Agrimonia pilosa Extract Alleviates CDAHFD-Induced Non-Alcoholic Steatohepatitis and Fibrosis in Mice
Abstract
1. Introduction
2. Materials and Methods
2.1. Preparation of APE
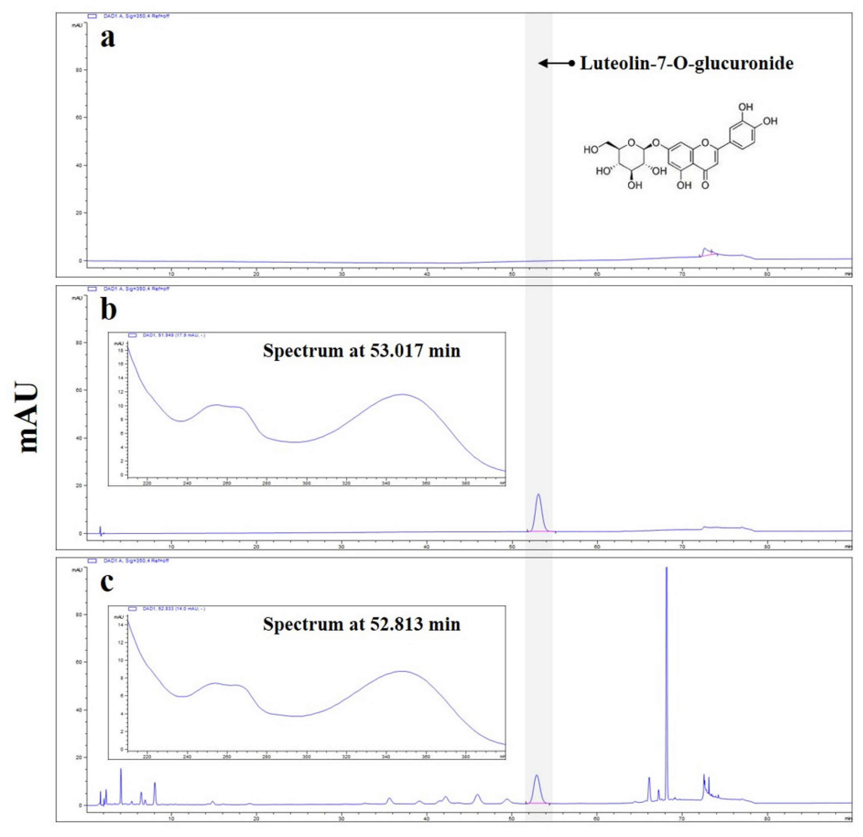
2.2. High-Performance Liquid Chromatography (HPLC) Analysis
2.3. Cell Culture
2.4. Preparation of Fatty Acid Stock Solution
2.5. Cell Viability Assay
2.6. Oil-Red O Staining
2.7. Triglyceride (TG) Assay
2.8. Animals and Experimental Protocols
2.9. Measurement of Biochemical Markers
2.10. Histological Analysis
2.11. Immunohistochemical Staining (IHC)
2.12. Real-Time Polymerase Chain Reaction
2.13. Western Blot
2.14. Statistical Analysis
3. Results
3.1. Effects of APE and FFA on HepG2 Cell Viability
3.2. Effects of APE on Intracellular Lipid Accumulation in HepG2 Cells
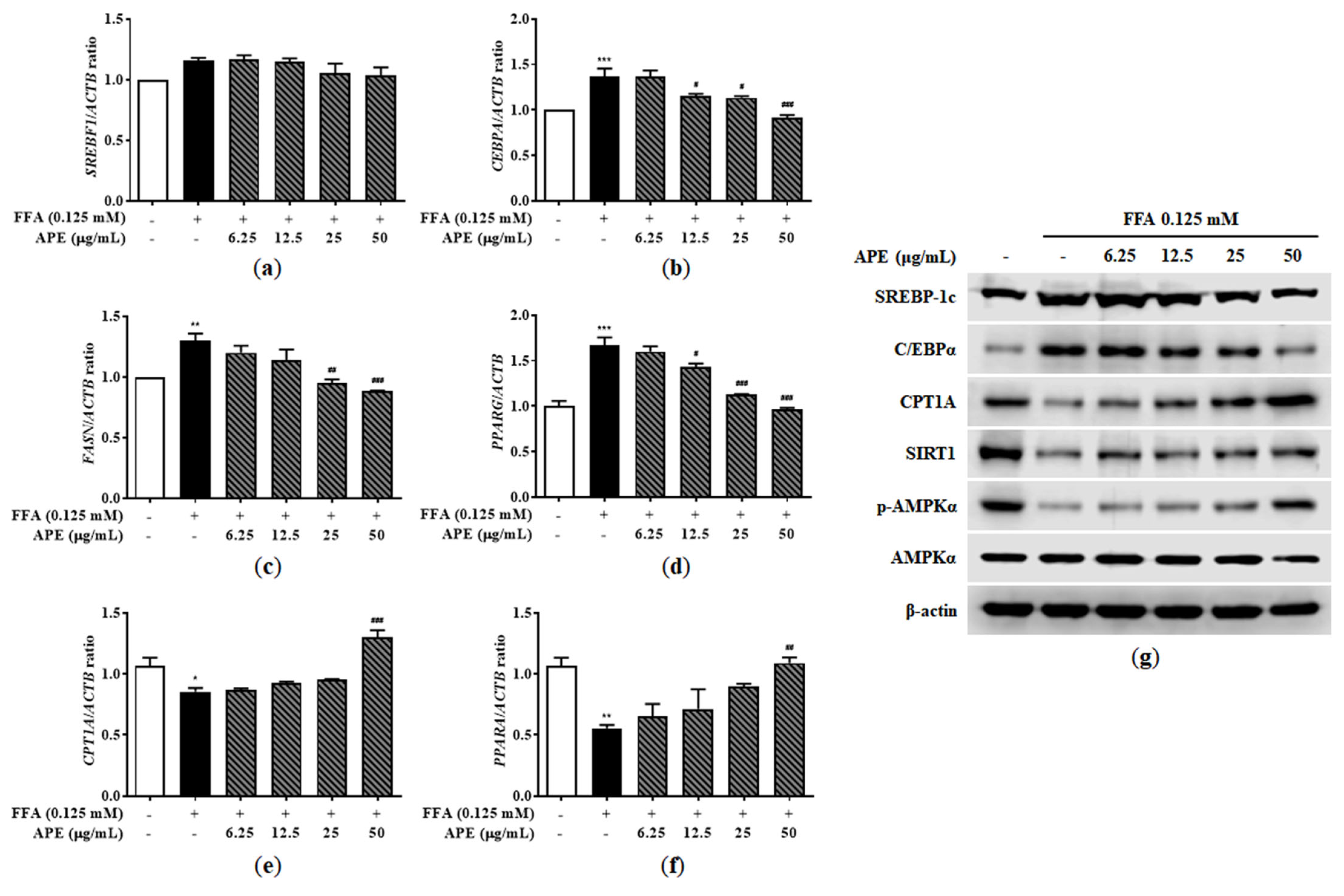
3.3. Effects of APE on Lipid Metabolism-Associated Gene and Protein Expression in FFA-Treated HepG2 Cells
3.4. Effects of APE on Body Weight and Liver Morphology in CDAHFD-Induced NASH Mice
3.5. Protective Effects of APE on Hepatic Steatosis and Liver Function in CDAHFD-Induced NASH Mice
3.6. Effects of APE on Liver Inflammation in CDAHFD-Induced NASH Mice
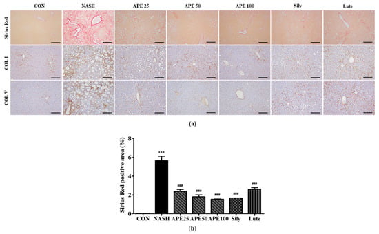
3.7. Effects of APE on Liver Fibrosis in CDAHFD-Induced NASH Mice
3.8. Effects of APE on Lipid-Metabolism-Associated Gene and Protein Expression in CDAHFD-Induced NASH Mice
3.9. Effects of APE on Expression of Inflammatory Factors in CDAHFD-Induced NASH Mice
3.10. Effects of APE on Fibrosis-Related Protein Expression in CDAHFD-Induced NASH Mice
3.11. Effects of APE on Oxidative Stress and Endoplasmic Reticulum Stress in CDAHFD-Induced NASH Mice
4. Discussion
5. Conclusions
Author Contributions
Funding
Institutional Review Board Statement
Informed Consent Statement
Data Availability Statement
Conflicts of Interest
References
- Loomba, R.; Sanyal, A.J. The global NAFLD epidemic. Nat. Rev. Gastroenterol. Hepatol. 2013, 10, 686–690. [Google Scholar] [CrossRef] [PubMed]
- Younossi, Z.M.; Koenig, A.B.; Abdelatif, D.; Fazel, Y.; Henry, L.; Wymer, M. Global epidemiology of nonalcoholic fatty liver disease—Meta-analytic assessment of prevalence, incidence, and outcomes. Hepatology 2016, 64, 73–84. [Google Scholar] [CrossRef]
