Preparation and Neutralization Efficacy of Novel Jellyfish Antivenoms against Cyanea nozakii Toxins
Abstract
1. Introduction
2. Results
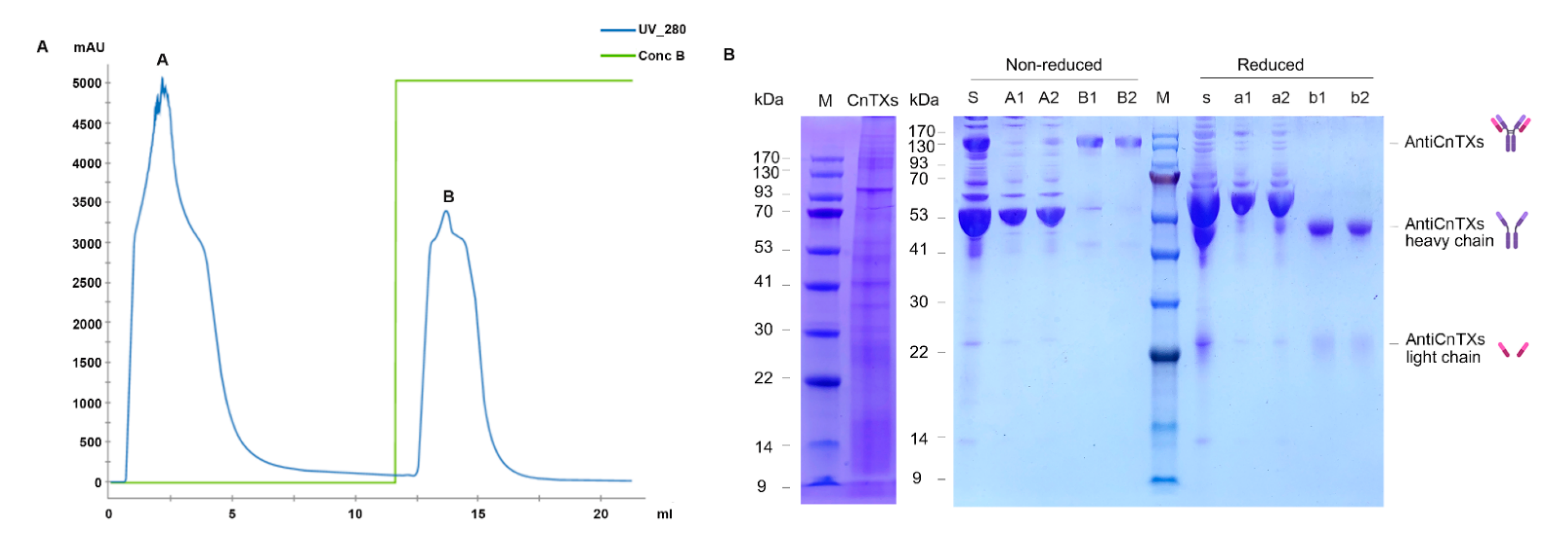
2.1. Affinity Purification of AntiCnTXs from Antiserum
2.2. Preparation of F(ab’)2 Fragment of AntiCnTXs
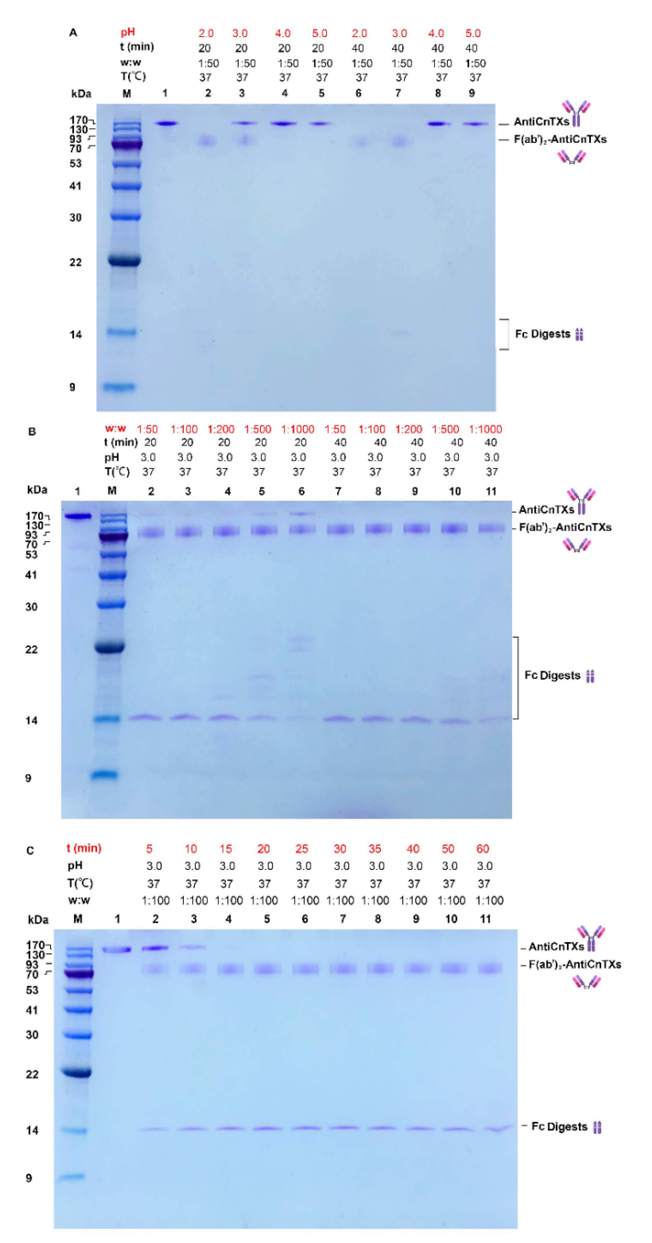
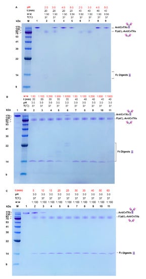
2.2.1. Optimization of Pepsin Digestion of AntiCnTXs
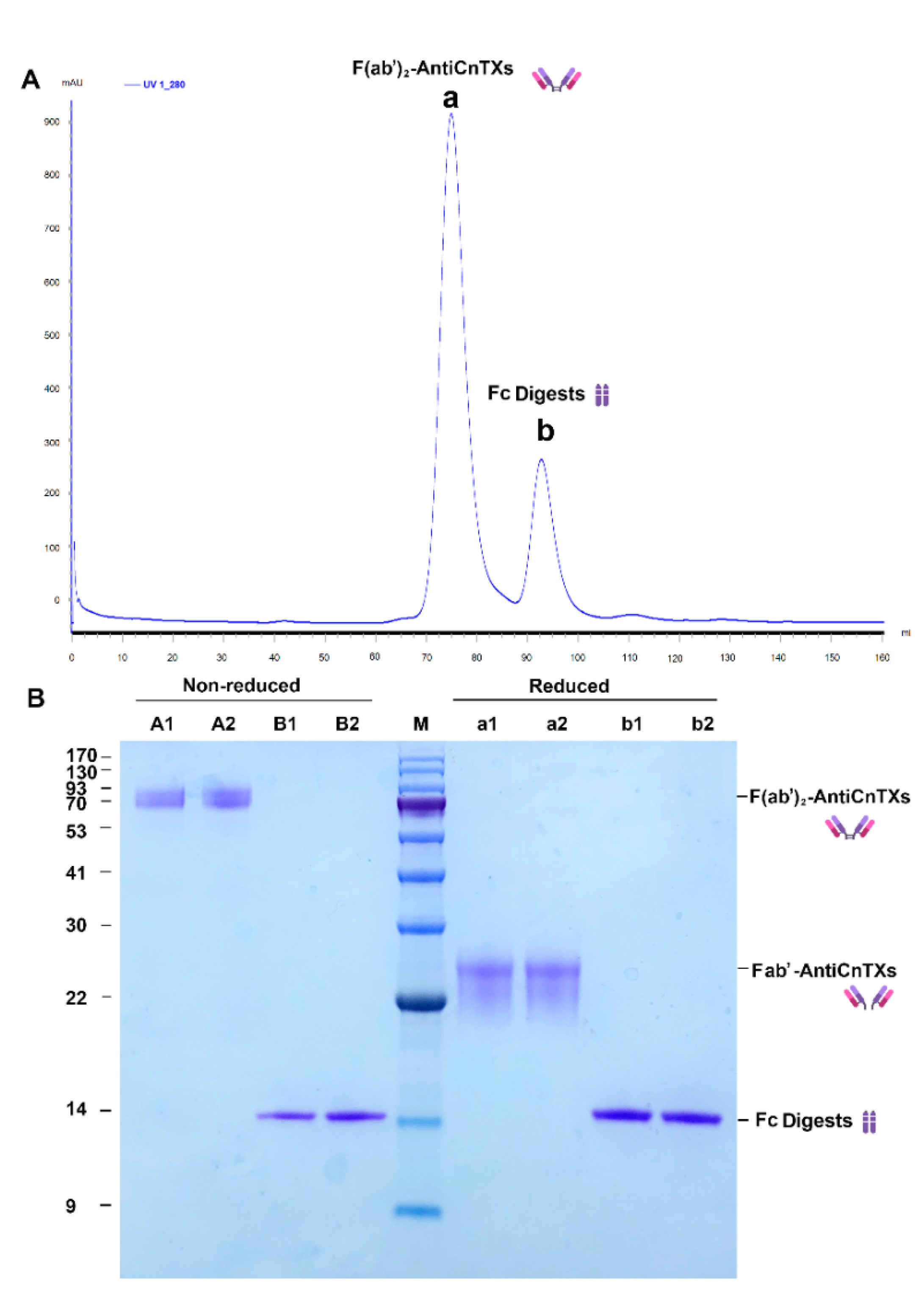
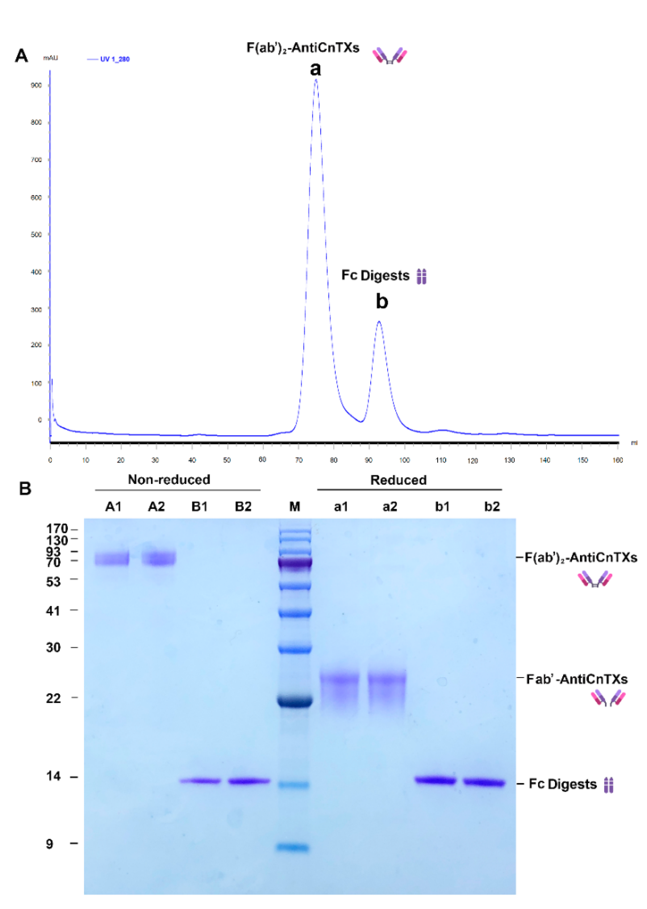
2.2.2. Purification of F(ab’)2-AntiCnTXs
2.3. Preparation of Fab Fragment of AntiCnTXs
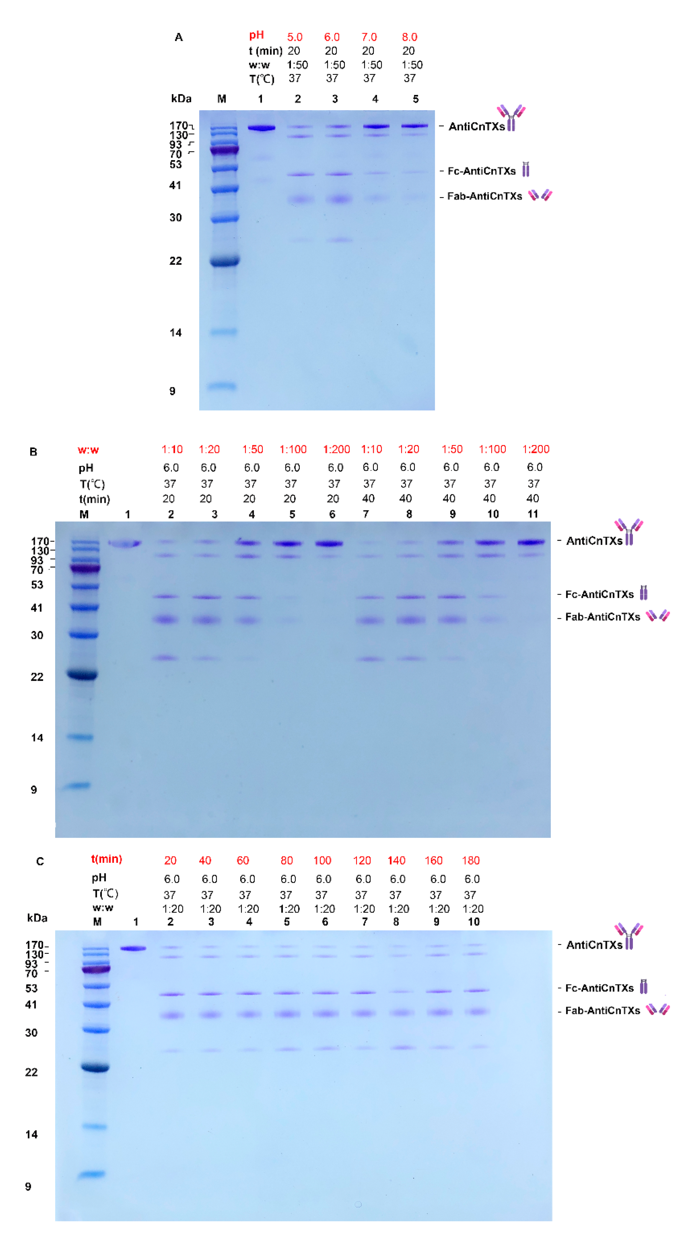
2.3.1. Optimization of Papain Digestion of AntiCnTXs
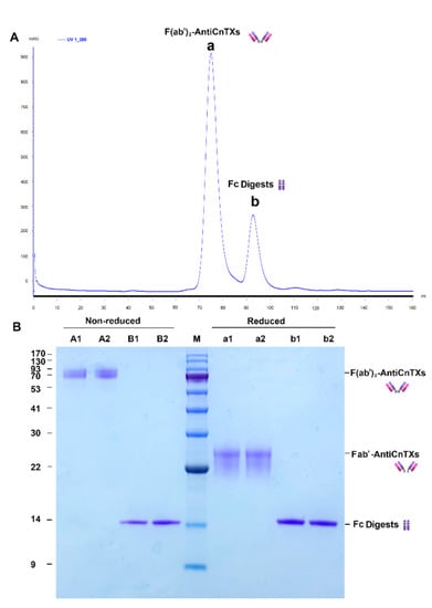
2.3.2. Purification of Fab-AntiCnTXs
2.4. Neutralization Assay of the Antivenoms
2.5. LC-MS/MS and GO Analysis of Antivenom
3. Discussion
4. Conclusions
5. Materials and Methods
5.1. Jellyfish Specimen Collection and Toxin Preparation
5.2. Animal Immunization and Antiserum Preparation
5.3. Purification of CnTXs Antibody
5.4. Refinement of AntiCnTXs
5.4.1. F(ab’)2 Fragments of AntiCnTXs Preparation
The Optimum Screen of Pepsin Digestion of AntiCnTXs
Purification of F(ab’)2-AntiCnTXs
5.4.2. Fab Fragments of AntiCnTXs (Fab-AntiCnTXs) Preparation
The Optimum Screen of Papain Digestion of AntiCnTXs
Purification of Fab-AntiCnTXs
5.5. Neutralization Assay of the Antivenoms
5.5.1. In Vivo Neutralization Assay of the Antivenom
5.5.2. In Vitro Hemolysis Activity Neutralization Assay
5.5.3. In Vitro Phospholipase A2 (PLA2) Activity Neutralization Assay
5.5.4. In Vitro Metalloproteinase Activity Neutralization Assay
