Next Issue
Volume 14, 08
Previous Issue
Volume 14, 05
 
 
cardiovascmed-logo

Journal Browser

Journal Browser
Cardiovascular Medicine is published by MDPI from Volume 28 Issue 1 (2025). Previous articles were published by another publisher in Open Access under a CC-BY (or CC-BY-NC-ND) licence, and they are hosted by MDPI on mdpi.com as a courtesy and upon agreement with Editores Medicorum Helveticorum (EMH).

Cardiovasc. Med., Volume 14, Issue 6 (06 2011) – 7 articles

  • Issues are regarded as officially published after their release is announced to the table of contents alert mailing list.
  • You may sign up for e-mail alerts to receive table of contents of newly released issues.
  • PDF is the official format for papers published in both, html and pdf forms. To view the papers in pdf format, click on the "PDF Full-text" link, and use the free Adobe Reader to open them.
Order results
Result details
Select all
Export citation of selected articles as:
2 pages, 243 KB  
Interesting Images
Myocardial Infarction in a Patient with a Single Coronary Artery
by Marcus Mutschelknauss, Peter T. Buser, Christoph Kaiser, Jean-Luc Crevoisier and Michael J. Zellweger
Cardiovasc. Med. 2011, 14(6), 195; https://doi.org/10.4414/cvm.2011.01596 - 29 Jun 2011
Viewed by 75
Abstract
A 56-year-old male patient was admitted because of ST-elevation myocardial infarction (STEMI) with STelevations in lead I and aVL [...] Full article
Show Figures

Figure 1

799 KB  
Interesting Images
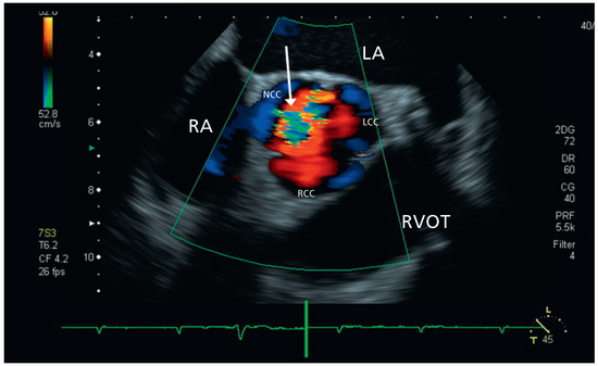
Aortic Valve Rupture Due to a Motorcycle Accident
by Daniela Vocke, Igal Moarof, Peter Matt and Pablo Anabitarte
Cardiovasc. Med. 2011, 14(6), 192; https://doi.org/10.4414/cvm.2011.01597 - 29 Jun 2011
Viewed by 93
Abstract
A 62-year-old male patient was admitted as a result of a motorcycle accident [...] Full article
Show Figures

Figure 1

3 pages, 335 KB  
Case Report
Use of Double Wire Traction for Removal of Pacemaker Leads
by Christine Arnold, Joanna Tenkorang, Juerg Schlaepfer and Martin Fromer
Cardiovasc. Med. 2011, 14(6), 189; https://doi.org/10.4414/cvm.2011.01599 - 29 Jun 2011
Viewed by 101
Abstract
Retraction of device leads may be a risky procedure. We report a case of a patient with a pacemaker pocket infection and two abandoned leads. Locking stylets were introduced in each electrode and both stylets were pulled through the rotating blade with simultaneous [...] Read more.
Retraction of device leads may be a risky procedure. We report a case of a patient with a pacemaker pocket infection and two abandoned leads. Locking stylets were introduced in each electrode and both stylets were pulled through the rotating blade with simultaneous retraction and rotation of the blade. This technique allowed successful liberation of both leads at once. Full article
Show Figures

Figure 1

4 pages, 607 KB  
Case Report
An Unusual Case of Large Vessel Vasculitis Associated with Pyoderma Gangrenosum: The Natural History of the Disease
by Julija Klimusina, Michel Oberson, Marcello Di Valentino, Michel Ruchat, Rolf Wyttenbach, Mario Alerci, Jeanne Marie Segatto, Andrea Menafoglio, Claudio Marone, Ludwig K. von Segesser and Augusto Gallino
Cardiovasc. Med. 2011, 14(6), 185; https://doi.org/10.4414/cvm.2011.01595 - 29 Jun 2011
Viewed by 110
Abstract
We report a case of a patient with a long history of pyoderma gangrenosum (PG), in whom large vessel vasculitis, most likely Takayasu arteritis (TA), manifested many years after the diagnosis of PG and showed a rapid progression within four years, resulting in [...] Read more.
We report a case of a patient with a long history of pyoderma gangrenosum (PG), in whom large vessel vasculitis, most likely Takayasu arteritis (TA), manifested many years after the diagnosis of PG and showed a rapid progression within four years, resulting in two invasive interventions. We describe the challenges of the management of the disease in our patient, the application of new pharmacological agents and the natural history of this rare disorder. Full article
Show Figures

