Diagnostic and Therapeutic Strategy in Anaplastic (Malignant) Meningioma, CNS WHO Grade 3
Abstract
Simple Summary
Abstract
1. Introduction
2. Search Strategy
- -
- -
- -
- -
- -
- -
3. Clinical Symptoms
4. Pathology
4.1. Histopathological Diagnosis
4.2. Rhabdoid and Papillary Meningiomas
4.3. Anaplastic (Malignant) Meningioma
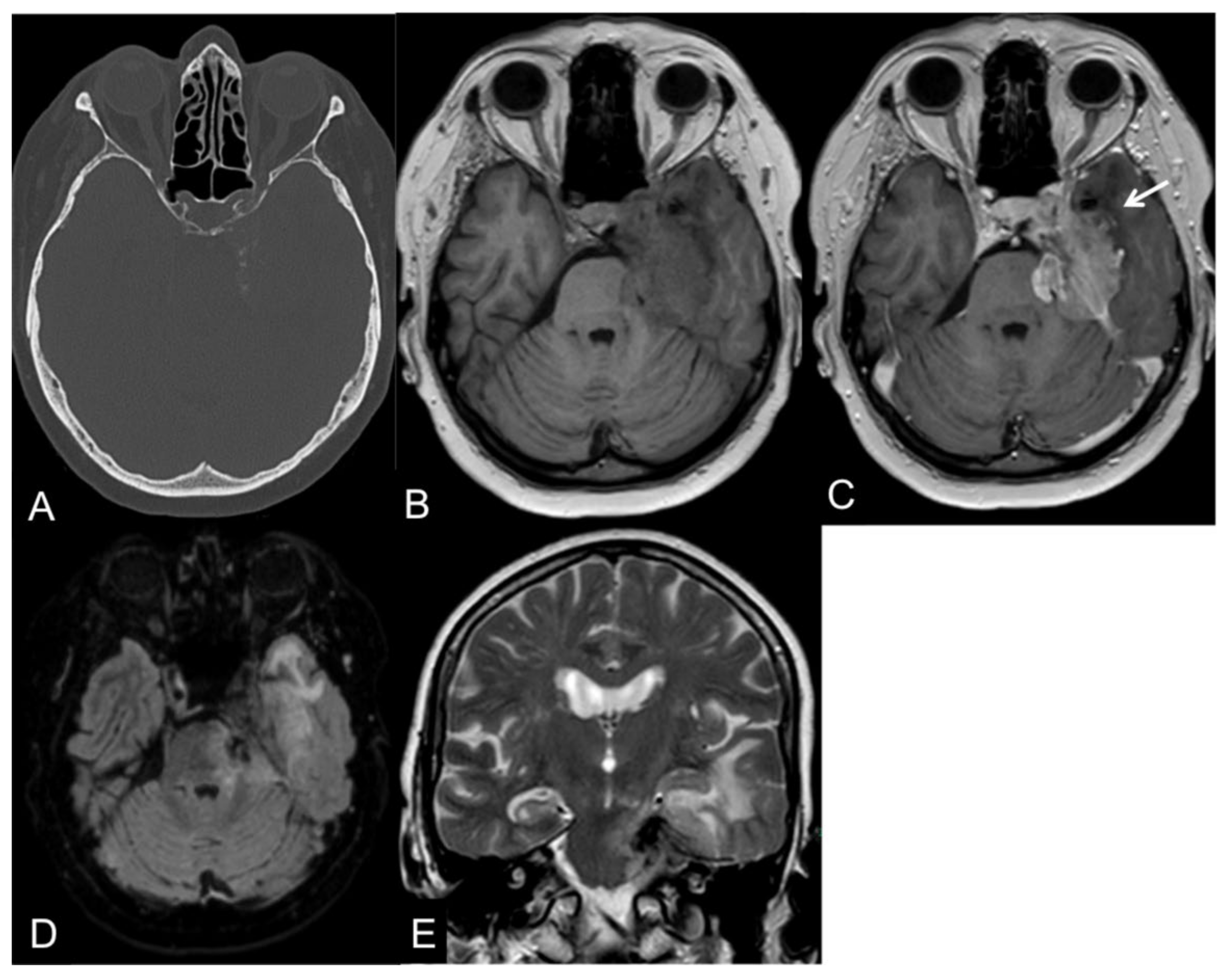
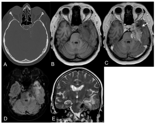
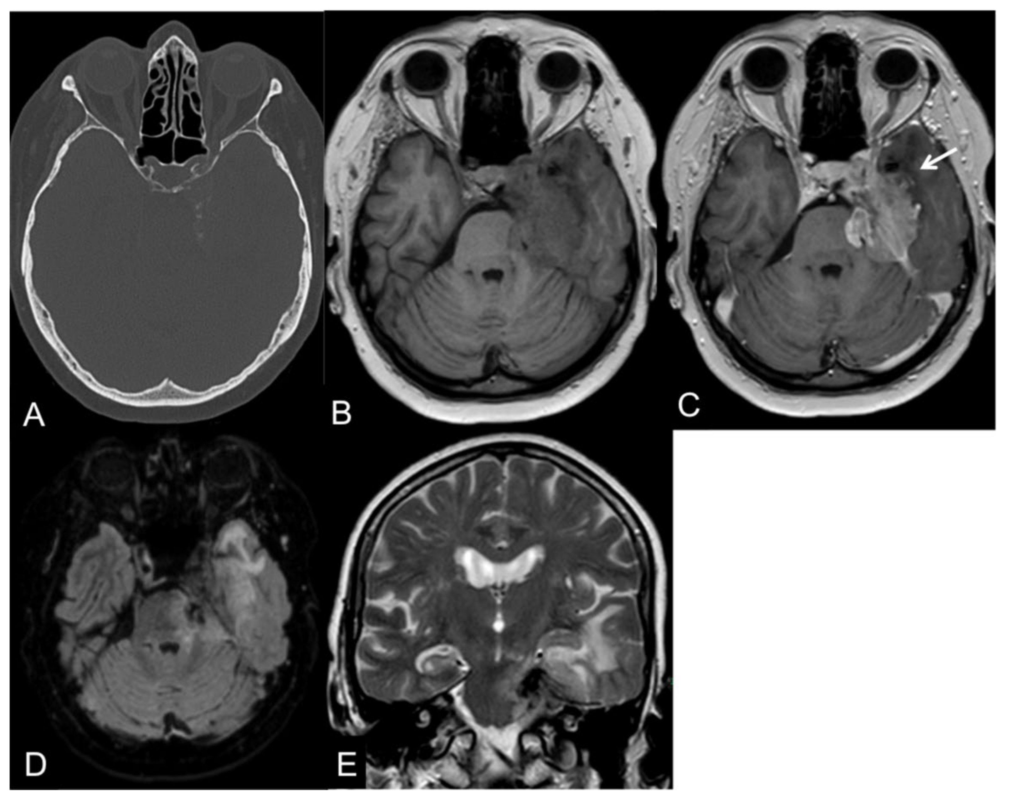
5. Radiological Features
6. Surgical Approach
7. Radiotherapy
8. Systemic Treatments
9. Conclusions
Author Contributions
Funding
Conflicts of Interest
Abbreviations
| ADC: | apparent diffusion coefficient |
| AKT: | protein kinase B |
| BRCA: | BRCA-associated protein |
| CDKN2A/2B: | cyclin-dependent kinase inhibitor |
| CNS: | central nervous system |
| CR: | complete response |
| CSF: | cerebrospinal fluid |
| CT: | computed tomography |
| CTLA4: | cytotoxic T-lypmhocyte antigen 4 |
| CTV: | clinical target volume |
| DWI: | diffusion-weighted imaging |
| EBRT: | external beam radiation therapy |
| EGFR: | epidermic growth factor receptors |
| EMA: | epithelial membrane antigen |
| EOR: | extent of resection |
| EORTC: | European Organization for Research and Treatment of Cancer |
| EZH2: | enhancer of zeste 2 polycomb repressive complex 2 subunit |
| FAK: | focal adhesion kinase |
| FGFR: | fibroblast growth factor receptor |
| FOXM1: | Forkhead box M1 |
| GRADE: | grading of recommendations, assessment, development, and evaluation |
| GTR: | gross total resection |
| H3: | histone 3 |
| ICIs: | immune-checkpoint inhibitors |
| KIT: | stem cell factor receptor |
| MEK: | mitogen-activated protein kinase |
| MM: | malignant meningioma |
| MR: | minor response |
| MRI: | magnetic resonance imaging |
| MTORC1: | mammalian target of rapamycin complex 1 |
| NCDB: | National Cancer Database |
| NF2: | neurofibromatosis type 2 gene |
| OS: | overall survival |
| PD-1: | programmed death receptor 1 |
| PD: | progressive disease |
| PFS: | progression-free survival |
| PIK3CA: | phosphatidylinositol-4,5-bisphosphate 3-kinase catalytic subunit alpha |
| PR: | partial response |
| RANO: | response assessment in neuro-oncology |
| rCBV: | relative cerebral blood volume |
| RT: | radiation therapy |
| RTOG: | radiation therapy oncology group |
| SD: | stable disease |
| SMO: | smoothened frizzled class receptor |
| SRS: | stereotactic radiosurgery |
| SSTR2A: | somatostatin receptor 2A |
| STR: | subtotal resection |
| TERT: | telomerase reverse transcriptase |
| TIL: | tumor-infiltrating lymphocytes |
| TRAF7: | tumor necrosis factor receptor associated factor 7 |
| VEGF: | vascular endothelial growth factor |
| VEGFR: | vascular endothelial growth factor receptor |
| WHO: | World Health Organization |
References
- Louis, D.N.; Perry, A.; Wesseling, P.; Brat, D.J.; Cree, I.A.; Figarella-Branger, D.; Hawkins, C.; Ng, H.K.; Pfister, S.M.; Reifenberger, G.; et al. The 2021 WHO Classification of Tumors of the Central Nervous System: A summary. Neuro-oncology 2021, 23, 1231–1251. [Google Scholar] [CrossRef] [PubMed]
- Ostrom, Q.T.; Gittleman, H.; Fulop, J.; Liu, M.; Blanda, R.; Kromer, C.; Wolinsky, Y.; Kruchko, C.; Barnholtz-Sloan, J.S. CBTRUS Statistical Report: Primary Brain and Central Nervous System Tumors Diagnosed in the United States in 2008-2012. Neuro-oncology 2015, 17 (Suppl. 4), iv1–iv62. [Google Scholar] [CrossRef] [PubMed]
- Garzon-Muvdi, T.; Yang, W.; Lim, M.; Brem, H.; Huang, J. Atypical and anaplastic meningioma: Outcomes in a population based study. J. Neurooncol. 2017, 133, 321–330. [Google Scholar] [CrossRef] [PubMed]
- Hanft, S.; Canoll, P.; Bruce, J.N. A review of malignant meningiomas: Diagnosis, characteristics, and treatment. J. Neurooncol. 2010, 99, 433–443. [Google Scholar] [CrossRef]
- Peyre, M.; Gauchotte, G.; Giry, M.; Froehlich, S.; Pallud, J.; Graillon, T.; Bielle, F.; Cazals-Hatem, D.; Varlet, P.; Figarella-Branger, D.; et al. De novo and secondary anaplastic meningiomas: A study of clinical and histomolecular prognostic factors. Neuro-oncology 2018, 20, 1113–1121. [Google Scholar] [CrossRef]
- Zhang, G.J.; Zhang, Y.S.; Zhang, G.B.; Li, D.; Zhang, L.W.; Wu, Z.; Zhang, J.T. Prognostic factors and the management of anaplastic meningioma. Clin. Neurol. Neurosurg. 2018, 170, 13–19. [Google Scholar] [CrossRef]
- Zhao, P.; Hu, M.; Zhao, M.; Ren, X.; Jiang, Z. Prognostic factors for patients with atypical or malignant meningiomas treated at a single center. Neurosurg. Rev. 2015, 38, 101–107, discussion 107. [Google Scholar] [CrossRef]
- Moliterno, J.; Cope, W.P.; Vartanian, E.D.; Reiner, A.S.; Kellen, R.; Ogilvie, S.Q.; Huse, J.T.; Gutin, P.H. Survival in patients treated for anaplastic meningioma. J. Neurosurg. 2015, 123, 23–30. [Google Scholar] [CrossRef]
- Champeaux, C.; Jecko, V. World Health Organization grade III meningiomas. A retrospective study for outcome and prognostic factors assessment. Neurochirurgie 2016, 62, 203–208. [Google Scholar] [CrossRef]
