Local Magnetic Hyperthermia and Systemic Gemcitabine/Paclitaxel Chemotherapy Triggers Neo-Angiogenesis in Orthotopic Pancreatic Tumors without Involvement of Auto/Paracrine Tumor Cell VEGF Signaling and Hypoxia
Abstract
Simple Summary
Abstract
1. Introduction
2. Materials and Methods
2.1. Magnetic Nanoparticles
2.2. Orthotopic Pancreatic Tumor Model in Mice
2.3. Animal Groups and Experimentation Procedure
2.4. Magnetic Hyperthermia and Calculation of Tumor Thermal Doses
2.5. Transmission Electron Microscopy (TEM)
2.6. Immunohistochemistry of Angiogenic Proteins Expressed in PANC-1 Tumors
2.7. Hemograms
2.8. Multispectral Optoacoustic Tomography (MSOT)
2.9. Statistics
3. Results
3.1. Bimodal Therapy of Magnetic Hyperthermia and Chemotherapy Slowed Tumor Growth and Decreased Tumor Volume
3.2. Bimodal Therapy Reduces Intratumoral Angiogenesis in PANC-1 Orthotopic Tumors
3.3. Bimodal Therapy Decreased the Integrity of the Tumor Endothelium as Measured by the Intensity of CD31 Expression in the Endothelium
3.4. Bimodal Therapy Showed a Shift of Tumor Vessel Diameters towards an Increased Number of Smaller Vessels
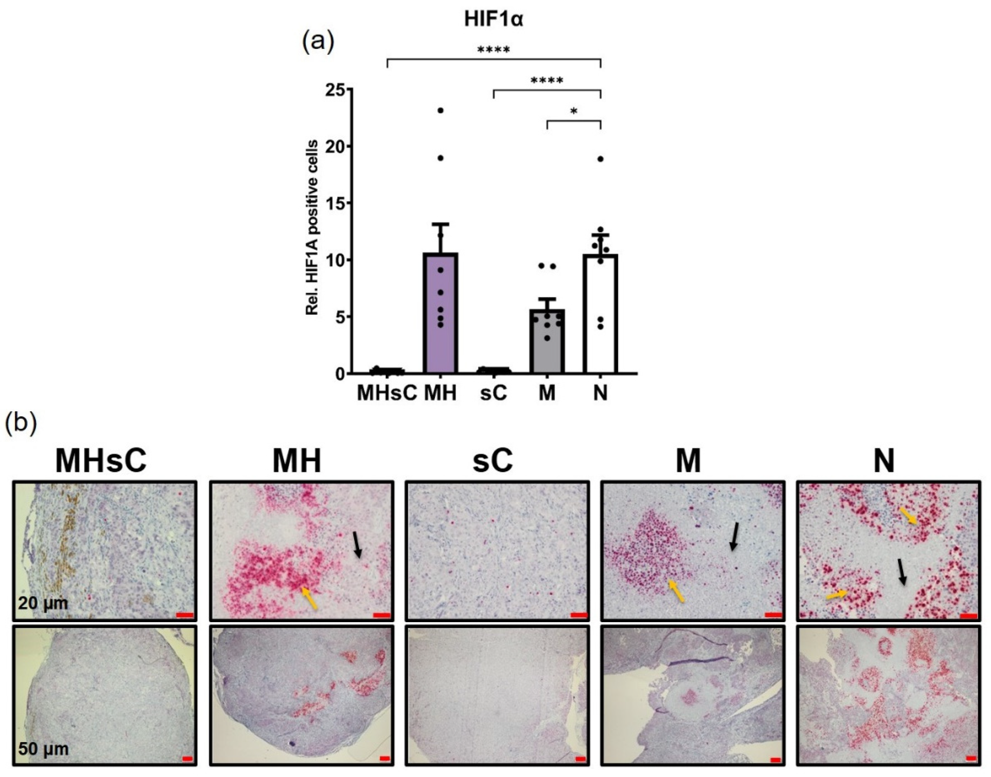
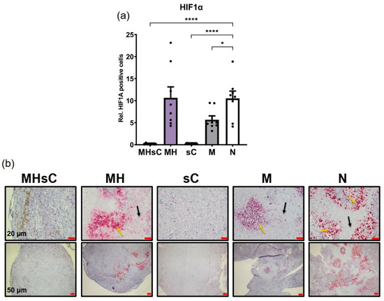
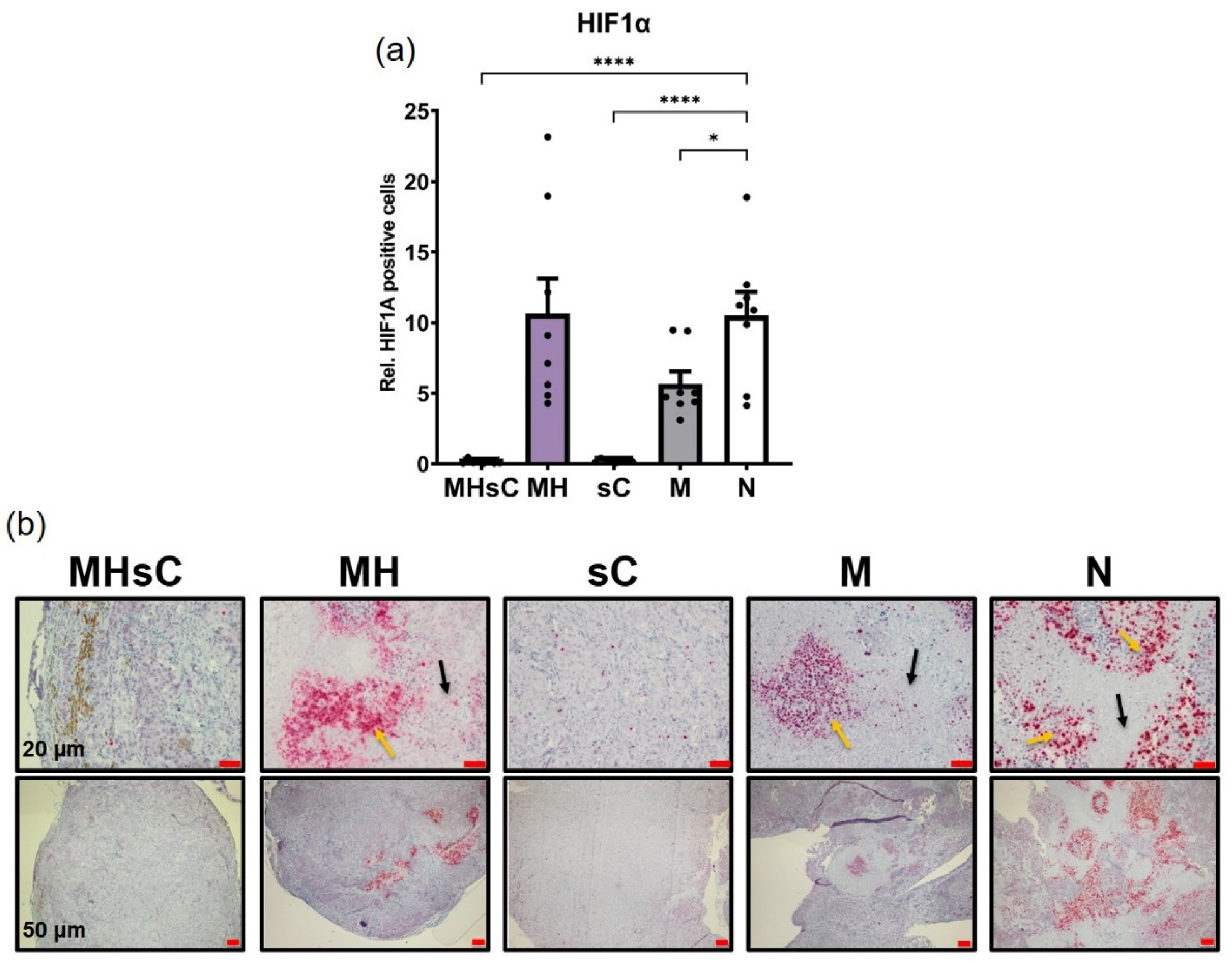
3.5. Bimodal Therapy Downregulates HIF-1α Expression and Hypoxic Regions within the Tumor
3.6. Tumor Blood Volume and Tumor Oxygen Saturation
4. Discussion
5. Conclusions
Supplementary Materials
Author Contributions
Funding
Institutional Review Board Statement
Informed Consent Statement
Data Availability Statement
Acknowledgments
Conflicts of Interest
References
- Wang, S.; Zheng, Y.; Yang, F.; Zhu, L.; Zhu, X.Q.; Wang, Z.F.; Wu, X.L.; Zhou, C.H.; Yan, J.Y.; Hu, B.Y.; et al. The molecular biology of pancreatic adenocarcinoma: Translational challenges and clinical perspectives. Signal Transduct. Target. Ther. 2021, 6, 249. [Google Scholar] [CrossRef] [PubMed]
- Ganga, A.; Kim, E.J.; Mintzer, G.L.; Adriance, W.; Wang, R.; Cholankeril, G.; Balkrishnan, R.; Somasundar, P.S. Disparities in primary pancreatic adenocarcinoma survival by Medicaid-status: A national population-based risk analysis. Eur. J. Surg. Oncol. 2023, 49, 1242–1249. [Google Scholar] [CrossRef] [PubMed]
- Mizrahi, J.D.; Surana, R.; Valle, J.W.; Shroff, R.T. Pancreatic cancer. Lancet 2020, 395, 2008–2020. [Google Scholar] [CrossRef] [PubMed]
- Iqbal, M.; Khawaja, U.A.; Soomro, U.; Rizvi, S.A.A.; Rizvi, Z.H. Pancreatic adenocarcinoma in the elderly–recurrence and survival: A physician’s challenge. Adv. Cancer Biol.-Metastasis 2023, 7, 100092. [Google Scholar] [CrossRef]
