Transcriptome-Based Development of EST-SSR Molecular Markers and Fingerprint Construction of Trifolium Species
Abstract
1. Introduction
2. Materials and Methods
2.1. Development of EST-SSR Markers Derived from Transcriptome of Trifolium repens
2.2. Plant Materials and DNA Extraction
2.3. PCR Amplification and Electrophoresis
2.4. Functional Annotations of EST-SSRs
2.5. Data Analysis
3. Results
3.1. Frequency Distribution and Development of EST-SSR Markers
3.2. SSR Annotation and Classification
3.3. Development and Validation of Novel EST-SSRs Markers in Trifolium repens
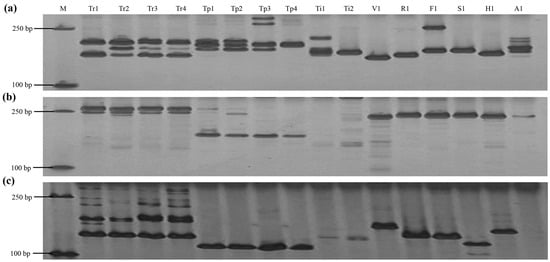
3.4. Evaluation of Genetic Relationships Among Different Trifolium Species
3.5. DNA Fingerprint Construction for Clovers
4. Discussion
5. Conclusions
Supplementary Materials
Author Contributions
Funding
Data Availability Statement
Conflicts of Interest
References
- Ijaz, S.; Haq, I.; Nasir, B. In silico identification of expressed sequence tags based simple sequence repeats (EST-SSRs) markers in Trifolium species. ScienceAsia 2020, 46, 6–10. [Google Scholar] [CrossRef]
- Smykal, P.; Coyne, C.J.; Ambrose, M.J.; Maxted, N.; Schaefer, H.; Blair, M.W.; Berger, J.; Greene, S.L.; Nelson, M.N.; Besharat, N. Legume Crops Phylogeny and Genetic Diversity for Science and Breeding. Crit. Rev. Plant Sci. 2014, 33, 43–104. [Google Scholar] [CrossRef]
- Verma, P.; Chandra, A.; Roy, A.K.; Malaviya, D.R.; Kaushal, P.; Pandey, D.; Bhatia, S. Development, characterization and cross-species transferability of genomic SSR markers in berseem (Trifolium alexandrinum L.), an important multi-cut annual forage legume. Mol. Breed. 2015, 35, 23. [Google Scholar] [CrossRef]
- Tarrad, M.M.; Zayed, E.M. Morphological, biochemical and molecular characterization of Egyptian clover (Trifolium alexandrinum L.) varieties. Mol. Breed. 2009, 30, 7. [Google Scholar]
- Malaviya, D.R.; Roy, A.K.; Kaushal, P.; Kumar, B.; Tiwari, A. Genetic similarity among Trifolium species based on isozyme banding pattern. Plant Syst. Evol. 2008, 276, 125–136. [Google Scholar] [CrossRef]
- Yan, Z.; Sang, L.; Ma, Y.; He, Y.; Sun, J.; Ma, L.; Li, S.; Miao, F.; Zhang, Z.; Huang, J.; et al. A de novo assembled high-quality chromosome-scale Trifolium pratense genome and fine-scale phylogenetic analysis. BMC Plant Biol. 2022, 22, 332. [Google Scholar] [CrossRef]
- Shirasawa, K.; Moraga, R.; Ghelfi, A.; Hirakawa, H.; Nagasaki, H.; Ghamkhar, K.; Barrett, B.A.; Griffiths, A.G.; Isobe, S.N. An improved reference genome for Trifolium subterraneum L. provides insight into molecular diversity and intra-specific phylogeny. Front. Plant Sci. 2023, 14, 1103857. [Google Scholar] [CrossRef]
- Liu, H.; Zhang, Y.; Wang, Z.; Su, Y.; Wang, T. Development and Application of EST-SSR Markers in Cephalotaxus oliveri From Transcriptome Sequences. Front. Plant Sci. 2021, 12, 759557. [Google Scholar] [CrossRef] [PubMed]
- Yang, W.; Bai, Z.; Wang, F.; Zou, M.; Wang, X.; Xie, J.; Zhang, F. Analysis of the genetic diversity and population structure of Monochasma savatieri Franch. ex Maxim Using Nov. EST-SSR markers. BMC Genom. 2022, 23, 597. [Google Scholar] [CrossRef]
