Empirical Modeling of Zn/ZnO Nanoparticles Decorated/Conjugated with Fotolon (Chlorine e6) Based Photodynamic Therapy towards Liver Cancer Treatment
Abstract
1. Introduction
2. Materials and Methods
2.1. Synthesis of ZnO Nanoparticles
2.2. Cell Culturing and Labeling
2.3. Animals
2.4. Photosensitizer
2.5. Photodynamic Therapy (PDT) Procedure
2.6. Fluorescence Spectroscopy Analysis
2.7. Cellular Viability
2.8. Characterization Techniques
2.9. Mathematical Modelling Analysis
3. Results and Discussion
3.1. X-Ray Diffraction (XRD) and Energy Dispersive X-Ray Spectroscopy (EDS) Analysis
3.2. Transmission Electron Microscopy (TEM) Analysis
3.3. Absorption Spectrum Analysis
3.4. Percent Cell Viability and Photo Toxicity of Zn/ZnO Nanoparticle After PDT
3.5. Image Analysis and Quantification
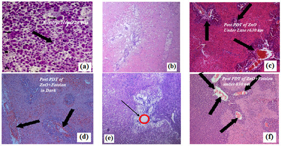
3.6. Cellular Morphology Analysis
3.7. Mathematical Modelling Analysis
4. Conclusions
Supplementary Materials
Author Contributions
Acknowledgments
Conflicts of Interest
References
- Schmidt-Mende, S.L.; MacManus-Driscoll, J.L. ZnO-nanostructures, defects, and devices. Mater. Today 2007, 10, 40–48. [Google Scholar] [CrossRef]
- Fakhar-e-Alam, M.; Atif, M.; AlSalhi, M.S.; Siddique, M.; Kishwar, S.; Qadir, M.I.; Willander, M. Role of ALA Sensitivity in HepG2 Cell in the Presence of Diode Laser. Laser Phys. 2011, 21, 972. [Google Scholar] [CrossRef]
- Atif, M.; Fakhar-e-Alam, M.; Zaidi, S.S.Z.; Suleman, R. Study of the efficacy of Photofrin®-mediated PDT on Human Hepatocellular Carcinoma (HepG2) cell line. Laser Phys. 2011, 21, 1135–1144. [Google Scholar] [CrossRef]
- Atif, M.; Fakhar-e-Alam, M.; Sabino, L.G.; Ikram, M.; De Araujo, M.T.; Kurachi, C.; Bagnato, V.S.; AlSalhi, M.S. Analysis of the combined effect of lasers of different wavelengths. Laser Phys. Lett. 2011, 8, 386–392. [Google Scholar] [CrossRef]
- Knowles, B.B.; Howe, C.C.; Aden, D.P. Human hepatocellular carcinoma cell lines secrete the major plasma proteins and hepatitis B surface antigen. Science 1980, 209, 497–499. [Google Scholar] [CrossRef] [PubMed]
- Iwasa, F.; Sassa, S.; Kappas, A. δ-Aminolaevulinate synthase in human HepG2 hepatoma cells. Repression by haemin and induction by chemicals. Biochem. J. 1989, 262, 807–813. [Google Scholar] [CrossRef]
- Peng, Q.; Warloe, T.; Berg, K.; Moan, J.; Kongshaug, M.; Giercksky, K.E.; Nesland, J.M. 5-Aminolevulinic acid-based photodynamic therapy. Clinical research and future challenges. Cancer 1997, 79, 2282–2308. [Google Scholar] [CrossRef]
- Fakhar e Alam, M.; Atif, M.; Rehman, T.; Sadia, H.; Firdous, S. The role of sensitivity of ALA (PpIX)-based PDT on human Embryonic Kidney Cell line (HEK293T). Laser Phys. 2011, 21, 1428–1437. [Google Scholar] [CrossRef]
