A Case of B-Cell Lymphoblastic Lymphoma Presenting with an Isolated Epidural Mass Treated Successfully with Radiotherapy Followed by United Kingdom Acute Lymphoblastic Leukemia (UKALL) Chemotherapy Protocol
Abstract
1. Introduction
2. Methods
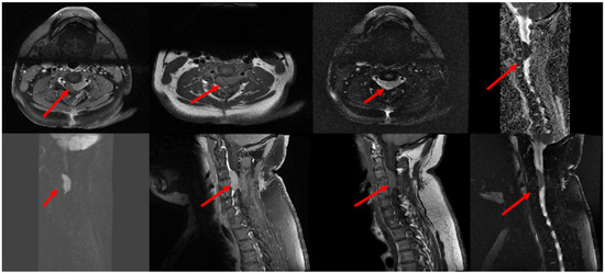
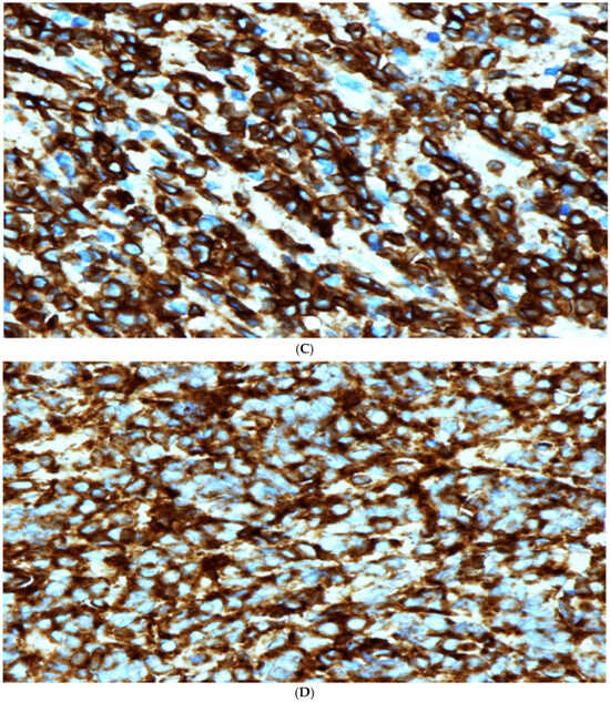
3. Case Description
4. Discussion
5. Conclusions and Future Directions
Funding
Institutional Review Board Statement
Informed Consent Statement
Data Availability Statement
Acknowledgments
Conflicts of Interest
References
- Alaggio, R.; Amador, C.; Anagnostopoulos, I.; Attygalle, A.D.; Araujo, I.B.O.; Berti, E.; Bhagat, G.; Borges, A.M.; Boyer, D.; Calaminici, M.; et al. The 5th edition of the World Health Organization Classification of Haematolymphoid Tumours: Lymphoid Neoplasms. Leukemia 2022, 36, 1720–1748. [Google Scholar] [CrossRef] [PubMed] [PubMed Central]
- Minard-Colin, V.; Brugières, L.; Reiter, A.; Cairo, M.S.; Gross, T.G.; Woessmann, W.; Burkhardt, B.; Sandlund, J.T.; Williams, D.; Pillon, M.; et al. Non-Hodgkin Lymphoma in Children and Adolescents: Progress Through Effective Collaboration, Current Knowledge, and Challenges Ahead. J. Clin. Oncol. 2015, 33, 2963–2974. [Google Scholar] [CrossRef] [PubMed] [PubMed Central]
- Bassan, R.; Maino, E.; Cortelazzo, S. Lymphoblastic lymphoma: An updated review on biology, diagnosis, and treatment. Eur. J. Haematol. 2016, 96, 447–460. [Google Scholar] [CrossRef] [PubMed]
- Lin, P.; Jones, D.; Dorfman, D.M.; Medeiros, L.J. Precursor B-cell lymphoblastic lymphoma: A predominantly extranodal tumor with low propensity for leukemic involvement. Am. J. Surg. Pathol. 2000, 24, 1480–1490. [Google Scholar] [CrossRef] [PubMed]
- Lee, W.J.; Moon, H.R.; Won, C.H.; Chang, S.E.; Choi, J.H.; Moon, K.C.; Lee, M.W. Precursor B- or T-lymphoblastic lymphoma presenting with cutaneous involvement: A series of 13 cases including 7 cases of cutaneous T-lymphoblastic lymphoma. J. Am. Acad. Dermatol. 2014, 70, 318–325. [Google Scholar] [CrossRef] [PubMed]
- Meyer, J.A.; Zhou, D.; Mason, C.C.; Downie, J.M.; Rodic, V.; Abromowitch, M.; Wistinghausen, B.; Termuhlen, A.M.; Angiolillo, A.L.; Perkins, S.L.; et al. Genomic characterization of pediatric B-lymphoblastic lymphoma and B-lymphoblastic leukemia using formalin-fixed tissues. Pediatr. Blood Cancer 2017, 64, e26363. [Google Scholar] [CrossRef] [PubMed]
- Sant, M.; Minicozzi, P.; Mounier, M.; Anderson, L.A.; Brenner, H.; Holleczek, B.; Marcos-Gragera, R.; Maynadié, M.; Monnereau, A.; Osca-Gelis, G.; et al. Survival for haematological malignancies in Europe between 1997 and 2008 by region and age: Results of EUROCARE-5, a population-based study. Lancet Oncol. 2014, 15, 931–942. [Google Scholar] [CrossRef] [PubMed]
- Cortelazzo, S.; Ferreri, A.; Hoelzer, D.; Ponzoni, M. Lymphoblastic lymphoma. Crit. Rev. Oncol. Hematol. 2017, 113, 304–317. [Google Scholar] [CrossRef] [PubMed]
