Simple Summary
Thymus and activation-regulated chemokine (TARC) is an important biomarker in classical Hodgkin lymphoma and several other diseases. The exact role of TARC in the pathogenesis of these diseases, as well as its therapeutic potential, is not yet fully understood. Understanding the role of TARC in Hodgkin lymphoma is important since it might help in risk stratification of patients and it could be a therapeutic target. We give an overview of the biological functions of TARC and its potential as biomarker and therapeutic target.
Abstract
Thymus and activation-regulated chemokine (TARC) is produced by different cell types and is highly expressed in the thymus. It plays an important role in T cell development, trafficking and activation of mature T cells after binding to its receptor C-C chemokine receptor type 4 (CCR4) and consecutive signal transducer and activator of transcription 6 (STAT6) activation. Importantly, TARC is also produced by malignant Hodgkin and Reed–Sternberg (HRS) cells of classical Hodgkin lymphoma (cHL). In cHL, HRS cells survive and proliferate due to the micro-environment consisting primarily of type 2 T helper (Th2) cells. TARC-mediated signaling initiates a positive feedback loop that is crucial for the interaction between HRS and T cells. The clinical applicability of TARC is diverse. It is useful as diagnostic biomarker in both children and adults with cHL and in other Th2-driven diseases. In adult cHL patients, TARC is also a biomarker for treatment response and prognosis. Finally, blocking TARC signaling and thus inhibiting pathological Th2 cell recruitment could be a therapeutic strategy in cHL. In this review, we summarize the biological functions of TARC and focus on its role in cHL pathogenesis and as a biomarker for cHL and other diseases. We conclude by giving an outlook on putative therapeutic applications of antagonists and inhibitors of TARC-mediated signaling.
1. Introduction
Classical Hodgkin lymphoma (cHL) is a malignancy of the lymphatic system with an incidence of 2–3/100,000 per year in developed countries [1]. Generally, cHL occurs in all age groups. It has a unique bimodal age distribution with a peak in the adolescent/young adult (AYA) population (15 to 35 years) and another after the age of 55 years [2]. cHL accounts for 15% to 25% of all lymphomas and represents the most common lymphoma subtype in children and young adults in the Western world [3].
Nowadays, cHL is a highly curable malignancy in all age groups. The 5-year relative survival for patients aged from 0 to 19 years is 96.4%, and 89.8% for those diagnosed between ages 20 and 64 years [4]. Anthracycline-based chemotherapy with or without radiation is the mainstay of cHL treatment [5,6]. Advances in understanding the biology of the disease and improvement in modalities of chemotherapy and radiotherapy have improved survival in every stage of cHL [3]. However, patients with advanced-stage or high-risk disease are only cured in approximately 70% of cases and high-dose chemotherapy in combination with autologous stem-cell transplantation (ASCT) is only successful in half of the patients with relapsed/refractory cHL [7]. Moreover, especially in the AYA group, treatment-related toxicities among which second malignancies, cardiovascular and lung complications and fertility problems are of great concern [8,9,10,11]. Thus, the challenge remains to tailor treatment to eradicate malignancy with minimal side effects and to simultaneously identify those patients in whom alternative strategies should be initiated early.
cHL is a peculiar malignancy, because the malignant Hodgkin and Reed–Sternberg cells (HRS cells) are greatly outnumbered by immune cells in the tumor microenvironment. Only 0.1–10% of the tumor consists of HRS cells [12,13,14]. The microenvironment consists of T and B lymphocytes, eosinophils, macrophages, mast cells, plasma cells, and stromal cells. This lymphoma microenvironment supports growth and proliferation of HRS cells [15,16]. As a consequence, primary HRS cells do not grow in cell culture. Cell lines are rare and, in the absence of a microenvironment, only suitable for limited analysis of cell-intrinsic properties, as they do not reflect the physiological situation of the lymphoma in vivo [17]. These characteristics of cHL have impeded the development of preclinical models to study the disease. Progress in molecular techniques and new strategies, such as laser microdissection and fluorescence-activated cell sorting, has contributed to more insight into the pathogenesis, genetic alterations and immune escape mechanisms of cHL. However, the next challenge is to translate and implement this into the clinic [3].
As the impact of the microenvironment becomes increasingly clear, there is more focus on the implementation of therapeutic strategies targeting the tumor–host interactions [3]. Checkpoint inhibition, for example, has been implemented in current treatment protocols for adult patients with relapsed/refractory cHL [18,19]. More insight into the biology of the microenvironment will probably lead to additional improvements in treatment outcomes. In light of this success, many studies have focused on associations of the tumor microenvironment and blood biomarkers with patient outcomes. Blood biomarkers result from active crosstalk between HRS cells and the microenvironment [13,16]. The underlying biology of these relationships is only partly understood. Blood biomarkers potentially reflect lymphoma viability and therefore they may be very important for diagnosis, assessing disease extent and treatment stratification. Thymus and activation-regulated chemokine (TARC) has been the first and, so far, most potential blood biomarker characterized in cHL patients. Here, we will review the role of TARC in cHL, its relevance as a marker of disease activity and its potential as a therapeutic target.
2. Biology of TARC
Chemokines are a superfamily of potent leukocyte chemotactic cytokines found in many different species, including mammals, birds, and fish [20]. Chemokines are small, secreted, highly basic proteins that regulate cell trafficking and homing of leukocytes. They are expressed in tissues during normal homeostasis, but best known for their upregulation after injury or infection, to attract immune cells to the site of damage or inflammation. Indeed, most chemokines are produced under pathological conditions by both tissue cells and infiltrating leukocytes [21]. Chemokines and chemokine receptors were originally studied because of their role in inflammation but are now known to play a crucial part in directing migration and localization of immune cells in the body as well, enabling adaptive immune responses and contributing to the pathogenesis of various diseases [22].
TARC, also called C-C motif chemokine ligand 17 (CCL17), is an 8 kDa chemokine belonging to the CC chemokine family, which consists of chemokines with two adjacent conserved cysteine residues [20]. CC chemokines are chemotactic for many different cells of the immune system, including monocytes, eosinophils, basophils, lymphocytes, dendritic cells (DCs), and natural killer (NK) cells. TARC was the first CC chemokine identified to be chemotactic for lymphoid cells, but not for monocytes and granulocytes. Furthermore, it was the first CC chemokine not to be mapped to the major CC chemokine cluster on chromosome 17; TARC is mapped to chromosome 16q13 [23,24]. TARC is produced by DCs, endothelial cells, keratinocytes and fibroblasts, and highly expressed in the thymus, where it plays an important role in T cell development, trafficking and activation of mature T cells [23]. TARC binds to the G-protein coupled receptor CCR4 [23]. CCR4 is predominantly expressed on human T cells polarized to the type 2 helper (Th2) phenotype, although expression can also be found on other immune cells such as eosinophils, basophils, regulatory T cells, NK cells, systemic memory T cells, cutaneous lymphocyte-associate antigen (CLA)+ T cells and platelets. After stimulation, Th2 cells produce cytokines such as IL-4, IL-5, and IL-13 and activate B cells to induce humoral immunity. In addition, Th2 cells are known to play a central role in allergic diseases.