5.6. LC-MS/MS and GO Analysis of Antivenom
5.7. Statistical Analysis
Supplementary Materials
Author Contributions
Funding
Institutional Review Board Statement
Informed Consent Statement
Data Availability Statement
Conflicts of Interest
References
- Warrell, D.A. Venomous Bites, Stings, and Poisoning: An Update. Infect. Dis. Clin. N. Am. 2019, 33, 17–38. [Google Scholar] [CrossRef]
- Mebs, D. Jellyfish sting injuries. Hautarzt 2014, 65, 873–878. [Google Scholar] [CrossRef]
- Burnett, J.W.; Calton, G.J.; Burnett, H.W. Jellyfish envenomation syndromes. J. Am. Acad. Dermatol. 1986, 14, 100–106. [Google Scholar] [CrossRef]
- Cegolon, L.; Heymann, W.C.; Lange, J.H.; Mastrangelo, G. Jellyfish Stings and Their Management: A Review. Mar. Drugs 2013, 11, 523–550. [Google Scholar] [CrossRef]
- Yanagihara, A.A.; Wilcox, C.L. Cubozoan Sting-Site Seawater Rinse, Scraping, and Ice Can Increase Venom Load: Upending Current First Aid Recommendations. Toxins 2017, 9, 105. [Google Scholar] [CrossRef]
- Yanagihara, A.A.; Wilcox, C.; King, R.; Hurwitz, K.; Castelfranco, A.M. Experimental Assays to Assess the Efficacy of Vinegar and Other Topical First-Aid Approaches on Cubozoan (Alatina alata) Tentacle Firing and Venom Toxicity. Toxins 2016, 8, 19. [Google Scholar] [CrossRef]
- Yanagihara, A.A.; Shohet, R.V. Cubozoan venom-induced acute cardiovascular collapse is caused by hyperkalemia and prevented by zinc gluconate. PLoS ONE 2012, 7, e51368. [Google Scholar] [CrossRef] [PubMed]
- Lau, M.T.; Manion, J.; Littleboy, J.B.; Oyston, L.; Khuong, T.M.; Wang, Q.P.; Nguyen, D.T.; Hesselson, D.; Seymour, J.E.; Neely, G.G. Molecular dissection of box jellyfish venom cytotoxicity highlights an effective venom antidote. Nat. Commun. 2019, 10, 1655. [Google Scholar] [CrossRef]
