Antimicrobial Effect of Gentamicin/Heparin and Gentamicin/Citrate Lock Solutions on Staphylococcus aureus and Pseudomonas aeruginosa Clinical Strains
Abstract
1. Introduction
2. Materials and Methods
2.1. Clinical Isolates and Microorganisms
2.2. Antimicrobial Treatment Lock Solutions
2.3. Biofilm Formation Assay
2.4. Minimum Inhibitory Concentration of Planktonic Cells
2.5. Minimum Biofilm Inhibitory Concentration (MBIC)
2.6. Minimum Biofilm Eradication Concentration (MBEC)
2.7. Hemodialysis Catheter Growth Inhibition Model
2.8. Statistical Analysis
3. Results
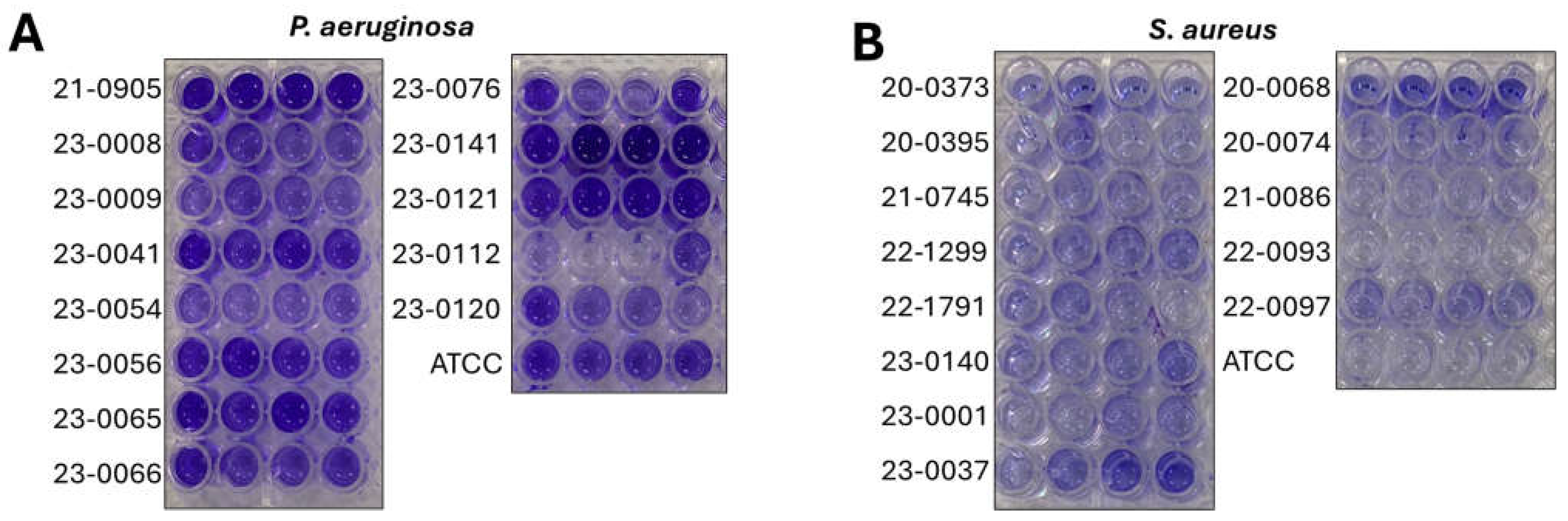
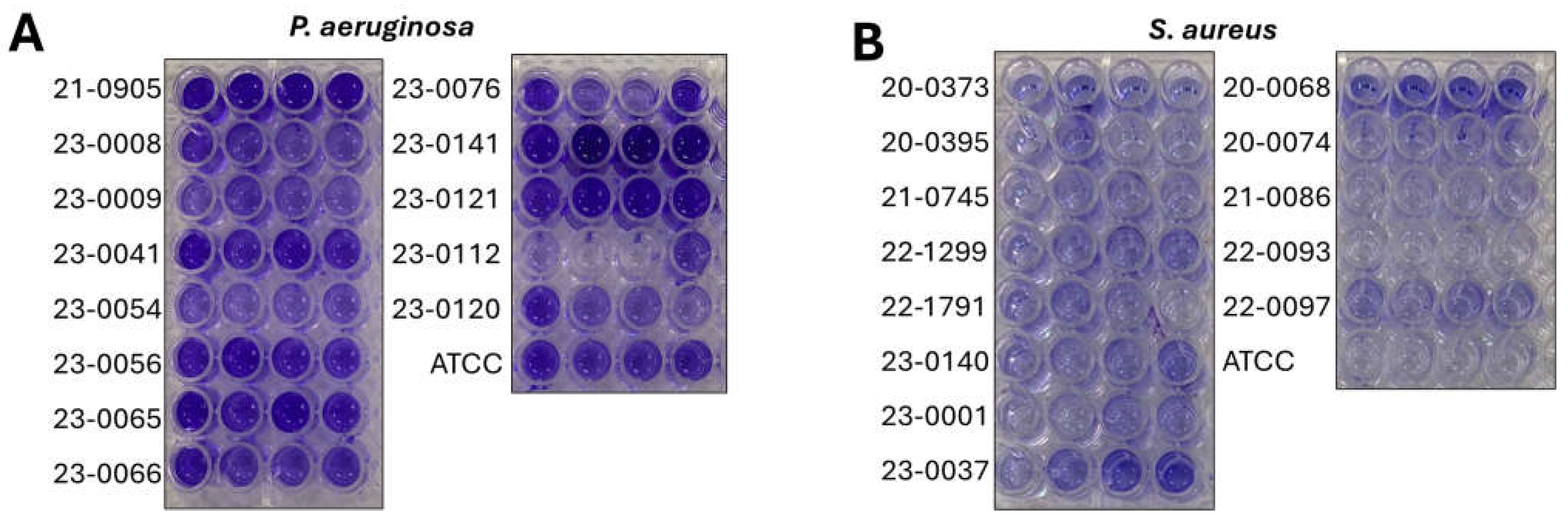
3.1. Biofilm Formation of P. aeruginosa and S. aureus
3.2. Antimicrobial Effect of the Lock Solutions on Planktonic and Biofilm Bacterial Strains
3.3. Antimicrobial Effect of Lock Solutions in the Hemodialysis Catheter Biofilm Model
4. Discussion
Author Contributions
Funding
Institutional Review Board Statement
Informed Consent Statement
Data Availability Statement
Conflicts of Interest
References
- O’Grady, N.P.; Alexander, M.; Burns, L.A.; Dellinger, E.P.; Garland, J.; Heard, S.O.; Lipsett, P.A.; Masur, H.; Mermel, L.A.; Pearson, M.L.; et al. Guidelines for the Prevention of Intravascular Catheter-related Infections. Clin. Infect. Dis. 2011, 52, e162–e193. [Google Scholar] [CrossRef]
- Ren, W.; Jiang, J.; Wang, Y.; Jin, Y.; Fang, Y.; Zhao, C. Analysis of pathogenic distribution and drug resistance of catheter-related blood stream infection in hemodialysis patients with vein tunneled cuffed catheter. Eur. J. Inflamm. 2021, 19, 20587392211000887. [Google Scholar] [CrossRef]
- Gominet, M.; Compain, F.; Beloin, C.; Lebeaux, D. Central venous catheters and biofilms: Where do we stand in 2017? APMIS 2017, 125, 365–375. [Google Scholar] [CrossRef] [PubMed]
- Farrington, C.A.; Allon, M. Complications of Hemodialysis Catheter Bloodstream Infections: Impact of Infecting Organism. Am. J. Nephrol. 2019, 50, 126–132. [Google Scholar] [CrossRef] [PubMed]
- Wang, Y.; Sun, X. Reevaluation of lock solutions for Central venous catheters in hemodialysis: A narrative review. Ren. Fail. 2022, 44, 1502–1519. [Google Scholar] [CrossRef]
