PHEXL222P Mutation Increases Phex Expression in a New ENU Mouse Model for XLH Disease
Abstract
1. Introduction
2. Materials and Methods
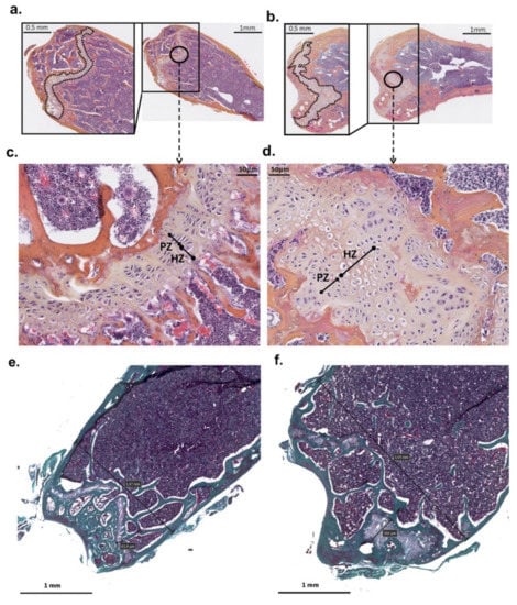
3. Results
4. Discussion
5. Conclusions
Author Contributions
Funding
Institutional Review Board Statement
Informed Consent Statement
Data Availability Statement
Conflicts of Interest
References
- Obara-Moszynska, M.; Rojek, A.; Kolesinska, Z.; Jurkiewicz, D.; Chrzanowska, K.H.; Niedziela, M. X-linked hypophosphataemic rickets in children: Clinical phenotype, therapeutic strategies, and molecular background. Endokrynol. Pol. 2021, 72, 108–119. [Google Scholar] [CrossRef] [PubMed]
- Ma, S.L.; Vega-Warner, V.; Gillies, C.; Sampson, M.G.; Kher, V.; Sethi, S.K.; Otto, E.A. Whole Exome Sequencing Reveals Novel PHEX Splice Site Mutations in Patients with Hypophosphatemic Rickets. PLoS ONE 2015, 10, e0130729. [Google Scholar] [CrossRef]
- Marik, B.; Bagga, A.; Sinha, A.; Hari, P.; Sharma, A. Genetics of Refractory Rickets: Identification of Novel PHEX Mutations in Indian Patients and a Literature Update. J. Pediatr. Genet. 2018, 7, 47–59. [Google Scholar] [CrossRef] [PubMed]
- Kelleher, C.L.; Buckalew, V.M.; Frederickson, E.D.; Rhodes, D.J.; Conner, D.A.; Seidman, J.G.; Seidman, C.E. CLCN5 mutation Ser244Leu is associated with X-linked renal failure without X-linked recessive hypophosphatemic rickets. Kidney Int. 1998, 53, 31–37. [Google Scholar] [CrossRef] [PubMed][Green Version]
- Econs, M.J.; McEnery, P.T. Autosomal dominant hypophosphatemic rickets/osteomalacia: Clinical characterization of a novel renal phosphate-wasting disorder. J. Clin. Endocrinol. Metab. 1997, 82, 674–681. [Google Scholar] [CrossRef] [PubMed]
- Lorenz-Depiereux, B.; Bastepe, M.; Benet-Pagès, A.; Amyere, M.; Wagenstaller, J.; Müller-Barth, U.; Badenhoop, K.; Kaiser, S.M.; Rittmaster, R.S.; Shlossberg, A.H.; et al. DMP1 mutations in autosomal recessive hypophosphatemia implicate a bone matrix protein in the regulation of phosphate homeostasis. Nat. Genet. 2006, 38, 1248–1250. [Google Scholar] [CrossRef] [PubMed]
- Nitschke, Y.; Baujat, G.; Botschen, U.; Wittkampf, T.; du Moulin, M.; Stella, J.; Le Merrer, M.; Guest, G.; Lambot, K.; Tazarourte-Pinturier, M.-F.; et al. Generalized arterial calcification of infancy and pseudoxanthoma elasticum can be caused by mutations in either ENPP1 or ABCC6. Am. J. Hum. Genet. 2012, 90, 25–39. [Google Scholar] [CrossRef] [PubMed]
- Jagtap, V.S.; Sarathi, V.; Lila, A.R.; Bandgar, T.; Menon, P.; Shah, N.S. Hypophosphatemic rickets. Indian J. Endocrinol. Metab. 2012, 16, 177–182. [Google Scholar] [CrossRef] [PubMed]
- Tenenhouse, H.S.; Werner, A.; Biber, J.; Ma, S.; Martel, J.; Roy, S.; Murer, H. Renal Na(+)-phosphate cotransport in murine X-linked hypophosphatemic rickets. Molecular characterization. J. Clin. Investig. 1994, 93, 671–676. [Google Scholar] [CrossRef] [PubMed][Green Version]
- Tenenhouse, H.S. X-linked hypophosphataemia: A homologous disorder in humans and mice. Nephrol. Dial. Transplant. Off. Publ. Eur. Dial. Transpl. Assoc. Eur. Ren. Assoc. 1999, 14, 333–341. [Google Scholar] [CrossRef]
- Murayama, T.; Iwatsubo, R.; Akiyama, S.; Amano, A.; Morisaki, I. Familial hypophosphatemic vitamin D-resistant rickets: Dental findings and histologic study of teeth. Oral Surg. Oral Med. Oral Pathol. Oral Radiol. Endod. 2000, 90, 310–316. [Google Scholar] [CrossRef] [PubMed]
- Makras, P.; Hamdy, N.A.T.; Kant, S.G.; Papapoulos, S.E. Normal growth and muscle dysfunction in X-linked hypophosphatemic rickets associated with a novel mutation in the PHEX gene. J. Clin. Endocrinol. Metab. 2008, 93, 1386–1389. [Google Scholar] [CrossRef]
