Acute Ischemic Stroke at High Altitudes in China: Early Onset and Severe Manifestations
Abstract
1. Introduction
2. Materials and Methods
2.1. Geographical Background
2.2. Study Population
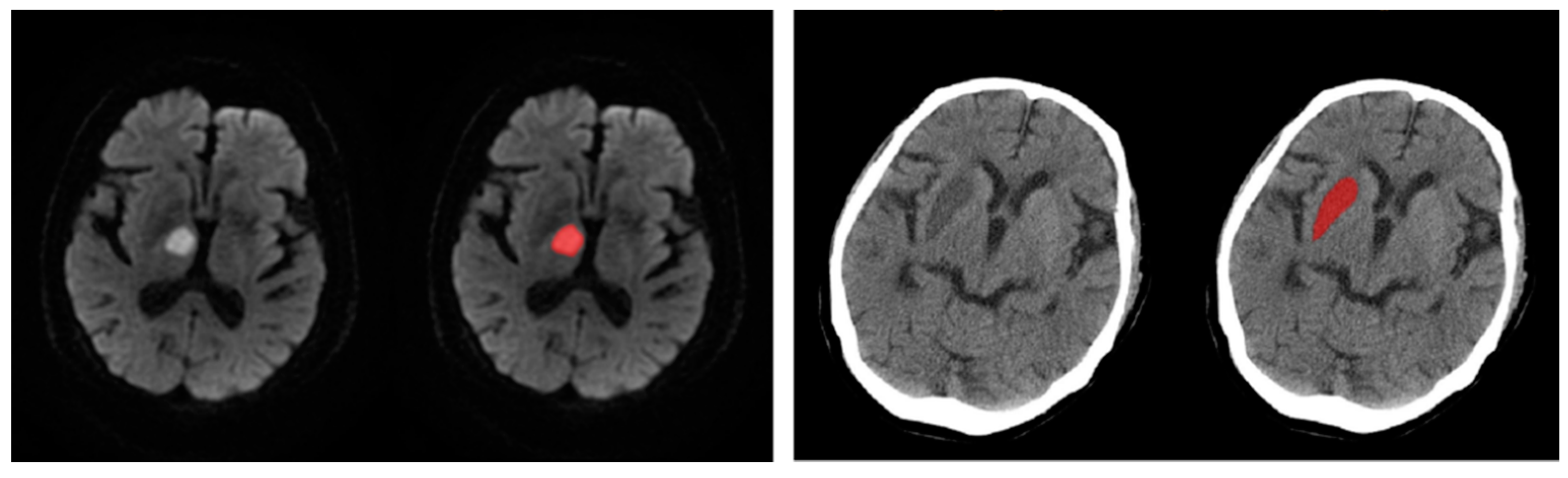
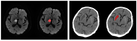
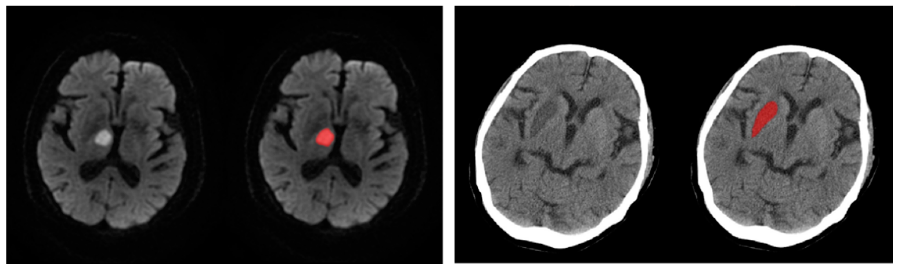
2.3. Imaging Processing
2.4. Risk Factors Analysis
2.5. Statistical Analysis
3. Results
3.1. Demographic Information
3.2. Vital Signs
3.3. Infarct Volume
3.4. NIHSS Score
3.5. Risk Factors Analysis
4. Discussion
5. Conclusions
Author Contributions
Funding
Institutional Review Board Statement
Informed Consent Statement
Data Availability Statement
Acknowledgments
Conflicts of Interest
Appendix A
| p Value of Three Groups Comparison | p Value of Pairwise Comparison | |||
|---|---|---|---|---|
| Penglai vs. Huzhu | Penglai vs. Yushu | Huzhu vs. Yushu | ||
| Total | - | |||
| Gender | ||||
| Male (%) | 0.140 | - | - | - |
| Female (%) | ||||
| Age (years) | <0.001 | <0.001 | 0.048 | 1.000 |
| Race | ||||
| Han (%) | <0.001 | <0.001 | <0.001 | <0.001 |
| Tibetan (%) | <0.001 | <0.001 | <0.001 | <0.001 |
| Tu (%) | <0.001 | <0.001 | 0.095 | 0.015 |
| p Value of Three Groups Comparison | p Value of Pairwise Comparison | |||
|---|---|---|---|---|
| Penglai vs. Huzhu | Penglai vs. Yushu | Huzhu vs. Yushu | ||
| Respiratory rate (times/minute) | <0.001 | 0.319 | <0.001 | <0.001 |
| Heart rate (beats/minute) | <0.001 | 0.017 | <0.001 | <0.001 |
| Body Temperature (°C) | <0.001 | 0.047 | <0.001 | 0.004 |
| p Value of Three Groups Comparison | p Value of Pairwise Comparison | |||
|---|---|---|---|---|
| Penglai vs. Huzhu | Penglai vs. Yushu | Huzhu vs. Yushu | ||
| Total | <0.001 | 0.135 | <0.001 | 0.001 |
| Lacunar stroke | <0.001 | 0.091 | <0.001 | 0.108 |
| Non-lacunar stroke | <0.001 | 0.010 | <0.001 | 0.001 |
| p Value of Three Groups Comparison | p Value of Pairwise Comparison | |||
|---|---|---|---|---|
| Penglai vs. Huzhu | Penglai vs. Yushu | Huzhu vs. Yushu | ||
| NIHSS score | 0.483 | - | - | - 0.228 |
| Disturbance of consciousness | <0.001 | 0.003 | <0.001 | |
| Gaze | 0.955 | - | - | - |
| Vision | 0.004 | 0.003 | 1.000 | 0.047 |
| Facial paralysis | <0.001 | <0.001 | <0.001 | 0.017 |
| Limb paralysis | 0.169 | - | - | - |
| Ataxia | 0.027 | 0.792 | 0.007 | 0.015 |
| Dysesthesia | 0.093 | - | - | - |
| Aphasia | 0.085 | - | - | - |
| Dysarthria | <0.001 | 0.001 | 0.016 | 0.852 |
| Neglect | <0.001 | <0.001 | 0.317 | 0.137 |
| p Value of Three Groups Comparison | p Value of Pairwise Comparison | |||
