Astragalus Extract Mixture HT042 Alleviates Dexamethasone-Induced Bone Growth Retardation in Rat Metatarsal Bones
Abstract
1. Introduction
2. Materials and Methods
2.1. High-Performance Liquid Chromatography (HPLC) Analysis
2.2. Animals
2.3. Whole MTB Culture
2.4. Measurement of MTB Longitudinal Growth
2.5. Growth Plate Height
2.6. Immunohistochemistry (IHC) Analysis
2.7. Terminal Deoxynucleotidyltransferase-Mediated dUTP End Labeling (TUNEL) Assay
2.8. Chondrocyte Culture
2.9. Bromodeoxyuridine (BrdU) In Situ Incorporation Using Immunofluorescent (IF) Staining
2.10. In Situ Cell Death
2.11. Quantitative Real-Time Polymerase Chain Reaction (qRT-PCR)
2.12. Immunocytochemistry (ICC) Analysis
2.13. Gene Slicing
2.14. Statistics
3. Results
3.1. High-Performance Liquid Chromatography (HPLC) Analysis
3.2. Evaluation of MTB Length Measurement
3.3. Effect on the Growth Plate Height Using Staining
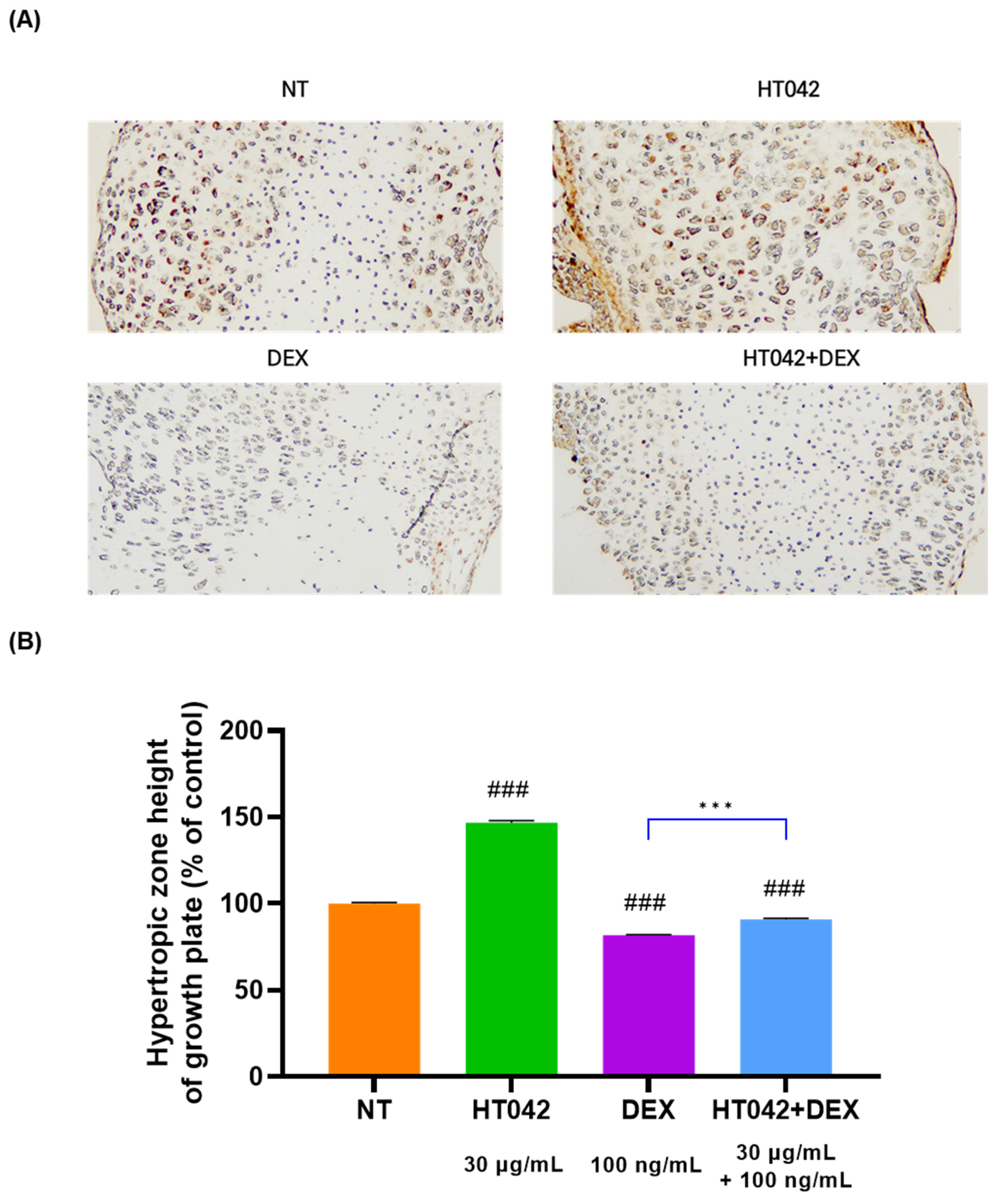
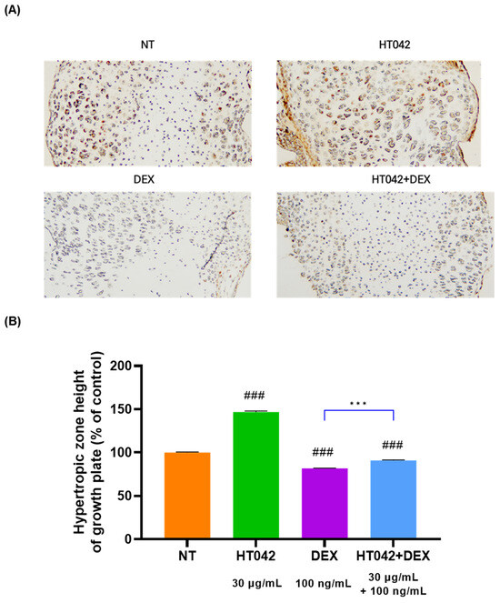
3.4. Effect of HT042 on the Ihh Expressions in Growth Plates
3.5. Effect of HT042 on Chondrocyte Apoptosis in MTB
3.6. Effect of HT042 on Cell Proliferation in the Growth Plate
3.7. Effects of HT042 on mRNA Expression in the Chondrocyte
3.8. Effects of HT042 on Protein Expression in the Chondrocyte
3.9. Effects of HT042 and DEX on Ihh–DNA Binding Activity
3.10. Effects of HT042 on Anti-Apoptosis
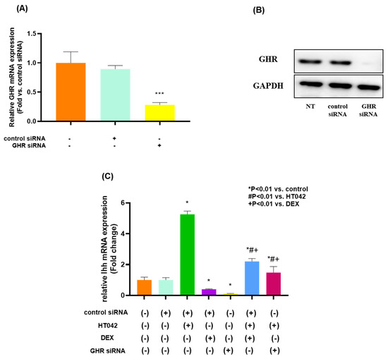
3.11. Effects on HT042 and DEX on GHR in Chondrocyte
4. Discussion
5. Conclusions
Author Contributions
Funding
Institutional Review Board Statement
Informed Consent Statement
Data Availability Statement
Conflicts of Interest
Abbreviations
| DEX | Dexamethasone |
| GH | Growth hormone |
| GHR | Growth hormone receptor |
| IGF-1 | Insulin-like growth factor-1 |
| IGF-1R | Insulin-like growth factor-1 receptor |
| TUNEL | Terminal deoxynucleotidyltransferase-mediated dUTP end labeling |
| BrdU | Bromodeoxyuridine |
| MTB | Metatarsal bone |
| PZ | Proliferative zone |
| HZ | Hypertrophic zone |
| CV | Cresyl violet |
| TB | Toluidine blue |
| IHC | Immunohistochemistry9 |
| IF | Immunofluorescent |
| qRT-PCR | Quantitative real-time polymerase chain reaction |
References
- Tyler, A.; Bryan, M.A.; Zhou, C.; Mangione-Smith, R.; Williams, D.; Johnson, D.P.; Kenyon, C.C.; Rasooly, I.; Neubauer, H.C.; Wilson, K.M. Variation in Dexamethasone Dosing and Use Outcomes for Inpatient Croup. Hosp. Pediatr. 2022, 12, 22–29. [Google Scholar] [CrossRef] [PubMed]