T cells can also produce TARC as human T cells stimulated with IL-4, the main Th2 cytokine, upregulate TARC expression [25]. IL-4 binds to the IL-4 receptor on T cells, leading to downstream Janus kinase (JAK)/signal transducer and activator of transcription (STAT) signaling. After phosphorylation and dimerization, STAT6 transfers to the nucleus to induce TARC transcription [25]. TARC expression in keratinocytes is co-localized with interferon-gamma (IFNγ) and tumor necrosis factor-alpha (TNFα), both pleotropic cytokines that play various roles in inflammatory and immune reactions [26]. Together, these two pro-inflammatory cytokines stimulate TARC production and secretion in keratinocytes, while transforming growth factor-beta (TGFβ) has the opposite effect [27]. In another study, it was found that TARC expression in murine Langerhans cells (LCs) was upregulated by IL-4 and TNFα but downregulated by IFNγ [28]. IFNγ binding to its receptor induces JAK/STAT signaling mainly through activation of STAT1, while TNFα can activate multiple signaling pathways including activation of the mitogen-activated protein kinase (MAPK) and NF-kappa B (NFκB) pathways. STAT1 was shown to be dispensable for IFNγ/TNFα-induced TARC production in keratinocytes [29]. Inhibiting NFκB or p38 mitogen-activated protein kinase (MAPK) activation did block the TARC production induced by IFNγ/TNFα [29], indicating that these cytokines use the NFκB/p38 MAPK signaling pathway for TARC induction in keratinocytes. Taken together, this indicates that the regulation of TARC production differs per cell type and most likely per location in the body.
Activated endothelium expresses TARC to regulate interactions with circulating lymphocytes. Endothelial cells in inflamed tissues express TARC to induce integrin-dependent adhesion of skin memory T cells through ICAM-1 causing their rapid arrest [30]. In this setting, only skin-homing memory T cells are attracted by TARC, whereas intestinal memory T cells poorly respond to TARC on inflamed endothelium [30]. This suggests an important role for TARC and CCR4 in homing tissue-specific T cells to their respective target tissues. In addition, TARC plays a role during platelet aggregation as CCR4 is expressed on platelets. TARC can induce concentration-dependent platelet aggregation, with low levels of platelet agonists, such as ADP or thrombin, required to initiate this process [20,31]. Platelets themselves also contain TARC, which is released after stimulation with thrombin, most likely attracting other immune cells to the site of clotting [32]. Importantly, platelets express many chemokine receptors and respond to many different chemokines, allowing them to respond to various signals and linking platelet activation to recruitment of specific immune cells depending on the location and signals present.
TARC and CCR4 signaling have been shown to play a role in different types of diseases, including atopic dermatitis (AD), allergic asthma and other (allergic) immune-mediated diseases [33,34,35]. Even though TARC-induced attraction of Th2-polarized T cells to sites of inflammation is considered to be an important factor, the exact mechanisms of how TARC contributes to pathogenesis or initiation of these diseases remain unknown.
3. TARC in Classical Hodgkin Lymphoma
Two years after discovery of TARC, it was shown that yet another cell type can produce TARC: HRS cells, the malignant cells of cHL [36]. HRS cells and the lymphoma microenvironment communicate through expression of various different chemo- and cytokines (Figure 1) [12,13,14]. In cHL, TARC is produced by HRS and antigen-presenting cells [23], and possibly also by some IL-4 stimulated T cells (see above). In addition, HRS cells express CCR4 on their surface, making them susceptible to auto- and paracrine TARC stimulation. While the function of TARC in cHL has not been fully elucidated, the available data will be discussed below.
Figure 1.
The figure shows interactions between Hodgkin and Reed–Sternberg (HRS) cells and the tumor microenvironment (direct cellular interactions and via soluble mediators). Many different cell types are attracted into the microenvironment by chemo- and cytokines. HRS cells attract CD4+ type 2 T helper (Th2) cells through secretion of the chemokines TARC, CC chemokine 5 (CCL5) and CCL22. These, as well as CCL20, also attract CD4+ regulatory T (Treg) cells. HRS cells are stimulated by neutrophils through APRIL-BCMA interaction and secretion of nerve growth factor-1 (NGF-1). NGF-1 binds to the receptor tyrosine kinase (TRKA) on HRS cells. HRS cells are also stimulated by mast cells and eosinophils by CD30-CD30 ligand interaction. CD8+ T cells, also known as cytotoxic T cells, are inhibited by IL-10, produced by Treg cells. HRS cells also inhibit CD8+ T cells and NK cells through IL-10 and other immunosuppressive mediators and expression of the programmed cell death 1 ligand (PD1L).
The cHL microenvironment is essential in supporting HRS cells. The HRS cells reside among an overwhelming number of Th2 cells and secrete high levels of cytokines and chemokines, including several interleukins and TARC [12,15,16,25,37]. These cytokines bind to their surface receptors both on HRS cells and cells of the direct microenvironment, initiating JAK/STAT downstream signaling [37]. The interaction between HRS cells and Th2 cells most likely initiates a positive feedback loop. First, the secretion of TARC by HRS cells causes a consequent attraction and homing of Th2 cells to the tumor microenvironment [25,37]. These attracted Th2 cells can secrete IL-4, IL-5 and IL-13 that activate JAK/STAT signaling leading to activation of STAT6 [25]. STAT6 activation in HRS cells further increases TARC secretion [37]. Together, this leads to a feedback loop of constant stimulation of HRS cells, also shown in Figure 2 [25,37]. This stimulation might be further enhanced by genetic alterations that increase JAK/STAT signaling, with almost 90% of cHL containing genetic lesions involving one of the JAK/STAT pathway members [38]. These include lesions predicted to activate the pathway directly (JAK1, JAK2, STAT3, STAT5B, STAT6) or to inactivate inhibitory proteins such as SOCS1 or PTPN1 [38]. Activated STAT3 and STAT6 are frequently observed in cultured and primary HRS cells and are reported to promote their survival [37]. Treatment of cHL cell lines or cHL lymph node single cell suspensions with a JAK2 inhibitor reduced the cell viability to some extent [39]. In addition, blocking the JAK/STAT signaling by inhibiting heat-shock protein 90 (HSP90) reduced cell proliferation of cHL cell lines [40]. Together, these data indicate that HRS cells require continuous JAK/STAT signaling that can be obtained by TARC-mediated attraction of Th2 cells in combination with acquisition of genetic lesions resulting in further activation of the pathway.
Figure 2.
The interaction between Hodgkin and Reed–Sternberg (HRS) cells and CD4+ type 2 T helper (Th2) cells most likely initiates a positive feedback loop. First, the secretion of TARC (blue circles) by HRS cells causes a consequent attraction and homing of Th2 cells to the tumor microenvironment. These attracted Th2 cells can secrete IL-4, IL-5 and IL-13 (yellow circles) that activate JAK/STAT signaling leading to activation of STAT6. STAT6 activation in HRS cells further increases TARC secretion. This leads to a feedback loop of constant stimulation of HRS cells.
A better understanding of cHL biology, and more specifically the role of TARC in survival of HRS cells, may lead to improved, more targeted treatment options. However, cHL pathogenesis and, in particular, the underlying genetic lesions have proven difficult to elucidate because of the scarcity of HRS cells and their dependence on the benign microenvironment. As a consequence, primary HRS cells are very difficult to culture in vitro. Cell lines are rare and the ones that exist grow in the absence of the microenvironment and are therefore not suitable for studying the molecular basis of the HRS cell–microenvironment interactions [17]. Animal models to study the HRS-microenvironment dependency do not exist. Analysis of patient-derived tumor tissue is therefore crucial for understanding the pathophysiology of cHL and more sophisticated in vitro models are needed. Progress in understanding the biology of cHL has required the laborious purification of HRS cells from tissues by laser microdissection or fluorescence-activated cell sorter sorting [41,42,43]. Data of comprehensive characterization of cHL by (single cell) RNA sequencing, whole-exome sequencing (WES) and whole-genome sequencing (WGS) are scarce but will hopefully expand in the future [44,45,46,47,48].