- Marks, D.I.; Kirkwood, A.A.; Rowntree, C.J.; Aguiar, M.; Bailey, K.E.; Beaton, B.; Cahalin, P.; Castleton, A.Z.; Clifton-Hadley, L.; Copland, M.; et al. Addition of four doses of rituximab to standard induction chemotherapy in adult patients with precursor B-cell acute lymphoblastic leukaemia (UKALL14): A phase 3, multicentre, randomised controlled trial. Lancet Haematol. 2022, 9, e262–e275. [Google Scholar] [CrossRef] [PubMed] [PubMed Central]
- Cook, G.; Smith, G.M.; Kirkland, K.; Lee, J.; Pearce, R.; Thomson, K.; Morris, E.; Orchard, K.; Rule, S.; Russell, N.; et al. Outcome following Reduced-Intensity Allogeneic Stem Cell Transplantation (RIC AlloSCT) for relapsed and refractory mantle cell lymphoma (MCL): A study of the British Society for Blood and Marrow Transplantation. Biol. Blood Marrow Transplant. 2010, 16, 1419–1427. [Google Scholar] [CrossRef] [PubMed][Green Version]
- Symeonidis, N.G.; Stavrati, K.E.; Pavlidis, E.T.; Psarras, K.K.; Martzivanou, E.; Kofinas, A.; Pavlidis, T.E. B-Lymphoblastic Lymphoma of the Small Bowel: An Extremely Rare Occurrence. Am. Surg. 2023, 89, 1280–1282. [Google Scholar] [CrossRef] [PubMed]
- Töret, E.; Özdemir, Z.C.; Tekin, E.; Aksakal, B.N.; Ak-Sivrikoz, İ.; Bör, Ö. Primary Hepatic Precursor B Lymphoblastic Lymphoma in a Toddler. Turk. Arch. Pediatr. 2023, 58, 451–453. [Google Scholar] [CrossRef] [PubMed] [PubMed Central]
- Rajakumar, V.; Balaraman, V.; Balasubramaniam, R.; Shankar, S.; Ganesan, T.S.; Kurien, A.A. Lymphoblastic lymphoma presenting as bilateral renal enlargement diagnosed by percutaneous kidney biopsy: Report of three cases. Indian J. Nephrol. 2016, 26, 298–301. [Google Scholar] [CrossRef] [PubMed] [PubMed Central]
- Daccache, A.; Feghali, E.; Chedid, K.; Saad, K.; Staddon, J. B-Lymphoblastic Lymphoma Isolated to the Testes: A Case Report and Review of Literature. Cureus 2023, 15, e51284. [Google Scholar] [CrossRef] [PubMed] [PubMed Central]
- Unnikrishnan, P.; Narayanan, G.; Kumar, B.S.; Devi, N. B-lymphoblastic lymphoma of the rectum. In Baylor University Medical Center Proceedings; Taylor & Francis: Abingdon, UK, 2017; Volume 30, pp. 336–337. [Google Scholar] [CrossRef] [PubMed] [PubMed Central][Green Version]
- Nambiar, R.K.; Nair, S.G.; Prabhakaran, P.K.; Mathew, S.P. Primary spinal epidural B-lymphoblastic lymphoma. In Baylor University Medical Center Proceedings; Taylor & Francis: Abingdon, UK, 2017; Volume 30, pp. 66–68. [Google Scholar] [CrossRef] [PubMed] [PubMed Central][Green Version]
- Vijayasekharan, K.; Kc, A.; Prasad, M.; Dhamne, C.; Roy Moulik, N.; Shet, T.; Sridhar, E.; Laskar, S.; Kembhavi, S.; Shah, S.; et al. Clinical outcomes and prognostic factors in children with B-cell lymphoblastic lymphoma (LBL) treated according to on modified BFM-90 protocol: Experience from a Tertiary cancer care center in India. Pediatr. Hematol. Oncol. 2022, 39, 427–440. [Google Scholar] [CrossRef] [PubMed]
- Kim, J.Y.; Om, S.Y.; Shin, S.J.; Kim, J.E.; Yoon, D.H.; Suh, C. Case series of precursor B-cell lymphoblastic lymphoma. Blood Res. 2014, 49, 270–274. [Google Scholar] [CrossRef] [PubMed] [PubMed Central][Green Version]
