Gender- and Age-Related Changes in Trunk Muscle Composition Using Chemical Shift Encoding-Based Water–Fat MRI
Abstract
1. Introduction
2. Materials and Methods
2.1. Subjects
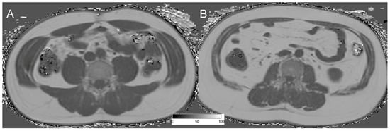
2.2. MR Imaging (T2 mDixon Quant)
2.3. PDFF Mapping
2.4. PDFF and CSA Calculation
2.5. BMI Calculation
2.6. Statistical Analysis
3. Results
3.1. Study Population
3.2. PDFF and CSA Measurements
3.3. Correlations between Muscle PDFF, BMI, and Age
4. Discussion
5. Conclusions
Author Contributions
Funding
Conflicts of Interest
References
- Popkin, B.M.; Hawkes, C. Sweetening of the global diet, particularly beverages: Patterns, trends, and policy responses. Lancet Diabetes Endocrinol. 2016, 4, 174–186. [Google Scholar] [CrossRef]
- Heymsfield, S.B.; Wadden, T.A. Mechanisms, Pathophysiology, and Management of Obesity. N. Engl. J. Med. 2017, 376, 254–266. [Google Scholar] [CrossRef] [PubMed]
- Wadden, T.A.; Sarwer, D.B. Behavioral assessment of candidates for bariatric surgery: A patient-oriented approach. Obesity (Silver Spring) 2006, 14 (Suppl. 2), 53S–62S. [Google Scholar] [CrossRef]
- Kaur, J. A comprehensive review on metabolic syndrome. Cardiol. Res. Pract. 2014, 2014, 943162. [Google Scholar] [CrossRef] [PubMed]
- Stecker, T.; Sparks, S. Prevalence of obese patients in a primary care setting. Obesity (Silver Spring) 2006, 14, 373–376. [Google Scholar] [CrossRef] [PubMed]
- Berkowitz, R.I.; Fabricatore, A.N. Obesity, psychiatric status, and psychiatric medications. Psychiatr. Clin. N. Am. 2011, 34, 747–764. [Google Scholar] [CrossRef] [PubMed]
- Heymsfield, S.B.; Gonzalez, M.C.; Shen, W.; Redman, L.; Thomas, D. Weight loss composition is one-fourth fat-free mass: A critical review and critique of this widely cited rule. Obes. Rev. 2014, 15, 310–321. [Google Scholar] [CrossRef] [PubMed]
- Shen, W.; Wang, Z.; Punyanita, M.; Lei, J.; Sinav, A.; Kral, J.G.; Imielinska, C.; Ross, R.; Heymsfield, S.B. Adipose tissue quantification by imaging methods: A proposed classification. Obes. Res. 2003, 11, 5–16. [Google Scholar] [CrossRef] [PubMed]
- Baum, T.; Cordes, C.; Dieckmeyer, M.; Ruschke, S.; Franz, D.; Hauner, H.; Kirschke, J.S.; Karampinos, D.C. MR-based assessment of body fat distribution and characteristics. Eur. J. Radiol. 2016, 85, 1512–1518. [Google Scholar] [CrossRef] [PubMed]
- Karampinos, D.C.; Baum, T.; Nardo, L.; Alizai, H.; Yu, H.; Carballido-Gamio, J.; Yap, S.P.; Shimakawa, A.; Link, T.M.; Majumdar, S. Characterization of the regional distribution of skeletal muscle adipose tissue in type 2 diabetes using chemical shift-based water/fat separation. J. Magn. Reson. Imaging 2012, 35, 899–907. [Google Scholar] [CrossRef] [PubMed]