- Morey, M.; Castro-Feijóo, L.; Barreiro, J.; Cabanas, P.; Pombo, M.; Gil, M.; Bernabeu, I.; Díaz-Grande, J.M.; Rey-Cordo, L.; Ariceta, G.; et al. Genetic diagnosis of X-linked dominant hypophosphatemic rickets in a cohort study: Tubular reabsorption of phosphate and 1,25(OH)2D serum levels are associated with PHEX mutation type. BMC Med. Genet. 2011, 12, 116. [Google Scholar] [CrossRef] [PubMed]
- Biosse Duplan, M.; Coyac, B.R.; Bardet, C.; Zadikian, C.; Rothenbuhler, A.; Kamenicky, P.; Briot, K.; Linglart, A.; Chaussain, C. Phosphate and Vitamin D Prevent Periodontitis in X-Linked Hypophosphatemia. J. Dent. Res. 2017, 96, 388–395. [Google Scholar] [CrossRef] [PubMed]
- Boukpessi, T.; Hoac, B.; Coyac, B.R.; Leger, T.; Garcia, C.; Wicart, P.; Whyte, M.P.; Glorieux, F.H.; Linglart, A.; Chaussain, C.; et al. Osteopontin and the dento-osseous pathobiology of X-linked hypophosphatemia. Bone 2017, 95, 151–161. [Google Scholar] [CrossRef]
- Francis, F.; Strom, T.M.; Hennig, S.; Böddrich, A.; Lorenz, B.; Brandau, O.; Mohnike, K.L.; Cagnoli, M.; Steffens, C.; Klages, S.; et al. Genomic organization of the human PEX gene mutated in X-linked dominant hypophosphatemic rickets. Genome Res. 1997, 7, 573–585. [Google Scholar] [CrossRef] [PubMed]
- Sabbagh, Y.; Boileau, G.; DesGroseillers, L.; Tenenhouse, H.S. Disease-causing missense mutations in the PHEX gene interfere with membrane targeting of the recombinant protein. Hum. Mol. Genet. 2001, 10, 1539–1546. [Google Scholar] [CrossRef] [PubMed]
- Sabbagh, Y.; Boileau, G.; Campos, M.; Carmona, A.K.; Tenenhouse, H.S. Structure and function of disease-causing missense mutations in the PHEX gene. J. Clin. Endocrinol. Metab. 2003, 88, 2213–2222. [Google Scholar] [CrossRef]
- Veilleux, L.-N.; Cheung, M.; Ben Amor, M.; Rauch, F. Abnormalities in muscle density and muscle function in hypophosphatemic rickets. J. Clin. Endocrinol. Metab. 2012, 97, E1492–E1498. [Google Scholar] [CrossRef]
- Beck-Nielsen, S.S.; Mughal, Z.; Haffner, D.; Nilsson, O.; Levtchenko, E.; Ariceta, G.; de Lucas Collantes, C.; Schnabel, D.; Jandhyala, R.; Mäkitie, O. FGF23 and its role in X-linked hypophosphatemia-related morbidity. Orphanet J. Rare Dis. 2019, 14, 58. [Google Scholar] [CrossRef]
- The HYP Consortium A gene (PEX) with homologies to endopeptidases is mutated in patients with X-linked hypophosphatemic rickets. Nat. Genet. 1995, 11, 130–136. [CrossRef] [PubMed]
- Grieff, M.; Mumm, S.; Waeltz, P.; Mazzarella, R.; Whyte, M.P.; Thakker, R.V.; Schlessinger, D. Expression and Cloning of the Human X-Linked Hypophosphatemia Gene cDNA. Biochem. Biophys. Res. Commun. 1997, 231, 635–639. [Google Scholar] [CrossRef]
- Strom, T.M.; Francis, F.; Lorenz, B.; Böddrich, A.; Econs, M.J.; Lehrach, H.; Meitinger, T. Pex gene deletions in Gy and Hyp mice provide mouse models for X-linked hypophosphatemia. Hum. Mol. Genet. 1997, 6, 165–171. [Google Scholar] [CrossRef] [PubMed]
- Guo, R.; Quarles, L.D. Cloning and sequencing of human PEX from a bone cDNA library: Evidence for its developmental stage-specific regulation in osteoblasts. J. Bone Miner. Res. Off. J. Am. Soc. Bone Miner. Res. 1997, 12, 1009–1017. [Google Scholar] [CrossRef]
- Ruchon, A.F.; Marcinkiewicz, M.; Siegfried, G.; Tenenhouse, H.S.; DesGroseillers, L.; Crine, P.; Boileau, G. Pex mRNA is localized in developing mouse osteoblasts and odontoblasts. J. Histochem. Cytochem. Off. J. Histochem. Soc. 1998, 46, 459–468. [Google Scholar] [CrossRef] [PubMed]
