Next Article in Journal
Thomas F. Lüscher Is the 6th Annual Krakoff International Lecturer in Cardiovascular Medicine
Previous Article in Journal
Book Review: Eugene Braunwald und die Moderne Medizin
 
 
Cardiovascular Medicine is published by MDPI from Volume 28 Issue 1 (2025). Previous articles were published by another publisher in Open Access under a CC-BY (or CC-BY-NC-ND) licence, and they are hosted by MDPI on mdpi.com as a courtesy and upon agreement with Editores Medicorum Helveticorum (EMH).
Font Type:
Arial Georgia Verdana
Font Size:
Aa Aa Aa
Line Spacing:
Column Width:
Background:
Case Report

Off-Pump Aortic Valve Bypass: An Alternative Technique for Treating Severe Aortic Stenosis

by
Prerana Banerjee
1,*,
Jens Fassl
2,
Martin Grapow
1,
Friedrich Eckstein
1 and
Oliver Reuthebuch
1
1
Division of Cardiac Surgery, University Hospital Basel, Spitalstrasse 21, CH-4031 Basel, Switzerland
2
Department of Anaesthesiology and Intensive Care Medicine, University Hospital Basel, Spitalstrasse 21, CH-4031 Basel, Switzerland
*
Author to whom correspondence should be addressed.
Cardiovasc. Med. 2014, 17(5), 143; https://doi.org/10.4414/cvm.2014.00240
Submission received: 28 February 2014 / Revised: 28 March 2014 / Accepted: 28 April 2014 / Published: 28 May 2014

Summary

Nowadays, the majority of patients suffering from aortic valve stenosis are treated by aortic valve replacement (AVR) or via Transcatheter Aortic Valve Implantation (TAVI). However, there is a subset of patients having severe comorbidities that either potentiate periprocedural risk or impede above-mentioned treatment: renal insufficiency, severely impaired ejection fraction, bicuspid aortic valve, large aortic annulus, ostial encroachment, redo-operation as well as severely calcified (“Porcelain”) aorta. Aortic Valve Bypass (AVB) with placement of a valved fabric graft between left apex and descending aorta is considered to be an alternative treatment for this patient cohort. Though already developed in the early 1960’s general surgical acceptance was low due to the lack of appropriate instruments and the need for Cardio Pulmonary Bypass (CPB). However, with the development of a gun-like coring device (Correx, Inc., Waltham, MA, USA) these impediments have been overcome. We report on a 72-year-old male patient suffering from aortic valve stenosis with concomitant mutilating diagnoses who was rejected for conventional surgery and transcatheter treatment. Perioperative course with implantation of the AVB between left ventricular apex and the descending thoracic aorta without CPB was uneventful as was the postoperative course. The patient could be released from the hospital in good condition on day 15.