- Therkelsen, K.E.; Pedley, A.; Speliotes, E.K.; Massaro, J.M.; Murabito, J.; Hoffmann, U.; Fox, C.S. Intramuscular fat and associations with metabolic risk factors in the Framingham Heart Study. Arterioscler. Thromb. Vasc. Biol. 2013, 33, 863–870. [Google Scholar] [CrossRef]
- Teichtahl, A.J.; Urquhart, D.M.; Wang, Y.; Wluka, A.E.; Wijethilake, P.; O’Sullivan, R.; Cicuttini, F.M. Fat infiltration of paraspinal muscles is associated with low back pain, disability, and structural abnormalities in community-based adults. Spine J. 2015, 15, 1593–1601. [Google Scholar] [CrossRef] [PubMed]
- van Hees, A.M.; Jans, A.; Hul, G.B.; Roche, H.M.; Saris, W.H.; Blaak, E.E. Skeletal muscle fatty acid handling in insulin resistant men. Obesity (Silver Spring) 2011, 19, 1350–1359. [Google Scholar] [CrossRef] [PubMed]
- Wang, H.; Chen, Y.E.; Eitzman, D.T. Imaging body fat: Techniques and cardiometabolic implications. Arterioscler. Thromb. Vasc. Biol. 2014, 34, 2217–2223. [Google Scholar] [CrossRef] [PubMed]
- Filippin, L.I.; Teixeira, V.N.; da Silva, M.P.; Miraglia, F.; da Silva, F.S. Sarcopenia: A predictor of mortality and the need for early diagnosis and intervention. Aging Clin. Exp. Res. 2015, 27, 249–254. [Google Scholar] [CrossRef] [PubMed]
- Dahlqvist, J.R.; Vissing, C.R.; Hedermann, G.; Thomsen, C.; Vissing, J. Fat Replacement of Paraspinal Muscles with Aging in Healthy Adults. Med. Sci. Sports Exerc. 2017, 49, 595–601. [Google Scholar] [CrossRef]
- Heymsfield, S.B.; Smith, R.; Aulet, M.; Bensen, B.; Lichtman, S.; Wang, J.; Pierson, R.N., Jr. Appendicular skeletal muscle mass: Measurement by dual-photon absorptiometry. Am. J. Clin. Nutr. 1990, 52, 214–218. [Google Scholar] [CrossRef]
- Addison, O.; Marcus, R.L.; Lastayo, P.C.; Ryan, A.S. Intermuscular fat: A review of the consequences and causes. Int. J. Endocrinol. 2014, 2014, 309570. [Google Scholar] [CrossRef]
- Baum, T.; Rohrmeier, A.; Syvari, J.; Diefenbach, M.N.; Franz, D.; Dieckmeyer, M.; Scharr, A.; Hauner, H.; Ruschke, S.; Kirschke, J.S.; et al. Anatomical Variation of Age-Related Changes in Vertebral Bone Marrow Composition Using Chemical Shift Encoding-Based Water-Fat Magnetic Resonance Imaging. Front. Endocrinol. (Lausanne) 2018, 9, 141. [Google Scholar] [CrossRef]
- Karampinos, D.C.; Ruschke, S.; Dieckmeyer, M.; Diefenbach, M.; Franz, D.; Gersing, A.S.; Krug, R.; Baum, T. Quantitative MRI and spectroscopy of bone marrow. J. Magn. Reson. Imaging 2018, 47, 332–353. [Google Scholar] [CrossRef]
- Reeder, S.B.; Hu, H.H.; Sirlin, C.B. Proton density fat-fraction: A standardized MR-based biomarker of tissue fat concentration. J. Magn. Reson. Imaging 2012, 36, 1011–1014. [Google Scholar] [CrossRef] [PubMed]
- Hu, H.H.; Kan, H.E. Quantitative proton MR techniques for measuring fat. NMR Biomed. 2013, 26, 1609–1629. [Google Scholar] [CrossRef] [PubMed]