- Maurice, J.; Manousou, P. Non-alcoholic fatty liver disease. Clin. Med. J. 2018, 18, 245–250. [Google Scholar] [CrossRef]
- Fabbrini, E.; Sullivan, S.; Klein, S. Obesity and nonalcoholic fatty liver disease: Biochemical, metabolic, and clinical implications. Hepatology 2010, 51, 679–689. [Google Scholar] [CrossRef]
- Milić, S.; Lulić, D.; Štimac, D. Non-alcoholic fatty liver disease and obesity: Biochemical, metabolic and clinical presentations. World J. Gastroenterol. 2014, 20, 9330–9337. [Google Scholar] [CrossRef]
- Kitade, H.; Chen, G.; Ni, Y.; Ota, T. Nonalcoholic Fatty Liver Disease and Insulin Resistance: New Insights and Potential New Treatments. Nutrients 2017, 9, 387. [Google Scholar] [CrossRef] [PubMed]
- Saponaro, C.; Gaggini, M.; Gastaldelli, A. Nonalcoholic fatty liver disease and type 2 diabetes: Common pathophysiologic mechanisms. Curr. Diabetes Rep. 2015, 15, 607. [Google Scholar] [CrossRef]
- Zhang, Q.Q.; Lu, L.G. Nonalcoholic Fatty Liver Disease: Dyslipidemia, Risk for Cardiovascular Complications, and Treatment Strategy. J. Clin. Transl. Hepatol. 2015, 3, 78–84. [Google Scholar] [CrossRef] [PubMed]
- Byrne, C.D.; Targher, G. NAFLD as a driver of chronic kidney disease. J. Hepatol. 2020, 72, 785–801. [Google Scholar] [CrossRef]
- Nassir, F. NAFLD: Mechanisms, Treatments, and Biomarkers. Biomolecules 2022, 12, 824. [Google Scholar] [CrossRef]
- Cusi, K.; Orsak, B.; Bril, F.; Lomonaco, R.; Hecht, J.; Ortiz-Lopez, C.; Tio, F.; Hardies, J.; Darland, C.; Musi, N.; et al. Long-Term Pioglitazone Treatment for Patients With Nonalcoholic Steatohepatitis and Prediabetes or Type 2 Diabetes Mellitus: A Randomized Trial. Ann. Intern. Med. 2016, 165, 305–315. [Google Scholar] [CrossRef]
- Perumpail, B.J.; Li, A.A.; John, N.; Sallam, S.; Shah, N.D.; Kwong, W.; Cholankeril, G.; Kim, D.; Ahmed, A. The Role of Vitamin E in the Treatment of NAFLD. Diseases 2018, 6, 86. [Google Scholar] [CrossRef]
- Younossi, Z.M.; Ratziu, V.; Loomba, R.; Rinella, M.; Anstee, Q.M.; Goodman, Z.; Bedossa, P.; Geier, A.; Beckebaum, S.; Newsome, P.N.; et al. Obeticholic acid for the treatment of non-alcoholic steatohepatitis: Interim analysis from a multicentre, randomised, placebo-controlled phase 3 trial. Lancet 2019, 394, 2184–2196. [Google Scholar] [CrossRef]