- Zhang, C.; Wu, Z.; Jiang, X.; Li, W.; Lu, Y.; Wang, K. De novo transcriptomic analysis and identification of EST-SSR markers in Stephanandra incisa. Sicentific Rep. 2021, 11, 1059. [Google Scholar] [CrossRef]
- Shamshad, U.H.; Prerna, D.N.; Meenakshi, S.N.; Kothari, S.L.; Sumita, K. Plasticity of tandem repeats in expressed sequence tags of angiospermic and non-angiospermic species: Insight into cladistic, phenetic, and elementary explorations. J. Appl. Biol. Biotechnol. 2021, 9, 36–59. Available online: https://api.semanticscholar.org/CorpusID:233628994 (accessed on 2 December 2023). [CrossRef]
- Han, S.S.; Sun, H.J.; Eun, C.H.; Lee, H.Y. Morphological classification and molecular marker development of white clover (Trifolium repens L.) parents and hybrids. Plant Biotechnol. Rep. 2022, 16, 721–728. [Google Scholar] [CrossRef]
- Wu, F.; Ma, S.; Zhou, J.; Han, C.; Hu, R.; Yang, X.; Nie, G.; Zhang, X. Genetic diversity and population structure analysis in a large collection of white clover (Trifolium repens L.) germplasm worldwide. PeerJ 2021, 9, e11325. [Google Scholar] [CrossRef]
- Haerinasab, M.; Rahiminejad, M.R.; Ellison, N.W. Transferability of Simple Sequence Repeat (SSR) Markers Developed in Red Clover (Trifolium pratense L.) to Some Trifolium Species. Iran. J. Sci. Technol. Trans. A Sci. 2016, 40, 59–62. [Google Scholar] [CrossRef]
- Ghamkhar, K.; Isobe, S.; Nichols, P.G.H.; Faithfull, T.; Ryan, M.H.; Snowball, R.; Sato, S.; Appels, R. The first genetic maps for subterranean clover (Trifolium subterraneum L.) and comparative genomics with T. pratense L. and Medicago truncatula Gaertn. to identify new molecular markers for breeding. Mol. Breed. 2012, 30, 213–226. [Google Scholar] [CrossRef]
- Haddoudi, L.; Hdira, S.; Cheikh, N.B.; Mahjoub, A.; Badri, M. Assessment of genetic diversity in Tunisian populations of Medicago polymorpha based on SSR markers. Chil. J. Agric. Res. 2021, 81, 53–61. Available online: https://api.semanticscholar.org/CorpusID:233825861 (accessed on 2 December 2023). [CrossRef]
- Gong, W.; Ma, L.; Gong, P.; Liu, X.; Wang, Z.; Zhao, G. Development and application of EST-SSRs markers for analysis of genetic diversity in erect milkvetch (Astragalus adsurgens Pall.). Mol. Biol. Rep. 2019, 46, 1323–1326. [Google Scholar] [CrossRef] [PubMed]
- Griffiths, A.G.; Moraga, R.; Tausen, M.; Gupta, V.; Bilton, T.P.; Campbell, M.A.; Ashby, R.; Nagy, I.; Khan, A.; Larking, A.; et al. Breaking Free: The Genomics of Allopolyploidy-Facilitated Niche Expansion in White Clover. Plant Cell 2019, 31, 1466–1487. [Google Scholar] [CrossRef] [PubMed]
- Xiong, Y.; Xiong, Y.; He, J.; Yu, Q.; Zhao, J.; Lei, X.; Dong, Z.; Yang, J.; Peng, Y.; Zhang, X.; et al. The Complete Chloroplast Genome of Two Important Annual Clover Species, Trifolium alexandrinum and T. resupinatum: Genome Structure, Comparative Analyses and Phylogenetic Relationships with Relatives in Leguminosae. Plants 2020, 9, 478. [Google Scholar] [CrossRef]
