Next Issue
Volume 19, 10
Previous Issue
Volume 19, 06
 
 
cardiovascmed-logo

Journal Browser

Journal Browser
Cardiovascular Medicine is published by MDPI from Volume 28 Issue 1 (2025). Previous articles were published by another publisher in Open Access under a CC-BY (or CC-BY-NC-ND) licence, and they are hosted by MDPI on mdpi.com as a courtesy and upon agreement with Editores Medicorum Helveticorum (EMH).

Cardiovasc. Med., Volume 19, Issue 9 (09 2016) – 6 articles

  • Issues are regarded as officially published after their release is announced to the table of contents alert mailing list.
  • You may sign up for e-mail alerts to receive table of contents of newly released issues.
  • PDF is the official format for papers published in both, html and pdf forms. To view the papers in pdf format, click on the "PDF Full-text" link, and use the free Adobe Reader to open them.
Order results
Result details
Select all
Export citation of selected articles as:
2 pages, 617 KB  
Interesting Images
A Strange ECG
by Mirdita Gaxherri and Jürg Schläpfer
Cardiovasc. Med. 2016, 19(9), 245; https://doi.org/10.4414/cvm.2016.00429 - 21 Sep 2016
Cited by 1 | Viewed by 47
Abstract
Case presentation The 84-year-old patient, who lived abroad, was known to have ischaemic heart disease with an old posterobasal transmural infarction [...] Full article
Show Figures

Figure 1

4 pages, 597 KB  
Case Report
HeartMate PHP Axial Pump for High-Risk PCI
by Diego Arroyo, Serban Puricel, Mario Togni and Stéphane Cook
Cardiovasc. Med. 2016, 19(9), 241; https://doi.org/10.4414/cvm.2016.00430 - 21 Sep 2016
Viewed by 59
Abstract
Percutaneous left ventricular assist devices (pVADs) can provide temporary circulatory support during high-risk percutaneous coronary interventions (PCIs). We describe the first case in Switzerland of high-risk PCI with a new pVAD, the HeartMate PHP axial pump (St Jude Medical). Full article
Show Figures

Figure 1

2 pages, 575 KB  
Case Report
A Benign Cause for Voltage Loss in the Precordial Leads
by Elefteri Buset, Richard Kobza and Florim Cuculi
Cardiovasc. Med. 2016, 19(9), 239; https://doi.org/10.4414/cvm.2016.00428 - 21 Sep 2016
Viewed by 46
Abstract
This case report describes a cause of precordial voltage loss with normal voltage in the peripheral leads in patients with obesity and/or temporal causes of increased intra-abdominal pressure. Important differential diagnoses were excluded with blood analyses, ECG and echocardiography. By placing the ECG-electrodes [...] Read more.
This case report describes a cause of precordial voltage loss with normal voltage in the peripheral leads in patients with obesity and/or temporal causes of increased intra-abdominal pressure. Important differential diagnoses were excluded with blood analyses, ECG and echocardiography. By placing the ECG-electrodes one or two intercostal spaces cranially we were able to detect the origin of the voltage loss. This case demonstrates that the standard position of the precordial ECG leads might not always correspond to the true anatomical position of the heart. If the probability of a cardiac or pericardial disease is excluded, this method might be sufficient as a basic diagnostic tool. Full article
Show Figures

Figure 1

2 pages, 101 KB  
Case Report
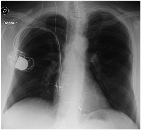
To Explant, or Not to Explant, That Is the Question
by Simon von Gunten, Jean-Luc Crevoisier, Michael Kühne, Tobias Reichlin, Stefan Osswald, Christian Sticherling and Beat Schaer
Cardiovasc. Med. 2016, 19(9), 237; https://doi.org/10.4414/cvm.2016.00424 - 21 Sep 2016
Viewed by 46
Abstract
Recurrent surgery in device patients carries a certain risk of infection and should therefore be kept to a minimum. We present the case of a patient in whom a new pacemaker had to be implanted from the left side and the question was, [...] Read more.
Recurrent surgery in device patients carries a certain risk of infection and should therefore be kept to a minimum. We present the case of a patient in whom a new pacemaker had to be implanted from the left side and the question was, what should be done with the redundant pacemaker on the right side: to explant or not to explant? The answer depends upon the behaviour of the pacemaker at the time of elective replacement indication (ERI) and of end of life (EOL), and dif fers between the five manufacturers operating in Switzerland. This behaviour is explained in detail and thus can guide cardiologists towards individ ual decision making. Full article
Show Figures