Since HRS cells produce high amounts of TARC that can be detected in lymphoma biopsies using immunohistochemistry and in serum of cHL patients, studies have focused on the use of TARC as a disease biomarker. This will be discussed in more detail below.
4. Clinical Applicability of TARC: As Diagnostic Blood Biomarker
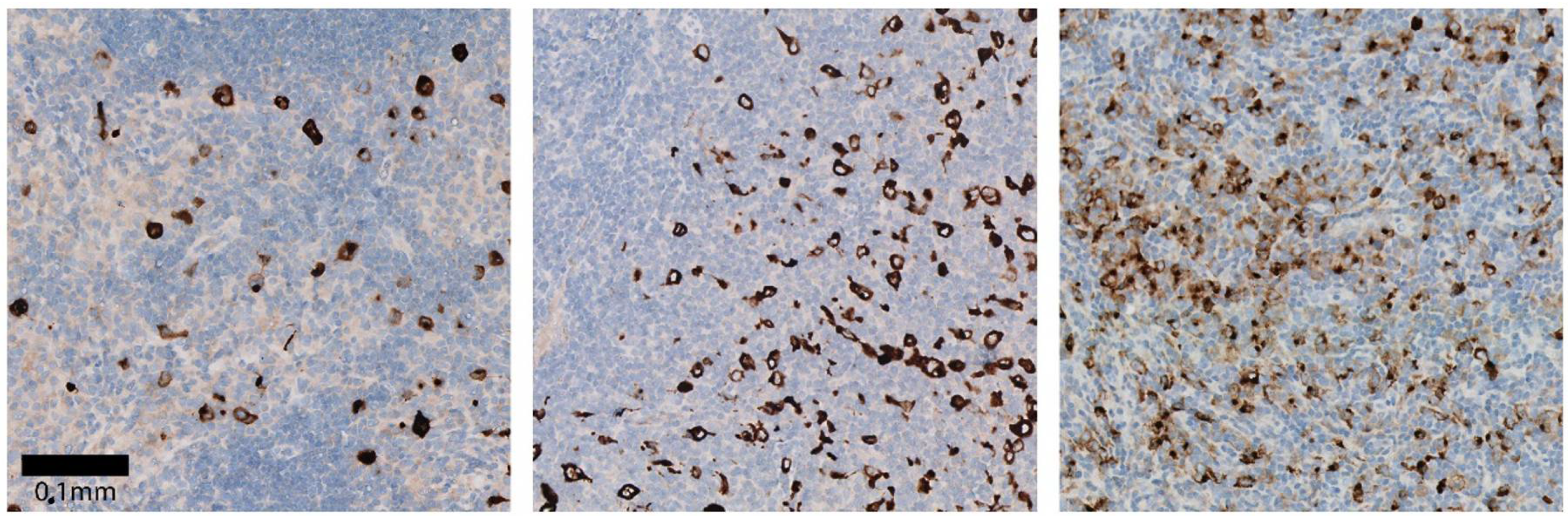
Lymph node biopsy is the gold standard for diagnosing cHL. This is a relatively time-consuming and expensive procedure, often requiring general anesthesia. Moreover, albeit small, there is a risk of complications. In patients with a large mediastinal mass, lymph node biopsy may be contraindicated due to danger of causing respiratory failure. For these reasons, diagnostic blood biomarkers that could confirm or exclude cHL diagnosis would add great value because they are more easily available and reproducible, cost-effective and almost non-invasive for the patient. TARC is known to be an important diagnostic biomarker in cHL patients. Approximately 90% of adult cHL biopsies show TARC-positive HRS cells by immunohistochemistry (Figure 3) and about 82–93% of patients have significantly elevated TARC levels in their pre-treatment serum [49,50,51,52]. We recently demonstrated that TARC is a highly sensitive and specific diagnostic biomarker for pediatric cHL as well [53]. In our series, 97.8% of the pediatric patients with cHL had elevated TARC levels (Figure 3). In plasma, a TARC cut-off level of 942 pg/mL gave a sensitivity of 97.9% (95% CI 88.7–100%) and specificity of 100% (95% CI 95.5–100%) [53]. Staging and response to treatment measurements in pediatric cHL patients require Fluor-Deoxyglucose-Positron Emission Tomography (FDG-PET) and Computed Tomography (CT) scans. Although these are sensitive tests, they have several disadvantages, such as exposure to radiation, time consumption, high costs and lack of specificity [54]. For staging and treatment evaluation, blood biomarkers could potentially have great added value on top of the standard procedures, especially if they have a higher sensitivity or specificity for disease activity than FDG-PET scans.
Figure 3.
Positive TARC staining of HRS cells (brown) by immunohistochemistry in lymphoma tissues slides of three different pediatric cHL patients. Scale bar depicts 0.1 mm size, all images were made with the same magnification.
In adult cHL patients higher TARC levels correlate with the extent of the disease; higher TARC levels are correlated with higher disease stage, presence of B-symptoms, bulky disease and metabolic tumor volume [52]. TARC levels in children are associated with age, treatment level, bulky disease, B-symptoms and ESR [53]. In adult cHL patients, TARC is also correlated with treatment response [50,52,55,56,57]. High post-therapy levels of TARC are associated with poorer survival [58]. Early reduction in TARC after one cycle of chemotherapy was also associated with progression free survival (PFS) [50]. Recently, it was shown that the positive predictive value (PPV) of interim TARC levels is higher than the PPV of interim PET scans [59]. Interim TARC levels are associated with treatment failure, even within the subgroup of PET negative patients [60]. Elevated posttherapy TARC levels were correlated with shorter PFS and overall survival (OS) as well, even after adjusting for the International Prognostic Score and end of treatment PET status [61]. Research into the correlation between TARC levels and treatment response in children with cHL is ongoing.
TARC is used as biomarker in other diseases as well, making the potential applicability diverse. For most lymphomas other than cHL, TARC has no potential as a biomarker [62]. Possible exceptions are cutaneous T cell lymphomas and nasal natural killer/T cell lymphoma (NNKTL). In one study with NNKTL patients, TARC was highly upregulated in NNKTL cell lines and patient sera [63]. In a study with cutaneous T cell lymphoma patients, TARC was useful in making the diagnosis [64]. In anaplastic large cell lymphomas (ALCL), TARC is expressed in around half of the anaplastic lymphoma kinase (ALK)-negative ALCL and in none of the ALK-positive ALCL [65]. Thus, TARC is a potential biomarker in some T cell lymphomas.
The role of TARC in recruiting Th2 lymphocytes in diseases other than cHL support TARC playing a similar role in the pathogenesis of cHL [26,66]. We provide an overview of the use of TARC as biomarker for oncological (other than cHL) (Table 1) and non-oncological (Table 2) diseases.
Table 1.
Potential applicability of TARC in oncological diseases.
Table 2.
Potential applicability of TARC in non-oncological diseases.
5. Clinical Applicability of TARC: As Therapeutic Target
Although the overall survival of cHL is excellent, there is still a group of patients who suffer from refractory or relapsed disease [7,84,85]. Standard chemo- or radiotherapy regimens are not sufficient for these patients. In addition, standard treatment-related toxicities are of major concern, especially in children and young adults [8,9,10,11]. Therefore, novel therapeutic strategies are indispensable. Blocking TARC and stopping pathological Th2 recruitment into the afflicted lymph nodes may disrupt the microenvironment niche required by HRS cells for survival. This could induce HRS cell death and could therefore be beneficial for patients suffering from cHL. Chemokine signaling is successfully inhibited either by adding receptor antagonists, such as antibodies or soluble receptors that prevent chemokine-receptor (TARC-CCR4) binding, or by inhibiting downstream signaling molecules, such as STAT6. Most pharmaceutical approaches used in the clinic are directed at inhibiting the chemokine-receptor binding [84]. Anti-CCR4 antibody treatment can prevent binding of TARC to CCR4. This inhibits the recruitment of Th2 cells and could lead to a reduction in the supportive tumor microenvironment and positive feedback loop. In addition, regulatory T cells also respond to TARC via CCR4, indicating that blocking this interaction might reduce the regulatory T cell activity and thereby increase the potential of cytotoxic T cells to eliminate HRS cells.
