- Review
Differentielle Bildgebung bei der Beurteilung der Mitralinsuffizienz
- Christoph Fässler,
- Bernhard A. Herzog,
- Felix C. Tanner,
- Philipp A. Kaufmann and
- Patric Biaggi
Differential imaging in the evaluation of mitral valve insufficiency
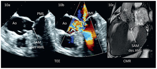
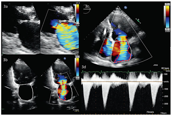
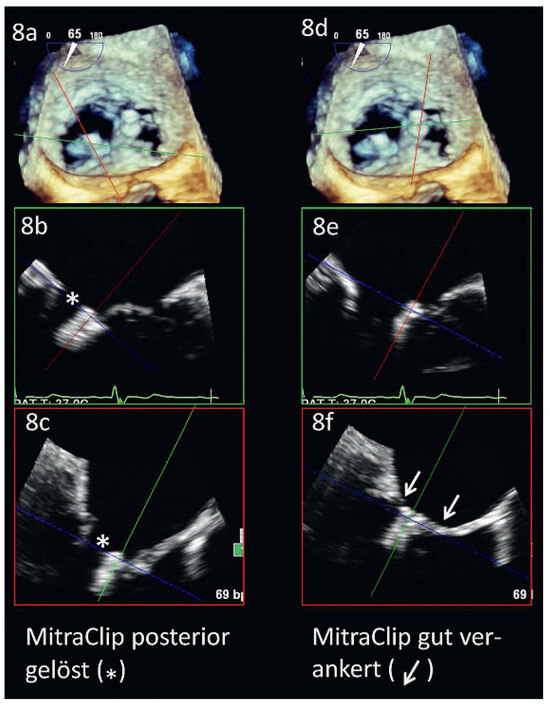
In current clinical practice, choosing the optimal imaging technique for the quantification and differential diagnosis of mitral valve insufficiency constitutes a challenge, even for...