Figure 1

3 pages, 428 KB  
Case Report
Dyspnée et Hypertension Artérielle Pulmonaire Sévère chez une Femme Âgée
by Davide Muratori, Alain Delabays and Ludovic Perrin
Cardiovasc. Med. 2011, 14(6), 182; https://doi.org/10.4414/cvm.2011.01594 - 29 Jun 2011
Cited by 1 | Viewed by 78
Abstract
We describe the case of a 79-year-old female patient presenting with an exacerbated exertional dyspnoea. Clinical findings showed mild signs of right heart failure. Echocardiography detected right atrial and right ventricular dilatation, with moderate to severe PH and normal biventricular systolic function. There [...] Read more.
We describe the case of a 79-year-old female patient presenting with an exacerbated exertional dyspnoea. Clinical findings showed mild signs of right heart failure. Echocardiography detected right atrial and right ventricular dilatation, with moderate to severe PH and normal biventricular systolic function. There was no atrial septal defect. The patient was submitted to a thoracic CT scan for a suspicion of thrombo-embolic disease. To our surprise, this investigation demonstrated an isolated anomalous drainage of the left superior pulmonary vein into the left innominate vein. We attributed the pulmonary hypertension to the associated left to right shunt. Full article
Show Figures

Figure 1

6 pages, 144 KB  
Article
Morbidity and Mortality in Children and Adolescents Listed for Heart Transplantation
by Sarah Frey, René Prêtre, Brian Stiasny, Georg Noll, Frank Ruschitzka and Christian Balmer
Cardiovasc. Med. 2011, 14(6), 176; https://doi.org/10.4414/cvm.2011.01600 - 29 Jun 2011
Viewed by 98
Abstract
Aim: This study aimed to summarise our recent clinical experience with children and adolescents selected for heart transplantation with a focus on morbidity and mortality during the waiting time. Methods: This was a single centre, retrospective study of all consecutive patients [...] Read more.
Aim: This study aimed to summarise our recent clinical experience with children and adolescents selected for heart transplantation with a focus on morbidity and mortality during the waiting time. Methods: This was a single centre, retrospective study of all consecutive patients listed for heart transplantation between 1994 and 2008 who were less than 20 years old. Clinical parameters, ECG, echocardiography and catheter data as well as duration and complications of mechanical circulatory support, were reviewed from the date of listing to the date of transplantation or death. Results: The study population consisted of 20 patients with a median age at the time of listing of 13.8 years (range 1–19.6 years). Cardiomyopathy was present in 17 patients (dilated 11, restrictive 3, hypertrophic 1 and unclassified 2) and a congenital heart defect was present in 3. In 13/20 patients, a significant arrhythmia was noted: ventricular fibrillation 2, non sustained ventricular tachycardia 6, supraventricular tachycardia 8 and complete atrioventricular block 4 events. A total of five patients died whilst on the waiting list. The median time to transplantation or death was 61 days (range 1–318 days). The estimated survival rate (Kaplan Meier) was 88, 71 and 47% at 1, 3 and 5 months respectively. There was no difference between the patients who died on the waiting list and the patients who survived to transplantation regarding age, sex, heart failure, arrhythmia and echocardiographic findings. Patients with dilated cardiomyopathy were overrepresented in the group who survived to transplantation (13/15 versus 1/5, p 0.014). Mechanical circulatory support was used in 13/20 patients for a median duration of 59 days (range 1–361 days) resulting in 18 events of complications: thrombosis or embolia 6, bleeding 9, and significant infection or sepsis 3 events. In one patient, a clinically relevant hemisydrome persisted. Conclusion: The survival to transplantation rate was acceptable in our cohort and is similar to other studies. There were relatively few deaths in patients with dilated cardiomyopathy. Otherwise, an adverse outcome cannot be predicted from clinical or haemodynamic data at the time of listing for transplantation. Thrombo-embolic events continue to be a major issue in patients with mechanical circulatory support. Full article
Show Figures

Figure 1

5 pages, 299 KB  
Review
Missbrauch von Androgenen Anabolen Steroiden: Effekte auf das Herz-Kreislauf-System
by Thomas W. Weiss, Dan Atar and Paul Vanberg
Cardiovasc. Med. 2011, 14(6), 171; https://doi.org/10.4414/cvm.2011.01598 - 29 Jun 2011
Viewed by 113
Abstract
Abuse of anabolic androgenic steroids (AAS) has been linked to a variety of different cardiovascular side effects. In case reports, acute myocardial infarction is the most common event presented, but other adverse cardiovascular effects such as left ventricular hypertrophy, reduced left ventricular function, [...] Read more.
Abuse of anabolic androgenic steroids (AAS) has been linked to a variety of different cardiovascular side effects. In case reports, acute myocardial infarction is the most common event presented, but other adverse cardiovascular effects such as left ventricular hypertrophy, reduced left ventricular function, arterial thrombosis, pulmonary embolism and several cases of sudden cardiac death have also been reported. However, to date there are no prospective, randomised, intervention studies on the long-term cardiovascular effects of abuse of AAS. In this review we have studied the relevant literature regarding several risk factors for cardiovascular disease where the effects of AAS have been scrutinised: (1.) Echocardiographic studies, (2.) hypertension, (3.) coronary calcification, (4.) thrombosis, haemostasis and fibrinolysis, (5.) lipid metabolism and (6.) arrhythmia. Taken together, various lines of evidence involving a variety of pathophysiologic mechanisms suggest an increased risk for cardiovascular disease in users of anabolic androgenic steroids. Full article
Show Figures

Figure 1

Previous Issue
Next Issue
Back to TopTop