- Buzzetti, E.; Pinzani, M.; Tsochatzis, E.A. The multiple-hit pathogenesis of non-alcoholic fatty liver disease (NAFLD). Metab. Clin. Exp. 2016, 65, 1038–1048. [Google Scholar] [CrossRef]
- Tilg, H.; Moschen, A.R. Evolution of inflammation in nonalcoholic fatty liver disease: The multiple parallel hits hypothesis. Hepatology 2010, 52, 1836–1846. [Google Scholar] [CrossRef] [PubMed]
- Ucar, F.; Sezer, S.; Erdogan, S.; Akyol, S.; Armutcu, F.; Akyol, O. The relationship between oxidative stress and nonalcoholic fatty liver disease: Its effects on the development of nonalcoholic steatohepatitis. Redox Rep. Commun. Free Radic. Res. 2013, 18, 127–133. [Google Scholar] [CrossRef] [PubMed]
- Jin, T.; Chi, L.; Ma, C. Agrimonia pilosa: A Phytochemical and Pharmacological Review. Evid. -Based Complement. Altern. Med. Ecam 2022, 2022, 3742208. [Google Scholar] [CrossRef] [PubMed]
- Wen, S.; Zhang, X.; Wu, Y.; Yu, S.; Zhang, W.; Liu, D.; Yang, K.; Sun, J. Agrimonia pilosa Ledeb.: A review of its traditional uses, botany, phytochemistry, pharmacology, and toxicology. Heliyon 2022, 8, e09972. [Google Scholar] [CrossRef]
- Chen, L.; Teng, H.; Fang, T.; Xiao, J. Agrimonolide from Agrimonia pilosa suppresses inflammatory responses through down-regulation of COX-2/iNOS and inactivation of NF-κB in lipopolysaccharide-stimulated macrophages. Phytomed. Int. J. Phytother. Phytopharm. 2016, 23, 846–855. [Google Scholar] [CrossRef]
- Feng, J.H.; Kim, H.Y.; Sim, S.M.; Zuo, G.L.; Jung, J.S.; Hwang, S.H.; Kwak, Y.G.; Kim, M.J.; Jo, J.H.; Kim, S.C.; et al. The Anti-Inflammatory and the Antinociceptive Effects of Mixed Agrimonia pilosa Ledeb. and Salvia miltiorrhiza Bunge Extract. Plants 2021, 10, 1234. [Google Scholar] [CrossRef]
- Liu, G.; Zhang, Y.; Liu, C.; Xu, D.; Zhang, R.; Cheng, Y.; Pan, Y.; Huang, C.; Chen, Y. Luteolin Alleviates Alcoholic Liver Disease Induced by Chronic and Binge Ethanol Feeding in Mice. J. Nutr. 2014, 144, 1009–1015. [Google Scholar] [CrossRef]
- Kwon, E.Y.; Jung, U.J.; Park, T.; Yun, J.W.; Choi, M.S. Luteolin Attenuates Hepatic Steatosis and Insulin Resistance Through the Interplay Between the Liver and Adipose Tissue in Mice with Diet-Induced Obesity. Diabetes 2015, 64, 1658–1669. [Google Scholar] [CrossRef]
