Evaluating Anticancer and Immunomodulatory Effects of Spirulina (Arthrospira) platensis and Gamma-Tocotrienol Supplementation in a Syngeneic Mouse Model of Breast Cancer
Abstract
1. Introduction
2. Materials and Methods
2.1. Spirulina
2.2. Tocotrienol
2.3. Breast Cancer Cell Line
2.4. Animals
2.5. Experimental Design
2.6. Body Weight and Tumor Volume
2.7. Processing and Storage of Blood Samples
2.8. Immunophenotyping
2.9. Histopathological Analysis
2.10. Gene Expression Analysis
2.11. Statistical Analysis
3. Results
3.1. Body Weight and Tumor Volume
3.2. Immunophenotypic Expression
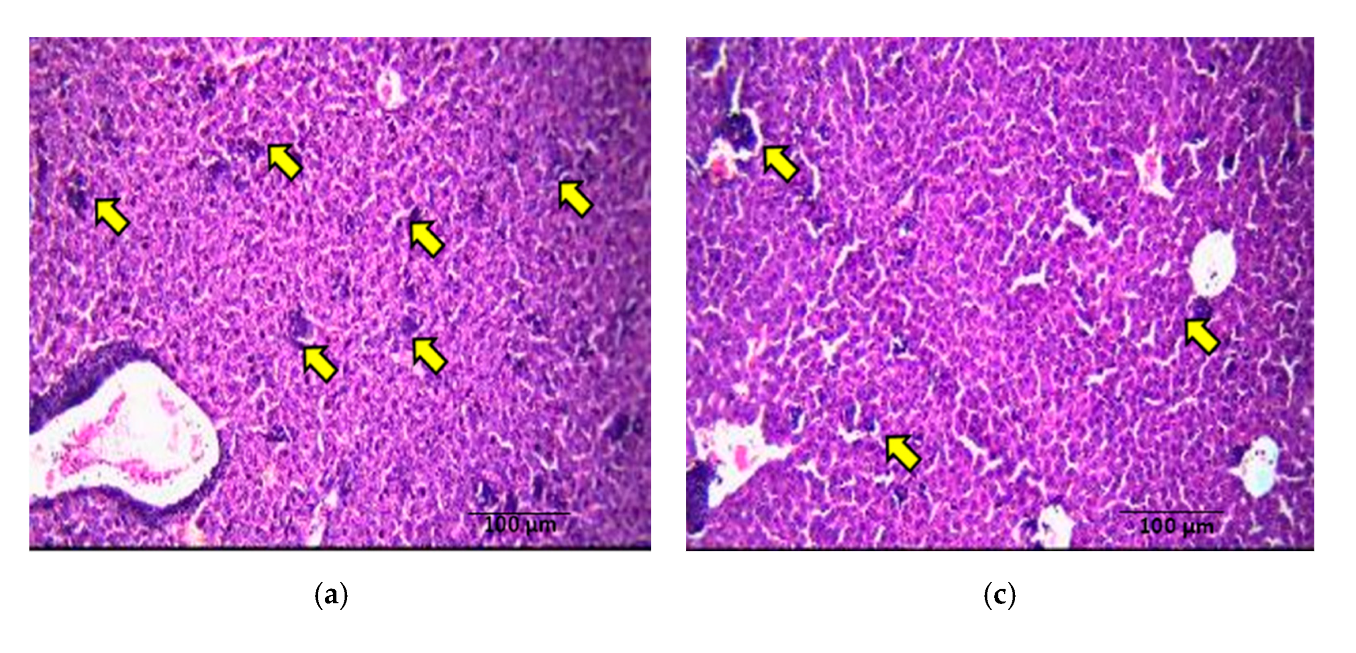
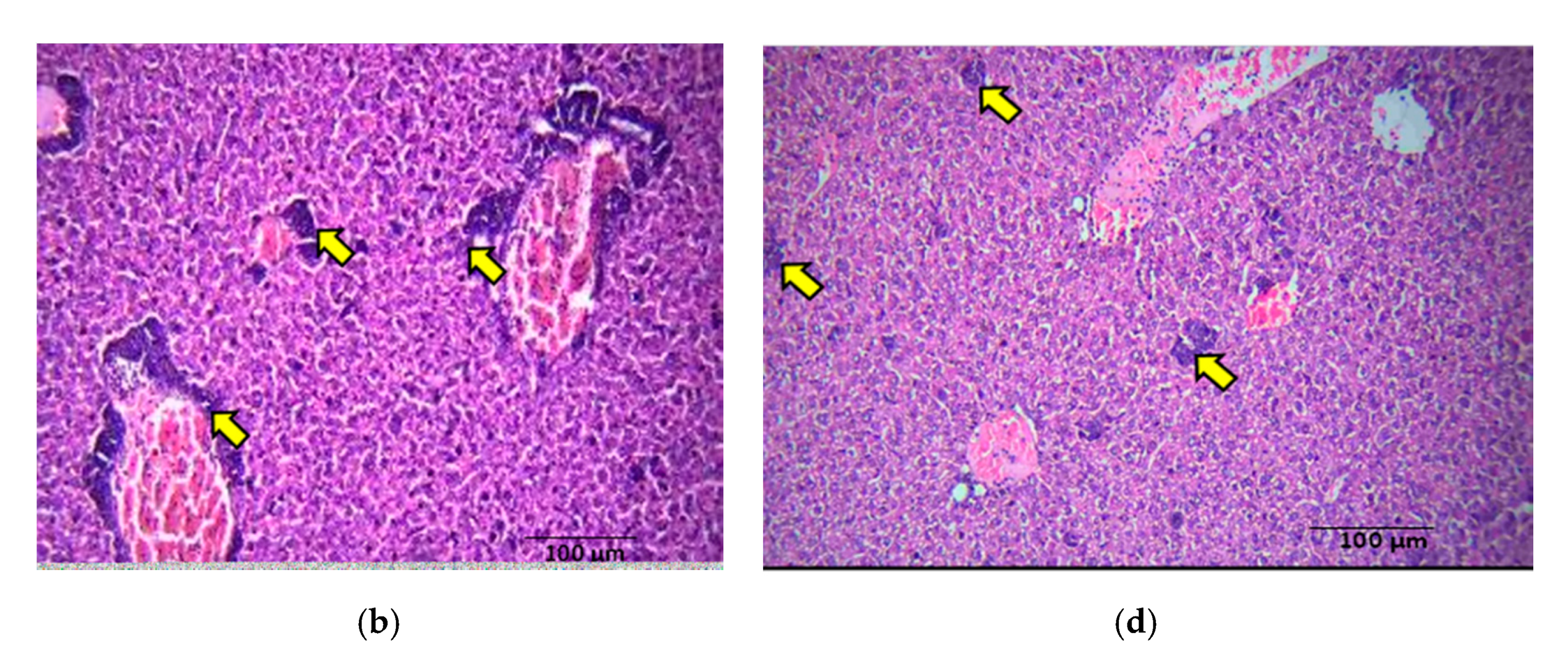
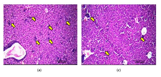
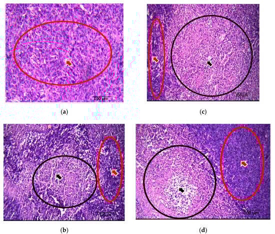
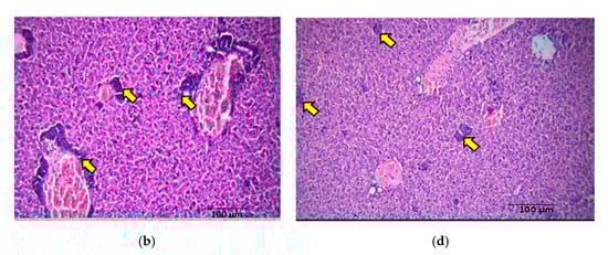
3.3. Histopathology
3.4. Gene Expression
4. Discussion
5. Conclusions
Supplementary Materials
Author Contributions
Funding
Institutional Review Board Statement
Acknowledgments
Conflicts of Interest
References
- World Health Organisation (WHO). Available online: https://www.who.int/cancer/prevention/diagnosis-screening/breast-cancer/en/ (accessed on 27 October 2020).