- Maier, A.D.; Mirian, C.; Haslund-Vinding, J.; Bartek, J.; Guldager, R.; Møller, S.; Munch, T.N.; Fugleholm, K.; Poulsgaard, L.; Skjøth-Rasmussen, J.; et al. Granular clinical history and outcome in 51 patients with primary and secondary malignant meningioma. J. Neurosurg. 2022, 1–11. [Google Scholar] [CrossRef]
- Cao, X.; Hao, S.; Wu, Z.; Wang, L.; Jia, G.; Zhang, L.; Zhang, J. Survival rates, prognostic factors and treatment of anaplastic meningiomas. J. Clin. Neurosci. 2015, 22, 828–833. [Google Scholar] [CrossRef]
- Champeaux, C.; Wilson, E.; Brandner, S.; Shieff, C.; Thorne, L. World Health Organization grade III meningiomas. A retrospective study for outcome and prognostic factors assessment. Br. J. Neurosurg. 2015, 29, 693–698. [Google Scholar] [CrossRef]
- Hua, L.; Zhu, H.; Li, J.; Tang, H.; Kuang, D.; Wang, Y.; Tang, F.; Chen, X.; Zhou, L.; Xie, Q.; et al. Prognostic value of estrogen receptor in WHO Grade III meningioma: A long-term follow-up study from a single institution. J. Neurosurg. 2018, 128, 1698–1706. [Google Scholar] [CrossRef]
- Orton, A.; Frandsen, J.; Jensen, R.; Shrieve, D.C.; Suneja, G. Anaplastic meningioma: An analysis of the National Cancer Database from 2004 to 2012. J. Neurosurg. 2018, 128, 1684–1689. [Google Scholar] [CrossRef]
- Balasubramanian, S.K.; Sharma, M.; Silva, D.; Karivedu, V.; Schmitt, P.; Stevens, G.H.; Barnett, G.H.; Prayson, R.A.; Elson, P.; Suh, J.H.; et al. Longitudinal experience with WHO Grade III (anaplastic) meningiomas at a single institution. J. Neurooncol. 2017, 131, 555–563. [Google Scholar] [CrossRef]
- Nishida, N.; Kanchiku, T.; Imajo, Y.; Suzuki, H.; Yoshida, Y.; Kato, Y.; Hoshii, Y.; Taguchi, T. A case of an anaplastic meningioma metastasizing to the mediastinal lymph nodes. J. Spinal Cord Med. 2016, 39, 484–492. [Google Scholar] [CrossRef]
- Nayil, K.; Makhdoomi, R.; Malik, R.; Ramzan, A. Intraparenchymal anaplastic meningioma in a child: A rare entity. Asian J. Neurosurg. 2015, 10, 111–113. [Google Scholar] [CrossRef][Green Version]
- Najjar, M.W.; Abdul Halim, N.H.; Sukhon, F.R.; Youssef, B.; Assi, H.I. Anaplastic Meningioma Presenting as a Left Parietal Mass: A Case Report. Am. J. Case Rep. 2017, 18, 1166–1170. [Google Scholar] [CrossRef]
- Maggio, I.; Franceschi, E.; Tosoni, A.; Nunno, V.D.; Gatto, L.; Lodi, R.; Brandes, A.A. Meningioma: Not always a benign tumor. A review of advances in the treatment of meningiomas. CNS Oncol. 2021, 10, Cns72. [Google Scholar] [CrossRef]
- Maggio, I.; Franceschi, E.; Di Nunno, V.; Gatto, L.; Tosoni, A.; Angelini, D.; Bartolini, S.; Lodi, R.; Brandes, A.A. Discovering the Molecular Landscape of Meningioma: The Struggle to Find New Therapeutic Targets. Diagnostics 2021, 11, 1852. [Google Scholar] [CrossRef]
- Lambertz, N.; Koehler, J.; Schulte, D.M.; Kuehl, H.; Wohlschlaeger, J.; Hense, J.; Schuler, M.; Mueller, O.M. Multivisceral systemic metastases from an intracranial anaplastic meningioma: A case report and review of literature. Clin. Neurol. Neurosurg. 2011, 113, 592–595. [Google Scholar] [CrossRef]
- Honda, Y.; Shirayama, R.; Morita, H.; Kusuhara, K. Pulmonary and pleural metastasis of intracranial anaplastic meningioma in a 3-year-old boy: A case report. Mol. Clin. Oncol. 2017, 7, 633–636. [Google Scholar] [CrossRef][Green Version]
- Güngör, S.; Gökdemir, G.; Tarıkçı, N.; Sayılgan, T.; Bek, S. Intracranial anaplastic meningioma presenting as a cutaneous lesion: A case report of a cutaneous meningioma. Dermatol. Online J. 2012, 18, 6. [Google Scholar] [CrossRef]
- Corniola, M.V.; Landis, B.N.; Migliorini, D.; Lobrinus, J.A.; Ares, C.; Schaller, K.; Jägersberg, M. Rapidly Growing Pulmonary Metastasis from Anaplastic Meningioma with Lethal Outcome: A Case Report. J. Neurol. Surg. Rep. 2017, 78, e129–e134. [Google Scholar] [CrossRef][Green Version]
- Cao, H.; Jiang, B.; Zhao, Y.; Fan, C. A rare subtype of meningioma: Case series of anaplastic meningioma and review of the literature. Medicine 2018, 97, e11019. [Google Scholar] [CrossRef]
- Ahmeti, H.; Maslehaty, H.; Petridis, A.K.; Doukas, A.; Mahvash, M.; Barth, H.; Mehdorn, H.M. Extensive growth of an anaplastic meningioma. Case Rep. Neurol. Med. 2013, 2013, 527184. [Google Scholar] [CrossRef]
- Bale, T.A.; Benhamida, J.; Roychoudury, S.; Villafania, L.; Wrzolek, M.A.; Bouffard, J.P.; Bapat, K.; Ladanyi, M.; Rosenblum, M.K. Infarction with associated pseudosarcomatous changes mimics anaplasia in otherwise grade I meningiomas. Mod. Pathol. 2020, 33, 1298–1306. [Google Scholar] [CrossRef]
- Boström, J.; Meyer-Puttlitz, B.; Wolter, M.; Blaschke, B.; Weber, R.G.; Lichter, P.; Ichimura, K.; Collins, V.P.; Reifenberger, G. Alterations of the tumor suppressor genes CDKN2A (p16(INK4a)), p14(ARF), CDKN2B (p15(INK4b)), and CDKN2C (p18(INK4c)) in atypical and anaplastic meningiomas. Am. J. Pathol. 2001, 159, 661–669. [Google Scholar] [CrossRef]