- Allen, D.B.; Julius, J.R.; Breen, T.J. Treatment of Glucocorticoid-Induced Growth Suppression with Growth Hormone. The J. Clin. Endocrinol. Metab. 1998, 83, 2824–2829. [Google Scholar] [CrossRef] [PubMed]
- Wong, S.C.; Dobie, R.; Altowati, M.A.; Werther, G.A.; Farquharson, C.; Ahmed, S.F. Growth and the Growth Hormone-Insulin Like Growth Factor 1 Axis in Children With Chronic Inflammation: Current Evidence, Gaps in Knowledge, and Future Directions. Endocr. Rev. 2016, 37, 62–110. [Google Scholar] [CrossRef] [PubMed]
- Mazziotti, G.; Giustina, A. Glucocorticoids and the Regulation of Growth Hormone Secretion. Nat. Rev. Endocrinol. 2013, 9, 265–276. [Google Scholar] [CrossRef] [PubMed]
- Hyams, J.S. Corticosteroids and Growth. J. Pediatr. 1988, 113, 249–254. [Google Scholar] [CrossRef] [PubMed]
- Weinstein, R.S.; Wan, C.; Liu, Q.; Wang, Y.; Almeida, M.; O’Brien, C.A.; Thostenson, J.; Roberson, P.K.; Boskey, A.L.; Clemens, T.L.; et al. Endogenous Glucocorticoids Decrease Skeletal Angiogenesis, Vascularity, Hydration, and Strength in Aged Mice. Aging Cell 2010, 9, 147–161. [Google Scholar] [CrossRef] [PubMed]
- Zhao, Y.; Celvin, B.; Denis, M.C.; Karagianni, N.; Aulin, C.; Zaman, F.; Sävendahl, L. TNF Overexpression and Dexamethasone Treatment Impair Chondrogenesis and Bone Growth in an Additive Manner. Sci. Rep. 2022, 12, 18189. [Google Scholar] [CrossRef] [PubMed]
- Morris, H.G.; Jorgensen, J.R.; Elrick, H.; Goldsmith, R.E. Metabolic Effects of Human Growth Hormone in Corticosteroid-Treated Children. J. Clin. Investig. 1968, 47, 436–451. [Google Scholar] [CrossRef] [PubMed]
- Minnetti, M.; Caiulo, S.; Ferrigno, R.; Baldini-Ferroli, B.; Bottaro, G.; Gianfrilli, D.; Sbardella, E.; De Martino, M.C.; Savage, M.O. Abnormal Linear Growth in Paediatric Adrenal Diseases: Pathogenesis, Prevalence and Management. Clin. Endocrinol. 2020, 92, 98–108. [Google Scholar] [CrossRef]
- Yin, M.; Wang, J.; Zhang, J.; Wang, W.; Lu, W.; Xu, F.; Ma, X.; Lyu, S.; Chen, L.; Zhang, L.; et al. Transcription Analyses of Differentially Expressed mRNAs, lncRNAs, circRNAs, and miRNAs in the Growth Plate of Rats with Glucocorticoid-Induced Growth Retardation. PeerJ 2023, 11, e14603. [Google Scholar] [CrossRef]
- Delucchi, Á.; Valenzuela, M.; Lillo, A.M.; Guerrero, J.L.; Cano, F.; Azocar, M.; Zambrano, P.; Salas, P.; Pinto, V.; Ferrario, M.; et al. Early Steroid Withdrawal in Pediatric Renal Transplant: Five Years of Follow-Up. Pediatr. Nephrol. 2011, 26, 2235–2244. [Google Scholar] [CrossRef] [PubMed]
