Abstract
The extensive and random application of major organic pollutants, mainly pesticides, threatens ecosystems and human health. The present study was conducted to isolate and identify microorganisms from some water resources contaminated with pesticides. We investigated the ability of the identified microbes to grow in water spiked with dimethoate and methomyl. We also evaluated the potential effect of the identified microbial isolates on dimethoate and methomyl biodegradation in water. In addition, the total detoxification of dimethoate and methomyl residues in water after treatment with the most effective microbial isolates was confirmed using toxicity tests and analyzing biochemical parameters and histopathological changes in the kidney and liver of treated rats. The microbial isolates were identified as Xanthomonas campestris pv. Translucens and Aspergillus fumigates. Results showed that X. campestris pv. Translucens and A. fumigatus grow in media supplemented with dimethoate and methomyl faster than in other media without both pesticides. About 97.8% and 91.2% of dimethoate and 95% and 87.8% of methomyl (initial concentration of both 5 mg L−1) were biodegraded within 32 days of incubation with X. campestris pv. Translucens and A. fumigatus, respectively. There was no remaining toxicity in rats treated with dimethoate- and methomyl-contaminated water with respect to biochemical parameters and histopathological changes. Collectively, the identified bacterial isolate showed high potential for the complete degradation of dimethoate and methomyl residues in water.
1. Introduction
Climate change requires that urgent attention be given to water conservation worldwide and the development of affordable technologies for wastewater depuration. The European Union has established more stringent requirements concerning surface water and groundwater pollution [1,2]. Among other pollutants frequently detected in water, pesticides are organic compounds with diverse properties, activities, and applications, which contribute to their widespread presence in the environment, threatening ecosystems and human health [3]. Pesticide wastewater must be disposed of properly to prevent the deterioration of water quality [4]. However, several drawbacks are associated with the most current methods used for pesticide removal from water that include high costs, containment problems, and ineffectiveness. On the other hand, biobed bioremediation systems were adopted as successful and viable options for on-farm use besides their advantages in the treatment of polluted complex agricultural and industrial wastewater [5,6,7].
Dimethoate is a well-known systemic organophosphorus insecticide and acaricide. It is also considered a carbamate pesticide. Dimethoate has been extensively used since 1956 to control a broad range of insects, such as aphids, red spider mites, pea midges, thrips, wheat bulby, sawy, suckers, and wooly aphids [8,9]. These insects negatively impact a large number of crops. Dimethoate kills insects by contact and stomach action through interfering with acetylcholinesterase (AChE) activity, which is essential for the proper functioning of the nervous systems of both humans and insects [10,11]. Dimethoate is classified as a moderately hazardous compound by the World Health Organization (WHO) and is stable in aqueous media between pH 2 and 7. It is easily absorbed through the skin, although dimethoate poisoning may occur through the mouth [12]. Residues of dimethoate and its oxidized analogs have been detected in soil, fruits, vegetables, and even cow milk [13]. Dimethoate can be decomposed in alkaline solution (half-life (DT50) of 12 days) at pH 9 [8] or at temperatures higher than 96 °C [14]. Furthermore, the half-life of dimethoate in soil can be as long as 206 days at 25 °C in the absence of biodegradation [10].
Methomyl, a class of oxime carbamates, is widely used to control insects and nematode pests by inhibiting the enzyme AChE, which hydrolyzes the neurotransmitter acetylcholine. The International Union of Pure and Applied Chemistry’s name for methomyl is S-methyl N- (methylcarbamoyloxy) thioacetimidate [15]. The WHO, the Environment Protection Agency, and European Chemical Classification have classified methomyl as a toxic and hazardous pesticide. Methomyl is highly soluble in water (57.9 g L−1 at 25 °C) [15], and it can easily contaminate groundwater and surface water resources [16]. Removal of dimethoate and methomyl from the environment is important because of their toxicity.
Bioremediation has received increasing attention as an efficient and cost-effective biotechnological approach to clean up polluted environments. Importantly, 50% dimethoate can be biodegraded within 3–5 days in soil and river water [17,18]. Previous reports documented that several bacteria are capable of biodegrading dimethoate [19,20]. In this regard, two enzymes associated with dimethoate biodegradation were identified and purified from Aspergillus niger ZHY256 and Klebsiella sp. strain F51-1-2 [19,21]. The present study isolated and identified microbial isolates (Xanthomonas campestris pv. Translucens and A. fumigates) from pesticide-contaminated water, together with investigating the potential biodegradation of dimethoate and methomyl in aqueous media and the growth of the isolated microbes in dimethoate- and methomyl-contaminated water. The efficiency of the bioremediation of dimethoate- and methomyl-contaminated water with X. campestris pv. Translucens and A. fumigatus isolates was evaluated, besides assessing the biochemical and histopathological changes in the liver and kidney of treated rats following complete detoxification of dimethoate- and methomyl-contaminated water after remediation with the most effective microbial isolate (X. campestris pv. Translucens).
2. Material and Methods
2.1. Experimental
2.1.1. Chemicals
Dimethoate and methomyl with 99.5% purity were obtained from the Central Laboratory for Pesticides, Agriculture Research Center, Cairo, Egypt. Acetonitrile with 98% purity, disodium hydrogen orthophosphate with 99% purity, potassium dihydrogen orthophosphate with 99% purity, ammonium sulfates with 98.5% purity, sodium chloride with 98% purity, magnesium sulfate heptahydrate with 98% purity, calcium chloride (CaCl2.2H2O) with 98% purity, agar with 98% purity, ferrous sulfate heptahydrate with 99% purity, and dextrose with 98% purity were obtained from El-Nasr Pharmaceutical Chemical Company, Abu Zaabal, Cairo, Egypt.