- Russnes, H.G.; Lingjaerde, O.C.; Borresen-Dale, A.L.; Caldas, C. Breast Cancer Molecular Stratification: From Intrinsic Subtypes to Integrative Clusters. Am. J. Pathol. 2017, 187, 2152–2162. [Google Scholar] [CrossRef]
- Haber, D. Prophylactic oophorectomy to reduce the risk of ovarian and breast cancer in carriers of BRCA mutations. N. Engl. J. Med. 2002, 346, 1660–1662. [Google Scholar] [CrossRef]
- Byrne, C.; Brinton, L.A.; Haile, R.W.; Schairer, C. Heterogeneity of the Effect of Family History on Breast Cancer Risk. Epidemiology 1991, 2, 276–284. [Google Scholar] [CrossRef]
- Carey, L.A. Through a Glass Darkly: Advances in Understanding Breast Cancer Biology, 2000–2010. Clin. Breast Cancer 2010, 10, 188–195. [Google Scholar] [CrossRef]
- Ruder, E.H.; Dorgan, J.F.; Kranz, S.; Kris-Etherton, P.M.; Hartman, T.J. Examining Breast Cancer Growth and Lifestyle Risk Factors: Early Life, Childhood, and Adolescence. Clin. Breast Cancer 2008, 8, 334–342. [Google Scholar] [CrossRef]
- Kingsley, L.A.; Fournier, P.G.; Chirgwin, J.M.; Guise, T.A. Molecular biology of bone metastasis. Mol. Cancer Ther. 2007, 6, 2609–2617. [Google Scholar] [CrossRef]
- Minn, A.J.; Gupta, G.P.; Siegel, P.M.; Bos, P.D.; Shu, W.; Giri, D.D.; Viale, A.; Olshen, A.B.; Gerald, W.L.; Massagué, J. Genes that mediate breast cancer metastasis to lung. Nat. Cell Biol. 2005, 436, 518–524. [Google Scholar] [CrossRef]
- Vlastos, G.; Smith, D.L.; Singletary, S.E.; Mirza, N.Q.; Tuttle, T.M.; Popat, R.J. Long-term survival after an aggressive surgical approach in patients with breast cancer hepatic metastases. Ann. Surg. Oncol. 2004, 11, 869–874. [Google Scholar] [CrossRef] [PubMed]
- Yau, T.; Swanton, C.; Chua, S.; Sue, A.; Walsh, G.; Rostom, A.; Johnston, S.R.; O’Brien, M.E.; Smith, I.E. Incidence, pattern and timing of brain metastases among patients with advanced breast cancer treated with trastuzumab. Acta. Oncol. 2006, 45, 196–201. [Google Scholar] [CrossRef] [PubMed]
- Weigelt, B.; Peterse, J.L.; van’t Veer, L.J. Breast cancer metastasis: Markers and models. Nat. Rev. Cancer 2005, 5, 591–602. [Google Scholar] [CrossRef] [PubMed]
- Steeg, P.S. Tumor metastasis: Mechanistic insights and clinical challenges. Nat. Med. 2006, 12, 895–904. [Google Scholar] [CrossRef]
- Li, D.-M.; Feng, Y.-M. Signaling mechanism of cell adhesion molecules in breast cancer metastasis: Potential therapeutic targets. Breast Cancer Res. Treat. 2011, 128, 7–21. [Google Scholar] [CrossRef]
- Hanahan, D.; Weinberg, R.A. Hallmarks of Cancer: The Next Generation. Cell 2011, 144, 646–674. [Google Scholar] [CrossRef]
- Gobert, M.; Treilleux, I.; Bendriss-Vermare, N.; Bachelot, T.; Goddard-Leon, S.; Arfi, V.; Biota, C.; Doffin, A.C.; Durand, I.; Olive, D.; et al. Regulatory T Cells Recruited through CCL22/CCR4 Are Selectively Activated in Lymphoid Infiltrates Surrounding Primary Breast Tumors and Lead to an Adverse Clinical Outcome. Cancer Res. 2009, 69, 2000–2009. [Google Scholar] [CrossRef]
- Ruffell, B.; DeNardo, D.G.; Affara, N.I.; Coussens, L.M. Lymphocytes in cancer development: Polarization towards pro-tumor immunity. Cytokine Growth Factor Rev. 2010, 21, 3–10. [Google Scholar] [CrossRef]