- Ma, J.; Siminoski, K.; Alos, N.; Halton, J.; Ho, J.; Cummings, E.A.; Shenouda, N.; Matzinger, M.A.; Lentle, B.; Jaremko, J.L.; et al. Impact of Vertebral Fractures and Glucocorticoid Exposure on Height Deficits in Children During Treatment of Leukemia. J. Clin. Endocrinol. Metab. 2019, 104, 213–222. [Google Scholar] [CrossRef] [PubMed]
- Giustina, A.; Bussi, A.R.; Jacobello, C.; Wehrenberg, W.B. Effects of Recombinant Human Growth Hormone (GH) on Bone and Intermediary Metabolism in Patients Receiving Chronic Glucocorticoid Treatment with Suppressed Endogenous GH Response to GH-Releasing Hormone. J. Clin. Endocrinol. Metab. 1995, 80, 122–129. [Google Scholar]
- Madeo, S.F.; Zagaroli, L.; Vandelli, S.; Calcaterra, V.; Crinò, A.; De Sanctis, L.; Faienza, M.F.; Fintini, D.; Guazzarotti, L.; Licenziati, M.R.; et al. Endocrine Features of Prader-Willi Syndrome: A Narrative Review Focusing on Genotype-Phenotype Correlation. Front. Endocrinol. 2024, 15, 1382583. [Google Scholar] [CrossRef]
- Hua, J.; Huang, J.; Li, G.; Lin, S.; Cui, L. Glucocorticoid Induced Bone Disorders in Children: Research Progress in Treatment Mechanisms. Front. Endocrinol. 2023, 14, 1119427. [Google Scholar] [CrossRef] [PubMed]
- Jux, C.; Leiber, K.; Gel, U.H.; Blum, W.; Ohlsson, C.; Klaus, G.N.; Mehls, O. Dexamethasone Impairs Growth Hormone (GH)- Stimulated Growth by Suppression of Local Insulin-Like Growth Factor (IGF)-I Production and Expression of GH- and IGF-I-Receptor in Cultured Rat Chondrocytes. Endocrinology 1998, 139, 3296–3305. [Google Scholar] [CrossRef]
- Chagin, A.S.; Karimian, E.; Sundström, K.; Eriksson, E.; Sävendahl, L. Catch-up Growth after Dexamethasone Withdrawal Occurs in Cultured Postnatal Rat Metatarsal Bones. J. Endocrinol. 2010, 204, 21–29. [Google Scholar] [CrossRef]
- Baron, J.; Sävendahl, L.; De Luca, F.; Dauber, A.; Phillip, M.; Wit, J.M.; Nilsson, O. Short and Tall Stature: A New Paradigm Emerges. Nat. Rev. Endocrinol. 2015, 11, 735–746. [Google Scholar] [CrossRef]
- Lim, D.W.; Lee, C. The Effects of Natural Product-Derived Extracts for Longitudinal Bone Growth: An Overview of In Vivo Experiments. IJMS 2023, 24, 16608. [Google Scholar] [CrossRef]
- Lee, D.; Kim, B.-H.; Lee, S.-H.; Cho, W.-Y.; Kim, Y.-S.; Kim, H. Effects of Astragalus Extract Mixture HT042 on Circulating IGF-1 Level and Growth Hormone Axis in Rats. Children 2021, 8, 975. [Google Scholar] [CrossRef]
- Lee, D.; Lee, S.H.; Lee, Y.H.; Song, J.; Kim, H. Astragalus Extract Mixture HT042 Increases Longitudinal Bone Growth Rate by Upregulating Circulatory IGF-1 in Rats. Evid. Based Complement. Altern. Med. 2017, 2017, 6935802. [Google Scholar] [CrossRef]