Mogamulizumab (KW-0761) is a defucosylated, humanized anti-CCR4 immunoglobulin G1 (IgG1) monoclonal antibody that blocks the receptor. Reducing fucose content in the structure of the Fc region of the antibody enhances the antibody-dependent cellular cytotoxicity (ADCC) activity [85]. When mogamulizumab binds to CCR4, it induces ADCC against CCR4+ T cells. By this mechanism it kills T cells and NK cells [86,87]. Mogamulizumab is currently used for treating relapsed or refractory adult T cell leukemia-lymphoma in Japan [88]. Since mogamulizumab binds to CCR4, it may also directly interfere with the CCR4/TARC interaction on Th2 and regulatory T cells. As Th2 cells support the proliferation and survival of HRS cells, blocking the CCR4/TARC interaction or even directly eliminating these Th2 cells might lead to HRS cell apoptosis. In addition, regulatory T cells in the microenvironment also respond to TARC via CCR4 and inhibit cytotoxic CD8+ T cells from killing HRS cells. Mogamulizumab might reduce regulatory T cell activity in the microenvironment, thereby increasing the potential of cytotoxic T cells to eliminate HRS cells. Therefore, mogamulizumab may be a relatively specific and potent agent in the treatment of patients with cHL.
Vorinostat is an inhibitor of histone deacetylase (HDAC) activity [89]. It works at the epigenetic level to influence gene expression and can block cancer cell proliferation in vitro and in vivo [90]. Although vorinostat is not a specific inhibitor of TARC, it was shown to inhibit STAT6-mediated cytokine- and TARC production in Th2 cells, induce cell death in cHL cell lines, and induce p21 expression causing cell-cycle arrest and apoptosis in cHL cell lines [37]. STAT6 inhibition increases the rate of apoptosis and decreases the secretion of TARC in HRS cells [37]. Vorinostat is currently investigated in phase II trials for patients with relapsed or refractory cHL [91,92].
Another potential novel treatment for cHL is adoptive T cell therapy with CD30-specific chimeric antigen receptor (CAR) expression, especially when combined with enhanced migration to the tumor microenvironment. Effector CD8+ T cells normally lack CCR4 expression, but after retroviral transduction this could be induced together with CD30-CAR expression [93]. These genetically modified T cells showed enhanced migration towards tumor cells and could specifically kill CD30+ lymphoma cells, both in vitro and in vivo in cHL mouse models [93].
These examples are possible approaches for therapeutic TARC inhibition or exploitation of the TARC/CCR4 interaction in cHL. In addition, they underline the need for new in vitro and in vivo models to study the cHL-microenvironment interactions and to test the therapeutic potential of TARC inhibition in cHL.
6. Conclusions
TARC is a chemokine that is involved in different cellular pathways. It is considered to play an important role in the pathogenesis of cHL and other malignant and non-malignant diseases. The clinical applicability of TARC in cHL ranges from its use as a diagnostic and prognostic biomarker to being a putative therapeutic target. Further research is required to investigate the precise role of TARC in the pathogenesis of cHL and the potential applicability of TARC inhibition to improve the outcome of cHL patients.
Author Contributions
Conceptualization, E.A.M.Z., A.M.B. and F.M.-W.; investigation E.A.M.Z., I.v.d.S. and A.M.B.; writing—original draft preparation, E.A.M.Z. and A.M.B.; writing—review and editing, all authors; visualization, E.A.M.Z., M.A.S.-V. and A.M.B., supervision, A.M.B., A.B. and F.M.-W. All authors have read and agreed to the published version of the manuscript.
Funding
This work was financially supported by the Erasmus MC Foundation, enabled by a legacy of the family Etienne-van Dijk.
Data Availability Statement
No new data were created or analyzed in this study. Data sharing is not applicable to this article.
Acknowledgments
We would like to thank the family Etienne-van Dijk for funding this work.
Conflicts of Interest
The sponsors had no role in the design, execution, interpretation, or writing of the study. The authors declare no conflict of interest.
References
- Engert, A.; Eichenauer, D.A.; Dreyling, M.; Group, E.G.W. Hodgkin’s lymphoma: Esmo clinical practice guidelines for diagnosis, treatment and follow-up. Ann. Oncol. 2010, 21 (Suppl. S5), 168–171. [Google Scholar] [CrossRef] [PubMed]
- Morton, L.M.; Wang, S.S.; Devesa, S.S.; Hartge, P.; Weisenburger, D.D.; Linet, M.S. Lymphorna incidence patterns by who subtype in the united states, 1992–2001. Blood 2006, 107, 265–276. [Google Scholar] [CrossRef]
- Mottok, A.; Steidl, C. Biology of classical hodgkin lymphoma: Implications for prognosis and novel therapies. Blood 2018, 131, 1654–1665. [Google Scholar] [CrossRef]
- Howlader, N.; Noone, A.M.; Krapcho, M.; Miller, D.; Bishop, K.; Kosary, C.L.; Yu, M.; Ruhl, J.; Tatalovich, Z.; Mariotto, A.; et al. Seer Cancer Statistics Review, 1975–2014. National Cancer Institute. 2017. Available online: seer.cancer.gov/csr/1975_2014/ (accessed on 18 December 2020).
