Next Article in Journal
Response of the End of the Growing Season to Extreme Climatic Events in the Semi-Arid Grassland of Inner Mongolia
Previous Article in Journal
Effects of Nitrogen and Water Addition on Ecosystem Carbon Fluxes in a Grazing Desert Steppe
 
 
Font Type:
Arial Georgia Verdana
Font Size:
Aa Aa Aa
Line Spacing:
Column Width:
Background:
Article

Verification of Agricultural Practices for Winter Pea–Cereals Intercropping

by
Agnieszka Klimek-Kopyra
1,*,
Ewa Hanus-Fajerska
2,
Iwona Kamińska
2,
Tomasz Głąb
3,
Reinhard W. Neugschwandtner
4 and
Wiktor Chudzik
1
1
Department of Agroecology and Plant Production, Faculty of Agriculture and Economy, University of Agriculture in Krakow, Al. Mickiewicza 21, 31-120 Krakow, Poland
2
Department of Botany, Physiology and Plant Protection, Faculty of Biotechnology and Horticulture, University of Agriculture in Krakow, Al. 29 Listopada 54, 31-425 Krakow, Poland
3
Department of Machinery Exploitation, Ergonomics and Production Processes Balicka, University of Agriculture in Krakow, str 116B, 31-149 Krakow, Poland
4
Institute of Agronomy, Department of Agricultural Sciences, University of Natural Resources and Life Sciences Vienna (BOKU), Konrad-Lorenz-Straße 24, 3430 Tulln, Austria
*
Author to whom correspondence should be addressed.
Agronomy 2025, 15(9), 2017; https://doi.org/10.3390/agronomy15092017
Submission received: 13 July 2025 / Revised: 15 August 2025 / Accepted: 18 August 2025 / Published: 22 August 2025

Abstract

Recently, an urgent need has been identified to increase the biodiversity of the cereal crops that dominate European farmlands. In this aspect, the addition of pea as a component of winter cereals seems justified, but the appropriate selection of the cultivars to create a mixture suitable for agricultural practice is probably essential. Therefore, arbitrarily selected winter pea cultivars were intercropped with some chosen cereals in order to assess certain yield parameters using a two-factorial field experiment conducted on brown soil. The studied factors were the cultivar of pea (Pisum sativum), ‘Pandora’ and ‘E.F.B. 33′ respectively, and the cropping system: single crop vs. cereal/legume intercropping mixture. Cereals used were rye (Secale cereale L.) ‘Amber’ and triticale (× Triticosecale) ‘Borwo’. To assess the potential of winter pea in this cultivation system, the yield level, some plant parameters (above- and belowground), and LER and CR indices were applied. Additionally, to demonstrate the effect of intercropping on pea, the root system, root nodulation, and nitrogen uptake efficiency were assessed. It was shown that yield and plant indices were closely related to the intercropping variant used. The key element determining the potential of the cultivated crops was the selection of cultivars. The most productive one was proved pea ‘E.F.B. 33’, which formed the largest number of nodules when intercropped with triticale. Moreover, it was ascertained that the drought period during the formation of nodules negatively affected their structure, which had a rather negative impact on the pea yield.

1. Introduction

There is growing interest worldwide in sustainable agriculture aimed at increasing the biodiversity of plants in field crops, including by growing both spring and winter eudicots in mixed crops with cereals [1,2]. Spring cereals are currently dominant in Europe [3,4], although in recent years there has been a growing interest in the use of winter cereal–legume mixtures [5,6]. In Europe, legumes are harvested for seeds or grown for green matter, which are intended as a valuable source of forage protein and nitrogen or as a source of organic matter in the soil, so their participation in mixtures would be useful [7,8,9]. The popularity of mixed crops is mainly due to higher yield potential in comparison to single-species crops, with average levels similar to the most prolific crop species [10]. Another aspect of legume cultivation is high ecological value, because when used as an intercrop, legumes provide nitrogen, which allows a reduction in the need for fertilizing cereal crops with nitrogen compounds [11,12,13]. Trends in global agriculture are expected to move towards increasing the share of winter legume crops in the crop structure, mainly pea, broad bean, and chickpea, as an alternative source of protein to soybean [14,15].
In many parts of the world, Pisum sativum is one of the eagerly cultivated legumes, represented by both multi-purpose and fodder cultivars. Growing peas in mixed crops, so far mainly with spring cereals, made it possible to increase the aboveground biomass per unit area [16]. Intercropping of cereals and peas could be an effective solution for sustainable agriculture, as it can increase the nitrogen yield per unit area, which will limit the leaching of nitrogen compounds from the soil profile by rainwater and reduce the eutrophication of water resources [8,17,18]. The yield of spring cereal–legume mixtures depends on many factors, the most important of which are the share of legume in the mixture and weather conditions [19,20]. There were snowless winters in Central Europe [21], so in early spring during the sowing period of spring cereal–legume mixtures, there were water shortages, which delayed the emergence of plants, and ultimately led to species competition, thus low productivity of crops.
It was hypothesized that the period of drought may adversely affect nitrogen fixation by legumes, reducing the size of root nodules and their activity. An alternative technological solution would be the use of winter pea cultivars that enter the flowering stage earlier, at the beginning of May, thanks to which the plants avoid heat and water stress, unlike the traditional spring cultivation [14]. Unfortunately, cultivation of winter peas in Central and Western Europe is subjected to a high risk of frost in winter and/or early spring. For this reason, peas are increasingly grown in mixed crops with various cereal species, such as oat, wheat, triticale, or rye [1,22,23]. Additionally, some biological preparations are used to minimize cold stress during the seedling-formation stage [22,23].
The literature on winter cereal–legume mixtures is sparse, with most such studies focusing on yield [24]. On the other hand, much more data has been published on the interaction of Pisum sativum with Rhizobium leguminosarum strains or symbiovars [25,26,27,28,29,30], or sometimes also with other Rhizobium species, e.g., Rhizobium laguerrae [31]. However, for simplicity, they can be collectively called rhizobacteria. The so-called bacteroid tissue (central tissue, CT) occupies a central place in the anatomy of pea root nodules. It is surrounded by cortical tissues with several vascular bundles. This tissue (CT) consists of two cell types: uninfected cells and infected ones. The latter harbor numerous rhizobia, which in their symbiosis-specific developmental form are able to reduce N2 to NH4+. Ammonium anions are transported via vascular elements into the host plant to be subsequently converted into organic nitrogen compounds. Thus, nitrogen-fixing products are exported from the nodule through vascular bundles up the plant organs, and these bundles then provide a pathway for the import of various compounds into the nodule that are essential for its growth and proper functioning. There is quite a rich literature on the stages of Pisum sativum nodulation, nodule anatomy, and ultrastructure [26,27,32,33,34], but data on the agronomic issues related to root nodulation are more scant [34].
Given the abovementioned problem, there is an urgent need to investigate the impact of winter pea yields in conjunction with improved agricultural practices, i.e., by considering the role of intercropping of winter peas with cereals. It is crucial to determine the morphological and anatomical parameters of the root nodules, the efficiency of nitrogen uptake by plants, and crop productivity. The aim of the undertaken experiments was also to assess the variability of some parameters of root systems of selected cultivars of winter pea in response to the different intercropping schemes with cereals.
Our research aimed to verify the hypothesis that fodder winter pea cultivar (‘E.F.B. 33’), will be less sensitive as a companion crop for crop mixture in compare to edible winter pea cultivar (‘Pandora’) and will have a positive impact on morphological parameters of plants features, anatomical structure of nodules, nitrogen uptake efficiency, and seed yield.