- Meyer, R.A., Jr.; Young, C.G.; Meyer, M.H.; Garges, P.L.; Price, D.K. Effect of age on the expression of Pex (Phex) in the mouse. Calcif. Tissue Int. 2000, 66, 282–287. [Google Scholar] [CrossRef]
- Bowe, A.E.; Finnegan, R.; Jan de Beur, S.M.; Cho, J.; Levine, M.A.; Kumar, R.; Schiavi, S.C. FGF-23 inhibits renal tubular phosphate transport and is a PHEX substrate. Biochem. Biophys. Res. Commun. 2001, 284, 977–981. [Google Scholar] [CrossRef] [PubMed]
- Yamazaki, Y.; Okazaki, R.; Shibata, M.; Hasegawa, Y.; Satoh, K.; Tajima, T.; Takeuchi, Y.; Fujita, T.; Nakahara, K.; Yamashita, T.; et al. Increased circulatory level of biologically active full-length FGF-23 in patients with hypophosphatemic rickets/osteomalacia. J. Clin. Endocrinol. Metab. 2002, 87, 4957–4960. [Google Scholar] [CrossRef] [PubMed]
- Liu, S.; Guo, R.; Simpson, L.G.; Xiao, Z.-S.; Burnham, C.E.; Quarles, L.D. Regulation of fibroblastic growth factor 23 expression but not degradation by PHEX. J. Biol. Chem. 2003, 278, 37419–37426. [Google Scholar] [CrossRef] [PubMed]
- Benet-Pagès, A.; Lorenz-Depiereux, B.; Zischka, H.; White, K.E.; Econs, M.J.; Strom, T.M. FGF23 is processed by proprotein convertases but not by PHEX. Bone 2004, 35, 455–462. [Google Scholar] [CrossRef] [PubMed]
- Murali, S.K.; Andrukhova, O.; Clinkenbeard, E.L.; White, K.E.; Erben, R.G. Excessive Osteocytic Fgf23 Secretion Contributes to Pyrophosphate Accumulation and Mineralization Defect in Hyp Mice. PLoS Biol. 2016, 14, e1002427. [Google Scholar] [CrossRef] [PubMed]
- Liu, S.; Zhou, J.; Tang, W.; Jiang, X.; Rowe, D.W.; Quarles, L.D. Pathogenic role of Fgf23 in Hyp mice. Am. J. Physiol. Endocrinol. Metab. 2006, 291, E38–E49. [Google Scholar] [CrossRef] [PubMed]
- Owen, C.; Chen, F.; Flenniken, A.M.; Osborne, L.R.; Ichikawa, S.; Adamson, S.L.; Rossant, J.; Aubin, J.E. A novel Phex mutation in a new mouse model of hypophosphatemic rickets. J. Cell. Biochem. 2012, 113, 2432–2441. [Google Scholar] [CrossRef] [PubMed]
- Rowe, P.S.N.; Garrett, I.R.; Schwarz, P.M.; Carnes, D.L.; Lafer, E.M.; Mundy, G.R.; Gutierrez, G.E. Surface plasmon resonance (SPR) confirms that MEPE binds to PHEX via the MEPE-ASARM motif: A model for impaired mineralization in X-linked rickets (HYP). Bone 2005, 36, 33–46. [Google Scholar] [CrossRef]
- Rowe, P.S.N.; Matsumoto, N.; Jo, O.D.; Shih, R.N.J.; Oconnor, J.; Roudier, M.P.; Bain, S.; Liu, S.; Harrison, J.; Yanagawa, N. Correction of the mineralization defect in hyp mice treated with protease inhibitors CA074 and pepstatin. Bone 2006, 39, 773–786. [Google Scholar] [CrossRef] [PubMed]
- Addison, W.N.; Nakano, Y.; Loisel, T.; Crine, P.; McKee, M.D. MEPE-ASARM Peptides Control Extracellular Matrix Mineralization by Binding to Hydroxyapatite: An Inhibition Regulated by PHEX Cleavage of ASARM. J. Bone Miner. Res. 2008, 23, 1638–1649. [Google Scholar] [CrossRef]
- Addison, W.N.; Masica, D.L.; Gray, J.J.; McKee, M.D. Phosphorylation-dependent inhibition of mineralization by osteopontin ASARM peptides is regulated by PHEX cleavage. J. Bone Miner. Res. 2010, 25, 695–705. [Google Scholar] [CrossRef] [PubMed]
- Boukpessi, T.; Gaucher, C.; Léger, T.; Salmon, B.; Faouder, J.L.; Willig, C.; Rowe, P.S.; Garabédian, M.; Meilhac, O.; Chaussain, C. Abnormal Presence of the Matrix Extracellular Phosphoglycoprotein-Derived Acidic Serine- and Aspartate-Rich Motif Peptide in Human Hypophosphatemic Dentin. Am. J. Pathol. 2010, 177, 803–812. [Google Scholar] [CrossRef] [PubMed]