- Zamarron, B.; Chen, W. Dual Roles of Immune Cells and Their Factors in Cancer Development and Progression. Int. J. Biol. Sci. 2011, 7, 651–658. [Google Scholar] [CrossRef]
- Emens, L.A. Breast cancer immunobiology driving immunotherapy: Vaccines and immune checkpoint blockade. Expert Rev. Anticancer Ther. 2012, 12, 1597–1611. [Google Scholar] [CrossRef]
- Matsen, C.B.; Neumayer, L.A. Breast cancer: A review for the general surgeon. JAMA Surg. 2013, 148, 971–979. [Google Scholar] [CrossRef]
- Dhankhar, R.; Vyas, S.P.; Jain, A.; Arora, S.; Rath, G.; Goyal, A.K. Advances in Novel Drug Delivery Strategies for Breast Cancer Therapy. Artif. Cells Blood Substit. Biotechnol. 2010, 38, 230–249. [Google Scholar] [CrossRef]
- Early Breast Cancer Trialists’ Collaborative Group (EBCTCG); Peto, R.; Davies, C.; Godwin, J.; Gray, R.; Pan, H.C.; Clarke, M.; Cutter, D.; Darby, S.; McGale, P.; et al. Comparisons between different polychemotherapy regimens for early breast cancer: Meta-analyses of long-term outcome among 100,000 women in 123 randomised trials. Lancet 2012, 379, 432–444. [Google Scholar]
- Akram, M.; Siddiqui, S.A. Breast cancer management: Past, present and evolving. Indian J. Cancer 2012, 49, 277. [Google Scholar] [CrossRef]
- Lemieux, J.; Maunsell, E.; Provencher, L. Chemotherapy-induced alopecia and effects on quality of life among women with breast cancer: A literature review. Psychol. Oncol. 2008, 17, 317–328. [Google Scholar] [CrossRef]
- Meganathan, P.; Fu, J.-Y. Biological Properties of Tocotrienols: Evidence in Human Studies. Int. J. Mol. Sci. 2016, 17, 1682. [Google Scholar] [CrossRef] [PubMed]
- Wali, V.B.; Bachawal, S.V.; Sylvester, P.W. Endoplasmic reticulum stress mediates gamma-tocotrienol-induced apoptosis in mammary tumor cells. Apoptosis 2009, 14, 1366–1377. [Google Scholar] [CrossRef]
- Samant, G.V.; Wali, V.B.; Sylvester, P.W. Anti-proliferative effects of gamma-tocotrienol on mammary tumour cells are associated with suppression of cell cycle progression. Cell Prolif. 2010, 43, 77–83. [Google Scholar] [CrossRef] [PubMed]
- Elangovan, S.; Hsieh, T.-C.; Wu, J.M. Growth inhibition of human MDA-mB-231 breast cancer cells by delta-tocotrienol is associated with loss of cyclin D1/CDK4 expression and accompanying changes in the state of phosphorylation of the retinoblastoma tumor suppressor gene product. Anticancer. Res. 2008, 28, 2641–2647. [Google Scholar] [PubMed]
- Constantinou, C.; Papas, A.; Constantinou, A.I. Vitamin E and cancer: An insight into the anticancer activities of vitamin E isomers and analogs. Int. J. Cancer 2008, 123, 739–752. [Google Scholar] [CrossRef] [PubMed]
- Agarwal, M.K.; Agarwal, M.L.; Athar, M.; Gupta, S. Tocotrienol-rich fraction of palm oil activates p53, modulates Bax/Bcl2 ratio and induces apoptosis independent of cell cycle association. Cell Cycle 2004, 3, 205–211. [Google Scholar] [CrossRef]
- Belay, A. The Potential Application of Spirulina (Arthrospira) as a Nutritional and Therapeutic supplement in Health Management. J. Am. Nutraceutical Assoc. 2002, 5, 27–48. [Google Scholar]
- Chen, T.; Wong, Y.-S.; Zheng, W. WITHDRAWN: Induction of G1 cell cycle arrest and mitochondria-mediated apoptosis in MCF-7 human breast carcinoma cells by selenium-enriched Spirulina extract. Biomed. Pharmacother. 2009. [Google Scholar] [CrossRef]