2. Materials and Methods

2.1. Experimental Field

In the years 2015/2016 and 2016/2017 a two-factor field experiment (50°06′01″ N and 19°58′1915 August 2025 E, 150 m a.s.l.) was carried out on Eutric Cambisol (fine-grained with the ratio of sand–silt–clay of 10:77:13 and characterized by a moderate content of nutrients: 0.232 g kg−1 P, 0.154 g kg−1 K, 0.118 g kg−1 Mg) according to WRB classification [35]. The experiment was set up in a split-plot design in triplicate. The first experimental factor was the winter pea cultivars: ‘Pandora’ (multi-purpose cultivar) and ‘E.F.B. 33’ (fodder cultivar). The second experimental factor was the cropping system for winter pea: a pure stand vs. intercropping of pea with cereals: rye (Secale cereale L.) ‘Amber’ (SC) or triticale (× Triticosecale) ‘Borwo’ (TC). The following symbols were used to designate the treatments: Pandora (A1)—pure stand of pea cv. ‘Pandora’, E.F.B. 33 (B1)—pure stand of pea cv. ‘E.F.B. 33’; Pandora + SC (A2)—intercropping of pea cv. ‘Pandora’ with rye; Pandora + TC (A3)—intercropping of pea cv. ‘Pandora’ with triticale; E.F.B. 33 + SC (B2)—intercropping of pea cv. ‘E.F.B. 33’ with rye; E.F.B. 33 + TC (B3)—intercropping of pea cv. ‘E.F.B. 33’ with triticale. Each year, the crops were sown on 10 September and the crop was harvested at the end of June. No mineral fertilizer was applied because the soil had a high content of nutrients and a suitable pH. Pea was sown at a depth of 6 cm, and rye and triticale at a depth of 3 cm. The Zurn D82 plot seeder was used. In the pure stand, pea was sown at 120 seeds/m2, and rye or triticale at 480/m2. In the mixed crops 50% ratio for each species was used. The area of the plot for harvest ranged from 8.4 to 12 m2, and the row spacing for pea was 15 cm. There were seven rows on each plot. Immediately (in autumn) after pea sowing (pure stand), a mixture of herbicides CommandTM 480 EC (chlomazon) + Afalon DyspersyjnyTM 450 (linuron) was applied in the amount of 0.2 dm−3 + 1.0 dm−3 (per ha). Weed control in the intercrops of pea with rye or triticale (also in autumn) was carried out using BasagranTM 480 SL (bentazon) at 2.8 dm−3. No chemical protection was used in the spring. This was to avoid affecting the nodulation process.

2.2. Morphological Analysis of Aboveground Part of Plants

At the maturity stage (BBCH 99), 30 plants of pea were randomly collected from each plot for biometric measurements: the length of the fruiting stem, number of pods per plant, mass of pods per plant, number of seeds per plant, and mass of seeds per plant. The plants were harvested at full maturity using the Wintersteiger Delta plot combine. Harvesting was carried out in the last 10 days of June each year. Immediately after harvest, the samples were prepared for drying. Yield was determined when the moisture level of seeds had reached about 14%.

2.3. Morphological and Anatomical Analysis of Nodules and Roots

The parameters of roots and the root nodules were analyzed when the first flower buds were visible (BBCH 51), i.e., during the maximum growth and biological activity of root nodules.
Five soil monoliths were collected from each treatment from the 0–15 cm layer (diameter 7 cm, height 15 cm), using an Eijkelkamp root sampler (Eijkelkamp Agrisearch Equipment, Giesbeek, The Netherlands) [24]. Soil was removed from the root samples in a Delta-T RWB/RWC automatic hydropneumatic root washer. Excess water was removed from the roots. Then tweezers were used to separate roots and root nodules from the root system, and the root nodules were counted. The roots were scanned separately (Epson Perfection 4870 Photo, Epson Germany GmbH) in transmitted light at a resolution of 600 dpi. The images were saved in TIFF format. After scanning, the roots or root nodules were dried at 105 °C to determine root dry mass (RDM) and nodule dry mass (NDM) separately. Images were analyzed in the APHELION v.3.2 image analysis system using a sequence of commands in the form of a macro command. The number of root nodules was determined in the roots with nodules, and then the root nodules were scanned to determine their cross-sectional area. For the roots, the root dry matter (RDM) and mean root diameter (MRD) were determined and calculated as an average.
To prepare the specimens for anatomical analysis, the root nodules taken in a dry year were fixed in Carnoy’s solution, stained with 1% eosin Y ethanolic solution, dehydrated in a series of ethanol dilutions, and finally saturated with paraffin. The paraffin block was cut into 6 µm thick serial sections (in longitudinal plane) using a Leica RM2235 microtome, and was examined using an Axio Imager M2 (Zeiss) light microscope. Images were captured with a CanonCamPS camera with 150 dpi resolution, saved in .tiff format, and analyzed by means of AxioVision v 4.8 software.

2.4. Competition Indices

The seed yield was used to calculate competition indices, land equivalent ratio (LER), and competitive ratio (CR), according to the following equations presented by Pridham et al. [36] and Wasaya et al. [37].
LER = (LERa + LERb) = (Yab/Yaa) + (Yba/Ybb)
CR = CRa + CRb = {(LERa/LERb) × (Zba/Zab)}
where Yab represents the yield of mixed intercrop pea in combination with cereal. Yba is the yield of intercrop cereal in combination with pea. Yaa is the yield in pure stand of pea, and Ybb is the yield in pure stand of cereal. Zab represents the sown proportion of intercrop pea in combination with cereal, and Zba the sown proportion of mixed intercrop cereal in combination with pea.

2.5. Nitrogen Uptake

After harvest, the total nitrogen content in the seeds was determined using the Foss Tecator 2300 Kjeltec Analyzer Unit, and then nitrogen uptake in the seed yield was calculated according to Acharya et al. [38].

2.6. Statistical Analysis

The results were statistically analyzed by the variance analysis method (ANOVA) using TIBCO Statistica v13.3 software (TIBCO Software Inc., Palo Alto, CA, USA). Significant differences (HSD) for the traits were verified using Tukey’s test at the significant level of p < 0.05.