- Townsend, W.; Linch, D. Hodgkin’s lymphoma in adults. Lancet 2012, 380, 836–847. [Google Scholar] [CrossRef]
- Shanbhag, S.; Ambinder, R.F. Hodgkin lymphoma: A review and update on recent progress. CA Cancer J. Clin. 2018, 68, 116–132. [Google Scholar] [CrossRef] [PubMed]
- Von Tresckow, B.; Moskowitz, C.H. Treatment of relapsed and refractory hodgkin lymphoma. Semin. Hematol. 2016, 53, 180–185. [Google Scholar] [CrossRef] [PubMed][Green Version]
- Aleman, B.M.; van den Belt-Dusebout, A.W.; De Bruin, M.L.; van ’t Veer, M.B.; Baaijens, M.H.; de Boer, J.P.; Hart, A.A.; Klokman, W.J.; Kuenen, M.A.; Ouwens, G.M.; et al. Late cardiotoxicity after treatment for hodgkin lymphoma. Blood 2007, 109, 1878–1886. [Google Scholar] [CrossRef]
- Castellino, S.M.; Geiger, A.M.; Mertens, A.C.; Leisenring, W.M.; Tooze, J.A.; Goodman, P.; Stovall, M.; Robison, L.L.; Hudson, M.M. Morbidity and mortality in long-term survivors of hodgkin lymphoma: A report from the childhood cancer survivor study. Blood 2011, 117, 1806–1816. [Google Scholar] [CrossRef] [PubMed]
- Kreuser, E.D.; Xiros, N.; Hetzel, W.D.; Heimpel, H. Reproductive and endocrine gonadal capacity in patients treated with copp chemotherapy for hodgkin’s disease. J. Cancer Res. Clin. Oncol. 1987, 113, 260–266. [Google Scholar] [CrossRef]
- O’Brien, M.M.; Donaldson, S.S.; Balise, R.R.; Whittemore, A.S.; Link, M.P. Second malignant neoplasms in survivors of pediatric hodgkin’s lymphoma treated with low-dose radiation and chemotherapy. J. Clin. Oncol. 2010, 28, 1232–1239. [Google Scholar] [CrossRef]
- Kuppers, R.; Engert, A.; Hansmann, M.L. Hodgkin lymphoma. J. Clin. Investig. 2012, 122, 3439–3447. [Google Scholar] [CrossRef] [PubMed]
- Skinnider, B.F.; Mak, T.W. The role of cytokines in classical hodgkin lymphoma. Blood 2002, 99, 4283–4297. [Google Scholar] [CrossRef] [PubMed]
- Teruya-Feldstein, J.; Tosato, G.; Jaffe, E.S. The role of chemokines in hodgkin’s disease. Leuk. Lymphoma 2000, 38, 363–371. [Google Scholar] [CrossRef] [PubMed]
- Steidl, C.; Connors, J.M.; Gascoyne, R.D. Molecular pathogenesis of hodgkin’s lymphoma: Increasing evidence of the importance of the microenvironment. J. Clin. Oncol. 2011, 29, 1812–1826. [Google Scholar] [CrossRef]
- Kuppers, R. The biology of hodgkin’s lymphoma. Nat. Rev. Cancer 2009, 9, 15–27. [Google Scholar] [CrossRef] [PubMed]
- Drexler, H.G.; Pommerenke, C.; Eberth, S.; Nagel, S. Hodgkin lymphoma cell lines: To separate the wheat from the chaff. Biol. Chem. 2018, 399, 511–523. [Google Scholar] [CrossRef]
- Ansell, S.M.; Lesokhin, A.M.; Borrello, I.; Halwani, A.; Scott, E.C.; Gutierrez, M.; Schuster, S.J.; Millenson, M.M.; Cattry, D.; Freeman, G.J.; et al. Pd-1 blockade with nivolumab in relapsed or refractory hodgkin’s lymphoma. N. Engl. J. Med. 2015, 372, 311–319. [Google Scholar] [CrossRef]
- Bagcchi, S. Nivolumab shows clinical activity in hodgkin’s lymphoma. Lancet. Oncol. 2015, 16, e108. [Google Scholar] [CrossRef]
- Abi-Younes, S.; Si-Tahar, M.; Luster, A.D. The cc chemokines mdc and tarc induce platelet activation via ccr4. Thromb. Res. 2001, 101, 279–289. [Google Scholar] [CrossRef]
- Furie, M.B.; Randolph, G.J. Chemokines and tissue injury. Am. J. Pathol. 1995, 146, 1287–1301. [Google Scholar]
- Charo, I.F.; Ransohoff, R.M. The many roles of chemokines and chemokine receptors in inflammation. N. Engl. J. Med. 2006, 354, 610–621. [Google Scholar] [CrossRef] [PubMed]
- Imai, T.; Baba, M.; Nishimura, M.; Kakizaki, M.; Takagi, S.; Yoshie, O. The t cell-directed cc chemokine tarc is a highly specific biological ligand for cc chemokine receptor 4. J. Biol. Chem. 1997, 272, 15036–15042. [Google Scholar] [CrossRef] [PubMed]
- Panina-Bordignon, P.; Papi, A.; Mariani, M.; Di Lucia, P.; Casoni, G.; Bellettato, C.; Buonsanti, C.; Miotto, D.; Mapp, C.; Villa, A.; et al. The c-c chemokine receptors ccr4 and ccr8 identify airway t cells of allergen-challenged atopic asthmatics. J. Clin. Investig. 2001, 107, 1357–1364. [Google Scholar] [CrossRef]
- Wirnsberger, G.; Hebenstreit, D.; Posselt, G.; Horejs-Hoeck, J.; Duschl, A. Il-4 induces expression of tarc/ccl17 via two stat6 binding sites. Eur. J. Immunol. 2006, 36, 1882–1891. [Google Scholar] [CrossRef]
- Vestergaard, C.; Bang, K.; Gesser, B.; Yoneyama, H.; Matsushima, K.; Larsen, C.G. A th2 chemokine, tarc, produced by keratinocytes may recruit cla+ccr4+ lymphocytes into lesional atopic dermatitis skin. J. Investig. Dermatol. 2000, 115, 640–646. [Google Scholar] [CrossRef] [PubMed]
- Sumiyoshi, K.; Nakao, A.; Setoguchi, Y.; Tsuboi, R.; Okumura, K.; Ogawa, H. Tgf-beta/smad signaling inhibits ifn-gamma and tnf-alpha-induced tarc (ccl17) production in hacat cells. J. Dermatol. Sci. 2003, 31, 53–58. [Google Scholar] [CrossRef]
- Xiao, T.; Fujita, H.; Saeki, H.; Mitsui, H.; Sugaya, M.; Tada, Y.; Kakinuma, T.; Torii, H.; Nakamura, K.; Asahina, A.; et al. Thymus and activation-regulated chemokine (tarc/ccl17) produced by mouse epidermal langerhans cells is upregulated by tnf-alpha and il-4 and downregulated by ifn-gamma. Cytokine 2003, 23, 126–132. [Google Scholar] [CrossRef]
- Komine, M.; Kakinuma, T.; Kagami, S.; Hanakawa, Y.; Hashimoto, K.; Tamaki, K. Mechanism of thymus- and activation-regulated chemokine (tarc)/ccl17 production and its modulation by roxithromycin. J. Investig. Dermatol. 2005, 125, 491–498. [Google Scholar] [CrossRef]
- Campbell, J.J.; Haraldsen, G.; Pan, J.; Rottman, J.; Qin, S.; Ponath, P.; Andrew, D.P.; Warnke, R.; Ruffing, N.; Kassam, N.; et al. The chemokine receptor ccr4 in vascular recognition by cutaneous but not intestinal memory t cells. Nature 1999, 400, 776–780. [Google Scholar] [CrossRef]
- Von Hundelshausen, P.; Weber, C. Platelets as immune cells: Bridging inflammation and cardiovascular disease. Circ. Res. 2007, 100, 27–40. [Google Scholar] [CrossRef]