|---|---|---|---|---|
| Penglai vs. Huzhu | Penglai vs. Yushu | Huzhu Vs. Yushu | ||
| Hypertension[n(%)] | 0.153 | - | - | - 0.817 |
| Systolic pressure(mmHg) | <0.001 | <0.001 | 0.010 | |
| Diastolic pressure(mmHg) | 0.016 | 0.167 | 0.056 | 1.000 |
| Mean arterial pressure(mmHg) | 0.393 | - | - | - |
| Pulse pressure(mmHg) | <0.001 | <0.001 | <0.001 | 0.763 |
| Diabetes mellitus[n(%)] | <0.001 | 0.008 | <0.001 | 0.142 |
| Glucose level(mmol/L) | <0.001 | <0.001 | 1.000 | 0.001 |
| Coronary heart disease[n(%)] | <0.001 | <0.001 | 0.365 | 0.014 |
| Hyperlipidemia[n(%)] | 0.031 | 0.381 | 0.001 | 0.078 |
| Hypertriglyceridemia[n(%)] | 0.191 | - | - | - |
| Hypercholesterolemia[n(%)] | 0.018 | 0.014 | 0.186 | 1.000 |
| LDL-C(mmol/L) | 0.028 | 0.172 | 0.287 | 0.027 |
| HDL-C(mmol/L) | <0.001 | <0.001 | <0.001 | <0.001 |
| TG(mmol/L) | 0.242 | - | - | - |
| CHOL(mmol/L) | <0.001 | <0.001 | <0.001 | 1.000 |
| Hyperhomocysteinemia[n(%)] | <0.001 | <0.001 | - | - |
| Homocysteine level(μmol/L) | <0.001 | <0.001 | - | - |
| Smoking[n(%)] | 0.023 | 0.023 | - | - |
| Alcohol consumption[n(%)] | 0.093 | 0.093 | - | - |
| Atrial fibrillation[n(%)] | 0.462 | - | - | - |
| Polycythemia[n(%)] | <0.001 | <0.001 | <0.001 | 0.371 |
| Hemoglobin level(g/L) | <0.001 | <0.001 | <0.001 | 0.100 |
| Red blood cell count(*1012/L) | <0.001 | <0.001 | <0.001 | 0.001 |
| Hematocrit | <0.001 | <0.001 | <0.001 | 1.000 |
| CRP(mg/L) | <0.001 | <0.001 | 0.001 | 1.000 |
Appendix B

References
- Wang, Y.; Li, Z.; Gu, H.; Zhai, Y.; Jiang, Y.; Zhao, X.; Wang, Y.; Yang, X.; Wang, C.; Meng, X.; et al. China Stroke Statistics 2019: A Report From the National Center for Healthcare Quality Management in Neurological Diseases, China National Clinical Research Center for Neurological Diseases, the Chinese Stroke Association, National Center for Chronic and Non-communicable Disease Control and Prevention, Chinese Center for Disease Control and Prevention and Institute for Global Neuroscience and Stroke Collaborations. Stroke Vasc. Neurol. 2020, 5, 211–239. [Google Scholar] [CrossRef]
- Hua, Y.; Jia, L.; Xing, Y.; Hui, P.; Meng, X.; Yu, D.; Pan, X.; Fang, Y.; Song, B.; Wu, C. Distribution Pattern of Atherosclerotic Stenosis in Chinese Patients with Stroke: A Multicenter Registry Study. Aging Dis. 2018, 10, 62. [Google Scholar] [CrossRef]
- Li, S.; Schoenberg, B.S.; Wang, C.; Cheng, X.; Bolis, C.L.; Wang, K. Cerebrovascular disease in the People’s Republic of China: Epidemiologic and clinical features. Neurology 1985, 35, 1708. [Google Scholar] [CrossRef]
