Effect of Proanthocyanidins from Grape Seed Extract on Benign Prostatic Hyperplasia
Abstract
1. Introduction
2. Materials and Methods
2.1. Materials
2.2. Sample Preparation and Dosage
2.3. Cell Culture and Viability
2.4. Animals
2.5. In Vivo Model and Drug Administration
2.6. Elisa Assay: Detection of PSA Levels in Serum
2.7. Cytokines and Chemokines Protein Array
2.8. Statistical Analysis
3. Results
3.1. Safety Profile of GSE and ATGSE on Murine Macrophages Cell Line J774A.1
3.2. Assessment of Prostate Weight and PSA Levels
3.3. Evaluation of Seminal Vesicle and Testicle Weight
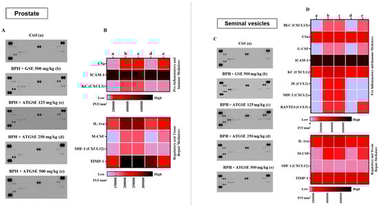
3.4. Unveiling the Immunological Mediator Profile on Prostate and Seminal Vesicle Homogenates: Focus on Pro- and Anti-Inflammatory Cyto-Chemokine Profile
4. Discussion
5. Conclusions
Supplementary Materials
Author Contributions
Funding
Institutional Review Board Statement
Informed Consent Statement
Data Availability Statement
Acknowledgments
Conflicts of Interest
References
- Roehrborn, C.G. Male Lower Urinary Tract Symptoms (LUTS) and Benign Prostatic Hyperplasia (BPH). Med. Clin. N. Am. 2011, 95, 87–100. [Google Scholar] [CrossRef] [PubMed]
- Sarma, A.V.; Wei, J.T. Benign Prostatic Hyperplasia and Lower Urinary Tract Symptoms. N. Engl. J. Med. 2012, 367, 248–257. [Google Scholar] [CrossRef]
- Barkin, J. Benign Prostatic Hyperplasia and Lower Urinary Tract Symptoms: Evidence and Approaches for Best Case Management. Can. J. Urol. 2011, 18, 14–19. [Google Scholar] [PubMed]
- Kim, S.K.; Seok, H.; Park, H.J.; Jeon, H.S.; Kang, S.W.; Lee, B.-C.; Yi, J.; Song, S.Y.; Lee, S.H.; Kim, Y.O.; et al. Inhibitory Effect of Curcumin on Testosterone Induced Benign Prostatic Hyperplasia Rat Model. BMC Complement. Altern. Med. 2015, 15, 380. [Google Scholar] [CrossRef] [PubMed]
- Tong, Y.; Zhou, R. Review of the Roles and Interaction of Androgen and Inflammation in Benign Prostatic Hyperplasia. Mediat. Inflamm. 2020, 2020, 7958316. [Google Scholar] [CrossRef] [PubMed]
- Andriole, G.; Bruchovsky, N.; Chung, L.W.K.; Matsumoto, A.M.; Rittmaster, R.; Roehrborn, C.; Russell, D.; Tindall, D. Dihydrotestosterone and the prostate: The scientific rationale for 5α-reductase inhibitors in the treatment of benign prostatic hyperplasia. J. Urol. 2004, 172, 1399–1403. [Google Scholar] [CrossRef]
- Roehrborn, C.G.; Boyle, P.; Nickel, J.C.; Hoefner, K.; Andriole, G. Efficacy and Safety of a Dual Inhibitor of 5-Alpha-Reductase Types 1 and 2 (Dutasteride) in Men with Benign Prostatic Hyperplasia. Urology 2002, 60, 434–441. [Google Scholar] [CrossRef]
- Choi, H.-M.; Jung, Y.; Park, J.; Kim, H.-L.; Youn, D.-H.; Kang, J.; Jeong, M.-Y.; Lee, J.-H.; Yang, W.M.; Lee, S.-G.; et al. Cinnamomi Cortex (Cinnamomum verum) Suppresses Testosterone-Induced Benign Prostatic Hyperplasia by Regulating 5α-Reductase. Sci. Rep. 2016, 6, 31906. [Google Scholar] [CrossRef]