- Jiménez Hernández, M.; Soriano, A.; Filella, X.; Calvo, M.; Coll, E.; Rebled, J.M.; Poch, E.; Graterol, F.; Compte, M.T.; Maduell, F.; et al. Impact of locking solutions on conditioning biofilm formation in tunnelled haemodialysis catheters and inflammatory response activation. J. Vasc. Access. 2020, 22, 370–379. [Google Scholar] [CrossRef]
- Lai, B.; Huang, W.; Yu, H.; Chen, T.; Gao, Y.; Wang, W.; Luo, H. Citrate as a safe and effective alternative to heparin for catheter locking: A systematic review and meta-analysis of randomized controlled trials. Front. Med. 2025, 12, 1530619. [Google Scholar] [CrossRef]
- Singh, A.K.; Prakash, P.; Achra, A.; Singh, G.P.; Das, A.; Singh, R.K. Standardization and Classification of In vitro Biofilm Formation by Clinical Isolates of Staphylococcus aureus. J. Glob. Infect. Dis. 2017, 9, 93–101. [Google Scholar] [CrossRef]
- Wayne, P.A. CLSI Performance Standards for Antimicrobial Susceptibility Testing; CLSI Document Clinical Laboratory Standards Institute (CLSI): Wayne, PA, USA, 2017. [Google Scholar]
- Salazar-Sesatty, H.A.; Montoya-Hinojosa, E.I.; Villarreal-Salazar, V.; Alvizo-Baez, C.A.; Camacho-Ortiz, A.; Terrazas-Armendariz, L.D.; Luna-Cruz, I.E.; Alcocer-González, J.M.; Villarreal-Treviño, L.; Flores-Treviño, S. Biofilm Eradication and Inhibition of Methicillin-Resistant Staphylococcus Clinical Isolates by Curcumin-Chitosan Magnetic Nanoparticles. Jpn. J. Infect. Dis. 2024, 77, 260–268. [Google Scholar] [CrossRef]
- Cangui-Panchi, S.P.; Nacato-Toapanta, A.L.; Enriquez-Martinez, L.J.; Reyes, J.; Garzon-Chavez, D.; Machado, A. Biofilm-forming microorganisms causing hospital-acquired infections from intravenous catheter: A systematic review. Curr. Res. Microb. Sci. 2022, 3, 100175. [Google Scholar] [CrossRef]
- Pouget, C.; Chatre, C.; Lavigne, J.-P.; Pantel, A.; Reynes, J.; Dunyach-Remy, C. Effect of Antibiotic Exposure on Staphylococcus epidermidis Responsible for Catheter-Related Bacteremia. Int. J. Mol. Sci. 2023, 24, 1547. [Google Scholar] [CrossRef]
- Bidossi, A.; Bottagisio, M.; Logoluso, N.; De Vecchi, E. In Vitro Evaluation of Gentamicin or Vancomycin Containing Bone Graft Substitute in the Prevention of Orthopedic Implant-Related Infections. Int. J. Mol. Sci. 2020, 21, 9250. [Google Scholar] [CrossRef]