- Gauchotte, G.; Peyre, M.; Pouget, C.; Cazals-Hatem, D.; Polivka, M.; Rech, F.; Varlet, P.; Loiseau, H.; Lacomme, S.; Mokhtari, K.; et al. Prognostic Value of Histopathological Features and Loss of H3K27me3 Immunolabeling in Anaplastic Meningioma: A Multicenter Retrospective Study. J. Neuropathol. Exp. Neurol. 2020, 79, 754–762. [Google Scholar] [CrossRef]
- Goutagny, S.; Nault, J.C.; Mallet, M.; Henin, D.; Rossi, J.Z.; Kalamarides, M. High incidence of activating TERT promoter mutations in meningiomas undergoing malignant progression. Brain Pathol. 2014, 24, 184–189. [Google Scholar] [CrossRef]
- Katz, L.M.; Hielscher, T.; Liechty, B.; Silverman, J.; Zagzag, D.; Sen, R.; Wu, P.; Golfinos, J.G.; Reuss, D.; Neidert, M.C.; et al. Loss of histone H3K27me3 identifies a subset of meningiomas with increased risk of recurrence. Acta Neuropathol. 2018, 135, 955–963. [Google Scholar] [CrossRef] [PubMed]
- Low, J.T.; Ostrom, Q.T.; Cioffi, G.; Neff, C.; Waite, K.A.; Kruchko, C.; Barnholtz-Sloan, J.S. Primary brain and other central nervous system tumors in the United States (2014–2018): A summary of the CBTRUS statistical report for clinicians. Neurooncol. Pract. 2022, 9, 165–182. [Google Scholar] [CrossRef] [PubMed]
- Lucas, C.G.; Devine, P.; Solomon, D.A.; Giannini, C.; Reifenberger, G.; Dahiya, S.; Caccamo, D.; Perry, A. Sarcomatous Meningioma: Diagnostic Pitfalls and the Utility of Molecular Testing. J. Neuropathol. Exp. Neurol. 2021, 80, 764–768. [Google Scholar] [CrossRef] [PubMed]
- Ludwin, S.K.; Rubinstein, L.J.; Russell, D.S. Papillary meningioma: A malignant variant of meningioma. Cancer 1975, 36, 1363–1373. [Google Scholar] [CrossRef]
- Maas, S.L.N.; Stichel, D.; Hielscher, T.; Sievers, P.; Berghoff, A.S.; Schrimpf, D.; Sill, M.; Euskirchen, P.; Blume, C.; Patel, A.; et al. Integrated Molecular-Morphologic Meningioma Classification: A Multicenter Retrospective Analysis, Retrospectively and Prospectively Validated. J. Clin. Oncol. 2021, 39, 3839–3852. [Google Scholar] [CrossRef]
- Maier, A.D.; Stenman, A.; Svahn, F.; Mirian, C.; Bartek, J., Jr.; Juhler, M.; Zedenius, J.; Broholm, H.; Mathiesen, T. TERT promoter mutations in primary and secondary WHO grade III meningioma. Brain Pathol. 2021, 31, 61–69. [Google Scholar] [CrossRef]
- Nassiri, F.; Wang, J.Z.; Singh, O.; Karimi, S.; Dalcourt, T.; Ijad, N.; Pirouzmand, N.; Ng, H.K.; Saladino, A.; Pollo, B.; et al. Loss of H3K27me3 in meningiomas. Neuro-oncology 2021, 23, 1282–1291. [Google Scholar] [CrossRef]
- Perry, A.; Scheithauer, B.W.; Stafford, S.L.; Abell-Aleff, P.C.; Meyer, F.B. “Rhabdoid” meningioma: An aggressive variant. Am. J. Surg. Pathol. 1998, 22, 1482–1490. [Google Scholar] [CrossRef]
- Peyre, M.; Kalamarides, M. Molecular genetics of meningiomas: Building the roadmap towards personalized therapy. Neurochirurgie 2018, 64, 22–28. [Google Scholar] [CrossRef]
- Sahm, F.; Schrimpf, D.; Olar, A.; Koelsche, C.; Reuss, D.; Bissel, J.; Kratz, A.; Capper, D.; Schefzyk, S.; Hielscher, T.; et al. TERT Promoter Mutations and Risk of Recurrence in Meningioma. J. Natl. Cancer Inst. 2016, 108, djv377. [Google Scholar] [CrossRef]
- Shankar, G.M.; Abedalthagafi, M.; Vaubel, R.A.; Merrill, P.H.; Nayyar, N.; Gill, C.M.; Brewster, R.; Bi, W.L.; Agarwalla, P.K.; Thorner, A.R.; et al. Germline and somatic BAP1 mutations in high-grade rhabdoid meningiomas. Neuro-oncology 2017, 19, 535–545. [Google Scholar] [CrossRef]
- Sievers, P.; Hielscher, T.; Schrimpf, D.; Stichel, D.; Reuss, D.E.; Berghoff, A.S.; Neidert, M.C.; Wirsching, H.G.; Mawrin, C.; Ketter, R.; et al. CDKN2A/B homozygous deletion is associated with early recurrence in meningiomas. Acta Neuropathol. 2020, 140, 409–413. [Google Scholar] [CrossRef]
- Suppiah, S.; Nassiri, F.; Bi, W.L.; Dunn, I.F.; Hanemann, C.O.; Horbinski, C.M.; Hashizume, R.; James, C.D.; Mawrin, C.; Noushmehr, H.; et al. Molecular and translational advances in meningiomas. Neuro-oncology 2019, 21, i4–i17. [Google Scholar] [CrossRef]
- Vaubel, R.A.; Chen, S.G.; Raleigh, D.R.; Link, M.J.; Chicoine, M.R.; Barani, I.; Jenkins, S.M.; Aleff, P.A.; Rodriguez, F.J.; Burger, P.C.; et al. Meningiomas With Rhabdoid Features Lacking Other Histologic Features of Malignancy: A Study of 44 Cases and Review of the Literature. J. Neuropathol. Exp. Neurol. 2016, 75, 44–52. [Google Scholar] [CrossRef]
- Yuzawa, S.; Nishihara, H.; Tanino, M.; Kimura, T.; Moriya, J.; Kamoshima, Y.; Nagashima, K.; Tanaka, S. A case of cerebral astroblastoma with rhabdoid features: A cytological, histological, and immunohistochemical study. Brain Tumor Pathol. 2016, 33, 63–70. [Google Scholar] [CrossRef]
- Buhl, R.; Nabavi, A.; Wolff, S.; Hugo, H.H.; Alfke, K.; Jansen, O.; Mehdorn, H.M. MR spectroscopy in patients with intracranial meningiomas. Neurol. Res. 2007, 29, 43–46. [Google Scholar] [CrossRef]
- Chen, C.; Guo, X.; Wang, J.; Guo, W.; Ma, X.; Xu, J. The Diagnostic Value of Radiomics-Based Machine Learning in Predicting the Grade of Meningiomas Using Conventional Magnetic Resonance Imaging: A Preliminary Study. Front. Oncol. 2019, 9, 1338. [Google Scholar] [CrossRef]
