Simple Summary
Cancer associated cachexia and loss of skeletal muscle mass is a negative prognostic marker for survival. Temporal muscle thickness (TMT) is an easily accessible parameter that has been suggested as a prognostic marker in glioblastoma. In this multicenter study we retrospectively analyzed a cohort of 335 patients with newly diagnosed glioblastoma for their overall survival (OS) and TMT. Although previous studies found TMT to be an independent prognostic marker for OS, we could not reproduce these results. Instead, TMT seems to be a surrogate parameter for other epidemiological data.
Abstract
Background: Reduced temporal muscle thickness (TMT) has been discussed as a prognostic marker in IDH-wildtype glioblastoma. This retrospective multicenter study was designed to investigate whether TMT is an independent prognostic marker in newly diagnosed glioblastoma. Methods: TMT was retrospectively measured in 335 patients with newly diagnosed glioblastoma between 1 January 2014 and 31 December 2019 at the University Hospitals of Leipzig and Rostock. The cohort was dichotomized by TMT and tested for association with overall survival (OS) after 12 months by multivariate proportional hazard calculation. Results: TMT of 7.0 mm or more was associated with increased OS (46.3 ± 3.9% versus 36.6 ± 3.9%, p > 0.001). However, the sub-groups showed significant epidemiological differences. In multivariate proportional hazard calculation, patient age (HR 1.01; p = 0.004), MGMT promoter status (HR 0.76; p = 0.002), EOR (HR 0.61), adjuvant irradiation (HR 0.24) and adjuvant chemotherapy (HR 0.40; all p < 0.001) were independent prognostic markers for OS. However, KPS (HR 1.00, p = 0.31), BMI (HR 0.98, p = 0.11) and TMT (HR 1.06; p = 0.07) were not significantly associated with OS. Conclusion: TMT has not appeared as a statistically independent prognostic marker in this cohort of patients with newly diagnosed IDH-wildtype glioblastoma.
1. Introduction
Cancer associated cachexia leads to the loss of skeletal muscle, and the thickness of skeletal muscle has been established as an independent prognostic marker of overall survival (OS) in metastasizing cancer [1]. In patients with intracerebral tumors, an easily accessible marker for skeletal muscle mass is temporal muscle thickness (TMT) [2]. Recently, TMT has also been discussed as a prognostic marker in newly diagnosed [3,4,5] and progressive glioblastoma (GBM) [6]. Glioblastoma is the most common malignant tumor of the brain, showing an incidence of 5 per 100,000 per year [7]; the median age at diagnosis is 65 years and men are more frequently affected. Despite great efforts in the advancement of treatment, the prognosis remains devastating, and five-year survival is only 3% [8]. First-line treatment of GBM includes micro-surgical resection followed by concomitant chemoradiotherapy [9,10]. However, depending on prognostic factors, patients are stratified in different therapeutic pathways, where chemotherapy or radiotherapy can be administered without the other. For this reason, and to predict overall survival (OS), prognostic biomarkers are necessary. A minor subtype of GBM develops out of a primary less malignant astrocytoma or oligodendroglioma and shows a mutation of the isocitrate dehydrogenase (IDH) gene, and is called secondary or IDH-positive GBM. The majority of GBM are primary and IDH-negative and have a shorter OS. Other established biomarkers are age, Karnofsky Performance Score (KPS), the extent of resection (EOR), and O6-methylguanine-DNA methyltransferase (MGMT) promoter methylation status [10,11]. Current studies describe further genetic and imaging biomarkers as well as neurological performance to be relevant for OS prediction [12,13,14].
To analyze whether TMT can serve as an independent prognostic marker, as suggested previously, we examined the records of patients with IDH-negative GBM in a retrospective study of two major German University Hospitals.
2. Methods
2.1. Patient Cohorts
This study was approved by the local ethics committee (336/20-ek). We analyzed medical records of all patients who were newly diagnosed with IDH-wildtype glioblastoma at the University Hospitals of Leipzig or Rostock, Germany, between 1 January 2014 and 31 December 2019. All patients were at least 18 years old and received magnetic resonance imaging (MRI) with contrast enhancement before surgery and within 72 h after surgery. All patients were treated according to the current guidelines for glioma therapy and all cases were discussed in weekly interdisciplinary tumor boards. Patients who did not undergo surgery were excluded.
