Centrioles and Ciliary Structures during Male Gametogenesis in Hexapoda: Discovery of New Models
Abstract
:1. Introduction: The Centriole
2. Centriole Dynamics in Insect Spermatogenesis: Rule or Exception?
3. The Case of Drosophila: Three Centriole Models?
4. Centrioles in Hexapoda: Common and Uncommon Models
5. Centriole Overduplication in Insects: Breaking the Rules
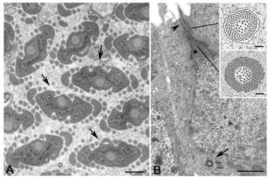
6. Unusual Ciliary Structures in Hexapoda Spermatocytes
7. Exceptions to the Conventional Presence of Sperm with Single Centrioles
8. How Many Centrioles at Fertilization? One, Two or None?
9. The Peculiar Tale of the Progressive Loss of Sperm Flagella and the Re-Acquisition of Sperm Motility
10. Concluding Remarks
Funding
Acknowledgments
Conflicts of Interest
References
- Barlan, K.; Gelfand, V. Microtubule-Based Transport and the Distribution, Tethering, and Organization of Organelles. Cold Spring Harb. Perspect Biol. 2017. [Google Scholar] [CrossRef] [PubMed]
- Johnston, D.S. Moving messages: The intracellular localization of mRNAs. Nat. Rev. Mol. Cell Biol. 2005, 6, 363–375. [Google Scholar] [CrossRef] [PubMed]
- Meads, T.; Schroer, T.A. Polarity and nucleation of microtubules in polarized epithelial cells. Cell. Motil. Cytoskelet. 1995, 32, 273–288. [Google Scholar] [CrossRef]
- Muroyama, A.; Lechler, T. Microtubule organization, dynamics and functions in differentiated cells. Development 2017, 144, 3012–3021. [Google Scholar] [CrossRef] [Green Version]
- Toya, M.; Kobayashi, S.; Kawasaki, M.; Shioi, G.; Kaneko, M.; Ishiuchi, T.; Misaki, K.; Meng, W.; Takeichi, M. CAMSAP3 orients the apical-to-basal polarity of microtubule arrays in epithelial cells. Proc. Natl. Acad. Sci. USA 2016, 113, 332–337. [Google Scholar] [CrossRef] [Green Version]
- Hinchcliffe, E.H. Centrosomes and the Art of Mitotic Spindle Maintenance. Int. Rev. Cell Mol. Biol. 2014, 313, 179–217. [Google Scholar]
- Oakley, C.E.; Oakley, B.R. Identification of gamma-tubulin, a new member of the tubulin superfamily encoded by mipA gene of Aspergillus nidulans. Nature 1989, 338, 662–664. [Google Scholar] [CrossRef]
- Zheng, Y.; Wong, M.L.; Alberts, B.; Mitchison, T. Nucleation of microtubule assembly by a γ-tubulin-containing ring complex. Nature 1995, 378, 578–583. [Google Scholar] [CrossRef]
- Sanchez, A.D.; Feldman, J.L. Microtubule-organizing centers: From the centrosome to non-centrosomal sites. Curr. Opin. Cell Biol. 2017, 44, 93–101. [Google Scholar] [CrossRef] [Green Version]
- Tillery, M.M.L.; Blake-Hedges, C.; Zheng, Y.; Buchwalter, R.A.; Megraw, T.L. Centrosomal and Non-Centrosomal Microtubule-Organizing Centers (MTOCs) in Drosophila melanogaster. Cells 2018, 7, 121. [Google Scholar] [CrossRef] [Green Version]
- Carazo-Salas, R.E.; Guarguaglini, G.; Gruss, O.J.; Segref, A.; Karsenti, E.; Mattaj, I.W. Generation of GTP-bound Ran by RCC1 is required for chromatin-induced mitotic spindle formation. Nature 1999, 400, 178–181. [Google Scholar] [CrossRef] [PubMed]
- Kalab, P.; Pu, R.T.; Dasso, M. The Ran GTPase regulates mitotic spindle assembly. Curr. Biol. 1999, 9, 481–484. [Google Scholar] [CrossRef] [Green Version]
- Ohba, T.; Nakamura, M.; Nishitani, H.; Nishimoto, T. Self-organization of microtubule asters induced in Xenopus egg extracts by GTP-bound Ran. Science 1999, 284, 1356–1358. [Google Scholar] [CrossRef] [PubMed]
- Wilde, A.; Zheng, Y.X. Stimulation of microtubule aster formation and spindle assembly by the small GTPase Ran. Science 1999, 284, 1359–1362. [Google Scholar] [CrossRef]
- Goshima, G.; Kimura, A. New look inside the spindle: Microtubule-dependent microtubule generation within the spindle. Curr. Opin. Cell Biol. 2010, 22, 44–49. [Google Scholar] [CrossRef]
- Sanchez-Huertas, C.; Luders, J. The augmin connection in the geometry of microtubule networks. Curr. Biol. 2015, 25, 294–299. [Google Scholar] [CrossRef] [Green Version]
- Savoian, M.S.; Glover, D.M. Differing requirements for Augmin in male meiotic and mitotic spindle formation in Drosophila. Open Biol. 2014, 4, 140047. [Google Scholar] [CrossRef] [Green Version]
- Wainman, A.; Buster, D.W.; Duncan, T.; Metz, J.; Ma, A.; Sharp, D.; Wakefield, J.G. A new Augmin subunit, Msd1, demonstrates the importance of mitotic spindle-templated microtubule nucleation in the absence of functioning centrosomes. Genes Dev. 2009, 23, 1876–1881. [Google Scholar] [CrossRef] [Green Version]
- Chabin-Brion, K.; Marceiller, J.; Perez, F.; Settegrana, C.; Drechou, A.; Durand, G.; Poüs, C. The Golgi complex is a microtubule-organizing organelle. Mol. Biol. Cell 2001, 12, 2047–2060. [Google Scholar] [CrossRef] [PubMed] [Green Version]
- Radulescu, A.E.; Mukherjee, S.; Shields, D. The Golgi protein p115 associates with gamma-tubulin and plays a role in Golgi structure and mitosis progression. J. Biol. Chem. 2011, 286, 21915–21926. [Google Scholar] [CrossRef] [Green Version]
- Riparbelli, M.G.; Persico, V.; Gottardo, M.; Callaini, G. The developing Drosophila eye–a new model to study centriole reduction. J. Cell Sci. 2018, 131. [Google Scholar] [CrossRef] [PubMed] [Green Version]
- Brodu, V.; Baffet, A.D.; Le Droguen, P.M.; Casanova, J.; Guichet, A.A. A developmentally regulated two-step process generates a noncentrosomal microtubule network in Drosophila tracheal cells. Dev. Cell 2010, 18, 790–801. [Google Scholar] [CrossRef] [PubMed]
- Quintin, S.; Wang, S.; Pontabry, J.; Bender, A.; Robin, F.; Hyenne, V.; Landmann, F.; Gally, C.; Oegema, K.; Labouesse, M. Non-centrosomal epidermal microtubules act in parallel to LET-502/ROCK to promote C. elegans elongation. Development 2016, 143, 160–173. [Google Scholar] [CrossRef] [PubMed] [Green Version]
- Fu, J.; Glover, D.M. Structured illumination of the interface between centriole and peri-centriolar material. Open Biol. 2012, 2, 120104. [Google Scholar] [CrossRef] [PubMed] [Green Version]