- Ellingson, B.M.; Bendszus, M.; Boxerman, J.; Barboriak, D.; Erickson, B.J.; Smits, M.; Nelson, S.J.; Gerstner, E.; Alexander, B.; Goldmacher, G.; et al. Consensus recommendations for a standardized Brain Tumor Imaging Protocol in clinical trials. Neuro-oncology 2015, 17, 1188–1198. [Google Scholar] [CrossRef]
- Filippi, C.G.; Edgar, M.A.; Uluğ, A.M.; Prowda, J.C.; Heier, L.A.; Zimmerman, R.D. Appearance of meningiomas on diffusion-weighted images: Correlating diffusion constants with histopathologic findings. AJNR Am. J. Neuroradiol. 2001, 22, 65–72. [Google Scholar]
- Huang, R.Y.; Bi, W.L.; Weller, M.; Kaley, T.; Blakeley, J.; Dunn, I.; Galanis, E.; Preusser, M.; McDermott, M.; Rogers, L.; et al. Proposed response assessment and endpoints for meningioma clinical trials: Report from the Response Assessment in Neuro-Oncology Working Group. Neuro-oncology 2019, 21, 26–36. [Google Scholar] [CrossRef]
- Morin, O.; Chen, W.C.; Nassiri, F.; Susko, M.; Magill, S.T.; Vasudevan, H.N.; Wu, A.; Vallières, M.; Gennatas, E.D.; Valdes, G.; et al. Integrated models incorporating radiologic and radiomic features predict meningioma grade, local failure, and overall survival. Neurooncol. Adv. 2019, 1, vdz011. [Google Scholar] [CrossRef]
- Nagar, V.A.; Ye, J.R.; Ng, W.H.; Chan, Y.H.; Hui, F.; Lee, C.K.; Lim, C.C. Diffusion-weighted MR imaging: Diagnosing atypical or malignant meningiomas and detecting tumor dedifferentiation. AJNR Am. J. Neuroradiol. 2008, 29, 1147–1152. [Google Scholar] [CrossRef]
- O’Leary, S.; Adams, W.M.; Parrish, R.W.; Mukonoweshuro, W. Atypical imaging appearances of intracranial meningiomas. Clin. Radiol. 2007, 62, 10–17. [Google Scholar] [CrossRef]
- Park, Y.W.; Oh, J.; You, S.C.; Han, K.; Ahn, S.S.; Choi, Y.S.; Chang, J.H.; Kim, S.H.; Lee, S.K. Radiomics and machine learning may accurately predict the grade and histological subtype in meningiomas using conventional and diffusion tensor imaging. Eur. Radiol. 2019, 29, 4068–4076. [Google Scholar] [CrossRef]
- Santelli, L.; Ramondo, G.; Della Puppa, A.; Ermani, M.; Scienza, R.; d’Avella, D.; Manara, R. Diffusion-weighted imaging does not predict histological grading in meningiomas. Acta Neurochir. 2010, 152, 1315–1319, discussion 1319. [Google Scholar] [CrossRef]
- Zeng, L.; Liang, P.; Jiao, J.; Chen, J.; Lei, T. Will an Asymptomatic Meningioma Grow or Not Grow? A Meta-analysis. J. Neurol. Surg. A Cent. Eur. Neurosurg. 2015, 76, 341–347. [Google Scholar] [CrossRef]
- Zhang, H.; Rödiger, L.A.; Shen, T.; Miao, J.; Oudkerk, M. Perfusion MR imaging for differentiation of benign and malignant meningiomas. Neuroradiology 2008, 50, 525–530. [Google Scholar] [CrossRef]
- Aghi, M.K.; Carter, B.S.; Cosgrove, G.R.; Ojemann, R.G.; Amin-Hanjani, S.; Martuza, R.L.; Curry, W.T., Jr.; Barker, F.G., 2nd. Long-term recurrence rates of atypical meningiomas after gross total resection with or without postoperative adjuvant radiation. Neurosurgery 2009, 64, 56–60, discussion 60. [Google Scholar] [CrossRef]
- Buerki, R.A.; Horbinski, C.M.; Kruser, T.; Horowitz, P.M.; James, C.D.; Lukas, R.V. An overview of meningiomas. Future Oncol. 2018, 14, 2161–2177. [Google Scholar] [CrossRef]
- Buttrick, S.; Shah, A.H.; Komotar, R.J.; Ivan, M.E. Management of Atypical and Anaplastic Meningiomas. Neurosurg. Clin. N. Am. 2016, 27, 239–247. [Google Scholar] [CrossRef]
- Condra, K.S.; Buatti, J.M.; Mendenhall, W.M.; Friedman, W.A.; Marcus, R.B., Jr.; Rhoton, A.L. Benign meningiomas: Primary treatment selection affects survival. Int. J. Radiat. Oncol. Biol. Phys. 1997, 39, 427–436. [Google Scholar] [CrossRef]
- Fountain, D.M.; Young, A.M.H.; Santarius, T. Malignant meningiomas. Handb. Clin. Neurol. 2020, 170, 245–250. [Google Scholar] [CrossRef] [PubMed]
- Graffeo, C.S.; Leeper, H.E.; Perry, A.; Uhm, J.H.; Lachance, D.J.; Brown, P.D.; Ma, D.J.; Van Gompel, J.J.; Giannini, C.; Johnson, D.R.; et al. Revisiting Adjuvant Radiotherapy after Gross Total Resection of World Health Organization Grade II Meningioma. World Neurosurg. 2017, 103, 655–663. [Google Scholar] [CrossRef] [PubMed]
- Hoefnagel, D.; Kwee, L.E.; van Putten, E.H.; Kros, J.M.; Dirven, C.M.; Dammers, R. The incidence of postoperative thromboembolic complications following surgical resection of intracranial meningioma. A retrospective study of a large single center patient cohort. Clin. Neurol. Neurosurg. 2014, 123, 150–154. [Google Scholar] [CrossRef]
- Komotar, R.J.; Raper, D.M.; Starke, R.M.; Iorgulescu, J.B.; Gutin, P.H. Prophylactic antiepileptic drug therapy in patients undergoing supratentorial meningioma resection: A systematic analysis of efficacy. J. Neurosurg. 2011, 115, 483–490. [Google Scholar] [CrossRef]
- Mohanty, S.; Bilimoria, K.Y. Comparing national cancer registries: The National Cancer Data Base (NCDB) and the Surveillance, Epidemiology, and End Results (SEER) program. J. Surg. Oncol. 2014, 109, 629–630. [Google Scholar] [CrossRef]
- Palma, L.; Celli, P.; Franco, C.; Cervoni, L.; Cantore, G. Long-term prognosis for atypical and malignant meningiomas: A study of 71 surgical cases. Neurosurg. Focus 1997, 2, e3. [Google Scholar] [CrossRef]
