Influence of Film Coating Thickness on Secondary Electron Emission Characteristics of Non-Evaporable Getter Ti-Hf-V-Zr Coated Open-Cell Copper Foam Substrates
Abstract
1. Introduction
2. Materials and Methods
2.1. Sample Preparation and Cleaning Procedures
2.2. Film-Coating Equipment
2.3. Characterization Method
3. Results and Discussion
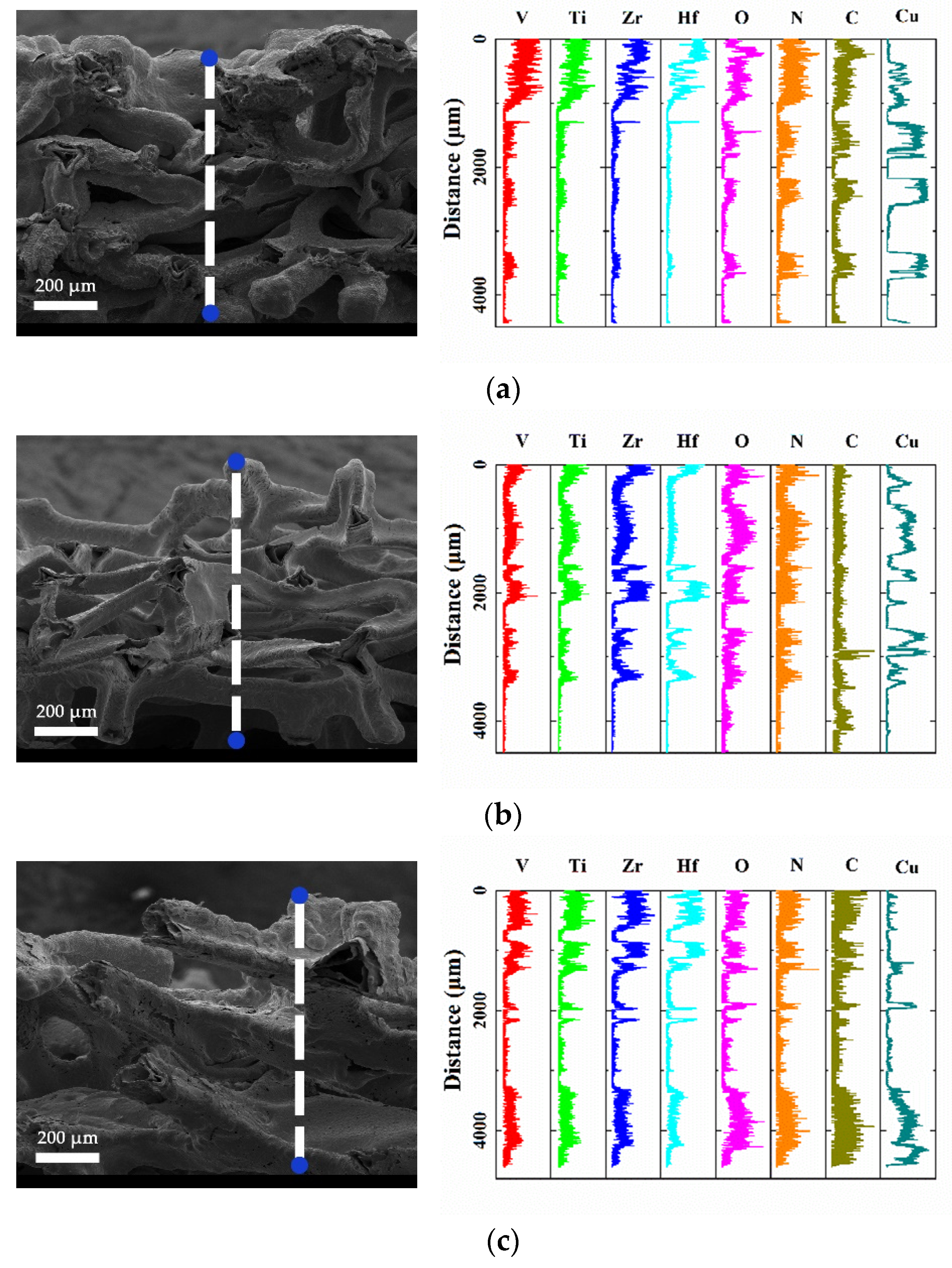
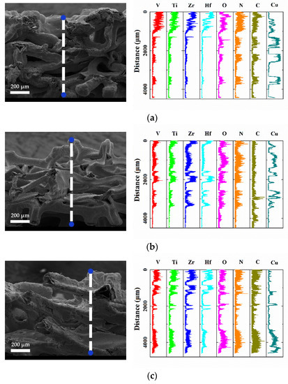
3.1. Surface and Cross-Section Morphology
3.2. Surface Composition
3.3. SEY Results
4. Conclusions
- (1)
- The 3D reticulated structure on the foamed porous copper surface with a pore size of 100–500 μm can significantly reduce the SEY. It is clear that the network structure in foam geometries can reduce the SEY since the uneven 3D regular surfaces and pores trap the secondary electrons. Compared with flat coppers, the SEY of the open-cell copper foam can be reduced by at least 40%, and the foamed porous copper has a promising application potential for reducing SEY to below 1.2. However, the δmax of foamed porous coppers with a pore size less than 500 μm decreases insignificantly.
- (2)
- The δmax of the NEG-coated foamed porous copper substrates is lower than that of the uncoated ones. After coated with the Ti-Hf-V-Zr NEG film with a NEG equivalent thickness of 0.65, 1.34, and 2.65 μm, the foamed porous coppers had the maximum SEYs that were reduced by 2.5–5.1%, 5.8–8.4%, and 1.7–3.4%, respectively. However, when coated with a 1.34-μm-thick NEG film, such foamed porous coppers had the lowest SEY.
- (3)
- The Ti-Hf-V-Zr films have nanocrystalline structures on both Si and foamed porous copper substrates. XPS results show that the NEG film containing impurities such as carbon and oxygen were partially oxidized. Besides, the Ti-Hf-V-Zr NEG film was unevenly deposited on the foamed copper substrate. The EDS line scanning maps indicate that the inner surface of foamed porous coppers with high depth-to-spacing ratios was also covered by a quaternary NEG film, which was thus provided with a large specific surface area. Moreover, the combination of the NEG film with foamed porous copper substrates could further reduce the SEY. Therefore, the NEG coated open-cell copper foam walls seem to be a promising method to solve problems of high vacuum and EC in the future particle accelerators.
Author Contributions
Funding
Institutional Review Board Statement
Informed Consent Statement
Data Availability Statement
Conflicts of Interest