- Mennella, V.; Keszthelyi, B.; McDonald, K.L.; Chhun, B.; Kan, F.; Rogers, G.C.; Huang, B.; Agard, D.A. Subdiffraction-resolution fluorescence microscopy reveals a domain of the centrosome critical for pericentriolar material organization. Nat. Cell Biol. 2012, 14, 1159. [Google Scholar] [CrossRef] [PubMed] [Green Version]
- Mennella, V.; Agard, D.A.; Huang, B.; Pelletier, L. Amorphous no more: Subdiffraction view of the pericentriolar material architecture. Trends Cell Biol. 2014, 24, 188–197. [Google Scholar] [CrossRef] [PubMed] [Green Version]
- Palazzo, R.E.; Vogel, J.M.; Schnackenberg, B.J.; Hull, D.R.; Wu, X. Centrosome maturation. Curr. Top. Dev. Biol. 2000, 49, 449–470. [Google Scholar]
- Conduit, P.T.; Wainman, A.; Raff, J.W. Centrosome function and assembly in animal cells. Nat. Rev. Mol. Cell Biol. 2015, 16, 611–624. [Google Scholar] [CrossRef]
- Bornens, M. The centrosome in cells and organisms. Science 2012, 335, 422–426. [Google Scholar] [CrossRef]
- Sreekumar, V.; Norris, D.P. Cilia and development. Curr. Opin. Genet. Dev. 2019, 56, 15–21. [Google Scholar] [CrossRef]
- Bettencourt-Dias, M.; Hildebrandt, F.; Pellman, D.; Woods, G.; Godinho, S.A. Centrosomes and cilia in human disease. Trends Genet. 2011, 27, 307–315. [Google Scholar] [CrossRef] [PubMed] [Green Version]
- Gönczy, P. Centrosomes and cancer: Revisiting a longstanding relationship. Nat. Rev. Cancer 2015, 15, 639–652. [Google Scholar] [CrossRef] [PubMed]
- Marteil, G.; Guerrero, A.; Vieira, A.F.; de Almeida, B.P.; Machado, P.; Mendonça, S.; Mesquita, M.; Villarreal, B.; Fonseca, I.; Francia, M.E.; et al. Over-elongation of centrioles in cancer promotes centriole amplification and chromosome missegregation. Nat. Commun. 2018, 9, 1258. [Google Scholar] [CrossRef] [PubMed] [Green Version]
- Monteiro, P.; Godinho, S.A. Structural Centrosomal Abnormalities Push Cells toward Invasion. Dev. Cell 2018, 45, 286–288. [Google Scholar] [CrossRef] [Green Version]
- Nigg, E.A.; Schnerch, D.; Ganier, O. Impact of Centrosome Aberrations on Chromosome Segregation and Tissue Architecture in Cancer. Cold Spring Harb. Symp. Quant. Biol. 2017, 82, 137–144. [Google Scholar] [CrossRef] [Green Version]
- Nigg, E.A.; Holland, A.J. Once and only once: Mechanisms of centriole duplication and their deregulation in disease. Nat. Rev. Mol. Cell Biol. 2018, 19, 297–312. [Google Scholar] [CrossRef]
- Braun, D.A.; Hildebrandt, F. Ciliopathies. Cold Spring Harb. Perspect. Biol. 2017, 9. pii: a028191. [Google Scholar] [CrossRef]
- Hildebrandt, F.; Benzing, T.; Katsanis, N. Ciliopathies. N. Engl. J. Med. 2011, 364, 1533–1543. [Google Scholar] [CrossRef] [Green Version]
- Gupta, A.; Kitagawa, D. Ultrastructural diversity between centrioles of eukaryotes. J. Biochem. 2018, 164, 1–8. [Google Scholar] [CrossRef]
- Riparbelli, M.G.; Dallai, R.; Callaini, G. The insect centriole: A land of discovery. Tissue Cell 2010, 42, 69–80. [Google Scholar] [CrossRef]
- Engel, M.S.; Grimaldi, D. New light shed on the oldest insect. Nature 2004, 427, 627–630. [Google Scholar] [CrossRef] [PubMed]
- Whalley, P.; Jarzembowski, E.A. A new assessment of Rhyniella, the earliest known insect, from the devonian of Rhynie, Scotland. Nature 1981, 291, 317. [Google Scholar] [CrossRef]
- Zdobnov, E.M.; Bork, P. Quantification of insect genome divergence. Trends. Genet. 2007, 23, 16–20. [Google Scholar] [CrossRef] [PubMed]
- Civetta, A.; Singh, R.S. High divergence of reproductive tract proteins and their association with postzygotic reproductive isolation in Drosophila melanogaster and Drosophila virilis group species. J. Mol. Evol. 1995, 41, 1085–1095. [Google Scholar] [CrossRef] [PubMed]
- Avidor-Reiss, T. Rapid Evolution of Sperm Produces Diverse Centriole Structures that Reveal the Most Rudimentary Structure Needed for Function. Cells 2018, 7, 67. [Google Scholar] [CrossRef] [PubMed] [Green Version]
- Bose, A.; Dalal, S.N. Centrosome Amplification and Tumorigenesis: Cause or Effect? Results Probl. Cell Differ. 2019, 67, 413–440. [Google Scholar]
- Ganem, N.J.; Godinho, S.A.; Pellman, D. A mechanism linking extra centrosomes to chromosomal instability. Nature 2009, 460, 278–282. [Google Scholar] [CrossRef] [Green Version]
- Joukov, V.; De Nicolo, A. The Centrosome and the Primary Cilium: The Yin and Yang of a Hybrid Organelle. Cells 2019, 8, 701. [Google Scholar] [CrossRef] [Green Version]
- Milunović-Jevtić, A.; Mooney, P.; Sulerud, T.; Bisht, J.; Gatlin, J.C. Centrosomal clustering contributes to chromosomal instability and cancer. Curr. Opin. Biotechnol. 2016, 40, 113–118. [Google Scholar] [CrossRef] [Green Version]
- Fırat-Karalar, E.N.; Stearns, T. The centriole duplication cycle. Philos. Trans. R. Soc. Lond. B. Biol. Sci. 2014, 369. [Google Scholar] [CrossRef] [Green Version]
- Callaini, G.; Riparbelli, M.G.; Dallai, R. Centrosome inheritance in insects: Fertilization and parthenogenesis. Biol. Cell. 1999, 91, 355–366. [Google Scholar] [CrossRef] [PubMed]
- Cenci, G.; Bonaccorsi, S.; Pisano, C.; Verni, F.; Gatti, M. Chromatin and microtubule organization during premeiotic, meiotic and early postmeiotic stages of Drosophila melanogaster spermatogenesis. J. Cell Sci. 1994, 107, 3521–3534. [Google Scholar]
- Friedländer, M.; Wahrman, J. The number of centrioles in insect sperm: A study in two kinds of differentiating silkworm spermatids. J. Morphol. 1971, 134, 383–398. [Google Scholar] [CrossRef] [PubMed]
- Fuller, M.T. Spermatogenesis in the development of Drosophila melanogaster. Ed. A. Martinez-Arias 1993, 1, 71–147. [Google Scholar]
- Fritz-Niggli, H. Meiosis and spermatid formation in non-irradiated and irradiated male germ cells in Drosophila melanogaster. Rev. Suisse Zool. Suppl. 1972, 245–265. [Google Scholar]
- Krioutchkova, M.M.; Onishchenko, G.E. Structural and functional characteristics of the centrosome in gametogenesis and early embryogenesis of animals. Int. Rev. Cytol. 1999, 185, 107–156. [Google Scholar] [PubMed]