- Li, B.; Rui, J.; Ding, X.; Yang, X. Exploring the Multicomponent Synergy Mechanism of Banxia Xiexin Decoction on Irritable Bowel Syndrome by a Systems Pharmacology Strategy. J. Ethnopharmacol. 2019, 233, 158–168. [Google Scholar] [CrossRef]
- Loguercio, C.; Festi, D. Silybin and the Liver: From Basic Research to Clinical Practice. World J. Gastroenterol. 2011, 17, 2288–2301. [Google Scholar] [CrossRef]
- Rodríguez-Pérez, C.; García-Villanova, B.; Guerra-Hernández, E.; Verardo, V. Grape Seeds Proanthocyanidins: An Overview of In Vivo Bioactivity in Animal Models. Nutrients 2019, 11, 2435. [Google Scholar] [CrossRef]
- Chen, P.; Li, Y.; Xiao, L. Berberine Ameliorates Nonalcoholic Fatty Liver Disease by Decreasing the Liver Lipid Content via Reversing the Abnormal Expression of MTTP and LDLR. Exp. Ther. Med. 2021, 22, 1109. [Google Scholar] [CrossRef] [PubMed]
- Xia, H.M.; Wang, J.; Xie, X.J.; Xu, L.J.; Tang, S.Q. Green tea polyphenols attenuate hepatic steatosis, and reduce insulin resistance and inflammation in high-fat diet-induced rats. Int. J. Mol. Med. 2019, 44, 1523–1530. [Google Scholar] [CrossRef] [PubMed]
- Clapper, J.R.; Hendricks, M.D.; Gu, G.; Wittmer, C.; Dolman, C.S.; Herich, J.; Athanacio, J.; Villescaz, C.; Ghosh, S.S.; Heilig, J.S.; et al. Diet-Induced Mouse Model of Fatty Liver Disease and Nonalcoholic Steatohepatitis Reflecting Clinical Disease Progression and Methods of Assessment. Am. J. Physiol.-Gastrointest. Liver Physiol. 2013, 305, G483–G495. [Google Scholar] [CrossRef] [PubMed]
- Ito, M.; Suzuki, J.; Tsujioka, S.; Sasaki, M.; Gomori, A.; Shirakura, T.; Hirose, H.; Ito, M.; Ishihara, A.; Iwaasa, H.; et al. Dietary Choline Deficiency Causes Nonalcoholic Steatohepatitis with Fibrosis in Mice. J. Nutr. Biochem. 2017, 44, 18–26. [Google Scholar]
- Shang, J.; Chen, L.L.; Xiao, F.X.; Sun, H.; Ding, H.C.; Xiao, H. Resveratrol Improves Non-Alcoholic Fatty Liver Disease by Activating AMP-Activated Protein Kinase. Acta Pharmacol. Sin. 2008, 29, 698–706. [Google Scholar] [CrossRef] [PubMed]