References
- Buratin, E.; Baglin, V.; Henrist, B.; Chiggiato, P.; Fasoli, A. Electron flux and pressure dynamic in the LHC vacuum pilot sector as a function of beam parameters and beam pipe properties. Phys. Rev. Accel. Beams 2020, 23, 114802. [Google Scholar] [CrossRef]
- Petit, V.; Taborelli, M.; Zanin, D.A.; Himmerlich, M.; Neupert, H.; Chiggiato, P.; Iadarola, G. Beam-induced surface modifications as a critical source of heat loads in the Large Hadron Collider. Commun. Phys. 2021, 4, 192. [Google Scholar] [CrossRef]
- Domínguez, O.; Li, K.; Cuna, H.M. First electron-cloud studies at the Large Hadron Collider. Phys. Rev. Spec. Top-Accel. Beams 2013, 16, 249–256. [Google Scholar] [CrossRef]
- Fischer, W. Electron cloud observations and cures in RHIC. In Proceedings of the Particle Accelerator Conference, Albuquerque, NM, USA, 25–29 June 2007. [Google Scholar]
- Cimino, R.; Demma, T. Electron cloud in accelerators. Int. J. Mod. Phys. A 2014, 29, 1430023. [Google Scholar] [CrossRef]
- Zimmermann, F. A Simulation Study of Electron-Cloud Instability and Beam-Induced Multipacting in the LHC; LHC Project Report 95; LHC Division CERN: Geneva, Switzerland, 27 February 1997. [Google Scholar]
- Baglin, V. The LHC vacuum system: Commissioning up to nominal luminosity. Vacuum 2017, 138, 112–119. [Google Scholar] [CrossRef]
- De Santis, S.; Byrd, J.M.; Caspers, F.; Krasnykh, A.; Kroyer, T.; Pivi, M.T.F.; Sonnad, K.G. Measurement of electron clouds in large accelerators by microwave dispersion. Phys. Rev. Lett. 2008, 100, 094801. [Google Scholar] [CrossRef]
- Jiménez, J.; Arduini, G.; Collier, P.; Ferioli, G.; Henrist, B.; Hilleret, N.; Jensen, L.; Weiss, K.; Zimmermann, F. Electron cloud with LHC-type beams in the SPS: A review of three years of measurements. In Proceedings of the ECLOUD’02: Mini Workshop on Electron Cloud Simulations for Proton and Positron Beam, Geneva, Switzerland, 8 April 2003. [Google Scholar] [CrossRef]
- Suetsugu, Y.; Fukuma, H.; Ohmi, K.; Tobiyaina, M.; Flanagan, J.; Ikeda, H.; Mulyani, E.; Shibata, K.; Ishibashi, T.; Shirai, M.; et al. Mitigating the electron cloud effect in the SuperKEKB positron ring. Phys. Rev. Accel. Beams 2019, 22, 023201. [Google Scholar] [CrossRef]
- Shibata, K. SuperKEKB VACUUM SYSTEM. In Proceedings of the ECLOUD’12 PROCEEDINGS, Isola d’Elba, Italy, 5–9 June 2013; pp. 67–71. [Google Scholar]
