- Interesting Images
74 Views
3 Pages
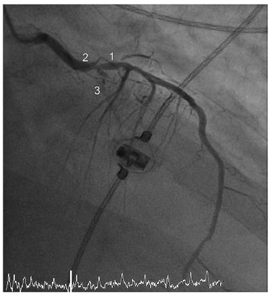
Ablative Instincts in a 22-Year-Old Patient with a Delta Wave and Syncope
- Tobias Reichlin,
- Nicola Pavlovic,
- Christian Sticherling,
- Beat Schär,
- Stefan Osswald and
- Michael Kühne
Case report A 22-year-old male experienced a presyncopal spell while studying for a university examination [...]

