 0.410.57 ± 0.338.50 ± 0.41
YJws-221.33 ± 1.071.13 ± 0.347.23 ± 0.53
LN4416.53 ± 0.690.80 ± 0.083.67 ± 0.85
HAN05-118.50 ± 0.781.27 ± 0.2115.97 ± 4.12
HAN08-215.40 ± 0.990.57 ± 0.290.83 ± 0.41
HUB05-417.60 ± 0.960.63 ± 0.333.87 ± 0.53
YuN17-118.83 ± 0.540.47 ± 0.330.27 ± 0.12
YuN18-216.20 ± 1.040.63 ± 0.052.73 ± 2.31
YuN96-1115.77 ± 2.991.17 ± 0.771.10 ± 0.65
YuN98-517.20 ± 1.850.80 ± 0.451.03 ± 0.5
Table 3. Disease reaction study for seven strong pathogenic strains on O. officinalis, its hybrids and recombinants.
Table 3. Disease reaction study for seven strong pathogenic strains on O. officinalis, its hybrids and recombinants.
SampleT7147C5C9YJws-2YJdp-2PXO99AHAN05-1
Resistant Group 11RRRRRRS
2RRRRRRS
7RRRRRRS
15RRRRRRS
17RRRRRRS
19RRRRRRS
F1-1RRRRRRS
F1-1-2RRRRRRS
F1-1-3RRRRRRS
F1-1-4RRRRRRS
F1-1-6RRRRRRS
F1-1-7RRRRRRS
F1-2-2RRRRRRS
F1-2-3RRRRRRS
F1-2-4RRRRRRS
F1-2-5RRRRRRS
F1-2-6RRRRRRS
F2-2RRRRRRS
FC1-1-7RRRRRRS
FC7-1RRRRRRS
FC7-2RRRRRRS
FC7-4RRRRRRS
FC7-5RRRRRRS
FC7-10RRRRRRS
FC7-11RRRRRRS
FC7-16RRRRRRS
FC7-18RRRiRRS
Resistant Group 23RRRRRSS
4RRRRRSS
6RRRRRSS
11RRRRRSS
FC7-8RRRRRSS
FC7-9RRRRRSS
FC7-12RRRRRSS
FC7-15RRRRRSS
FC7-19RRRRRSS
FC7-23RRRRRSS
FC7-24RRRRRSS
FC7-25RRRRRSS
FC7-26RRRRRSS
Resistant Group 35RRSRRRS
9RRSRRRS
13RRSRRRS
FC7-13RRSRRRS
FC7-14RRSRRRS
FC7-21RRSRRRS
FC7-20RRSRRRS
FC11RRSRRRS
FC7-22RRSRRRS
Resistant Group 4F1-2-1RRRRSSS
FC7-7RRRRSSS
FD-2RRRRSSS
FD-26RRRRSSS
FD-29RRRRSSS
FD-50RRRRSSS
FD-106RRRRSSS
FD-107RRRRSSS
Resistant Group 5FC7-3SSRRRRS
FD-1SSRRRRS
FD-86SSRRRRS
FD-96SSRRRRS
Resistant Group 6F2-4 RRRSSRS
FD-25RRRSSRS
FD-28RRRSSRS
FD-30RRRSSRS
FD-51RRRSSRS
FD-69RRRSSRS
FD-72RRRSSRS
FD-105RRRSSRS
Table 4. The molecular markers amplification in O. officinalis and its offspring.
Table 4. The molecular markers amplification in O. officinalis and its offspring.
GenePrimer NameExpected Product Size (bp)O. officinalisHY-8F2-3F2-4No. 10Other Progenies
Xa1Xa1a1823-+++++
Xa1b552-+++++
Xa1-1989-+++++
Xa1-2444-+++++
Xa1-3191++++++
Xa1-4287-+++++
Xa1-5356++++++
Xa3Xa3-1605++++++
Xa3-2535--++--
Xa3-3853-+++++
Xa3-4258++++++
Xa3-572++++++
Xa3-6321-+++++
Xa3-7692++++++
Xa3-8253++++++
Xa3-9317-+++++
Xa4Xa4-1623++++++
Xa4-2743-+++++
Xa4-3205-+++++
Xa4-4703-+++++
Xa4-5151-+++++
Xa4-6187++++++
Xa4-7157++++++
Xa4-8160-+++++
Xa4-9164-+++++
xa5xa5L145------
Xa7Xa7-1248------
Xa7-2242------
Xa10Xa10-1148------
Xa10-2477------
Xa10-3415------
xa13xa13-1309-+++++
xa13-2331+-++++
xa13-3368------
xa13-4438--++--
Xa21Xa21-1675-+++++
Xa21-2954------
Xa21-3516-+++++
Xa21-4245-+++++
Xa21-5305-+++++
Xa21-6269-+++++
Xa23Xa23-1111-+++++
Xa23-2606-+++++
Xa23-3204-+++++
Xa23-4337-+++++
Xa23-5222-+++++
Xa25xa25-12187------
xa25-2847+--+-+
xa25-31996--+---
Xa27Xa27L149--++--
Xa32(t)RM27296500------
xa34(t)xa34-nv7411------
Xa38(t)Oso4g53050-1269------
xa42(t)KGC3_16.3247------
Xa45(t)11Hxjy-1169------
Table 5. Genes list predicted availability in O. officinalis, its hybrids and recombinant.
Table 5. Genes list predicted availability in O. officinalis, its hybrids and recombinant.
Description of SampleResistance Gene
O. officinalisNone of the tested genes
HY-8Xa1, Xa2, Xa4, Xa14, Xa23, Xa31(t), Xa45(t)4
F2-3 Xa1, Xa2, Xa3/Xa26, Xa4, Xa14, Xa23, Xa27, Xa31(t), Xa45(t)4
F2-4Xa1, Xa2, Xa3/Xa26, Xa4, Xa14, Xa23, Xa27, Xa31(t), Xa45(t)4
No. 10Xa1, Xa2, Xa4, Xa14, Xa23, Xa31(t), Xa45(t)4
Other descendantsXa1, Xa2, Xa4, Xa14, Xa23, Xa31(t), Xa45(t)4
Table 6. Consistency of gene coding regions among O. officinalis, HY-8 and its hybrid.
Table 6. Consistency of gene coding regions among O. officinalis, HY-8 and its hybrid.
Gene NameO. officinalis WallHY-8F2-3F2-4No. 10FD-3
Xa1/86.13%86.13%86.13%86.13%86.13%
Xa2/90.20%90.20%90.20%90.20%90.20%
Xa3/Xa2694.50%96.05%96.05%/98.36%96.05%/98.36%96.05%96.05%
Xa4/100%100%100%100%100%
Xa14/89.22%89.22%89.22%89.22%89.22%
Xa23/99.71%99.71%99.71%99.71%99.71%
Xa2778.27%89.74%89.74%/100%89.74%/100%89.74%89.74%
Xa31(t)/90.20%90.20%90.20%90.20%90.20%
Xa45(t)4/82.61%82.61%82.61%82.61%82.61%
/: Represents the absence of a target gene coding region.
Publisher’s Note: MDPI stays neutral with regard to jurisdictional claims in published maps and institutional affiliations.