- Yi, Y.; Zheng, X.; Fu, Z.; Wang, C.; Xu, X.; Tan, X. Multi-Scale Modeling for Predicting the Stiffness and Strength of Hollow-Structured Metal Foams with Structural Hierarchy. Materials 2018, 11, 380. [Google Scholar] [CrossRef] [PubMed]
- Pilon, D.; Labbe, S.; Panneton, R.; Frechette, L.; Gros, E.; Touzin, J.F.; Marsan, B. Characterization of High Surface Area Open-Cell Metal Foams and Application to Thermal Management and Electrochemistry. Porous. In Porous Metals and Metallic Foams, Proceedings of the Fifth International Conference, Montreal, QC, Canada, 5–7 September 2007; Lefebvre, L.P., Banhart, J., Duunand, D., Eds.; DEStech Publications, Inc.: Montreal, QC, Canada, 2007. [Google Scholar]
- Dai, R.; Chandrasekaran, G.; Chen, J.; Jackson, C.; Liu, Y.M.; Nian, Q.; Kwon, B. Thermal conductivity of metal coated polymer foam: Integrated experimental and modeling study. Int. J. Therm. Sci. 2021, 169, 107045. [Google Scholar] [CrossRef]
- Xia, X.L.; Li, Z.H.; Fan, C.; Li, X.L.; Sun, C. Scale-integrated simulation of coupled radiation and convection in metal foam layer under high-flux irradiation. Int. J. Heat Mass Transf. 2020, 150, 119367. [Google Scholar] [CrossRef]
- Liu, P.S.; Chen, G.F. Application of Porous Metals. In Porous Materials: Processing and Applications, 1st ed.; Elsevier Inc.: Waltham, MA, USA, 2014; Volume 3, p. 148. [Google Scholar] [CrossRef]
- Petracca, S.; Stabile, A. Open cell conducting foams for high synchrotron radiation accelerators. Phys. Rev. ST Accel. Beams 2014, 17, 083503. [Google Scholar] [CrossRef]
- Chen, S.; Bourham, M.; Rabiei, A. Applications of Open-cell and Closed-cell Metal Foams for Radiation Shielding. Procedia Mater. Sci. 2014, 4, 293–298. [Google Scholar] [CrossRef]
- Zhang, N.; Cui, W.Z.; Cao, M.; Wang, R.; Hu, T.C. Influence of 3D regular surface morphology on secondary electron emission. Chin. Space. Sci. Technol. 2020, 40, 1–7. [Google Scholar] [CrossRef]
- Lu, Q.; Yu, B.; Hu, Z.Q.; He, Y.; Hu, T.C.; Zhao, Y.N.; Wang, Z.G.; Zhou, Z.Y.; Cui, W.; Liu, M. Surface roughness evolution induced low secondary electron yield in carbon coated Ag/Al substrates for space microwave devices. Appl. Surf. Sci. 2020, 501, 144236. [Google Scholar] [CrossRef]
- Pivi, M.; King, F.K.; Kirby, R.E.; Raubenheimer, T.O.; Stupakov, G.; Pimpec, F.L. Sharp reduction of the secondary electron emission yield from grooved surfaces. J. Appl. Phys. 2008, 104, 2120. [Google Scholar] [CrossRef]