- Hayashi, O.; Katoh, T.; Okuwaki, Y. Enhancement of Antibody Production in Mice by Dietary Spirulina platensis. J. Nutr. Sci. Vitaminol. 1994, 40, 431–441. [Google Scholar] [CrossRef]
- Qureshi, M.A.; Garlich, J.D.; Kidd, M.T. DietarySpirulina PlatensisEnhances Humoral and Cell-Mediated Immune Functions in Chickens. Immunopharmacol. Immunotoxicol. 1996, 18, 465–476. [Google Scholar] [CrossRef]
- Hirahashi, T.; Matsumoto, M.; Hazeki, K.; Saeki, Y.; Ui, M.; Seya, T. Activation of the human innate immune system by Spirulina: Augmentation of interferon production and NK cytotoxicity by oral administration of hot water extract of Spirulina platensis. Int. Immunopharmacol. 2002, 2, 423–434. [Google Scholar] [CrossRef]
- Selvaduray, K.R.; Radhakrishnan, A.K.; Kutty, M.K.; Nesaretnam, K. Palm Tocotrienols Inhibit Proliferation of Murine Mammary Cancer Cells and Induce Expression of Interleukin-24 mRNA. J. Interf. Cytokine Res. 2010, 30, 909–916. [Google Scholar] [CrossRef]
- Tomayko, M.M.; Reynolds, C.P. Determination of subcutaneous tumor size in athymic (nude) mice. Cancer Chemother. Pharm. 1989, 24, 148–154. [Google Scholar] [CrossRef]
- Desjardins, P.; Conklin, D. NanoDrop Microvolume Quantitation of Nucleic Acids. J. Vis. Exp. 2010, 45, e2565. [Google Scholar] [CrossRef] [PubMed]
- Hayashi, O.; Hirahashi, T.; Katoh, T.; Miyajima, H.; Hirano, T.; Okuwaki, Y. Class Specific Influence of Dietary Spirulina platensis on Antibody Production in Mice. J. Nutr. Sci. Vitaminol. 1998, 44, 841–851. [Google Scholar] [CrossRef][Green Version]
- Nesaretnam, K.; Ambra, R.; Selvaduray, K.R.; Radhakrishnan, A.; Reimann, K.; Razak, G.; Virgili, F. Tocotrienol-rich fraction from palm oil affects gene expression in tumors resulting from MCF-7 cell inoculation in athymic mice. Lipids 2004, 39, 459–467. [Google Scholar] [CrossRef]
- Mahalingam, D.; Radhakrishnan, A.K.; Amom, Z.; Ibrahim, N.; Nesaretnam, K. Effects of supplementation with tocotrienol-rich fraction on immune response to tetanus toxoid immunization in normal healthy volunteers. Eur. J. Clin. Nutr. 2010, 65, 63–69. [Google Scholar] [CrossRef] [PubMed]
- Lee, C.-Y.J.; Wan, J.M.-F. Vitamin E Supplementation Improves Cell-Mediated Immunity and Oxidative Stress of Asian Men and Women. J. Nutr. 2000, 130, 2932–2937. [Google Scholar] [CrossRef] [PubMed]
- Tanaka, H.; Yoshizawa, H.; Yamaguchi, Y.; Ito, K.; Kagamu, H.; Suzuki, E.; Gejyo, F.; Hamada, H.; Arakawa, M. Successful adoptive immunotherapy of murine poorly immunogenic tumor with specific effector cells generated from gene-modified tumor-primed lymph node cells. J. Immunol. 1999, 162, 3574–3582. [Google Scholar]
- Smyth, M.; Dunn, G.P.; Schreiber, R.D. Cancer Immunosurveillance and Immunoediting: The Roles of Immunity in Suppressing Tumor Development and Shaping Tumor Immunogenicity. Adv. Immunol. 2006, 90, 1–50. [Google Scholar] [CrossRef]
- Duan, S.; Thomas, P.G. Balancing Immune Protection and Immune Pathology by CD8(+) T-Cell Responses to Influenza Infection. Front Immunol. 2016, 7, 25. [Google Scholar] [CrossRef]