3. Results

3.1. Weather Conditions

The weather during the study period was varied (Figure 1). Winter in 2016 was very mild (to −6 °C), and the average precipitation in autumn did not exceed 70 mm. Maximum precipitation was recorded in February (73 mm). In 2017 the lowest temperature was recorded in January (−10 °C). High precipitation was recorded in January, February, and April, which significantly influenced plant development. The year 2016 was dry, while 2017 was wet.

3.2. Yield, Yield Parameters and Competition Index (CR)

There were significant differences in the yield of winter pea between the years of the study. The more favorable weather conditions in 2016/2017 significantly increased the seed yield of pea ca. 0.35 t ha−1. The yield was influenced by the cropping variant (Table 1). In the case of sole cropping, the yield of the E.F.B. 33 cultivar (treatment B1) was significantly higher than in treatment A1 (Pandora). Among the mixtures, however, yield was clearly the highest for the E.F.B. 33 cultivar grown with rye (E.F.B. 33 + SC). ‘Pandora’ cultivar was more sensitive to cultivation in intercropping with rye (Figure 2a), since under such a cultivation regime, ‘Pandora’s’ seeds yield decreased when too much rainfall appeared (2017). The opposite phenomenon was observed in the ‘E.F.B. 33‘ cultivar (Figure 2b). Drought during the vegetation period (2016) decreased the seed yield of E.F.B. 33 irrespective of the pea cropping system. Morphological parameters (length of fruiting stem, number of pods, weight of pods, number of seeds, weight of seeds) were affected by weather conditions. Significantly higher parameters were noticed in the second year of the study (2016/2017). In the case of sole cropping, the selected morphological parameters of the E.F.B. 33 cultivar were always higher than in treatment A1. Among the mixed crops, the analyzed parameters were the highest for the E.F.B. 33 cultivar grown with rye (E.F.B. 33 + SC).
A value of CR > 1 means that the pea was more competitive in the canopy than the cereal (Table 1). The CR value was not related to the companion crop (cereal species) of pea. A similar value of CR was noticed for both pea cultivars. This fact proved that intercropping revealed that the pea competes stronger in the canopy than cereals.
Nitrogen uptake varied depending on the year and cropping variant (Table 1, Figure 2c,d). More efficient nitrogen uptake was observed in 2017, characterized as a wet year. Pea grown in a pure stand accumulated nitrogen less efficiently than pea grown with cereals. However, it was noticed that the ‘Pandora’ cultivar in mixture with triticale (A3) was able to uptake a similar amount of nitrogen compared to a single stand (Figure 2c). Average nitrogen uptake by the seeds ranged from 41 to 49 kg N. More efficient nitrogen uptake was observed in the E.F.B. 33 cultivar intercropped with triticale (Figure 2d) and in the ‘Pandora’ cultivar grown with triticale than in the other treatments, especially the pure stands.

3.3. Land Equivalent Ration (LER)

Land equivalent ratio is a suitable measure to investigate the efficiency of an intercropping system, indicating that legume–cereal intercropping offers the advantage of more efficient land use in compare to a pure stand.
Despite the fact that cereals (rye or triticale) were completely dominated by the pea (Table 1), the total land equivalent ratio (LERtotal) was always (in two periods of study) higher than 1, indicating that plants grown in a two-species mixture utilize the resources of the habitat more effectively in compare to pea in pure stand, and therefore utilization of the acreage was higher in terms of production (Figure 3). Total LER was highest than 1 when triticale ‘Borwo’ (treatments of mixture A3, B3) was included as a companion crop in the mixture (LER = 2.0). The value of LER was related to weather conditions. In 2017 the total LER for both pea cultivars in mixture with triticale ‘Borwo’ was shown to be higher than in 2016, when the weather was less favorable.

3.4. Anatomical Characteristics of Root Nodules

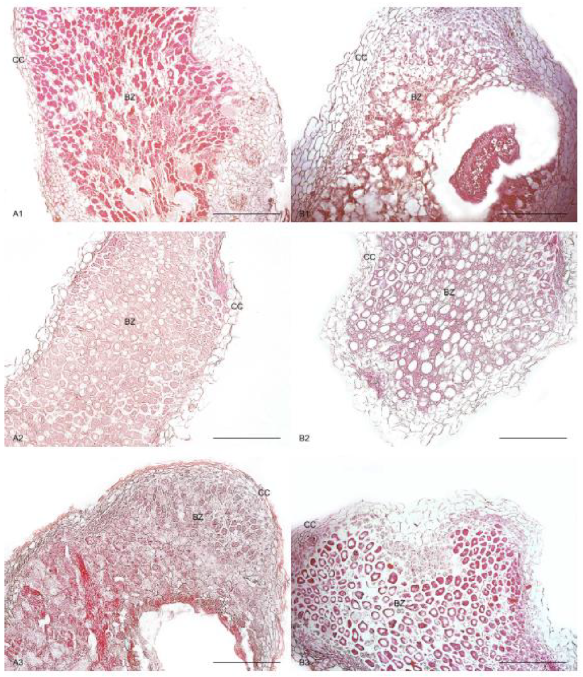
Based on analysis of microscope slides, differences were observed in the structural organization of root nodules in the pea cultivars depending on the experimental treatment (Figure 4). In treatment A1, the pure stand of pea ‘Pandora’, root nodule development was more advanced than in treatment B1, the pure stand of pea ‘E.F.B. 33’ forage cultivar. In the A1 treatment, the layer of cells surrounding the nodules was relatively thin, with an average of up to four cell layers. These cells were rather flat and lacked an extensive system of intercellular spaces. There was also no typically layer of loosely connected parenchymatous cells, known as the outer cortex, and no typically differentiated endodermis-like layer surrounding the inner cortex. The parenchyma cells, so-called central tissue cells (CTs) or bacteroid tissue, invaded with numerous Rhizobium, which had previously multiplied, showed some senescence changes. The bacteria had already taken on involution forms and were incapable of cell division. In treatments A2 and A3, i.e., cultivation of ’Pandora’ pea with rye and with triticale, respectively, some senescence symptoms of the root nodules have been sometimes observed, involving decomposition of the cell walls.
Contrastingly, the root nodules of cultivar E.F.B. 33 grown in pure stand (treatment B1) had a typically developed cortex. Irrespective of the cropping variant, in this cultivar, the cortical cells were spherical and fairly large, and the cortex had about six layers. The parenchyma cells of the root nodule contained functional bacteroid tissue. In treatment B2, the inner cells of the root nodule contained numerous small granules located near the vacuoles, whereas in treatment B3, the uninvaded cells (UCs) of the nodules contained a large number of starch grains (Figure 4).

