Maleimide-Functionalized PEI600 Grafted Polyurethane: Synthesis, Nano-Complex Formation with DNA and Thiol-Conjugation of the Complexes for Dual DNA Transfection
Abstract
:1. Introduction
2. Experimental Section
2.1. Materials
2.2. Polymer Characterization
2.3. Synthesis of Polyurethane (PU) and PU-PEI600

2.4. Synthesis PU-PEI600-Maleimide

2.5. Preparation of Plasmid DNA and Cell Culture
2.6. Formation of PU-PEI600/DNA Complexes and PU-PEI600-Maleimide/DNA Complexes
2.7. Electrophoretic Mobility Assay of Polymer/DNA Complexes
2.8. Sizes of Polymer/DNA Complexes by Dynamic Light Scattering
2.9. XTT Cell Viability Assay for Cell Toxicity
2.10. Transfection Protocol for Cells Delivered with pCMV-LacZ DNA by ONPG Assay
2.11. Dual DNA Transfection via Thiol-Conjugates of PU-PEI600-Maleimide/DNA Complexes
3. Results and Discussion
3.1. Synthesis and Characterization of PU-PEI600 and PU-PEI600-Maleimide
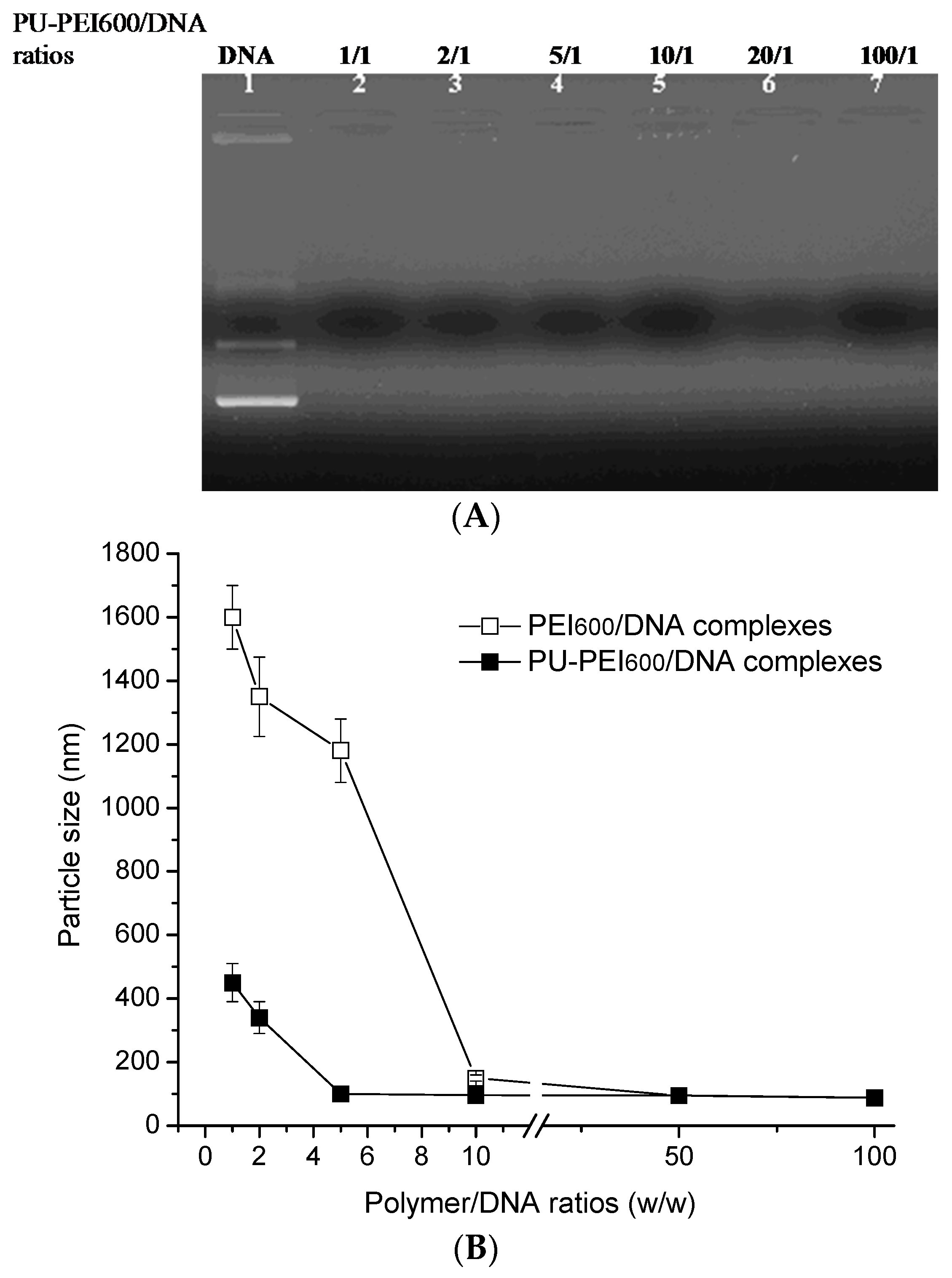
3.2. The Gel Retardation and Size Analysis of PU-PEI600/DNA Complexes