Share and Cite

MDPI and ACS Style

Chen, L.; Yin, F.; Zhang, D.; Xiao, S.; Zhong, Q.; Wang, B.; Ke, X.; Ji, Z.; Wang, L.; Zhang, Y.; et al. Unveiling a Novel Source of Resistance to Bacterial Blight in Medicinal Wild Rice, Oryza officinalis. Life 2022, 12, 827. https://doi.org/10.3390/life12060827

AMA Style

Chen L, Yin F, Zhang D, Xiao S, Zhong Q, Wang B, Ke X, Ji Z, Wang L, Zhang Y, et al. Unveiling a Novel Source of Resistance to Bacterial Blight in Medicinal Wild Rice, Oryza officinalis. Life. 2022; 12(6):827. https://doi.org/10.3390/life12060827

Chicago/Turabian Style

Chen, Ling, Fuyou Yin, Dunyu Zhang, Suqin Xiao, Qiaofang Zhong, Bo Wang, Xue Ke, Zhiyuan Ji, Lingxian Wang, Yun Zhang, and et al. 2022. "Unveiling a Novel Source of Resistance to Bacterial Blight in Medicinal Wild Rice, Oryza officinalis" Life 12, no. 6: 827. https://doi.org/10.3390/life12060827

APA Style

Chen, L., Yin, F., Zhang, D., Xiao, S., Zhong, Q., Wang, B., Ke, X., Ji, Z., Wang, L., Zhang, Y., Jiang, C., Liu, L., Li, J., Lu, Y., Yu, T., & Cheng, Z. (2022). Unveiling a Novel Source of Resistance to Bacterial Blight in Medicinal Wild Rice, Oryza officinalis. Life, 12(6), 827. https://doi.org/10.3390/life12060827

Note that from the first issue of 2016, this journal uses article numbers instead of page numbers. See further details here.

Article Metrics

Back to TopTop