- Zhang, Y.P.; Deng, Y.J.; Tang, K.R.; Chen, R.S.; Liang, S.; Liang, Y.J.; Han, L.; Jin, L.; Liang, Z.E.; Chen, Y.N.; et al. Berberine Ameliorates High-Fat Diet-Induced Non-Alcoholic Fatty Liver Disease in Rats via Activation of the 33. SIRT3/AMPK/ACC Pathway. Curr. Med. Sci. 2019, 39, 37–43. [Google Scholar] [CrossRef] [PubMed]
- Liao, J.; Xie, X.; Wang, N.; Ding, X.; Li, W.; Zhang, L.; Luo, L.; Xiang, W. Formononetin Promotes Fatty Acid β-Oxidation to Treat Non-Alcoholic Steatohepatitis Through SIRT1/PGC-1α/PPARα Pathway. Phytomedicine 2023, 119, 155285. [Google Scholar] [CrossRef] [PubMed]
- Hwang, J.H.; Kim, D.W.; Jo, E.J.; Kim, Y.K.; Jo, Y.S.; Park, J.H.; Yoo, S.K.; Park, M.K.; Kwak, T.H.; Kho, Y.L.; et al. The Anti-Obesity Effect of Quercetin Is Mediated by the AMPK Signaling Pathway. Biochem. Biophys. Res. Commun. 2008, 373, 545–549. [Google Scholar]
- Ni, X.; Wang, H. Silymarin Attenuated Hepatic Steatosis Through Regulation of Lipid Metabolism and Oxidative Stress in a Mouse Model of Non-Alcoholic Fatty Liver Disease. Phytomedicine 2016, 23, 1143–1152. [Google Scholar]
- Marcolin, E.; San-Miguel, B.; Vallejo, D.; Tieppo, J.; Marroni, N.; González-Gallego, J.; Tuñón, M.J. Quercetin Treatment Ameliorates Inflammation and Fibrosis in MCD Diet-Induced Nonalcoholic Steatohepatitis in Mice. J. Nutr. 2012, 142, 2136–2144. [Google Scholar] [CrossRef]
- Dasarathy, S.; Yang, Y.; McCullough, A.J.; Marczewski, S.; Bennett, C.; Kalhan, S.C. Double-Blind Randomized Placebo-Controlled Clinical Trial of Omega-3 Fatty Acids for the Treatment of Nonalcoholic Steatohepatitis. J. Hepatol. 2015, 63, 34–42. [Google Scholar] [CrossRef]
- Fan, M.; Choi, Y.J.; Tang, Y.; Bae, S.M.; Yang, H.P.; Kim, E.-K. Efficacy and Mechanism of Polymerized Anthocyanin from Grape-Skin Extract on High-Fat-Diet-Induced Nonalcoholic Fatty Liver Disease. Nutrients 2019, 11, 2586. [Google Scholar] [CrossRef] [PubMed]
- Kim, S.J.; Lee, Y.; Kim, N.Y.; Heo, J.D.; Choi, J.W.; Park, S.; Song, H.J.; Cheong, J.H.; Lee, M.S.; Ko, K.S.; et al. Ginsenoside Rg1 Attenuates Nonalcoholic Steatohepatitis by Inhibiting Hepatic Macrophage Infiltration and Inflammatory Cytokine Production. J. Ginseng Res. 2017, 41, 414–422. [Google Scholar]