- Santangelo, J.S.; Battlay, P.; Hendrickson, B.T.; Kuo, W.-H.; Olsen, K.M.; Kooyers, N.J.; Johnson, M.T.J.; Hodgins, K.A.; Ness, R.W. Haplotype-Resolved, Chromosome-Level Assembly of White Clover (Trifolium repens L., Fabaceae). Genome Biol. Evol. 2023, 15, evad146. [Google Scholar] [CrossRef]
- Griffiths, A.G.; Barrett, B.A.; Simon, D.; Khan, A.K.; Bickerstaff, P.; Anderson, C.B.; Franzmayr, B.K.; Hancock, K.R.; Jones, C.S. An integrated genetic linkage map for white clover (Trifolium repens L.) with alignment to Medicago. BMC Genom. 2013, 14, 388. [Google Scholar] [CrossRef]
- Ma, S.; Han, C.; Zhou, J.; Hu, R.; Jiang, X.; Wu, F.; Tian, K.; Nie, G.; Zhang, X. Fingerprint identification of white clover cultivars based on SSR molecular markers. Mol. Biol. Rep. 2020, 47, 8513–8521. [Google Scholar] [CrossRef]
- Yu, R.; Chen, X.; Zhang, H.; Zhang, Q.; Chen, X.; Dong, Y.; Chen, L.; Basigalup, D.; Wang, G.; Du, X. Development of SSR markers related to salinity resistance based on transcriptomic sequences in Medicago sativa. PLoS ONE 2025, 20, e0336528. [Google Scholar] [CrossRef]
- Ištvánek, J.; Dluhošová, J.; Dluhoš, P.; Pátková, L.; Nedělník, J.; Řepková, J. Gene Classification and Mining of Molecular Markers Useful in Red Clover (Trifolium pratense) Breeding. Front. Plant Sci. 2017, 8, 367. [Google Scholar] [CrossRef] [PubMed]
- Wu, F.; Fan, J.; Ye, X.; Yang, L.; Hu, R.; Ma, J.; Ma, S.; Li, D.; Zhou, J.; Nie, G.; et al. Unraveling Cadmium Toxicity in Trifolium repens L. Seedling: Insight into Regulatory Mechanisms Using Comparative Transcriptomics Combined with Physiological Analyses. Int. J. Mol. Sci. 2022, 23, 4612. [Google Scholar] [CrossRef] [PubMed]
- Hinderer, E.W., III; Moseley, H.N.B. GOcats: A tool for categorizing Gene Ontology into subgraphs of user-defined concepts. PLoS ONE 2020, 15, e0233311. [Google Scholar] [CrossRef]
- Davidson, N.M.; Oshlack, A. Corset: Enabling differential gene expression analysis for de novoassembled transcriptomes. Genome Biol. 2014, 15, 410. [Google Scholar] [CrossRef]
- Koonin, E.V.; Fedorova, N.D.; Jackson, J.D.; Jacobs, A.R.; Krylov, D.M.; Makarova, K.S.; Mazumder, R.; Mekhedov, S.L.; Nikolskaya, A.N.; Rao, B.S.; et al. A comprehensive evolutionary classification of proteins encoded in complete eukaryotic genomes. Genome Biol. 2004, 5, R7. [Google Scholar] [CrossRef]
- Lussi, Y.C.; Magrane, M.; Martin, M.J.; Orchard, S. Searching and Navigating UniProt Databases. Curr. Protoc. 2023, 3, e700. [Google Scholar] [CrossRef]
- Buchfink, B.; Reuter, K.; Drost, H.G. Sensitive protein alignments at tree-of-life scale using DIAMOND. Nat. Methods 2021, 18, 366–368. [Google Scholar] [CrossRef]
- Yang, J.; Yu, H.-Y.; Li, X.-J.; Dong, J.-G. Genetic diversity and population structure of Commelina communis in China based on simple sequence repeat markers. J. Integr. Agric. 2018, 17, 2292–2301. [Google Scholar] [CrossRef]
- Wu, J.; Cai, C.; Cheng, F.; Cui, H.; Zhou, H. Characterisation and development of EST-SSR markers in tree peony using transcriptome sequences. Mol. Breed. 2014, 34, 1853–1866. [Google Scholar] [CrossRef]