2.1.2. Growth Medium
M9 as a mineral salt liquid medium (MSM, pH 7.2) was prepared by adding 1.5 g of K2HPO4, 0.5 g of KH2PO4, 1.0 g of (NH4)2SO4, 0.5 g of NaCl, 0.2 g of MgSO4, and 0.02 g of FeSO4 to 1000 mL of distilled water [20]. The pH was adjusted to 7.2 using sodium hydroxide solution, and the medium was autoclaved at 121 °C for 15 min and then supplemented with the tested insecticides as the sole carbon source just before inoculation [22]. The fungus and bacteria were grown on potato dextrose agar (PDA) medium, which was used in general to isolate A1 and A2 microbes. PDA containing 200 g of peeled potato, 20 g of dextrose, and 15 g of agar was added to 1000 mL of distilled water at pH 5, as described by Vincent [23]. The medium was autoclaved at 121 °C for 20 min [24].
2.1.3. Isolation by Enrichment Culture
Enrichment cultures of microorganisms with the ability to biodegrade the tested insecticides were established from water samples collected from the El-Gharbiya main drain water, Kafr Dokhmis (summer of June 2014), Kafrelsheikh Governorate, which is polluted by organic pesticides (persistent organic pollutants (POPs)) [25]. Briefly, 20 μL of a water sample was added to 50 mL of sterilized MSM in a 100 mL flask containing 20 ppm of the tested insecticides as a sole source of carbon [26] and phosphorus [27], incubated at 30 °C, and shaken at 150 rounds per minute (rpm) for 21 days. Next, 10 mL of the culture was transferred into fresh 50 mL of MSM containing the same concentration of the tested insecticides. This procedure was repeated four times. Dilution series were then prepared from the enrichment culture in a flask containing 50 mL of MSM up to 1:10−6, and then 100 μL of it was spread on plates MSM/insecticides (20 ppm) by using a drigalisky triangle. The plates were sealed in polyethylene bags and incubated at 30 °C for 7 days and monitored for the appearance of colonies. Single colonies growing on these diluted plates were isolated by picking the colonies using a sterile inoculation needle. The colonies were further purified by standard spatial streaking for the bacterial isolate on complex agar medium or acidic complex medium or by the addition of 800 mg L−1 of ampicillin to a complex medium for the fungal isolate (MSM and PDA were used for bacterial and fungal isolates).
2.1.4. Identification of the Isolated Microbes
Identification of the bacterial isolate was done using the Biolog GN III technique at the Consulting Service for Virus Researches and Bioassays, National Research Center, Dokki, Cairo, Egypt. Identification of the fungal isolate was performed at the Mycology Research and Survey of Plant Diseases Department, Plant Pathology Research Institute, Agriculture Research Center, Giza, Egypt, as described by Gams et al. [28], Samson and Pitt [29], McClenny [30], and Diba et al. [31]. A morphological examination of the species was first made with the naked eye under a microscope at low magnification power, and then a detailed examination was conducted according to Gams et al. [28] by measuring the dimensions of the microscopic structures and photographing them, using the relevant literature as reference.
2.1.5. Determination of Microbial Growth
The growth of the identified bacterial isolate (A2) was determined using spectrophotometry at a wavelength of 600 nm [32,33]. Water samples contaminated with methomyl or dimethoate in the presence of the bacterial isolate were collected at 0, 4, 8, 12, 16, 20, 24, 28, and 32 days to assay the growth of the isolate. The growth was expressed as dry weight and calculated using Equation (1):
where X (g/L) is the biomass value for the microbial isolate.
X (g L−1) = 0.4033OD600 − 0.0057, (r2 = 0.988)
The growth of the tested fungal isolate (A1) was measured as the optical density at a wavelength of 405 nm using spectrophotometry [34,35]. The growth of the isolate was calculated as shown in Equation (2):
Control flasks of an equal volume of MSM and glucose were run in parallel at all intervals to assess microbial growth in the absence of tested insecticides and as a source of carbon [36].
X (g L−1) = 0.4033OD405 − 0.0057, (r2 = 0.988)
2.1.6. Biodegradation of the Tested Insecticides
The identified microbial isolates A. fumigatus (A1) and X. campestris pv. Translucens (A2) were cultured in MSM spiked with the tested insecticides (dimethoate and methomyl) separately for 7 days, and then the microbial biomass was washed with 3 mL of sterilized MSM. The cell suspension of 108 CFU/mL (CFU: colony-forming unit) was used to inoculate 100 mL of MSM containing 5 ppm of the tested insecticide. The cultures were incubated at 30 °C, pH 7, and 150 rpm as optimum conditions for the growth of the tested microbial isolates for 32 days [37]. Samples were collected at 0, 4, 8, 12, 16, 20, 24, 28, and 32 days for monitoring biodegradation of the parent compound of the tested insecticide. Control flasks containing equal volumes of MSM and the tested insecticides without the microbial isolates were run in parallel at all intervals to assess biotic loss [37,38]. The collected water samples of the tested insecticides were filtered using a syringe, followed by high-performance liquid chromatography (HPLC) analysis [37,39].
2.1.7. HPLC Analysis
The samples were analyzed directly by HPLC. For dimethoate analysis, a mixture of acetonitrile and distilled water (60:40) was used as the mobile phase under isocratic elution mode. The flow rate of the mobile phase was maintained at 1 mL min−1, and the column used (i.d. 4.6 mm; length 250 mm) was filled with Wakosil-II 5 C18-100 (Wako, Japan). A UV detector at a wavelength of 210 nm was used, and the retention time was 3.30 min [40]. For methomyl analysis, a mixture of acetonitrile and distilled water (20:80) was used as the mobile phase under isocratic elution mode. The flow rate of the mobile phase was maintained at 0.7 mL min−1, and the C8 zorbax column (250 mm × 4.6 mm × 5 µm) was used. A UV detector at a wavelength of 231 nm was used, and the retention time was 3.84 min [41].