- Smith, C.; Zheng, W.; Dong, J.; Wang, Y.; Lai, J.; Liu, X.; Yin, F. Tumor microenvironment in pancreatic ductal adenocarcinoma: Implications in immunotherapy. World J. Gastroenterol. 2022, 28, 3297–3313. [Google Scholar] [CrossRef]
- Katsuta, E.; Qi, Q.; Peng, X.; Hochwald, S.N.; Yan, L.; Takabe, K. Pancreatic adenocarcinomas with mature blood vessels have better overall survival. Sci. Rep. 2019, 9, 1310. [Google Scholar] [CrossRef]
- Ho, W.J.; Jaffee, E.M.; Zheng, L. The tumour microenvironment in pancreatic cancer—Clinical challenges and opportunities. Nat. Rev. Clin. Oncol. 2020, 17, 527–540. [Google Scholar] [CrossRef]
- Dougan, S.K. The Pancreatic Cancer Microenvironment. Cancer J. 2017, 23, 321–325. [Google Scholar] [CrossRef]
- Garcea, G.; Doucas, H.; Steward, W.P.; Dennison, A.R.; Berry, D.P. Hypoxia and angiogenesis in pancreatic cancer. ANZ J. Surg. 2006, 76, 830–842. [Google Scholar] [CrossRef]
- Li, S.; Xu, H.X.; Wu, C.T.; Wang, W.Q.; Jin, W.; Gao, H.L.; Li, H.; Zhang, S.R.; Xu, J.Z.; Qi, Z.H.; et al. Angiogenesis in pancreatic cancer: Current research status and clinical implications. Angiogenesis 2019, 22, 15–36. [Google Scholar] [CrossRef]
- Kuehn, R.; Lelkes, P.I.; Bloechle, C.; Niendorf, A.; Izbicki, J.R. Angiogenesis, angiogenic growth factors, and cell adhesion molecules are upregulated in chronic pancreatic diseases: Angiogenesis in chronic pancreatitis and in pancreatic cancer. Pancreas 1999, 18, 96–103. [Google Scholar] [CrossRef] [PubMed]
- Ikeda, N.; Adachi, M.; Taki, T.; Huang, C.; Hashida, H.; Takabayashi, A.; Sho, M.; Nakajima, Y.; Kanehiro, H.; Hisanaga, M.; et al. Prognostic significance of angiogenesis in human pancreatic cancer. Br. J. Cancer 1999, 79, 1553–1563. [Google Scholar] [CrossRef] [PubMed]
- Niedergethmann, M.; Hildenbrand, R.; Wolf, G.; Verbeke, C.S.; Richter, A.; Post, S. Angiogenesis and cathepsin expression are prognostic factors in pancreatic adenocarcinoma after curative resection. Int. J. Pancreatol. 2000, 28, 31–39. [Google Scholar] [CrossRef] [PubMed]
- Dabaghi, M.; Quaas, R.; Hilger, I. The Treatment of Heterotopic Human Colon Xenograft Tumors in Mice with 5-Fluorouracil Attached to Magnetic Nanoparticles in Combination with Magnetic Hyperthermia Is More Efficient than Either Therapy Alone. Cancers 2020, 12, 2562. [Google Scholar] [CrossRef] [PubMed]
