- Case Report
Morbus Behçet Associated Aortitis Mimicking Infective Endocarditis
- Ronald K. Bindera,
- Valerie Stolta,
- Lars Englbergerb,
- Daniel Aeberlic,
- Nasan Walpotha,
- Jan Janzend and
- Yves Allemanna
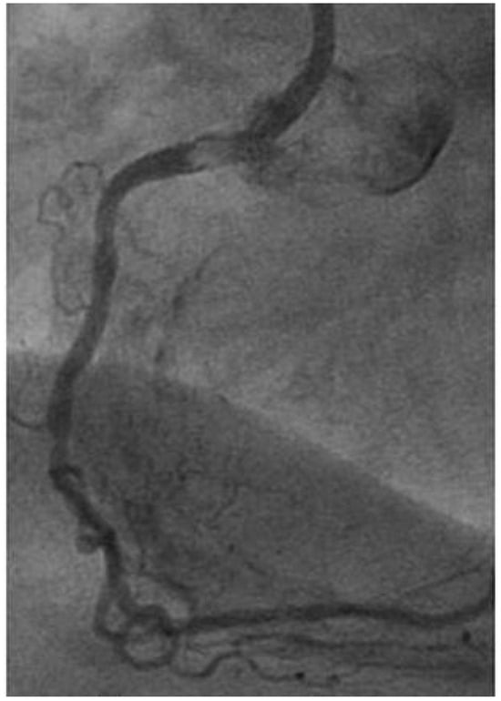
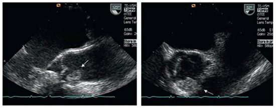
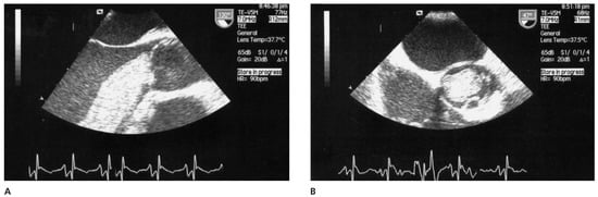
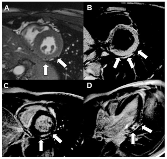
A patient with Morbus Behçet was admitted with severe symptomatic aortic regurgitation caused by aortitis that mimicked infective endocarditis. After aortic valve replacement and antibiotic treatment, regurgitation and systemic inflammation recurred....