- Wang, W.; Jiang, B.; Sun, H.; Ru, X.; Sun, D.; Wang, L.; Wang, L.; Jiang, Y.; Li, Y.; Wang, Y.; et al. Prevalence, Incidence, and Mortality of Stroke in China. Circulation 2017, 135, 759–771. [Google Scholar] [CrossRef]
- Savla, J.J.; Levine, B.D.; Sadek, H.A. The Effect of Hypoxia on Cardiovascular Disease: Friend or Foe? High Alt. Med. Biol. 2018, 19, 124–130. [Google Scholar] [CrossRef]
- Faeh, D.; Gutzwiller, F.; Bopp, M. Lower mortality from coronary heart disease and stroke at higher altitudes in Switzerland. Circulation 2009, 120, 495–501. [Google Scholar] [CrossRef] [PubMed]
- Winkelmayer, W.C.; Hurley, M.P.; Liu, J.; Brookhart, M.A. Altitude and the risk of cardiovascular events in incident US dialysis patients. Nephrol. Dial. Transplant. 2012, 27, 2411–2417. [Google Scholar] [CrossRef][Green Version]
- Date, T.; Mochizuki, S.; Belanger, A.J.; Yamakawa, M.; Luo, Z.; Vincent, K.A.; Cheng, S.H.; Gregory, R.J.; Jiang, C. Expression of constitutively stable hybrid hypoxia-inducible factor-1alpha protects cultured rat cardiomyocytes against simulated ischemia-reperfusion injury. Am. J. Physiol. Cell Physiol. 2005, 288, C314–C320. [Google Scholar] [CrossRef] [PubMed]
- Kido, M.; Du, L.; Sullivan, C.C.; Li, X.; Deutsch, R.; Jamieson, S.W.; Thistlethwaite, P.A. Hypoxia-inducible factor 1-alpha reduces infarction and attenuates progression of cardiac dysfunction after myocardial infarction in the mouse. J. Am. Coll. Cardiol. 2005, 46, 2116–2124. [Google Scholar] [CrossRef] [PubMed]
- Ratan, R.R.; Siddiq, A.; Aminova, L.; Lange, P.S.; Langley, B.; Ayoub, I.; Gensert, J.; Chavez, J. Translation of ischemic preconditioning to the patient: Prolyl hydroxylase inhibition and hypoxia inducible factor-1 as novel targets for stroke therapy. Stroke 2004, 35, 2687–2689. [Google Scholar] [CrossRef]
- Jha, S.K.; Anand, A.C.; Sharma, V.; Kumar, N.; Adya, C.M. Stroke at high altitude: Indian experience. High Alt. Med. Biol. 2002, 3, 21–27. [Google Scholar] [CrossRef]
- Yushkevich, P.A.; Piven, J.; Hazlett, H.C.; Smith, R.G.; Ho, S.; Gee, J.C.; Gerig, G. User-guided 3D active contour segmentation of anatomical structures: Significantly improved efficiency and reliability. Neuroimage 2006, 31, 1116–1128. [Google Scholar] [CrossRef] [PubMed]
- Staals, J.; Makin, S.D.J.; Doubal, F.N.; Dennis, M.S.; Wardlaw, J.M. Stroke subtype, vascular risk factors and total MRI brain small vessel disease burden. Neurology 2014, 83. [Google Scholar] [CrossRef] [PubMed]