- Barros, N.M.; Hoac, B.; Neves, R.L.; Addison, W.N.; Assis, D.M.; Murshed, M.; Carmona, A.K.; McKee, M.D. Proteolytic processing of osteopontin by PHEX and accumulation of osteopontin fragments in Hyp mouse bone, the murine model of X-linked hypophosphatemia. J. Bone Miner. Res. 2013, 28, 688–699. [Google Scholar] [CrossRef] [PubMed]
- Minamizaki, T.; Yoshiko, Y. The bioactive acidic serine- and aspartate-rich motif peptide. Curr. Protein Pept. Sci. 2015, 16, 196–202. [Google Scholar] [CrossRef]
- Moriyama, K.; Hanai, A.; Mekada, K.; Yoshiki, A.; Ogiwara, K.; Kimura, A.; Takahashi, T. Kbus/Idr, a mutant mouse strain with skeletal abnormalities and hypophosphatemia: Identification as an allele of “Hyp”. J. Biomed. Sci. 2011, 18, 60. [Google Scholar] [CrossRef] [PubMed]
- Gonzalez, C.D.; Meyer, R.A.; Iorio, R.J. Craniometric measurements of craniofacial malformations in the X-linked hypophosphatemic (Hyp) mouse on two different genetic backgrounds: C57BL/6J and B6C3H. Teratology 1992, 46, 605–613. [Google Scholar] [CrossRef] [PubMed]
- Liu, S.; Guo, R.; Tu, Q.; Quarles, L.D. Overexpression of Phex in osteoblasts fails to rescue the Hyp mouse phenotype. J. Biol. Chem. 2002, 277, 3686–3697. [Google Scholar] [CrossRef]
- Carpinelli, M.R.; Wicks, I.P.; Sims, N.A.; O’Donnell, K.; Hanzinikolas, K.; Burt, R.; Foote, S.J.; Bahlo, M.; Alexander, W.S.; Hilton, D.J. An ethyl-nitrosourea-induced point mutation in phex causes exon skipping, x-linked hypophosphatemia, and rickets. Am. J. Pathol. 2002, 161, 1925–1933. [Google Scholar] [CrossRef]
- Lorenz-Depiereux, B.; Guido, V.E.; Johnson, K.R.; Zheng, Q.Y.; Gagnon, L.H.; Bauschatz, J.D.; Davisson, M.T.; Washburn, L.L.; Donahue, L.R.; Strom, T.M.; et al. New intragenic deletions in the Phex gene clarify X-linked hypophosphatemia-related abnormalities in mice. Mamm. Genome Off. J. Int. Mamm. Genome Soc. 2004, 15, 151–161. [Google Scholar]
- Karunaratne, A.; Esapa, C.R.; Hiller, J.; Boyde, A.; Head, R.; Bassett, J.H.D.; Terrill, N.J.; Williams, G.R.; Brown, M.A.; Croucher, P.I.; et al. Significant deterioration in nanomechanical quality occurs through incomplete extrafibrillar mineralization in rachitic bone: Evidence from in-situ synchrotron X-ray scattering and backscattered electron imaging. J. Bone Miner. Res. Off. J. Am. Soc. Bone Miner. Res. 2012, 27, 876–890. [Google Scholar] [CrossRef] [PubMed]
- Megerian, C.A.; Semaan, M.T.; Aftab, S.; Kisley, L.B.; Zheng, Q.Y.; Pawlowski, K.S.; Wright, C.G.; Alagramam, K.N. A mouse model with postnatal endolymphatic hydrops and hearing loss. Hear. Res. 2008, 237, 90–105. [Google Scholar] [CrossRef] [PubMed]
- Ichikawa, S.; Traxler, E.A.; Estwick, S.A.; Curry, L.R.; Johnson, M.L.; Sorenson, A.H.; Imel, E.A.; Econs, M.J. Mutational Survey of the PHEX Gene in Patients with X-linked Hypophosphatemic Rickets. Bone 2008, 43, 663–666. [Google Scholar] [CrossRef][Green Version]
- Magnol, L.; Monestier, O.; Vuillier-Devillers, K.; Wagner, S.; Cocquempot, O.; Chevallier, M.C.; Blanquet, V. A sensitised mutagenesis screen in the mouse to explore the bovine genome: Study of muscle characteristics. Animal 2011, 5, 663–671. [Google Scholar] [CrossRef][Green Version]
- Parenté, A.; Boukredine, A.; Baraige, F.; Duprat, N.; Gondran-Tellier, V.; Magnol, L.; Blanquet, V. GASP-2 overexpressing mice exhibit a hypermuscular phenotype with contrasting molecular effects compared to GASP-1 transgenics. FASEB J. Off. Publ. Fed. Am. Soc. Exp. Biol. 2020, 34, 4026–4040. [Google Scholar] [CrossRef]
- Jiang, X.; Kalajzic, Z.; Maye, P.; Braut, A.; Bellizzi, J.; Mina, M.; Rowe, D.W. Histological Analysis of GFP Expression in Murine Bone. J. Histochem. Cytochem. 2005, 53, 593–602. [Google Scholar] [CrossRef] [PubMed]