We recorded the age at the date of diagnosis, sex, body mass index (BMI), Karnofsky Performance Score (KPS), MGMT status, extent of resection (EOR), and the administration of adjuvant chemoradiotherapy. Here, gross-total resection was defined as EOR over 90%, sub-total resection (STR) as EOR below 90%, excluding biopsy, and biopsy was defined as burr-hole trepanation with needle biopsy.
Overall survival (OS) was recorded as the time between tumor resection and death. These were assessed on 30 June 2021. If patients lived beyond that date or were lost to follow-up, the date of last contact was implemented as a censored value.
2.2. TMT Measurement
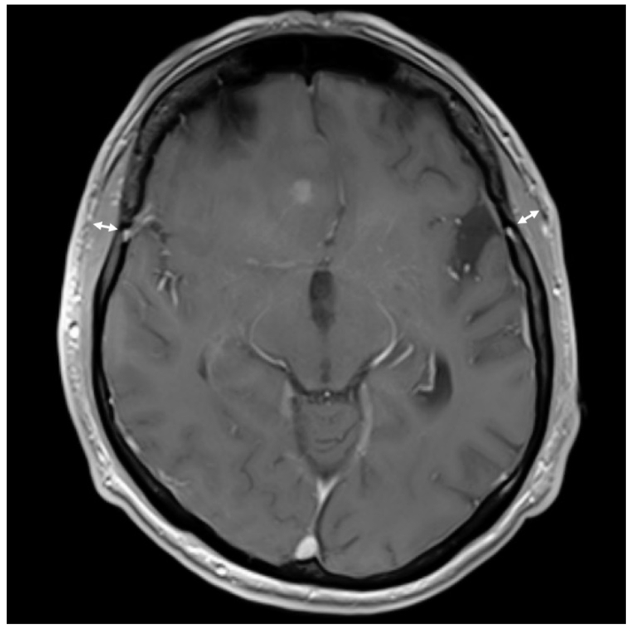
For TMT assessment, T1 weighted magnetic resonance images (MRI, 1 mm isovoxel resolution) with gadolinium in axial slides perpendicular to the axis of the temporal muscle were used. An experienced neuroradiologist who was blinded to clinical patient data measured TMT. The measurement was performed on both sides and recorded as mean TMT per patient (Figure 1).
Figure 1.
Example of temporal muscle thickness (TMT) measurement in contrast enhanced axial T1 magnetic resonance imaging (MRI) of a 70-year old male patient with an overall survival (OS) of 18 months. Measurement is marked with arrows (right: 7.6 mm, left: 7.8 mm).
2.3. Statistical Analysis
Statistical analysis was carried out using SPSS statistics software version 24.0.0.2 (IBM, Armonk, NY, USA). Spearman’s rank-order correlation was applied to determine the relationship between BMI and TMT. Receiver operator characteristic (ROC) analysis was performed for TMT. One-year survival was calculated using the Kaplan-Meier estimate, which is given with standard deviation. Statistical significance was determined via log rank testing. Influence on survival probability of continuous and categorized parameters was analyzed via univariate Cox regression. Parameters with p-values below 0.2 in univariate analysis were then implemented into a multivariate proportional hazard calculation. Subgroup comparison of epidemiological data was performed employing Mann-Whitney-U testing. p-values below 0.05 were considered to be statistically significant.
3. Results
3.1. Patient Cohort and Temporal Muscle Thickness
Baseline data is presented in Table 1. During the study period, 335 patients with newly diagnosed glioblastoma were eligible. Concerning epidemiological data such as gender ratio, average age and 12-months survival, the cohort is comparable to larger studies [15]. Average TMT was 7.0 ± 2.1 mm for both sides and average BMI 27.1 ± 5.7 kg/m². Only for values below 30 kg/m² was there a weak correlation between TMT and BMI (Spearman’s ρ 0.247). Otherwise, TMT and BMI did not correlate. Concerning TMT and patient sex, there was also a weak correlation (Spearman’s ρ −0.297).
Table 1.
Baseline data.