- Nishikawa, H.; Sakaguchi, S. Regulatory T cells in cancer immunotherapy. Curr. Opin. Immunol. 2014, 27, 1–7. [Google Scholar] [CrossRef]
- Curiel, T.J.; Coukos, G.; Zou, L.; Alvarez, X.; Cheng, P.; Mottram, P.; Evdemon-Hogan, M.; Conejo-Garcia, J.; Zhang, L.; Burow, M.; et al. Specific recruitment of regulatory T cells in ovarian carcinoma fosters immune privilege and predicts reduced survival. Nat. Med. 2004, 10, 942–949. [Google Scholar] [CrossRef]
- Bates, G.J.; Fox, S.B.; Han, C.; Leek, R.D.; Garcia, J.F.; Harris, A.; Banham, A.H. Quantification of Regulatory T Cells Enables the Identification of High-Risk Breast Cancer Patients and Those at Risk of Late Relapse. J. Clin. Oncol. 2006, 24, 5373–5380. [Google Scholar] [CrossRef] [PubMed]
- Petersen, R.P.; Campa, M.J.; Sperlazza, J.; Conlon, D.; Joshi, M.-B.; Harpole, D.H.; Patz, E.F. Tumor infiltrating Foxp3+ regulatory T-cells are associated with recurrence in pathologic stage I NSCLC patients. Cancer 2006, 107, 2866–2872. [Google Scholar] [CrossRef]
- Surh, C.D.; Sprent, J. Homeostasis of Naive and Memory T Cells. Immunity 2008, 29, 848–862. [Google Scholar] [CrossRef]
- Kittipatarin, C.; Khaled, A.R. Interlinking interleukin-7. Cytokine 2007, 39, 75–83. [Google Scholar] [CrossRef] [PubMed]
- Li, B.; Chu, X.; Gao, M.; Li, W. Apoptotic mechanism of MCF-7 breast cells in vivo and in vitro induced by photodynamic therapy with C-phycocyanin. Acta Biochim. Biophys. Sin. 2009, 42, 80–89. [Google Scholar] [CrossRef]
- Eynon, E.E.; Schlax, C.; Pieters, J. A Secreted Form of the Major Histocompatibility Complex Class II-associated Invariant Chain Inhibiting T Cell Activation. J. Biol. Chem. 1999, 274, 26266–26271. [Google Scholar] [CrossRef] [PubMed]
- Deblandre, G.A.; Marinx, O.P.; Evans, S.S.; Majjaj, S.; Leo, O.; Caput, D.; Huez, G.A.; Wathelet, M.G. Expression Cloning of an Interferon-inducible 17-kDa Membrane Protein Implicated in the Control of Cell Growth. J. Biol. Chem. 1995, 270, 23860–23866. [Google Scholar] [CrossRef]
- Durrant, L.G.; Spendlove, I. Immunization against tumor cell surface complement-regulatory proteins. Curr. Opin. Investig. Drugs Lond. Engl. 2000 2001, 7, 959–966. [Google Scholar]
- Wan, L.; Pantel, K.; Kang, Y. Tumor metastasis: Moving new biological insights into the clinic. Nat. Med. 2013, 19, 1450–1464. [Google Scholar] [CrossRef] [PubMed]
- Ravi, M.; Tentu, S.; Baskar, G.; Prasad, S.R.; Raghavan, S.; Jayaprakash, P.; Jeyakanthan, J.; Rayala, S.K.; Venkatraman, G. Molecular mechanism of anti-cancer activity of phycocyanin in triple-negative breast cancer cells. BMC Cancer 2015, 15, 1–13. [Google Scholar] [CrossRef] [PubMed]
- Selvaduray, K.R.; Radhakrishnan, A.K.; Kutty, M.K.; Nesaretnam, K. Palm tocotrienols decrease levels of pro-angiogenic markers in human umbilical vein endothelial cells (HUVEC) and murine mammary cancer cells. Genes Nutr. 2011, 7, 53–61. [Google Scholar] [CrossRef]
- Kunnumakkara, A.B.; Sung, B.; Ravindran, J.; Diagaradjane, P.; Deorukhkar, A.; Dey, S.; Koca, C.; Yadav, V.R.; Tong, Z.; Gelovani, J.G.; et al. γ-tocotrienol inhibits pancreatic tumors and sensitizes them to gemcitabine treatment by modulating the inflammatory microenvironment. Cancer Res. 2010, 70, 8695–8705. [Google Scholar] [CrossRef]