2.1.8. Calculation of Biodegradation Rate and Half-Life Time
To determine the biodegradation rate, plots of the ln concentration against time were made. The biodegradation rate constant (slope), k, was calculated from the first order in Equation (3):
where Ct is the concentration of the insecticide at time t, C0 is the initial concentration, and k is the biodegradation rate constant. When the concentration fell to 50% of the initial concentration, the half-life (t1/2) was estimated, as shown in Equation (4) [41].
Ct = C0e−kt,
t1/2 = 0.693/k
2.2. Toxicity Test
2.2.1. Ethical Statement
Ethical approval was obtained from the Faculty of Veterinary Medicine, Kafrelsheikh University, Egypt, and the study complied with relevant Egyptian legislation. All animal studies were approved by our Institutional Animal Ethics Committee.
2.2.2. Animals
Adult Sprague–Dawley (SD) rats weighing 100–120 g were obtained from the Faculty of Veterinary Medicine, Kafrelsheikh University, and acclimatized for one week prior to the experiment. All rats were housed in polypropylene cages under standard conditions of a 12 h/12 h light/dark cycle at 22 °C ± 2 °C and 30–70% relative humidity. The cages were well ventilated, and rats were provided standard rat feed and water ad libitum [41,42].
2.2.3. Animal Treatment
To confirm complete detoxification of treated water, a toxicity test was conducted. Dimethoate- and methomyl-contaminated water treated with X. campestris pv. Translucens (for 32 days) was orally administered to the rats. To evaluate the toxicity of X. campestris pv. Translucens itself, the rats were orally administered water containing the bacterial isolate without the tested insecticides. The rats were randomly divided into four groups (n = 6 per group): Group 1, dimethoate-contaminated water after remediation with X. campestris pv. Translucens; Group 2, methomyl-contaminated water after remediation with X. campestris pv. Translucens; Group 3, water containing X. campestris pv. Translucens without the tested insecticides; control group (untreated). The rats were observed for clinical signs of toxicity once a day throughout the entire observation period.
2.2.4. Histopathological Examination
All rats were sacrificed under anesthesia. A postmortem examination was performed, and all lesions were recorded. Specimens from all organs, especially the liver and kidneys, were taken and kept in 10% neutral buffered formalin for histopathological examination. The specimens were dehydrated in ascending grades of alcohols, cleared in xylene, embedded in paraffin wax, cut into 4 µm thick sections, stained with hematoxylin and eosin, and examined by light microscopy [39,43,44].
2.2.5. Biochemical Assays
Blood samples were centrifuged at 4500 rpm for 20 min, and serum was collected to determine enzyme activity. The colorimetric methods of Waber [45], Schirmeistar [46], Reitman and Frankel [47], and Habig and Jakoby [48] were used to determine the levels of AChE, creatinine, glutamic-pyruvic transaminase (GPT), glutamic-oxaloacetic transaminase (GOT), and glutathione-s-transferase (GST), respectively, using spectrophotometry (Fisher Scientific Spectro Master Model 415, Arizona, United States).
2.2.6. Statistical Analysis
Enzyme activity data were statistically analyzed using a one-way analysis of variance. Duncan’s multiple range test was used to separate means using SPSS Statistics version 11.0 for Windows. A value of p ≤ 0.05 was considered statistically significant.
3. Results
3.1. Identification of the Tested Microbes
The fungal isolate was identified as A. fumigatus (A1) following the protocols described elsewhere [28,29,30,31], while the bacterial isolate was identified as X. campestris pv. Translucens (A2).
3.2. Growth of the Tested Microbial Isolates
The growth of the identified microbial isolates (X. campestris pv. Translucens and A. fumigates) on MSM in the presence of dimethoate and methomyl was compared with their growth without dimethoate and methomyl, as shown in Figure 1. The biomass production of the identified microbial isolates in MSM supplemented with dimethoate and methomyl was higher than without dimethoate and methomyl. For X. campestris pv. Translucens, biomass production increased gradually in the presence of dimethoate and methomyl after zero incubation time. However, the maximum biomass production of X. campestris pv. Translucens in the presence of dimethoate and methomyl was obtained between 16–20 and 8–12 days of incubation, respectively, after which it decreased again until the end of incubation. For A. fumigatus, biomass production increased gradually in the presence of dimethoate and methomyl after zero incubation time. The highest biomass production was recorded at 8–12 days of incubation with dimethoate or methomyl, after which it decreased again till the end of incubation. The growth rate of X. campestris pv. Translucens was obviously higher than that of A. fumigatus during incubation.

Figure 1.
Microbial growth of Xanthomonas campestris pv. Translucens (A2) and Aspergillus fumigatus (A1) isolates incubated with dimethoate (I) and methomyl (II) in aqueous media.
3.3. Bioremediation of the Tested Insecticides in Aqueous Media
The biodegradation ability of X. campestris pv. Translucens (A2) and A. fumigatus (A1) isolates against dimethoate and methomyl is illustrated in Table 1 and Figure 2. X. campestris pv. Translucens and A. fumigatus showed high potential of biodegrading the tested insecticides. About 97.8% and 91.2% of dimethoate (initial concentration = 5 mg L−1) were biodegraded within 32 days of incubation with X. campestris pv. Translucens and A. fumigatus, respectively. Similarly, ~95% and 87.8% of methomyl (initial concentration = 5 mg L−1) were biodegraded within 32 days of incubation with X. campestris pv. Translucens and A. fumigatus, respectively. The biodegradation of dimethoate started slowly until 12 days of incubation and then sharply increased until 24 days of incubation, while the biodegradation of methomyl started slowly until 4 days of incubation and then sharply increased until the end of incubation. The biodegradation rates slowly increased again until the end of incubation. In contrast, the biodegradation percentage of the tested insecticides was <1.2% at the end of incubation in the control and noninoculated samples, as shown in Figure 2. The biodegradation rate constant and half-life of the tested insecticides are shown in Table 1. The half-life values of dimethoate were 15.86 and 16.50 days in water treated with X. campestris pv. Translucens and A. fumigatus, respectively (Table 1). The half-life values of methomyl were 19.74 and 25.48 days in water treated with X. campestris pv. Translucens and A. fumigatus, respectively.