3.3. The Cytotoxicity and Transfection Assay of PU-PEI600/DNA Complexes

3.4. The Gel Retardation, Size Analysis and Transfection Efficiency of PU-PEI600-Maleimide/DNA Complexes

3.5. The Effect of Thiol-Conjugation on the Size and Cytotoxicity of PU-PEI600-Maleimide/DNA Complexes

3.6. Cellular Delivery of pCMV-lacZ DNA via PU-PEI600-Maleimide after Thiol-Conjugation


3.7. Dual Transfection of pEGFP-C2 and pLanRFP-N DNA via the Conjugates of PU-PEI600-Maleimide/DNA Complexes
4. Conclusions
Supplementary Materials
Acknowledgments
Author Contributions
Conflicts of Interest
References
- Boulaiz, H.; Marchal, J.A.; Prados, J.; Melguizo, C.; Aránega, A. Non-viral and viral vectors for gene therapy. Cell. Mol. Biol. 2005, 51, 3–22. [Google Scholar] [PubMed]
- Cherng, J.Y.; Hung, W.C.; Kao, H.C. Blending of polyethylenimine with a cationic polyurethane greatly enhances both DNA delivery efficacy and reduces the overall cytotoxicity. Curr. Pharm. Biotechnol. 2011, 12, 839–846. [Google Scholar] [CrossRef] [PubMed]
- Yang, Y.P.; Chien, Y.; Chiou, G.Y.; Cherng, J.Y.; Wang, M.L.; Lo, W.L.; Chang, Y.L.; Huang, P.I.; Chen, Y.W.; Shih, Y.H.; et al. Inhibition of cancer stem cell-like properties and reduced chemoradioresistance of glioblastoma using microRNA145 with cationic polyurethane-short branch PEI. Biomaterials 2012, 33, 1462–1476. [Google Scholar] [CrossRef] [PubMed]
- Zhang, S.; Xu, Y.; Wang, B.; Qiao, W.; Liu, D.; Li, Z. Cationic compounds used in lipoplexes and polyplexes for gene delivery. J. Control. Release 2004, 100, 165–180. [Google Scholar] [PubMed]
- Peng, C.H.; Cherng, J.Y.; Chiou, G.Y.; Chen, Y.C.; Chien, C.H.; Kao, C.L.; Chang, Y.L.; Chien, Y.; Chen, L.K.; Liu, J.H.; et al. Delivery of Oct4 and SirT1 with cationic polyurethanes-short branch PEI to aged retinal pigment epithelium. Biomaterials 2011, 32, 9077–9088. [Google Scholar] [PubMed]
- Jokinen, E.; Koivunen, J.P. Bcl-xl and Mcl-1 are the major determinants of the apoptotic response to dual PI3K and MEK blockage. Int. J. Oncol. 2015, 17, 1103–1110. [Google Scholar]
- Zhao, M.; He, H.W.; Sun, H.X.; Ren, K.H.; Shao, R.G. Dual knockdown of N-ras and epiregulin synergistically suppressed the growth of human hepatoma cells. Biochem. Biophys. Res. Commun. 2009, 387, 239–244. [Google Scholar] [CrossRef] [PubMed]
- Huang, M.; Nguyen, P.; Jia, F.; Hu, S.; Gong, Y.; de Almeida, P.E.; Wang, L.; Nag, D.; Kay, M.A.; Giaccia, A.J.; et al. Double knockdown of prolyl hydroxylase and factor-inhibiting hypoxia-inducible factor with nonviral minicircle gene therapy enhances stem cell mobilization and angiogenesis after myocardial infarction. Circulation 2011, 124, S46–S54. [Google Scholar] [CrossRef] [PubMed]
- Blancafort, A.; Giró-Perafita, A.; Oliveras, G.; Palomeras, S.; Turrado, C.; Campuzano, Ò.; Carrión-Salip, D.; Massaguer, A.; Brugada, R.; Palafox, M.; et al. Dual fatty acid synthase and HER2 signaling blockade shows marked antitumor activity against breast cancer models resistant to anti-HER2 drugs. PLoS ONE 2015. [Google Scholar] [CrossRef] [PubMed]
- Hung, W.C.; Cherng, J.Y. Self-assembly of PEG-oligonucleotide-based matrices and lipoplexes as DNase-responsive delivery systems. Polymer 2015, 67, 148–156. [Google Scholar] [CrossRef]
- Park, E.J.; Gevrek, T.N.; Sanyal, R.; Sanyal, A. Indispensable platforms for bioimmobilization: maleimide-based thiol reactive hydrogels. Bioconjug. Chem. 2014, 25, 2004–2011. [Google Scholar] [CrossRef] [PubMed]
- Gevrek, T.N.; Bilgic, T.; Klok, H.A.; Sanyal, A. Maleimide-functionalized thiol reactive copolymer brushes: Fabrication and post-polymerization modification. Macromolecules 2014, 47, 7842–7851. [Google Scholar] [CrossRef]
- Zhao, D.; Gong, T.; Zhu, D.; Zhang, Z.; Sun, X. Comprehensive comparison of two new biodegradable gene carriers. Int. J. Pharm. 2011, 413, 260–270. [Google Scholar] [CrossRef] [PubMed]