- Smink, J.; Gresnigt, M.; Hamers, N.; Koedam, J.; Berger, R.; Van Buul-Offers, S. Short-Term Glucocorticoid Treatment of Prepubertal Mice Decreases Growth and IGF-I Expression in the Growth Plate. J. Endocrinol. 2003, 177, 381–388. [Google Scholar] [CrossRef] [PubMed]
- Touati, G.; Prieur, A.M.; Ruiz, J.C.; Noel, M.; Czernichow, P. Beneficial Effects of One-Year Growth Hormone Administration to Children with Juvenile Chronic Arthritis on Chronic Steroid Therapy. I. Effects on Growth Velocity and Body Composition. J. Clin. Endocrinol. Metab. 1998, 83, 403–409. [Google Scholar] [PubMed]
- Ramesh, S.; Sävendahl, L.; Madhuri, V.; Zaman, F. Radial Shock Waves Prevent Growth Retardation Caused by the Clinically Used Drug Vismodegib in Ex Vivo Cultured Bones. Sci. Rep. 2020, 10, 13400. [Google Scholar] [CrossRef] [PubMed]
- Isaksson, O.G.P.; Jansson, J.-O.; Gause, I.A.M. Growth Hormone Stimulates Longitudinal Bone Growth Directly. Science 1982, 216, 1237–1239. [Google Scholar] [CrossRef] [PubMed]
- Baron, J.; Huang, Z.; Oerter, K.E.; Bacher, J.D.; Cutler, G.B. Dexamethasone Acts Locally to Inhibit Longitudinal Bone Growth in Rabbits. Am. J. Physiol.-Endocrinol. Metab. 1992, 263, E489–E492. [Google Scholar] [CrossRef] [PubMed]
- Velentza, L.; Wickström, M.; Kogner, P.; Ohlsson, C.; Zaman, F.; Sävendahl, L. Humanin Treatment Protects against Venetoclax-Induced Bone Growth Retardation in Ex Vivo Cultured Rat Bones. J. Endocr. Soc. 2024, 8, bvae009. [Google Scholar] [CrossRef]
- Heilig, J.; Paulsson, M.; Zaucke, F. Insulin-like Growth Factor 1 Receptor (IGF1R) Signaling Regulates Osterix Expression and Cartilage Matrix Mineralization during Endochondral Ossification. Bone 2016, 83, 48–57. [Google Scholar] [CrossRef] [PubMed]
- Ma, R.; Liu, S.; Qiao, T.; Li, D.; Zhang, R.; Guo, X. Fluoride Inhibits Longitudinal Bone Growth by Acting Directly at the Growth Plate in Cultured Neonatal Rat Metatarsal Bones. Biol. Trace Elem. Res. 2020, 197, 522–532. [Google Scholar] [CrossRef] [PubMed]
- Zhang, Z.; Zaman, F.; Nava, T.S.; Aeppli, T.R.J.; Gutierrez-Farewik, E.M.; Kulachenko, A.; Sävendahl, L. Micromechanical Loading Studies in Ex Vivo Cultured Embryonic Rat Bones Enabled by a Newly Developed Portable Loading Device. Ann. Biomed. Eng. 2023, 51, 2229–2236. [Google Scholar] [CrossRef]
- Heino, T.J.; Chagin, A.S.; Takigawa, M.; Sävendahl, L. Effects of Alendronate and Pamidronate on Cultured Rat Metatarsal Bones: Failure to Prevent Dexamethasone-Induced Growth Retardation. Bone 2008, 42, 702–709. [Google Scholar] [CrossRef]