- Pantoni, L. Cerebral small vessel disease: From pathogenesis and clinical characteristics to therapeutic challenges. Lancet Neurol. 2010, 9, 689–701. [Google Scholar] [CrossRef]
- Mangmang, X.; Yajun, C.; Quhong, S.; Ruozhen, Y.; Ming, L. Total Burden of Cerebral Small Vessel Disease in Recurrent ICH versus First-ever ICH. Aging Dis. 2018, 10. [Google Scholar] [CrossRef]
- Chu, J.; Gao, R.; Zhao, S.; Lu, G.; Zhao, D.; Li, J. 2016 Chinese guideline for the management of dyslipidemia in adults. Chin. Circ. J. 2016, 31, 937–950. [Google Scholar] [CrossRef]
- Leon-Velarde, F.; Maggiorini, M.; Reeves, J.T.; Aldashev, A.; Zubieta-Calleja, G. Consensus Statement on Chronic and Subacute High Altitude Diseases. High Alt. Med. Biol. 2005, 6, 147–157. [Google Scholar] [CrossRef]
- Tang, Y.; Li, K. Quantitative study of cortical volume and surface area of human cerebral hemispheres. Chin. J. Anat. 1993, 016, 519–521. [Google Scholar]
- Koufakis, T.; Karras, S.N.; Mustafa, O.G.; Zebekakis, P.; Kotsa, K. The Effects of High Altitude on Glucose Homeostasis, Metabolic Control, and Other Diabetes-Related Parameters: From Animal Studies to Real Life. High Alt. Med. Biol. 2018, 20, 1–11. [Google Scholar] [CrossRef]
- Lopez-Pascual, A.; Arévalo, J.; Martínez, J.A.; González-Muniesa, P. Inverse Association Between Metabolic Syndrome and Altitude: A Cross-Sectional Study in an Adult Population of Ecuador. Front. Endocrinol. 2018, 9, 658. [Google Scholar] [CrossRef]
- Mortimer, E.A.; Monson, R.R.; MacMahon, B. Reduction in Mortality from Coronary Heart Disease in Men Residing at High Altitude. N. Engl. J. Med. 1977, 296, 581–585. [Google Scholar] [CrossRef]
- Aĭtbaev, K.A.; Meĭmanaliev, T.S. Prevalence of atherogenic dyslipoproteinemias among the highland population. Kardiologiia 1992, 32, 9–11. [Google Scholar] [CrossRef]
- Cao, Y.; Zhao, X.; Watase, H.; Hippe, D.S.; Yuan, C. Comparison of Carotid Atherosclerosis between Patients at High Altitude and Sea Level: A Chinese Atherosclerosis Risk Evaluation Study. J. Stroke Cerebrovasc. Dis. 2019, 29, 104448. [Google Scholar] [CrossRef] [PubMed]
- Pappano, A.J.; Wier, W.G. The Arterial System. In Cardiovascular Physiology, 12th ed.; Elsevier: Philadelphia, PA, USA, 2019; pp. 123–138. [Google Scholar] [CrossRef]
- Goldstein, D.S. Plasma catecholamines and essential hypertension. An analytical review. Hypertension 1983, 5, 86–99. [Google Scholar] [CrossRef]