- Fischer, M.A.; Nanz, D.; Shimakawa, A.; Schirmer, T.; Guggenberger, R.; Chhabra, A.; Carrino, J.A.; Andreisek, G. Quantification of muscle fat in patients with low back pain: Comparison of multi-echo MR imaging with single-voxel MR spectroscopy. Radiology 2013, 266, 555–563. [Google Scholar] [CrossRef] [PubMed]
- Schlaeger, S.; Inhuber, S.; Rohrmeier, A.; Dieckmeyer, M.; Freitag, F.; Klupp, E.; Weidlich, D.; Feuerriegel, G.; Kreuzpointner, F.; Schwirtz, A.; et al. Association of paraspinal muscle water-fat MRI-based measurements with isometric strength measurements. Eur. Radiol. 2018. [Google Scholar] [CrossRef] [PubMed]
- Kitessa, S.M.; Abeywardena, M.Y. Lipid-Induced Insulin Resistance in Skeletal Muscle: The Chase for the Culprit Goes from Total Intramuscular Fat to Lipid Intermediates, and Finally to Species of Lipid Intermediates. Nutrients 2016, 8, 466. [Google Scholar] [CrossRef] [PubMed]
- Heymsfield, S.B.; Gonzalez, M.C.; Lu, J.; Jia, G.; Zheng, J. Skeletal muscle mass and quality: Evolution of modern measurement concepts in the context of sarcopenia. Proc. Nutr. Soc. 2015, 74, 355–366. [Google Scholar] [CrossRef]
- Drabsch, T.; Holzapfel, C.; Stecher, L.; Petzold, J.; Skurk, T.; Hauner, H. Associations Between C-Reactive Protein, Insulin Sensitivity, and Resting Metabolic Rate in Adults: A Mediator Analysis. Front. Endocrinol. (Lausanne) 2018, 9, 556. [Google Scholar] [CrossRef]
- Lollert, A.; Stihl, C.; Hotker, A.M.; Mengel, E.; Konig, J.; Laudemann, K.; Gokce, S.; Duber, C.; Staatz, G. Quantification of intramuscular fat in patients with late-onset Pompe disease by conventional magnetic resonance imaging for the long-term follow-up of enzyme replacement therapy. PLoS ONE 2018, 13, e0190784. [Google Scholar] [CrossRef]
- Janssen, B.H.; Voet, N.B.; Nabuurs, C.I.; Kan, H.E.; de Rooy, J.W.; Geurts, A.C.; Padberg, G.W.; van Engelen, B.G.; Heerschap, A. Distinct disease phases in muscles of facioscapulohumeral dystrophy patients identified by MR detected fat infiltration. PLoS ONE 2014, 9, e85416. [Google Scholar] [CrossRef]
- Almurdhi, M.M.; Reeves, N.D.; Bowling, F.L.; Boulton, A.J.; Jeziorska, M.; Malik, R.A. Reduced Lower-Limb Muscle Strength and Volume in Patients With Type 2 Diabetes in Relation to Neuropathy, Intramuscular Fat, and Vitamin D Levels. Diabetes Care 2016, 39, 441–447. [Google Scholar] [CrossRef]
- Moller, J.B.; Pedersen, M.; Tanaka, H.; Ohsugi, M.; Overgaard, R.V.; Lynge, J.; Almind, K.; Vasconcelos, N.M.; Poulsen, P.; Keller, C.; et al. Body composition is the main determinant for the difference in type 2 diabetes pathophysiology between Japanese and Caucasians. Diabetes Care 2014, 37, 796–804. [Google Scholar] [CrossRef] [PubMed]
- Hwang, Y.C.; Hayashi, T.; Fujimoto, W.Y.; Kahn, S.E.; Leonetti, D.L.; McNeely, M.J.; Boyko, E.J. Visceral abdominal fat accumulation predicts the conversion of metabolically healthy obese subjects to an unhealthy phenotype. Int. J. Obes. (Lond.) 2015, 39, 1365–1370. [Google Scholar] [CrossRef] [PubMed]