- Zhang, M.H.; Gu, Z.P.; Zhang, X.; Fan, M.M. pH-Sensitive ternary nanoparticles for nonviral gene delivery. RSC Adv. 2015, 5, 44291–44298. [Google Scholar] [CrossRef]
- Cherng, J.Y.; van de Wetering, P.; Talsma, H.; Crommelin, D.J.A.; Hennink, W.E. Effect of size and serum proteins on transfection efficiency of poly((2-dimethylamino)ethyl methacrylate)-plasmid nanoparticles. Pharm. Res. 1996, 13, 1038–1042. [Google Scholar] [CrossRef] [PubMed]
- Van de Wetering, P.; Cherng, J.Y.; Talsma, H.; Crommelin, D.J.A.; Hennink, W.E. 2-(dimethylamino)ethyl methacrylate based (co)polymers as gene transfer agents. J. Control. Release 1998, 53, 145–153. [Google Scholar] [CrossRef]
- Liu, X.Y.; Ho, W.Y.; Hung, W.J.; Shau, M.D. The characteristics and transfection efficiency of cationic poly (ester-co-urethane)–short chain PEI conjugates self-assembled with DNA. Biomaterials 2009, 30, 6665–6673. [Google Scholar] [CrossRef] [PubMed]
- Hung, W.C.; Shau, M.D.; Kao, H.C.; Shih, M.F.; Cherng, J.Y. The synthesis of cationic polyurethanes to study the effect of amines and structures on their DNA transfection potential. J. Control. Release 2009, 133, 68–76. [Google Scholar] [CrossRef] [PubMed]
- Jia, L.; Li, Z.; Zhang, D.; Zhang, Q.; Shen, J.; Guo, H.; Tian, X.; Liu, G.; Zheng, D.; Qi, L. Redox-responsive catiomer based on PEG-ss-chitosan oligosaccharide-ss-polyethylenimine copolymer for effective gene delivery. Polym. Chem. 2013, 4, 156–165. [Google Scholar] [CrossRef]
- Lavertu, M.; Méthot, S.; Tran-Khanh, N.; Buschmann, M.D. High efficiency gene transfer using chitosan/DNA nanoparticles with specific combinations of molecular weight and degree of deacetylation. Biomaterials 2006, 27, 4815–4824. [Google Scholar] [CrossRef] [PubMed]
- Needham, C.J.; Shah, S.R.; Dahlin, R.L.; Kinard, L.A.; Lam, J.; Watson, B.M.; Lu, S.; Kasper, F.K.; Mikos, A.G. Osteochondral tissue regeneration through polymeric delivery of DNA encoding for the SOX trio and RUNX2. Acta Biomater. 2014, 10, 4103–4112. [Google Scholar] [CrossRef] [PubMed]
- Cherng, J.Y.; Talsma, H.; Verrijk, R.; Crommelin, D.J.A.; Hennink, W.E. The effect of formulation parameters on the size of poly-((2-dimethylamino) ethyl methacrylate)-plasmid complexes. Eur. J. Pharm. Biopharm. 1999, 47, 215–224. [Google Scholar] [CrossRef]
- Li, G.Y.; Guan, R.L.; Ji, L.N.; Chao, H. DNA condensation induced by metal complexes. Coord. Chem. Rev. 2014, 281, 100–113. [Google Scholar] [CrossRef]
© 2015 by the authors; licensee MDPI, Basel, Switzerland. This article is an open access article distributed under the terms and conditions of the Creative Commons by Attribution (CC-BY) license (http://creativecommons.org/licenses/by/4.0/).
Share and Cite
Hung, W.-C.; Cherng, J.-Y. Maleimide-Functionalized PEI600 Grafted Polyurethane: Synthesis, Nano-Complex Formation with DNA and Thiol-Conjugation of the Complexes for Dual DNA Transfection. Polymers 2015, 7, 2131-2145. https://doi.org/10.3390/polym7101503
Hung W-C, Cherng J-Y. Maleimide-Functionalized PEI600 Grafted Polyurethane: Synthesis, Nano-Complex Formation with DNA and Thiol-Conjugation of the Complexes for Dual DNA Transfection. Polymers. 2015; 7(10):2131-2145. https://doi.org/10.3390/polym7101503
Chicago/Turabian StyleHung, Wei-Chih, and Jong-Yuh Cherng. 2015. "Maleimide-Functionalized PEI600 Grafted Polyurethane: Synthesis, Nano-Complex Formation with DNA and Thiol-Conjugation of the Complexes for Dual DNA Transfection" Polymers 7, no. 10: 2131-2145. https://doi.org/10.3390/polym7101503
APA StyleHung, W.-C., & Cherng, J.-Y. (2015). Maleimide-Functionalized PEI600 Grafted Polyurethane: Synthesis, Nano-Complex Formation with DNA and Thiol-Conjugation of the Complexes for Dual DNA Transfection. Polymers, 7(10), 2131-2145. https://doi.org/10.3390/polym7101503