- Jordan, J.; Yumuk, V.; Schlaich, M.; Nilsson, P.M.; Zahorska-Markiewicz, B.; Grassi, G.; Schmieder, R.E.; Engeli, S.; Finer, N. Joint statement of the European Association for the Study of Obesity and the European Society of Hypertension: Obesity and difficult to treat arterial hypertension. J. Hypertens. 2012, 34, 1047–1055. [Google Scholar] [CrossRef] [PubMed]
- Li, F.; Zhang, C.; Luo, X.; Peng, J.; Yang, T. Involvement of the MiR-181b-5p/HMGB1 Pathway in Ang II-induced Phenotypic Transformation of Smooth Muscle Cells in Hypertension. Aging Dis. 2018, 10, 231–248. [Google Scholar] [CrossRef]
- Wang, J. Clinical features and treatment of hypertension in young and middle-aged. Chin. Community Dr. 2013, 4, 23. [Google Scholar]
- Turnbull, F.; Cutler, J.A. The Blood Pressure Lowering Treatment Trialists’ Collaboration (BPLTTC). In Hypertension, 2nd ed.; Oparil, S., Weber, M.A., Eds.; W.B. Saunders: Philadelphia, PA, USA, 2005; pp. 325–339. [Google Scholar] [CrossRef]
- Ran, S.V.; Levy, D.; Franklin, S.S.; Pio, J.R.; Wong, N.D.; Larson, M.G.; Leip, E.P. Predictors of New-Onset Diastolic and Systolic Hypertension. Circulation 2005, 111, 1121–1127. [Google Scholar] [CrossRef]
- Laurent, S.; Boutouyrie, P. The structural factor of hypertension: Large and small artery alterations. Circ. Res. 2015, 116, 1007–1021. [Google Scholar] [CrossRef] [PubMed]
- Villafuerte, F.C.; Corante, N. Chronic Mountain Sickness: Clinical Aspects, Etiology, Management, and Treatment. High Alt. Med. Biol. 2016, 17, 61–69. [Google Scholar] [CrossRef] [PubMed]
- Wu, T.; Li, W.; Li, Y.; Ge, R.; Cheng, Q.; Wang, Z.; Zhao, G.; Wei, L.; Jin, Y.; Don, G. Epidemiology of chronic mountain sickness: Ten years study in Quingai-Tibet. In Progress in Mountain Medicine and High Altitude Physiology. In Proceedings of the Press Committee of the Third World Congress, Matsumoto, Japan, 20–24 May 1998; pp. 120–125. [Google Scholar]
- Jaillard, A.S.; Hommel, M.; Mazetti, P. Prevalence of stroke at high altitude (3380 m) in Cuzco, a town of Peru. A population-based study. Stroke 1995, 26, 562. [Google Scholar] [CrossRef] [PubMed]
- Jiang, D.; Wang, X.; Wu, S.; Li, C.; WenJing, T.; Li, G. Comparative analysis of cerebral hemodynamic parameters of normal population in high altitude area and plain. Chin. J. Misdiagnostics 2005, 5, 3046–3047. [Google Scholar] [CrossRef]
- Qu, W.; Wang, X.; Huang, L. Transcranial Doppler Observation of Cerebrovascular Blood Flow Velocity in People at High Altitude. Chin. J. Clin. Res. 2012, 025, 599–600. [Google Scholar]
- Moore, L.G. Measuring high-altitude adaptation. J. Appl. Physiol. 2017, 123, 1371–1385. [Google Scholar] [CrossRef] [PubMed]