- Reina, J.; Gonzalez, C. When fate follows age: Unequal centrosomes in asymmetric cell division. Philos. Trans. R. Soc. Lond. B Biol. Sci. 2014. [Google Scholar] [CrossRef] [PubMed] [Green Version]
- Dallai, R. Overview on spermatogenesis and sperm structure of Hexapoda. Arthropod Struct. Dev. 2014, 43, 257–290. [Google Scholar] [CrossRef]
- Da Cruz-Landim, C.; Beig, D.; De Moraes, R.L.M.S. The Process of Differentiation During Spermatogenesis in Bees (Hymenoptera, Apidae). Caryologia 1980, 33, 1–15. [Google Scholar] [CrossRef]
- Hoage, T.R.; Kessel, R.G. An electron microscope study of the process of differentiation during spermatogenesis in drone honeybee (Apis mellifera L.) with special reference to centriole replication and elimination. J. Ultrast. Res. 1968, 24, 6–32. [Google Scholar] [CrossRef]
- Fanciulli, P.P.; Gottardo, M.; Dallai, R. The spermatogenesis and oogenesis of the springtail Podura aquatica Linné 1758 (Hexapoda: Collembola). Tissue Cell 2013, 45, 211–218. [Google Scholar] [CrossRef] [PubMed]
- Feng, Z.; Caballe, A.; Wainman, A.; Johnson, S.; Haensele, A.F.M.; Cottee, M.A.; Conduit, P.T.; Lea, S.M.; Raff, J.W. Structural Basis for Mitotic Centrosome Assembly in Flies. Cell 2017, 169, 1078–1089. [Google Scholar] [CrossRef] [PubMed] [Green Version]
- Lattao, R.; Kovács, L.; Glover, D.M. The Centrioles, Centrosomes, Basal Bodies, and Cilia of Drosophila melanogaster. Genetics 2017, 206, 33–53. [Google Scholar] [CrossRef] [PubMed] [Green Version]
- Uzbekov, R.; Alieva, I. Who are you, subdistal appendages of centriole? Open Biol. 2018. [Google Scholar] [CrossRef] [PubMed] [Green Version]
- Tanos, B.E.; Yang, H.J.; Soni, R.; Wang, W.J.; Macaluso, F.P.; Asara, J.M.; Tsou, M.F. Centriole distal appendages promote membrane docking, leading to cilia initiation. Genes Dev. 2013, 27, 163–168. [Google Scholar] [CrossRef] [PubMed] [Green Version]
- Sánchez, I.; Dynlacht, B.D. Cilium assembly and disassembly. Nat. Cell Biol. 2016, 18, 711–717. [Google Scholar] [CrossRef] [PubMed] [Green Version]
- Callaini, G.; Whitfield, W.G.; Riparbelli, M.G. Centriole and centrosome dynamics during the embryonic cell cycles that follow the formation of the cellular blastoderm in Drosophila. Exp. Cell Res. 1997, 234, 183–190. [Google Scholar] [CrossRef]
- Persico, V.; Callaini, G.; Riparbelli, M.G. The Microtubule-depolymerizing kinesin-13 Klp10A is enriched in the transition zone of the ciliary structures of Drosoph. Melanogaster. Front. Cell Dev. Biol. 2019, 7, 173. [Google Scholar] [CrossRef]
- Gonzalez, C.; Tavosanis, G.; Mollinari, C. Centrosomes and microtubule organization during Drosophila development. J. Cell Sci. 1998, 111, 2697–2706. [Google Scholar]
- Conduit, P.T.; Raff, J.W. Cnn dynamics drive centrosome size asymmetry to ensure daughter centriole retention in Drosophila neuroblasts. Curr. Biol. 2010, 20, 2187–2192. [Google Scholar] [CrossRef] [Green Version]
- Januschke, J.; Llamazares, S.; Reina, J.; Gonzalez, C. Drosophila neuroblasts retain the daughter centrosome. Nat. Commun. 2011, 2, 243. [Google Scholar] [CrossRef] [PubMed]
- Yamashita, Y.M.; Jones, D.L.; Fuller, M.T. Orientation of asymmetric stem cell division by the APC tumor suppressor and centrosome. Science 2003, 301, 1547–1550. [Google Scholar] [CrossRef] [PubMed]
- Yamashita, Y.M.; Mahowald, A.P.; Perlin, J.R.; Fuller, M.T. Asymmetric inheritance of mother versus daughter centrosome in stem cell division. Science 2007, 315, 518–521. [Google Scholar] [CrossRef] [PubMed] [Green Version]
- Lerit, D.A.; Jordan, H.A.; Poulton, J.S.; Fagerstrom, C.J.; Galletta, B.J.; Peifer, M.; Rusan, N.M. Interphase centrosome organization by the PLP-Cnn scaffold is required for centrosome function. J. Cell Biol. 2015, 210, 79–97. [Google Scholar] [CrossRef] [Green Version]
- Richens, J.H.; Barros, T.P.; Lucas, E.P.; Peel, N.; Pinto, D.M.; Wainman, A.; Raff, J.W. The Drosophila Pericentrin-like-protein (PLP) cooperates with Cnn to maintain the integrity of the outer PCM. Biol. Open 2015, 4, 1052–1061. [Google Scholar] [CrossRef] [Green Version]
- Januschke, J.; Reina, J.; Llamazares, S.; Bertran, T.; Rossi, F.; Roig, J.; Gonzalez, C. Centrobin controls mother-daughter centriole asymmetry in Drosophila neuroblasts. Nat. Cell Biol. 2013, 15, 241–248. [Google Scholar] [CrossRef]
- Gottardo, M.; Pollarolo, G.; Llamazares, S.; Reina, J.; Riparbelli, M.G.; Callaini, G.; Gonzalez, C. Loss of Centrobin enables daughter centrioles to form sensory cilia in Drosophila. Curr. Biol. 2015, 25, 2319–2324. [Google Scholar] [CrossRef] [Green Version]
- Salzmann, V.; Chen, C.; Chiang, C.Y.; Tiyaboonchai, A.; Mayer, M.; Yamashita, Y.M. Centrosome-dependent asymmetric inheritance of the midbody ring in Drosophila germline stem cell division. Mol. Biol. Cell 2014, 25, 267–275. [Google Scholar] [CrossRef]
- Reina, J.; Gottardo, M.; Riparbelli, M.G.; Llamazares, S.; Callaini, G.; Gonzalez, C. Centrobin is essential for C-tubule assembly and flagellum development in Drosophila melanogaster spermatogenesis. J. Cell Biol. 2018, 201, 801032. [Google Scholar] [CrossRef]
- Gottardo, M.; Callaini, G.; Riparbelli, M.G. The cilium-like region of the Drosophila spermatocyte: An emerging flagellum? J. Cell Sci. 2013, 126, 5441–5452. [Google Scholar] [CrossRef] [Green Version]
- Riparbelli, M.G.; Callaini, G.; Megraw, T.L. Assembly and persistence of primary cilia in dividing Drosophila spermatocytes. Dev. Cell 2012, 23, 425–432. [Google Scholar] [CrossRef] [PubMed] [Green Version]
- Stevens, N.R.; Roque, H.; Raff, J.W. DSas-6 and Ana2 coassemble into tubules to promote centriole duplication and engagement. Dev. Cell 2010, 19, 913–919. [Google Scholar] [CrossRef] [PubMed] [Green Version]
- Persico, V.; Migliorini, M.; Callaini, G.; Riparbelli, M.G. The Singularity of the Drosophila Male Germ Cell Centriole: The Asymmetric Distribution of Sas4 and Sas6. Cells 2020, 9, 115. [Google Scholar] [CrossRef] [PubMed] [Green Version]