- Yan, Z.; Wu, F.; Luo, K.; Zhao, Y.; Yan, Q.; Zhang, Y.; Wang, Y.; Zhang, J. Cross-species transferability of EST-SSR markers developed from the transcriptome of Melilotus and their application to population genetics research. Sci. Rep. 2017, 7, 17959. [Google Scholar] [CrossRef] [PubMed]
- Liu, Z.; Chen, T.; Ma, L.; Zhao, Z.; Zhao, P.X.; Nan, Z.; Wang, Y. Global transcriptome sequencing using the Illumina platform and the development of EST-SSR markers in autotetraploid alfalfa. PLoS ONE 2013, 8, e83549. [Google Scholar] [CrossRef]
- Eujayl, I.; Sledge, M.K.; Wang, L.; May, G.D.; Chekhovskiy, K.; Zwonitzer, J.C.; Mian, M.A. Medicago truncatula EST-SSRs reveal cross-species genetic markers for Medicago spp. Theor. Appl. Genet. 2004, 108, 414–422. [Google Scholar] [CrossRef]
- Isobe, S.N.; Hisano, H.; Sato, S.; Hirakawa, H.; Okumura, K.; Shirasawa, K.; Sasamoto, S.; Watanabe, A.; Wada, T.; Kishida, Y.; et al. Comparative Genetic Mapping and Discovery of Linkage Disequilibrium Across Linkage Groups in White Clover (Trifolium repens L.). G3 Genes Genomes Genet. 2012, 2, 607–617. [Google Scholar] [CrossRef]
- Cai, K.; Zhu, L.; Zhang, K.; Li, L.; Zhao, Z.; Zeng, W.; Lin, X. Development and Characterization of EST-SSR Markers From RNA-Seq Data in Phyllostachys violascens. Front. Plant Sci. 2019, 10, 50. [Google Scholar] [CrossRef] [PubMed]
- Chen, S.; Huang, X.; Yan, X.; Liang, Y.; Wang, Y.; Li, X.; Peng, X.; Ma, X.; Zhang, L.; Cai, Y.; et al. Transcriptome analysis in sheepgrass (Leymus chinensis): A dominant perennial grass of the Eurasian Steppe. PLoS ONE 2013, 8, e67974. [Google Scholar] [CrossRef] [PubMed]
- Zhang, Z.; Xie, W.; Zhao, Y.; Zhang, J.; Wang, N.; Ntakirutimana, F.; Yan, J.; Wang, Y. EST-SSR marker development based on RNA-sequencing of E. sibiricus and its application for phylogenetic relationships analysis of seventeen Elymus species. BMC Plant Biol. 2019, 19, 235. [Google Scholar] [CrossRef]
- Yates, S.A.; Swain, M.T.; Hegarty, M.J.; Chernukin, I.; Lowe, M.; Allison, G.G.; Ruttink, T.; Abberton, M.T.; Jenkins, G.; Skøt, L. De novo assembly of red clover transcriptome based on RNA-Seq data provides insight into drought response, gene discovery and marker identification. BMC Genom. 2014, 15, 453. [Google Scholar] [CrossRef]
- Xu, Y.; Li, D.; Afzal, M.Z.; Yao, J.; Xu, J.; Lin, L.; Qi, J.; Zhang, L. Genome-Wide Analysis and Polymorphism Evaluation of Microsatellites Involved in Photoperiodic Flowering-time Genes in Kenaf (Hibiscus cannabinus L.). J. Nat. Fibers 2022, 19, 8332–8344. [Google Scholar] [CrossRef]
- Jiang, N.H.; Zhang, G.H.; Zhang, J.J.; Shu, L.P.; Zhang, W.; Long, G.Q.; Liu, T.; Meng, Z.G.; Chen, J.W.; Yang, S.C. Analysis of the transcriptome of Erigeron breviscapus uncovers putative scutellarin and chlorogenic acids biosynthetic genes and genetic markers. PLoS ONE 2014, 9, e100357. [Google Scholar] [CrossRef] [PubMed]