Table 1.
Biodegradation rate constant and half-life values of dimethoate and methomyl after X.campestris pv. Translucens and A. fumigatus treatment, using high-performance liquid chromatography (HPLC) analysis.
Figure 2.
Bioremediation of dimethoate (I) and methomyl (II) at a concentration of 5 ppm by X. campestris pv. Translucens (A2) and A. fumigatus (A1) in aqueous media.
3.4. Toxicity Assessment
3.4.1. Biochemical Parameters
The complete detoxification of dimethoate and methomyl in water treated with the most effective microbe (X. campestris pv. Translucens) was confirmed by measuring the effect of the bioremediated water on some biochemical parameters (AChE, GPT, GOT, and GST) in treated rats relative to controls. There were no significant differences in AChE, GPT, GOT, and GST levels in rats orally administered bioremediated water compared with the controls (Table 2). The X. campestris pv. Translucens isolate itself without dimethoate or methomyl did not show significant changes in the measured biochemical parameters compared to controls.
Table 2.
Effect of X. campestris pv. Translucens with and without dimethoate and methomyl on some biochemical parameters in rats.
3.4.2. Histopathological Changes
Complete detoxification of dimethoate and methomyl in water treated with the most effective microbial isolate (X. campestris pv. Translucens) was confirmed with respect to histopathological changes in the liver and kidneys of treated rats compared to controls.
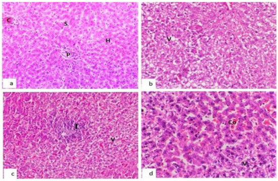
- LiverThe liver of the control group showed a normal hepatic lobule with a centrally located central vein and hepatocytes arranged in cords separated from each other by hepatic sinusoids (Figure 3a). However, the liver of group 1 showed the same morphology as that in the control group but with slight hepatocellular cytoplasmic vacuolation (Figure 3b), while the liver of group 2 showed moderate hepatocellular cytoplasmic hydropic degeneration and focal portal mononuclear cell infiltration (Figure 3c), and the liver of group 3 showed slight sinusoidal congestion and hepatocellular vacuolation (Figure 3d).
Figure 3. (a) Liver of the control (untreated) group: (C) central vein, (p) portal area, (S) sinusoid, and (H) hepatic cord. (b) Liver of Group 1 (rats treated with water containing dimethoate after bioremediation with X. campestris pv. Translucens): (V) hepatocellular hydropic degeneration. (c) Liver of Group 2 (rats treated with water containing methomyl after bioremediation by X. campestris pv. Translucens): (I) portal mononuclear cell infiltration. (d) Liver of Group 3 (rats treated with water containing X. campestris pv. Translucens alone without dimethoate or methomyl): (CO) sinusoidal congestion and (V) vacuolation. - KidneyThe normal structure of kidney tissue with an intact renal corpuscle and renal tubules in the control group is shown in Figure 4a. Kidneys in both groups 1 and 2 showed almost the same histologic structure as that in the control group except slight changes in the form of renal tubule epithelial cell swelling in group 1 (Figure 4b) and the presence of homogeneous acidophilic material in the lumen of renal tubules in group 2 (Figure 4c). The kidneys of group 3 showed mild vacuolation in the epithelial lining of renal tubules (Figure 4d).
Figure 4. (a) Kidneys of the control (untreated) group: (G) glomerulus and (T) renal tubules. (b) Kidneys of Group 1 (rats treated with water containing dimethoate after bioremediation by X. campestris pv. Translucens): (CS) cloudy swelling. (c) Kidneys of Group 2 (rats treated with water containing methomyl after bioremediation by X. campestris pv. Translucens): (PR) homogeneous acidophilic material in the lumen of renal tubules. (d) Kidneys of Group 3 (rats treated with water containing X. campestris pv. Translucens alone without dimethoate or methomyl): (V) vacuolation.
4. Discussion
Both identified microbial isolates (X. campestris pv. Translucens and A. fumigatus) can grow well in culture media in the presence of dimethoate and methomyl. Therefore, both could be capable of dimethoate and methomyl biodegradation and might have application in bioremediation. In the present study, the isolation of the identified microbes from sites contaminated with pesticides in this study increases their chance of obtaining microbes that have the ability for degradation of dimethoate and methomyl. It also confirms that the isolated microbes use dimethoate and methomyl as a source of carbon for growth. The study of microbial growth rates provides evidence about the capacity of the isolated microbes to degrade the pesticides.
Growth rates may also indicate which species may be dominant over a particular substrate; fast-growing species have an advantage over slow-growing species as they can reach and use resources before their competitors [49]. Therefore, better growth could help the introduced isolates to overcome competition from indigenous water microorganisms [49]. The growth of the tested isolates in media supplemented with dimethoate and methomyl was much faster than in MSM with no insecticide, indicating that these microbial isolates have the potential for the biodegradation of the tested insecticides [37]. The biodegradation of dimethoate or methomyl in control samples was negligible, indicating that abiotic losses of the tested insecticides are negligible. The amount of dimethoate or methomyl that decays due to the temperature effect and photodecomposition and volatilization is low or completely absent [37,39]. The results indicated that the identified bacterial isolate (X. campestris pv. Translucens) shows faster biodegradation of dimethoate or methomyl than the fungal isolate (A. fumigatus), in agreement with Derbalah et al. [37].
In this study, A. fumigatus showed high potential for the biodegradation of the tested insecticides, in agreement with many researchers who reported that fungi (e.g., Aspergillus sp. EM8) show high potential for pesticide biodegradation [37,50]. The final results of the bioremediation of dimethoate and methomyl by the bacterial isolate in this study are consistent with those of Madhuri and Rangaswamy [51] and Mohamed [52], who indicated the high ability of bacterial isolates to bioremediate dimethoate and other pesticides and completely mineralized insecticides in aqueous media after incubation. The results for dimethoate in this study are in agreement with those of Lone and Wani [53], Yin and Lian [54], and Pandey et al. [55], who reported the high ability of fungal isolates to bioremediate dimethoate and other organophosphorus and completely mineralized insecticides in aqueous media after incubation.