- Nivas, J.J.J.; Valadan, M.; Salvatore, M.; Fittipaldi, R.; Himmerlich, M.; Rimoldi, M.; Passarelli, A.; Allahyari, E.; Oscurato, S.L.; Vecchione, A.; et al. Secondary electron yield reduction by femtosecond pulse laser-induced periodic surface structuring. Surf. Interfaces 2021, 25, 101179. [Google Scholar] [CrossRef]
- Liu, J.; Zhu, X.; Huang, Z.; Yang, Y.X. Characterization and property of microarc oxidation coatings on open-cell aluminum foams. J. Coat. Technol. Res. 2012, 9, 357–363. [Google Scholar] [CrossRef]
- Cimino, R.; Romano, A.; Petracca, S.; Stabile, A.; Baglin, V. Search for new e-cloud mitigator materials for high intensity particle accelerators. In Proceedings of the IPAC 2014: 5th International Particle Accelerator Conference, Dresden, Germany, 15–20 June 2014. [Google Scholar]
- Benvenuti, C.; Chiggiato, P.; Pinto, P.C.; Santana, A.E.; Wevers, I. Vacuum properties of TiZrV non-evaporable getter films. Vacuum 2001, 60, 57–65. [Google Scholar] [CrossRef]
- Li, C.-C.; Huang, J.L.; Lin, R.-J.; Chen, C.-H.; Lii, D.-F. Characterization of activated non-evaporable porous Ti and Ti–Zr–V getter films by synchrotron radiation photoemission spectroscopy. Thin Solid Films 2006, 515, 1121–1125. [Google Scholar] [CrossRef]
- Benvenuti, C.; Chiggiato, P.; Mongelluzzo, A.; Prodromides, A.; Ruzinov, V.; Scheuerlein, C.; Taborelli, M.; Lévy, F. Influence of the elemental composition and crystal structure on the vacuum properties of Ti-Zr-V non-evaporable getter films. J. Vac. Sci. Technol. 2001, 19, 2925–2930. [Google Scholar] [CrossRef]
- Malyshev, O.B.; Valizadeh, R.; Jones, R.M.A.; Hannah, A. Effect of coating morphology on the electron stimulated desorption from Ti–Zr–Hf–V nonevaporable-getter-coated stainless steel. Vacuum 2012, 86, 2035–2039. [Google Scholar] [CrossRef]
- Malyshev, O.B.; Valizadeh, R.; Hannah, A.N. Pumping properties of Ti-Zr-Hf-V non-evaporable getter coating. Vacuum 2014, 100, 26–28. [Google Scholar] [CrossRef]
- Chiggiato, P.; Pinto, P. Ti–Zr–V non-evaporable getter films: From development to large scale production for the Large Hadron Collider. Thin Solid Films 2006, 515, 382–388. [Google Scholar] [CrossRef]
- Wang, J.; Gao, Y.; Fan, J.; You, Z.; Wang, S.; Xu, Z. Study on the Effect of Laser Parameters on the SEY of Aluminum Alloy. IEEE Trans. Nucl. Sci. 2019, 66, 609–615. [Google Scholar] [CrossRef]
- Theivasanthi, T.; Alagar, M. X-Ray Diffraction Studies of Copper Nanopowder. Epl-Europhys. Lett. 2010, 53, 169–175. [Google Scholar] [CrossRef][Green Version]