- Zhang, M.; Qin, S.; Li, M.; Chen, G. Investigation of coelenterare stings in north China sea. Acta Acad. Med. Qingdao 1993, 29, 263–268. [Google Scholar]
- Calmette, A. The Treatment of Animals Poisoned with Snake Venom by the Injection of Antivenomous Serum. Br. Med. J. 1896, 2, 399–400. [Google Scholar] [CrossRef]
- Winkel, K.D.; Mirtschin, P.; Pearn, J. Twentieth century toxinology and antivenom development in Australia. Toxicon 2006, 48, 738–754. [Google Scholar] [CrossRef]
- Tiselius, A. Electrophoresis of serum globulin II. Electrophoretic analysis of normal and immune sera. Biochem. J. 1937, 31, 1464–1477. [Google Scholar] [CrossRef]
- Tiselius, A. Electrophoresis of purified antibody preparations. J. Exp. Med. 1937, 65, 641–646. [Google Scholar] [CrossRef] [PubMed][Green Version]
- Kabat, E.A.; Heidelberger, M. A quantitative theory of the precipitin reaction V. The reaction between crystalline horse serum albumin and antibody formed in the rabbit. J. Exp. Med. 1937, 66, 229–250. [Google Scholar] [CrossRef] [PubMed][Green Version]
- Heidelberger, M.; Kabat, E.A.; Shrivastava, D.L. A quantitative study of the cross reaction of types iii and VIII pneumococci in horse and rabbit antisera. J. Exp. Med. 1937, 65, 487–496. [Google Scholar] [CrossRef] [PubMed]
- Huber, R.; Deisenhofer, J.; Colman, P.M.; Matsushima, M.; Palm, W. Crystallographic structure studies of an IgG molecule and an Fc fragment. Nature 1976, 264, 415–420. [Google Scholar] [CrossRef]