- Fujisawa, T.; Fujisawa, R.; Kato, Y.; Nakayama, T.; Morita, A.; Katsumata, H.; Nishimori, H.; Iguchi, K.; Kamiya, H.; Gray, P.W.; et al. Presence of high contents of thymus and activation-regulated chemokine in platelets and elevated plasma levels of thymus and activation-regulated chemokine and macrophage-derived chemokine in patients with atopic dermatitis. J. Allergy Clin. Immunol. 2002, 110, 139–146. [Google Scholar] [CrossRef] [PubMed]
- Jo, K.M.; Lim, H.K.; Sull, J.W.; Choi, E.; Lee, J.S.; Cheong, M.A.; Hong, M.H.; Kim, Y.; Kim, I.S. Thymus and activation-regulated chemokine (tarc)/ccl17 and ige are associated with elderly asthmatics. Immun. Ageing 2018, 15, 13. [Google Scholar] [CrossRef] [PubMed]
- Thijs, J.; Krastev, T.; Weidinger, S.; Buckens, C.F.; de Bruin-Weller, M.; Bruijnzeel-Koomen, C.; Flohr, C.; Hijnen, D. Biomarkers for atopic dermatitis: A systematic review and meta-analysis. Curr. Opin. Allergy Clin. Immunol. 2015, 15, 453–460. [Google Scholar] [CrossRef]
- Umeda, M.; Koga, T.; Ichinose, K.; Igawa, T.; Sato, T.; Takatani, A.; Shimizu, T.; Fukui, S.; Nishino, A.; Horai, Y.; et al. Cd4(+) cd52(lo) t-cell expression contributes to the development of systemic lupus erythematosus. Clin. Immunol. 2018, 187, 50–57. [Google Scholar] [CrossRef]
- Van den Berg, A.; Visser, L.; Poppema, S. High expression of the cc chemokine tarc in reed-sternberg cells. A possible explanation for the characteristic t-cell infiltratein hodgkin’s lymphoma. Am. J. Pathol. 1999, 154, 1685–1691. [Google Scholar] [CrossRef]
- Buglio, D.; Georgakis, G.V.; Hanabuchi, S.; Arima, K.; Khaskhely, N.M.; Liu, Y.J.; Younes, A. Vorinostat inhibits stat6-mediated t(h)2 cytokine and tarc production and induces cell death in hodgkin lymphoma cell lines. Blood 2008, 112, 1424–1433. [Google Scholar] [CrossRef]
- Tiacci, E.; Ladewig, E.; Schiavoni, G.; Penson, A.; Fortini, E.; Pettirossi, V.; Wang, Y.; Rosseto, A.; Venanzi, A.; Vlasevska, S.; et al. Pervasive mutations of jak-stat pathway genes in classical hodgkin lymphoma. Blood 2018, 131, 2454–2465. [Google Scholar] [CrossRef] [PubMed]
- Diaz, T.; Navarro, A.; Ferrer, G.; Gel, B.; Gaya, A.; Artells, R.; Bellosillo, B.; Garcia-Garcia, M.; Serrano, S.; Martinez, A.; et al. Lestaurtinib inhibition of the jak/stat signaling pathway in hodgkin lymphoma inhibits proliferation and induces apoptosis. PLoS ONE 2011, 6, e18856. [Google Scholar] [CrossRef]
- Schoof, N.; von Bonin, F.; Trumper, L.; Kube, D. Hsp90 is essential for jak-stat signaling in classical hodgkin lymphoma cells. Cell Commun. Signal. 2009, 7, 17. [Google Scholar] [CrossRef]
- Steidl, C.; Diepstra, A.; Lee, T.; Chan, F.C.; Farinha, P.; Tan, K.; Telenius, A.; Barclay, L.; Shah, S.P.; Connors, J.M.; et al. Gene expression profiling of microdissected hodgkin reed-sternberg cells correlates with treatment outcome in classical hodgkin lymphoma. Blood 2012, 120, 3530–3540. [Google Scholar] [CrossRef]
- Bargou, R.C.; Leng, C.; Krappmann, D.; Emmerich, F.; Mapara, M.Y.; Bommert, K.; Royer, H.D.; Scheidereit, C.; Dorken, B. High-level nuclear nf-kappa b and oct-2 is a common feature of cultured hodgkin/reed-sternberg cells. Blood 1996, 87, 4340–4347. [Google Scholar] [CrossRef]
- Lake, A.; Shield, L.A.; Cordano, P.; Chui, D.T.; Osborne, J.; Crae, S.; Wilson, K.S.; Tosi, S.; Knight, S.J.; Gesk, S.; et al. Mutations of nfkbia, encoding ikappab alpha, are a recurrent finding in classical hodgkin lymphoma but are not a unifying feature of non-ebv-associated cases. Int. J. Cancer 2009, 125, 1334–1342. [Google Scholar] [CrossRef] [PubMed]
- Aoki, T.; Chong, L.C.; Takata, K.; Milne, K.; Hav, M.; Colombo, A.; Chavez, E.A.; Nissen, M.; Wang, X.; Miyata-Takata, T.; et al. Single-cell transcriptome analysis reveals disease-defining t-cell subsets in the tumor microenvironment of classic hodgkin lymphoma. Cancer Discov. 2020, 10, 406–421. [Google Scholar] [CrossRef] [PubMed]
- Liu, Y.; Abdul Razak, F.R.; Terpstra, M.; Chan, F.C.; Saber, A.; Nijland, M.; van Imhoff, G.; Visser, L.; Gascoyne, R.; Steidl, C.; et al. The mutational landscape of hodgkin lymphoma cell lines determined by whole-exome sequencing. Leukemia 2014, 28, 2248–2251. [Google Scholar] [CrossRef]
- Reichel, J.; Chadburn, A.; Rubinstein, P.G.; Giulino-Roth, L.; Tam, W.; Liu, Y.; Gaiolla, R.; Eng, K.; Brody, J.; Inghirami, G.; et al. Flow sorting and exome sequencing reveal the oncogenome of primary hodgkin and reed-sternberg cells. Blood 2015, 125, 1061–1072. [Google Scholar] [CrossRef]
- Reichel, J.B.; McCormick, J.; Fromm, J.R.; Elemento, O.; Cesarman, E.; Roshal, M. Flow-sorting and exome sequencing of the reed-sternberg cells of classical hodgkin lymphoma. J. Vis. Exp. 2017, 124, 54399. [Google Scholar] [CrossRef] [PubMed]
- Wienand, K.; Chapuy, B.; Stewart, C.; Dunford, A.J.; Wu, D.; Kim, J.; Kamburov, A.; Wood, T.R.; Cader, F.Z.; Ducar, M.D.; et al. Genomic analyses of flow-sorted hodgkin reed-sternberg cells reveal complementary mechanisms of immune evasion. Blood Adv. 2019, 3, 4065–4080. [Google Scholar] [CrossRef]
- Cuccaro, A.; Annunziata, S.; Cupelli, E.; Martini, M.; Calcagni, M.L.; Rufini, V.; Giachelia, M.; Bartolomei, F.; Galli, E.; D’Alo, F.; et al. Cd68+ cell count, early evaluation with pet and plasma tarc levels predict response in hodgkin lymphoma. Cancer Med. 2016, 5, 398–406. [Google Scholar] [CrossRef] [PubMed]
- Guidetti, A.; Mazzocchi, A.; Miceli, R.; Paterno, E.; Taverna, F.; Spina, F.; Crippa, F.; Farina, L.; Corradini, P.; Gianni, A.M.; et al. Early reduction of serum tarc levels may predict for success of abvd as frontline treatment in patients with hodgkin lymphoma. Leuk. Res. 2017, 62, 91–97. [Google Scholar] [CrossRef] [PubMed]
- Niens, M.; Visser, L.; Nolte, I.M.; van der Steege, G.; Diepstra, A.; Cordano, P.; Jarrett, R.F.; Te Meerman, G.J.; Poppema, S.; van den Berg, A. Serum chemokine levels in hodgkin lymphoma patients: Highly increased levels of ccl17 and ccl22. Br. J. Haematol. 2008, 140, 527–536. [Google Scholar] [CrossRef]
- Plattel, W.J.; Alsada, Z.N.; van Imhoff, G.W.; Diepstra, A.; van den Berg, A.; Visser, L. Biomarkers for evaluation of treatment response in classical hodgkin lymphoma: Comparison of sgalectin-1, scd163 and scd30 with tarc. Br. J. Haematol. 2016, 175, 868–875. [Google Scholar] [CrossRef] [PubMed]