3.5. Parameters of Root Nodules Depending on Study Factor

The statistical analysis revealed significant differences in the parameters of the root nodules and roots between years of the study (Table 2). The root nodule area, root nodule number, root dry mass, and mean root diameter were significantly higher in the wet year (2016/2017) than dry year. The cropping variant significantly influenced the root dry mass (RDM) and slightly influenced the mean root diameter (MRD). RDM was much higher in the year with more precipitation, which is explained by the biology of the plant. The RDM of pea was higher in the intercrops than in the pea cultivars grown alone. The highest RDM was obtained for pea grown with triticale (B3), and the lowest was in the mixture with rye (A2).
The root nodule area was related to the cropping variant. Significantly higher nodule area was obtained in the pure stand. Intercropping slightly reduced the nodule area. The nodule area was much lower for E.F.B. 33 grown in a mixed crop.

3.6. Classification of the Number and Size of Root Nodules and the Root Weight and Diameter

The differences in the number of root nodules among treatments were not confirmed statistically (Table 2, Figure 5), but there were minor differences in the parameters of the root nodules (their number and size), considered in terms of size classes (Figure 5). Analysis of classes of root nodule numbers revealed differences between cropping variants (Figure 4). The Pandora cultivar was dominant in pure crop (A1) and in the mixture with rye (A2). In contrast, the E.F.B. 33 cultivar produced the highest number of nodules in the pure crop (B1) and in the mixture with triticale (B3). Winter pea cv. Pandora formed a higher average number of root nodules (up to eight per plant) with a diameter in the range of 2–4 mm, and about seven each with a diameter above 2 mm and above 4 mm. Whereas cultivar E.F.B. 33 formed a higher average number of root nodules (up to 16/plant). Analysis of nodule area in classes revealed significant differences only for the E.F.B. 33 cultivar (Figure 5d). Intercropping significantly reduced the nodule area of pea.

4. Discussion

The experiment showed that intercropping of winter pea with cereals is environmentally justified. Observed interspecies competition (CR > 1) effectively stimulated pea to efficiently accumulate nitrogen, leading to high nitrogen uptake with yield. The success of the winter legume–cereal mixture in terms of N uptake and yield was determined by the choice of companion crop. Between the two cultivars tested (fodder—E.F.B. 33 vs. multi-purpose—Pandora), better parameters were noted for E.F.B. 33, which was much better adapted to the intercropping, resulting in the higher yield, formation of more pods, seeds per pod, more root nodules, and more efficient nitrogen uptake. This is supported by Smytkiewicz et al. [39] and Ofori et al. [40]. Smytkiewicz et al. [39] proved that pea cultivars react to the environment in different ways, depending on agrotechnological factors. The use of a preparation containing NFs affected the growth and development of the pea by means of favorable changes in the morphological and physiological parameters of the plants. They had better conditions for growth as a result of the higher number of nodules, and the plants had increased supplies of nitrogen. Ofori et al. [40] studied the nodulation process in intercrops and showed that the morphological parameters of the root nodules and the efficiency of nitrogen uptake are the combined result of multiple factors, including the choice of species, the sowing density, the type of cultivation, and interspecific competition. It was shown variation in the parameters of the root nodules depending on the cultivar of winter pea (multi-purpose vs. fodder), the cereal species component (rye vs. triticale), and the weather conditions (dry year vs. wet year).
Weather conditions during the growing season have a decisive impact on the formation of root nodules in legume plants [41,42]. Istanbuli et al. [43] proved the interaction between drought stress and nodule formation of chickpea. Drought stress significantly reduced the biological yield and the nodule characteristics. Our results indicated that the water limitation in the vegetation period had a negative impact on nodules parameters, i.e., nodule area, nodules dry mass, and nodules number per plant. Moreover, our study observed that the selection of way of sowing and cultivar type of winter pea had affected nodule area and nodules number. Intercropping with triticale significantly reduced nodule area of fodder pea (E.F.B. 33), whereas intercropping with rye significantly reduced nodule area of multi-purpose pea (Pandora). However, intercropping with triticale significantly increases nodules number of Pandora. This result confirms that a well-chosen pea cultivar for intercropping reveals the environmental benefits. The nodulation pattern for cultivars in this study is in agreement with the results of other studies on nodules biomass and number reported by [44,45].
A positive influence of intercropping of broad bean and wheat was described by Liu et al. [45], who demonstrated empirically that the species component stimulates nodulation in intercropping. The authors showed that the number and dry weight of root nodules were far higher (more than 50%) under intercropping than in the pure stand of broad bean during the inflorescence stage and even 100% higher in the pod ripening stage. This is only partially supported by the present study, in which the choice of pea cultivar and cereal species was shown to influence nodulation efficiency. The pea cultivars (multi-purpose ‘Pandora’ vs. fodder cultivar E.F.B. 33) were shown to differ in the size of the root nodules and their anatomical structure (lack of differentiated cortex within the nodules of ‘Pandora’ pea). However, sowing pea together with rye or triticale was not shown to increase nodulation in a statistically significant manner. A trend of increased numbers of root nodules was observed in pea grown with rye/triticale in comparison with sole cropping.
Previous studies [33,44,45,46] have shown that nodulation efficiency results from increased density in the canopy and increased interspecific competition for nitrogen. Such results were presented by Xiao et al. [46] in a study on faba bean and by Eaglesham et al. [47] in a study on cowpea and soybean.
Corre-Hellou et al. [48] and Yu et al. [49] demonstrated that intercropping with cereals can stimulate nodulation and N2 fixation in legumes, possibly because they can utilize mineral N in the rhizosphere. Li et al. [50] found that compared to monoculture, intercropping promotes the uptake and utilization of soil nutrients through root interaction, competition, and the complementarity of component crops. Intercropping with maize alleviates the inhibitory effect of N fertilization on nodulation and N2 fixation in broad bean [48] and increases nodulation of common bean [33].
In the present study, we did not take into account nitrogen transfer by the accompanying plant. However, we assessed the efficiency of nitrogen uptake from the soil by the legume plant, indicating a positive effect of intercropping of pea with rye or triticale.
One of the factors determining yield is the course of the weather during the growing season. Weather conditions during the growing season have a decisive impact on the formation of above- and belowground plant features. A period of drought led to inhibition of symbiosis [27,28,29]. The process may also be inhibited when the concentration of nitrates in the soil increases. In pea, rhizobia are spread by means of infection thread formation, and the meristem of the root nodule is formed from cells of the primary cortex of the root. Just beyond the ends of the infection thread network, bacteria enter the cortical parenchyma cells of the roots, showing a preference for polyploid cells [25,31]. In the present experiment, pea nodulation was proved to be stronger in the growing season with normal rainfall distribution. In contrast, the drought period substantially reduced the morphological parameters of the root nodules, resulting in lower efficiency of nitrogen uptake by the pea plants and a considerable reduction in the plants’ productivity.