- Miller, M.K.; Whyte, I.M.; Dawson, A.H. Serum sickness from funnelweb spider antivenom. Med J. Aust. 1999, 171, 54. [Google Scholar] [CrossRef]
- Shim, J.S.; Kang, H.; Cho, Y.; Shin, H.; Lee, H. Adverse Reactions after Administration of Antivenom in Korea. Toxins 2020, 12, 507. [Google Scholar] [CrossRef]
- Ryan, N.M.; Downes, M.A.; Isbister, G.K. Clinical features of serum sickness after Australian snake antivenom. Toxicon 2015, 108, 181–183. [Google Scholar] [CrossRef]
- Andreosso, A.; Smout, M.J.; Seymour, J.E. Dose and time dependence of box jellyfish antivenom. J. Venom. Anim. Toxins Incl. Trop. Dis. 2014, 20, 34. [Google Scholar] [CrossRef] [PubMed]
- Li, R.; Yu, H.; Yue, Y.; Liu, S.; Xing, R.; Chen, X.; Li, P. Combined proteomics and transcriptomics identifies sting-related toxins of jellyfish Cyanea nozakii. J. Proteom. 2016, 148, 57–64. [Google Scholar] [CrossRef]
- Brinkman, D.L.; Aziz, A.; Loukas, A.; Potriquet, J.; Seymour, J.; Mulvenna, J. Venom Proteome of the Box Jellyfish Chironex fleckeri. PLoS ONE 2012, 7, e47866. [Google Scholar] [CrossRef]
- Diane, L.; Brinkman, X.J.; Potriquet, J.; Kumar, D.; Dash, D.; Kvaskoff, D.; Mulvenna, J. Transcriptome and venom proteome of the box jellyfish Chironex fleckeri. BMC Genom. 2015, 16, 407–421. [Google Scholar]
- Daly, N.L.; Seymour, J.; Wilson, D. Exploring the therapeutic potential of jellyfish venom. Future Med. Chem. 2014, 6, 1715–1724. [Google Scholar] [CrossRef]
- Fenner, P.; Rodgers, D.; Williamson, J. Box jellyfish antivenom and “Irukandji” stings. Med J. Aust. 1986, 144, 665–666. [Google Scholar] [CrossRef] [PubMed]
- Currie, B.J. Marine Antivenoms. J. Toxicol. Clin. Toxicol. 2003, 41, 301–308. [Google Scholar] [CrossRef]