Case

A 72-year-old male patient, with severe “low-flow-lowgradient” aortic stenosis (left ventricular ejection fraction (LVEF): 20%, mean pressure gradient: 26 mm Hg, valve orifice area: 0.7 cm2) was referred to our hospital for further therapeutic evaluation. Clinical symptoms at time of admission were those of congestive heart failure with dyspnoea NYHA III–IV. Only three months previously this patient had undergone balloon valvuloplasty (BAV) of the stenotic aortic valve. To improve his severely reduced clinical status, a second BAV was performed one week prior to surgery resulting in a mere decrease of his mean aortic pressure gradient from 15 mm Hg to 9 mm Hg. Unfortunately, there was no significant clinical improvement and indication for surgical or interventional treatment was given. Preoperative work-up was extensive and showed concomitant arterial hypertension, dyslipidaemia, diabetes mellitus type 2, obesity (BMI 38 kg/m2), a history of smoking (75 PY), permanent atrial fibrillation as well as a minimal-change glomerulonephritis with renal insufficiency (stage 3–4). Cumulative Euroscore II was 10.5%.
A CT scan was performed to evaluate aortic annular dimensions and the appropriateness for transcatheter aortic valve implantation (TAVI). However, this approach had to be rejected due to an annulus size of 34 × 27 mm (circumference of 94 mm), which would have required a larger valve than available at present. The CT scan also revealed a severely calcified ascending aorta (“porcelain aorta”), but only minor calcifications in the descending aorta. In this setting a conventional AVR was rejected because of the high risk associated with clamping of the aorta for cardioplegic arrest. Additionally, conventional AVR would have required the use of CPB, with the risk of exacerbation of the already compromised renal situation. After echocardiographic exclusion of a severe aortic valve insufficiency, which is an exclusion criterion for aortic valve bypass surgery (AVB), this treatment option was considered to be best for this patient.
The AVB consists of two components: a straight valve-containing conduit with a 23 mm porcine valve and an 18 mm angled left ventricular connector (Correx, Inc., Waltham, MA, USA). Conceptionally the AVB preempts the stenotic aortic valve by bypassing the blood-flow via left ventricular apex into the descending aorta.
Figure 1. Valved conduit with the attached 8 mm Dacron® side-branch already grafted to the descending aorta.
Figure 1. Valved conduit with the attached 8 mm Dacron® side-branch already grafted to the descending aorta.
Cardiovascmed 17 00143 g001
Figure 2. The gun-like applicator with mounted left ventricular connector and flushed balloon.
Figure 2. The gun-like applicator with mounted left ventricular connector and flushed balloon.
Cardiovascmed 17 00143 g002