Figure 1

6 pages, 232 KB  
Article
Akuter Ablationserfolg Supraventrikulärer Tachykardien
by Tardu Özkartal, Laurent Haegeli, Thomas Wolber, Nazmi Krasniqi, Ardan M. Saguner, Alexander Breitenstein, Corinna Brunckhorst, Thomas F. Lüscher, Firat Duru and Jan Steffel
Cardiovasc. Med. 2016, 19(9), 231; https://doi.org/10.4414/cvm.2016.00431 - 21 Sep 2016
Cited by 1 | Viewed by 53
Abstract
Acute success rate for ablation of supraventicular tachycardia Experiences of a tertiary care center Background: Catheter ablation is considered standard therapy for most patients with supraventricular tachycardia (SVT), with high success and low complication rates. This study sought to determine the frequency [...] Read more.
Acute success rate for ablation of supraventicular tachycardia Experiences of a tertiary care center Background: Catheter ablation is considered standard therapy for most patients with supraventricular tachycardia (SVT), with high success and low complication rates. This study sought to determine the frequency of ablation procedures from a Swiss tertiary care center, along with their acute success and complication rates. Methods: All patients who had undergone electrophysiological testing for a suspected diagnosis of SVT at the University Heart Center of the University Hospital Zurich from 2012 to 2013 were included in this retrospective analysis. Results: A total of 377 cardiac electrophysiological tests were performed for suspected SVT (mean patient age: 52 ± 18 years; 50% male). The most common SVT was atrioventricular nodal reentry tachycardia (AVNRT) in 48% (n = 182) of patients, followed by isthmus-dependent atrial flutter (IDAF) in 18% (n = 69), and manifest or concealed Wolff-Parkinson-White (WPW) in 17% (n = 65). The acute success rate for the target ablation was 100% in both typical AVNRT (n = 180 out of 180) and IDAF (n = 68 out of 68). For treatment of WPW syndrome, 89% of patients (n = 55 out of 62) were successfully ablated. The acute success rate was 85% (n = 17 out of 20) for focal atrial tachycardia (FAT) and 73% (n = 8 out of 11) for atypical atrial flutter/intraatrial reentry-tachycardia (IART). Complications occurred at an incidence of 1.1%. There were no peri-interventional deaths. Overall 43% of examinations were carried out in an outpatient setting. Summary and conclusions: Our study results confirm that catheter ablation is effective and safe, supporting ablation therapy as a curative treatment for SVT management, which is often performed on an ambulatory basis. The success and complication rates from our tertiary center are comparable to those reported in the literature. Full article
Show Figures

Figure 1

6 pages, 342 KB  
Review
Myocardial Energy Metabolism in Heart Disease: Is It Clinically Relevant?
by René Lerch
Cardiovasc. Med. 2016, 19(9), 225; https://doi.org/10.4414/cvm.2016.00433 - 21 Sep 2016
Viewed by 59
Abstract
Students of cardiac disease acquire, with good reason, knowledge on clinical presentation and associated mechanical and electrical derangements of heart function. Myocardial energy metabolism has largely remained a research topic without much impact on clinical cardiology. However, continuous energy production in the heart [...] Read more.
Students of cardiac disease acquire, with good reason, knowledge on clinical presentation and associated mechanical and electrical derangements of heart function. Myocardial energy metabolism has largely remained a research topic without much impact on clinical cardiology. However, continuous energy production in the heart muscle is crucial for proper cardiac function. This is achieved by pronounced flexibility in fuel selection for energy production allowing constant adaptation to changes in both energy needs and metabolic environment. It is increasingly recognised that heart disease is often associated with loss of metabolic flexibility, which may contribute to cardiac dysfunction. In this review article metabolic changes in two clinically important conditions, during postischaemic reperfusion and in heart failure, are presented and the clinical relevance discussed. Barriers for translational research are emphasised, and current and emerging imaging modalities allowing metabolic measurements, not only in the experimental setting but also in hearts of patients, are critically discussed. Full article
Show Figures

Figure 1

Previous Issue
Next Issue
Back to TopTop