3.2. Temporal Muscle Thickness and Overall Survival
Continuous and categorized parameters were employed in univariate Cox regression to analyze influence on survival probability. Here, increasing KPS (HR 0.98; p < 0.001) and TMT (HR 0.92; p = 0.004), a positive MGMT methylation status (HR 0.63), gross total resection (HR 0.53), receiving adjuvant irradiation with concomitant temozolomide (HR 0.1) and chemotherapy with temozolomide (HR 0.23; all p < 0.001) were significantly correlated with prolonged overall survival while higher patient age was inversely associated with patient survival (HR 1.03; p < 0.001). BMI and patient sex did not show statistical significance (Table 2, center column).
Table 2.
Cox Regression.
Since a TMT cutoff could not be calculated by ROC (AUC 0.558), a Kaplan Meier analysis was performed with cohorts stratified by the average TMT from baseline data. Survival curves are shown in Figure 2. Patients with a TMT of 7.0 mm and more had a significantly increased OS (12-months-survival 46.3 ± 3.9%) compared to the corresponding sub-group (12-months-survival 36.6 ± 3.9%, p < 0.001 by log-rank test). A comparative sub-cohort analysis, however, revealed that patients with a TMT of 7.0 mm and more were mostly male (as already analyzed before), received GTR as well as adjuvant chemotherapy with temozolomide more often, and had corresponding tumor samples that revealed a methylated MGMT promoter more frequently (Table 3). A subgroup multivariate cox regression analysis of only male or only female patients did not give significant results for TMT, either (p = 0.125 and p = 0.429, respectively).
Figure 2.
Overall survival and temporal muscle thickness by Kaplan Meier analysis. TMT: temporal muscle thickness.
Table 3.
Sub-cohort stratified by TMT.
All mentioned parameters were implemented into a multivariate proportional hazard calculation (shown in Table 2, right column). Patient age (HR 1.01; p = 0.004), MGMT promoter methylation status (HR 0.76; p = 0.002), extent of resection (HR 0.61), adjuvant irradiation (HR 0.24) and adjuvant chemotherapy (HR 0.40; all p < 0.001) had independent effects on overall survival. In contrast, BMI (HR 0.98, p = 0.11) and TMT (HR 1.06; p = 0.07) were not significantly associated with OS.
4. Discussion
We present a retrospective analysis of more than 300 patients with newly diagnosed IDH-wildtype glioblastoma from two German university hospitals, investigating the prognostic value of temporal muscle thickness (TMT).
Since a TMT cut-off value could not be defined by ROC analysis, we stratified our patient cohort by the average TMT of 7.0 mm. This cut-off value is comparable with recent studies [4,5,6]. Furthermore, we added the BMI as an additional factor to be considered. In univariate analysis, the difference between the Kaplan Meier estimates of patients with higher and lower TMT values was significantly different. However, there was a bias within other proven prognostic parameters such as EOR, MGMT promoter methylation status and adjuvant therapy regimen. Consequently, multivariate analysis revealed TMT and BMI not to be statistically significant markers for overall survival. Interestingly, there was a weak correlation of TMT and BMI in non-obese patients. This could not be observed in patients with a BMI > 30 kg/m2 and might point to a linear relation of overall skeletal muscle mass and body mass, which our data cannot further elaborate.
It has long been known that cancer, in particular in its metastatic form, leads to cachexia with skeletal muscle atrophy. In these patients, muscular atrophy has proven to be a prognostic marker for survival [1]. In particular, measurement of the TMT has shown to reproduce highly reasonable results and to serve as an easily accessible surrogate of overall skeletal mass, which can be assessed on CT or MR images during routine imaging in cancer staging. The exact underlying mechanism of cancer cachexia, however, is unknown, but metastasizing cancers and chemotherapy toxicities are suspicious of leading to muscle atrophy [16,17]. Taking these results of metastatic cancer studies into consideration, chemotherapy for GBM has a more favorable safety profile than in other cancers, with thrombocytopenia being the main dose-limiting toxicity [9]. Also, metastases of GBM outside the central nervous system are very rare [18], and deterioration is therefore usually caused by decreasing neurological performance rather than systemic effects [19].
Earlier research reported TMT as an independent prognostic marker in GBM after first progression [6], but also found statistical differences in epidemiological data in cohorts stratified by TMT [5]. While this alone sufficiently explains why TMT in our cohort is only a surrogate parameter for epidemiological differences between patients, the statistical significance cannot be reproduced in multivariate analysis. There are several possible explanations for these findings.