- Jumper, J.; Evans, R.; Pritzel, A.; Green, T.; Figurnov, M.; Ronneberger, O.; Tunyasuvunakool, K.; Bates, R.; Žídek, A.; Potapenko, A.; et al. Highly accurate protein structure prediction with AlphaFold. Nature 2021, 596, 583–589. [Google Scholar] [CrossRef] [PubMed]
- Varadi, M.; Anyango, S.; Deshpande, M.; Nair, S.; Natassia, C.; Yordanova, G.; Yuan, D.; Stroe, O.; Wood, G.; Laydon, A.; et al. AlphaFold Protein Structure Database: Massively expanding the structural coverage of protein-sequence space with high-accuracy models. Nucleic Acids Res. 2022, 50, D439–D444. [Google Scholar] [CrossRef] [PubMed]
- Buel, G.R.; Walters, K.J. Can AlphaFold2 predict the impact of missense mutations on structure? Nat. Struct. Mol. Biol. 2022, 29, 1–2. [Google Scholar] [CrossRef]
- Pak, M.A.; Markhieva, K.A.; Novikova, M.S.; Petrov, D.S.; Vorobyev, I.S.; Maksimova, E.S.; Kondrashov, F.A.; Ivankov, D.N. Using AlphaFold to predict the impact of single mutations on protein stability and function. BioRxiv 2021. [Google Scholar] [CrossRef]
- Humphrey, W.; Dalke, A.; Schulten, K. VMD: Visual molecular dynamics. J. Mol. Graph. 1996, 14, 27–28, 33–38. [Google Scholar] [CrossRef]
- Tang, H.; Thomas, P.D. PANTHER-PSEP: Predicting disease-causing genetic variants using position-specific evolutionary preservation. Bioinforma. Oxf. Engl. 2016, 32, 2230–2232. [Google Scholar] [CrossRef] [PubMed]
- Adzhubei, I.A.; Schmidt, S.; Peshkin, L.; Ramensky, V.E.; Gerasimova, A.; Bork, P.; Kondrashov, A.S.; Sunyaev, S.R. A method and server for predicting damaging missense mutations. Nat. Methods 2010, 7, 248–249. [Google Scholar] [CrossRef] [PubMed]
- Chou, P.Y.; Fasman, G.D. Prediction of protein conformation. Biochemistry 1974, 13, 222–245. [Google Scholar] [CrossRef]
- Khan, S.; Vihinen, M. Spectrum of disease-causing mutations in protein secondary structures. BMC Struct. Biol. 2007, 7, 56. [Google Scholar] [CrossRef]
- Graw, J.; Neuhäuser-Klaus, A.; Klopp, N.; Selby, P.B.; Löster, J.; Favor, J. Genetic and allelic heterogeneity of Cryg mutations in eight distinct forms of dominant cataract in the mouse. Investig. Ophthalmol. Vis. Sci. 2004, 45, 1202–1213. [Google Scholar] [CrossRef] [PubMed][Green Version]
- Quwailid, M.M.; Hugill, A.; Dear, N.; Vizor, L.; Wells, S.; Horner, E.; Fuller, S.; Weedon, J.; McMath, H.; Woodman, P.; et al. A gene-driven ENU-based approach to generating an allelic series in any gene. Mamm. Genome Off. J. Int. Mamm. Genome Soc. 2004, 15, 585–591. [Google Scholar] [CrossRef] [PubMed]
- Augustin, M.; Sedlmeier, R.; Peters, T.; Huffstadt, U.; Kochmann, E.; Simon, D.; Schöniger, M.; Garke-Mayerthaler, S.; Laufs, J.; Mayhaus, M.; et al. Efficient and fast targeted production of murine models based on ENU mutagenesis. Mamm. Genome Off. J. Int. Mamm. Genome Soc. 2005, 16, 405–413. [Google Scholar] [CrossRef]
- Sachs, A.J.; Schwendinger, J.K.; Yang, A.W.; Haider, N.B.; Nystuen, A.M. The mouse mutants recoil wobbler and nmf373 represent a series of Grm1 mutations. Mamm. Genome Off. J. Int. Mamm. Genome Soc. 2007, 18, 749–756. [Google Scholar] [CrossRef] [PubMed]
- Gondo, Y. Next-generation gene targeting in the mouse for functional genomics. BMB Rep. 2009, 42, 315–323. [Google Scholar] [CrossRef] [PubMed]
- Gondo, Y. Now and future of mouse mutagenesis for human disease models. J. Genet. Genom. 2010, 37, 559–572. [Google Scholar] [CrossRef]