- Zijtregtop, E.A.M.; Meyer-Wentrup, F.; Wong, W.; Hoogendijk, R.; Lopez-Yurda, M.; Zwaan, C.M.; Beishuizen, A. Plasma thymus and activation-regulated chemokine (tarc) as diagnostic marker in pediatric hodgkin lymphoma. eJHaem 2019, 1, 152–160. [Google Scholar] [CrossRef]
- Gallamini, A.; Hutchings, M.; Rigacci, L.; Specht, L.; Merli, F.; Hansen, M.; Patti, C.; Loft, A.; Di Raimondo, F.; D’Amore, F.; et al. Early interim 2-[18f]fluoro-2-deoxy-d-glucose positron emission tomography is prognostically superior to international prognostic score in advanced-stage hodgkin’s lymphoma: A report from a joint italian-danish study. J. Clin. Oncol. 2007, 25, 3746–3752. [Google Scholar] [CrossRef] [PubMed]
- Jones, K.; Vari, F.; Keane, C.; Crooks, P.; Nourse, J.P.; Seymour, L.A.; Gottlieb, D.; Ritchie, D.; Gill, D.; Gandhi, M.K. Serum cd163 and tarc as disease response biomarkers in classical hodgkin lymphoma. Clin. Cancer Res. 2013, 19, 731–742. [Google Scholar] [CrossRef] [PubMed]
- Plattel, W.J.; van den Berg, A.; Visser, L.; van der Graaf, A.M.; Pruim, J.; Vos, H.; Hepkema, B.; Diepstra, A.; van Imhoff, G.W. Plasma thymus and activation-regulated chemokine as an early response marker in classical hodgkin’s lymphoma. Haematologica 2012, 97, 410–415. [Google Scholar] [CrossRef]
- Sauer, M.; Plutschow, A.; Jachimowicz, R.D.; Kleefisch, D.; Reiners, K.S.; Ponader, S.; Engert, A.; von Strandmann, E.P. Baseline serum tarc levels predict therapy outcome in patients with hodgkin lymphoma. Am. J. Hematol. 2013, 88, 113–115. [Google Scholar] [CrossRef]
- Weihrauch, M.R.; Manzke, O.; Beyer, M.; Haverkamp, H.; Diehl, V.; Bohlen, H.; Wolf, J.; Schultze, J.L. Elevated serum levels of cc thymus and activation-related chemokine (tarc) in primary hodgkin’s disease: Potential for a prognostic factor. Cancer Res. 2005, 65, 5516–5519. [Google Scholar] [CrossRef]
- Plattel, W.J.; Visser, L.; Diepstra, A.; Glaudemans, A.; Nijland, M.; van Meerten, T.; Kluin-Nelemans, H.C.; van Imhoff, G.W.; van den Berg, A. Interim thymus and activation regulated chemokine versus interim (18) f-fluorodeoxyglucose positron-emission tomography in classical hodgkin lymphoma response evaluation. Br. J. Haematol. 2020, 190, 40–44. [Google Scholar] [CrossRef]
- Viviani, S.; Mazzocchi, A.; Pavoni, C.; Taverna, F.; Rossi, A.; Patti, C.; Romano, A.; Trentin, L.; Sorasio, R.; Guidetti, A.; et al. Early serum tarc reduction predicts prognosis in advanced-stage hodgkin lymphoma patients treated with a pet-adapted strategy. Hematol. Oncol. 2020, 38, 501–508. [Google Scholar] [CrossRef]
- Hsi, E.D.; Li, H.; Nixon, A.B.; Schoder, H.; Bartlett, N.L.; LeBlanc, M.; Smith, S.; Kahl, B.S.; Leonard, J.P.; Evens, A.M.; et al. Serum levels of tarc, mdc, il-10, and soluble cd163 in hodgkin lymphoma: A swog s0816 correlative study. Blood 2019, 133, 1762–1765. [Google Scholar] [CrossRef]
- Lim, J.B.; Kim, D.K.; Chung, H.W. Clinical significance of serum thymus and activation-regulated chemokine in gastric cancer: Potential as a serum biomarker. Cancer Sci. 2014, 105, 1327–1333. [Google Scholar] [CrossRef]
- Peh, S.C.; Kim, L.H.; Poppema, S. Tarc, a cc chemokine, is frequently expressed in classic hodgkin’s lymphoma but not in nlp hodgkin’s lymphoma, t-cell-rich b-cell lymphoma, and most cases of anaplastic large cell lymphoma. Am. J. Surg. Pathol. 2001, 25, 925–929. [Google Scholar] [CrossRef] [PubMed]
- Kumai, T.; Nagato, T.; Kobayashi, H.; Komabayashi, Y.; Ueda, S.; Kishibe, K.; Ohkuri, T.; Takahara, M.; Celis, E.; Harabuchi, Y. Ccl17 and ccl22/ccr4 signaling is a strong candidate for novel targeted therapy against nasal natural killer/t-cell lymphoma. Cancer Immunol. Immunother. 2015, 64, 697–705. [Google Scholar] [CrossRef]
- Miyagaki, T.; Sugaya, M.; Suga, H.; Morimura, S.; Kamata, M.; Ohmatsu, H.; Fujita, H.; Asano, Y.; Tada, Y.; Kadono, T.; et al. Serum soluble cd26 levels: Diagnostic efficiency for atopic dermatitis, cutaneous t-cell lymphoma and psoriasis in combination with serum thymus and activation-regulated chemokine levels. J. Eur. Acad. Dermatol. Venereol. 2013, 27, 19–24. [Google Scholar] [CrossRef] [PubMed]
- Vermeer, M.H.; Dukers, D.F.; ten Berge, R.L.; Bloemena, E.; Wu, L.; Vos, W.; de Vries, E.; Tensen, C.P.; Meijer, C.J.; Willemze, R. Differential expression of thymus and activation regulated chemokine and its receptor ccr4 in nodal and cutaneous anaplastic large-cell lymphomas and hodgkin’s disease. Mod. Pathol. 2002, 15, 838–844. [Google Scholar] [CrossRef]
- Kataoka, Y. Thymus and activation-regulated chemokine as a clinical biomarker in atopic dermatitis. J. Dermatol. 2014, 41, 221–229. [Google Scholar] [CrossRef]
- Kudo, M.; Ishigatsubo, Y.; Aoki, I. Pathology of asthma. Front. Microbiol. 2013, 4, 263. [Google Scholar] [CrossRef]
- Cornforth, A.N.; Lee, G.J.; Fowler, A.W.; Carbonell, D.J.; Dillman, R.O. Increases in serum tarc/ccl17 levels are associated with progression-free survival in advanced melanoma patients in response to dendritic cell-based immunotherapy. J. Clin. Immunol. 2009, 29, 657–664. [Google Scholar] [CrossRef] [PubMed]
- Leung, T.F.; Wong, C.K.; Lam, C.W.; Li, A.M.; Ip, W.K.; Wong, G.W.; Fok, T.F. Plasma tarc concentration may be a useful marker for asthmatic exacerbation in children. Eur. Respir. J. 2003, 21, 616–620. [Google Scholar] [CrossRef] [PubMed]
- Komatsu-Fujii, T.; Chinuki, Y.; Niihara, H.; Hayashida, K.; Ohta, M.; Okazaki, R.; Kaneko, S.; Morita, E. The thymus and activation-regulated chemokine (tarc) level in serum at an early stage of a drug eruption is a prognostic biomarker of severity of systemic inflammation. Allergol. Int. 2018, 67, 90–95. [Google Scholar] [CrossRef] [PubMed]
- Tsybikov, N.N.; Egorova, E.V.; Kuznik, B.I.; Fefelova, E.V.; Magen, E. Biomarker assessment in chronic rhinitis and chronic rhinosinusitis: Endothelin-1, tarc/ccl17, neopterin, and alpha-defensins. Allergy Asthma Proc. 2016, 37, 35–42. [Google Scholar] [CrossRef]