- Pejčić, T.; Tosti, T.; Tešić, Ž.; Milković, B.; Dragičević, D.; Kozomara, M.; Čekerevac, M.; Džamić, Z. Testosterone and Dihydrotestosterone Levels in the Transition Zone Correlate with Prostate Volume. Prostate 2017, 77, 1082–1092. [Google Scholar] [CrossRef]
- Olivas, A.; Price, R.S. Obesity, Inflammation, and Advanced Prostate Cancer. Nutr. Cancer 2021, 73, 2232–2248. [Google Scholar] [CrossRef]
- Hamid, A.R.A.H.; Umbas, R.; Mochtar, C.A. Recent Role of Inflammation in Prostate Diseases: Chemoprevention Development Opportunity. Acta Med. Indones. 2011, 43, 59–65. [Google Scholar] [PubMed]
- Chen, Y.; Robles, A.I.; Martinez, L.A.; Liu, F.; Gimenez-Conti, I.B.; Conti, C.J. Expression of G1 Cyclins, Cyclin-Dependent Kinases, and Cyclin-Dependent Kinase Inhibitors in Androgen-Induced Prostate Proliferation in Castrated Rats. Cell Growth Differ. 1996, 7, 1571–1578. [Google Scholar] [PubMed]
- Amayo, A.; Obara, W. Serum Prostate Specific Antigen Levels in Men with Benign Prostatic Hyperplasia and Cancer of the Prostate. E Af Med. Jrnl 2004, 81, 22–26. [Google Scholar] [CrossRef]
- Csikós, E.; Horváth, A.; Ács, K.; Papp, N.; Balázs, V.L.; Dolenc, M.S.; Kenda, M.; Kočevar Glavač, N.; Nagy, M.; Protti, M.; et al. Treatment of Benign Prostatic Hyperplasia by Natural Drugs. Molecules 2021, 26, 7141. [Google Scholar] [CrossRef]
- Eleazu, C.; Eleazu, K.; Kalu, W. Management of Benign Prostatic Hyperplasia: Could Dietary Polyphenols Be an Alternative to Existing Therapies? Front. Pharmacol. 2017, 8, 234. [Google Scholar] [CrossRef]
- Mitsunari, K.; Miyata, Y.; Matsuo, T.; Mukae, Y.; Otsubo, A.; Harada, J.; Kondo, T.; Matsuda, T.; Ohba, K.; Sakai, H. Pharmacological Effects and Potential Clinical Usefulness of Polyphenols in Benign Prostatic Hyperplasia. Molecules 2021, 26, 450. [Google Scholar] [CrossRef]
- Rauf, A.; Imran, M.; Abu-Izneid, T.; Iahtisham-Ul-Haq; Patel, S.; Pan, X.; Naz, S.; Sanches Silva, A.; Saeed, F.; Rasul Suleria, H.A. Proanthocyanidins: A Comprehensive Review. Biomed. Pharmacother. 2019, 116, 108999. [Google Scholar] [CrossRef]
- Schiano, E.; Maisto, M.; Piccolo, V.; Novellino, E.; Annunziata, G.; Ciampaglia, R.; Montesano, C.; Croce, M.; Caruso, G.; Iannuzzo, F.; et al. Beneficial Contribution to Glucose Homeostasis by an Agro-Food Waste Product Rich in Abscisic Acid: Results from a Randomized Controlled Trial. Foods 2022, 11, 2637. [Google Scholar] [CrossRef]
- Ferreira, Y.A.M.; Jamar, G.; Estadella, D.; Pisani, L.P. Proanthocyanidins in Grape Seeds and Their Role in Gut Microbiota-White Adipose Tissue Axis. Food Chem. 2023, 404, 134405. [Google Scholar] [CrossRef]
- Baroi, A.M.; Popitiu, M.; Fierascu, I.; Sărdărescu, I.-D.; Fierascu, R.C. Grapevine Wastes: A Rich Source of Antioxidants and Other Biologically Active Compounds. Antioxidants 2022, 11, 393. [Google Scholar] [CrossRef]
- Lei, Y.; Liu, D.; Ren, X.; Chen, J. Potential of Grape Seed-Derived Polyphenols Extract for Protection against Testosterone-Induced Benign Prostatic Hyperplasia in Castrated Rats. RSC Adv. 2014, 4, 62996–63004. [Google Scholar] [CrossRef]