- Glaucia-Silva, F.; Torres-Rego, M.; Soares, K.S.R.; Damasceno, I.Z.; Tambourgi, D.V.; da Silva, A.A.; Fernandes-Pedrosa, M.D. A biotechnological approach to immunotherapy: Antivenom against Crotalus durissus cascavella snake venom produced from biodegradable nanoparticles. Int. J. Biol. Macromol. 2018, 120, 1917–1924. [Google Scholar] [CrossRef]
- Vaz de Melo, P.D.; Lima, S.d.A.; Araujo, P.; Santos, R.M.; Gonzalez, E.; Belo, A.A.; Machado-de-Avila, R.A.; Costal-Oliveira, F.; Soccol, V.T.; Guerra-Duarte, C.; et al. Immunoprotection against lethal effects of Crotalus durissus snake venom elicited by synthetic epitopes trapped in liposomes. Int. J. Biol. Macromol. 2020, 161, 299–307. [Google Scholar] [CrossRef]
- Fry, B.G. Snakebite: When the Human Touch Becomes a Bad Touch. Toxins 2018, 10, 170. [Google Scholar] [CrossRef]
- Winkel, K.D.; Hawdon, G.M.; Fenner, P.J.; Gershwin, L.A.; Collins, A.G.; Tibballs, J. Jellyfish antivenoms: Past, present, and future. J. Toxicol. Toxin Rev. 2003, 22, 115–127. [Google Scholar] [CrossRef]
- Al-Abdulla, I.; Casewell, N.R.; Landon, J. Single-reagent one-step procedures for the purification of ovine IgG, F(ab’)2 and Fab antivenoms by caprylic acid. J. Immunol. Methods 2014, 402, 15–22. [Google Scholar] [CrossRef]
- El Amrani, M.; Donners, A.A.M.; Hack, C.E.; Huitema, A.D.R.; van Maarseveen, E.M. Six-step workflow for the quantification of therapeutic monoclonal antibodies in biological matrices with liquid chromatography mass spectrometry—A tutorial. Anal. Chim. Acta 2019, 1080, 22–34. [Google Scholar] [CrossRef]