- Theivasanthi, T.; Alagar, M. Nano sized copper particles by electrolytic synthesis and characterizations. Int. J. Phys. Sci. 2011, 6, 3662–3671. [Google Scholar] [CrossRef]
- Hayashida, H.; Yamauchi, N.; Nakashima, K.; Kobayashi, Y. Controlled oxidation of metallic copper nanoparticles by a silica coating. Inorg. Nano-Met. Chem. 2022, 1–11. [Google Scholar] [CrossRef]
- Ge, X.Q.; Wang, Y.G.; Shao, J.Q.; Wei, W.; Zhang, B.; Wang, S.H.; Zhang, Y.X.; Li, W.M.; Wang, Y. Testing the activation temperature of non-evaporable Ti-Zr-Hf-V getter films by XPS. Nucl. Instrum. Meth. A 2020, 967, 163864. [Google Scholar] [CrossRef]
- Goldstein, J.I.; Newbury, D.E.; Michael, J.R.; Ritchie, N.W.; Scott, J.H.J.; Joy, D.C. Scanning Electron Microscopy and X-ray Microanalysis, 4th ed.; Springer: New York, NY, USA, 2017. [Google Scholar]
- Petit, V. Conditioning of Surfaces in Particle Accelerators. Ph.D. Thesis, University of Toulouse, Toulouse, France, January 2020. [Google Scholar]
- Kato, S.; Nishiwaki, M. Influence of electron irradiation and heating on secondary electron yields from non-evaporable getter films observed with in situ x-ray photoelectron spectroscopy. J. Vac. Sci. Technol. A 2007, 25, 675–679. [Google Scholar] [CrossRef]
- Wang, Y.G.; Wang, S.W.; Zhu, B.L.; Pei, X.T.; Zhang, B.; Ge, X.Q.; Wang, Y. Establishing a Laser Treatment to Suppress the Sec-Ondary Electron Emission. Proceedings of 10th International Particle Accelerator Conference, Melbourne, Australia, 19–24 May 2019; p. 1350. [Google Scholar] [CrossRef]
- Petit, V.; Taborelli, M.; Neupert, H.; Chiggiato, P.; Belhaj, M. Role of the different chemical components in the conditioning process of air exposed copper surfaces. Phys. Rev. Accel. Beams 2019, 22, 083101. [Google Scholar] [CrossRef]
- Gonzalez, L.A.; Angelucci, M.; Larciprete, R.; Cimino, R. The secondary electron yield of noble metal surfaces. AIP Adv. 2017, 7, 115203. [Google Scholar] [CrossRef]
- Henrist, B.; Vorlaufer, G.; Scheuerlein, C.; Hilleret, N.; Taborelli, M.; Jiménez, M. Secondary electron emission data for the simulation of electron cloud. In Proceedings of the ECLOUD’02: Mini Workshop on Electron Cloud Simulations for Proton and Positron Beams, Geneva, Switzerland, 15–18 April 2002; pp. 75–78. [Google Scholar] [CrossRef]
- 43. Domínguez Sánchez de la Blanca, César Octavio. Electron Cloud Studies for the LHC and Future Proton Colliders. Ph.D. Thesis, Swiss Federal Institute of Technology in Lausanne, Lausanne, Switzerland, January 2014.