- Fakhar e Alam, M.; Kishwar, S.; Khan, Y.; Siddique, M.; Atif, M.; Nur, O.; Willander, M. Tumoricidal Effects of Nanomaterials in HeLa cell line. Laser Phys. 2011, 21, 1978–1988. [Google Scholar] [CrossRef]
- Atif, M.; Fakhar e Alam, M.; AlSalhi, M.S. Role of Sensitivity of Zinc Oxide nanorods (ZnO NRs) based photosensitizers in Hepatocellular Site of biological tissue. Laser Phys. 2011, 21, 1950–1961. [Google Scholar] [CrossRef]
- Fakhar e Alam, M.; Rahim, S.; Atif, M.; Aziz, M.H.; Malick, M.I.; Zaidi, S.S.Z.; Suleman, R.; Majid, A. ZnO Nanoparticles as drug delivery agent for Photodynamic Therapy. Laser Phys. Lett. 2014, 11, 025601. [Google Scholar] [CrossRef]
- Kishwar, S.; Asif, M.H.; Nur, O.; Willander, M.; Larsson, P.O. Intracellular ZnO Nanorods Conjugated with Protoporphyrin for Local Mediated Photochemistry and Efficient Treatment of Single Cancer Cell. Nanoscale Res. Lett. 2010, 5, 1669–1674. [Google Scholar] [CrossRef] [PubMed]
- John, J.V.; Johnson, R.P.; Heo, M.S.; Moon, B.K.; Byeon, S.J.; Kim, I. Polymer-Block-Polypeptides and Polymer-Conjugated Hybrid Materials as Stimuli-Responsive Nanocarriers for Biomedical Applications. J. Biomed. Nanotechnol. 2015, 11, 1–39. [Google Scholar] [CrossRef] [PubMed]
- Ma, W.; Xu, A.; Ying, J.; Li, B.; Jin, Y. Biodegradable Core–Shell Copolymer-Phospholipid Nanoparticles for Combination Chemotherapy: An in Vitro Study. J. Biomed. Nanotechnol. 2015, 11, 1193–1200. [Google Scholar] [CrossRef] [PubMed]
- Kishwar, S.; Siddique, M.; Israr-Qadir, M.; Nur, O.; Willander, M.; Öllinger, K. Investigation of the phototoxic effect of ZnO nanorods on fibroblasts and melanoma human cells. Laser Phys. Lett. 2014, 11, 115606. [Google Scholar] [CrossRef]
- Fakhar e Alam, M.; Kishwar, S.; Willander, M. Photodynamic Effects of Zinc Oxide Nanowires in skin Cancer and Fibroblast. Lasers Med. Sci. 2014, 29, 1189–1194. [Google Scholar] [CrossRef]
- Shaheen, F.; Aziz, M.H.; Fakhar-e-Alam, M.; Atif, M.; Fatima, M.; Ahmad, R.; Hanif, A.; Anwar, S.; Zafar, F.; Abbas, G.; et al. An In Vitro Study of the Photodynamic Effectiveness of GO-Ag Nanocomposites against Human Breast Cancer Cells. Nanomaterials 2017, 7, 401. [Google Scholar] [CrossRef]
- Akram, M.W.; Fakhar-e-Alam, M.; Butt, A.R.; Munir, T.; Ali, A.; Alimgeer, K.S.; Mehmood-ur-Rehman, K.; Iqbal, S.; Ali, S.; Ikram, M.; et al. Magnesium Oxide in Nanodimension: Model for MRI and Multimodal Therapy. J. Nanomater. 2018, 4210920. [Google Scholar] [CrossRef]
- Glasgow, M.D.K.; Chougule, M. Recent Developments in Active Tumor Targeted Multifunctional Nanoparticles for Combination Chemotherapy in Cancer Treatment and Imaging. J. Biomed. Nanotechnol. 2015, 11, 1859–1898. [Google Scholar] [CrossRef]
- Goni-de-Cerio, F.; Thevenot, J.; Oliveira, H.; Pérez-Andrés, E.; Berra, E.; Masa, M.; Suárez–merino, B.; Lecommandoux, S.; Heredia, P. Cellular Uptake and Cytotoxic Effect of Epidermal Growth Factor Receptor Targeted and Plitidepsin Loaded Co-Polymeric Polymersomes on Colorectal Cancer Cell Lines. J. Biomed. Nanotechnol. 2015, 11, 2034–2049. [Google Scholar] [CrossRef]