- Kim, B.J.; Zaveri, H.P.; Shchelochkov, O.A.; Yu, Z.; Hernández-García, A.; Seymour, M.L.; Oghalai, J.S.; Pereira, F.A.; Stockton, D.W.; Justice, M.J.; et al. An allelic series of mice reveals a role for RERE in the development of multiple organs affected in chromosome 1p36 deletions. PLoS ONE 2013, 8, e57460. [Google Scholar] [CrossRef]
- El Hakam Kamareddin, C.; Magnol, L.; Blanquet, V. A new Otogelin ENU mouse model for autosomal-recessive nonsyndromic moderate hearing impairment. SpringerPlus 2015, 4, 730. [Google Scholar] [CrossRef]
- Brommage, R.; Ohlsson, C. High Fidelity of Mouse Models Mimicking Human Genetic Skeletal Disorders. Front. Endocrinol. 2019, 10. [Google Scholar] [CrossRef]
- Chen, B.; Wang, H.-L.; Chen, R.; Chen, L.; Yang, S.; Wang, Y.; Xue, Z.-F. An L314Q mutation in Map3k1 gene results in failure of eyelid fusion in the N-ethyl-N-nitrosourea-induced mutant line. Exp. Anim. 2021, 70, 459–468. [Google Scholar] [CrossRef] [PubMed]
- Miyasaka, Y.; Okuda, K.; Miura, I.; Motegi, H.; Wakana, S.; Ohno, T. A novel ENU-induced Cpox mutation causes microcytic hypochromic anemia in mice. Exp. Anim. 2022, 2022, 22-0032. [Google Scholar] [CrossRef] [PubMed]
- Gaucher, C.; Walrant-Debray, O.; Nguyen, T.-M.; Esterle, L.; Garabédian, M.; Jehan, F. PHEX analysis in 118 pedigrees reveals new genetic clues in hypophosphatemic rickets. Hum. Genet. 2009, 125, 401–411. [Google Scholar] [CrossRef] [PubMed]
- Sabbagh, Y.; Carpenter, T.O.; Demay, M.B. Hypophosphatemia leads to rickets by impairing caspase-mediated apoptosis of hypertrophic chondrocytes. Proc. Natl. Acad. Sci. USA 2005, 102, 9637–9642. [Google Scholar] [CrossRef]
- Drezner, M.K. PHEX gene and hypophosphatemia. Kidney Int. 2000, 57, 9–18. [Google Scholar] [CrossRef] [PubMed]
- Tenenhouse, H.S.; Murer, H. Disorders of renal tubular phosphate transport. J. Am. Soc. Nephrol. JASN 2003, 14, 240–248. [Google Scholar] [CrossRef]
- Segawa, H.; Kawakami, E.; Kaneko, I.; Kuwahata, M.; Ito, M.; Kusano, K.; Saito, H.; Fukushima, N.; Miyamoto, K.-I. Effect of hydrolysis-resistant FGF23-R179Q on dietary phosphate regulation of the renal type-II Na/Pi transporter. Pflüg. Arch. Eur. J. Physiol. 2003, 446, 585–592. [Google Scholar] [CrossRef] [PubMed]
- Tenenhouse, H.S. Regulation of phosphorus homeostasis by the type iia na/phosphate cotransporter. Annu. Rev. Nutr. 2005, 25, 197–214. [Google Scholar] [CrossRef] [PubMed]
- Razzaque, M.S. Bone–kidney axis in systemic phosphate turnover. Arch. Biochem. Biophys. 2014, 561, 154–158. [Google Scholar] [CrossRef]
- Penido, M.G.M.G.; Alon, U.S. Phosphate homeostasis and its role in bone health. Pediatr. Nephrol. Berl. Ger. 2012, 27, 2039–2048. [Google Scholar] [CrossRef]
- Yuan, B.; Feng, J.Q.; Bowman, S.; Liu, Y.; Blank, R.D.; Lindberg, I.; Drezner, M.K. Hexa-D-arginine treatment increases 7B2•PC2 activity in hyp-mouse osteoblasts and rescues the HYP phenotype. J. Bone Miner. Res. Off. J. Am. Soc. Bone Miner. Res. 2013, 28, 56–72. [Google Scholar] [CrossRef] [PubMed]
- Rowe, P.S.N. Regulation of bone-renal mineral and energy metabolism: The PHEX, FGF23, DMP1, MEPE ASARM pathway. Crit. Rev. Eukaryot. Gene Expr. 2012, 22, 61–86. [Google Scholar] [CrossRef]
- Rowe, P.S. A unified model for bone-renal mineral and energy metabolism. Curr. Opin. Pharmacol. 2015, 22, 64–71. [Google Scholar] [CrossRef] [PubMed]
- Wang, H.; Yoshiko, Y.; Yamamoto, R.; Minamizaki, T.; Kozai, K.; Tanne, K.; Aubin, J.E.; Maeda, N. Overexpression of fibroblast growth factor 23 suppresses osteoblast differentiation and matrix mineralization in vitro. J. Bone Miner. Res. Off. J. Am. Soc. Bone Miner. Res. 2008, 23, 939–948. [Google Scholar] [CrossRef]