In a previous study, we found that AChE activity is significantly reduced in workers exposed to both organophosphorus (OP) and non-OP pesticides [56]. These findings reflect the possible usage of AChE activity as a surrogate marker of oxidative stress in the health surveillance of workers exposed to pesticides. GST is considered important for the detoxification of hydrophobic compounds by catalyzing their conjugation with GSH besides being a key enzyme in pollutant metabolism [57]. GST is one of the key components of the detoxification (conjugation) of xenobiotics in invertebrates [58]. GPT and GOT are enzymes usually present in liver cells; when hepatic tissue is damaged, these enzymes leak out from the liver cells into the blood, leading to increased levels and activities in plasma [59]. Our results revealed that dimethoate and methomyl in water after remediation showed no changes in the activities of various enzymes such as AChE, GPT, GOT, and GST in rats. These nonsignificant alterations in these enzymes indicate no hepatic damage caused by water containing dimethoate or methomyl after bioremediation and are considered biomarkers of hepatic safety. The creatinine level is considered a biomarker of kidney damage after exposure to pesticides with high levels of serum creatinine [60]. Our study revealed nonsignificant elevation in serum creatinine levels in rats orally administered dimethoate- or methomyl-contaminated water after bioremediation with selected microbial isolates. Histopathological changes provide a rapid method of detecting the effects of irritants, especially chronic ones, in various tissues and organs [61]. The liver is the main organ for detoxification that suffers serious morphological alterations as a result of exposure to pesticides [62,63]. Alterations in the liver might be useful markers of prior exposure to environmental stressors. To evaluate the efficacy of different tested remediation techniques in removing dimethoate and methomyl from drinking water, a toxicity assessment was carried out with respect to histopathological changes in rats. Dimethoate and methomyl exposure led to multiple histopathological alterations in the liver and kidneys [64]. The degenerative changes in the liver and nephritic damage associated with dimethoate and methomyl have been attributed to their induced oxidative stress, lipid peroxidation, and the resultant free-radical accumulation [65]. In the present study, dimethoate- or methomyl-contaminated water after bioremediation with selected microbial isolates showed only mild changes in the liver and kidneys of treated rats relative to untreated controls. Rats treated with dimethoate or methomyl alone after bioremediation showed slight hydropic hepatocellular degeneration in the liver and cell swelling in the epithelial lining of the renal tubules, which are mild retrogressive degenerative changes, indicating the nonharmful effect of bioremediation compared to the toxic effect of exposure to dimethoate or methomyl on the liver and kidneys, as described by Sharma et al. [66]. This is considered an adaptive physiological response attempting to limit cell damage by toxic materials or their metabolites. This inflammatory reaction observed in both treated groups in this study is considered a defensive response of tissues either to oxidative stress-induced injury caused by dimethoate and methomyl or the bacterial isolate [67,68].
5. Conclusions
The isolated and identified microbes show much promise in the complete biodegradation of dimethoate and methomyl in contaminated water. Given the above information, the identified microbes that were isolated from water contaminated with pesticides showed promising results in the possibility of complete biodegradation of dimethoate and methomyl in the contaminated water. Moreover, treatment of the insecticides-contaminated water with the used bacterial isolate did not show any significant toxic effects on the treated rats.
Author Contributions
All the authors contributed to this study. A.D., A.M., I.E.-M., M.S.A. (Moustafa Saad Allah), and M.S.A. (Mohamed S. Ahmed) were involved in the conception of the research idea and methodology design and performed data analysis and interpretation. A.A.-B., and E.K.E. participated in the methodology, sampling, laboratory work, and data analysis and prepared the manuscript for publication. A.D., A.M., I.E.-M., M.S.A. (Moustafa Saad Allah), M.S.A. (Mohamed S. Ahmed), A.A.-B., and E.K.E. contributed their scientific advice and prepared the manuscript for publication and revision. All authors have read and agreed to the published version of the manuscript.
Funding
This work was supported by the Taif University Researchers Supporting Program (Project number: TURSP-2020/151), Taif University, Saudi Arabia.
Institutional Review Board Statement
The study was conducted according to the guidelines of the Declaration of Helsinki, and approved by the Research Ethics Committee of the Faculty of Veterinary Medicine, Kafr-El-Sheikh University, Egypt.
Informed Consent Statement
Not applicable.
Data Availability Statement
The data that support the findings of this study are available on request from the corresponding author.
Acknowledgments
The authors thank the Taif University Researchers Supporting Program (Project number: TURSP-2020/151), Taif University, Saudi Arabia for support.
Conflicts of Interest
The authors declare no conflict of interest.
References
- Directive 60/EC of the European Parliament and of the Council on the assessment and management of flood risks. Off. J. Eur. Union 2007, 1, 186–193.