First, we measured TMT before treatment. Therefore, our data rather reflects the overall physical constitution of our patients than the general physical reaction to surgery, chemoradiotherapy or the devastating diagnosis of progressive glioblastoma. This also enabled us to measure TMT bilaterally in all patients, which was not possible in progressive glioblastoma patients, due to temporal muscle atrophy following surgery and irradiation [6]. Also, long-term treatment with corticosteroids that causes skeletal muscle atrophy and compromises survival in glioblastoma, was ruled out in our study design [20,21]. However, if cachexia has been the cause of deterioration directly before death, it would not be detectable in our measurement at the time of diagnosis. Therefore, the time of imaging for skeletal muscle mass may be important.
Second, patients with unknown or mutated IDH-status were excluded from our cohort. Considering IDH-wildtype GBM (now known as Astrocytoma WHO grade IV [10]) as an independent entity, allowed for a more coherent data analysis in comparison to previous works that did not screen for IDH status [3], or included both IDH-mutated and IDH-wildtype GBM [6]. Last, our multi-center cohort is larger than those of single-center studies on newly diagnosed glioblastoma and eliminates single-center effects on overall survival and TMT measurement [3,4,5].
The epidemiological data in our cohort is comparable to larger studies [7]. We also found known epidemiological markers for overall survival to be statistically significant in multivariate analysis (Table 2). Specifically, patient age, MGMT promoter methylation status, extent of resection, adjuvant irradiation and adjuvant chemotherapy were independent markers for overall survival [10,11,12,13,14]. These study characteristics emphasize the quality and comparability of our data. The limitations of this study lie within its design, which is of a retrospective nature, and therefore a recruitment bias cannot be fully ruled out. Although TMT was measured as described in other studies, there may be inter-observer variability, which was not ruled out by a further analysis during this study. However, measuring the thickness of the temporal muscle in a defined point along its axis is not prone to large aberrations.
5. Conclusions
In metastasizing cancers, TMT is a well investigated marker for patient survival [22,23]. Although it has been proposed as an independent marker for survival in progressive as well as in newly diagnosed glioblastoma [3,4,5], our multicenter data showed that in patients with newly diagnosed glioblastoma, TMT is only a surrogate parameter for other epidemiological data. Therefore, in newly diagnosed IDH-wildtype glioblastoma, our data cannot support the role of TMT as an independent prognostic marker.
Author Contributions
Conceptualization, T.W. and C.H.; Formal analysis, T.W., J.K., Ä.G. and C.H.; Investigation, T.W., J.K., G.P., T.K. and C.H.; Methodology, T.W., J.K. and C.H.; Resources, G.P., T.M.F. and J.M.; Writing—original draft, T.W. and J.K.; Writing—review & editing, T.W., J.K., G.P., Ä.G., T.K., T.M.F., J.M. and C.H. All authors have read and agreed to the published version of the manuscript.
Funding
We acknowledge support from Leipzig University for open access publishing. This research received no external funding.
Institutional Review Board Statement
The study was conducted according to the guidelines of the Declaration of Helsinki and approved by the Ethics Committee of Medical Faculty, University of Leipzig (No. 336/20-ek).
Informed Consent Statement
Informed consent was obtained from all subjects involved in the study.
Data Availability Statement
Data of this work is available from the corresponding author upon reasonable request.
Acknowledgments
The authors thank the Leipzig Cancer Registry for providing dates of death when not implemented in hospital archives.
Conflicts of Interest
The authors declare no conflict of interest.