- Perry, A. Unmasking the secrets of meningioma: A slow but rewarding journey. Surg. Neurol. 2004, 61, 171–173. [Google Scholar] [CrossRef]
- Rogers, L.; Gilbert, M.; Vogelbaum, M.A. Intracranial meningiomas of atypical (WHO grade II) histology. J. Neurooncol. 2010, 99, 393–405. [Google Scholar] [CrossRef]
- Simpson, D. The recurrence of intracranial meningiomas after surgical treatment. J. Neurol. Neurosurg. Psychiatry 1957, 20, 22–39. [Google Scholar] [CrossRef]
- Sughrue, M.E.; Sanai, N.; Shangari, G.; Parsa, A.T.; Berger, M.S.; McDermott, M.W. Outcome and survival following primary and repeat surgery for World Health Organization Grade III meningiomas. J. Neurosurg. 2010, 113, 202–209. [Google Scholar] [CrossRef]
- Wilson, T.A.; Huang, L.; Ramanathan, D.; Lopez-Gonzalez, M.; Pillai, P.; De Los Reyes, K.; Kumal, M.; Boling, W. Review of Atypical and Anaplastic Meningiomas: Classification, Molecular Biology, and Management. Front. Oncol. 2020, 10, 565582. [Google Scholar] [CrossRef]
- Zhu, H.; Xie, Q.; Zhou, Y.; Chen, H.; Mao, Y.; Zhong, P.; Zheng, K.; Wang, Y.; Wang, Y.; Xie, L.; et al. Analysis of prognostic factors and treatment of anaplastic meningioma in China. J. Clin. Neurosci. 2015, 22, 690–695. [Google Scholar] [CrossRef]
- Zhang, M.; Ho, A.L.; D’Astous, M.; Pendharkar, A.V.; Choi, C.Y.; Thompson, P.A.; Tayag, A.T.; Soltys, S.G.; Gibbs, I.C.; Chang, S.D. CyberKnife Stereotactic Radiosurgery for Atypical and Malignant Meningiomas. World Neurosurg. 2016, 91, 574–581.e571. [Google Scholar] [CrossRef]
- Weber, D.C.; Ares, C.; Villa, S.; Peerdeman, S.M.; Renard, L.; Baumert, B.G.; Lucas, A.; Veninga, T.; Pica, A.; Jefferies, S.; et al. Adjuvant postoperative high-dose radiotherapy for atypical and malignant meningioma: A phase-II parallel non-randomized and observation study (EORTC 22042-26042). Radiother. Oncol. 2018, 128, 260–265. [Google Scholar] [CrossRef]
- Turbin, R.E.; Thompson, C.R.; Kennerdell, J.S.; Cockerham, K.P.; Kupersmith, M.J. A long-term visual outcome comparison in patients with optic nerve sheath meningioma managed with observation, surgery, radiotherapy, or surgery and radiotherapy. Ophthalmology 2002, 109, 890–899, discussion 899–900. [Google Scholar] [CrossRef]
- Rogers, C.L.; Won, M.; Vogelbaum, M.A.; Perry, A.; Ashby, L.S.; Modi, J.M.; Alleman, A.M.; Galvin, J.; Fogh, S.E.; Youssef, E.; et al. High-risk Meningioma: Initial Outcomes From NRG Oncology/RTOG 0539. Int. J. Radiat. Oncol. Biol. Phys. 2020, 106, 790–799. [Google Scholar] [CrossRef]
- Pollock, B.E.; Stafford, S.L.; Link, M.J.; Garces, Y.I.; Foote, R.L. Stereotactic radiosurgery of World Health Organization grade II and III intracranial meningiomas: Treatment results on the basis of a 22-year experience. Cancer 2012, 118, 1048–1054. [Google Scholar] [CrossRef]
- Ojemann, S.G.; Sneed, P.K.; Larson, D.A.; Gutin, P.H.; Berger, M.S.; Verhey, L.; Smith, V.; Petti, P.; Wara, W.; Park, E.; et al. Radiosurgery for malignant meningioma: Results in 22 patients. J. Neurosurg. 2000, 93 (Suppl. 3), 62–67. [Google Scholar] [CrossRef]
- Milosevic, M.F.; Frost, P.J.; Laperriere, N.J.; Wong, C.S.; Simpson, W.J. Radiotherapy for atypical or malignant intracranial meningioma. Int. J. Radiat. Oncol. Biol. Phys. 1996, 34, 817–822. [Google Scholar] [CrossRef]
- Mendenhall, W.M.; Morris, C.G.; Amdur, R.J.; Foote, K.D.; Friedman, W.A. Radiotherapy alone or after subtotal resection for benign skull base meningiomas. Cancer 2003, 98, 1473–1482. [Google Scholar] [CrossRef]
- Mattozo, C.A.; De Salles, A.A.; Klement, I.A.; Gorgulho, A.; McArthur, D.; Ford, J.M.; Agazaryan, N.; Kelly, D.F.; Selch, M.T. Stereotactic radiation treatment for recurrent nonbenign meningiomas. J. Neurosurg. 2007, 106, 846–854. [Google Scholar] [CrossRef]
- Magill, S.T.; Lau, D.; Raleigh, D.R.; Sneed, P.K.; Fogh, S.E.; McDermott, M.W. Surgical Resection and Interstitial Iodine-125 Brachytherapy for High-Grade Meningiomas: A 25-Year Series. Neurosurgery 2017, 80, 409–416. [Google Scholar] [CrossRef]
- Korah, M.P.; Nowlan, A.W.; Johnstone, P.A.; Crocker, I.R. Radiation therapy alone for imaging-defined meningiomas. Int. J. Radiat. Oncol. Biol. Phys. 2010, 76, 181–186. [Google Scholar] [CrossRef]
- Hug, E.B.; Devries, A.; Thornton, A.F.; Munzenride, J.E.; Pardo, F.S.; Hedley-Whyte, E.T.; Bussiere, M.R.; Ojemann, R. Management of atypical and malignant meningiomas: Role of high-dose, 3D-conformal radiation therapy. J. Neurooncol. 2000, 48, 151–160. [Google Scholar] [CrossRef]
- Goldsmith, B.J.; Wara, W.M.; Wilson, C.B.; Larson, D.A. Postoperative irradiation for subtotally resected meningiomas. A retrospective analysis of 140 patients treated from 1967 to 1990. J. Neurosurg. 1994, 80, 195–201. [Google Scholar] [CrossRef]
- Goldbrunner, R.; Stavrinou, P.; Jenkinson, M.D.; Sahm, F.; Mawrin, C.; Weber, D.C.; Preusser, M.; Minniti, G.; Lund-Johansen, M.; Lefranc, F.; et al. EANO guideline on the diagnosis and management of meningiomas. Neuro-oncology 2021, 23, 1821–1834. [Google Scholar] [CrossRef]