- Ouhtit, A.; Gaur, R.L.; Abdraboh, M.; Ireland, S.K.; Rao, P.N.; Raj, S.G.; Al-Riyami, H.; Shanmuganathan, S.; Gupta, I.; Murthy, S.N.; et al. Simultaneous Inhibition of Cell-Cycle, Proliferation, Survival, Metastatic Pathways and Induction of Apoptosis in Breast Cancer Cells by a Phytochemical Super-Cocktail: Genes That Underpin Its Mode of Action. J. Cancer 2013, 4, 703–715. [Google Scholar] [CrossRef] [PubMed]
- Li, F.; Ling, X. Survivin study: An update of “what is the next wave”? J. Cell Physiol. 2006, 208, 476–486. [Google Scholar] [CrossRef]
- Nesaretnam, K.; Meganathan, P.; Veerasenan, S.D.; Selvaduray, K.R. Tocotrienols and breast cancer: The evidence to date. Genes Nutr. 2011, 7, 3–9. [Google Scholar] [CrossRef]
- Zhang, Y.-W.; Staal, B.; Su, Y.; Swiatek, P.; Zhao, P.; Cao, B.; Resau, J.; Sigler, R.; Bronson, R.; Woude, G.F.V. Evidence that MIG-6 is a tumor-suppressor gene. Oncogene 2006, 26, 269–276. [Google Scholar] [CrossRef]
- Lee, S.W. H–cadherin, a novel cadherin with growth inhibitory functions and diminished expression in human breast cancer. Nat. Med. 1996, 2, 776–782. [Google Scholar] [CrossRef]
- Sohn, D.M.; Kim, S.Y.; Baek, M.J.; Lim, C.W.; Lee, M.H.; Cho, M.S.; Kim, T.Y. Expression of survivin and clinical correlation in patients with breast cancer. Biomed. Pharmacother. 2006, 60, 289–292. [Google Scholar] [CrossRef]
- Pennati, M.; Folini, M.; Zaffaroni, N. Targeting Survivin in Cancer Therapy: Preclinical Studies. Expert Opin. Ther. Targets 2008, 12, 463–476. [Google Scholar] [CrossRef]
- Itoh, T.; Hayashi, Y.; Kanamaru, T.; Morita, Y.; Suzuki, S.; Wang, W.; Zhou, L.; Rui, J.; Yamamoto, M.; Kuroda, Y.; et al. Clinical significance of urokinase-type plasminogen activator activity in hepatocellular carcinoma. J. Gastroenterol. Hepatol. 2000, 15, 422–430. [Google Scholar] [CrossRef]
- Duffy, M.J.; Maguire, T.M.; McDermott, E.W.; O’Higgins, N. Urokinase plasminogen activator: A prognostic marker in multiple types of cancer. J. Surg. Oncol. 1999, 71, 130–135. [Google Scholar] [CrossRef]
- Schmitt, M.; Harbeck, N.; Thomssen, C.; Wilhelm, O.; Magdolen, V.; Reuning, U.; Ulm, K.; Höfler, H.; Jänicke, F.; Graeff, H. Clinical Impact of the Plasminogen Activation System in Tumor Invasion and Metastasis: Prognostic Relevance and Target for Therapy. Thromb. Haemost. 1997, 78, 285–296. [Google Scholar] [CrossRef]
- Zheng, Q.; Tang, Z.-Y.; Xue, Q.; Shi, D.-R.; Song, H.-Y.; Tang, H.-B. Invasion and metastasis of hepatocellular carcinoma in relation to urokinase-type plasminogen activator, its receptor and inhibitor. J. Cancer Res. Clin. Oncol. 2000, 126, 641–646. [Google Scholar] [CrossRef]
- Anastasi, S.; Sala, G.; Huiping, C.; Caprini, E.; Russo, G.; Iacovelli, S.; Lucini, F.; Ingvarsson, S.; Segatto, O. Loss of RALT/MIG-6 expression in ERBB2-amplified breast carcinomas enhances ErbB-2 oncogenic potency and favors resistance to Herceptin. Oncogene 2005, 24, 4540–4548. [Google Scholar] [CrossRef]
- Amatschek, S.; Koenig, U.; Auer, H.; Steinlein, P.; Pacher, M.; Gruenfelder, A.; Dekan, G.; Vogl, S.; Kubista, E.; Heider, K.-H.; et al. Tissue-Wide Expression Profiling Using cDNA Subtraction and Microarrays to Identify Tumor-Specific Genes. Cancer Res. 2004, 64, 844–856. [Google Scholar] [CrossRef]