- Holt, R.R.; Lazarus, S.A.; Sullards, M.C.; Zhu, Q.Y.; Schramm, D.D.; Hammerstone, J.F.; Fraga, C.G.; Schmitz, H.H.; Keen, C.L. Procyanidin Dimer B2 [Epicatechin-(4β-8)-Epicatechin] in Human Plasma after the Consumption of a Flavanol-Rich Cocoa. Am. J. Clin. Nutr. 2002, 76, 798–804. [Google Scholar] [CrossRef] [PubMed]
- Donovan, J.L.; Lee, A.; Manach, C.; Rios, L.; Morand, C.; Scalbert, A.; Rémésy, C. Procyanidins Are Not Bioavailable in Rats Fed a Single Meal Containing a Grapeseed Extract or the Procyanidin Dimer B3. Br. J. Nutr. 2002, 87, 299–306. [Google Scholar] [CrossRef] [PubMed]
- Tomas-Barberán, F.A.; Cienfuegos-Jovellanos, E.; Marín, A.; Muguerza, B.; Gil-Izquierdo, A.; Cerdá, B.; Zafrilla, P.; Morillas, J.; Mulero, J.; Ibarra, A. A New Process to Develop a Cocoa Powder with Higher Flavonoid Monomer Content and Enhanced Bioavailability in Healthy Humans. J. Agric. Food Chem. 2007, 55, 3926–3935. [Google Scholar] [CrossRef]
- Iannuzzo, F.; Piccolo, V.; Novellino, E.; Schiano, E.; Salviati, E.; Summa, V.; Campiglia, P.; Tenore, G.C.; Maisto, M. A Food-Grade Method for Enhancing the Levels of Low Molecular Weight Proanthocyanidins with Potentially High Intestinal Bioavailability. Int. J. Mol. Sci. 2022, 23, 13557. [Google Scholar] [CrossRef]
- Penicillin Derivative—An Overview | ScienceDirect Topics. Available online: https://www.sciencedirect.com/topics/pharmacology-toxicology-and-pharmaceutical-science/penicillin-derivative (accessed on 14 November 2024).
- Streptomycin—An Overview | ScienceDirect Topics. Available online: https://www.sciencedirect.com/topics/pharmacology-toxicology-and-pharmaceutical-science/streptomycin (accessed on 14 November 2024).
- HEPES—An Overview | ScienceDirect Topics. Available online: https://www.sciencedirect.com/topics/pharmacology-toxicology-and-pharmaceutical-science/hepes (accessed on 14 November 2024).
- Pyruvic Acid—An Overview | ScienceDirect Topics. Available online: https://www.sciencedirect.com/topics/pharmacology-toxicology-and-pharmaceutical-science/pyruvic-acid (accessed on 14 November 2024).
- Cell Viability—An Overview | ScienceDirect Topics. Available online: https://www.sciencedirect.com/topics/pharmacology-toxicology-and-pharmaceutical-science/cell-viability (accessed on 14 November 2024).
- Saviano, A.; Raucci, F.; Casillo, G.M.; Mansour, A.A.; Piccolo, V.; Montesano, C.; Smimmo, M.; Vellecco, V.; Capasso, G.; Boscaino, A.; et al. Anti-Inflammatory and Immunomodulatory Activity of Mangifera Indica L. Reveals the Modulation of COX-2/mPGES-1 Axis and Th17/Treg Ratio. Pharmacol. Res. 2022, 182, 106283. [Google Scholar] [CrossRef]
- Formazan—An Overview | ScienceDirect Topics. Available online: https://www.sciencedirect.com/topics/pharmacology-toxicology-and-pharmaceutical-science/formazan (accessed on 14 November 2024).