The patient was placed in the right lateral decubitus position. CPB was on standby. A guide-wire was placed via the left femoral vein in the right atrium for possible venous access and an 8 mm vascular graft was attached to the valved conduit. This setting was supposed for controlled access for ECC in case of emergency. The operation was performed off-pump, through a left anterolateral thoracotomy with right-sided one-lung ventilation. After administering heparin, a side-biting clamp was placed on the descending aorta. After adjustment of length to prevent kinking, the valved conduit with the 8 mm vascular tube was end-to-side grafted to the descending aorta with pledgeted single prolene 3/0 sutures. Haemostasis was meticulously controlled.
Figure 3. Pledgeted 2/0 prolene sutures for fixation of the LV-connector at the apex.
Figure 3. Pledgeted 2/0 prolene sutures for fixation of the LV-connector at the apex.
Cardiovascmed 17 00143 g003
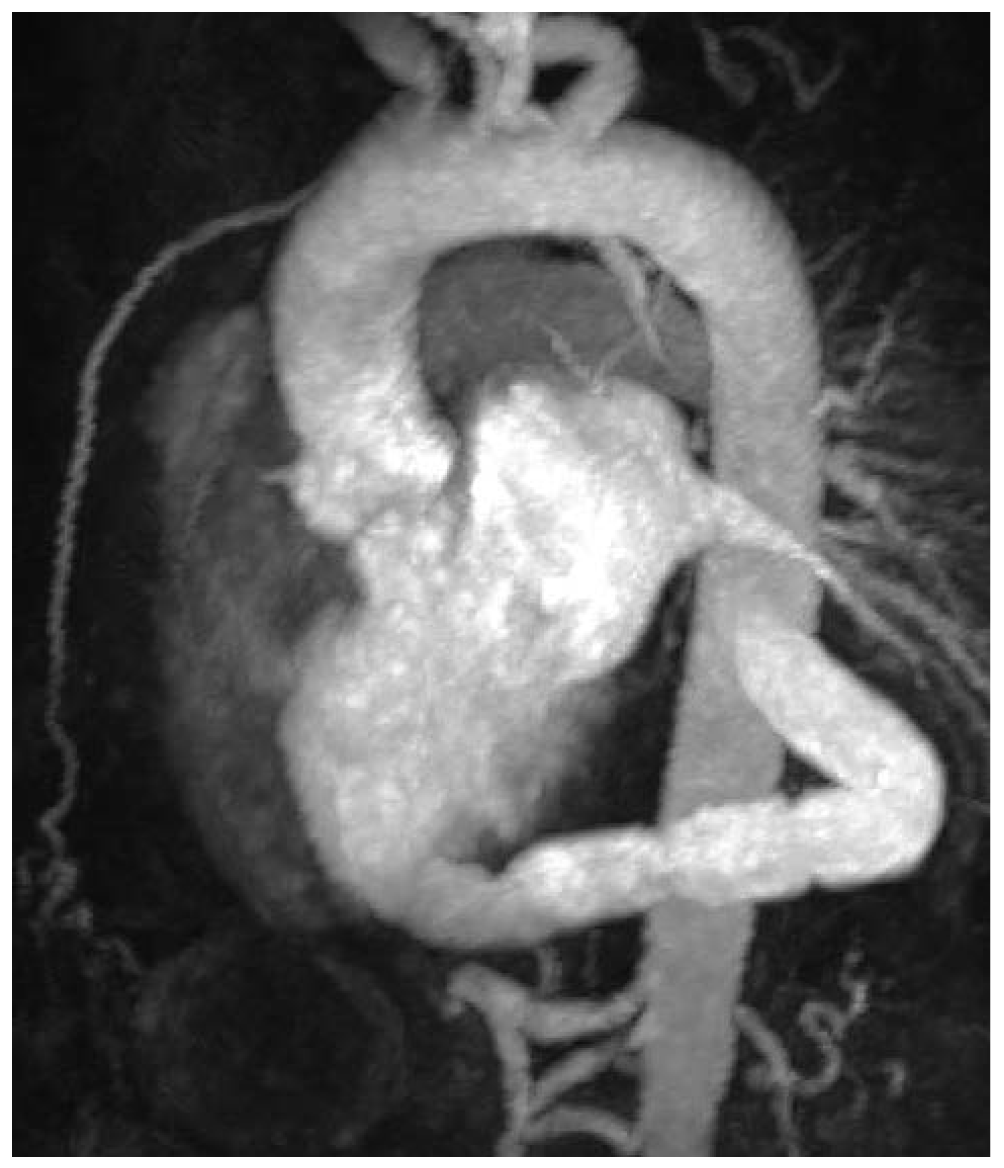
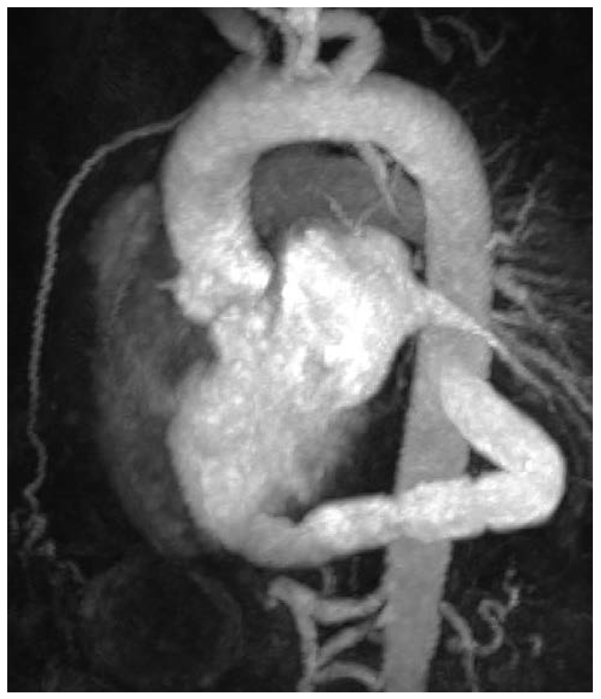
Figure 4. Postoperative MRI showing correct position of the AVB.
Figure 4. Postoperative MRI showing correct position of the AVB.
Cardiovascmed 17 00143 g004
After opening the pericardium, the insertion position of the 18 mm apical connector was marked lateral to the apex. Seven pledgeted prolene 2/0 sutures were passed circumferentially through the myocardium. By means of the automated coring device, the apical connector was placed off-pump in the ventricular wall and sutures carefully tied. The coring device was removed and both conduits connected. They were secured with prolene 4/0 sutures as well as umbilical tape. The deairing clamps were released and flow initiated. Haemostasis chest tubes were inserted and thoracotomy closed in usual fashion.
Despite preexisting atrial fibrillation, the patient stayed haemodynamically stable throughout the operation requiring only low doses of noradrenalin, adrenalin and fluid. Heparin was fully reversed with protamine. He was given one unit of red blood cell concentrate and 240 ml of cell-saver blood were transfused.
Intraoperative transoesophageal echocardiography confirmed the left ventricular EF of 22%. Positioning of the apical connector was as predicted with no interference with septal tissue or the subvalvular apparatus. Along the course of the conduit no stenosis or obstruction was detected.
The postoperative course was uneventful except for a delirium, which was medically treated. Augmentin® was given preemptively up to the tenth postoperative day to prevent wound infection.
A MRI scan of the heart was performed on day fourteen after surgery. Flow measurement demonstrated 55% of cardiac output passed via conduit. Cardiac output of 2.1 l/min was measured in the ascending aorta and of 2.6 l/min in the descending aorta, with a total of 4.7 l/min. Minimal flow was shown in the descending aorta distal to the subclavian artery and proximal to the conduit. Bioprosthetic regurgitation was excluded in the MRI.
The patient was discharged for routine cardiac rehabilitation with greatly improved health condition in NYHA class I–II.
Follow-up after three months revealed stable clinical conditions in a satisfied patient remaining in NYHA class I. He is again capable of undertaking normal daily activities and longer walks up to 5 km. Because of musculoskeletal degeneration due to longer immobilisation, he is still improving with physical therapy.