- European Comission. Water Scarcity and Drought—In Depth Assessment; European Comission: Luxembourg, 2006. [Google Scholar]
- Campo, J.; Masiá, A.; Blasco, C.; Picó, Y. Occurrence and removal efficiency of pesticides in sewage treatment plants of four Mediterranean River Basins. J. Hazard. Mater. 2013, 263, 146–157. [Google Scholar] [CrossRef]
- Castillo, M.D.P.; Torstensson, L.; Stenström, J. Biobeds for Environmental Protection from Pesticide Use—A Review. J. Agric. Food Chem. 2008, 56, 6206–6219. [Google Scholar] [CrossRef]
- Omirou, M.; Dalias, P.; Costa, C.; Papastefanou, C.; Dados, A.; Ehaliotis, C.; Karpouzas, D. Exploring the potential of biobeds for the depuration of pesticide-contaminated wastewaters from the citrus production chain: Laboratory, column and field studies. Environ. Pollut. 2012, 166, 31–39. [Google Scholar] [CrossRef] [PubMed]
- Karanasios, E.; Tsiropoulos, N.G.; Karpouzas, D.G. On-farm biopurification systems for the depuration of pesticide wastewaters: Recent biotechnological advances and future perspectives. Biodegradation 2012, 23, 787–802. [Google Scholar] [CrossRef]
- Sniegowski, K.; Springael, D. Establishment of multiple pesticide biodegradation capacities from pesticide-primed materials in on-farm biopurification system microcosms treating complex pesticide-contaminated wastewater. Pest Manag. Sci. 2015, 71, 986–995. [Google Scholar] [CrossRef]
- Deshpande, N.; Sarnaik, S.; Paranjpe, S.; Kanekar, P. Optimization of dimethoate degradation by Brevundimonas sp. MCM B-427 using factorial design: Studies on interactive effects of environmental factors. World J. Microbiol. Biotechnol. 2004, 20, 455–462. [Google Scholar] [CrossRef]
- Pappas, C.J.; Kyriakidis, N.V. A comparison of dimethoate degradation in lemons and mandarins on the trees with two GC systems. Food Chem. 2003, 80, 23–28. [Google Scholar] [CrossRef]
- Hassal, A.K. Organophosphorous insecticides. In The Biochemistry and Uses; Wiley-VCH: Weinhem, Germany, 1990. [Google Scholar]
- López-Carillo, L.; López-Cervantes, M. Effect of exposure to organophosphate pesticides on serum cholinesterase levels. Arch. Environ. Health Int. J. 1993, 48, 359–363. [Google Scholar] [CrossRef] [PubMed]
- Al-Jaghbir, M.T.; Salhab, A.S.; Hamarsheh, F.A. Dermal and inhalation exposure to dimethoate. Arch. Environ. Contam. Toxicol. 1992, 22, 358–361. [Google Scholar] [CrossRef] [PubMed]
- Srivastava, M.; Raizada, R. Development effect of technical dimethoate in rats: Maternal and fetal toxicity evaluation. Indian J. Exp. Biol. 1996, 34, 329–333. [Google Scholar] [PubMed]
- Andreozzi, R.; Ialongo, G.; Marotta, R.; Sanchirico, R. The thermal decomposition of dimethoate. J. Hazard. Mater. 1999, 64, 283–294. [Google Scholar] [CrossRef]
- Tomlin, D.S. The Pesticide Manual, 13th ed.; BCPC Publications: Alton, UK, 2003; Volume 1344. [Google Scholar]
- Strathmann, T.J.; Stone, A.T. Reduction of the carbamate pesticides oxamyl and methomyl by dissolved FeII and CuI. Environ. Sci. Technol. 2001, 35, 2461–2469. [Google Scholar] [CrossRef] [PubMed]
- Bhushan, R.; Thapar, S.; Mathur, R. Accumulation pattern of pesticides in tropical fresh waters. Biomed. Chromatogr. 1997, 11, 143–150. [Google Scholar] [CrossRef]
- Thapar, S.; Bhushan, R.; Mathur, R. Degradation of organophosphorus and carbamate pesticides in soils—HPLC determination. Biomed. Chromatogr. 1995, 9, 18–22. [Google Scholar] [CrossRef] [PubMed]
- Jiang, H.; Yang, C.; Qu, H.; Liu, Z.; Fu, Q.; Qiao, C. Cloning of a novel aldo-keto reductase gene from Klebsiella sp. strain F51-1-2 and its functional expression in Escherichia coli. Appl. Environ. Microbiol. 2007, 73, 4959–4965. [Google Scholar] [CrossRef]
- DebMandal, M.; Mandal, S.; Pal, N.K.; Aich, A. Potential metabolites of dimethoate produced by bacterial degradation. World J. Microbiol. Biotechnol. 2008, 24, 69–72. [Google Scholar] [CrossRef]
- Liu, Z.Y.; Chen, X.; Shi, Y.; Su, Z.C. Bacterial degradation of chlorpyrifos by Bacillus cereus. Adv. Mater. Res. 2011, 356–360, 676–680. [Google Scholar] [CrossRef]
- Chaudhry, G.R.; Ali, A. Bacterial metabolism of carbofuran. Appl. Environ. Microbiol. 1988, 54, 1414–1419. [Google Scholar] [CrossRef]
- Vincent, J. Manual for the Practical Study of Root-Nodule Bacteria; Blackwell of Oxford: Oxford, UK, 1970. [Google Scholar]
- Maheswari, N.; Ramya, P. Biodegradation of organophosphate and dimethoate by Aspergillus niger in Vigna mungo. Int. J. Univ. Pharm. Bio Sci. 2013, 2, 177–185. [Google Scholar]
- Ashry, M.; Bayoumi, O.; El-Fakharany, I.; Derbalah, A.; Ismail, A. Monitoring and removal of pesticides residues in drinking water collected from Kafr El-Sheikh governorate, Egypt. J. Agric. Res. Tanta Univ. 2006, 32, 691–704. [Google Scholar]
- Hassan, H. Fungal utilization of organophosphorus pesticides and their degradation by Aspergillus flavus and A. sydowii in soil. Folia Microbiol. 1999, 44, 77–84. [Google Scholar] [CrossRef]