- Abada, A.; Abbrescia, M.; Abdussalam, S.S.; Abdyukhanov, I.; Abelleira Fernandez, J.; Abramov, A.; Aburaia, M.; Acar, A.O.; Adzic, P.R.; Agrawal, P.; et al. FCC-hh: The Hadron Collider. Eur. Phys. J. Special Top. 2019, 228, 755–1107. [Google Scholar] [CrossRef]
- Wang, J.; Gao, Y.; You, Z.M.; Fan, J.K.; Zhang, J.; Yang, S.H.; Guo, S.Q.; Wang, S.; Xu, Z.L. Laser Processed Oxygen-Free High-Conductivity Copper with Ti and Ti-Hf-V-Zr Films Applied in Neutron Tube. Appl. Sci. 2019, 9, 4940. [Google Scholar] [CrossRef]








| Sample | #1 | #4 | #7 | #2 | #5 | #8 | #3 | #6 | #9 |
|---|---|---|---|---|---|---|---|---|---|
| Pore size/µm | 100 | 300 | 500 | 100 | 300 | 500 | 100 | 300 | 500 |
| Deposition Time/s | 448 | 896 | 1792 | ||||||
| NEG equivalent thickness/µm | 0.65 ± 0.017 | 1.34 ± 0.055 | 2.65 ± 0.135 | ||||||
| Sample | Cu | C | O | Ti | V | Hf | Zr |
|---|---|---|---|---|---|---|---|
| uncoated | 6.68 | 55.29 | 38.03 | 0 | 0 | 0 | 0 |
| #4 | 0.35 | 38.16 | 48.56 | 4.83 | 1.79 | 1.01 | 5.31 |
| #5 | 0.26 | 39.12 | 47.41 | 4.75 | 1.93 | 1.43 | 5.09 |
| #6 | 0.09 | 33.94 | 50.88 | 5.32 | 2.35 | 1.64 | 5.78 |
| Sample | Pore Size/μm | NEG Thickness/μm | δmax | Emax/eV |
|---|---|---|---|---|
| uncoated | 100 | 0 | 1.19 | 300 |
| #1 | 0.65 | 1.16 | 400 | |
| #2 | 1.34 | 1.09 | 400 | |
| #3 | 2.65 | 1.15 | 400 | |
| uncoated | 300 | 0 | 1.18 | 300 |
| #4 | 0.65 | 1.12 | 300 | |
| #5 | 1.34 | 1.10 | 300 | |
| #6 | 2.65 | 1.14 | 300 | |
| uncoated | 500 | 0 | 1.20 | 300 |
| #7 | 0.65 | 1.17 | 400 | |
| #8 | 1.34 | 1.13 | 300 | |
| #9 | 2.65 | 1.18 | 300 |
Publisher’s Note: MDPI stays neutral with regard to jurisdictional claims in published maps and institutional affiliations. |
© 2022 by the authors. Licensee MDPI, Basel, Switzerland. This article is an open access article distributed under the terms and conditions of the Creative Commons Attribution (CC BY) license (https://creativecommons.org/licenses/by/4.0/).
Share and Cite
Zhang, J.; Wang, J.; Gao, Y.; Hu, Y.; Xie, Y.; You, Z.; Wang, S. Influence of Film Coating Thickness on Secondary Electron Emission Characteristics of Non-Evaporable Getter Ti-Hf-V-Zr Coated Open-Cell Copper Foam Substrates. Materials 2022, 15, 2185. https://doi.org/10.3390/ma15062185
Zhang J, Wang J, Gao Y, Hu Y, Xie Y, You Z, Wang S. Influence of Film Coating Thickness on Secondary Electron Emission Characteristics of Non-Evaporable Getter Ti-Hf-V-Zr Coated Open-Cell Copper Foam Substrates. Materials. 2022; 15(6):2185. https://doi.org/10.3390/ma15062185
Chicago/Turabian StyleZhang, Jing, Jie Wang, Yong Gao, Yaocheng Hu, Yupeng Xie, Zhiming You, and Sheng Wang. 2022. "Influence of Film Coating Thickness on Secondary Electron Emission Characteristics of Non-Evaporable Getter Ti-Hf-V-Zr Coated Open-Cell Copper Foam Substrates" Materials 15, no. 6: 2185. https://doi.org/10.3390/ma15062185
APA StyleZhang, J., Wang, J., Gao, Y., Hu, Y., Xie, Y., You, Z., & Wang, S. (2022). Influence of Film Coating Thickness on Secondary Electron Emission Characteristics of Non-Evaporable Getter Ti-Hf-V-Zr Coated Open-Cell Copper Foam Substrates. Materials, 15(6), 2185. https://doi.org/10.3390/ma15062185