- Caplan, L.R. Basic Pathology, Anatomy, and Pathophysiology of Stroke. In Caplan’s Stroke Fourth ed.; Caplan, L.R., Ed.; W.B. Saunders: Philadelphia, PA, USA, 2009; pp. 22–63. [Google Scholar] [CrossRef]
- Słomka, A.; Świtońska, M.; Sinkiewicz, W.; Żekanowska, E. Haemostatic factors do not account for worse outcomes from ischaemic stroke in patients with higher C-reactive protein concentrations. Ann. Clin. Biochem. 2017, 54, 378–385. [Google Scholar] [CrossRef] [PubMed]
- Świtońska, M.; Słomka, A.; Korbal, P.; Piekuś-Słomka, N.; Sinkiewicz, W.; Sokal, P.; Żekanowska, E. Association of Neutrophil-to-Lymphocyte Ratio and Lymphocyte-to-Monocyte Ratio with Treatment Modalities of Acute Ischaemic Stroke: A Pilot Study. Medicina 2019, 55, 342. [Google Scholar] [CrossRef]
- Burkard, P.; Vögtle, T.; Nieswandt, B. Platelets in Thrombo-Inflammation: Concepts, Mechanisms, and Therapeutic Strategies for Ischemic Stroke. Hamostaseologie 2020, 40, 153–164. [Google Scholar] [CrossRef]
- Kuo, H.K.; Yen, C.J.; Chang, C.H.; Kuo, C.K.; Chen, J.H.; Sorond, F. Relation of C-reactive protein to stroke, cognitive disorders, and depression in the general population: Systematic review and meta-analysis. Lancet. Neurol. 2005, 4, 371–380. [Google Scholar] [CrossRef]
- Idicula, T.T.; Brogger, J.; Naess, H.; Waje-Andreassen, U.; Thomassen, L. Admission C-reactive protein after acute ischemic stroke is associated with stroke severity and mortality: The ‘Bergen stroke study’. Bmc Neurol. 2009, 9, 18. [Google Scholar] [CrossRef]
- Eltzschig, H.K.; Carmeliet, P. Hypoxia and Inflammation. New Engl. J. Med. 2011, 364, 656–665. [Google Scholar] [CrossRef]
- Libby, P. Inflammation in atherosclerosis. Nature 2002, 420, 868–874. [Google Scholar] [CrossRef] [PubMed]
- Fan, Q.; Wu, S.; Qian, H. The Risk Factors of the Plateau Cerebrovascular Disease. Chin. J. Stroke 2016, 11, 392–396. [Google Scholar] [CrossRef]


| Longitude and Latitude | Annual Mean Temperature (°C) | Annual Mean Precipitation (mm) | Climate | Average Altitude (m) | |
|---|---|---|---|---|---|
| Penglai | 120° E, 37° N | 11.9 | 606.2 | Temperate maritime climate | 20 |
| Huzhu | 102° E, 37° N | 5.8 | 477.4 | Temperate continental climate | 2550 |
| Yushu | 97° E, 33° N | 3 | 487 | Plateau mountain climate | 4200 |
| Penglai | Huzhu | Yushu | p Value | |
|---|---|---|---|---|
| Total | 697 | 122 | 73 | - |
| Gender | ||||
| Male (%) | 410 (58.8) | 81 (66.4) | 49 (67.1) | 0.140 |
| Female (%) | 287 (41.2) | 41 (33.6) | 24 (32.9) | |