- Cistaro, A.; La Delfa, V.; Di Rosa, G.; Cogoni, M.; Quartuccio, N. MRI and 18F-FDG-PET/CT in a rare case of early (precursor) B-lymphoblastic leukaemia with bone involvement as initial manifestation. Nucl. Med. Rev. Cent. East Eur. 2017, 20, 57–59. [Google Scholar] [CrossRef] [PubMed][Green Version]
- Kroeze, E.; Padilla, L.A.; Burkhardt, B.; Attarbaschi, A.; von Mersi, H.; Kebudi, R.; Nievelstein, R.A.J.; Tolboom, N.; Hagleitner, M.M.; Kuiper, R.P.; et al. F-FDG-PET/CT imaging in diagnostic workup of pediatric precursor B-cell lymphoblastic lymphoma. Pediatr. Blood Cancer 2023, 70, e30642. [Google Scholar] [CrossRef] [PubMed]
- Geethakumari, P.R.; Hoffmann, M.S.; Pemmaraju, N.; Hu, S.; Jorgensen, J.L.; O’Brien, S.; Daver, N. Extramedullary B lymphoblastic leukemia/lymphoma (B-ALL/B-LBL): A diagnostic challenge. Clin. Lymphoma Myeloma Leuk. 2014, 14, e115–e118. [Google Scholar] [CrossRef] [PubMed] [PubMed Central]
- Termuhlen, A.M.; Smith, L.M.; Perkins, S.L.; Lones, M.; Finlay, J.L.; Weinstein, H.; Gross, T.G.; Abromowitch, M. Outcome of newly diagnosed children and adolescents with localized lymphoblastic lymphoma treated on Children’s Oncology Group trial A5971: A report from the Children’s Oncology Group. Pediatr. Blood Cancer 2012, 59, 1229–1233. [Google Scholar] [CrossRef] [PubMed] [PubMed Central]




| Disclaimer/Publisher’s Note: The statements, opinions and data contained in all publications are solely those of the individual author(s) and contributor(s) and not of MDPI and/or the editor(s). MDPI and/or the editor(s) disclaim responsibility for any injury to people or property resulting from any ideas, methods, instructions or products referred to in the content. | 
© 2024 by the author. Licensee MDPI, Basel, Switzerland. This article is an open access article distributed under the terms and conditions of the Creative Commons Attribution (CC BY) license (https://creativecommons.org/licenses/by/4.0/).
Share and Cite
Alzahrani, M.F. A Case of B-Cell Lymphoblastic Lymphoma Presenting with an Isolated Epidural Mass Treated Successfully with Radiotherapy Followed by United Kingdom Acute Lymphoblastic Leukemia (UKALL) Chemotherapy Protocol. Hematol. Rep. 2024, 16, 724-731. https://doi.org/10.3390/hematolrep16040069
Alzahrani MF. A Case of B-Cell Lymphoblastic Lymphoma Presenting with an Isolated Epidural Mass Treated Successfully with Radiotherapy Followed by United Kingdom Acute Lymphoblastic Leukemia (UKALL) Chemotherapy Protocol. Hematology Reports. 2024; 16(4):724-731. https://doi.org/10.3390/hematolrep16040069
Chicago/Turabian StyleAlzahrani, Musa Fares. 2024. "A Case of B-Cell Lymphoblastic Lymphoma Presenting with an Isolated Epidural Mass Treated Successfully with Radiotherapy Followed by United Kingdom Acute Lymphoblastic Leukemia (UKALL) Chemotherapy Protocol" Hematology Reports 16, no. 4: 724-731. https://doi.org/10.3390/hematolrep16040069
APA StyleAlzahrani, M. F. (2024). A Case of B-Cell Lymphoblastic Lymphoma Presenting with an Isolated Epidural Mass Treated Successfully with Radiotherapy Followed by United Kingdom Acute Lymphoblastic Leukemia (UKALL) Chemotherapy Protocol. Hematology Reports, 16(4), 724-731. https://doi.org/10.3390/hematolrep16040069
 
        