References
- Martin, L.; Birdsell, L.; MacDonald, N.; Reiman, T.; Clandinin, M.T.; McCargar, L.J.; Murphy, R.; Ghosh, S.; Sawyer, M.B.; Baracos, V.E. Cancer Cachexia in the Age of Obesity: Skeletal Muscle Depletion Is a Powerful Prognostic Factor, Independent of Body Mass Index. J. Clin. Oncol. 2013, 31, 1539–1547. [Google Scholar] [CrossRef]
- Leitner, J.; Pelster, S.; Schöpf, V.; Berghoff, A.S.; Woitek, R.; Asenbaum, U.; Nenning, K.-H.; Widhalm, G.; Kiesel, B.; Gatterbauer, B.; et al. High correlation of temporal muscle thickness with lumbar skeletal muscle cross-sectional area in patients with brain metastases. PLoS ONE 2018, 13, e0207849. [Google Scholar] [CrossRef]
- Cinkir, H.Y.; Er, H.C. Is temporal muscle thickness a survival predictor in newly diagnosed glioblastoma multiforme? Asia-Pac. J. Clin. Oncol. 2020, 16, e223–e227. [Google Scholar] [CrossRef]
- Muglia, R.; Simonelli, M.; Pessina, F.; Morenghi, E.; Navarria, P.; Persico, P.; Lorenzi, E.; Dipasquale, A.; Grimaldi, M.; Scorsetti, M.; et al. Prognostic relevance of temporal muscle thickness as a marker of sarcopenia in patients with glioblastoma at diagnosis. Eur. Radiol. 2020, 31, 4079–4086. [Google Scholar] [CrossRef] [PubMed]
- An, G.; Ahn, S.; Park, J.-S.; Jeun, S.S.; Kil Hong, Y. Association between temporal muscle thickness and clinical outcomes in patients with newly diagnosed glioblastoma. Cancer Res. Clin. Oncol. 2020, 147, 901–909. [Google Scholar] [CrossRef] [PubMed]
- Furtner, J.; Genbrugge, E.; Gorlia, T.; Bendszus, M.; Nowosielski, M.; Golfinopoulos, V.; Weller, M.; Bent, M.J.V.D.; Wick, W.; Preusser, M. Temporal muscle thickness is an independent prognostic marker in patients with progressive glioblastoma: Translational imaging analysis of the EORTC 26101 trial. Neuro-Oncology 2019, 21, 1587–1594. [Google Scholar] [CrossRef] [PubMed]
- Ostrom, Q.T.; Patil, N.; Cioffi, G.; Waite, K.; Kruchko, C.; Barnholtz-Sloan, J.S. CBTRUS Statistical Report: Primary Brain and Other Central Nervous System Tumors Diagnosed in the United States in 2013–2017. Neuro-Oncology 2020, 22, iv1–iv96. [Google Scholar] [CrossRef]
- Rasmussen, B.K.; Hansen, S.; Laursen, R.J.; Kosteljanetz, M.; Schultz, H.; Nørgård, B.M.; Guldberg, R.; Gradel, K. Epidemiology of glioma: Clinical characteristics, symptoms, and predictors of glioma patients grade I–IV in the the Danish Neuro-Oncology Registry. Neuro-Oncology 2017, 135, 571–579. [Google Scholar] [CrossRef]
- Stupp, R.; Mason, W.P.; Bent, M.V.D.; Weller, M.; Fisher, B.; Taphoorn, M.J.; Belanger, K.; Brandes, A.; Marosi, C.; Bogdahn, U.; et al. Radiotherapy plus Concomitant and Adjuvant Temozolomide for Glioblastoma. N. Engl. J. Med. 2005, 352, 987–996. [Google Scholar] [CrossRef]
- Weller, M.; Bent, M.V.D.; Preusser, M.; Le Rhun, E.; Tonn, J.C.; Minniti, G.; Bendszus, M.; Balana, C.; Chinot, O.; Dirven, L.; et al. EANO guidelines on the diagnosis and treatment of diffuse gliomas of adulthood. Nat. Rev. Clin. Oncol. 2020, 18, 170–186. [Google Scholar] [CrossRef]
- Hegi, M.E.; Diserens, A.-C.; Gorlia, T.; Hamou, M.-F.; De Tribolet, N.; Weller, M.; Kros, J.M.; Hainfellner, J.A.; Mason, W.; Mariani, L.; et al. MGMTGene Silencing and Benefit from Temozolomide in Glioblastoma. N. Engl. J. Med. 2005, 352, 997–1003. [Google Scholar] [CrossRef] [Green Version]
- Dietterle, J.; Wende, T.; Wilhelmy, F.; Eisenlöffel, C.; Jähne, K.; Taubenheim, S.; Arlt, F.; Meixensberger, J. The prognostic value of peri-operative neurological performance in glioblastoma patients. Acta Neurochir. 2019, 162, 417–425. [Google Scholar] [CrossRef] [PubMed]