| Age (years) | 69.14 ± 11.10 | 64.44 ± 11.50 | 64.45 ± 14.03 | <0.001 |
| Race | ||||
| Han (%) | 697 (100) | 105 (86.1) | 5 (6.8) | <0.001 |
| Tibetan (%) | 0 | 4 (3) | 67 (91.8) | <0.001 |
| Tu (%) | 0 | 13 (11) | 1 (1.4) | <0.001 |
| Penglai (n = 697) | Huzhu (n = 122) | Yushu (n = 73) | p Value | |
|---|---|---|---|---|
| Respiratory rate (times/minute) | 18.49 ± 1.18 | 19.17 ± 2.62 | 20.71 ± 2.74 | <0.001 |
| Heart rate (beats/minute) | 73.03 ± 10.79 | 77.53 ± 17.01 | 84.12 ± 17.37 | <0.001 |
| Body Temperature (°C) | 36.37 ± 0.38 | 36.43 ± 0.31 | 36.58 ± 0.31 | <0.001 |
| Infarct Volume (mm3) | Penglai (n = 697) | Huzhu (n = 122) | Yushu (n = 73) | p Value |
|---|---|---|---|---|
| Total | 8436.37 ± 29,615.07 | 17,213.16 ± 47,044.74 | 42,459 ± 84,529.83 | <0.001 |
| Lacunar stroke | 728.09 ± 955.94 | 1896.18 ± 926.06 | 1957.52 ± 2367.42 | <0.001 |
| Non-lacunar stroke | 11,116.73 ± 33,982.76 | 26,530.40 ± 57,720.96 | 65,377.57 ± 98,419.60 | <0.001 |
| KERRYPNX | Penglai (n = 697) | Huzhu (n = 122) | Yushu (n = 73) | p Value |
|---|---|---|---|---|
| NIHSS score | 3.90 ± 4.11 | 4.70 ± 6.96 | 5.15 ± 6.67 | 0.483 |
| Disturbance of consciousness | 44 (6.31) | 17 (13.93) | 15 (20.55) | <0.001 |
| Gaze | 30 (4.30) | 6 (4.92) | 3 (4.11) | 0.955 |
| Vision | 8 (1.14) | 7 (5.74) | 0.00 | 0.004 |
| Facial paralysis | 431 (61.84) | 41 (33.61) | 13 (17.81) | <0.001 |
| Limb paralysis | 410 (58.82) | 63 (51.64) | 37 (50.68) | 0.169 |
| Ataxia | 80 (11.48) | 13 (10.66) | 1 (1.37) | 0.027 |
| Dysesthesia | 115 (16.50) | 30 (24.59) | 12 (16.44) | 0.093 |
| Aphasia | 56 (8.03) | 14 (11.48) | 11 (15.07) | 0.085 |
| Dysarthria | 262 (37.59) | 27 (22.13) | 17 (23.29) | <0.001 |
| Neglect | 10 (1.43) | 11 (9.02) | 2 (2.74) | <0.001 |
| Penglai (n = 697) | Huzhu (n = 122) | Yushu (n = 73) | p Value | |
|---|---|---|---|---|
| Hypertension [n (%)] | 450 (64.6) | 89 (73.0) | 51 (69.9) | 0.153 |
| Systolic pressure (mmHg) | 156.04 ± 23.35 | 142.75 ± 21.78 | 148.49 ± 25.99 | <0.001 0.016 |
| Diastolic pressure (mmHg) | 89.98 ± 12.99 | 93.07 ± 17.79 | 95.44 ± 17.86 | |
| Mean arterial pressure (mmHg) | 112.00 ± 15.06 | 109.63 ± 18.06 | 113.12 ± 19.73 | 0.393 |
| Pulse pressure (mmHg) | 66.06 ± 17.44 | 49.69 ± 13.91 | 53.05 ± 14.75 | <0.001 |
| Diabetes mellitus [n (%)] | 201 (28.8) | 21 (17.2) | 7 (9.6) | <0.001 |
| Glucose level (mmol/L) | 6.85 ± 3.01 | 6.09 ± 3.68 | 6.52 ± 2.59 | <0.001 |
| Coronary heart disease [n (%)] | 100 (14.3) | 2 (1.6) | 3 (4.1) | <0.001 |