- Li, J.; Tian, Y.; Guo, S.; Gu, H.; Yuan, Q.; Xie, X. Testosterone-Induced Benign Prostatic Hyperplasia Rat and Dog as Facile Models to Assess Drugs Targeting Lower Urinary Tract Symptoms. PLoS ONE 2018, 13, e0191469. [Google Scholar] [CrossRef]
- Zhang, H.; Jing, Y.; Wu, G. Inhibitory Effects of Crude Polysaccharides from Semen Vaccariae on Benign Prostatic Hyperplasia in Mice. J. Ethnopharmacol. 2013, 145, 667–669. [Google Scholar] [CrossRef]
- Zhang, J.; Zhang, M.; Tang, J.; Yin, G.; Long, Z.; He, L.; Zhou, C.; Luo, L.; Qi, L.; Wang, L. Animal Models of Benign Prostatic Hyperplasia. Prostate Cancer Prostatic Dis. 2021, 24, 49–57. [Google Scholar] [CrossRef]
- Huang, Y.; Chen, H.; Zhou, X.; Wu, X.; Hu, E.; Jiang, Z. Inhibition Effects of Chlorogenic Acid on Benign Prostatic Hyperplasia in Mice. Eur. J. Pharmacol. 2017, 809, 191–195. [Google Scholar] [CrossRef]
- Nahata, A.; Dixit, V.K. Ameliorative Effects of Stinging Nettle (Urtica dioica) on Testosterone-Induced Prostatic Hyperplasia in Rats: Urtica Dioica Attenuates Prostatic Hyperplasia. Andrologia 2012, 44, 396–409. [Google Scholar] [CrossRef] [PubMed]
- Curtis, M.J.; Bond, R.A.; Spina, D.; Ahluwalia, A.; Alexander, S.P.A.; Giembycz, M.A.; Gilchrist, A.; Hoyer, D.; Insel, P.A.; Izzo, A.A.; et al. Experimental Design and Analysis and Their Reporting: New Guidance for Publication in BJP: Editorial. Br. J. Pharmacol. 2015, 172, 3461–3471. [Google Scholar] [CrossRef] [PubMed]
- Alexander, S.P.H.; Roberts, R.E.; Broughton, B.R.S.; Sobey, C.G.; George, C.H.; Stanford, S.C.; Cirino, G.; Docherty, J.R.; Giembycz, M.A.; Hoyer, D.; et al. Goals and Practicalities of Immunoblotting and Immunohistochemistry: A Guide for Submission to the British Journal of Pharmacology: Editorial. Br. J. Pharmacol. 2018, 175, 407–411. [Google Scholar] [CrossRef] [PubMed]
- George, C.H.; Stanford, S.C.; Alexander, S.; Cirino, G.; Docherty, J.R.; Giembycz, M.A.; Hoyer, D.; Insel, P.A.; Izzo, A.A.; Ji, Y.; et al. Updating the Guidelines for Data Transparency in the British Journal of Pharmacology—Data Sharing and the Use of Scatter Plots Instead of Bar Charts: Editorial. Br. J. Pharmacol. 2017, 174, 2801–2804. [Google Scholar] [CrossRef]
- Langan, R.C. Benign Prostatic Hyperplasia. Prim. Care: Clin. Off. Pract. 2019, 46, 223–232. [Google Scholar] [CrossRef]
- Shin, I.S.; Lee, M.Y.; Ha, H.K.; Seo, C.S.; Shin, H.-K. Inhibitory Effect of Yukmijihwang-Tang, a Traditional Herbal Formula against Testosterone-Induced Benign Prostatic Hyperplasia in Rats. BMC Complement. Altern. Med. 2012, 12, 48. [Google Scholar] [CrossRef]
- Rył, A.; Rotter, I.; Miazgowski, T.; Słojewski, M.; Dołęgowska, B.; Lubkowska, A.; Laszczyńska, M. Metabolic Syndrome and Benign Prostatic Hyperplasia: Association or Coincidence? Diabetol. Metab. Syndr. 2015, 7, 94. [Google Scholar] [CrossRef]
- Minciullo, P.L.; Inferrera, A.; Navarra, M.; Calapai, G.; Magno, C.; Gangemi, S. Oxidative Stress in Benign Prostatic Hyperplasia: A Systematic Review. Urol. Int. 2015, 94, 249–254. [Google Scholar] [CrossRef]