- Taherian, A.; Fazilati, M.; Moghadam, A.T.; Tebyanian, H. Optimization of purification procedure for horse F(ab’)2 antivenom against Androctonus crassicauda (Scorpion) venom. Trop. J. Pharm. Res. 2018, 17, 409–414. [Google Scholar] [CrossRef]
- Morais, V.; Massaldi, H. Effect of pepsin digestion on the antivenom activity of equine immunoglobulins. Toxicon 2005, 46, 876–882. [Google Scholar] [CrossRef]
- Jones, R.G.A.; Landon, J. Enhanced pepsin digestion: A novel process for purifying antibody F(ab’)2 fragments in high yield from serum. J. Immunol. Methods 2002, 263, 57–74. [Google Scholar] [CrossRef]
- Ulmer, N.; Ristanovic, D.; Morbidelli, M. Process for Continuous Fab Production by Digestion of IgG. Biotechnol. J. 2019, 14, 1800677. [Google Scholar] [CrossRef]
- Li, R.; Yu, H.; Yue, Y.; Li, P. Combined Proteome and Toxicology Approach Reveals the Lethality of Venom Toxins from Jellyfish Cyanea nozakii. J. Proteome Res. 2018, 17, 3904–3913. [Google Scholar] [CrossRef]
- Carrette, T.; Seymour, J. A rapid and repeatable method for venom extraction from Cubozoan nematocysts. Toxicon 2004, 44, 135–139. [Google Scholar] [CrossRef]
- Chung, J.J.; Ratnapala, L.A.; Cooke, I.M.; Yanagihara, A.A. Partial purification and characterization of a hemolysin (CAH1) from Hawaiian box jellyfish (Carybdea alata) venom. Toxicon 2001, 39, 981–990. [Google Scholar] [CrossRef]
- Helmholz, H.; Ruhnau, C.; Schütt, C.; Prange, A. Comparative study on the cell toxicity and enzymatic activity of two northern scyphozoan species Cyanea capillata (L.) and Cyanea lamarckii (Péron & Léslieur). Toxicon 2007, 50, 53–64. [Google Scholar]