- Goldbrunner, R.; Minniti, G.; Preusser, M.; Jenkinson, M.D.; Sallabanda, K.; Houdart, E.; von Deimling, A.; Stavrinou, P.; Lefranc, F.; Lund-Johansen, M.; et al. EANO guidelines for the diagnosis and treatment of meningiomas. Lancet Oncol. 2016, 17, e383–e391. [Google Scholar] [CrossRef]
- El-Khatib, M.; El Majdoub, F.; Hoevels, M.; Kocher, M.; Müller, R.P.; Steiger, H.J.; Sturm, V.; Maarouf, M. Stereotactic LINAC radiosurgery for incompletely resected or recurrent atypical and anaplastic meningiomas. Acta Neurochir. 2011, 153, 1761–1767. [Google Scholar] [CrossRef]
- Dziuk, T.W.; Woo, S.; Butler, E.B.; Thornby, J.; Grossman, R.; Dennis, W.S.; Lu, H.; Carpenter, L.S.; Chiu, J.K. Malignant meningioma: An indication for initial aggressive surgery and adjuvant radiotherapy. J. Neurooncol. 1998, 37, 177–188. [Google Scholar] [CrossRef]
- Brastianos, P.K.; Kim, A.E.; Giobbie-Hurder, A.; Lee, E.Q.; Wang, N.; Eichler, A.F.; Chukwueke, U.; Forst, D.A.; Arrillaga-Romany, I.C.; Dietrich, J.; et al. Phase 2 study of pembrolizumab in patients with recurrent and residual high-grade meningiomas. Nat. Commun. 2022, 13, 1325. [Google Scholar] [CrossRef] [PubMed]
- Brastianos, P.K.; Galanis, E.; Butowski, N.; Chan, J.W.; Dunn, I.F.; Goldbrunner, R.; Herold-Mende, C.; Ippen, F.M.; Mawrin, C.; McDermott, M.W.; et al. Advances in multidisciplinary therapy for meningiomas. Neuro-oncology 2019, 21, i18–i31. [Google Scholar] [CrossRef] [PubMed]
- Bergner, A.; Maier, A.D.; Mirian, C.; Mathiesen, T.I. Adjuvant radiotherapy and stereotactic radiosurgery in grade 3 meningiomas—A systematic review and meta-analysis. Neurosurg. Rev. 2022, 45, 2639–2658. [Google Scholar] [CrossRef] [PubMed]
- Bi, W.L.; Nayak, L.; Meredith, D.M.; Driver, J.; Du, Z.; Hoffman, S.; Li, Y.; Lee, E.Q.; Beroukhim, R.; Rinne, M.; et al. Activity of PD-1 blockade with nivolumab among patients with recurrent atypical/anaplastic meningioma: Phase II trial results. Neuro-oncology 2022, 24, 101–113. [Google Scholar] [CrossRef] [PubMed]
- Chamberlain, M.C.; Glantz, M.J. Interferon-alpha for recurrent World Health Organization grade 1 intracranial meningiomas. Cancer 2008, 113, 2146–2151. [Google Scholar] [CrossRef] [PubMed]
- Chamberlain, M.C.; Glantz, M.J.; Fadul, C.E. Recurrent meningioma: Salvage therapy with long-acting somatostatin analogue. Neurology 2007, 69, 969–973. [Google Scholar] [CrossRef]
- Chamberlain, M.C.; Tsao-Wei, D.D.; Groshen, S. Temozolomide for treatment-resistant recurrent meningioma. Neurology 2004, 62, 1210–1212. [Google Scholar] [CrossRef]
- Chamberlain, M.C.; Tsao-Wei, D.D.; Groshen, S. Salvage chemotherapy with CPT-11 for recurrent meningioma. J. Neurooncol. 2006, 78, 271–276. [Google Scholar] [CrossRef]
- Graillon, T.; Sanson, M.; Campello, C.; Idbaih, A.; Peyre, M.; Peyrière, H.; Basset, N.; Autran, D.; Roche, C.; Kalamarides, M.; et al. Everolimus and Octreotide for Patients with Recurrent Meningioma: Results from the Phase II CEVOREM Trial. Clin. Cancer Res. 2020, 26, 552–557. [Google Scholar] [CrossRef]
- Grimm, S.; Kumthekar, P.; Chamberlain, M.; Schiff, D.; Wen, P.; Iwamoto, F.; Reardon, D.; Purow, B.; Raizer, J. MNGO-04: Phase II Trial of Bevacizumab in Patients with Surgery and Radiation Refractory Progressive Meningioma. Neuro-oncology 2015, 17, v130. [Google Scholar] [CrossRef]
- Ji, Y.; Rankin, C.; Grunberg, S.; Sherrod, A.E.; Ahmadi, J.; Townsend, J.J.; Feun, L.G.; Fredericks, R.K.; Russell, C.A.; Kabbinavar, F.F.; et al. Double-Blind Phase III Randomized Trial of the Antiprogestin Agent Mifepristone in the Treatment of Unresectable Meningioma: SWOG S9005. J. Clin. Oncol. 2015, 33, 4093–4098. [Google Scholar] [CrossRef]
- Kaley, T.; Barani, I.; Chamberlain, M.; McDermott, M.; Panageas, K.; Raizer, J.; Rogers, L.; Schiff, D.; Vogelbaum, M.; Weber, D.; et al. Historical benchmarks for medical therapy trials in surgery- and radiation-refractory meningioma: A RANO review. Neuro-oncology 2014, 16, 829–840. [Google Scholar] [CrossRef]
- Kaley, T.J.; Wen, P.; Schiff, D.; Ligon, K.; Haidar, S.; Karimi, S.; Lassman, A.B.; Nolan, C.P.; DeAngelis, L.M.; Gavrilovic, I.; et al. Phase II trial of sunitinib for recurrent and progressive atypical and anaplastic meningioma. Neuro-oncology 2015, 17, 116–121. [Google Scholar] [CrossRef]
- Marincek, N.; Radojewski, P.; Dumont, R.A.; Brunner, P.; Müller-Brand, J.; Maecke, H.R.; Briel, M.; Walter, M.A. Somatostatin receptor-targeted radiopeptide therapy with 90Y-DOTATOC and 177Lu-DOTATOC in progressive meningioma: Long-term results of a phase II clinical trial. J. Nucl. Med. 2015, 56, 171–176. [Google Scholar] [CrossRef]
- Mazza, E.; Brandes, A.; Zanon, S.; Eoli, M.; Lombardi, G.; Faedi, M.; Franceschi, E.; Reni, M. Hydroxyurea with or without imatinib in the treatment of recurrent or progressive meningiomas: A randomized phase II trial by Gruppo Italiano Cooperativo di Neuro-Oncologia (GICNO). Cancer Chemother. Pharmacol. 2016, 77, 115–120. [Google Scholar] [CrossRef]