5. Conclusions

The choice of cultivar was a crucial element determining the morphological and anatomical features of pea root nodules. Fodder winter pea cultivar (‘E.F.B. 33’) is less sensitive as a companion crop compared to edible winter pea cultivar (‘Pandora’), and therefore slightly deforms the morphological parameters and anatomical structure of nodules and slightly decreases nitrogen uptake efficiency and seed yield in the crop mixture.
Regardless of cultivar selection, water deficiency during the inflorescence stage of winter pea had a negative impact on nodulation. The morphological and anatomical parameters of root nodules were deformed.
The efficiency of nitrogen uptake is the combined result of the choice of species component, the choice of cultivar, and weather conditions. For the E.F.B. 33 + SC crop mixture, the pea showed the most efficient N uptake, reaching around 15.8% compared to the pea in the pure stand. For the other combinations, N uptake was lower, reaching 8.2% for E.F.B. 33 + TC, 11.7% for Pandora + TC, and 4.8% for Pandora + SC. Nitrogen uptake was higher during the wet season.
The use of fodder winter pea cultivar (E.F.B. 33) as a companion crop in winter mixture is justified by a more stable yield compared to edible pea cultivar and should be recommended in agricultural practice.

Author Contributions

Conceptualization, methodology, A.K.-K., E.H.-F., I.K. and T.G.; formal analysis, A.K.-K., I.K., E.H.-F. and T.G.; investigation, A.K.-K. and I.K.; resources, data curation, A.K.-K. and I.K.; writing—original draft, A.K.-K. and E.H.-F.; writing—review and editing, A.K.-K., E.H.-F., I.K., T.G., W.C. and R.W.N.; visualization, I.K.; supervision, project administration, funding acquisition, A.K.-K. and E.H.-F. All authors have read and agreed to the published version of the manuscript.

Funding

This work was partly funded by the Ministry of Science and Higher Education of the Republic of Poland, grant No. 050012-D011.

Data Availability Statement

The original contributions presented in the studies are included in the article; further inquiries can be directed to the corresponding author.

Conflicts of Interest

The authors declare no conflicts of interest.

