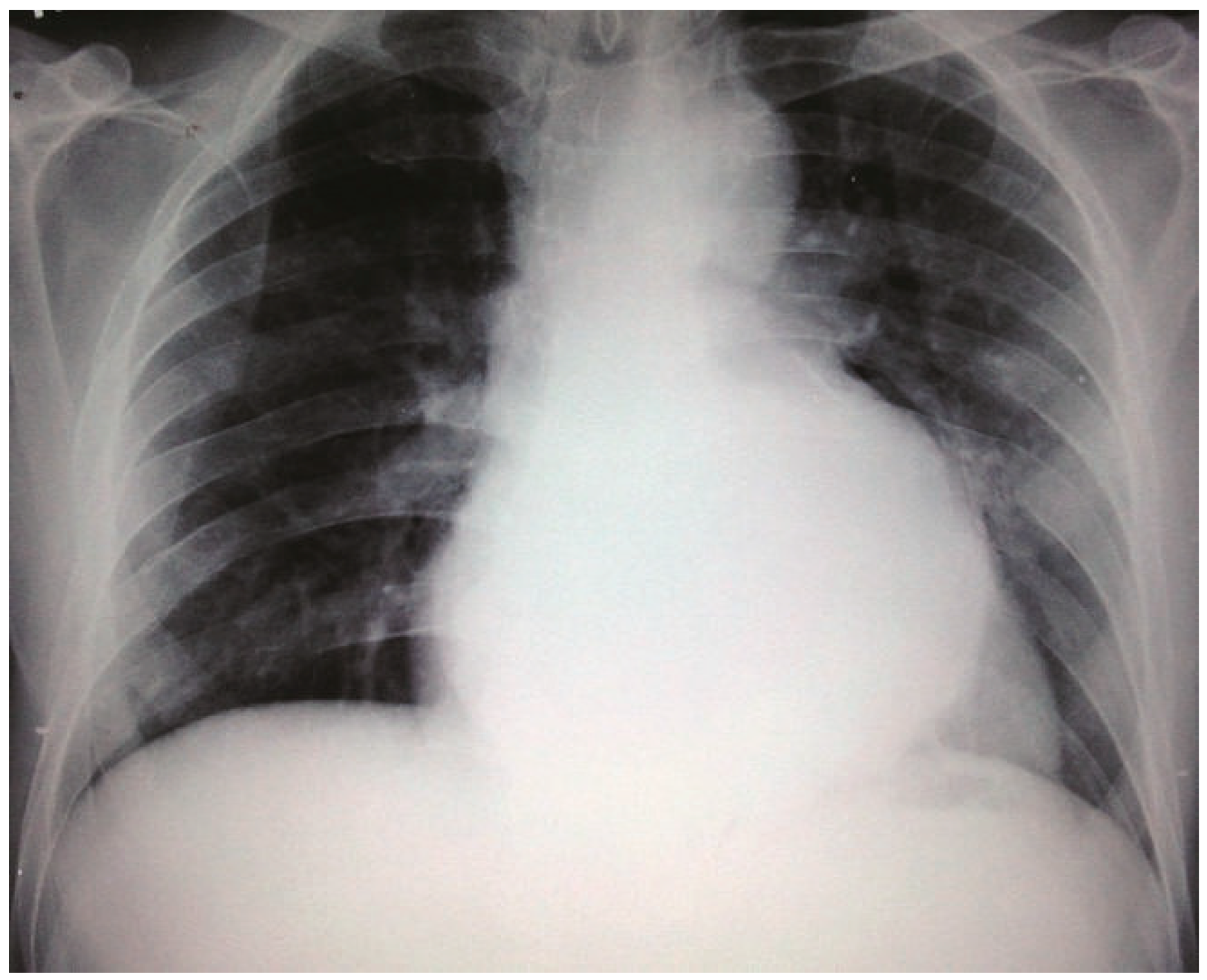
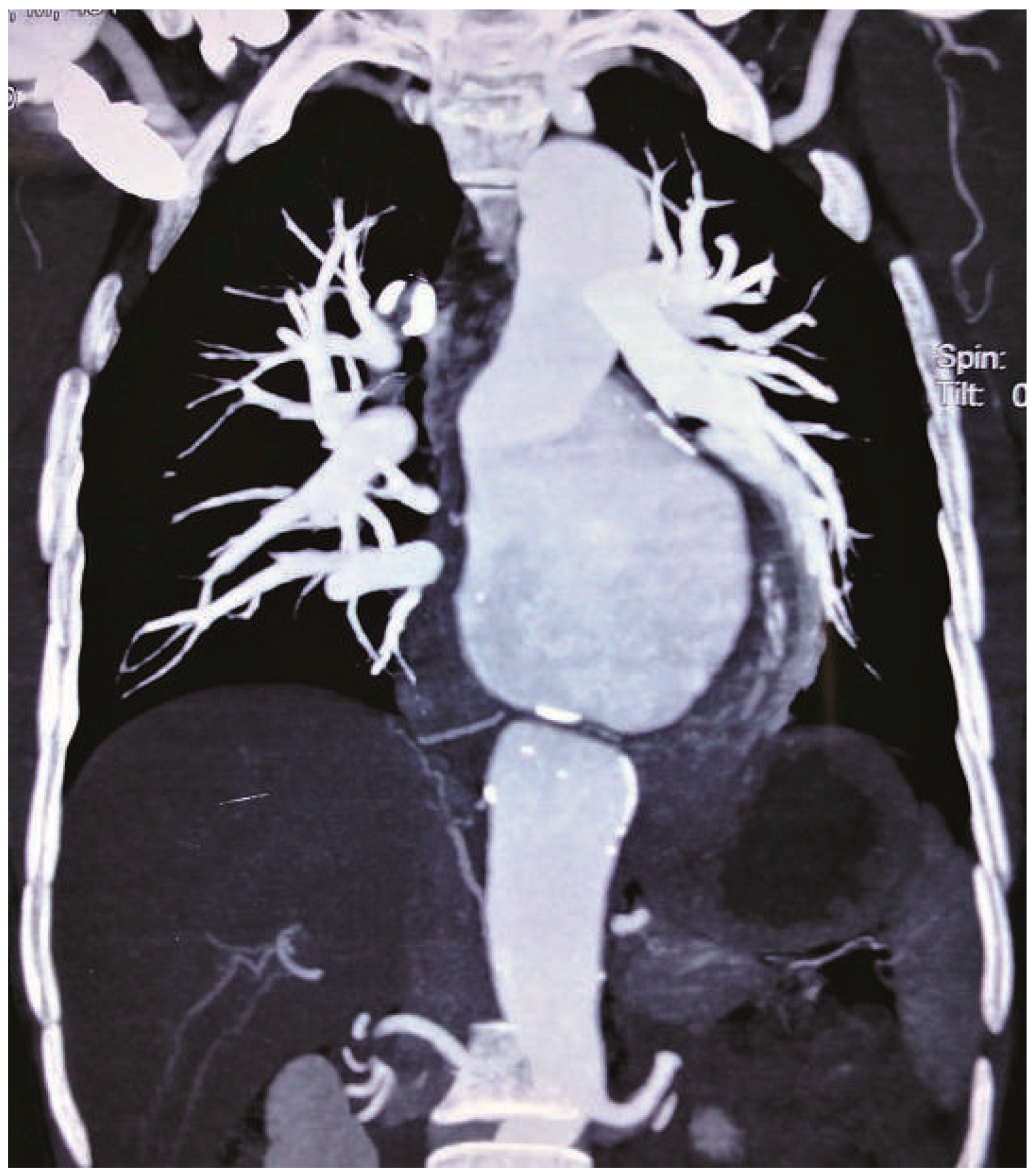
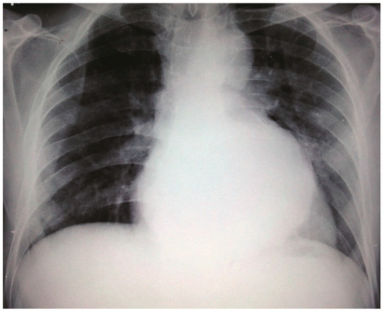
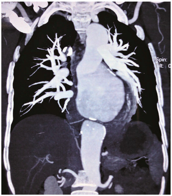
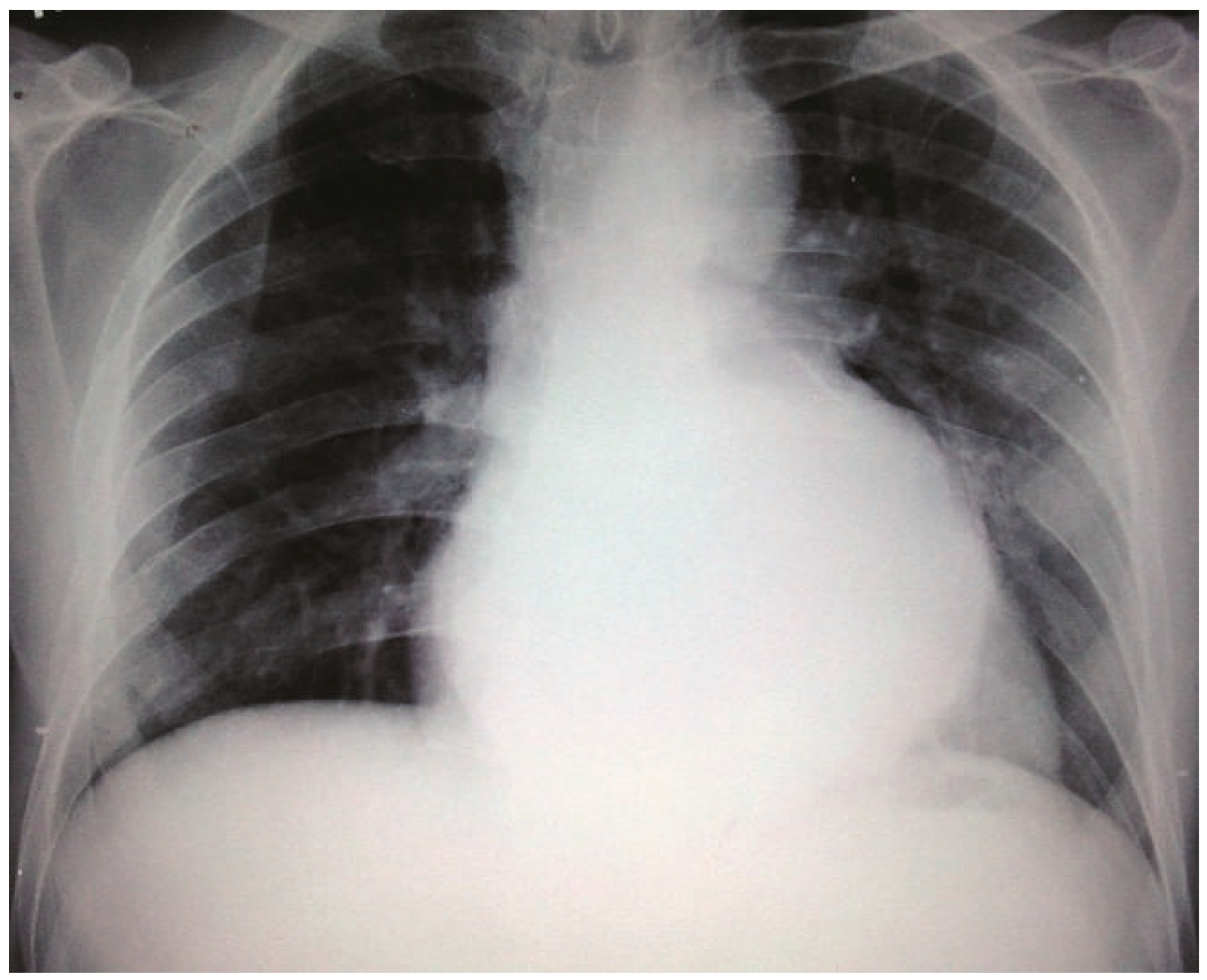
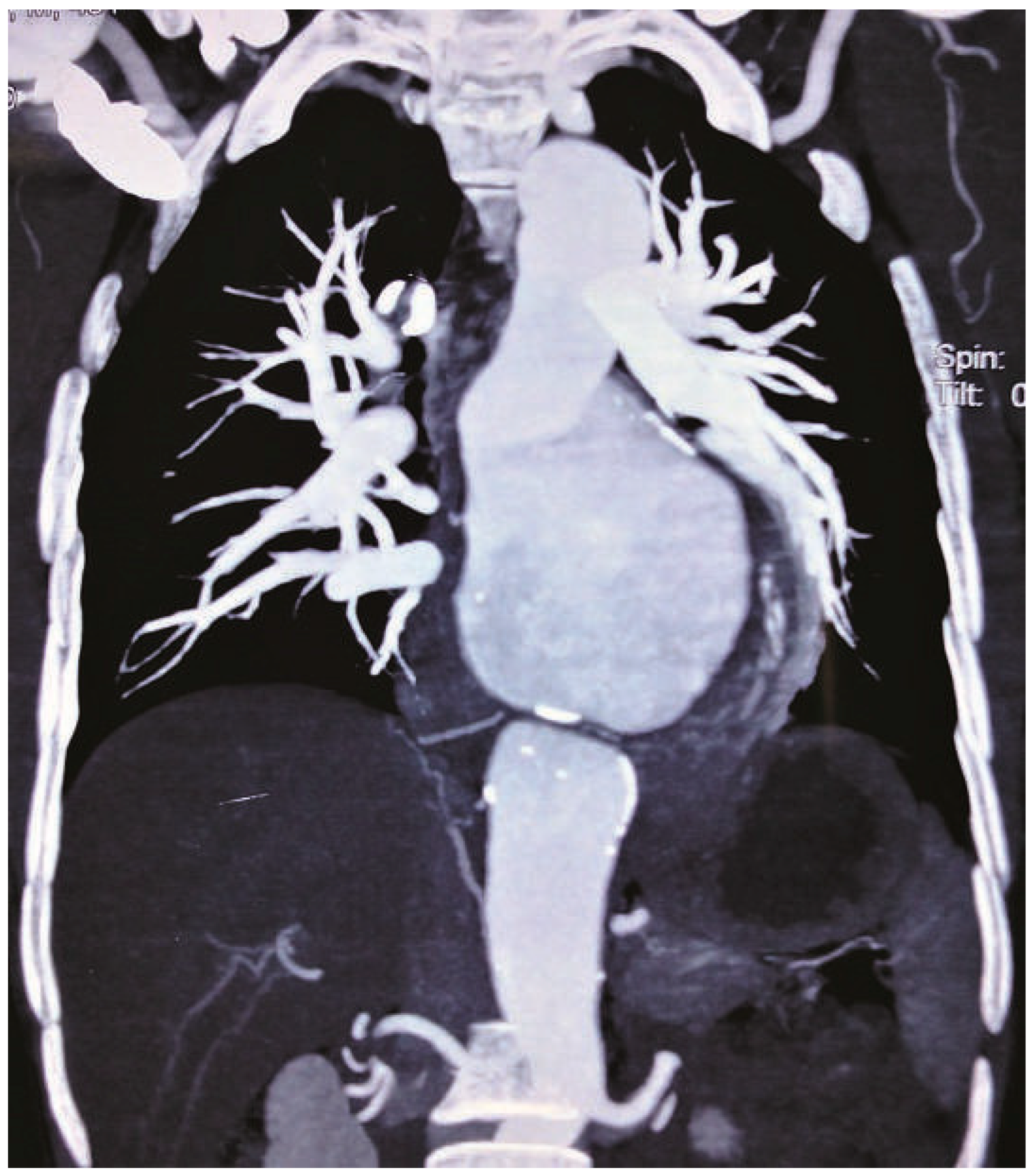
Neo Snowman in X-Ray
Case report



© 2011 by the author. Attribution - Non-Commercial - NoDerivatives 4.0.
Share and Cite
Panneerselvam, A.; Ananthakrishna, R.; Bhat, P.; Nanjappa, M.C. Neo Snowman in X-Ray. Cardiovasc. Med. 2011, 14, 325. https://doi.org/10.4414/cvm.2011.01626
Panneerselvam A, Ananthakrishna R, Bhat P, Nanjappa MC. Neo Snowman in X-Ray. Cardiovascular Medicine. 2011; 14(11):325. https://doi.org/10.4414/cvm.2011.01626
Chicago/Turabian StylePanneerselvam, Arunkumar, Rajiv Ananthakrishna, Prabhavathi Bhat, and Manjunath C Nanjappa. 2011. "Neo Snowman in X-Ray" Cardiovascular Medicine 14, no. 11: 325. https://doi.org/10.4414/cvm.2011.01626
APA StylePanneerselvam, A., Ananthakrishna, R., Bhat, P., & Nanjappa, M. C. (2011). Neo Snowman in X-Ray. Cardiovascular Medicine, 14(11), 325. https://doi.org/10.4414/cvm.2011.01626