- Zhang, T.; Yamamoto, N.; Yamashita, Y.; Ashida, H. Celastrol Attenuates Hepatic Inflammation by Suppressing COX-2 and NF-κB Signaling in Experimental Nonalcoholic Steatohepatitis. Int. Immunopharmacol. 2019, 67, 354–362. [Google Scholar]
- Aggarwal, B.B.; Harikumar, K.B. Potential Therapeutic Effects of Curcumin, the Anti-Inflammatory Agent, Against Cancer and Inflammatory Diseases. Int. J. Biochem. Cell Biol. 2009, 41, 40–59. [Google Scholar] [CrossRef]
- Zhou, Y.; Tong, X.; Ren, S.; Wang, X.; Chen, J.; Mu, Y.; Zhang, S.; Zhao, Y. Natural Products Targeting Inflammatory Signaling Pathways: NF-κB, MAPK, and JAK-STAT. Pharmacol. Res. 2020, 159, 104959. [Google Scholar]
- Chowdhry, S.; Nazmy, M.H.; Meakin, P.J.; Dinkova-Kostova, A.T.; Walsh, S.V.; Tsujita, T.; Dillon, J.F.; Ashford, M.L.; Hayes, J.D. Loss of Nrf2 Markedly Exacerbates Nonalcoholic Steatohepatitis. Free Radic. Biol. Med. 2010, 48, 357–371. [Google Scholar] [CrossRef] [PubMed]
- Bagchi, D.; Swaroop, A.; Preuss, H.G.; Bagchi, M. Grape Seed Proanthocyanidin Extract Reduces Oxidative Stress and Improves Liver Pathology in Experimental Nonalcoholic Steatohepatitis. Free Radic. Biol. Med. 2014, 75, 93–102. [Google Scholar]
- Ni, Y.; Nagashimada, M.; Zhan, L.; Nagata, N.; Kobori, M.; Sugiura, M.; Ogawa, K.; Kaneko, S.; Ota, T. Astaxanthin Prevents and Reverses Diet-Induced Insulin Resistance and Hepatic Steatosis by Attenuating Oxidative Stress and Inflammation. J. Nutr. Biochem. 2015, 26, 1180–1189. [Google Scholar]
- Malhi, H.; Kaufman, R.J. Endoplasmic Reticulum Stress in Liver Disease. J. Hepatol. 2011, 54, 795–809. [Google Scholar] [CrossRef]
- Yang, L.; Calay, E.S.; Fan, J.; Arduini, A.; Kunz, R.C.; Gygi, S.P.; Yalcin, A.; Fu, S.; Hotamisligil, G.S. Tauroursodeoxycholic Acid Reduces ER Stress and Hepatocyte Apoptosis in Experimental Nonalcoholic Steatohepatitis. Hepatology 2010, 52, 1915–1926. [Google Scholar]
- Zhang, X.Q.; Xu, C.F.; Yu, C.H.; Chen, W.X.; Li, Y.M. 4-Phenylbutyric Acid Attenuates ER Stress-Mediated Hepatic Injury and Apoptosis in Experimental Nonalcoholic Steatohepatitis. J. Hepatol. 2014, 60, 817–825. [Google Scholar]
- Liu, F.; Li, S.; Chen, P.; Gu, Y.; Wang, S.; Wang, L.; Chen, C.; Wang, R.; Yuan, Y. Salvianolic Acid B Inhibits Hepatic Stellate Cell Activation and Liver Fibrosis by Targeting PDGFRβ. Int. Immunopharmacol. 2023, 122, 110550. [Google Scholar] [CrossRef] [PubMed]