References

  1. Neugschwandtner, R.W.; Kaul, H.-P.; Moitzi, G.; Klimek-Kopyra, A.; Losak, T.; Wagentristl, H. A low nitrogen fertilizer rate in oat-pea intercrops does not impair N2 fixation. Acta Agric. Scand. Sect. B Soil Plant Sci. 2021, 71, 182–190. [Google Scholar] [CrossRef]
  2. Lizarazo, C.I.; Tuulos, A.; Jokela, V.; Mäkelä, P.S.A. Sustainable Mixed Cropping Systems for the Boreal-Nemoral Region. Front. Sustain. Food Syst. 2020, 4, 103. [Google Scholar] [CrossRef]
  3. Klimek-Kopyra, A.; Bacior, M.; Zając, T. Biodiversity as a creator of productivity and interspecific competitiveness of winter cereal species in mixed cropping. Ecol. Model. 2017, 343, 123–130. [Google Scholar] [CrossRef]
  4. Hofmeijer, A.J.; Melander, B.; Salonen, J.; Lundkvist, A.; Zarina, L. Crop diversification affects weed communities and densities in organic spring cereal fields in northen Europe. Agric. Ecosyst. Environ. 2021, 308, 107251. [Google Scholar] [CrossRef]
  5. Neugschwandtner, R.W.; Kaul, H.-P. Sowing ratio and N fertilization affect yield and yield components of oat and pea in intercrops. Field Crops Res. 2014, 155, 159–163. [Google Scholar] [CrossRef]
  6. Bacchi, M.; Monti, M.; Calvi, A.; Presti, E.L.; Pellicanó, A.; Preiti, G. Forage Potential of Cereal/Legume Intercrops: Agronomic Performances, Yield, Quality Forage and LER in Two Harvesting Times in Mediterranean Environment. Agronomy 2021, 11, 121. [Google Scholar] [CrossRef]
  7. Zając, T.; Oleksy, A.; Klimek-Kopyra, A.; Stokłosa, A.; Kulig, B. Morphological-developmental reaction and productivity of plants and canopy of semileafless pea (Pisum sativum L.) after seeds vaccination with Rhizobium and foliar micronutrient fertilization. J. Appl. Bot. Food Qual. 2012, 85, 188–197. [Google Scholar]
  8. Sońta, M.; Rekiel, A. Legumes—Use for nutritional and feeding purposes. J. Elem. 2020, 25, 835–849. [Google Scholar] [CrossRef]
  9. Gooding, M.J.; Kasyanova, E.; Ruske, R.; Hauggaard-Nielsen, H.; Jenden, E.S.; Dahlmann, C.; Fragstein, P.; Dibet, A.; Corre-Hellou, G.; Crozat, Y.; et al. Intercropping with pulses to concentrate nitrogen and sulphur In wheat. J. Agric. Sci. 2007, 145, 469–479. [Google Scholar] [CrossRef]
  10. Malézieux, E.; Crozat, Y.; Dupraz, C.; Laurans, M.; Makowski, D.; Ozier-Lafontaine, H.; Rapidel, B.; de Tourdonnet, S.; Valantin-Morison, M. Mixing plant species in cropping systems: Concepts, tools and models. A review. Agron. Sustain. Dev. 2008, 29, 43–62. [Google Scholar] [CrossRef]
  11. Klimek-Kopyra, A.; Zając, T.; Oleksy, A.; Kulig, B. Biological and production responses of intercropped plants of pea, spring wheat, and linseed. Acta Agrobot. 2018, 71, 1737. [Google Scholar] [CrossRef]
  12. Neugschwandtner, R.W.; Kaul, H.-P. Nitrogen uptake, use and utilization efficiency by oat-pea intercrops. Field Crops Res. 2015, 179, 113–119. [Google Scholar] [CrossRef]
  13. White, K.E.; Brennan, E.B.; Cavigelli, M.A.; Smith, R.F. Winter cover crops increase readily decompostable soil carbon during eight years of intensive, organic vegetable production in California. PLoS ONE 2020, 15, e0228677. [Google Scholar] [CrossRef]
  14. Chen, C.; Miller, P.; Muehlbauer, F.; Neil, K.; Wichman, D.; McPhee, K. Winter pea and lentil response to seedling date and micro- and macro-environments. Agron. J. 2006, 98, 1655–1663. [Google Scholar] [CrossRef]
  15. Neugschwandtner, R.W.; Bernhuber, A.; Kammlander, S.; Wagentristl, H.; Klimek-Kopyra, A.; Kaul, H.-P. Agronomic potential of winter grain legumes for Central Europe: Development, soil coverage and yields. Field Crops Res. 2019, 241, 107576. [Google Scholar] [CrossRef]
  16. Vasiljevic, S.; Djalovic, I.; Miladinovic, J.; Xu, N.; Sui, X.; Wang, Q.; Prasad, P.V.V. Winter Pea Mixtures with Triticale and Oat for Biogas and Methane Production in Semiarid Conditions of the South Pannonian Basin. Agronomy 2021, 11, 1800. [Google Scholar] [CrossRef]
  17. Ton, A. Advantages of grain legume-cereal intercropping in sustainable agriculture. Turk. J. Agric. Food Sci. Technol. 2021, 9, 1560–1566. [Google Scholar] [CrossRef]
  18. Rothardt, S.; Kage, H. Model-based biomass incorporation to mitigate nitrogen losses from arable fields in Central Europe. Front. Agron. 2023, 5, 1155187. [Google Scholar] [CrossRef]
  19. Yu, Y.; Stomph, T.J.; Makowski, D.; Zhang, L.; der Werf, W. A meta-analysis of relative crop yields in cereal/legume mixtures suggest options for management. Field Crops Res. 2016, 198, 269–279. [Google Scholar] [CrossRef]
  20. Kuśmierek-Tomaszewska, R.; Żarski, J. Assessment of Meteorological and Agricultural Drought Occurrence in Central Poland in 1961–2020 as an element of the Climatic Risk to Crop Production. Agriculture 2021, 11, 855. [Google Scholar] [CrossRef]
  21. Hakl, J.; Brant, V.; Maskova, K.; Neckar, K.; Pivec, J. The forage utilization of winter pea-cereal mixture in agriculture low-input system. Acta Univ. Agric. Silvic. Mendel. Brun. 2011, 59, 47–52. [Google Scholar] [CrossRef]
  22. Klimek-Kopyra, A.; Kliszcz, A.; Ślizowska, A.; Kot, D. Application of biostimulants influences shoot and root characteristics of seedlings of winter pea (Pisum sativum L.). Acta Agrobot. 2019, 72, 1771. [Google Scholar] [CrossRef]
  23. Klimek-Kopyra, A.; Głąb, T.; Zając, T. The key role of variety and method of sowing selection in pea root’s parameters development under sustainable practice. Sustainability 2019, 11, 1824. [Google Scholar] [CrossRef]
  24. Gronle, A.; Heß, J.; Böhm, H. Effect of intercropping normal-leafed or semi-leafless winter peas and triticale after shallow and deep ploughing on agronomic performance, grain quality and succeeding winter wheat yield. Field Crops Res. 2015, 180, 80–89. [Google Scholar] [CrossRef]
  25. Sujkowska, M.; Górska-Czekaj, M.; Bederska, M.; Borucki, W. Vacuolar organization in the nodule parenchyma is important for the functioning of pea root nodules. Symbiosis 2011, 54, 1–16. [Google Scholar] [CrossRef] [PubMed][Green Version]
  26. Sujkowska, M.; Borucki, W.; Golinowski, W. Localization of expansin-like protein in apoplast of pea (Pisum sativum L.) root nodules during interaction with Rhizobium leguminosarum bv. viciae 248. Acta Soc. Bot. Pol. 2007, 78, 17–26. [Google Scholar] [CrossRef][Green Version]
  27. Bovin, S.; Lahmidi, N.A.; Sherlock, D.; Bonhomme, M.; Dijon, D.; Heulin-Gotty, K.; Le-Querré, A.; Perevent, M.; Tauzin, M.; Carlsson, G.; et al. Host-specific competitiveness to form nodules in Rhizobium leguminosarum synbiovar viciae. New Phytol. 2020, 226, 555–586. [Google Scholar] [CrossRef] [PubMed]
  28. Riah, N.; de Lajudie, P.; Béna, G.; Heullin, K.; Djekoun, A. Variability in symbiotic efficiency with respect to the growth of pea and lentil inoculated with various rhizobial genotypes originating from sub-humid and semi-arid regions of eastern Algeria. Symbiosis 2021, 85, 371–842. [Google Scholar] [CrossRef]
  29. Kosolapowa, A.O.; Belousov, M.V.; Sulatsky, M.I.; Tsyganova, A.V.; Sulatskaya, A.I.; Bobylev, A.G.; Shtark, O.Y.; Tcyganov, V.E.; Volkov, K.V.; Zhukov, V.A.; et al. RopB protein of Rhizobium leguminosarum bv. viciae adopts amyloid state during symbiotic interactions with pea (Pisum sativum L.). Front. Plant Sci. 2022, 13, 1014699. [Google Scholar] [CrossRef]
  30. Flores-Félix, J.D.; Carro, L.; Creda-Castillo, E.; Squartini, A.; Rivas, R.; Velázquez, E. Analysis of the Interaction between Pisum sativum L. and Rhisobium laguerrae Strains Nodulating This Legume in Northwest Spain. Plants 2020, 9, 1755. [Google Scholar] [CrossRef]
  31. Morzhina, E.V.; Tsyganov, V.E.; Borisov, A.Y.; Lebsky, V.K.; Tikhonovich, I.A. Four developmental stages identified by genetic dissection of pea (Pisum sativum L.) root nodule morphogenesis. Plant Sci. 2000, 155, 75–83. [Google Scholar] [CrossRef]
  32. Borucki, W.; Sujkowska, M. The effect of sodium chloride salinity upon growth, nodulation, and root nodule structure of pea (Pisum sativum L.) plants. Acta Physiol. Plant. 2008, 30, 293–301. [Google Scholar] [CrossRef]
  33. Cardoso, E.J.; Nogueira, M.A.; Ferraz, S.M. Biological N2 fixation and mineral N in common bean-maize intercropping or sole cropping in Southeastern Brazil. Exp. Agric. 2007, 43, 319–330. [Google Scholar] [CrossRef]
  34. Pary, F.A.; Chattoo, M.A.; Magray, M.; Gaineie, S.A.; Dar, Z.M.; Masood, A. Effect of different levels of sulphur and boron on nodulation of garden pea (Pisum sativum L.). Legume Res. 2016, 39, 466–469. [Google Scholar] [CrossRef]
  35. FAO. World Reference Base for Soil Resources 2014, Update 2015 International Soil Classification System for Naming Soils and Creating Legends for Soil Maps; World Soil Resources Reports No. 106; Schad, P., van Huyssteen, C., Michéli, E., Eds.; FAO: Rome, Italy, 2015; ISBN 978-92-5-108370-3. [Google Scholar]
  36. Pridham, J.C.; Entz, M.H.; Martin, R.C.; Hucl, R.J. Weed, disease and grain yield effects of cultivar mixtures in organically managed spring wheat. Can. J. Plant Sci. 2007, 87, 855–859. [Google Scholar] [CrossRef]
  37. Wasaya, A.; Ahmad, R.; Hassan, F.U.; Ansar, M.; Manaf, A.; Sher, A. Enhancing crop productivity through wheat (Triticum aestivum L.)—Fenugreek intercropping system. J. Anim. Plant Sci. 2013, 23, 210–215. [Google Scholar]
  38. Acharya, T.P.; Reiter, M.S.; Welbaum, G.; Arancibia, R.A. Nitrogen uptake and use efficiency in sweet basil production under low tunnels. Hortic. Sci. 2020, 55, 429–435. [Google Scholar] [CrossRef]
  39. Smytkiewicz, K.; Podlésny, J.; Wielbo, J.; Podlésna, A. The Effect of a Preparation Containing Rhizobial Nod Factors on Pea Morphological Traits and Physiology. Agronomy 2021, 11, 1457. [Google Scholar] [CrossRef]
  40. Ofori, F.; Stern, W.R. Cereal–legume intercropping systems. Adv. Agron. 1987, 41, 41–90. [Google Scholar] [CrossRef]