- Liu, S.; Shi, D.; Chen, L.; Yan, Y.; Wang, X.; Song, Y.; Pu, S.; Liang, Y.; Zhao, Y.; Zhang, Y.; et al. Paclitaxel-loaded magnetic nanocrystals for tumor neovascular-targeted theranostics: An amplifying synergistic therapy combining magnetic hyperthermia with chemotherapy. Nanoscale 2021, 13, 3613–3626. [Google Scholar] [CrossRef] [PubMed]
- Xiang, Z.; Qi, Y.; Lu, Y.; Hu, Z.; Wang, X.; Jia, W.; Hu, J.; Ji, J.; Lu, W. MOF-derived novel porous Fe(3)O(4)@C nanocomposites as smart nanomedical platforms for combined cancer therapy: Magnetic-triggered synergistic hyperthermia and chemotherapy. J. Mater. Chem. B 2020, 8, 8671–8683. [Google Scholar] [CrossRef] [PubMed]
- Liu, F.; Wu, H.; Peng, B.; Zhang, S.; Ma, J.; Deng, G.; Zou, P.; Liu, J.; Chen, A.T.; Li, D.; et al. Vessel-Targeting Nanoclovers Enable Noninvasive Delivery of Magnetic Hyperthermia-Chemotherapy Combination for Brain Cancer Treatment. Nano Lett. 2021, 21, 8111–8118. [Google Scholar] [CrossRef]
- Tansi, F.L.; Fröbel, F.; Maduabuchi, W.O.; Steiniger, F.; Westermann, M.; Quaas, R.; Teichgräber, U.K.; Hilger, I. Effect of Matrix-Modulating Enzymes on The Cellular Uptake of Magnetic Nanoparticles and on Magnetic Hyperthermia Treatment of Pancreatic Cancer Models In Vivo. Nanomaterials 2021, 11, 438. [Google Scholar] [CrossRef]
- Shah, V.M.; Sheppard, B.C.; Sears, R.C.; Alani, A.W. Hypoxia: Friend or Foe for drug delivery in Pancreatic Cancer. Cancer Lett. 2020, 492, 63–70. [Google Scholar] [CrossRef]
- Duffy, J.P.; Eibl, G.; Reber, H.A.; Hines, O.J. Influence of hypoxia and neoangiogenesis on the growth of pancreatic cancer. Mol. Cancer 2003, 2, 12. [Google Scholar] [CrossRef]
- Abou Khouzam, R.; Lehn, J.M.; Mayr, H.; Clavien, P.A.; Wallace, M.B.; Ducreux, M.; Limani, P.; Chouaib, S. Hypoxia, a Targetable Culprit to Counter Pancreatic Cancer Resistance to Therapy. Cancers 2023, 15, 1235. [Google Scholar] [CrossRef] [PubMed]
- Büchler, P.; Reber, H.A.; Büchler, M.; Shrinkante, S.; Büchler, M.W.; Friess, H.; Semenza, G.L.; Hines, O.J. Hypoxia-inducible factor 1 regulates vascular endothelial growth factor expression in human pancreatic cancer. Pancreas 2003, 26, 56–64. [Google Scholar] [CrossRef]
- Eddy, H.A. Alterations in tumor microvasculature during hyperthermia. Radiology 1980, 137, 515–521. [Google Scholar] [CrossRef] [PubMed]
- Onishi, T.; Machida, T.; Iizuka, N.; Nakauchi, K.; Shirakawa, H.; Masuda, F.; Mochizuki, S.; Tsukamoto, H.; Harada, N. Influence of differences in tumor vascularity upon the effects of hyperthermia. Urol. Res. 1990, 18, 313–318. [Google Scholar] [CrossRef] [PubMed]