- Chen, L.; Liu, H.; Sun, W.; Bai, X.; Karaplis, A.C.; Goltzman, D.; Miao, D. Fibroblast growth factor 23 overexpression impacts negatively on dentin mineralization and dentinogenesis in mice. Clin. Exp. Pharmacol. Physiol. 2011, 38, 395–402. [Google Scholar] [CrossRef] [PubMed]
- Sitara, D.; Kim, S.; Razzaque, M.S.; Bergwitz, C.; Taguchi, T.; Schüler, C.; Erben, R.G.; Lanske, B. Genetic evidence of serum phosphate-independent functions of FGF-23 on bone. PLoS Genet. 2008, 4, e1000154. [Google Scholar] [CrossRef]
- Shalhoub, V.; Ward, S.C.; Sun, B.; Stevens, J.; Renshaw, L.; Hawkins, N.; Richards, W.G. Fibroblast growth factor 23 (FGF23) and alpha-klotho stimulate osteoblastic MC3T3.E1 cell proliferation and inhibit mineralization. Calcif. Tissue Int. 2011, 89, 140–150. [Google Scholar] [CrossRef] [PubMed]
- Carpenter, T.O.; Whyte, M.P.; Imel, E.A.; Boot, A.M.; Högler, W.; Linglart, A.; Padidela, R.; Van’t Hoff, W.; Mao, M.; Chen, C.-Y.; et al. Burosumab Therapy in Children with X-Linked Hypophosphatemia. N. Engl. J. Med. 2018, 378, 1987–1998. [Google Scholar] [CrossRef] [PubMed]
- Kinoshita, Y.; Fukumoto, S. X-Linked Hypophosphatemia and FGF23-Related Hypophosphatemic Diseases: Prospect for New Treatment. Endocr. Rev. 2018, 39, 274–291. [Google Scholar] [CrossRef] [PubMed]
- Aono, Y.; Yamazaki, Y.; Yasutake, J.; Kawata, T.; Hasegawa, H.; Urakawa, I.; Fujita, T.; Wada, M.; Yamashita, T.; Fukumoto, S.; et al. Therapeutic Effects of Anti-FGF23 Antibodies in Hypophosphatemic Rickets/Osteomalacia. J. Bone Miner. Res. 2009, 24, 1879–1888. [Google Scholar] [CrossRef]
- Wöhrle, S.; Henninger, C.; Bonny, O.; Thuery, A.; Beluch, N.; Hynes, N.E.; Guagnano, V.; Sellers, W.R.; Hofmann, F.; Kneissel, M.; et al. Pharmacological inhibition of fibroblast growth factor (FGF) receptor signaling ameliorates FGF23-mediated hypophosphatemic rickets. J. Bone Miner. Res. Off. J. Am. Soc. Bone Miner. Res. 2013, 28, 899–911. [Google Scholar] [CrossRef]
- Segawa, H.; Shiozaki, Y.; Kaneko, I.; Miyamoto, K. The Role of Sodium-Dependent Phosphate Transporter in Phosphate Homeostasis. J. Nutr. Sci. Vitaminol. 2015, 61, S119–S121. [Google Scholar] [CrossRef]
- Gowen, L.C.; Petersen, D.N.; Mansolf, A.L.; Qi, H.; Stock, J.L.; Tkalcevic, G.T.; Simmons, H.A.; Crawford, D.T.; Chidsey-Frink, K.L.; Ke, H.Z.; et al. Targeted disruption of the osteoblast/osteocyte factor 45 gene (OF45) results in increased bone formation and bone mass. J. Biol. Chem. 2003, 278, 1998–2007. [Google Scholar] [CrossRef] [PubMed]
- David, V.; Martin, A.; Hedge, A.-M.; Rowe, P.S.N. Matrix extracellular phosphoglycoprotein (MEPE) is a new bone renal hormone and vascularization modulator. Endocrinology 2009, 150, 4012–4023. [Google Scholar] [CrossRef]
- Rowe, P.S.N. The Wrickkened Pathways Of FGF23, MEPE and PHEX. Crit. Rev. Oral Biol. Med. 2004, 15, 264–281. [Google Scholar] [CrossRef] [PubMed]
- Argiro, L.; Desbarats, M.; Glorieux, F.H.; Ecarot, B. Mepe, the gene encoding a tumor-secreted protein in oncogenic hypophosphatemic osteomalacia, is expressed in bone. Genomics 2001, 74, 342–351. [Google Scholar] [CrossRef]
- Steiglitz, B.M.; Ayala, M.; Narayanan, K.; George, A.; Greenspan, D.S. Bone morphogenetic protein-1/Tolloid-like proteinases process dentin matrix protein-1. J. Biol. Chem. 2004, 279, 980–986. [Google Scholar] [CrossRef] [PubMed]
- Tartaix, P.H.; Doulaverakis, M.; George, A.; Fisher, L.W.; Butler, W.T.; Qin, C.; Salih, E.; Tan, M.; Fujimoto, Y.; Spevak, L.; et al. In vitro effects of dentin matrix protein-1 on hydroxyapatite formation provide insights into in vivo functions. J. Biol. Chem. 2004, 279, 18115–18120. [Google Scholar] [CrossRef] [PubMed]