- Toni, L.; Plachy, L.; Dusatkova, P.; Amaratunga, S.A.; Elblova, L.; Sumnik, Z.; Kolouskova, S.; Snajderova, M.; Obermannova, B.; Pruhova, S.; et al. The Genetic Landscape of Children Born Small for Gestational Age with Persistent Short Stature. Horm. Res. Paediatr. 2024, 97, 40–52. [Google Scholar] [CrossRef] [PubMed]
- Gevers, E.F.; Van Der Eerden, B.C.J.; Karperien, M.; Raap, A.K.; Robinson, I.C.A.F.; Wit, J. Localization and Regulation of the Growth Hormone Receptor and Growth Hormone-Binding Protein in the Rat Growth Plate. J. Bone Miner. Res. 2002, 17, 1408–1419. [Google Scholar] [CrossRef] [PubMed]
- Kim, M.; Kim, J.Y.; Lim, D.; Lee, D.; Kim, Y.; Chang, G.T.; Choi, H.; Kim, H. Skeletal Growth and IGF Levels in Rats after HT042 Treatment. Phytother. Res. 2012, 26, 1771–1778. [Google Scholar] [CrossRef] [PubMed]
- Gabrielsson, B.G.; Carmignac, D.F.; Flavell, D.M.; Robinson, I.C. Steroid Regulation of Growth Hormone (GH) Receptor and GH-Binding Protein Messenger Ribonucleic Acids in the Rat. Endocrinology 1995, 136, 209–217. [Google Scholar] [CrossRef] [PubMed]
- Yanovskit, J.A.; Roth, H.; Yu, Y.M.; Domene, M.; Cutler, B. Dexamethasone Increases Growth Hormone Receptor Messenger Ribonucleic Acid Levels in Liver and Growth Plate. Endocrinology 1994, 135, 1113–1118. [Google Scholar]
- Han, S.; Park, H.-R.; Lee, E.-J.; Jang, J.-A.; Han, M.-S.; Kim, G.-W.; Jeong, J.-H.; Choi, J.-Y.; Beier, F.; Jung, Y.-K. Dicam Promotes Proliferation and Maturation of Chondrocyte through Indian Hedgehog Signaling in Primary Cilia. Osteoarthr. Cartil. 2018, 26, 945–953. [Google Scholar] [CrossRef] [PubMed]
- Maeda, Y.; Schipani, E.; Densmore, M.J.; Lanske, B. Partial Rescue of Postnatal Growth Plate Abnormalities in Ihh Mutants by Expression of a Constitutively Active PTH/PTHrP Receptor. Bone 2010, 46, 472–478. [Google Scholar] [CrossRef] [PubMed]
- Sun, Q.; Huang, J.; Tian, J.; Lv, C.; Li, Y.; Yu, S.; Liu, J.; Zhang, J. Key Roles of Gli1 and Ihh Signaling in Craniofacial Development. Stem Cells Dev. 2024, 33, 251–261. [Google Scholar] [CrossRef] [PubMed]
- Etschmaier, V.; Üçal, M.; Lohberger, B.; Weinberg, A.; Schäfer, U. Ex Vivo Organotypic Bone Slice Culture Reveals Preferential Chondrogenesis after Sustained Growth Plate Injury. Cells Dev. 2024, 203927. [Google Scholar] [CrossRef]
- Mak, I.W.Y.; Cowan, R.W.; Turcotte, R.E.; Singh, G.; Ghert, M. PTHrP Induces Autocrine/Paracrine Proliferation of Bone Tumor Cells through Inhibition of Apoptosis. PLoS ONE 2011, 6, e19975. [Google Scholar] [CrossRef]