- Gottardo, M.; Callaini, G.; Riparbelli, M.G. The Drosophila centriole–conversion of doublets into triplets within the stem cell niche. J. Cell Sci. 2015, 128, 2437–2442. [Google Scholar] [CrossRef] [Green Version]
- Cunha-Ferreira, I.; Rodrigues-Martins, A.; Bento, I.; Riparbelli, M.G.; Zhang, W.; Laue, E.; Callaini, G.; Glover, D.M.; Bettencourt-Dias, M. The SCF/Slimb ubiquitin ligase limits centrosome amplification through degradation of SAK/PLK4. Curr. Biol. 2009, 19, 43–49. [Google Scholar] [CrossRef] [Green Version]
- Callaini, G.; Riparbelli, M.G. Centriole and centrosome cycle in the early Drosophila embryo. J. Cell Sci. 1990, 97, 539–543. [Google Scholar]
- Mahowald, A.P.; Strassheim, J.M. Intercellular migration of centrioles in the germarium of Drosophila melanogaster. An electron microscopic study. J. Cell Biol. 1970, 45, 306–320. [Google Scholar] [CrossRef] [Green Version]
- Callaini, G.; Riparbelli, M.G.; Dallai, R. Pole cell migration through the gut wall of the Drosophila embryo: Analysis of cell interactions. Dev. Biol. 1995, 170, 365–375. [Google Scholar] [CrossRef] [Green Version]
- Basiri, M.L.; Ha, A.; Chadha, A.; Clark, N.M.; Polyanovsky, A.; Cook, B.; Avidor-Reiss, T. A migrating ciliary gate compartmentalizes the site of axoneme assembly in Drosophila spermatids. Curr. Biol. 2014, 24, 2622–2631. [Google Scholar] [CrossRef] [Green Version]
- Jana, S.C.; Mendonça, S.; Machado, P.; Werner, S.; Rocha, J.; Pereira, A.; Maiato, H.; Bettencourt-Dias, M. Differential regulation of transition zone and centriole proteins contributes to ciliary base diversity. Nat. Cell Biol. 2018, 20, 928–941. [Google Scholar] [CrossRef] [Green Version]
- Vieillard, J.; Paschak, M.; Duteyrat, J.L.; Augière, C.; Cortier, E.; Lapart, J.A.; Thomas, J.; Durand, B. Transition zone assembly and its contribution to axoneme formation in Drosophila male germ cells. J. Cell Biol. 2016, 214, 875–889. [Google Scholar] [CrossRef] [Green Version]
- Phillips, D.M. Insect sperm: Their structure and morphogenesis. J. Cell Biol. 1970, 44, 243–277. [Google Scholar] [CrossRef] [PubMed] [Green Version]
- Phillips, D.M. Structural variants in invertebrate sperm flagella and their relation to motility. In Cilia and Flagella; Sleigh, M.A., Ed.; Academic Press: London, UK, 1974; pp. 379–402. [Google Scholar]
- Gottardo, M.; Persico, V.; Callaini, G.; Riparbelli, M.G. The “transition zone” of the cilium-like regions in the Drosophila spermatocytes and the role of the C-tubule in axoneme assembly. Exp. Cell Res. 2018, 371, 262–268. [Google Scholar] [CrossRef]
- Dallai, R.; Mercati, D.; Carapelli, A.; Nardi, F.; Machida, R.; Sekiya, K.; Frati, F. Sperm accessory microtubules suggest the placement of Diplura as the sister-group of Insecta s.s. Arthropod Struct. Dev. 2011, 40, 77–92. [Google Scholar] [CrossRef]
- Dallai, R.; Mercati, D.; Lino-Neto, J.; Dias, G.; Lupetti, P. Evidence of a procentriole during spermiogenesis in the coccinellid insect Adalia decempunctata (L): An ultrastructural study. Arthropod Struct. Dev. 2017, 46, 815–823. [Google Scholar] [CrossRef] [PubMed]
- Friedlander, M. The sperm centriole persists during early egg cleavage in the insect Chrysopa carnea (Neuroptera, Chrysopidae). J. Cell Sci. 1980, 42, 221–226. [Google Scholar] [PubMed]
- Uzbekov, R.; Garanina, A.; Bressac, C. Centrioles without microtubules: A new morphological type of centriole. Biol. Open. 2018, 7. [Google Scholar] [CrossRef] [Green Version]
- Dallai, R.; Lupetti, P.; Mencarelli, C. Unusual axonemes of hexapod spermatozoa. Int. Rev. Cytol. 2006, 254, 45–99. [Google Scholar]
- Mencarelli, C.; Lupetti, P.; Rosetto, M.; Dallai, R. Morphogenesis of the giant sperm axoneme in Asphondylia ruebsaameni Kertesz (Diptera, Cecidomyiidae). Tissue Cell 2000, 32, 188–197. [Google Scholar] [CrossRef]
- Phillips, D.M. Giant centriole formation in Sciara. J. Cell Biol. 1967, 33, 73–92. [Google Scholar] [CrossRef] [Green Version]
- Riparbelli, M.G.; Dallai, R.; Mercati, D.; Bu, Y.; Callaini, G. Centriole symmetry: A big tale from small organisms. Cell. Motil. Cytoskeleton. 2009, 66, 1100–1105. [Google Scholar] [CrossRef] [PubMed]
- Gönczy, P. Towards a molecular architecture of centriole assembly. Nat. Rev. Mol. Cell Biol. 2012, 13, 425–435. [Google Scholar] [CrossRef] [PubMed]
- Gönczy, P.; Hatzopoulos, G.N. Centriole assembly at a glance. J. Cell Sci. 2019, 132. pii: jcs228833. [Google Scholar]
- Guichard, P.; Hamel, V.; Gönczy, P. The Rise of the Cartwheel: Seeding the Centriole Organelle. Bioessays 2018, 40, e1700241. [Google Scholar] [CrossRef]
- Hilbert, M.; Noga, A.; Frey, D.; Hamel, V.; Guichard, P.; Kraatz, S.H.; Pfreundschuh, M.; Hosner, S.; Flückiger, I.; Jaussi, R.; et al. SAS-6 engineering reveals interdependence between cartwheel and microtubules in determining centriole architecture. Nat. Cell Biol. 2016, 18, 393–403. [Google Scholar] [CrossRef] [Green Version]
- Hirono, M. Cartwheel assembly. Philos. Trans. R. Soc. Lond. B. Biol. Sci. 2014, 369. [Google Scholar] [CrossRef] [Green Version]
- Kitagawa, D.; Vakonakis, I.; Olieric, N.; Hilbert, M.; Keller, D.; Olieric, V.; Bortfeld, M.; Erat, M.C.; Flückiger, I.; Gönczy, P.; et al. Structural basis of the 9-fold symmetry of centrioles. Cell 2011, 144, 364–375. [Google Scholar] [CrossRef] [Green Version]
- Fong, C.Y.; Kim, M.; Yang, T.T.; Liao, J.C.; Tsou, M.F.B. SAS-6 assembly templated by the lumen of cartwheel-less centrioles precedes centriole duplication. Dev. Cell 2014, 30, 238–245. [Google Scholar] [CrossRef] [Green Version]
- Breslow, D.K.; Holland, A.J. Mechanism and Regulation of Centriole and Cilium Biogenesis. Annu. Rev. Biochem. 2019, 88, 691–724. [Google Scholar] [CrossRef]
- Wong, C.; Stearns, T. Centrosome number is controlled by a centrosome-intrinsic block to reduplication. Nat. Cell Biol. 2003, 5, 539–544. [Google Scholar] [CrossRef]