- Kapinos, K.A.; Fischer, S.H.; Mulcahy, A.; Hayden, O.; Barron, R. Medical Costs for Osteoporosis-Related Fractures in High-Risk Medicare Beneficiaries. J. Am. Geriatr. Soc. 2018, 66, 2298–2304. [Google Scholar] [CrossRef] [PubMed]
- Yoshizawa, T.; Nishino, T.; Okubo, I.; Yamazaki, M. Cost-effectiveness analysis of drugs for osteoporosis treatment in elderly Japanese women at high risk of fragility fractures: Comparison of denosumab and weekly alendronate. Arch. Osteoporos. 2018, 13, 94. [Google Scholar] [CrossRef] [PubMed]
- Schwartz, A.V.; Sigurdsson, S.; Hue, T.F.; Lang, T.F.; Harris, T.B.; Rosen, C.J.; Vittinghoff, E.; Siggeirsdottir, K.; Sigurdsson, G.; Oskarsdottir, D.; et al. Vertebral bone marrow fat associated with lower trabecular BMD and prevalent vertebral fracture in older adults. J. Clin. Endocrinol. Metab. 2013, 98, 2294–2300. [Google Scholar] [CrossRef]
- Kirchhoff, K.; Kantartzis, K.; Machann, J.; Schick, F.; Thamer, C.; Machicao, F.; Fritsche, A.; Haring, H.U.; Stefan, N. Impact of different fat depots on insulin sensitivity: Predominant role of liver fat. J. Diabetes Sci. Technol. 2007, 1, 753–759. [Google Scholar] [CrossRef]
- Tsai, H.L.; Deng, W.P.; Lai, W.F.; Chiu, W.T.; Yang, C.B.; Tsai, Y.H.; Hwang, S.M.; Renshaw, P.F. Wnts enhance neurotrophin-induced neuronal differentiation in adult bone-marrow-derived mesenchymal stem cells via canonical and noncanonical signaling pathways. PLoS ONE 2014, 9, e104937. [Google Scholar] [CrossRef]
- Thomas, E.L.; Parkinson, J.R.; Frost, G.S.; Goldstone, A.P.; Dore, C.J.; McCarthy, J.P.; Collins, A.L.; Fitzpatrick, J.A.; Durighel, G.; Taylor-Robinson, S.D.; et al. The missing risk: MRI and MRS phenotyping of abdominal adiposity and ectopic fat. Obesity (Silver Spring) 2012, 20, 76–87. [Google Scholar] [CrossRef]
- Franz, D.; Weidlich, D.; Freitag, F.; Holzapfel, C.; Drabsch, T.; Baum, T.; Eggers, H.; Witte, A.; Rummeny, E.J.; Hauner, H.; et al. Association of proton density fat fraction in adipose tissue with imaging-based and anthropometric obesity markers in adults. Int. J. Obes. (Lond.) 2018, 42, 175–182. [Google Scholar] [CrossRef]





| Subjects | n | Mean | SD | p | |
|---|---|---|---|---|---|
| age | men | 26 | 38.85 | 10.38 | 0.665 |
| (years) | women | 53 | 39.51 | 15.03 | |
| BMI | men | 20 | 26.37 | 5.30 | 0.455 |
| (kg/m2) | women | 48 | 25.67 | 5.46 | |
| PDFFabdominal muscles | men | 26 | 6.16 | 8.26 | 0.262 |
| (%) | women | 53 | 6.96 | 6.52 | |
| CSAabdominal muscles | men | 26 | 43.83 | 9.87 | <0.0001 |
| (a.u.) | women | 53 | 27.78 | 6.56 | |
| PDFFpsoas muscle | men | 26 | 4.45 | 2.76 | 0.650 |
| (%) | women | 53 | 3.93 | 1.79 | |