- Wannigama, D.L.; Hurst, C.; Hongsing, P.; Pearson, L.; Saethang, T.; Chantaravisoot, N.; Singkham-In, U.; Luk-In, S.; Storer, R.J.; Chatsuwan, T. A rapid and simple method for routine determination of antibiotic sensitivity to biofilm populations of Pseudomonas aeruginosa. Ann. Clin. Microbiol. Antimicrob. 2020, 19, 8. [Google Scholar] [CrossRef] [PubMed]
- CLSI. CLSI M100: Performance Standards for Antimicrobial Susceptibility Testing, 35th ed.; Clinical and Laboratory Standards Institute: Wayne, PA, USA, 2025. [Google Scholar]
- Luther, M.K.; Mermel, L.A.; LaPlante, K.L. Comparison of telavancin and vancomycin lock solutions in eradication of biofilm-producing staphylococci and enterococci from central venous catheters. Am. J. Health Syst. Pharm. 2016, 73, 315–321. [Google Scholar] [CrossRef] [PubMed]
- LaPlante, K.L.; Mermel, L.A. In vitro activity of daptomycin and vancomycin lock solutions on staphylococcal biofilms in a central venous catheter model. Nephrol. Dial. Transplant. 2007, 22, 2239–2246. [Google Scholar] [CrossRef] [PubMed]
- Padilla-Orozco, M.; Mendoza-Flores, L.; Herrera-Alonso, A.; Garza Gonzalez, E.; Gutierrez Ferman, J.L.; Rodriguez-Lopez, J.M.; Bocanegra-Ibarias, P.; Camacho-Ortiz, A. Generalized and Prolonged Use of Gentamicin-Lock Therapy Reduces Hemodialysis Catheter-Related Infections Due to Gram Negatives. Nephron 2019, 143, 86–91. [Google Scholar] [CrossRef]
- Hussein, W.F.; Gomez, N.; Sun, S.J.; Yu, J.; Yang, F.; Ajuria, M.; Abra, G.E.; Schiller, B. Use of a gentamicin-citrate lock leads to lower catheter-related bloodstream infection rates and reduced cost of care in hemodialysis patients. Hemodial. Int. 2021, 25, 20–28. [Google Scholar] [CrossRef]
- Haq, A.; Patel, D.; Gutlapalli, S.D.; Hernandez, G.N.; Seffah, K.D.; Zaman, M.A.; Awais, N.; Satnarine, T.; Ahmed, A.; Khan, S. Correction: A Systematic Review of the Impact of Antibiotic and Antimicrobial Catheter Locks on Catheter-Related Infections in Adult Patients Receiving Hemodialysis. Cureus 2023, 15, c146. [Google Scholar] [CrossRef]
- Elahi, R.; Siddiqui, M.H.; Rana, M.A.; Qayyum, M.A.; Iqbal, W.; Khalid, M.S.; Pervaiz, R.; Hafeez, M.M. The Efficacy of Taurolidine Citrate Solution v Heparin Lock Solution Instilled in Catheter Lumens of End Stage Renal Disease. Pak. J. Med. Health Sci. 2022, 16, 152–154. [Google Scholar] [CrossRef]