| Hyperlipidemia [n (%)] | 144 (20.2) | 21 (17.2) | 6 (8.2) | 0.031 |
| Hypertriglyceridemia [n (%)] | 81 (11.6) | 16 (13.1) | 4 (5.5) | 0.191 |
| Hypercholesterolemia [n (%)] | 95 (13.6) | 8 (6.6) | 2 (2.7) | 0.018 |
| LDL-C (mmol/L) | 2.57 ± 0.77 | 2.45 ± 0.85 | 2.74 ± 0.91 | 0.028 |
| HDL-C (mmol/L) | 1.27 ± 0.32 | 1.44 ± 0.38 | 1.10 ± 0.35 | <0.001 |
| TG (mmol/L) | 1.50 ± 1.40 | 1.44 ± 1.19 | 1.39 ± 0.80 | 0.242 |
| CHOL (mmol/L) | 4.94 ± 1.22 | 4.35 ± 1.13 | 4.27 ± 1.02 | <0.001 |
| Hyperhomocysteinemia [n (%)] | 95 (13.6) | 51 (41.8) | - | <0.001 |
| Homocysteine level (μmol/L) | 13.31 ± 8.76 | 15.82 ± 7.74 | - | <0.001 |
| Smoking [n (%)] | 232 (33.1) | 61 (50.0) | - | 0.023 |
| Alcohol consumption [n (%)] | 196 (28.1) | 12 (27.3) | - | 0.093 |
| Atrial fibrillation [n (%)] | 57 (8.2) | 11 (9.0) | 3 (4.1) | 0.462 |
| Polycythemia [n (%)] | 0 | 17 (13.9) | 7 (9.6) | <0.001 |
| Hemoglobin level (g/L) | 138.22 ± 18.04 | 172.87 ± 31.57 | 171.81 ± 29.55 | <0.001 |
| Red blood cell count (*1012/L) | 4.60 ± 0.59 | 5.40 ± 0.84 | 6.24 ± 1.00 | <0.001 |
| Hematocrit | 41.59 ± 5.19 | 50.24 ± 9.42 | 49.02 ± 8.06 | <0.001 |
| CRP (mg/L) | 7.92 ± 24.53 | 16.62 ± 16.40 | 18.67 ± 20.38 | <0.001 |
Publisher’s Note: MDPI stays neutral with regard to jurisdictional claims in published maps and institutional affiliations. |
© 2021 by the authors. Licensee MDPI, Basel, Switzerland. This article is an open access article distributed under the terms and conditions of the Creative Commons Attribution (CC BY) license (https://creativecommons.org/licenses/by/4.0/).
Share and Cite
Liu, M.; Yan, M.; Guo, Y.; Xie, Z.; Li, R.; Li, J.; Ren, C.; Ji, X.; Guo, X. Acute Ischemic Stroke at High Altitudes in China: Early Onset and Severe Manifestations. Cells 2021, 10, 809. https://doi.org/10.3390/cells10040809
Liu M, Yan M, Guo Y, Xie Z, Li R, Li J, Ren C, Ji X, Guo X. Acute Ischemic Stroke at High Altitudes in China: Early Onset and Severe Manifestations. Cells. 2021; 10(4):809. https://doi.org/10.3390/cells10040809
Chicago/Turabian StyleLiu, Moqi, Mingzong Yan, Yong Guo, Zhankui Xie, Rui Li, Jialu Li, Changhong Ren, Xunming Ji, and Xiuhai Guo. 2021. "Acute Ischemic Stroke at High Altitudes in China: Early Onset and Severe Manifestations" Cells 10, no. 4: 809. https://doi.org/10.3390/cells10040809
APA StyleLiu, M., Yan, M., Guo, Y., Xie, Z., Li, R., Li, J., Ren, C., Ji, X., & Guo, X. (2021). Acute Ischemic Stroke at High Altitudes in China: Early Onset and Severe Manifestations. Cells, 10(4), 809. https://doi.org/10.3390/cells10040809