- Mirian, C.; Duun-Henriksen, A.K.; Maier, A.; Pedersen, M.M.; Jensen, L.R.; Bashir, A.; Graillon, T.; Hrachova, M.; Bota, D.; van Essen, M.; et al. Somatostatin Receptor-Targeted Radiopeptide Therapy in Treatment-Refractory Meningioma: Individual Patient Data Meta-analysis. J. Nucl. Med. 2021, 62, 507–513. [Google Scholar] [CrossRef]
- Nayak, L.; Iwamoto, F.M.; Rudnick, J.D.; Norden, A.D.; Lee, E.Q.; Drappatz, J.; Omuro, A.; Kaley, T.J. Atypical and anaplastic meningiomas treated with bevacizumab. J. Neurooncol. 2012, 109, 187–193. [Google Scholar] [CrossRef]
- Norden, A.D.; Ligon, K.L.; Hammond, S.N.; Muzikansky, A.; Reardon, D.A.; Kaley, T.J.; Batchelor, T.T.; Plotkin, S.R.; Raizer, J.J.; Wong, E.T.; et al. Phase II study of monthly pasireotide LAR (SOM230C) for recurrent or progressive meningioma. Neurology 2015, 84, 280–286. [Google Scholar] [CrossRef]
- Norden, A.D.; Raizer, J.J.; Abrey, L.E.; Lamborn, K.R.; Lassman, A.B.; Chang, S.M.; Yung, W.K.; Gilbert, M.R.; Fine, H.A.; Mehta, M.; et al. Phase II trials of erlotinib or gefitinib in patients with recurrent meningioma. J. Neurooncol. 2010, 96, 211–217. [Google Scholar] [CrossRef]
- Preusser, M.; Silvani, A.; Le Rhun, E.; Soffietti, R.; Lombardi, G.; Sepulveda, J.M.; Brandal, P.; Brazil, L.; Bonneville-Levard, A.; Lorgis, V.; et al. Trabectedin for recurrent WHO grade 2 or 3 meningioma: A randomized phase 2 study of the EORTC Brain Tumor Group (EORTC-1320-BTG). Neuro-oncology 2021, 24, 755–767. [Google Scholar] [CrossRef]
- Raizer, J.J.; Grimm, S.A.; Rademaker, A.; Chandler, J.P.; Muro, K.; Helenowski, I.; Rice, L.; McCarthy, K.; Johnston, S.K.; Mrugala, M.M.; et al. A phase II trial of PTK787/ZK 222584 in recurrent or progressive radiation and surgery refractory meningiomas. J. Neurooncol. 2014, 117, 93–101. [Google Scholar] [CrossRef]
- Shih, K.C.; Chowdhary, S.; Rosenblatt, P.; Weir, A.B., 3rd; Shepard, G.C.; Williams, J.T.; Shastry, M.; Burris, H.A., 3rd; Hainsworth, J.D. A phase II trial of bevacizumab and everolimus as treatment for patients with refractory, progressive intracranial meningioma. J. Neurooncol. 2016, 129, 281–288. [Google Scholar] [CrossRef]
- Simó, M.; Argyriou, A.A.; Macià, M.; Plans, G.; Majós, C.; Vidal, N.; Gil, M.; Bruna, J. Recurrent high-grade meningioma: A phase II trial with somatostatin analogue therapy. Cancer Chemother. Pharmacol. 2014, 73, 919–923. [Google Scholar] [CrossRef]
- Wen, P.Y.; Yung, W.K.; Lamborn, K.R.; Norden, A.D.; Cloughesy, T.F.; Abrey, L.E.; Fine, H.A.; Chang, S.M.; Robins, H.I.; Fink, K.; et al. Phase II study of imatinib mesylate for recurrent meningiomas (North American Brain Tumor Consortium study 01-08). Neuro-oncology 2009, 11, 853–860. [Google Scholar] [CrossRef]
- Maier, A.D.; Brøchner, C.B.; Mirian, C.; Haslund-Vinding, J.; Bartek, J., Jr.; Ekström, T.J.; Poulsen, F.R.; Scheie, D.; Mathiesen, T. Loss of H3K27me3 in WHO grade 3 meningioma. Brain Tumor Pathol. 2022. [Google Scholar] [CrossRef]
- Lou, E.; Sumrall, A.L.; Turner, S.; Peters, K.B.; Desjardins, A.; Vredenburgh, J.J.; McLendon, R.E.; Herndon, J.E., 2nd; McSherry, F.; Norfleet, J.; et al. Bevacizumab therapy for adults with recurrent/progressive meningioma: A retrospective series. J. Neurooncol. 2012, 109, 63–70. [Google Scholar] [CrossRef]
- Beauchamp, R.L.; James, M.F.; DeSouza, P.A.; Wagh, V.; Zhao, W.N.; Jordan, J.T.; Stemmer-Rachamimov, A.; Plotkin, S.R.; Gusella, J.F.; Haggarty, S.J.; et al. A high-throughput kinome screen reveals serum/glucocorticoid-regulated kinase 1 as a therapeutic target for NF2-deficient meningiomas. Oncotarget 2015, 6, 16981–16997. [Google Scholar] [CrossRef]
- Shapiro, I.M.; Kolev, V.N.; Vidal, C.M.; Kadariya, Y.; Ring, J.E.; Wright, Q.; Weaver, D.T.; Menges, C.; Padval, M.; McClatchey, A.I.; et al. Merlin deficiency predicts FAK inhibitor sensitivity: A synthetic lethal relationship. Sci. Transl. Med. 2014, 6, 237ra268. [Google Scholar] [CrossRef]
- Kim, H.; Park, K.J.; Ryu, B.K.; Park, D.H.; Kong, D.S.; Chong, K.; Chae, Y.S.; Chung, Y.G.; Park, S.I.; Kang, S.H. Forkhead box M1 (FOXM1) transcription factor is a key oncogenic driver of aggressive human meningioma progression. Neuropathol. Appl. Neurobiol. 2020, 46, 125–141. [Google Scholar] [CrossRef]
- Tang, J.H.; Yang, L.; Chen, J.X.; Li, Q.R.; Zhu, L.R.; Xu, Q.F.; Huang, G.H.; Zhang, Z.X.; Xiang, Y.; Du, L.; et al. Bortezomib inhibits growth and sensitizes glioma to temozolomide (TMZ) via down-regulating the FOXM1-Survivin axis. Cancer Commun. 2019, 39, 81. [Google Scholar] [CrossRef]
- Borhani, S.; Gartel, A.L. FOXM1: A potential therapeutic target in human solid cancers. Expert Opin. Ther. Targets 2020, 24, 205–217. [Google Scholar] [CrossRef] [PubMed]
- Das, A.; Martinez Santos, J.L.; Alshareef, M.; Porto, G.B.F.; Infinger, L.K.; Vandergrift, W.A., 3rd; Lindhorst, S.M.; Varma, A.K.; Patel, S.J.; Cachia, D. In Vitro Effect of Dovitinib (TKI258), a Multi-Target Angiokinase Inhibitor on Aggressive Meningioma Cells. Cancer Investig. 2020, 38, 349–355. [Google Scholar] [CrossRef] [PubMed]