- Shanks, R.M.Q.; Donegan, N.P.; Graber, M.L.; Buckingham, S.E.; Zegans, M.E.; Cheung, A.L.; O’Toole, G.A. Heparin stimulates Staphylococcus aureus biofilm formation. Infect. Immun. 2005, 73, 4596–4606. [Google Scholar] [CrossRef]
- Najarzadeh, Z.; Zaman, M.; Sereikaite, V.; Strømgaard, K.; Andreasen, M.; Otzen, D.E. Heparin promotes fibrillation of most phenol-soluble modulin virulence peptides from Staphylococcus aureus. J. Biol. Chem. 2021, 297, 100953. [Google Scholar] [CrossRef] [PubMed]
- Austin, P.D.; Stapleton, P.; Elia, M. Comparative effect of seven prophylactic locks to prevent biofilm biomass and viability in intravenous catheters. J. Antimicrob. Chemother. 2022, 77, 2191–2198. [Google Scholar] [CrossRef] [PubMed]
- Shi, H.; Tang, J.; An, C.; Yang, L.; Zhou, X. Protein A of Staphylococcus aureus strain NCTC8325 interacted with heparin. Arch. Microbiol. 2021, 203, 2563–2573. [Google Scholar] [CrossRef] [PubMed]
- Mishra, S.; Horswill Alexander, R. Heparin Mimics Extracellular DNA in Binding to Cell Surface-Localized Proteins and Promoting Staphylococcus aureus Biofilm Formation. mSphere 2017, 2, 10–1128. [Google Scholar] [CrossRef]
- Perez-Laguna, V.; Garcia-Luque, I.; Ballesta, S.; Perez-Artiaga, L.; Lampaya-Perez, V.; Rezusta, A.; Gilaberte, Y. Photodynamic therapy using methylene blue, combined or not with gentamicin, against Staphylococcus aureus and Pseudomonas aeruginosa. Photodiagnosis Photodyn. Ther. 2020, 31, 101810. [Google Scholar] [CrossRef]
- Sultan, K.; Khalid, U.; Khan, S.; Zubair, M.; Khan, M.K.; Khan, A.S. Hemodialysis Catheter-Related Infections: Incidence in Temporary Catheters locked with Vancomycin and Heparin vs. Heparin-only. J. Pharm. Res. Int. 2022, 34, 24–31. [Google Scholar] [CrossRef]
- Bookstaver, P.B.; Williamson, J.C.; Tucker, B.K.; Raad, I.I.; Sherertz, R.J. Activity of novel antibiotic lock solutions in a model against isolates of catheter-related bloodstream infections. Ann. Pharmacother. 2009, 43, 210–219. [Google Scholar] [CrossRef]
- Senobar Tahaei, S.A.; Stájer, A.; Barrak, I.; Ostorházi, E.; Szabó, D.; Gajdács, M. Correlation between biofilm-formation and the antibiotic resistant phenotype in Staphylococcus aureus isolates: A laboratory-based study in Hungary and a review of the literature. Infect. Drug Resist. 2021, 14, 1155–1168. [Google Scholar] [CrossRef]