Discussion

With the rise of TAVI nowadays as well as extensive experience in conventional aortic valve surgery the vast majority of patients suffering from aortic stenosis can be safely treated. However, there is a cohort of patients that may benefit from this novel off-pump implantation of a valved apico-descending graft, the Correx® AVB [1]. In the presented case the large size of the annulus prevented implantation of a TAVI and the porcelain ascending aorta as well as the impaired renal function prohibited the use of extracorporeal circulation for conventional aortic valve replacement.
The concept of apico-aortic conduits is long known. In the mid-1950’s Sarnoff et al. published his idea of treating aortic stenosis [2]. However, the need for extracorporeal circulation and the lack of appropriate instrumentarium made the procedure highly sophisticated resulting in a low adoption of the technique amidst the surgical community. Hence, patients treated with this technique show good long-term results with improved quality of life [3]. Vliek et al. have also shown that after aortic valve bypass surgery there is a longterm stability of left ventricular haemodynamics with no progression of native aortic valve stenosis. The flow distribution through the native aortic valve and the conduit can be predicted and additionally there is an increase in stroke volume and midterm preservation of LVEF [4].
In 2012 the group of Gammie described a novel tool for facilitated implantation of an AVB without the need for extracorporeal circulation [5]. This technique encompasses a gun-like applicator that not only cores the apex, but also secures the tissue plug, cares for haemostasis and implants the left ventricular connector.
With this method in mind, we appraised our patient to be an appropriate candidate for this treatment. Despite his severe obesity, the reduced ejection fraction as well as the long-standing persistent atrial fibrillation, the intraoperative course was uneventful. As was the postoperative history with only transient delirium resulting in discharge on postoperative day 15 and significant improvement of NYHA classification.
In conclusion we could show the effectiveness of this novel technique of off-pump AVB implantation in a patient otherwise not amenable for treating his severe aortic stenosis.

Funding/potential competing interests

No financial support and no other potential conflict of interest relevant to this article were reported.

References

  1. Reuthebuch, O.; Fassl, J.; Brown, J.; Grapow, M.; Eckstein, F. Early experiences and in-hospital results with a novel off-pump apico-aortic conduit. Interact. Cardiovasc. Thorac. Surg. 2013, 16, 482–487. [Google Scholar] [CrossRef] [PubMed][Green Version]
  2. Sarnoff, S.J.; Donovan, T.J.; Case, R.B. The surgical relief of aortic stenosis by means of a apical-aortic valvular anastomosis. Circulation 1955, 11, 564–575. [Google Scholar] [CrossRef] [PubMed]
  3. Elmistekawy, E.; Lapierre, H.; Mesana, T.; Ruel, M. Apico-aortic conduit for severe aortic stenosis: Technique, applications and systemic review. J. Saudi Heart Assoc. 2010, 22, 187–194. [Google Scholar] [CrossRef] [PubMed]
  4. Vliek, C.J.; Balaras, E.; Li, S.; Lin, J.Y.; Young, C.A.; DeFilippi, C.R.; et al. Early and midterm hemodynamics after aortic valve bypass (apicoaortic conduit) surgery. Ann. Thorac. Surg. 2010, 90, 136–143. [Google Scholar] [CrossRef] [PubMed]
  5. Adams, C.; Guo, L.R.; Jones, P.M.; Harle, C.; Brown, J.W.; Gammie, J.S. Automated coring and apical connector insertion device for aortic valve bypass surgery. Ann. Thorac. Surg. 2012, 93, 290–293. [Google Scholar] [CrossRef] [PubMed]

Share and Cite

MDPI and ACS Style

Banerjee, P.; Fassl, J.; Grapow, M.; Eckstein, F.; Reuthebuch, O. Off-Pump Aortic Valve Bypass: An Alternative Technique for Treating Severe Aortic Stenosis. Cardiovasc. Med. 2014, 17, 143. https://doi.org/10.4414/cvm.2014.00240

AMA Style

Banerjee P, Fassl J, Grapow M, Eckstein F, Reuthebuch O. Off-Pump Aortic Valve Bypass: An Alternative Technique for Treating Severe Aortic Stenosis. Cardiovascular Medicine. 2014; 17(5):143. https://doi.org/10.4414/cvm.2014.00240

Chicago/Turabian Style

Banerjee, Prerana, Jens Fassl, Martin Grapow, Friedrich Eckstein, and Oliver Reuthebuch. 2014. "Off-Pump Aortic Valve Bypass: An Alternative Technique for Treating Severe Aortic Stenosis" Cardiovascular Medicine 17, no. 5: 143. https://doi.org/10.4414/cvm.2014.00240

APA Style

Banerjee, P., Fassl, J., Grapow, M., Eckstein, F., & Reuthebuch, O. (2014). Off-Pump Aortic Valve Bypass: An Alternative Technique for Treating Severe Aortic Stenosis. Cardiovascular Medicine, 17(5), 143. https://doi.org/10.4414/cvm.2014.00240

Article Metrics

Back to TopTop