- Mizuhashi, K.; Ono, W.; Matsushita, Y.; Sakagami, N.; Takahashi, A.; Saunders, T.L.; Nagasawa, T.; Kronenberg, H.M.; Ono, N. Resting Zone of the Growth Plate Houses a Unique Class of Skeletal Stem Cells. Nature 2018, 563, 254–258. [Google Scholar] [CrossRef] [PubMed]
- Kobayashi, T.; Chung, U.; Schipani, E.; Starbuck, M.; Karsenty, G.; Katagiri, T.; Goad, D.L.; Lanske, B.; Kronenberg, H.M. PTHrP and Indian Hedgehog Control Differentiation of Growth Plate Chondrocytes at Multiple Steps. Development 2002, 129, 2977–2986. [Google Scholar] [CrossRef] [PubMed]
- Leung, A.O.W.; Poon, A.C.H.; Wang, X.; Feng, C.; Chen, P.; Zheng, Z.; To, M.K.; Chan, W.C.W.; Cheung, M.; Chan, D. Suppression of Apoptosis Impairs Phalangeal Joint Formation in the Pathogenesis of Brachydactyly Type A1. Nat. Commun. 2024, 15, 2229. [Google Scholar] [CrossRef] [PubMed]
- Ahlström, M.; Pekkinen, M.; Lamberg-Allardt, C. Dexamethasone Downregulates the Expression of Parathyroid Hormone-Related Protein (PTHrP) in Mesenchymal Stem Cells. Steroids 2009, 74, 277–282. [Google Scholar] [CrossRef]
- Zaman, F.; Zhao, Y.; Celvin, B.; Mehta, H.H.; Wan, J.; Chrysis, D.; Ohlsson, C.; Fadeel, B.; Cohen, P.; Sävendahl, L. Humanin Is a Novel Regulator of Hedgehog Signaling and Prevents Glucocorticoid-induced Bone Growth Impairment. FASEB J. 2019, 33, 4962–4974. [Google Scholar] [CrossRef]












| Condition | |
|---|---|
| Column | SunFire C18 column (4.6 × 250 mm, 5 µm, Waters) |
| Mobile phase | (A) 0.5% phosphoric acid (B) acetonitrile |
| Flow rate | Eleutheroside E and shanzhiside methyl ester, 5% (0–20 min), 17% (20–30 min), 22% (30–40 min), 30% (40–45 min), 5% (45 min); Formononetin, 35% (0–15 min), 35% (15–25 min), 65% (25–28 min), 35% (28–30 min), 35% (30 min) |
| Injection volume | 1.0 mL/min |
| Detection wavelength | Eleutheroside E: 235 nm Shanzhiside methyl ester: 210 nm Formononetin: 245 nm |
| Temperature | 40 °C |
| Condition | |||
|---|---|---|---|
| Compound | Formononetin | Eleutheroside E | Shanzhiside Methyl Ester |
| Column | SunFire C18 column (4.6 × 250 mm, 5 µm, Waters) | SunFire C18 column (4.6 × 250 mm, 5 µm, Waters) | SunFire C18 column (4.6 × 250 mm, 5 µm, Waters) |
| Mobile phase | (A) 0.5% phosphoric acid (B) acetonitrile | (A) 0.5% phosphoric acid (B) acetonitrile | (A) 0.5% phosphoric acid (B) acetonitrile |
| Flow rate | 0–15 min (35%B), 15–25 min (35~65%B), 25–28 min (65~35%B), 28–30 (35%B) | 0–20 min (5~17%B), 20–30 min (17~22%B), 30–40 min (22~30%B), 40–43 min (30~100%B), 43–45 min (100%B), 45–47 min (100~5%B), 47–50 min (5%B) | 0–20 min (5~17%B), 20–30 min (17~22%B), 30–40 min (22~30%B), 40–43 min (30~100%B), 43–45 min (100%B), 45–47 min (100~5%B), 47–50 min (5%B) |