- Subramanian, G.; Sekar, S.; Sampoornam, S. Biodegradation and utilization of organophosphorus pesticides by cyanobacteria. Int. Biodeterior. Biodegrad. 1994, 33, 129–143. [Google Scholar] [CrossRef]
- Gams, W.; Christensen, M.; Onions, A.H.; Pitt, J.I.; Samson, R.A. Infrageneric taxa of Aspergillus. In Advances in Penicillium and Aspergillus Systematics; Springer: Berlin/Heidelberg, Germany, 1986; pp. 55–62. [Google Scholar]
- Okuda, T.; Klich, M.; Seifert, K.; Ando, K.; Samson, R.; Pitt, J. Integration of Modern Taxonomic Methods for Penicillium and Aspergillus Classification; Hardwood Academic Publishers: Reading, UK, 2000; pp. 83–100. [Google Scholar]
- McClenny, N. Laboratory detection and identification of Aspergillus species by microscopic observation and culture: The traditional approach. Med. Mycol. 2005, 43, S125–S128. [Google Scholar] [CrossRef]
- Diba, K.; Kordbacheh, P.; Mirhendi, S.; Rezaie, S.; Mahmoudi, M. Identification of Aspergillus species using morphological characteristics. Pak. J. Med. Sci. 2007, 23, 867. [Google Scholar]
- Barragan-Huerta, B.E.; Costa-Pérez, C.; Peralta-Cruz, J.; Barrera-Cortés, J.; Esparza-García, F.; Rodríguez-Vázquez, R. Biodegradation of organochlorine pesticides by bacteria grown in microniches of the porous structure of green bean coffee. Int. Biodeterior. Biodegrad. 2007, 59, 239–244. [Google Scholar] [CrossRef]
- Li, R.; Zheng, J.; Wang, R.; Song, Y.; Chen, Q.; Yang, X.; Li, S.; Jiang, J. Biochemical degradation pathway of dimethoate by Paracoccus sp. Lgjj-3 isolated from treatment wastewater. Int. Biodeterior. Biodegrad. 2010, 64, 51–57. [Google Scholar] [CrossRef]
- Antachopoulos, C.; Meletiadis, J.; Roilides, E.; Sein, T.; Walsh, T.J. Rapid susceptibility testing of medically important zygomycetes by XTT assay. J. Clin. Microbiol. 2006, 44, 553–560. [Google Scholar] [CrossRef] [PubMed]
- Antachopoulos, C.; Meletiadis, J.; Sein, T.; Roilides, E.; Walsh, T.J. Use of high inoculum for early metabolic signalling and rapid susceptibility testing of Aspergillus species. J. Antimicrob. Chemother. 2007, 59, 230–237. [Google Scholar] [CrossRef][Green Version]
- Molina-Ramirez, C.; Castro, M.; Osorio, M.; Torres-Taborda, M.; Gomez, B.; Zuluaga, R.; Gomez, C.; Ganan, P.; Rojas, O.J.; Castro, C. Effect of Different Carbon Sources on Bacterial Nanocellulose Production and Structure Using the Low pH Resistant Strain Komagataeibacter Medellinensis. Materials 2017, 10, 639. [Google Scholar] [CrossRef] [PubMed]
- Derbalah, A.; Belal, E.; Massoud, A. Biodegradability of famoxadone by various microbial isolates in aquatic systems. Land Contam. Reclam. 2008, 16, 13. [Google Scholar] [CrossRef]
- Derbalah, A.; Ismail, A. Efficiency of different remediation technologies for fenitrothion and dimethoate removal in the aquatic system. Agrochimica 2012, 56, 234–246. [Google Scholar]
- Ismail, A.; Derbalah, A.; Shaheen, S. Monitoring and remediation technologies of organochlorine pesticides in drainage water. Pol. J. Chem. Technol. 2015, 17, 115–122. [Google Scholar] [CrossRef]
- Monkiedje, A.; Spiteller, M. Degradation of metalaxyl and mefenoxam and effects on the microbiological properties of tropical and temperate soils. Int. J. Environ. Res. Public Health 2005, 2, 272–285. [Google Scholar] [CrossRef] [PubMed]
- Tamimi, M.; Qourzal, S.; Assabbane, A.; Chovelon, J.-M.; Ferronato, C.; Ait-Ichou, Y. Photocatalytic degradation of pesticide methomyl: Determination of the reaction pathway and identification of intermediate products. Photochem. Photobiol. Sci. 2006, 5, 477–482. [Google Scholar] [CrossRef] [PubMed]
- Korsrud, G.O.; Grice, H.C.; McLaughlan, J.M. Sensitivity of several serum enzymes in detecting carbon tetrachloride-induced liver damage in rats. Toxicol. Appl. Pharmacol. 1972, 22, 474–483. [Google Scholar] [CrossRef]
- Derbalah, A.; Ismail, A. Remediation technologies of diazinon and malathion residues in aquatic system. Environ. Prot. Eng. 2013, 39, 135–147. [Google Scholar] [CrossRef]
- Bancroft, J.D.; Gamble, M. Theory and Practice of Histological Techniques; Elsevier Health Sciences: Amsterdam, The Netherlands, 2008. [Google Scholar]
- Waber, H.; Dtsch, M. Cholinestrase kinetic colorimetric method. Dtsch. Med. Wschr. 1966, 91, 1927. [Google Scholar]
- Azazi, I.; ALazab, A.; Nassrallah, M. Influence of Photoperiod and Crude Protein Levels on Productive Traits and Economic Efficiency of Muscovy Duckling Males During Summer Season. J. Product. Dev. 2016, 21, 301–321. [Google Scholar] [CrossRef]
- Reitman, A.; Frankel, S.A. GPT (ALT) Glutamic-Pyruvic Transaminase and GOT (AST) Glutamic -Pyruvic Transaminase colorimetric method. Amer. J. Clin. Path. 1957, 28, 56. [Google Scholar] [CrossRef]
- Habig, W.H.; Pabst, M.J.; Jakoby, W.B. Glutathione S-transferases: The first enzymatic step in mercapturic acid formation. J. Biol. Chem. 1974, 249, 7130–7139. [Google Scholar] [CrossRef]