- Tsou, M.F.; Stearns, T. Mechanism limiting centrosome duplication to once per cell cycle. Nature 2006, 442, 947–951. [Google Scholar] [CrossRef] [PubMed]
- Yamashiki, N.; Kawamura, N. Behavior of centrioles during meiosis in the male silkworm, Bombyx mori (Lepidoptera). Dev. Growth Differ. 1998, 40, 619–630. [Google Scholar] [CrossRef] [PubMed]
- Wolf, K.W.; Kyburg, J. The restructuring of the flagellar base and the flagellar necklace during spermatogenesis of Ephestia kuehniella Z. (Pyralidae, Lepidoptera). Cell Tissue Res. 1989, 256, 77–86. [Google Scholar] [CrossRef]
- Gottardo, M.; Callaini, G.; Riparbelli, M.G. Procentriole assembly without centriole disengagement–a paradox of male gametogenesis. J. Cell Sci. 2014, 127, 3434–3439. [Google Scholar] [CrossRef] [Green Version]
- Loncarek, J.; Hergert, P.; Magidson, V.; Khodjakov, A. Control of daughter centriole formation by the pericentriolar material. Nat. Cell Biol. 2008, 10, 322–328. [Google Scholar] [CrossRef]
- Sluder, G.; Khodjakov, A. Centriole duplication: Analogue control in a digital age. Cell Biol. Int. 2010, 34, 1239–1245. [Google Scholar] [CrossRef] [Green Version]
- Kim, M.; O’Rourke, B.P.; Soni, R.K.; Jallepalli, P.V.; Hendrickson, R.C.; Tsou, M.F. Promotion and Suppression of Centriole Duplication Are Catalytically Coupled through PLK4 to Ensure Centriole Homeostasis. Cell Rep. 2016, 16, 1195–1203. [Google Scholar] [CrossRef] [Green Version]
- Stevens, N.R.; Dobbelaere, J.; Brunk, K.; Franz, A.; Raff, J.W. Drosophila Ana2 is a conserved centriole duplication factor. J. Cell Biol. 2010, 188, 313–323. [Google Scholar] [CrossRef] [Green Version]
- Riparbelli, M.G.; Gottardo, M.; Glover, D.M.; Callaini, G. Inhibition of Polo kinase by BI2536 affects centriole separation during Drosophila male meiosis. Cell Cycle 2014, 13, 2064–2072. [Google Scholar] [CrossRef] [Green Version]
- Shukla, A.; Kong, D.; Sharma, M.; Magidson, V.; Loncarek, J. Plk1 relieves centriole block to reduplication by promoting daughter centriole maturation. Nat. Commun. 2015, 6, 8077. [Google Scholar] [CrossRef] [Green Version]
- Gottardo, M.; Callaini, G.; Riparbelli, M.G. Structural characterization of procentrioles in Drosophila spermatids. Cytoskelet. 2015, 72, 576–584. [Google Scholar] [CrossRef] [PubMed]
- Khire, A.; Jo, K.H.; Kong, D.; Akhshi, T.; Blachon, S.; Cekic, A.R.; Hynek, S.; Ha, A.; Loncarek, J.; Mennella, V.; et al. Centriole Remodeling during Spermiogenesis in Drosophila. Curr. Biol. 2016, 26, 3183–3189. [Google Scholar] [CrossRef] [PubMed] [Green Version]
- Blachon, S.; Cai, X.; Roberts, K.A.; Yang, K.; Polyanovsky, A.; Church, A.; Avidor-Reiss, T. A proximal centriole-like structure is present in Drosophila spermatids and can serve as a model to study centriole duplication. Genetics 2009, 182, 133–144. [Google Scholar] [CrossRef] [PubMed] [Green Version]
- Mottier-Pavie, V.; Megraw, T.L. Drosophila bld10 is a centriolar protein that regulates centriole, basal body, and motile cilium assembly. Mol. Biol. Cell 2009, 20, 2605–2614. [Google Scholar] [CrossRef] [PubMed] [Green Version]
- Baccetti, B.; Dallai, R. The spermatozoon of Arthropoda. XXX. The multiflagellate spermatozoon in the termite Mastotermes darwiniensis. J. Cell. Biol. 1978, 76, 569–576. [Google Scholar] [CrossRef] [PubMed] [Green Version]
- Riparbelli, M.G.; Callaini, G.; Mercati, D.; Hertel, H.; Dallai, R. Centrioles to basal bodies in the spermiogenesis of Mastotermes darwiniensis (Insecta, Isopoda). Cell. Motil. Cytoskelet. 2009, 66, 1100–1105. [Google Scholar] [CrossRef] [PubMed]
- Myles, D.G. An ultrastructural study of the spermatozoid of the fern, Marsilea vestita. J. Cell Sci. 1975, 17, 633–645. [Google Scholar]
- Vaughn, K.C.; Renzaglia, K.S. Structural and immunocytochemical characterization of the Ginkgo biloba L. sperm motility apparatus. Protoplasma 2006, 227, 165–173. [Google Scholar] [CrossRef]
- Healy, J.M.; Jamieson, B.G.M. An ultrastructural examination of developing and mature paraspermatozoa in Pyrazus ebeninus (Mollusca, Gastropoda, Potamididae). Zoomorphology 1981, 98, 101–119. [Google Scholar] [CrossRef]
- Ferraguti, M.; Fascio, U.; Boi, S. Mass production of basal bodies in paraspermiogenesis of Tubificinae (Annelida, Oligochaeta). Biol. Cell 2002, 94, 109–115. [Google Scholar] [CrossRef] [Green Version]
- Al Jord, A.; Lemaître, A.I.; Delgehyr, N.; Faucourt, M.; Spassky, N.; Meunier, A. Centriole amplification by mother and daughter centrioles differs in multiciliated cells. Nature 2014, 516, 104–107. [Google Scholar] [CrossRef] [PubMed]
- Nanjundappa, R.; Kong, D.; Shim, K.; Stearns, T.; Brody, S.L.; Loncarek, J.; Mahjoub, M.R. Regulation of cilia abundance in multiciliated cells. Elife 2019, 26. [Google Scholar] [CrossRef] [PubMed]
- Zhao, H.; Chen, Q.; Fang, C.; Huang, Q.; Zhou, J.; Yan, X.; Zhu, X. Parental centrioles are dispensable for deuterosome formation and function during basal body amplification. EMBO Rep. 2019, 20. [Google Scholar] [CrossRef] [PubMed]
- Mercey, O.; Levine, M.S.; LoMastro, G.M.; Rostaing, P.; Brotslaw, E.; Gomez, V.; Kumar, A.; Spassky, N.; Mitchell, B.J.; Meunier, A.; et al. Massive centriole production can occur in the absence of deuterosomes in multiciliated cells. Nat. Cell Biol. 2019, 21, 1544–1552. [Google Scholar] [CrossRef]
- Keil, T.A. Sensory cilia in arthropods. Arthropod Struct. Dev. 2012, 41, 515–534. [Google Scholar] [CrossRef]
- Yack, J.E. The structure and function of auditory chordotonal organs in Insects. Microsc. Res. Tech. 2004, 63, 315–337. [Google Scholar] [CrossRef]
- Quennedey, A. Insect Epidermal Gland Cells: Ultrastructure and Morphogenesis. In Microscopic Anatomy of Invertebrates; Harrison, F.W., Locke, M., Eds.; Wiley-Liss: New York, NY, USA, 1998; pp. 177–207. [Google Scholar]