- Robinson, P.J.; Trim, S.A.; Trim, C.M. Non-invasive extraction of Cnidarian venom through the use of autotomised tentacles. Anim. Technol. Welf. 2019, 18, 167–173. [Google Scholar]
- Bradford, M.M. A rapid and sensitive method for the quantitation of microgram quantities of protein utilizing the principle of protein-dye binding. Anal. Biochem. 1976, 72, 248–254. [Google Scholar] [CrossRef]







| Animal | Species Neutralized | Antivenom Name | Manufacturer | Source | Type |
|---|---|---|---|---|---|
| Snakes | Bitis arietans Echis ocellatus Naja nigricollis | EchiTab-Plus-ICP | Instituto Clodomiro Picado, Universidad de Costa Rica | Horse | IgG |
| Bungarus fasciatus, Bungarus multicinctus, Agkistrodon acutus, Vipera russelli siamensis, Trimeresurus stejnegeri, Trimeresurus mucrosquamatus, Agkistrodon halys, Naja naja atra, Ophiophagus Hannah | +3C | Shanghai Serum Bio-technology Co., LTD, China | Horse | F(ab’)2 | |
| Bitis arietans, Bitis gabonica, Echis leucogaster, Echis ocellatus, Echis Pyramidum, Dendroaspis polylepis, Dendroaspis viridis, Naja haje, Naja melanoleuca, Naja nigricollis, Naja pallida | ANTI-VIPMYN | Instituto Bioclon S.A. de C.V, Mexico | Horse | F(ab’)2 | |
| Bitis arietans, Bitis gabonica, Echis leucogaster, Echis ocellatus, Dendroaspis polylepis, Dendroaspis jamesoni, Dendroaspis viridis, Naja haje, Naja nigricollis | FAV-Afrique | Sanofi-Pasteur, France | Horse | F(ab’)2 | |
| Crotalinae subfamily | CroFab | BTG International, Inc. USA | Sheep | Fab | |
| Scorpions | Centruroides sculpturatus | Anascorp | Accredo Health Group, Inc. USA | Horse | F(ab’)2 |