- Li, J.; Cao, F.; Yin, H.; Huang, Z.; Lin, Z.; Mao, N.; Sun, B.; Wang, G. Glycyrrhizin Ameliorates Liver Fibrosis by Suppressing TGF-β1/Smad Signaling and Hepatic Stellate Cell Activation. Int. Immunopharmacol. 2018, 55, 243–251. [Google Scholar] [CrossRef] [PubMed]
- Ni, X.; Wang, H. Silymarin Attenuated Hepatic Steatosis and Fibrosis in Diet-Induced NAFLD by Modulating Lipid Metabolism and Inflammatory Responses. Phytomedicine 2016, 23, 1143–1152. [Google Scholar]
- Friedman, S.L. Hepatic Stellate Cells: Protean, Multifunctional, and Enigmatic Cells of the Liver. Physiol. Rev. 2008, 88, 125–172. [Google Scholar] [CrossRef] [PubMed]
- Dewidar, B.; Meyer, C.; Dooley, S.; Meindl-Beinker, N. TGF-β in Hepatic Stellate Cell Activation and Liver Fibrogenesis—Updated 2019. Cells 2019, 8, 1419. [Google Scholar] [CrossRef] [PubMed]













| Genes | Forward Primer (5′–3′) | Reverse Primer (5′–3′) |
|---|---|---|
| Human | ||
| SREBF1 | GCGCCTTGACAGGTGAAGTC | GCCAGGGAAGTCACTGTCTTG |
| CEBPA | TGGACAAGAACAGCAACGAGTA | ATTGTCACTGGTCAGCTCCAG |
| FASN | CCCCTGATGAAGAAGGATCA | ACTCCACAGGTGGGAACAAG |
| PPARG | TGCAGGTGATCAAGAAGACG | AGTGCAACTGGAAGAAGGGA |
| CPT1A | CCTCCGTAGCTGACTCGGTA | GGAGTGACCGTGAACTGAAA |
| PPARA | ACGATTCGACTCAAGCTGGT | GTTGTGTGACATCCCGACAG |
| Mouse | ||
| Srebp1c | GCTACCGGTCTTCTATCAATG | GCAAGAAGCGGATGTAGTC |
| Pparg | AGGCCGAGAAGGAGAAGCTGTTG | TGGCCACCTCTTTGCTCTGCTC |
| Cpt1a | TCCACCCTGAGGCATCTATT | ATGACCTCCTGGCATTCTCC |
| Ppara | AGAGCCCCATCTGTCCTCTC | ACTGGTAGTCTGCAAAACCAAA |
| ApoB | GGACTGTCTGACTTCCATATTC | AAGACTTGCCACCCAAAG |
| Mttp | TCTCACAGTACCCGTTCTT | TCTTCTCCGAGAGACATATCC |
| Adgre1 (F4/80) | CAACACTCTCGGAAGCTATTAT | GAATTCCTGGAGCACTCATC |
| Chi3l3 (YM-1) | TCTGGTGAAGGAAATGCGTA | AATGATTCCTGCTCCTGTGG |
| Ccl2 (MCP-1) | TGCTTCTGGGCCTGCTGTTC | ACCTGCTGCTGGTGATCCTCT |
| Cxcl2 (MIP-2) | CACTGCGCCCAGACAGAAGT | GGGCTTCAGGGTCAAGGCAA |
| Il6 | TAGTCCTTCCTACCCCAATTTCC | TTGGTCCTTAGCCACTCCTTC |
| Tnfa | GCTGAGCTCAAACCCTGGTA | AGTACTTGGGCAGATTGACCT |
| Ptgs2 (COX-2) | GCCTACTACAAGTGTTTCTTTTTGCA | CATTTTGTTTGATTGTTCACACCAT |
| Acta2 (α-SMA) | CTGACAGAGGCACCACTGAA | GAAGGAATAGCCACGCTCAG |
| Col1a1 | TCCTCCAGGGATCCAACGA | GGCAGGCGGGAGGTCTT |