- Sreng, L.; Quennedey, A. Role of a temporary ciliary structure in the morphogenesis of insect glands. An electron microscope study of the tergal glands of male Blattella germanica L. (Dictyoptera, Blattellidae). J. Ultrastruct. Res. 1976, 56, 78–95. [Google Scholar] [CrossRef]
- Han, Y.G.; Kwok, B.H.; Kernan, M.J. Intraflagellar transport is required in Drosophila to differentiate sensory cilia but not sperm. Curr. Biol. 2003, 13, 1679–1686. [Google Scholar] [CrossRef] [Green Version]
- Sarpal, R.; Todi, S.V.; Sivan-Loukianova, E.; Shirolikar, S.; Subramanian, N.; Raff, E.C.; Erickson, J.W.; Ray, K.; Eberl, D.F. Drosophila KAP interacts with the kinesin II motor subunit KLP64D to assemble chordotonal sensory cilia, but not sperm tails. Curr. Biol. 2003, 13, 1687–1696. [Google Scholar] [CrossRef] [Green Version]
- Avidor-Reiss, T.; Leroux, M.R. Shared and distinct mechanisms of compartmentalized and cytosolic ciliogenesis. Curr. Biol. 2015, 25, R1143–R1150. [Google Scholar] [CrossRef] [Green Version]
- Pratt, M.B.; Titlow, J.S.; Davis, I.; Barker, A.R.; Dawe, H.R.; Raff, J.W.; Roque, H. Drosophila sensory cilia lacking MKS proteins exhibit striking defects in development but only subtle defects in adults. J. Cell Sci. 2016, 129, 3732–3743. [Google Scholar] [CrossRef] [PubMed] [Green Version]
- Fritz-Niggli, H.; Suda, T. Bildung und Bedeutung der Zentriolen: Eine Studie und Neuinterpretation der Meiose von Drosophila. [formation and significance of centrioles: A study and new interpretation of the meiosis of Drosophila]. Cytobiologie 1972, 5, 12–41. [Google Scholar]
- Tates, A.D. Cytodifferentiation during Spermatogenesis in Drosophila melanogaster: An Electron Microscopy Study. Ph.D. Thesis, Rijksunivrsiteit de Leiden, Leiden, The Netherlands, 1971. [Google Scholar]
- LaFountain, J.R., Jr. Analysis of birefringence and ultrastructure of spindles in primary spermatocytes of Nephrotoma suturalis during anaphase. J. Ultrastruct. Res. 1976, 54, 333–346. [Google Scholar] [CrossRef]
- Klein, C.; Wolf, K.W. Spermatocytes of the caddisfly Potamophylax rotundipennis (Trichoptera, Insecta): A fine structure study with emphasis on synaptonemal complex plates associated with chromatin. Tissue Cell 1997, 29, 283–291. [Google Scholar] [CrossRef]
- Friedlander, M.; Wahrman, J. The spindle as a basal body distributor. A study in the meiosis of the male silkworm moth, Bombyx mori. J. Cell Sci. 1970, 7, 65–89. [Google Scholar]
- Henneguy, L.F. Sur les rapports des cils vibratiles avec les centrosomes. Arch. Anat. Microsc. 1898, 1, 481–496. [Google Scholar]
- Meves, F. Ueber oligopyrene und apyrene Spermien und uber ihre Entstehung, nach Beobachtungen an Paludina und Pygaera. Arch. Mikrosk. Anat. 1903, 61, 1–84. [Google Scholar] [CrossRef]
- Bloodgood, R.A. From central to rudimentary to primary: The history of an underappreciated organelle whose time has come. The primary cilium. Methods Cell Biol. 2009, 94, 3–52. [Google Scholar]
- Kim, S.; Tsiokas, L. Cilia and cell cycle re-entry: More than a coincidence. Cell Cycle 2011, 10, 2683–2690. [Google Scholar] [CrossRef] [Green Version]
- Kobayashi, T.; Dynlacht, B.D. Regulating the transition from centriole to basal body. J. Cell Biol. 2011, 193, 435–444. [Google Scholar] [CrossRef] [Green Version]
- Gonçalves, J.; Pelletier, L. The ciliary transition zone: Finding the pieces and assembling the gate. Mol. Cells 2017, 40, 243–253. [Google Scholar] [CrossRef] [Green Version]
- Witman, G.B. Cell motility: Deaf Drosophila keep the beat. Curr. Biol. 2003, 13, R796–R798. [Google Scholar] [CrossRef] [PubMed] [Green Version]
- Godula, J. Quadriflagellar primary spermatocytes in the cotton leafworm, Spodoptera littoralis (Boisd.) (Noctuidae, Lepidoptera). Cell. Tissue Res. 1985, 242, 681–683. [Google Scholar] [CrossRef]
- Wolf, K.W.; Traut, W. Ultrastruture of distal flagellar swellings in spermatocytes and spermatids of Ephestia kuehniella Z. (Pyralidae, Lepidoptera). Cell Tissue Res. 1987, 250, 421–424. [Google Scholar] [CrossRef]
- Alieva, I.; Staub, C.; Uzbekova, S.; Uzbekov, R. Flagella and Cilia Types, Structure and Functions; Uzbekov, R., Ed.; Nova Science Publishers, Inc.: New York, NY, USA, 2018; pp. 109–126. [Google Scholar]
- Fishman, E.L.; Jo, K.; Nguyen, Q.P.H.; Kong, D.; Royfman, R.; Cekic, A.R.; Khanal, S.; Miller, A.; Simerly, C.; Schatten, G.; et al. A novel atypical sperm centriole is functional during human fertilization. Nat. Commun. 2018, 9, 2210. [Google Scholar] [CrossRef]
- Normark, B.B. The evolution of alternative genetic systems in insects. Annu. Rev. Entomol. 2003, 48, 397–423. [Google Scholar] [CrossRef]
- Paoli, F.; Gottardo, M.; Dallai, R.; Roversi, P.F. Morphology of the male reproductive system and sperm ultrastructure of the egg parasitoid Gryon pennsylvanicum (Ashmead) (Hymenoptera, Platygastridae). Arthropod Struct. Dev. 2013, 42, 297–308. [Google Scholar] [CrossRef]
- Baccetti, B.; Dallai, R.; Rosati, F.; Giusti, F.; Bernini, F.; Selmi, G. The spermatozoon of Arthropoda. XXVI. The spermtozoon of Isoptera, Embioptera and Dermaptera. J. Microsc. 1974, 21, 159–172. [Google Scholar]
- Baccetti, R.; Dallai, R.; Callaini, C. The spermatozoon of Arthropoda: Zootermopsis nevadensis and isopteran sperm phylogeny. Int. J. Invert. Reprod. 1981, 3, 87–99. [Google Scholar] [CrossRef]
- Dallai, R.; Afzelius, B.A. Sperm structure in Trichoptera. II. The aflagellate spermatozoa of Hydroptila, Orthotrichia and Stactobia (Hydroptilidae). Int. J. Insect Morphol. Embryol. 1995, 24, 161–170. [Google Scholar] [CrossRef]
- Baccetti, B.; Dallai, R.; Rosati, F. The spermatozoon of Arthropoda. IV.; Corrodentia, Mallophaga and Thysanoptera. J. Microsc. 1969, 8, 249–262. [Google Scholar]
- King, P.E.; Ahmed, K.S. Sperm structure in Psocoptera. Acta Zool. 1989, 70, 57–61. [Google Scholar] [CrossRef]
- Dallai, R.; Mazzini, M. The spermatozoon of the gall-midge Oligotrophidi (Diptera, Cecidomyiidae). Boll. Zool. 1989, 56, 13–27. [Google Scholar] [CrossRef] [Green Version]
