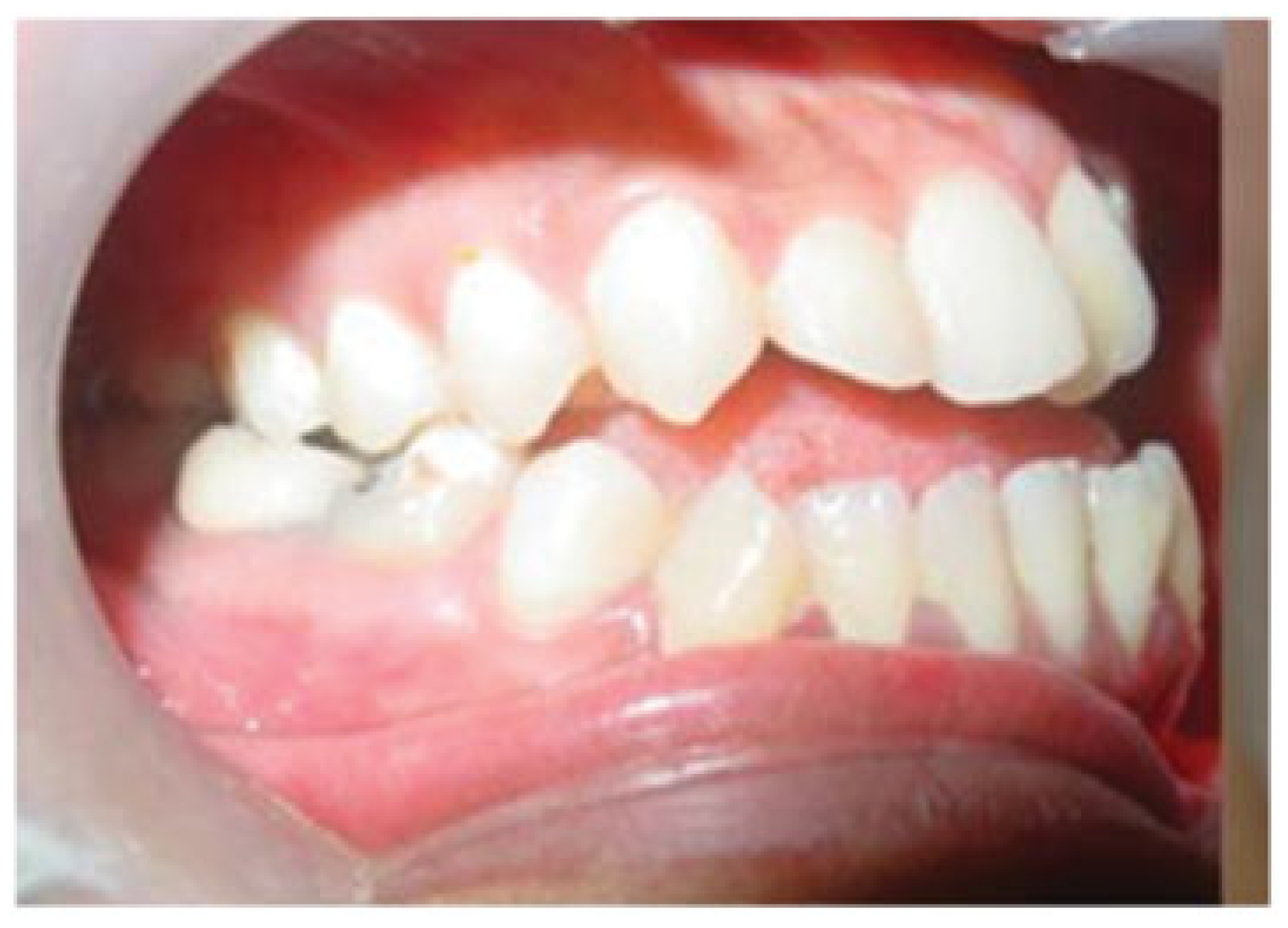
A Modified Kole's Osteotomy for Correction of Anterior Open Bite and Macrogenia in a Cleft Patient
Abstract
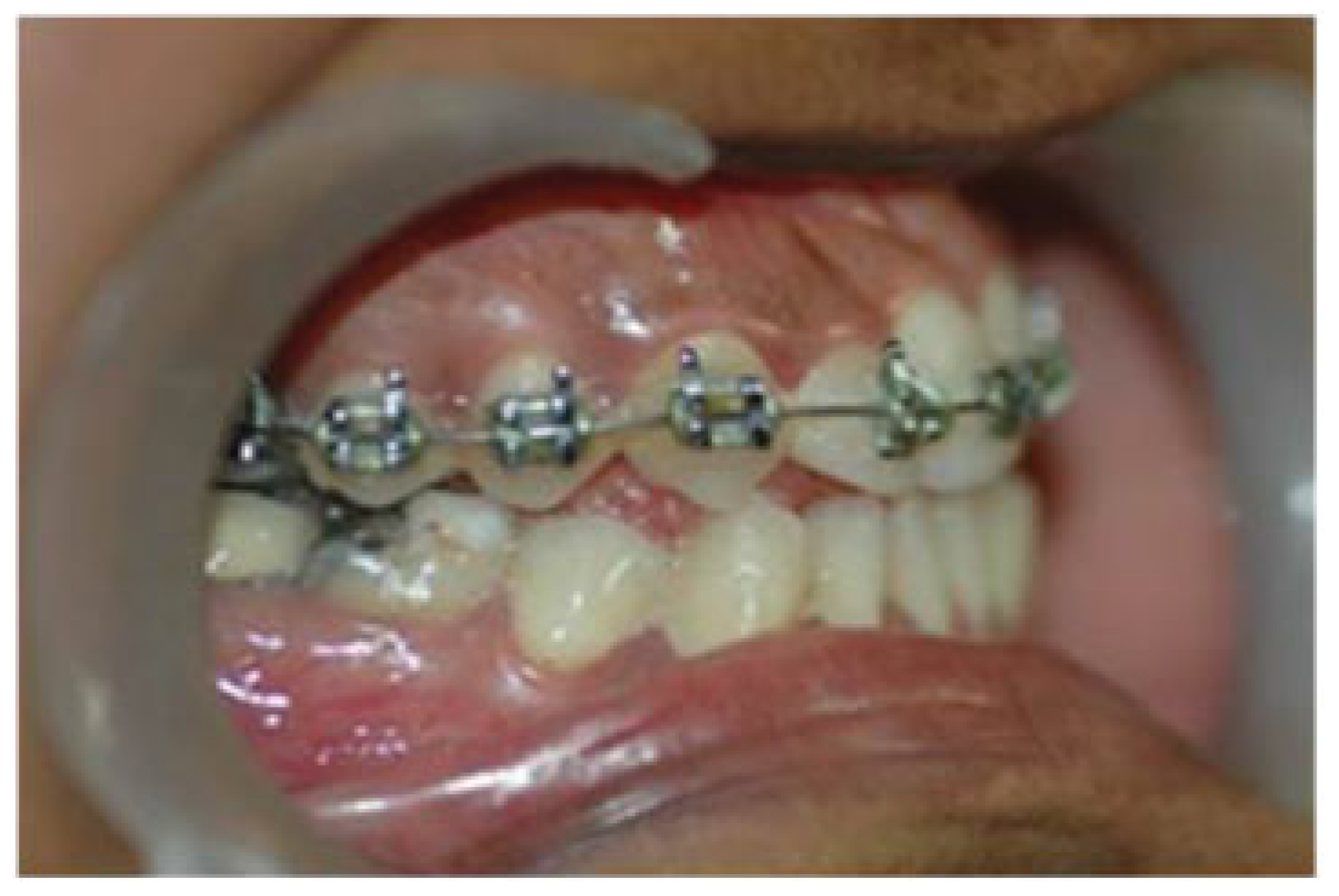
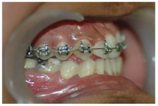
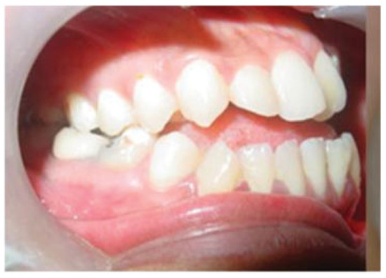
:Surgical Method
Conflicts of Interest
References
- Kole, H. Chirurgische kieferorthopadie am alveolarkamm. Ost. Z. Stomato 1959, 56, 427. [Google Scholar]
- Lachard, J.; Blanc, J.L.; Lagier, J.P.; Cheynet, F.; Le Retraite, C.; Saban, Y. [Köle’s operation]. Rev Stomatol Chir Maxillofac 1987, 88, 306–310. [Google Scholar] [PubMed]
- Meyer, R.A. Mandibular symphysis as donor site in bone grafting for surgical correction of open bite: Report of case. J Oral Surg 1972, 30, 125–130. [Google Scholar] [PubMed]






Disclaimer/Publisher’s Note: The statements, opinions and data contained in all publications are solely those of the individual author(s) and contributor(s) and not of MDPI and/or the editor(s). MDPI and/or the editor(s) disclaim responsibility for any injury to people or property resulting from any ideas, methods, instructions or products referred to in the content. |