- Maciejewska, I.; Qin, D.; Huang, B.; Sun, Y.; Mues, G.; Svoboda, K.; Bonewald, L.; Butler, W.T.; Feng, J.Q.; Qin, C. Distinct compartmentalization of dentin matrix protein 1 fragments in mineralized tissues and cells. Cells Tissues Organs 2009, 189, 186–191. [Google Scholar] [CrossRef] [PubMed]
- Zhang, B.; Sun, Y.; Chen, L.; Guan, C.; Guo, L.; Qin, C. Expression and distribution of SIBLING proteins in the predentin/dentin and mandible of hyp mice. Oral Dis. 2010, 16, 453–464. [Google Scholar] [CrossRef] [PubMed]
- David, V.; Martin, A.; Hedge, A.-M.; Drezner, M.K.; Rowe, P.S.N. ASARM peptides: PHEX-dependent and -independent regulation of serum phosphate. Am. J. Physiol. Ren. Physiol. 2011, 300, F783–F791. [Google Scholar] [CrossRef]
- Gundberg, C.M.; Clough, M.E.; Carpenter, T.O. Development and validation of a radioimmunoassay for mouse osteocalcin: Paradoxical response in the Hyp mouse. Endocrinology 1992, 130, 1909–1915. [Google Scholar] [CrossRef] [PubMed]
- Carpenter, T.O.; Gundberg, C.M. Osteocalcin abnormalities in Hyp mice reflect altered genetic expression and are not due to altered clearance, affinity for mineral, or ambient phosphorus levels. Endocrinology 1996, 137, 5213–5219. [Google Scholar] [CrossRef][Green Version]
- Onishi, T.; Ogawa, T.; Hayashibara, T.; Hoshino, T.; Okawa, R.; Ooshima, T. Hyper-expression of osteocalcin mRNA in odontoblasts of Hyp mice. J. Dent. Res. 2005, 84, 84–88. [Google Scholar] [CrossRef]
- Atkins, G.J.; Rowe, P.S.; Lim, H.P.; Welldon, K.J.; Ormsby, R.; Wijenayaka, A.R.; Zelenchuk, L.; Evdokiou, A.; Findlay, D.M. Sclerostin Is a Locally Acting Regulator of Late-Osteoblast/Preosteocyte Differentiation and Regulates Mineralization Through a MEPE-ASARM-Dependent Mechanism. J. Bone Miner. Res. 2011, 26, 1425–1436. [Google Scholar] [CrossRef]
- Sabrautzki, S.; Rubio-Aliaga, I.; Hans, W.; Fuchs, H.; Rathkolb, B.; Calzada-Wack, J.; Cohrs, C.M.; Klaften, M.; Seedorf, H.; Eck, S.; et al. New mouse models for metabolic bone diseases generated by genome-wide ENU mutagenesis. Mamm. Genome Off. J. Int. Mamm. Genome Soc. 2012, 23, 416–430. [Google Scholar] [CrossRef]








Publisher’s Note: MDPI stays neutral with regard to jurisdictional claims in published maps and institutional affiliations. |
© 2022 by the authors. Licensee MDPI, Basel, Switzerland. This article is an open access article distributed under the terms and conditions of the Creative Commons Attribution (CC BY) license (https://creativecommons.org/licenses/by/4.0/).
Share and Cite
El Hakam, C.; Parenté, A.; Baraige, F.; Magnol, L.; Forestier, L.; Di Meo, F.; Blanquet, V. PHEXL222P Mutation Increases Phex Expression in a New ENU Mouse Model for XLH Disease. Genes 2022, 13, 1356. https://doi.org/10.3390/genes13081356
El Hakam C, Parenté A, Baraige F, Magnol L, Forestier L, Di Meo F, Blanquet V. PHEXL222P Mutation Increases Phex Expression in a New ENU Mouse Model for XLH Disease. Genes. 2022; 13(8):1356. https://doi.org/10.3390/genes13081356
Chicago/Turabian StyleEl Hakam, Carole, Alexis Parenté, Fabienne Baraige, Laetitia Magnol, Lionel Forestier, Florent Di Meo, and Véronique Blanquet. 2022. "PHEXL222P Mutation Increases Phex Expression in a New ENU Mouse Model for XLH Disease" Genes 13, no. 8: 1356. https://doi.org/10.3390/genes13081356
APA StyleEl Hakam, C., Parenté, A., Baraige, F., Magnol, L., Forestier, L., Di Meo, F., & Blanquet, V. (2022). PHEXL222P Mutation Increases Phex Expression in a New ENU Mouse Model for XLH Disease. Genes, 13(8), 1356. https://doi.org/10.3390/genes13081356