- Szopa, W.; Burley, T.A.; Kramer-Marek, G.; Kaspera, W. Diagnostic and Therapeutic Biomarkers in Glioblastoma: Current Status and Future Perspectives. BioMed Res. Int. 2017, 2017, 1–13. [Google Scholar] [CrossRef] [PubMed] [Green Version]
- Henker, C.; Hiepel, M.C.; Kriesen, T.; Scherer, M.; Glass, Ä.; Herold-Mende, C.; Bendszus, M.; Langner, S.; Weber, M.-A.; Schneider, B.; et al. Volumetric assessment of glioblastoma and its predictive value for survival. Acta Neurochir. 2019, 161, 1723–1732. [Google Scholar] [CrossRef] [PubMed]
- Ostrom, Q.T.; Cioffi, G.; Gittleman, H.; Patil, N.; Waite, K.; Kruchko, C.; Barnholtz-Sloan, J.S. CBTRUS Statistical Report: Primary Brain and Other Central Nervous System Tumors Diagnosed in the United States in 2012–2016. Neuro-Oncology 2019, 21, v1–v100. [Google Scholar] [CrossRef]
- Tamandl, D.; Paireder, M.; Asari, R.; Baltzer, P.; Schoppmann, S.F.; Ba-Ssalamah, A. Markers of sarcopenia quantified by computed tomography predict adverse long-term outcome in patients with resected oesophageal or gastro-oesophageal junction cancer. Eur. Radiol. 2015, 26, 1359–1367. [Google Scholar] [CrossRef]
- Dewys, W.D.; Begg, C.; Lavin, P.T.; Band, P.R.; Bennett, J.M.; Bertino, J.R.; Cohen, M.H.; Douglass, H.O.; Engstrom, P.F.; Ezdinli, E.Z.; et al. Prognostic effect of weight loss prior tochemotherapy in cancer patients. Am. J. Med. 1980, 69, 491–497. [Google Scholar] [CrossRef]
- Liu, J.; Shen, L.; Tang, G.; Tang, S.; Kuang, W.; Li, H.; Tian, Y.; Zhou, Q. Multiple extracranial metastases from glioblastoma multiforme: A case report and literature review. J. Int. Med. Res. 2020, 48. [Google Scholar] [CrossRef]
- Sizoo, E.M.; Braam, L.; Postma, T.J.; Pasman, H.R.W.; Heimans, J.J.; Klein, M.; Reijneveld, J.C.; Taphoorn, M.J.B. Symptoms and problems in the end-of-life phase of high-grade glioma patients. Neuro-Oncology 2010, 12, 1162–1166. [Google Scholar] [CrossRef]
- Pitter, K.L.; Tamagno, I.; Alikhanyan, K.; Hosni-Ahmed, A.; Pattwell, S.S.; Donnola, S.; Dai, C.; Ozawa, T.; Chang, M.; Chan, T.A.; et al. Corticosteroids compromise survival in glioblastoma. Brain 2016, 139, 1458–1471. [Google Scholar] [CrossRef] [Green Version]
- Kostaras, X.; Cusano, F.; Kline, G.; Roa, W.; Easaw, J. CNS Tumour Team the Alberta Provincial Use of Dexamethasone in Patients with High-Grade Glioma: A Clinical Practice Guideline. Curr. Oncol. 2014, 21, 493–503. [Google Scholar] [CrossRef] [PubMed] [Green Version]
- Furtner, J.; Berghoff, A.S.; Albtoush, O.M.; Woitek, R.; Asenbaum, U.; Prayer, D.; Widhalm, G.; Gatterbauer, B.; Dieckmann, K.; Birner, P.; et al. Survival prediction using temporal muscle thickness measurements on cranial magnetic resonance images in patients with newly diagnosed brain metastases. Eur. Radiol. 2017, 27, 3167–3173. [Google Scholar] [CrossRef] [PubMed] [Green Version]
- Furtner, J.; Berghoff, A.S.; Schöpf, V.; Reumann, R.; Pascher, B.; Woitek, R.; Asenbaum, U.; Pelster, S.; Leitner, J.; Widhalm, G.; et al. Temporal muscle thickness is an independent prognostic marker in melanoma patients with newly diagnosed brain metastases. Neuro-Oncology 2018, 140, 173–178. [Google Scholar] [CrossRef] [PubMed] [Green Version]
Publisher’s Note: MDPI stays neutral with regard to jurisdictional claims in published maps and institutional affiliations. |
© 2021 by the authors. Licensee MDPI, Basel, Switzerland. This article is an open access article distributed under the terms and conditions of the Creative Commons Attribution (CC BY) license (https://creativecommons.org/licenses/by/4.0/).

