To Explant, or Not to Explant, That Is the Question
Abstract
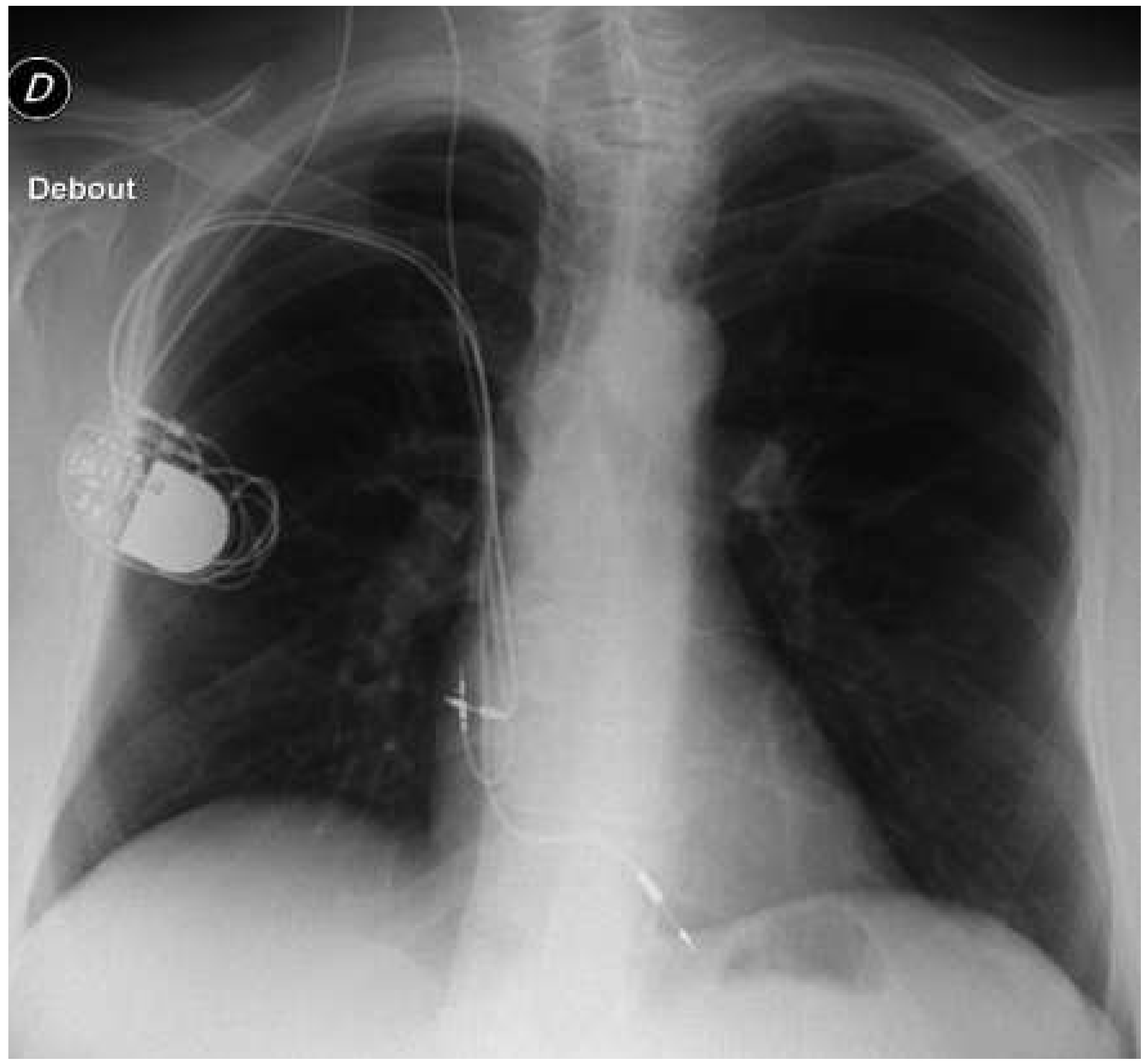
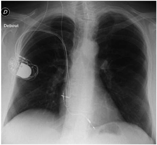
Case Presentation
Pacemaker Problem
Biotronik pacemakers
Boston Scientific pacemakers
Medtronic pacemakers
Sorin (LivaNova) pacemakers
St Jude Medical pacemakers
Conclusion
Disclosure Statement
References
- Poole, J.E.; Gleva, M.J.; Mela, T.; Chung, M.K.; Uslan, D.Z.; Borge, R.; et al. Complication Rates Associated With Pacemaker or Implantable Cardioverter-Defibrillator Generator Replacements and Upgrade Procedures Results From the REPLACE Registry. Circulation 2010, 122, 1553–U43. [Google Scholar] [CrossRef] [PubMed]
- Polyzos, K.A.; Konstantelias, A.A.; Falagas, M.E. Risk factors for cardiac implantable electronic device infection: a systematic review and meta-analysis. Europace 2015, 17, 767–777. [Google Scholar] [PubMed]
- Oupadia, P.; Ramaswamy, K. Images in clinical medicine. “R-on-T” phenomenon. N. Engl. J. Med. 1998, 338, 1812. [Google Scholar] [CrossRef] [PubMed]

| Manufacturer | Recommendation |
|---|---|
| Biotronik | no explantation |
| Boston Scientific | no explantation |
| Medtronic | explantation |
| Sorin | explantation |
| St Jude Medical | explantation |
© 2016 by the author. Attribution - Non-Commercial - NoDerivatives 4.0.
Share and Cite
von Gunten, S.; Crevoisier, J.-L.; Kühne, M.; Reichlin, T.; Osswald, S.; Sticherling, C.; Schaer, B. To Explant, or Not to Explant, That Is the Question. Cardiovasc. Med. 2016, 19, 237. https://doi.org/10.4414/cvm.2016.00424
von Gunten S, Crevoisier J-L, Kühne M, Reichlin T, Osswald S, Sticherling C, Schaer B. To Explant, or Not to Explant, That Is the Question. Cardiovascular Medicine. 2016; 19(9):237. https://doi.org/10.4414/cvm.2016.00424
Chicago/Turabian Stylevon Gunten, Simon, Jean-Luc Crevoisier, Michael Kühne, Tobias Reichlin, Stefan Osswald, Christian Sticherling, and Beat Schaer. 2016. "To Explant, or Not to Explant, That Is the Question" Cardiovascular Medicine 19, no. 9: 237. https://doi.org/10.4414/cvm.2016.00424
APA Stylevon Gunten, S., Crevoisier, J.-L., Kühne, M., Reichlin, T., Osswald, S., Sticherling, C., & Schaer, B. (2016). To Explant, or Not to Explant, That Is the Question. Cardiovascular Medicine, 19(9), 237. https://doi.org/10.4414/cvm.2016.00424