- Kang, J.K.; Kim, J.C.; Shin, Y.; Han, S.M.; Won, W.R.; Her, J.; Park, J.Y.; Oh, K.T. Principles and applications of nanomaterial-based hyperthermia in cancer therapy. Arch. Pharm. Res. 2020, 43, 46–57. [Google Scholar] [CrossRef]
- Hergt, R.; Andrä, W.; d’Ambly, C.G.; Hilger, I.; Kaiser, W.A.; Richter, U.; Schmidt, H.-G. Physical limits of hyperthermia using magnetite fine particles. IEEE Transactions on Magnetics 1998, 34, 3745–3754. [Google Scholar] [CrossRef]
- Jha, S.; Sharma, P.K.; Malviya, R. Hyperthermia: Role and Risk Factor for Cancer Treatment. Achiev. Life Sci. 2016, 10, 161–167. [Google Scholar] [CrossRef]
- Dennis, C.L.; Ivkov, R. Physics of heat generation using magnetic nanoparticles for hyperthermia. Int. J. Hyperth. 2013, 29, 715–729. [Google Scholar] [CrossRef]
- Ludwig, R.; Teran, F.J.; Teichgraeber, U.; Hilger, I. Nanoparticle-based hyperthermia distinctly impacts production of ROS, expression of Ki-67, TOP2A, and TPX2, and induction of apoptosis in pancreatic cancer. Int. J. Nanomed. 2017, 12, 1009–1018. [Google Scholar] [CrossRef]
- Tansi, F.L.; Maduabuchi, W.O.; Hirsch, M.; Southern, P.; Hattersley, S.; Quaas, R.; Teichgräber, U.; Pankhurst, Q.A.; Hilger, I. Deep-tissue localization of magnetic field hyperthermia using pulse sequencing. Int. J. Hyperth. 2021, 38, 743–754. [Google Scholar] [CrossRef]
- Goel, H.L.; Mercurio, A.M. VEGF targets the tumour cell. Nat. Rev. Cancer 2013, 13, 871–882. [Google Scholar] [CrossRef] [PubMed]
- Tomaszewski, M.R.; Quiros-Gonzalez, I.; Joseph, J.; Bohndiek, S.E. Measurement of changes in blood oxygenation using Multispectral Optoacoustic Tomography (MSOT) allows assessment of tumor development. In Proceedings of the Photons Plus Ultrasound: Imaging and Sensing 2016, San Francisco, CA, USA, 1 March 2016; p. 97081F. [Google Scholar]
- Wang, L.V. Multiscale photoacoustic microscopy and computed tomography. Nat. Photonics 2009, 3, 503–509. [Google Scholar] [CrossRef] [PubMed]
- Toffaletti, J.; Zijlstra, W.G. Misconceptions in reporting oxygen saturation. Anesth. Analg. 2007, 105, S5–S9. [Google Scholar] [CrossRef] [PubMed]
- Schober, P.; Boer, C.; Schwarte, L.A. Correlation Coefficients: Appropriate Use and Interpretation. Anesth. Analg. 2018, 126, 1763–1768. [Google Scholar] [CrossRef] [PubMed]
- Lertkiatmongkol, P.; Liao, D.; Mei, H.; Hu, Y.; Newman, P.J. Endothelial functions of platelet/endothelial cell adhesion molecule-1 (CD31). Curr. Opin. Hematol. 2016, 23, 253–259. [Google Scholar] [CrossRef]