- Umeda, M.; Origuchi, T.; Kawashiri, S.Y.; Koga, T.; Ichinose, K.; Furukawa, K.; Sato, T.; Tsuji, S.; Endo, Y.; Takatani, A.; et al. Thymus and activation-regulated chemokine as a biomarker for igg4-related disease. Sci. Rep. 2020, 10, 6010. [Google Scholar] [CrossRef]
- Inui, S.; Noguchi, F.; Nakajima, T.; Itami, S. Serum thymus and activation-regulated chemokine as disease activity and response biomarker in alopecia areata. J. Dermatol. 2013, 40, 881–885. [Google Scholar] [CrossRef] [PubMed]
- Kawasaki, Y.; Kamata, M.; Shimizu, T.; Nagata, M.; Fukaya, S.; Hayashi, K.; Fukuyasu, A.; Tanaka, T.; Ishikawa, T.; Ohnishi, T.; et al. Thymus and activation-regulated chemokine (tarc) in patients with psoriasis: Increased serum tarc levels in patients with generalized pustular psoriasis. J. Dermatol. 2020, 47, 1149–1156. [Google Scholar] [CrossRef] [PubMed]
- Bradford, E.; Jacobson, S.; Varasteh, J.; Comellas, A.P.; Woodruff, P.; O’Neal, W.; DeMeo, D.L.; Li, X.; Kim, V.; Cho, M.; et al. The value of blood cytokines and chemokines in assessing copd. Respir. Res. 2017, 18, 180. [Google Scholar] [CrossRef] [PubMed]
- Machida, H.; Inoue, S.; Shibata, Y.; Kimura, T.; Sato, K.; Abe, K.; Murano, H.; Yang, S.; Nakano, H.; Sato, M.; et al. Thymus and activation-regulated chemokine (tarc/ccl17) predicts decline of pulmonary function in patients with chronic obstructive pulmonary disease. Allergol. Int. 2021, 70, 81–88. [Google Scholar] [CrossRef] [PubMed]
- Wang, J.; Zhao, Q.; Wang, G.; Yang, C.; Xu, Y.; Li, Y.; Yang, P. Circulating levels of th1 and th2 chemokines in patients with ankylosing spondylitis. Cytokine 2016, 81, 10–14. [Google Scholar] [CrossRef]
- Miyazaki, E.; Nureki, S.; Ono, E.; Ando, M.; Matsuno, O.; Fukami, T.; Ueno, T.; Kumamoto, T. Circulating thymus- and activation-regulated chemokine/ccl17 is a useful biomarker for discriminating acute eosinophilic pneumonia from other causes of acute lung injury. Chest 2007, 131, 1726–1734. [Google Scholar] [CrossRef] [PubMed]
- Kakinuma, T.; Wakugawa, M.; Nakamura, K.; Hino, H.; Matsushima, K.; Tamaki, K. High level of thymus and activation-regulated chemokine in blister fluid and sera of patients with bullous pemphigoid. Br. J. Dermatol. 2003, 148, 203–210. [Google Scholar] [CrossRef]
- Makita, E.; Kuroda, S.; Itabashi, K.; Sugawara, D.; Ichihashi, K. Evaluation of the diagnostic accuracy of thymus and activation-regulated chemokine to discriminate food protein-induced enterocolitis syndrome from infectious gastroenteritis. Int. Arch. Allergy Immunol. 2020, 182, 229–233. [Google Scholar] [CrossRef]
- Delhaes, L.; Frealle, E.; Pinel, C. Serum markers for allergic bronchopulmonary aspergillosis in cystic fibrosis: State of the art and further challenges. Med. Mycol. 2010, 48 (Suppl. S1), S77–S87. [Google Scholar] [CrossRef]
- Wenzel, J.; Henze, S.; Worenkamper, E.; Basner-Tschakarjan, E.; Sokolowska-Wojdylo, M.; Steitz, J.; Bieber, T.; Tuting, T. Role of the chemokine receptor ccr4 and its ligand thymus- and activation-regulated chemokine/ccl17 for lymphocyte recruitment in cutaneous lupus erythematosus. J. Investig. Dermatol. 2005, 124, 1241–1248. [Google Scholar] [CrossRef] [PubMed]
- Viola, A.; Luster, A.D. Chemokines and their receptors: Drug targets in immunity and inflammation. Annu. Rev. Pharmacol. Toxicol. 2008, 48, 171–197. [Google Scholar] [CrossRef] [PubMed]
- Beck, A.; Reichert, J.M. Marketing approval of mogamulizumab: A triumph for glyco-engineering. MAbs 2012, 4, 419–425. [Google Scholar] [CrossRef] [PubMed]
- Kanazawa, T.; Hiramatsu, Y.; Iwata, S.; Siddiquey, M.; Sato, Y.; Suzuki, M.; Ito, Y.; Goshima, F.; Murata, T.; Kimura, H. Anti-ccr4 monoclonal antibody mogamulizumab for the treatment of ebv-associated t- and nk-cell lymphoproliferative diseases. Clin. Cancer Res. 2014, 20, 5075–5084. [Google Scholar] [CrossRef] [PubMed]
- Subramaniam, J.M.; Whiteside, G.; McKeage, K.; Croxtall, J.C. Mogamulizumab first global approval. Drugs 2012, 72, 1293–1298. [Google Scholar] [CrossRef]
- Yonekura, K.; Kusumoto, S.; Choi, I.; Nakano, N.; Ito, A.; Suehiro, Y.; Imaizumi, Y.; Yoshimitsu, M.; Nosaka, K.; Ohtsuka, E.; et al. Mogamulizumab for adult t-cell leukemia-lymphoma: A multicenter prospective observational study. Blood Adv. 2020, 4, 5133–5145. [Google Scholar] [CrossRef]
- Duvic, M.; Vu, J. Vorinostat: A new oral histone deacetylase inhibitor approved for cutaneous t-cell lymphoma. Expert Opin. Investig. Drugs 2007, 16, 1111–1120. [Google Scholar] [CrossRef]
- Siegel, D.; Hussein, M.; Belani, C.; Robert, F.; Galanis, E.; Richon, V.M.; Garcia-Vargas, J.; Sanz-Rodriguez, C.; Rizvi, S. Vorinostat in solid and hematologic malignancies. J. Hematol. Oncol. 2009, 2, 31. [Google Scholar] [CrossRef]
- Janku, F.; Park, H.; Call, S.G.; Madwani, K.; Oki, Y.; Subbiah, V.; Hong, D.S.; Naing, A.; Velez-Bravo, V.M.; Barnes, T.G.; et al. Safety and efficacy of vorinostat plus sirolimus or everolimus in patients with relapsed refractory hodgkin lymphoma. Clin. Cancer Res. 2020, 26, 5579–5587. [Google Scholar] [CrossRef]
- Kirschbaum, M.H.; Goldman, B.H.; Zain, J.M.; Cook, J.R.; Rimsza, L.M.; Forman, S.J.; Fisher, R.I. A phase 2 study of vorinostat for treatment of relapsed or refractory hodgkin lymphoma: Southwest oncology group study s0517. Leuk. Lymphoma 2012, 53, 259–262. [Google Scholar] [CrossRef] [PubMed]
- Di Stasi, A.; De Angelis, B.; Rooney, C.M.; Zhang, L.; Mahendravada, A.; Foster, A.E.; Heslop, H.E.; Brenner, M.K.; Dotti, G.; Savoldo, B. T lymphocytes coexpressing ccr4 and a chimeric antigen receptor targeting cd30 have improved homing and antitumor activity in a hodgkin tumor model. Blood 2009, 113, 6392–6402. [Google Scholar] [CrossRef] [PubMed]
Publisher’s Note: MDPI stays neutral with regard to jurisdictional claims in published maps and institutional affiliations. |
© 2021 by the authors. Licensee MDPI, Basel, Switzerland. This article is an open access article distributed under the terms and conditions of the Creative Commons Attribution (CC BY) license (http://creativecommons.org/licenses/by/4.0/).