| Injection volume | 1.0 mL/min | 1.0 mL/min | 1.0 mL/min |
| Detection wavelength | 245 nm | 235 nm | 210 nm |
| Temperature | 40 °C | 40 °C | 40 °C |
| Gene Name | Primer Sequence (5′ → 3′) | |
|---|---|---|
| Ihh | Forward | ATGTCTCCCGCCTGGCTC |
| Reverse | TGGCGCCCAGGGTCTTCT | |
| PTHrP | Forward | ATGCTGCGGAGGCTGGTT |
| Reverse | GTCTTGGATGGACTTGCCC | |
| Caspase-3 | Forward | ATGGACAACAACGAAACCTC |
| Reverse | CCAGATATATTCCAGAGTCC | |
| Bcl2 | Forward | AGTGGGATACTGGAGATGAA |
| Reverse | TCAGGCTGGAAGGAGAAGAT | |
| Bclx | Forward | CAGCTGGAGTCAGTTTAGCG |
| Reverse | AAACTGCTGCTGTGGCCAGT | |
| Bax | Forward | AGACACCTGAGCTGACCTTG |
| Reverse | ATCAGCAATCATCCTCTGCA | |
| GHR | Forward | ATGCTACAGACCAAGACACC |
| Reverse | ACCCGCCAAAGATCCATA | |
| IGF-1R | Forward | TTCTACAATTACGCACTGG |
| Reverse | CTATGGTGGAGAGGTAACA | |
| GAPDH | Forward | CTTGTGACAAAGTGGACATTGTT |
| Reverse | TGACCAGCTTCCCATTCTC |
Disclaimer/Publisher’s Note: The statements, opinions and data contained in all publications are solely those of the individual author(s) and contributor(s) and not of MDPI and/or the editor(s). MDPI and/or the editor(s) disclaim responsibility for any injury to people or property resulting from any ideas, methods, instructions or products referred to in the content. |
© 2024 by the authors. Licensee MDPI, Basel, Switzerland. This article is an open access article distributed under the terms and conditions of the Creative Commons Attribution (CC BY) license (https://creativecommons.org/licenses/by/4.0/).
Share and Cite
Baek, C.Y.; Lee, J.; Lee, D.; Kim, H. Astragalus Extract Mixture HT042 Alleviates Dexamethasone-Induced Bone Growth Retardation in Rat Metatarsal Bones. Nutrients 2024, 16, 2333. https://doi.org/10.3390/nu16142333
Baek CY, Lee J, Lee D, Kim H. Astragalus Extract Mixture HT042 Alleviates Dexamethasone-Induced Bone Growth Retardation in Rat Metatarsal Bones. Nutrients. 2024; 16(14):2333. https://doi.org/10.3390/nu16142333
Chicago/Turabian StyleBaek, Chae Yun, JunI Lee, Donghun Lee, and Hocheol Kim. 2024. "Astragalus Extract Mixture HT042 Alleviates Dexamethasone-Induced Bone Growth Retardation in Rat Metatarsal Bones" Nutrients 16, no. 14: 2333. https://doi.org/10.3390/nu16142333
APA StyleBaek, C. Y., Lee, J., Lee, D., & Kim, H. (2024). Astragalus Extract Mixture HT042 Alleviates Dexamethasone-Induced Bone Growth Retardation in Rat Metatarsal Bones. Nutrients, 16(14), 2333. https://doi.org/10.3390/nu16142333