- Nair, S.; Desai, S.; Poonacha, N.; Vipra, A.; Sharma, U. Antibiofilm activity and synergistic inhibition of Staphylococcus aureus biofilms by bactericidal protein P128 in combination with antibiotics. Antimicrob. Agents Chemother. 2016, 60, 7280–7289. [Google Scholar] [CrossRef]
- Villarreal-Salazar, V.; Bocanegra-Ibarias, P.; Villarreal-Treviño, L.; Salas-Treviño, D.; Morfin-Otero, R.; Camacho-Ortiz, A.; Flores-Treviño, S. Improvement of antimicrobial susceptibility testing in biofilm-growing coagulase-negative Staphylococcus hominis. J. Microbiol. Methods 2022, 198, 106493. [Google Scholar] [CrossRef]
- Ciarolla, A.A.; Lapin, N.; Williams, D.; Chopra, R.; Greenberg, D.E. Physical Approaches to Prevent and Treat Bacterial Biofilm. Antibiotics 2022, 12, 54. [Google Scholar] [CrossRef] [PubMed]



| LSG | LSG/H | LSG/C | ||
|---|---|---|---|---|
| Gentamicin (µg/mL) | Gentamicin (µg/mL) | Heparin (UI/mL) | Gentamicin (µg/mL) | Citrate (%w/v) |
| 1024 | 8192 | - | 8192 | - |
| 512 | 4096 | 1000 | 4096 | 30.0 |
| 256 | 2048 | 500 | 2048 * | 15.0 * |
| 128 | 1024 * | 250 * | 1024 | 7.50 |
| 64 | 512 | 125 | 512 | 3.8 |
| 32 | 256 | 62.5 | 256 | 1.9 |
| 16 | 128 | 31.25 | 128 | 0.9 |
| 8 | 64 | 15.63 | 64 | 0.5 |
| 4 | 32 | 7.81 | 32 | 0.2 |
| 2 | 16 | 3.91 | 16 | 0.12 |
| 1 | 8 | 1.95 | 8 | 0.06 |
| 0.5 | 4 | 0.98 | 4 | 0.03 |
| 0.25 | 2 | 0.49 | 2 | 0.01 |
| 0.125 | 1 | 0.24 | 1 | 0.007 |
| 0.0625 | 0.5 | 0.12 | 0.5 | 0.004 |
| Strains | LSG (µg/mL) | LSG/H (µg/mL)–(UI/mL) | LSG/C (µg/mL)–(%w/v) | ||||||
|---|---|---|---|---|---|---|---|---|---|
| MIC | MBIC | MBEC | MIC | MBIC | MBEC | MIC | MBIC | MBEC | |
| P. aeruginosa ATCC 27853 | ≤0.125 | ≤0.125 | ≥256 | ≤4–1 | ≥32–8 | ≥512–125 | ≤4–0.03 | ≤4–0.03 | ≥128–0.9 |
| P. aeruginosa 21-0905 | ≥0.5 | ≤0.125 | ≥128 | ≤4–1 | ≥16–4 | ≥64–15.6 | ≤4–0.03 | ≤4–0.03 | ≥1024–7.5 |
| P. aeruginosa 23-0141 | ≥0.5 | ≥0.25 | ≥256 | ≤4–1 | ≥8–2 | ≥64–15.6 | ≤4–0.03 | ≤4–0.03 | ≥256–1.9 |
| S. aureus ATCC 29213 | ≤0.125 | ≤0.125 | ≥512 | ≤4–1 | ≥8–2 | ≥256–62.5 | ≤4–0.03 | ≥8–0.06 | ≥2048–15 |
| S. aureus 21-0745 | ≥2 | ≥16 | >512 | ≥64–15.6 | >2048–500 | >4096–1000 | ≥1−0.12 | ≥1024–7.5 | >4096–30 |
| S. aureus 23-0140 | ≤0.125 | ≤0.125 | ≥16 | ≤4–1 | ≥8–2 | ≥256–62.5 | ≤4–0.03 | ≤4–0.03 | ≥2048–15 |