| Androctonus crassicauda Androctonus aeneas Androctonus australis Scorpiomarus palmatus Bathus occitanus | VINS | VINS Bioproducts Limited, India | Horse | F(ab’)2 | |
| Jellyfish | Chironex fleckeri | CSL | Commonwealth Serum Laboratories, Limited, Australia | Sheep | IgG |
| Spiders | Red back spiders Latrodectus hasselti | Horse | IgG | ||
| Funnel web spider | Rabbit | IgG | |||
| Stonefish | Synanceia trachynis | Horse | IgG |
Publisher’s Note: MDPI stays neutral with regard to jurisdictional claims in published maps and institutional affiliations. |
© 2021 by the authors. Licensee MDPI, Basel, Switzerland. This article is an open access article distributed under the terms and conditions of the Creative Commons Attribution (CC BY) license (http://creativecommons.org/licenses/by/4.0/).
Share and Cite
Li, R.; Yu, H.; Li, A.; Yu, C.; Li, P. Preparation and Neutralization Efficacy of Novel Jellyfish Antivenoms against Cyanea nozakii Toxins. Toxins 2021, 13, 165. https://doi.org/10.3390/toxins13020165
Li R, Yu H, Li A, Yu C, Li P. Preparation and Neutralization Efficacy of Novel Jellyfish Antivenoms against Cyanea nozakii Toxins. Toxins. 2021; 13(2):165. https://doi.org/10.3390/toxins13020165
Chicago/Turabian StyleLi, Rongfeng, Huahua Yu, Aoyu Li, Chunlin Yu, and Pengcheng Li. 2021. "Preparation and Neutralization Efficacy of Novel Jellyfish Antivenoms against Cyanea nozakii Toxins" Toxins 13, no. 2: 165. https://doi.org/10.3390/toxins13020165
APA StyleLi, R., Yu, H., Li, A., Yu, C., & Li, P. (2021). Preparation and Neutralization Efficacy of Novel Jellyfish Antivenoms against Cyanea nozakii Toxins. Toxins, 13(2), 165. https://doi.org/10.3390/toxins13020165