| Simpson Grade | Description |
|---|---|
| Grade 0 | Complete tumor removal, plus removal of an additional 2–3 cm from the tumor insertion site |
| Grade I | Complete tumor removal, including any dural attachments or abnormal bone |
| Grade II | Complete tumor removal with coagulation of dural attachment |
| Grade III | Complete tumor removal without resection or coagulation of its dural attachment |
| Grade IV | Partial tumor removal |
| Grade V | Simple decompression with or without biopsy |
| Experimental Arm | Phase and Number of Patients | Patients Enrolled and Population on Study | Outcome |
|---|---|---|---|
| Somatostatin Analogs | |||
| Pasireotide [108] | Phase II, 34 patients | All grade recurrent meningiomas | Grade I: PFS-6mo 50%, mOS 26 months Grade II–III: PFS-6mo 17%, mOS 6.5 months |
| Octreotide [113] | Phase II, 9 patients | All grade recurrent meningiomas | PFS-6mo 44%, mOS 18.7 months |
| Long-acting octreotide [96] | Phase II, 16 patients | All grade recurrent meningiomas | PFS-6mo 44%, mOS 7.5 months |
| Octeotride + everolimus (CEVOREM trial) [99] | Phase II, 20 patients | All grade recurrent meningiomas refractory for surgery and radiotherapy | PFS-6mo 55%, OS-12mo 75%, Major decrease in growth rate of more than 50% in 78% of tumors |
| Chemotherapy | |||
| Temozolomide [97] | Phase II, 16 patients | Grade I recurrent meningiomas | PFS-6mo 0%, mOS 7.5 months |
| Irinotecan [98] | Phase II, 16 patients | Grade I recurrent meningiomas | PFS-6mo 6%, mOS 7.0 months |
| Trabectedin (EORTC-1320-BTG) [110] | Randomized phase II trial (trabectedin versus local standard of care), 90 patients | Grade II–III meningiomas progressed after surgery and radiotherapy | No improvement of mPFS or mOS. PFS-6mo 21.1%, Median OS 11.37 months |
| Hyroxyurea + imatinib [105] | Phase II trial, 15 patients | All grade recurrent meningiomas | Prematurely closed due to slow accrual. No activity. |
| Angiogenesis Inhibitors | |||
| Bevacizumab [100] | Phase II trial, 40 patients | All grade recurrent meningiomas | Grade I: PFS-6mo 87%, mOS 35.6 months Grade II: PFS-6mo 77%, mOS not reached Grade III: PFS-6mo 46%, mOS 12.4 months |
| Bevacizumab + everolimus [112] | Phase II trial, 17 patients | All grade recurrent meningiomas | PFS-6mo: 69%, mOS 23.8 months |
| Sunitinib [103] | Phase II trial, 38 patients | Grade II–III meningioma | PFS-6mo: 42%, mOS 24.6 months |
| Vatalanib [111] | Phase II trial, 22 patients | All grade recurrent meningiomas | PFS-6mo: 37.5%, mOS 23.0 months |
| Target Agents | |||
| Erlotinib/Gefinitinib [109] | Phase II trial, 25 patients | All grade recurrent meningiomas | Grade I: PFS-6mo 25%, OS-12mo 50% Grade II–III: PFS-6mo 29%, OS-12mo 65% |
| Imatinib [114] | Phase II trial, 23 patients | All grade recurrent meningiomas | Grade I: PFS-6mo 45% Grade II–III: PFS-6mo 0% |
| Immune-Checkpoint Inhibitors | |||
| Nivolumab [94] | Phase II, 25 patients | Grade II–III recurrent meningiomas | PFS-6mo 42.4%, mOS 30.9 months. |
| Pembrolizumab [91] | Phase II, 25 patients | Grade II–III recurrent meningiomas | PFS-6mo 48% |
| Other Agents | |||
| Interferon alpha [95] | Phase II, 35 patients | Grade I recurrent meningiomas | PFS-6mo 54%, mOS 8 months |
| Mifepristone [101] | Phase III randomized (Mifepristone vs. placebo), 164 patients | All grade recurrent meningiomas | No difference with placebo in terms of overall survival and failure-free survival. |
Publisher’s Note: MDPI stays neutral with regard to jurisdictional claims in published maps and institutional affiliations. |
© 2022 by the authors. Licensee MDPI, Basel, Switzerland. This article is an open access article distributed under the terms and conditions of the Creative Commons Attribution (CC BY) license (https://creativecommons.org/licenses/by/4.0/).
Share and Cite
Di Nunno, V.; Giannini, C.; Asioli, S.; Conti, A.; Furtner, J.; Balestrini, D.; Tosoni, A. Diagnostic and Therapeutic Strategy in Anaplastic (Malignant) Meningioma, CNS WHO Grade 3. Cancers 2022, 14, 4689. https://doi.org/10.3390/cancers14194689
Di Nunno V, Giannini C, Asioli S, Conti A, Furtner J, Balestrini D, Tosoni A. Diagnostic and Therapeutic Strategy in Anaplastic (Malignant) Meningioma, CNS WHO Grade 3. Cancers. 2022; 14(19):4689. https://doi.org/10.3390/cancers14194689
Chicago/Turabian StyleDi Nunno, Vincenzo, Caterina Giannini, Sofia Asioli, Alfredo Conti, Julia Furtner, Damiano Balestrini, and Alicia Tosoni. 2022. "Diagnostic and Therapeutic Strategy in Anaplastic (Malignant) Meningioma, CNS WHO Grade 3" Cancers 14, no. 19: 4689. https://doi.org/10.3390/cancers14194689
APA StyleDi Nunno, V., Giannini, C., Asioli, S., Conti, A., Furtner, J., Balestrini, D., & Tosoni, A. (2022). Diagnostic and Therapeutic Strategy in Anaplastic (Malignant) Meningioma, CNS WHO Grade 3. Cancers, 14(19), 4689. https://doi.org/10.3390/cancers14194689