| CSApsoas muscle | men | 26 | 17.88 | 4.11 | <0.0001 |
| (a.u.) | women | 53 | 10.81 | 2.48 | |
| PDFFerector spinae | men | 26 | 7.99 | 6.36 | 0.011 |
| (%) | women | 53 | 14.87 | 31.74 | |
| CSAerector spinae | men | 26 | 37.40 | 6.77 | <0.0001 |
| (a.u.) | women | 53 | 25.02 | 4.74 |
| Age | BMI | PDFFabdominal muscles | PDFFpsoas muscle | PDFFerector spinae | ||
|---|---|---|---|---|---|---|
| age | Spearman’s rho | 1 | 0.638 | |||
| (years) | p | - | n.s. | 0.0001 | n.s. | n.s. |
| BMI | Spearman’s rho | 1 | 0.510 | |||
| (kg/m2) | p | n.s. | - | 0.022 | n.s. | n.s. |
| PDFFabdominal muscles | Spearman’s rho | 0.638 | 0.510 | 1 | 0.543 | 0.395 |
| (%) | p | 0.0001 | 0.022 | - | 0.004 | 0.046 |
| PDFFpsoas muscle | Spearman’s rho | 0.543 | 1 | 0.506 | ||
| (%) | p | n.s. | n.s. | 0.004 | - | 0.008 |
| PDFFerector spinae | Spearman’s rho | 0.395 | 0.506 | 1 | ||
| (%) | p | n.s. | n.s. | 0.046 | 0.008 | - |
| Age | BMI | PDFFabdominal muscles | PDFFpsoas muscle | PDFFerector spinae | ||
|---|---|---|---|---|---|---|
| age | Spearman’s rho | 1 | 0.324 | 0.709 | 0.674 | |
| (years) | p | - | 0.025 | 0.0001 | n.s. | 0.0001 |
| BMI | Spearman’s rho | 0.324 | 1 | 0.512 | 0.340 | |
| (kg/m2) | p | 0.025 | - | 0.0001 | n.s. | 0.018 |
| PDFFabdominal muscles | Spearman’s rho | 0.709 | 0.512 | 1 | 0.653 | |
| (%) | p | 0.0001 | 0.001 | - | n.s. | 0.0001 |
| PDFFpsoas muscle | Spearman’s rho | 1 | ||||
| (%) | p | n.s. | n.s. | n.s. | - | n.s. |
| PDFFerector spinae | Spearman’s rho | 0.674 | 0.340 | 0.653 | 1 | |
| (%) | p | 0.0001 | 0.018 | 0.0001 | n.s. | - |
| Age | BMI | CSAabdominal muscles | CSApsoas muscle | CSAerector spinae | ||
|---|---|---|---|---|---|---|
| age | Spearman’s rho | 1 | ||||
| (years) | p | - | n.s. | n.s. | n.s. | n.s. |
| BMI | Spearman’s rho | 1 | 0.599 | |||
| (kg/m2) | p | n.s. | - | n.s. | n.s. | 0.005 |
| CSAabdominal muscles | Spearman’s rho | 1 | ||||
| (a.u.) | p | n.s. | n.s. | - | n.s. | n.s. |
| CSApsoas muscle | Spearman’s rho | 1 | ||||
| (a.u.) | p | n.s. | n.s. | n.s. | - | n.s. |
| CSAerector spinae | Spearman’s rho | 0.599 | 1 | |||
| (a.u.) | p | n.s. | 0.005 | n.s. | n.s. | - |
| Age | BMI | CSAabdominal muscles | CSApsoas muscle | CSAerector spinae | ||
|---|---|---|---|---|---|---|
| age | Spearman’s rho | 1 | 0.324 | |||
| (years) | p | - | 0.025 | n.s. | n.s. | n.s. |
| BMI | Spearman’s rho | 0.324 | 1 | |||
| (kg/m2) | p | 0.025 | - | n.s. | n.s. | n.s. |
| CSAabdominal muscles | Spearman’s rho | 1 | 0.558 | 0.424 | ||
| (a.u.) | p | n.s. | n.s. | - | 0.0001 | 0.002 |
| CSApsoas muscle | Spearman’s rho | 0.558 | 1 | |||
| (a.u.) | p | n.s. | n.s. | 0.0001 | - | n.s. |
| CSAerector spinae | Spearman’s rho | 0.424 | 1 | |||
| (a.u.) | p | n.s. | n.s. | 0.002 | n.s. | - |