- Paccagnini, E.; Mencarelli, C.; Mercati, D.; Afzelius, B.A.; Dallai, R. Ultrastructural analysis of the aberrant axoneme morphogenesis in thrips (Thysanoptera, Insecta). Cell Motil. Cytoskelet. 2007, 64, 645–661. [Google Scholar] [CrossRef] [PubMed]
- Paccagnini, E.; Mercati, D.; Giusti, F.; Conti, B.; Dallai, R. The spermatogenesis and the sperm structure of Terebrantia (Thysanoptera, Insecta). Tissue Cell 2010, 42, 247–258. [Google Scholar] [CrossRef] [PubMed]
- Friedländer, M.; Morse, J.C. The aberrant spermatozoa of Hydropsychidae caddisflies (Trichoptera): An electron microscope analysis on spermiogenesis. J. Ultrastruct. Res. 1982, 78, 84–94. [Google Scholar] [CrossRef]
- Paoli, F.; Roversi, P.F.; Gottardo, M.; Callaini, G.; Mercati, D.; Dallai, R. A microtubule organizing centre (MTOC) is responsible for the production of the sperm flagellum in Matsucoccus feytaudi (Hemiptera: Coccoidea). Arthropod Struct. Dev. 2015, 44, 237–242. [Google Scholar] [CrossRef]
- Lu, Y.; Roy, R. Centrosome/cell cycle uncoupling and elimination in the endoreduplicating intestinal cells of C. elegans. PLoS ONE 2014, 9, e110958. [Google Scholar] [CrossRef] [Green Version]
- Mahowald, A.P.; Caulton, J.H.; Edwards, M.K.; Floyd, A.D. Loss of centrioles and polyploidization in follicle cells of Drosophila melanogaster. Exp. Cell Res. 1979, 118, 404–410. [Google Scholar] [CrossRef]
- Riparbelli, M.G.; Colozza, G.; Callaini, G. Procentriole elongation and recruitment of pericentriolar material are downregulated in cyst cells as they enter quiescence. J. Cell Sci. 2009, 122, 3613–3618. [Google Scholar] [CrossRef] [Green Version]
- Zebrowski, D.C.; Vergarajauregui, S.; Wu, C.C.; Piatkowski, T.; Becker, R.; Leone, M.; Hirth, S.; Ricciardi, F.; Falk, N.; Giessl, A.; et al. Developmental alterations in centrosome integrity contribute to the post-mitotic state of mammalian cardiomyocytes. Elife 2015, 6, 4. [Google Scholar] [CrossRef] [PubMed]
- Manandhar, G.; Schatten, H.; Sutovsky, P. Centrosome reduction during gametogenesis and its significance. Biol. Reprod. 2005, 72, 2–13. [Google Scholar] [PubMed]
- Mikeladze-Dvali, T.; von Tobel, L.; Strnad, P.; Knott, G.; Leonhardt, H.; Schermelleh, L.; Gönczy, P. Analysis of centriole elimination during C. elegans oogenesis. Dev. 2012, 139, 1670–1679. [Google Scholar]
- Pimenta-Marques, A.; Bento, I.; Lopes, C.A.; Duarte, P.; Jana, S.C.; Bettencourt-Dias, M. A mechanism for the elimination of the female gamete centrosome in Drosophila melanogaster. Science 2016, 353, aaf4866. [Google Scholar] [CrossRef] [PubMed] [Green Version]
- Ross, L.; Normark, B.B. Evolutionary problems in centrosome and centriole biology. J. Evol. Biol. 2015, 28, 995–1004. [Google Scholar]
- Delattre, M.; Gönczy, P. The arithmetic of centrosome biogenesis. J. Cell Sci. 2004, 117, 1619–1630. [Google Scholar] [CrossRef] [Green Version]
- Schatten, G. The centrosome and its mode of inheritance: The reduction of the centrosome during gametogenesis and its restoration during fertilization. Dev. Biol. 1994, 165, 299–335. [Google Scholar]
- Karr, T.L. Intracellular sperm/egg interaction in Drosophila: A three dimensional structural analysis of a paternal product in the developing egg. Mech. Dev. 1991, 34, 101–111. [Google Scholar] [CrossRef]
- Pitnick, S.; Karr, T.L. Paternal products and by-products in Drosophila development. Proc. Biol. Sci. 1998, 265, 821–826. [Google Scholar] [CrossRef] [Green Version]
- Loppin, B.; Dubruille, R.; Horard, B. The intimate genetics of Drosophila fertilization. Open Biol. 2015, 5. [Google Scholar] [CrossRef] [Green Version]
- Riparbelli, M.G.; Callaini, G. Detachment of the basal body from the sperm tail is not required to organize functional centrosomes during Drosophila embryogenesis. Cytoskelet 2010, 67, 251–258. [Google Scholar]
- Varmark, H.; Llamazares, S.; Rebollo, E.; Lange, B.; Reina, J.; Schwarz, H.; Gonzalez, C. Asterless is a centriolar protein required for centrosome function and embryo development in Drosophila. Curr. Biol. 2007, 17, 1735–1745. [Google Scholar] [CrossRef] [PubMed] [Green Version]
- Avidor-Reiss, T.; Khire, A.; Fishman, E.L.; Jo, K.H. Atypical centrioles during sexual reproduction. Front. Cell Dev. Biol. 2015, 3, 21. [Google Scholar] [CrossRef] [Green Version]
- Sun, Q.Y.; Schatten, H. Centrosome inheritance after fertilization and nuclear transfer in mammals. Adv. Exp. Med. Biol. 2007, 591, 58–71. [Google Scholar] [PubMed]
- Khire, A.; Vizuet, A.A.; Davila, E.; Avidor-Reiss, T. Asterless reduction during spermiogenesis is regulated by Plk4 and is essential for zygote development in Drosophila. Curr. Biol. 2015, 25, 2956–2963. [Google Scholar] [CrossRef] [PubMed] [Green Version]
- Pearson, C.G.; Osborn, D.P.; Giddings, T.H., Jr.; Beales, P.L.; Winey, M. Basal body stability and ciliogenesis requires the conserved component Poc1. J. Cell Biol. 2009, 187, 905–920. [Google Scholar] [CrossRef] [Green Version]
- Calarco-Gillam, P.D.; Siebert, M.C.; Hubble, R.; Mitchison, T.; Kirschner, M. Centrosome development in early mouse embryos as defined by an autoantibody against pericentriolar material. Cell 1983, 35, 621–629. [Google Scholar] [CrossRef]
- Baccetti, B.; Afzelius, B.A. The biology of the sperm cell. Monogr. Dev. Biol. 1976, 10, 1–254. [Google Scholar]
- Blachon, S.; Khire, A.; Avidor-Reiss, T. The origin of the second centriole in the zygote of Drosophila melanogaster. Genetics 2014, 197, 199–205. [Google Scholar] [CrossRef] [Green Version]
- Jo, K.H.; Jaiswal, A.; Khanal, S.; Fishman, E.L.; Curry, A.N.; Avidor-Reiss, T. Poc1B and Sas-6 Function Together during the Atypical Centriole Formation in Drosophila melanogaster. Cells 2019, 8, 841. [Google Scholar] [CrossRef] [Green Version]
- Phillips. D.M. Fine structure of Sciara coprophila sperm. J. Cell Biol. 1966, 30, 499–517.