- Parzych, K.R.; Klionsky, D.J. An overview of autophagy: Morphology, mechanism, and regulation. Antioxid. Redox Signal 2014, 20, 460–473. [Google Scholar] [CrossRef]
- Jiang, Q.; Li, F.; Shi, K.; Wu, P.; An, J.; Yang, Y.; Xu, C. Involvement of p38 in signal switching from autophagy to apoptosis via the PERK/eIF2α/ATF4 axis in selenite-treated NB4 cells. Cell Death Dis. 2014, 5, e1270. [Google Scholar] [CrossRef]
- Jiao, L.; Zhang, H.L.; Li, D.D.; Yang, K.L.; Tang, J.; Li, X.; Ji, J.; Yu, Y.; Wu, R.Y.; Ravichandran, S.; et al. Regulation of glycolytic metabolism by autophagy in liver cancer involves selective autophagic degradation of HK2 (hexokinase 2). Autophagy 2018, 14, 671–684. [Google Scholar] [CrossRef]
- Leung, S.W.S.; Shi, Y. The glycolytic process in endothelial cells and its implications. Acta Pharmacol. Sin. 2022, 43, 251–259. [Google Scholar] [CrossRef]
- Sanhaji, M.; Göring, J.; Couleaud, P.; Aires, A.; Cortajarena, A.L.; Courty, J.; Prina-Mello, A.; Stapf, M.; Ludwig, R.; Volkov, Y.; et al. The phenotype of target pancreatic cancer cells influences cell death by magnetic hyperthermia with nanoparticles carrying gemicitabine and the pseudo-peptide NucAnt. Nanomedicine 2019, 20, 101983. [Google Scholar] [CrossRef]
- Zhang, W.; Fan, W.; Rachagani, S.; Zhou, Z.; Lele, S.M.; Batra, S.K.; Garrison, J.C. Comparative Study of Subcutaneous and Orthotopic Mouse Models of Prostate Cancer: Vascular Perfusion, Vasculature Density, Hypoxic Burden and BB2r-Targeting Efficacy. Sci. Rep. 2019, 9, 11117. [Google Scholar] [CrossRef] [PubMed]
- Hallasch, S.; Frick, S.; Jung, M.; Hilger, I. How gastrin-releasing peptide receptor (GRPR) and α(v)β(3) integrin expression reflect reorganization features of tumors after hyperthermia treatments. Sci. Rep. 2017, 7, 6916. [Google Scholar] [CrossRef] [PubMed]
- Coppé, J.P.; Desprez, P.Y.; Krtolica, A.; Campisi, J. The senescence-associated secretory phenotype: The dark side of tumor suppression. Annu. Rev. Pathol. 2010, 5, 99–118. [Google Scholar] [CrossRef] [PubMed]
- Cai, W.; Sun, X.; Jin, F.; Xiao, D.; Li, H.; Sun, H.; Wang, Y.; Lu, Y.; Liu, J.; Huang, C.; et al. PERK-eIF2α-ERK1/2 axis drives mesenchymal-endothelial transition of cancer-associated fibroblasts in pancreatic cancer. Cancer Lett. 2021, 515, 86–95. [Google Scholar] [CrossRef]