| BMI | PDFFabdominal muscles | PDFFpsoas muscle | PDFFerector spinae | ||
|---|---|---|---|---|---|
| BMI | r | 1 | 0.555 | ||
| (kg/m2) | p | - | 0.014 | n.s. | n.s. |
| PDFFabdominal muscles | r | 0.510 | 1 | 0.618 | 0.555 |
| (%) | p | 0.022 | - | 0.005 | 0.014 |
| PDFFpsoas muscle | r | 0.618 | 1 | 0.620 | |
| (%) | p | n.s. | 0.005 | - | 0.005 |
| PDFFerector spinae | r | 0.464 | 0.620 | 1 | |
| (%) | p | n.s. | 0.045 | 0.005 | - |
| BMI | PDFFabdominal muscles | PDFFpsoas muscle | PDFFerector spinae | ||
|---|---|---|---|---|---|
| BMI | r | 1 | 0.308 | ||
| (kg/m2) | p | - | 0.014 | n.s. | n.s. |
| PDFFabdominal muscles | r | 0.308 | 1 | ||
| (%) | p | 0.014 | - | n.s. | n.s. |
| PDFFpsoas muscle | r | 1 | |||
| (%) | p | n.s. | n.s | - | n.s. |
| PDFFerector spinae | r | 1 | |||
| (%) | p | n.s. | n.s. | n.s. | - |
| Age | PDFFabdominal muscles | PDFFpsoas muscle | PDFFerector spinae | ||
|---|---|---|---|---|---|
| age | r | 1 | 0.631 | ||
| (kg/m2) | p | - | <0.0001 | n.s. | n.s. |
| PDFFabdominal muscles | r | 0.631 | 1 | 0.293 | |
| (%) | p | <0.0001 | - | 0.046 | n.s. |
| PDFFpsoas muscle | r | 0.293 | 1 | 0.538 | |
| (%) | p | n.s. | 0.046 | - | 0.017 |
| PDFFerector spinae | r | 1 | |||
| (%) | p | n.s. | n.s. | n.s. | - |
© 2018 by the authors. Licensee MDPI, Basel, Switzerland. This article is an open access article distributed under the terms and conditions of the Creative Commons Attribution (CC BY) license (http://creativecommons.org/licenses/by/4.0/).
Share and Cite
Burian, E.; Syväri, J.; Holzapfel, C.; Drabsch, T.; Kirschke, J.S.; Rummeny, E.J.; Zimmer, C.; Hauner, H.; Karampinos, D.C.; Baum, T.; et al. Gender- and Age-Related Changes in Trunk Muscle Composition Using Chemical Shift Encoding-Based Water–Fat MRI. Nutrients 2018, 10, 1972. https://doi.org/10.3390/nu10121972
Burian E, Syväri J, Holzapfel C, Drabsch T, Kirschke JS, Rummeny EJ, Zimmer C, Hauner H, Karampinos DC, Baum T, et al. Gender- and Age-Related Changes in Trunk Muscle Composition Using Chemical Shift Encoding-Based Water–Fat MRI. Nutrients. 2018; 10(12):1972. https://doi.org/10.3390/nu10121972
Chicago/Turabian StyleBurian, Egon, Jan Syväri, Christina Holzapfel, Theresa Drabsch, Jan S. Kirschke, Ernst J. Rummeny, Claus Zimmer, Hans Hauner, Dimitrios C. Karampinos, Thomas Baum, and et al. 2018. "Gender- and Age-Related Changes in Trunk Muscle Composition Using Chemical Shift Encoding-Based Water–Fat MRI" Nutrients 10, no. 12: 1972. https://doi.org/10.3390/nu10121972
APA StyleBurian, E., Syväri, J., Holzapfel, C., Drabsch, T., Kirschke, J. S., Rummeny, E. J., Zimmer, C., Hauner, H., Karampinos, D. C., Baum, T., & Franz, D. (2018). Gender- and Age-Related Changes in Trunk Muscle Composition Using Chemical Shift Encoding-Based Water–Fat MRI. Nutrients, 10(12), 1972. https://doi.org/10.3390/nu10121972