- Zhao, M.; Shu, G.; Hu, Y.; Cao, G.; Wang, Y. Pattern and variation in simple sequence repeat (SSR) at different genomic regions and its implications to maize evolution and breeding. BMC Genom. 2023, 24, 136. [Google Scholar] [CrossRef]
- Gupta, S.; Prasad, M. Development and characterization of genic SSR markers in Medicago truncatula and their transferability in leguminous and non-leguminous species. Genome 2009, 52, 761–771. [Google Scholar] [CrossRef]
- Wang, Z.; Yan, H.; Fu, X.; Li, X.; Gao, H. Development of simple sequence repeat markers and diversity analysis in alfalfa (Medicago sativa L.). Mol. Biol. Rep. 2013, 40, 3291–3298. [Google Scholar] [CrossRef]
- Xing, W.; Liao, J.; Cai, M.; Xia, Q.; Liu, Y.; Zeng, W.; Jin, X. De novo assembly of transcriptome from Rhododendron latoucheae Franch. using Illumina sequencing and development of new EST-SSR markers for genetic diversity analysis in Rhododendron. Tree Genet. Genomes 2017, 13, 53. [Google Scholar] [CrossRef]
- Zhang, Y.; He, J.; Zhao, P.X.; Bouton, J.H.; Monteros, M.J. Genome-wide identification of microsatellites in white clover (Trifolium repens L.) using FIASCO and phpSSRMiner. Plant Methods 2008, 4, 19. [Google Scholar] [CrossRef]
- Barrett, B.; Griffiths, A.; Schreiber, M.; Ellison, N.; Mercer, C.; Bouton, J.; Ong, B.; Forster, J.; Sawbridge, T.; Spangenberg, G.; et al. A microsatellite map of white clover. heoretical and Appl. Genet. 2004, 109, 596–608. [Google Scholar] [CrossRef]
- Abeynayake, S.W.; Panter, S.; Chapman, R.; Webster, T.; Rochfort, S.; Mouradov, A.; Spangenberg, G. Biosynthesis of proanthocyanidins in white clover flowers: Cross talk within the flavonoid pathway. Plant Physiol. 2012, 158, 666–678. [Google Scholar] [CrossRef]
- Song, Y.P.; Jiang, X.B.; Zhang, M.; Wang, Z.L.; Bo, W.H.; An, X.M.; Zhang, Z.Z.Y. Differences of EST-SSR and genomic-SSR markers in assessing genetic diversity in poplar. For. Stud. China 2012, 21, 173–179. [Google Scholar] [CrossRef]
- Nie, G.; Huang, T.; Ma, X.; Huang, L.; Peng, Y.; Yan, Y.; Li, Z.; Wang, X.; Zhang, X. Genetic variability evaluation and cultivar identification of tetraploid annual ryegrass using SSR markers. PeerJ 2019, 7, e7742. [Google Scholar] [CrossRef]
- De Lucas, J.A.; Forster, J.W.; Smith, K.F.; Spangenberg, G.C. Assessment of gene flow in white clover (Trifolium repens L.) under field conditions in Australia using phenotypic and genetic markers. Crop Pasture Sci 2012, 63, 155–163. [Google Scholar] [CrossRef]
- Zhuang, X.; McPhee, K.E.; Coram, T.E.; Peever, T.L.; Chilvers, M.I. Development and characterization of 37 novel EST-SSR markers in Pisum sativum (Fabaceae). Appl. Plant Sci. 2013, 1, apps.1200249. [Google Scholar] [CrossRef] [PubMed]
- Chen, H.; Liu, L.; Wang, L.; Wang, S.; Somta, P.; Cheng, X. Development and Validation of EST-SSR Markers from the Transcriptome of Adzuki Bean (Vigna angularis). PLoS ONE 2015, 10, e0131939. [Google Scholar] [CrossRef]
- Malaviya, D.R.; Kumar, B.; Roy, A.K.; Kaushal, P.; Tiwari, A. Estimation of Variability of Five Enzyme Systems Among Wild and Cultivated Species of Trifolium. Genet. Resour. Crop Evol. 2005, 52, 967–976. [Google Scholar] [CrossRef]