- Vaupel, P.; Thews, O.; Kelleher, D.K.; Hoeckel, M. Current Status of Knowledge and Critical Issues in Tumor Oxygenation. In Oxygen Transport to Tissue XX; Hudetz, A.G., Bruley, D.F., Eds.; Springer: Boston, MA, USA, 1998; pp. 591–602. [Google Scholar] [CrossRef]
- Huang, P.; Plunkett, W. Induction of apoptosis by gemcitabine. Semin. Oncol. 1995, 22, 19–25. [Google Scholar] [PubMed]
- Plunkett, W.; Huang, P.; Xu, Y.Z.; Heinemann, V.; Grunewald, R.; Gandhi, V. Gemcitabine: Metabolism, mechanisms of action, and self-potentiation. Semin. Oncol. 1995, 22, 3–10. [Google Scholar]
- Bold, R.J.; Chandra, J.; McConkey, D.J. Gemcitabine-induced programmed cell death (apoptosis) of human pancreatic carcinoma is determined by Bcl-2 content. Ann. Surg. Oncol. 1999, 6, 279–285. [Google Scholar] [CrossRef]
- Schiff, P.B.; Fant, J.; Horwitz, S.B. Promotion of microtubule assembly in vitro by taxol. Nature 1979, 277, 665–667. [Google Scholar] [CrossRef]
- von Haefen, C.; Wieder, T.; Essmann, F.; Schulze-Osthoff, K.; Dörken, B.; Daniel, P.T. Paclitaxel-induced apoptosis in BJAB cells proceeds via a death receptor-independent, caspases-3/-8-driven mitochondrial amplification loop. Oncogene 2003, 22, 2236–2247. [Google Scholar] [CrossRef][Green Version]
- Yardley, D.A. nab-Paclitaxel mechanisms of action and delivery. J. Control Release 2013, 170, 365–372. [Google Scholar] [CrossRef]
- Matkar, P.N.; Singh, K.K.; Rudenko, D.; Kim, Y.J.; Kuliszewski, M.A.; Prud’homme, G.J.; Hedley, D.W.; Leong-Poi, H. Novel regulatory role of neuropilin-1 in endothelial-to-mesenchymal transition and fibrosis in pancreatic ductal adenocarcinoma. Oncotarget 2016, 7, 69489–69506. [Google Scholar] [CrossRef] [PubMed]







| ID | Nano-Particles | Magnetic Field Exposure | Systemic Chemotherapy | Animal Number |
|---|---|---|---|---|
| MHsC | Yes | 2 cycles | 7 cycles | 5 |
| MH | Yes | 2 cycles | None | 5 |
| sC | None | None | 7 cycles | 5 |
| M | Yes | None | None | 5 |
| N | None | None | None | 5 |
| Animal Group | No. | Tumor Vol. (mm3) | Injected Vol. (μL) | Tmax (°C) Day 1 | ΔTosc (°C) Day 1 Mean ± SD | Tmax (°C) Day 7 | ΔTosc (°C) Day 7 Mean ± SD |
|---|---|---|---|---|---|---|---|
| A | 270 | 54 | 42.6 | 0.94 ± 0.42 | 40.2 | 1.07 ± 0.11 | |
| B | 192 | 30 | 39.8 | 0.45 ± 0.05 | 39.0 | 0.54 ± 0.10 | |
| MHsC | C | 283 | 50 | 41.0 | 0.73 ± 0.17 | 39.2 | 0.56 ± 0.09 |
| D | 130 | 21 | 39.4 | 0.48 ± 0.09 | 38.6 | 0.29 ± 0.13 | |
| E | 165 | 33 | 40.8 | 0.78 ± 0.08 | 40.5 | 0.73 ± 0.07 | |
| A | 141 | 20 | 37.2 | 0.34 ± 0.15 | 40.0 | 0.35 ± 0.12 | |