- Baccetti, B.; Dallai, R.; Fratello, B. The spermatozoon of arthropoda. XXII. The 12+0’, 14+0’ or aflagellate sperm of protura. J. Cell Sci. 1973, 13, 321–335. [Google Scholar] [PubMed]
- Gaino, E.; Mazzini, M. Aflagellate sperm in three species of Leptophlebiidae (Ephemeroptera). Int. J. Insect Morphol. Embryol. 1991, 20, 119–125. [Google Scholar] [CrossRef]
- Baccetti, B.; Dallai, R. The spermatozoon of Arthropoda. XXIX. The degenerated axoneme and branched acrosome of Aleyrodids. J. Ultrastruct. Res. 1977, 61, 260–270. [Google Scholar] [CrossRef]
- Bào, S.N.; Eillot, W.; Kitajima, E.W.; Callaini, G.; Lupetti, P.; Dallai, R. Spermiogenesis in Three Species of Whitefly (Homoptera, Aleyrodidae). Acta Zool 1997, 78, 163–170. [Google Scholar] [CrossRef]
- Baccetti, B.; Dallai, R.; Burrini, A.G. The spermatozoon of Arthropoda. XVIII. The non-motile bifurcated sperm of Psychodidae flies. J. Cell Sci. 1973, 12, 287–311. [Google Scholar]
- Riparbelli, M.G.; Tagu, D.; Bonhomme, J.; Callaini, G. Aster self-organization at meiosis: a conserved mechanism in insect parthenogenesis? Dev. Biol. 2005, 278, 220–230. [Google Scholar] [CrossRef] [Green Version]
- Riparbelli, M.G.; Gottardo, M.; Callaini, G. Parthenogenesis in Insects: The Centriole Renaissance. Results Probl. Cell Differ. 2017, 63, 435–479. [Google Scholar]
- Snook, R.R.; Hosken, D.J.; Karr, T.L. The biology and evolution of polyspermy: Insights from cellular and functional studies of sperm and centrosomal behavior in the fertilized egg. Reproduction 2011, 142, 779–792. [Google Scholar] [CrossRef] [Green Version]
- Callaini, G.; Riparbelli, M.G. Fertilization in Drosophila melanogaster: Centrosome inheritance and organization of the first mitotic spindle. Dev. Biol. 1996, 176, 199–208. [Google Scholar] [CrossRef] [Green Version]
- Snook, R.R.; Karr, T.L. Only long sperm are fertilization-competent in six sperm-heteromorphic Drosophila species. Curr. Biol. 1998, 8, 291–294. [Google Scholar] [CrossRef] [Green Version]
- Dallai, R. An overview of atypical spermatozoa in insects. In The Spermatozoon; Fawcett, D.W., Bedford, J.M., Eds.; Urban Schawarzenberg: Baltimore, MD, USA, 1979; pp. 253–265. [Google Scholar]
- Baccetti, B.; Burrini, A.G.; Dallai, R.; Pallini, V. A motile system of singlet microtubules in spermatozoa. Cell Motil. Cytoskelet. 1982, 2, 93–101. [Google Scholar] [CrossRef]
- Carvalho-Santos, Z.; Azimzadeh, J.; Pereira-Leal, J.B.; Bettencourt-Dias, M. Tracing the origins of centrioles, cilia, and flagella. J. Cell Biol. 2011, 194, 165–175. [Google Scholar] [CrossRef] [Green Version]
- Jékely, G.; Arendt, D. Evolution of intraflagellar transport from coated vesicles and autogenous origin of the eukaryotic cilium. Bioessays 2006, 28, 191–198. [Google Scholar] [CrossRef]
- Mitchell, D.R. Speculations on the evolution of 9+2 organelles and the role of central pair microtubules. Biol. Cell. 2004, 96, 691–696. [Google Scholar] [CrossRef] [Green Version]
- Satir, P.; Mitchell, D.R.; Jékely, G. How did the cilium evolve? Curr. Top. Dev. Biol. 2008, 85, 63–82. [Google Scholar] [PubMed]










© 2020 by the authors. Licensee MDPI, Basel, Switzerland. This article is an open access article distributed under the terms and conditions of the Creative Commons Attribution (CC BY) license (http://creativecommons.org/licenses/by/4.0/).
Share and Cite
Riparbelli, M.G.; Persico, V.; Dallai, R.; Callaini, G. Centrioles and Ciliary Structures during Male Gametogenesis in Hexapoda: Discovery of New Models. Cells 2020, 9, 744. https://doi.org/10.3390/cells9030744
Riparbelli MG, Persico V, Dallai R, Callaini G. Centrioles and Ciliary Structures during Male Gametogenesis in Hexapoda: Discovery of New Models. Cells. 2020; 9(3):744. https://doi.org/10.3390/cells9030744
Chicago/Turabian StyleRiparbelli, Maria Giovanna, Veronica Persico, Romano Dallai, and Giuliano Callaini. 2020. "Centrioles and Ciliary Structures during Male Gametogenesis in Hexapoda: Discovery of New Models" Cells 9, no. 3: 744. https://doi.org/10.3390/cells9030744
APA StyleRiparbelli, M. G., Persico, V., Dallai, R., & Callaini, G. (2020). Centrioles and Ciliary Structures during Male Gametogenesis in Hexapoda: Discovery of New Models. Cells, 9(3), 744. https://doi.org/10.3390/cells9030744