- Chen, L.Q.; Shi, S.-L. Genetic diversity of 42 alfalfa accessions revealed by SSR markers. Pratacultural Sci. 2015, 32, 372G381. [Google Scholar]
- Gu, X.Y.; Guo, Z.H.; Ma, X.; Bai, S.Q.; Zhang, X.Q.; Zhang, C.B.; Chen, S.Y.; Peng, Y.; Yan, Y.H.; Huang, L.K. Population genetic variability and structure of Elymus breviaristatus (Poaceae: Triticeae) endemic to Qinghai–Tibetan Plateau inferred from SSR markers. Biochem. Syst. Ecol. 2015, 58, 247–256. [Google Scholar] [CrossRef]
- Hameed, U.; Pan, Y.B.; Muhammad, K.; Afghan, S.; Iqbal, J. Use of simple sequence repeat markers for DNA fingerprinting and diversity analysis of sugarcane (Saccharum spp.) cultivars resistant and susceptible to red rot. Genet. Mol. Res. 2012, 11, 1195–1204. [Google Scholar] [CrossRef]
- Jiang, L.F.; Zhang, X.Q.; Ma, X.; Huang, L.K.; Xie, W.G.; Ma, Y.M.; Zhao, Y.F. Identification of orchardgrass (Dactylis glomerata L.) cultivars by using simple sequence repeat markers. Genet. Mol. Res. 2013, 12, 5111–5123. [Google Scholar] [CrossRef]








| No. | Material ID | Specie | Source |
|---|---|---|---|
| 1 | Tr1 | Trifolium repens | Beijing Rytway Ecotechnology Co., Ltd., Beijing, China |
| 2 | Tr2 | Trifolium repens | DLF-PICKSEED Beijing banshichu, Beijing, China |
| 3 | Tr3 | Trifolium repens | Beijing Best Grass Industry Co., Ltd., Beijing, China |
| 4 | Tr4 | Trifolium repens | Sichuan Agricultural University, Chengdu, China |
| 5 | Tp1 | Trifolium pratense | Henan Century Tianyuan Ecological Technology Co., Ltd., Zhengzhou, China |
| 6 | Tp2 | Trifolium pratense | Beijing Best Grass Industry Co., Ltd., Beijing, China |
| 7 | Tp3 | Trifolium pratense | Beijing Mammoth Seed Industry Co., Ltd., Beijing, China |
| 8 | Tp4 | Trifolium pratense | Beijing Mammoth Seed Industry Co., Ltd., Beijing, China |
| 9 | Ti1 | Trifolium incarnatum | Margot Forde Genebank, Palmerston North, New Zealand |
| 10 | Ti2 | Trifolium incarnatum | Margot Forde Genebank, Palmerston North, New Zealand |
| 11 | V1 | Trifolium vesiculosum | Margot Forde Genebank, Palmerston North, New Zealand |
| 12 | R1 | Trifolium resupinatum | Margot Forde Genebank, Palmerston North, New Zealand |
| 13 | F1 | Trifolium fragiferum | Margot Forde Genebank, Palmerston North, New Zealand |
| 14 | S1 | Trifolium subterraneum | Margot Forde Genebank, Palmerston North, New Zealand |
| 15 | H1 | Trifolium hybridum | Margot Forde Genebank, Palmerston North, New Zealand |
| 16 | A1 | Trifolium alexandrinum | Margot Forde Genebank, Palmerston North, New Zealand |
| Annotated Databases | Number of Unigenes | Percentage (%) |
|---|---|---|
| Annotated in COG | 1149 | 23.46 |
| Annotated in GO | 3547 | 72.42 |
| Annotated in KEGG | 2992 | 61.09 |
| Annotated in KOG | 2186 | 44.63 |
| Annotated in Pfam | 3542 | 72.32 |
| Annotated in Swiss-Prot | 2989 | 61.02 |
| Annotated in egg-NOG | 3563 | 72.78 |
| Annotated in NR | 4362 | 89.10 |
| Annotated in all databases | 658 | 13.43 |