- Ferby, I.; Reschke, M.; Kudlacek, O.; Knyazev, P.; Pantè, G.; Amann, K.; Sommergruber, W.; Kraut, N.; Ullrich, A.; Fässler, R.; et al. Mig6 is a negative regulator of EGF receptor-mediated skin morphogenesis and tumor formation. Nat. Med. 2006, 12, 568–573. [Google Scholar] [CrossRef]
- Ramdas, P.; Rajihuzzaman, M.; Veerasenan, S.D.; Selvaduray, K.R.; Nesaretnam, K.; Radhakrishnan, A.K. Tocotrienol-treated MCF-7 human breast cancer cells show down-regulation of API5 and up-regulation of MIG6 genes. Cancer Genom.Proteom. 2011, 8, 19–31. [Google Scholar]
- Hebbard, L.W.; Garlatti, M.; Young, L.J.T.; Cardiff, R.D.; Oshima, R.G.; Ranscht, B. T-cadherin Supports Angiogenesis and Adiponectin Association with the Vasculature in a Mouse Mammary Tumor Model. Cancer Res. 2008, 68, 1407–1416. [Google Scholar] [CrossRef] [PubMed]
- Takeuchi, T.; Misaki, A.; Chen, B.-K.; Ohtsuki, Y. H-cadherin expression in breast cancer. Histopathology 1999, 35, 87–88. [Google Scholar] [CrossRef] [PubMed]







| Treatment Groups | Supplementation (50 µL/Day) | Number of Animals | Tumor Induction |
|---|---|---|---|
| Control | Vehicle (soy oil) | 6 | Yes |
| Spirulina alone | Spirulina (50 mg/kg body weight) | 6 | Yes |
| γT3 alone | γT3 (1 mg/day) | 6 | Yes |
| Spirulina + γT3 | Spirulina (50 mg/kg body weight) + γT3 (1 mg/day) | 6 | Yes |
| γT3: gamma-tocotrienol | |||
Publisher’s Note: MDPI stays neutral with regard to jurisdictional claims in published maps and institutional affiliations. |
© 2021 by the authors. Licensee MDPI, Basel, Switzerland. This article is an open access article distributed under the terms and conditions of the Creative Commons Attribution (CC BY) license (https://creativecommons.org/licenses/by/4.0/).
Share and Cite
Subramaiam, H.; Chu, W.-L.; Radhakrishnan, A.K.; Chakravarthi, S.; Selvaduray, K.R.; Kok, Y.-Y. Evaluating Anticancer and Immunomodulatory Effects of Spirulina (Arthrospira) platensis and Gamma-Tocotrienol Supplementation in a Syngeneic Mouse Model of Breast Cancer. Nutrients 2021, 13, 2320. https://doi.org/10.3390/nu13072320
Subramaiam H, Chu W-L, Radhakrishnan AK, Chakravarthi S, Selvaduray KR, Kok Y-Y. Evaluating Anticancer and Immunomodulatory Effects of Spirulina (Arthrospira) platensis and Gamma-Tocotrienol Supplementation in a Syngeneic Mouse Model of Breast Cancer. Nutrients. 2021; 13(7):2320. https://doi.org/10.3390/nu13072320
Chicago/Turabian StyleSubramaiam, Hemavathy, Wan-Loy Chu, Ammu Kutty Radhakrishnan, Srikumar Chakravarthi, Kanga Rani Selvaduray, and Yih-Yih Kok. 2021. "Evaluating Anticancer and Immunomodulatory Effects of Spirulina (Arthrospira) platensis and Gamma-Tocotrienol Supplementation in a Syngeneic Mouse Model of Breast Cancer" Nutrients 13, no. 7: 2320. https://doi.org/10.3390/nu13072320
APA StyleSubramaiam, H., Chu, W.-L., Radhakrishnan, A. K., Chakravarthi, S., Selvaduray, K. R., & Kok, Y.-Y. (2021). Evaluating Anticancer and Immunomodulatory Effects of Spirulina (Arthrospira) platensis and Gamma-Tocotrienol Supplementation in a Syngeneic Mouse Model of Breast Cancer. Nutrients, 13(7), 2320. https://doi.org/10.3390/nu13072320