- Oelke, M.; Martinelli, E. Medikamentöse Therapie des benignen Prostatasyndroms. Urologe 2016, 55, 81–96. [Google Scholar] [CrossRef]
- Pejčić, T.; Tosti, T.; Džamić, Z.; Gašić, U.; Vuksanović, A.; Dolićanin, Z.; Tešić, Ž. The Polyphenols as Potential Agents in Prevention and Therapy of Prostate Diseases. Molecules 2019, 24, 3982. [Google Scholar] [CrossRef]
- Raina, K.; Singh, R.P.; Agarwal, R.; Agarwal, C. Oral Grape Seed Extract Inhibits Prostate Tumor Growth and Progression in TRAMP Mice. Cancer Res. 2007, 67, 5976–5982. [Google Scholar] [CrossRef] [PubMed]
- Lei, Y.; Ren, X.; Chen, J.; Liu, D.; Ruan, J. Protective Effects of Grape Seed-Derived Procyanidin Extract against Carrageenan-Induced Abacterial Prostatitis in Rats. J. Funct. Foods 2014, 7, 416–424. [Google Scholar] [CrossRef]
- Unusan, N. Proanthocyanidins in Grape Seeds: An Updated Review of Their Health Benefits and Potential Uses in the Food Industry. J. Funct. Foods 2020, 67, 103861. [Google Scholar] [CrossRef]
- Neilson, A.P.; O’Keefe, S.F.; Bolling, B.W. High-Molecular-Weight Proanthocyanidins in Foods: Overcoming Analytical Challenges in Pursuit of Novel Dietary Bioactive Components. Annu. Rev. Food Sci. Technol. 2016, 7, 43–64. [Google Scholar] [CrossRef]
- Ou, K.; Gu, L. Absorption and Metabolism of Proanthocyanidins. J. Funct. Foods 2014, 7, 43–53. [Google Scholar] [CrossRef]
- Bassino, E.; Gasparri, F.; Munaron, L. Protective Role of Nutritional Plants Containing Flavonoids in Hair Follicle Disruption: A Review. Int. J. Mol. Sci. 2020, 21, 523. [Google Scholar] [CrossRef]
- Levitt, J.M.; Slawin, K.M. Prostate-Specific Antigen and Prostate-Specific Antigen Derivatives as Predictors of Benign Prostatic Hyperplasia Progression. Curr. Urol. Rep. 2007, 8, 269–274. [Google Scholar] [CrossRef]
- Elzanaty, S.; Rezanezhad, B.; Borgquist, R. Association between PSA Levels and Biomarkers of Subclinical Systemic Inflammation in Middle-Aged Healthy Men from the General Population. Curr. Urol. 2016, 9, 148–152. [Google Scholar] [CrossRef][Green Version]
- Bearelly, P.; Avellino, G.J. The Role of Benign Prostatic Hyperplasia Treatments in Ejaculatory Dysfunction. Fertil. Steril. 2021, 116, 611–617. [Google Scholar] [CrossRef]
- Di Silverio, F.; Gentile, V.; De Matteis, A.; Mariotti, G.; Giuseppe, V.; Antonio Luigi, P.; Sciarra, A. Distribution of Inflammation, Pre-Malignant Lesions, Incidental Carcinoma in Histologically Confirmed Benign Prostatic Hyperplasia: A Retrospective Analysis. Eur. Urol. 2003, 43, 164–175. [Google Scholar] [CrossRef]
- Yahfoufi, N.; Alsadi, N.; Jambi, M.; Matar, C. The Immunomodulatory and Anti-Inflammatory Role of Polyphenols. Nutrients 2018, 10, 1618. [Google Scholar] [CrossRef] [PubMed]