  41. Zahran, H.H. Rhizobium-legume symbiosis and nitrogen fixation under severe conditions and in an arid climate. Microbiol. Mol. Biol. Rev. J. 1999, 63, 968–989. [Google Scholar] [CrossRef]
  42. Tsyganova, A.V.; Brewin, N.J.; Tsyganov, V.E. Structure and Development of the Legume-Rhizobial Symbiotic Interface in Infection Threads. Cells 2021, 10, 1050. [Google Scholar] [CrossRef] [PubMed]
  43. Istanbuli, T.; Abu Assar, A.; Tawkaz, S.; Kumar, T.; Alsamman, A.M.; Hamwieh, A. The interaction between drought stress and nodule formation under multiple environments in chickpea. PLoS ONE 2022, 17, e0276732. [Google Scholar] [CrossRef] [PubMed] [PubMed Central]
  44. Timmers, A.C.; Soupene, E.; Auriac, M.C.; de Billy, F.; Vasse, J.; Boistrad, P.; Truchet, G. Saprophytic intracellular rhizobia in alfalfa nodules. Mol. Plant Microbe Interact. 2000, 13, 1204–1213. [Google Scholar] [CrossRef] [PubMed]
  45. Liu, Y.C.; Qin, X.M.; Xiao, J.X.; Tang, L.; Wei, C.Z.; Wei, J.J.; Zheng, Y. Intercropping influences component and content change of flavonoids in root exudates and nodulation of Faba bean. J. Plant Interact. 2017, 12, 187–192. [Google Scholar] [CrossRef]
  46. Xiao, Y.B.; Li, L.; Zhang, F.S. The interspecific nitrogen facilitation and the subsequent nitrogen transfer between the intercropped wheat and fababean. Zhong Guo Nongye Kexue 2005, 38, 965–973. [Google Scholar]
  47. Eaglesham, A.R.; Hassouna, S.; Seegers, R. Fertilizer–N effects on N2 fixation by cowpea and soybean. Agron. J. 1983, 75, 61–65. [Google Scholar] [CrossRef]
  48. Corre-Hellou, G.; Fustec, J.; Crozat, Y. Interspecific competition for soil N and its interaction with N2 fixation leaf expansion and crop growth in pea-barley intercrops. Plant Soil 2006, 282, 195–208. [Google Scholar] [CrossRef]
  49. Yu, C.B.; Li, Y.Y.; Li, C.J.; Sun, J.H.; He, X.H.; Zhang, F.S.; Li, L. An improved nitrogen difference method for estimating biological nitrogen fixation in legume-based intercropping systems. Biol. Fertil. Soils 2010, 46, 227–235. [Google Scholar] [CrossRef]
  50. Li, Y.Y.; Yu, C.B.; Cheng, X.; Li, C.J.; Sun, J.H.; Zhang, F.S.; Lambers, H.; Li, L. Intercropping alleviates the inhibitory effect of N fertilization on nodulation and symbiotic N2 fixation of faba bean. Plant Soil 2009, 323, 295–308. [Google Scholar] [CrossRef]
Figure 1. Weather conditions of temperature (a) and precipitation (b) (T—average temperature, TM—temperature max, Tm—temperature min, PP—precipitation) during the vegetation period of pea.
Figure 1. Weather conditions of temperature (a) and precipitation (b) (T—average temperature, TM—temperature max, Tm—temperature min, PP—precipitation) during the vegetation period of pea.
Agronomy 15 02017 g001
Figure 2. Seed yield (a,b) and N uptake (c,d) of pea cultivars depending on cropping variants and study years. A1—pure stand of pea cv. Pandora, A2—pea cv. Pandora intercropped with rye, A3—pea cv. Pandora intercropped with triticale, B1—pure stand of pea cv. E.F.B. 33, B2—pea cv. E.F.B. 33 intercropped with rye, B3—pea cv. E.F.B. 33 intercropped with triticale. Letter indices at averages determine the so-called homogeneous groups (statistically homogeneous). The occurrence of the same letter pointer at averages (at least one) means that there is no (no) statistically significant difference between them.
Figure 2. Seed yield (a,b) and N uptake (c,d) of pea cultivars depending on cropping variants and study years. A1—pure stand of pea cv. Pandora, A2—pea cv. Pandora intercropped with rye, A3—pea cv. Pandora intercropped with triticale, B1—pure stand of pea cv. E.F.B. 33, B2—pea cv. E.F.B. 33 intercropped with rye, B3—pea cv. E.F.B. 33 intercropped with triticale. Letter indices at averages determine the so-called homogeneous groups (statistically homogeneous). The occurrence of the same letter pointer at averages (at least one) means that there is no (no) statistically significant difference between them.
Agronomy 15 02017 g002
Figure 3. Land equivalent ratio (LER) depending on crop mixture and study year. A2—pea cv. Pandora intercropped with rye, A3—pea cv. Pandora intercropped with triticale, B2—pea cv. E.F.B. 33 intercropped with rye, B3—pea cv. E.F.B. 33 intercropped with triticale. Letter indices at averages determine the so-called homogeneous groups (statistically homogeneous). The occurrence of the same letter pointer at averages (at least one) means that there is no (no) statistically significant difference between them.
Figure 3. Land equivalent ratio (LER) depending on crop mixture and study year. A2—pea cv. Pandora intercropped with rye, A3—pea cv. Pandora intercropped with triticale, B2—pea cv. E.F.B. 33 intercropped with rye, B3—pea cv. E.F.B. 33 intercropped with triticale. Letter indices at averages determine the so-called homogeneous groups (statistically homogeneous). The occurrence of the same letter pointer at averages (at least one) means that there is no (no) statistically significant difference between them.
Agronomy 15 02017 g003
Figure 4. Longitudinal cross-sections of root nodules of distal (A3—Pandora + TC, B2—E.F.B. 33 + SC, B3—E.F.B. 33 + TC) or central parts (A1—Pandora, A2—Pandora + SC, B1—E.F.B. 33); scale bars = 400 µm, A1—pure stand of ‘Pandora’, A2—‘Pandora’ from intercropping with rye, A3—Pandora from intercropping with triticale, B1—pure stand of E.F.B. 33, B2—E.F.B. 33 from intercropping with rye, B3—E.F.B. 33 from intercropping with triticale; CC—cortical cells, BZ—bacteroidal tissue.
Figure 4. Longitudinal cross-sections of root nodules of distal (A3—Pandora + TC, B2—E.F.B. 33 + SC, B3—E.F.B. 33 + TC) or central parts (A1—Pandora, A2—Pandora + SC, B1—E.F.B. 33); scale bars = 400 µm, A1—pure stand of ‘Pandora’, A2—‘Pandora’ from intercropping with rye, A3—Pandora from intercropping with triticale, B1—pure stand of E.F.B. 33, B2—E.F.B. 33 from intercropping with rye, B3—E.F.B. 33 from intercropping with triticale; CC—cortical cells, BZ—bacteroidal tissue.
Agronomy 15 02017 g004
Figure 5. Class of nodule number (a,b) and nodule area (c,d) of winter pea cultivars (Pandora vs. E.F.B. 33), depending on cropping variant. A1—pure stand of pea cv. Pandora, A2—pea cv. Pandora intercropped with rye, A3—pea cv. Pandora intercropped with triticale, B1—pure stand of pea cv. E.F.B. 33, B2—pea cv. E.F.B. 33 intercropped with rye, B3—pea cv. E.F.B. 33 intercropped with triticale.
Figure 5. Class of nodule number (a,b) and nodule area (c,d) of winter pea cultivars (Pandora vs. E.F.B. 33), depending on cropping variant. A1—pure stand of pea cv. Pandora, A2—pea cv. Pandora intercropped with rye, A3—pea cv. Pandora intercropped with triticale, B1—pure stand of pea cv. E.F.B. 33, B2—pea cv. E.F.B. 33 intercropped with rye, B3—pea cv. E.F.B. 33 intercropped with triticale.
Agronomy 15 02017 g005
Table 1. Yield and N uptake of winter pea in the years of the study in relation to the cropping variant.
Table 1. Yield and N uptake of winter pea in the years of the study in relation to the cropping variant.
ItemSeed Yield
(t ha−1)
Length of Fruiting Stem (cm)Number of Pods per
Plant
Mass of Pods per Plant (g)Number of Seeds per PlantMass of Seeds per Plant (g)CR
Legume
2015/20163.08 b*86.8 b11.7 b7.49 b61.5 b6.30 b1.63
2016/20173.43 a91.8 a19.4 a9.68 a72.9 a8.10 a1.80
p < 0.05<0.001<0.01<0.001<0.001<0.001<0.001n.s.
Pandora (A1)3.3285.2 c,b11.4 b5.99 b51.9 b4.66 b-
E.F.B. 33 (B1)4.3689.2 c13.4 b,c7.34 b,d56.3 b6.29 b,c-
Pandora + SC (A2)2.7679.0 b15.3 c12.2 a80.3 a10.1 a1.72
Pandora + TC (A3)2.7786.8 c,b13.9 c8.53 c,d69.9 c7.68 c1.71
E.F.B. 33 + SC (B2)3.20101.7 a25.2 a9.44 c76.4 a,c7.69 c1.71
E.F.B. 33 + TC (B3)3.1294.1 a,c14.1 c8.02 c,d68.2 b6.75 c1.74
p < 0.05n.s.<0.001<0.001<0.001<0.001<0.001n.s.
* Letter indices at averages determine the so-called homogeneous groups (statistically homogeneous). The occurrence of the same letter pointer at averages (at least one) means that there is no (no) statistically significant difference between them. n.s.—not significant. A1—single stand of pea ‘Pandora’, A2—pea ‘Pandora’ intercropped with rye, A3—P. sativum ‘Pandora’ intercropped with triticale, B1—single stand of pea E.F.B. 33, B2—pea E.F.B. 33 intercropped with rye, B3—pea E.F.B. 33 intercropped with triticale.
Table 2. Selected parameters of root nodules, roots, and N uptake.
Table 2. Selected parameters of root nodules, roots, and N uptake.
Item Nodule Area (cm2)Nodules Number per PlantNodules Dry Mass per PlantN Uptake with 1 t of Seed (kg per ha)RDM of Roots
(mg cm3)
MRD (cm)
2015/2016384.6 b*21.0 b0.07 b41.7 b0.32 b0.33 b
2016/2017507.9 a27.7 a0.26 a45.2 a1.68 a0.47 a
p < 0.05<0.001<0.001n.s.<0.001<0.001<0.001
Pandora (A1)567.7 a,b23.10.1941.3 a0.73 b0.40
E.F.B. 33 (B1)661.9 a25.30.2941.1 a0.69 b0.32
Pandora + SC (A2)459.8 a,b,c24.20.1343.4 a,b0.72 b0.42
Pandora + TC (A3)382.1 bc22.30.1146.8 b1.11 a,b0.33
E.F.B. 33 + SC (B2)213.2 c24.00.1348.8 a,b1.30 a,b0.44
E.F.B. 33 + TC (B3)392.6 a,b,c26.70.1644.8 b1.44 a0.50
p < 0.05<0.001n.s.n.s.<0.001<0.001n.s.
* Letter indices at averages determine the so-called homogeneous groups (statistically homogeneous). The occurrence of the same letter pointer at averages (at least one) means that there is no (ns) statistically significant difference between them. n.s.—not significant. A1—pure stand of pea cv. Pandora, A2—pea cv. Pandora intercropped with rye, A3—pea cv. Pandora intercropped with triticale, B1—pure stand of pea cv. E.F.B. 33, B2—pea cv. E.F.B. 33 intercropped with rye, B3—pea cv. E.F.B. 33 intercropped with triticale.
Disclaimer/Publisher’s Note: The statements, opinions and data contained in all publications are solely those of the individual author(s) and contributor(s) and not of MDPI and/or the editor(s). MDPI and/or the editor(s) disclaim responsibility for any injury to people or property resulting from any ideas, methods, instructions or products referred to in the content.