| B | 312 | 45 | 37.0 | 0.38 ± 0.16 | 40.9 | 0.29 ± 0.14 | |
| MH | C | 93 | 18 | 38.4 | 0.35 ± 0.11 | 40.4 | 0.36 ± 0.08 |
| D | 157 | 30 | 38.2 | 0.60 ± 0.14 | 38.8 | 0.44 ± 0.08 | |
| E | 180 | 36 | 40.1 | 0.60 ± 0.18 | 40.3 | 0.64 ± 0.05 |
Disclaimer/Publisher’s Note: The statements, opinions and data contained in all publications are solely those of the individual author(s) and contributor(s) and not of MDPI and/or the editor(s). MDPI and/or the editor(s) disclaim responsibility for any injury to people or property resulting from any ideas, methods, instructions or products referred to in the content. |
© 2023 by the authors. Licensee MDPI, Basel, Switzerland. This article is an open access article distributed under the terms and conditions of the Creative Commons Attribution (CC BY) license (https://creativecommons.org/licenses/by/4.0/).
Share and Cite
Maduabuchi, W.O.; Tansi, F.L.; Faenger, B.; Southern, P.; Pankhurst, Q.A.; Steiniger, F.; Westermann, M.; Hilger, I. Local Magnetic Hyperthermia and Systemic Gemcitabine/Paclitaxel Chemotherapy Triggers Neo-Angiogenesis in Orthotopic Pancreatic Tumors without Involvement of Auto/Paracrine Tumor Cell VEGF Signaling and Hypoxia. Cancers 2024, 16, 33. https://doi.org/10.3390/cancers16010033
Maduabuchi WO, Tansi FL, Faenger B, Southern P, Pankhurst QA, Steiniger F, Westermann M, Hilger I. Local Magnetic Hyperthermia and Systemic Gemcitabine/Paclitaxel Chemotherapy Triggers Neo-Angiogenesis in Orthotopic Pancreatic Tumors without Involvement of Auto/Paracrine Tumor Cell VEGF Signaling and Hypoxia. Cancers. 2024; 16(1):33. https://doi.org/10.3390/cancers16010033
Chicago/Turabian StyleMaduabuchi, Wisdom O., Felista L. Tansi, Bernd Faenger, Paul Southern, Quentin A. Pankhurst, Frank Steiniger, Martin Westermann, and Ingrid Hilger. 2024. "Local Magnetic Hyperthermia and Systemic Gemcitabine/Paclitaxel Chemotherapy Triggers Neo-Angiogenesis in Orthotopic Pancreatic Tumors without Involvement of Auto/Paracrine Tumor Cell VEGF Signaling and Hypoxia" Cancers 16, no. 1: 33. https://doi.org/10.3390/cancers16010033
APA StyleMaduabuchi, W. O., Tansi, F. L., Faenger, B., Southern, P., Pankhurst, Q. A., Steiniger, F., Westermann, M., & Hilger, I. (2024). Local Magnetic Hyperthermia and Systemic Gemcitabine/Paclitaxel Chemotherapy Triggers Neo-Angiogenesis in Orthotopic Pancreatic Tumors without Involvement of Auto/Paracrine Tumor Cell VEGF Signaling and Hypoxia. Cancers, 16(1), 33. https://doi.org/10.3390/cancers16010033