| Des | TACACCTGCGAGATTGATGC | ACATCCAAGGCCATCTTCAC |
| Tgfb1 (TGF-β1) | TTGCTTCAGCTCCACAGAGA | TGGTTGTAGAGGGCAAGGAC |
| Hmox1 (HO-1) | CACGCATATACCCGCTACCT | CCAGAGTGTTCATTCGAGCA |
| Cybb (NOX2) | TGGACGGCCCAACTGGGATA | CAAGGCTTCAGGGCCACACA |
| Ncf1 (NOXA2) | CCGAGCAGGCCTTCACCAAA | TCCCACGAAGCTGCGTCAAG |
| Nqo1 (NQO1) | TTCCCATTGCAGTGGTTTGG | CTGCTACGAGCACTCTCTCA |
| Ddit3 (GADD153) | CTGGAAGCCTGGTATGAGGAT | CAGGGTCAAGAGTAGTGAAGGT |
| Hspa5 (GRP-78) | CGAAGGGATCATCTGCTATTAC | CTTCATAGTCCTGCCCATTG |
| Xbp1 (XBP-1) | TCCGCAGCACTCAGACTATG | ACAGGGTCCAACTTGTCCAG |
Disclaimer/Publisher’s Note: The statements, opinions and data contained in all publications are solely those of the individual author(s) and contributor(s) and not of MDPI and/or the editor(s). MDPI and/or the editor(s) disclaim responsibility for any injury to people or property resulting from any ideas, methods, instructions or products referred to in the content. |
© 2025 by the authors. Licensee MDPI, Basel, Switzerland. This article is an open access article distributed under the terms and conditions of the Creative Commons Attribution (CC BY) license.
Share and Cite
Jo, M.-J.; Hwang, S.J.; Seo, M.-G.; Lee, J.-H.; Lee, J.W.; Kim, Y.H.; Kim, Y.; Park, S.-J. Agrimonia pilosa Extract Alleviates CDAHFD-Induced Non-Alcoholic Steatohepatitis and Fibrosis in Mice. Nutrients 2026, 18, 42. https://doi.org/10.3390/nu18010042
Jo M-J, Hwang SJ, Seo M-G, Lee J-H, Lee JW, Kim YH, Kim Y, Park S-J. Agrimonia pilosa Extract Alleviates CDAHFD-Induced Non-Alcoholic Steatohepatitis and Fibrosis in Mice. Nutrients. 2026; 18(1):42. https://doi.org/10.3390/nu18010042
Chicago/Turabian StyleJo, Min-Jeong, Sun Jin Hwang, Myung-Gi Seo, Jun-Ho Lee, Jae Woo Lee, Yoon Hee Kim, Yongduk Kim, and Sang-Joon Park. 2026. "Agrimonia pilosa Extract Alleviates CDAHFD-Induced Non-Alcoholic Steatohepatitis and Fibrosis in Mice" Nutrients 18, no. 1: 42. https://doi.org/10.3390/nu18010042
APA StyleJo, M.-J., Hwang, S. J., Seo, M.-G., Lee, J.-H., Lee, J. W., Kim, Y. H., Kim, Y., & Park, S.-J. (2026). Agrimonia pilosa Extract Alleviates CDAHFD-Induced Non-Alcoholic Steatohepatitis and Fibrosis in Mice. Nutrients, 18(1), 42. https://doi.org/10.3390/nu18010042