- Saylor, P.J.; Kozak, K.R.; Smith, M.R.; Ancukiewicz, M.A.; Efstathiou, J.A.; Zietman, A.L.; Jain, R.K.; Duda, D.G. Changes in Biomarkers of Inflammation and Angiogenesis During Androgen Deprivation Therapy for Prostate Cancer. Oncol. 2012, 17, 212–219. [Google Scholar] [CrossRef] [PubMed]
- Djavan, B.; Eckersberger, E.; Espinosa, G.; Kramer, G.; Handisurya, A.; Lee, C.; Marberger, M.; Lepor, H.; Steiner, G.E. Complex Mechanisms in Prostatic Inflammatory Response. Eur. Urol. Suppl. 2009, 8, 872–878. [Google Scholar] [CrossRef]
- Begley, L.A.; Kasina, S.; MacDonald, J.; Macoska, J.A. The Inflammatory Microenvironment of the Aging Prostate Facilitates Cellular Proliferation and Hypertrophy. Cytokine 2008, 43, 194–199. [Google Scholar] [CrossRef]
- Borish, L.C.; Steinke, J.W. 2. Cytokines and Chemokines. J. Allergy Clin. Immunol. 2003, 111, S460–S475. [Google Scholar] [CrossRef]





| Exp. Group | Group Name | Testosterone | GSE | ATGSE |
|---|---|---|---|---|
| I | Control | - | - | - |
| II | BPH | 1 mg/mouse | - | - |
| III | BPH + GSE | 1 mg/mouse | 500 mg/kg | - |
| IV | BPH + ATGSE | 1 mg/mouse | - | 125 mg/kg |
| V | BPH + ATGSE | 1 mg/mouse | - | 250 mg/kg |
| VI | BPH + ATGSE | 1 mg/mouse | - | 500 mg/kg |
Disclaimer/Publisher’s Note: The statements, opinions and data contained in all publications are solely those of the individual author(s) and contributor(s) and not of MDPI and/or the editor(s). MDPI and/or the editor(s) disclaim responsibility for any injury to people or property resulting from any ideas, methods, instructions or products referred to in the content. |
© 2024 by the authors. Licensee MDPI, Basel, Switzerland. This article is an open access article distributed under the terms and conditions of the Creative Commons Attribution (CC BY) license (https://creativecommons.org/licenses/by/4.0/).
Share and Cite
Iannuzzo, F.; Schiano, E.; Maisto, M.; Schettino, A.; Marigliano, N.; Saviano, A.; Abo Mansour, A.; Iqbal, A.J.; Maione, F.; Tenore, G.C.; et al. Effect of Proanthocyanidins from Grape Seed Extract on Benign Prostatic Hyperplasia. Nutrients 2025, 17, 73. https://doi.org/10.3390/nu17010073
Iannuzzo F, Schiano E, Maisto M, Schettino A, Marigliano N, Saviano A, Abo Mansour A, Iqbal AJ, Maione F, Tenore GC, et al. Effect of Proanthocyanidins from Grape Seed Extract on Benign Prostatic Hyperplasia. Nutrients. 2025; 17(1):73. https://doi.org/10.3390/nu17010073
Chicago/Turabian StyleIannuzzo, Fortuna, Elisabetta Schiano, Maria Maisto, Anna Schettino, Noemi Marigliano, Anella Saviano, Adel Abo Mansour, Asif Jilani Iqbal, Francesco Maione, Gian Carlo Tenore, and et al. 2025. "Effect of Proanthocyanidins from Grape Seed Extract on Benign Prostatic Hyperplasia" Nutrients 17, no. 1: 73. https://doi.org/10.3390/nu17010073
APA StyleIannuzzo, F., Schiano, E., Maisto, M., Schettino, A., Marigliano, N., Saviano, A., Abo Mansour, A., Iqbal, A. J., Maione, F., Tenore, G. C., & Novellino, E. (2025). Effect of Proanthocyanidins from Grape Seed Extract on Benign Prostatic Hyperplasia. Nutrients, 17(1), 73. https://doi.org/10.3390/nu17010073