Share and Cite

MDPI and ACS Style

Klimek-Kopyra, A.; Hanus-Fajerska, E.; Kamińska, I.; Głąb, T.; Neugschwandtner, R.W.; Chudzik, W. Verification of Agricultural Practices for Winter Pea–Cereals Intercropping. Agronomy 2025, 15, 2017. https://doi.org/10.3390/agronomy15092017

AMA Style

Klimek-Kopyra A, Hanus-Fajerska E, Kamińska I, Głąb T, Neugschwandtner RW, Chudzik W. Verification of Agricultural Practices for Winter Pea–Cereals Intercropping. Agronomy. 2025; 15(9):2017. https://doi.org/10.3390/agronomy15092017

Chicago/Turabian Style

Klimek-Kopyra, Agnieszka, Ewa Hanus-Fajerska, Iwona Kamińska, Tomasz Głąb, Reinhard W. Neugschwandtner, and Wiktor Chudzik. 2025. "Verification of Agricultural Practices for Winter Pea–Cereals Intercropping" Agronomy 15, no. 9: 2017. https://doi.org/10.3390/agronomy15092017

APA Style

Klimek-Kopyra, A., Hanus-Fajerska, E., Kamińska, I., Głąb, T., Neugschwandtner, R. W., & Chudzik, W. (2025). Verification of Agricultural Practices for Winter Pea–Cereals Intercropping. Agronomy, 15(9), 2017. https://doi.org/10.3390/agronomy15092017

Note that from the first issue of 2016, this journal uses article numbers instead of page numbers. See further details here.

Article Metrics

Back to TopTop