© 2013 by the author. The Author(s) 2013.
Share and Cite
Ramanathan, M.; Rao, S.H. A Modified Kole's Osteotomy for Correction of Anterior Open Bite and Macrogenia in a Cleft Patient. Craniomaxillofac. Trauma Reconstr. 2013, 6, 57-59. https://doi.org/10.1055/s-0032-1329546
Ramanathan M, Rao SH. A Modified Kole's Osteotomy for Correction of Anterior Open Bite and Macrogenia in a Cleft Patient. Craniomaxillofacial Trauma & Reconstruction. 2013; 6(1):57-59. https://doi.org/10.1055/s-0032-1329546
Chicago/Turabian StyleRamanathan, Manikandhan, and Srinivasan H. Rao. 2013. "A Modified Kole's Osteotomy for Correction of Anterior Open Bite and Macrogenia in a Cleft Patient" Craniomaxillofacial Trauma & Reconstruction 6, no. 1: 57-59. https://doi.org/10.1055/s-0032-1329546
APA StyleRamanathan, M., & Rao, S. H. (2013). A Modified Kole's Osteotomy for Correction of Anterior Open Bite and Macrogenia in a Cleft Patient. Craniomaxillofacial Trauma & Reconstruction, 6(1), 57-59. https://doi.org/10.1055/s-0032-1329546