In the published paper [1] (https://www.mdpi.com/2072-666X/10/1/60), Figure 9b,e should be corrected as follows:
Original Figure:
Figure 9.
Microscopic snapshots of depth of necrosis before and after PDT Scheme. (b) ZnOnanoparticles toxicity in the dark showing very superficial necrosis. (e) Obtained post ZnO + Fotolon (chlorine e6) treatment under exposure of UV lamp light. The images were recorded at a magnification 100×.
Figure 9.
Microscopic snapshots of depth of necrosis before and after PDT Scheme. (b) ZnOnanoparticles toxicity in the dark showing very superficial necrosis. (e) Obtained post ZnO + Fotolon (chlorine e6) treatment under exposure of UV lamp light. The images were recorded at a magnification 100×.

New Figure:
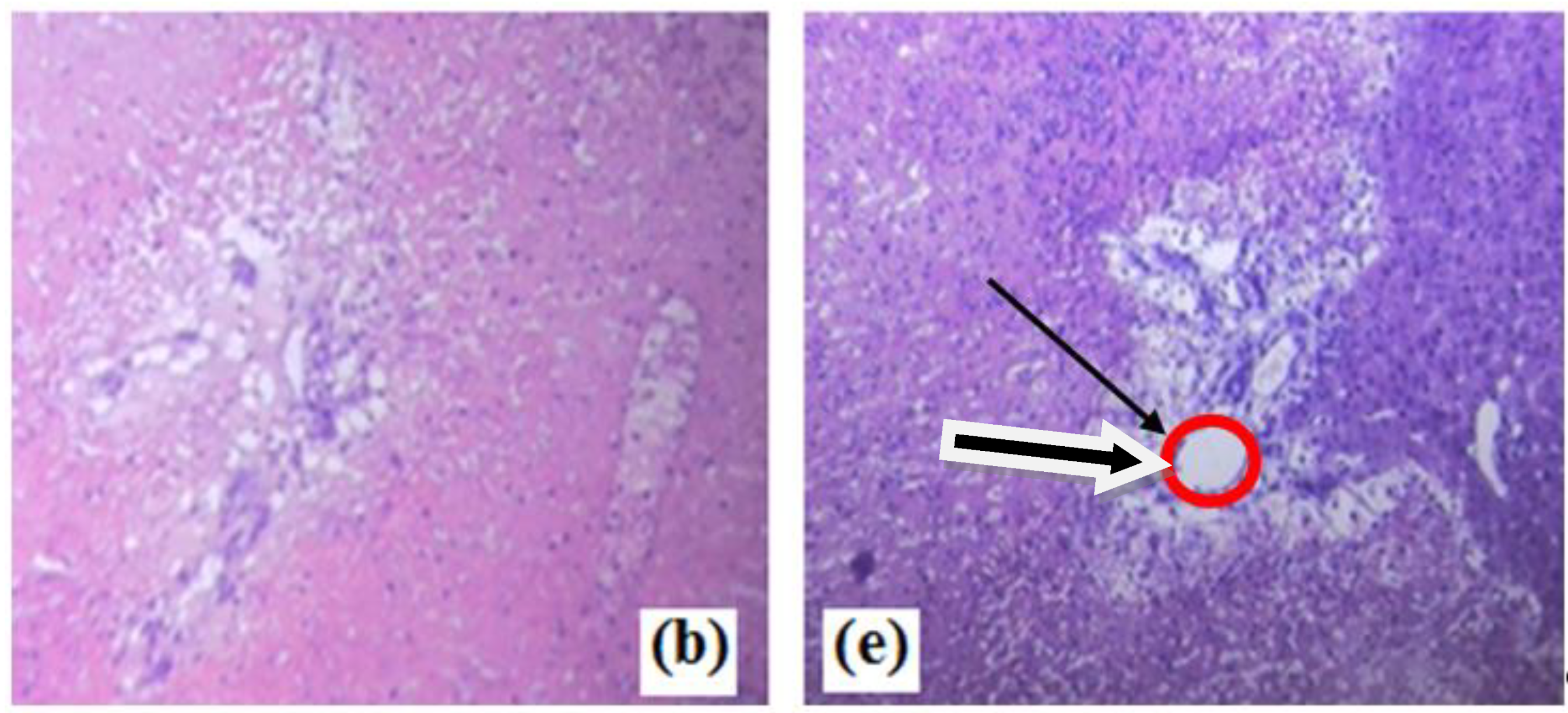
Figure 9.
Microscopic snapshots of depth of necrosis before and after PDT Scheme. (b) ZnOmicrospheres toxicity in the dark showing very superficial necrosis. (e) Obtained significant necrosis when treated with ZnO + Fotolon (Chlorine e6) under exposure of UV lamp light. Images were recorded 100× magnification, and black arrow in Figure 9e depicts the region of interest (ROI) and especially necrosis area.
Figure 9.
Microscopic snapshots of depth of necrosis before and after PDT Scheme. (b) ZnOmicrospheres toxicity in the dark showing very superficial necrosis. (e) Obtained significant necrosis when treated with ZnO + Fotolon (Chlorine e6) under exposure of UV lamp light. Images were recorded 100× magnification, and black arrow in Figure 9e depicts the region of interest (ROI) and especially necrosis area.

The changes do not affect the scientific results. We apologize for any inconvenience caused to the readers by these errors. The manuscript will be updated, and the original will remain online on the webpage for the article including a reference to this Correction.
References
- Iqbal, S.; Fakhar-e-Alam, M.; Atif, M.; Ahmed, N.; -ul-Ahmad, A.; Amin, N.; Alghamdi, R.; Hanif, A.; Farooq, W.A. Empirical Modeling of Zn/ZnO Nanoparticles Decorated/Conjugated with Fotolon (Chlorine e6) Based Photodynamic Therapy towards Liver Cancer Treatment. Micromachines 2019, 10, 60. [Google Scholar] [CrossRef] [PubMed]
© 2020 by the authors. Licensee MDPI, Basel, Switzerland. This article is an open access article distributed under the terms and conditions of the Creative Commons Attribution (CC BY) license (http://creativecommons.org/licenses/by/4.0/).