- Fakhar-e-Alam, M.; Kishwar, S.; Abbas, N.; Atif, M.; NURc, O.; Willander, M.; Amin, N.; Farooq, W.A. Anticancer effects of nanometallic oxides and their ligands with photosensitizers in osteosarcoma cells. J. Optoelectron. Adv. Mater. 2015, 17, 1808–1815. [Google Scholar]
- Fakhar-e-Alam, M.; Abbas, N.; Imran, M.; Atif, M. Apoptotic Effect of TiO2 in HepG2 Cellular Model. J. Optoelectron. Adv. Mater. 2014, 16, 1481–1486. [Google Scholar]
- Akram, M.W.; Fakhar-e-Alam, M.; Atif, M.; Butt, A.R.; Asghar, A.; Jamil, Y.; Alimgeer, K.S.; Wang, Z.M. In vitro evaluation of the toxic effects of MgO nanostructure in Hela cell line. Sci. Rep. 2018, 8, 4576. [Google Scholar] [CrossRef] [PubMed]
- Fakhar-e-Alam, M.; Akram, M.W.; Iqbal, S.; Alimgeer, K.S.; Atif, M.; Sultana, K.; Willander, M.; Wang, Z.M. Empirical Modeling of Physiochemical Immune Response of Zinc Oxide Nanowires under UV Exposure to Melanoma and Foreskin Fibroblast. Sci. Rep. 2017, 7, 46603. [Google Scholar] [CrossRef] [PubMed]











© 2019 by the authors. Licensee MDPI, Basel, Switzerland. This article is an open access article distributed under the terms and conditions of the Creative Commons Attribution (CC BY) license (http://creativecommons.org/licenses/by/4.0/).
Share and Cite
Iqbal, S.; Fakhar-e-Alam, M.; Atif, M.; Ahmed, N.; -ul-Ahmad, A.; Amin, N.; Alghamdi, R.a.; Hanif, A.; Farooq, W.A. Empirical Modeling of Zn/ZnO Nanoparticles Decorated/Conjugated with Fotolon (Chlorine e6) Based Photodynamic Therapy towards Liver Cancer Treatment. Micromachines 2019, 10, 60. https://doi.org/10.3390/mi10010060
Iqbal S, Fakhar-e-Alam M, Atif M, Ahmed N, -ul-Ahmad A, Amin N, Alghamdi Ra, Hanif A, Farooq WA. Empirical Modeling of Zn/ZnO Nanoparticles Decorated/Conjugated with Fotolon (Chlorine e6) Based Photodynamic Therapy towards Liver Cancer Treatment. Micromachines. 2019; 10(1):60. https://doi.org/10.3390/mi10010060
Chicago/Turabian StyleIqbal, Seemab, Muhammad Fakhar-e-Alam, M. Atif, Nasar Ahmed, Aqrab -ul-Ahmad, N. Amin, Raed ahmed Alghamdi, Atif Hanif, and W. Aslam Farooq. 2019. "Empirical Modeling of Zn/ZnO Nanoparticles Decorated/Conjugated with Fotolon (Chlorine e6) Based Photodynamic Therapy towards Liver Cancer Treatment" Micromachines 10, no. 1: 60. https://doi.org/10.3390/mi10010060
APA StyleIqbal, S., Fakhar-e-Alam, M., Atif, M., Ahmed, N., -ul-Ahmad, A., Amin, N., Alghamdi, R. a., Hanif, A., & Farooq, W. A. (2019). Empirical Modeling of Zn/ZnO Nanoparticles Decorated/Conjugated with Fotolon (Chlorine e6) Based Photodynamic Therapy towards Liver Cancer Treatment. Micromachines, 10(1), 60. https://doi.org/10.3390/mi10010060