| Annotated in at least one database | 4396 | 89.75 |
| lacked any match | 502 | 10.25 |
| Total unigenes | 5288 | 100.00 |
| Primers | TNB | NPB | PPB | PIC |
|---|---|---|---|---|
| chr1.jg2236 | 3 | 2 | 66.67% | 0.246 |
| chr1.jg2820 | 10 | 10 | 100.00% | 0.295 |
| chr1.jg4442 | 6 | 6 | 100.00% | 0.298 |
| chr1.jg8919 | 3 | 3 | 100.00% | 0.432 |
| chr1.jg9456 | 15 | 15 | 100.00% | 0.345 |
| chr2.jg250 | 6 | 6 | 100.00% | 0.346 |
| chr2.jg7616 | 6 | 6 | 100.00% | 0.417 |
| chr3.jg11316 | 12 | 12 | 100.00% | 0.343 |
| chr3.jg9084 | 8 | 8 | 100.00% | 0.369 |
| chr4.jg11225 | 10 | 10 | 100.00% | 0.313 |
| chr4.jg3520 | 8 | 8 | 100.00% | 0.284 |
| chr5.jg6570 | 3 | 3 | 100.00% | 0.117 |
| chr10.jg200 | 5 | 4 | 80.00% | 0.117 |
| chr10.jg2287 | 13 | 13 | 100.00% | 0.285 |
| chr10.jg2633 | 5 | 5 | 100.00% | 0.341 |
| chr10.jg5282 | 8 | 8 | 100.00% | 0.330 |
| chr11.jg2002 | 5 | 5 | 100.00% | 0.383 |
| chr11.jg560 | 8 | 8 | 100.00% | 0.304 |
| chr11.jg6294 | 6 | 6 | 100.00% | 0.361 |
| chr12.jg2994 | 3 | 3 | 100.00% | 0.370 |
| chr12.jg4919 | 6 | 6 | 100.00% | 0.421 |
| chr13.jg2923 | 8 | 8 | 100.00% | 0.260 |
| chr13.jg346 | 11 | 11 | 100.00% | 0.336 |
| chr13.jg5686 | 4 | 3 | 75.00% | 0.203 |
| Tr.ng15858 | 13 | 13 | 100.00% | 0.337 |
| Tr.ng21257 | 4 | 4 | 100.00% | 0.189 |
| Tr.ng2288 | 9 | 9 | 100.00% | 0.294 |
| Tr.ng3594 | 4 | 4 | 100.00% | 0.379 |
| Total | 202 | 199 | – | – |
| Average | 7.21 | 7.11 | 97.20% | 0.311 |
Disclaimer/Publisher’s Note: The statements, opinions and data contained in all publications are solely those of the individual author(s) and contributor(s) and not of MDPI and/or the editor(s). MDPI and/or the editor(s) disclaim responsibility for any injury to people or property resulting from any ideas, methods, instructions or products referred to in the content. |
© 2025 by the authors. Licensee MDPI, Basel, Switzerland. This article is an open access article distributed under the terms and conditions of the Creative Commons Attribution (CC BY) license (https://creativecommons.org/licenses/by/4.0/).
Share and Cite
He, J.; Yan, L.; Hu, R.; Ma, J.; Zhang, X.; Nie, G. Transcriptome-Based Development of EST-SSR Molecular Markers and Fingerprint Construction of Trifolium Species. Agronomy 2025, 15, 2764. https://doi.org/10.3390/agronomy15122764
He J, Yan L, Hu R, Ma J, Zhang X, Nie G. Transcriptome-Based Development of EST-SSR Molecular Markers and Fingerprint Construction of Trifolium Species. Agronomy. 2025; 15(12):2764. https://doi.org/10.3390/agronomy15122764
Chicago/Turabian StyleHe, Jie, Lijun Yan, Ruchang Hu, Jieyu Ma, Xinquan Zhang, and Gang Nie. 2025. "Transcriptome-Based Development of EST-SSR Molecular Markers and Fingerprint Construction of Trifolium Species" Agronomy 15, no. 12: 2764. https://doi.org/10.3390/agronomy15122764
APA StyleHe, J., Yan, L., Hu, R., Ma, J., Zhang, X., & Nie, G. (2025). Transcriptome-Based Development of EST-SSR Molecular Markers and Fingerprint Construction of Trifolium Species. Agronomy, 15(12), 2764. https://doi.org/10.3390/agronomy15122764