Disclaimer/Publisher’s Note: The statements, opinions and data contained in all publications are solely those of the individual author(s) and contributor(s) and not of MDPI and/or the editor(s). MDPI and/or the editor(s) disclaim responsibility for any injury to people or property resulting from any ideas, methods, instructions or products referred to in the content. |
© 2025 by the authors. Licensee MDPI, Basel, Switzerland. This article is an open access article distributed under the terms and conditions of the Creative Commons Attribution (CC BY) license (https://creativecommons.org/licenses/by/4.0/).
Share and Cite
Salas-Treviño, D.; Rodríguez-Rodríguez, A.N.; Ramírez-Elizondo, M.T.; Padilla-Orozco, M.; Montoya-Hinojosa, E.I.; Bocanegra-Ibarias, P.; Flores-Treviño, S.; Camacho-Ortiz, A. Antimicrobial Effect of Gentamicin/Heparin and Gentamicin/Citrate Lock Solutions on Staphylococcus aureus and Pseudomonas aeruginosa Clinical Strains. Infect. Dis. Rep. 2025, 17, 98. https://doi.org/10.3390/idr17040098
Salas-Treviño D, Rodríguez-Rodríguez AN, Ramírez-Elizondo MT, Padilla-Orozco M, Montoya-Hinojosa EI, Bocanegra-Ibarias P, Flores-Treviño S, Camacho-Ortiz A. Antimicrobial Effect of Gentamicin/Heparin and Gentamicin/Citrate Lock Solutions on Staphylococcus aureus and Pseudomonas aeruginosa Clinical Strains. Infectious Disease Reports. 2025; 17(4):98. https://doi.org/10.3390/idr17040098
Chicago/Turabian StyleSalas-Treviño, Daniel, Arantxa N. Rodríguez-Rodríguez, María T. Ramírez-Elizondo, Magaly Padilla-Orozco, Edeer I. Montoya-Hinojosa, Paola Bocanegra-Ibarias, Samantha Flores-Treviño, and Adrián Camacho-Ortiz. 2025. "Antimicrobial Effect of Gentamicin/Heparin and Gentamicin/Citrate Lock Solutions on Staphylococcus aureus and Pseudomonas aeruginosa Clinical Strains" Infectious Disease Reports 17, no. 4: 98. https://doi.org/10.3390/idr17040098
APA StyleSalas-Treviño, D., Rodríguez-Rodríguez, A. N., Ramírez-Elizondo, M. T., Padilla-Orozco, M., Montoya-Hinojosa, E. I., Bocanegra-Ibarias, P., Flores-Treviño, S., & Camacho-Ortiz, A. (2025). Antimicrobial Effect of Gentamicin/Heparin and Gentamicin/Citrate Lock Solutions on Staphylococcus aureus and Pseudomonas aeruginosa Clinical Strains. Infectious Disease Reports, 17(4), 98. https://doi.org/10.3390/idr17040098