- Singleton, I.; Mathew, Z. Fungal remediation of soils contaminated with persistent organic pollutants. In Fungi in Bioremediation; British Mycological Society Symposium Series; Cambridge University Press: Cambridge, UK, 2001; pp. 79–96. [Google Scholar]
- Bhalerao, T.S.; Puranik, P.R. Microbial degradation of monocrotophos by Aspergillus oryzae. Int. Biodeterior. Biodegrad. 2009, 63, 503–508. [Google Scholar] [CrossRef]
- Madhuri, J. Degradation of dimethoate by cellulolytic bacteria in cotton soils. Glob. J. Med. Res. Microbiol. Pathol. 2014, 14, 9–12. [Google Scholar]
- Mohamed, M.S. Degradation of methomyl by the novel bacterial strain Stenotrophomonas maltophilia M1. Electron. J. Biotechnol. 2009, 12, 6–7. [Google Scholar] [CrossRef]
- Lone, M.A.; Wani, M.R. Degradation of dimethoate and pyrethroid by using fungal strains isolated from the rhizosphere of Juglansregia L. in the northern region of Jammu and Kashmir, India. Int. J. Pharma Bio Sci. 2012, 3, 716–723. [Google Scholar]
- Yin, X.; Lian, B. Dimethoate degradation and calcium phosphate formation induced by Aspergillus niger. Afr. J. Microbiol. Res. 2012, 6, 7603–7609. [Google Scholar] [CrossRef]
- Pandey, P.; Khillare, P.; Kumar, K. Assessment of organochlorine pesticide residues in the surface sediments of River Yamuna in Delhi, India. J. Environ. Prot. 2011, 2, 511. [Google Scholar] [CrossRef]
- Hernández, A.F.; Gil, F.; Lacasaña, M.; Rodríguez-Barranco, M.; Gómez-Martin, A.; Lozano, D.; Pla, A. Modulation of the endogenous antioxidants paraoxonase-1 and urate by pesticide exposure and genetic variants of xenobiotic-metabolizing enzymes. Food Chem. Toxicol. 2013, 61, 164–170. [Google Scholar] [CrossRef] [PubMed]
- Lei, A.-P.; Wong, Y.-S.; Tam, N.F.-Y. Pyrene-induced changes of glutathione-S-transferase activities in different microalgal species. Chemosphere 2003, 50, 293–301. [Google Scholar] [CrossRef]
- Pflugmacher, S.; Wiegand, C.; Oberemm, A.; Beattie, K.A.; Krause, E.; Codd, G.A.; Steinberg, C.E. Identification of an enzymatically formed glutathione conjugate of the cyanobacterial hepatotoxin microcystin-LR: The first step of detoxication. Biochim. Biophys. Acta BBA Gen. Subj. 1998, 1425, 527–533. [Google Scholar] [CrossRef]
- Banaee, M.; Sureda, A.; Mirvaghefi, A.; Ahmadi, K. Effects of diazinon on biochemical parameters of blood in rainbow trout (Oncorhynchus mykiss). Pestic. Biochem. Physiol. 2011, 99, 1–6. [Google Scholar] [CrossRef]
- Yousef, M.I.; El-Demerdash, F.; Kamel, K.; Al-Salhen, K. Changes in some hematological and biochemical indices of rabbits induced by isoflavones and cypermethrin. Toxicology 2003, 189, 223–234. [Google Scholar] [CrossRef]
- Bernet, D.; Schmidt, H.; Meier, W.; Burkhardt-Holm, P.; Wahli, T. Histopathology in fish: Proposal for a protocol to assess aquatic pollution. J. Fish Dis. 1999, 22, 25–34. [Google Scholar] [CrossRef]
- Dutta, H.; Adhikari, S.; Singh, N.; Roy, P.; Munshi, J. Histopathological changes induced by malathion in the liver of a freshwater catfish, Heteropneustes fossilis (Bloch). Bull. Environ. Contam. Toxicol. 1993, 51, 895–900. [Google Scholar] [CrossRef] [PubMed]
- Rodrigues, E.D.L.; Fanta, E. Liver histopathology of the fish Brachydanio rerio Hamilton-Buchman after acute exposure to sublethal levels of the organophosphate Dimethoate 500. Rev. Bras. Zool. 1998, 15, 441–450. [Google Scholar] [CrossRef]
- Wafa, T.; Amel, N.; Issam, C.; Imed, C.; Abdelhedi, M.; Mohamed, H. Subacute effects of 2, 4-dichlorophenoxyacetic herbicide on antioxidant defense system and lipid peroxidation in rat erythrocytes. Pestic. Biochem. Physiol. 2011, 99, 256–264. [Google Scholar] [CrossRef]
- El-Demerdash, F.; Dewer, Y.; ElMazoudy, R.H.; Attia, A.A. Kidney antioxidant status, biochemical parameters and histopathological changes induced by methomyl in CD-1 mice. Exp. Toxicol. Pathol. 2013, 65, 897–901. [Google Scholar] [CrossRef]
- Sharma, Y.; Bashir, S.; Irshad, M.; Nag, T.; Dogra, T. Dimethoate-induced effects on antioxidant status of liver and brain of rats following subchronic exposure. Toxicology 2005, 215, 173–181. [Google Scholar] [CrossRef]
- Henics, T.; Wheatley, D.N. Cytoplasmic vacuolation, adaptation and cell death: A view on new perspectives and features. Biol. Cell 1999, 91, 485–498. [Google Scholar] [CrossRef]
- Rahm, M.; Atty, Y.A.; Rahman, M.A.; Sabry, M. Structural changes induced by gibberellic acid in the renal cortex of adult male albino rats. MOJ Anat. Physiol. 2017, 3, 21–27. [Google Scholar] [CrossRef][Green Version]
Publisher’s Note: MDPI stays neutral with regard to jurisdictional claims in published maps and institutional affiliations. |
© 2021 by the authors. Licensee MDPI, Basel, Switzerland. This article is an open access article distributed under the terms and conditions of the Creative Commons Attribution (CC BY) license (https://creativecommons.org/licenses/by/4.0/).




