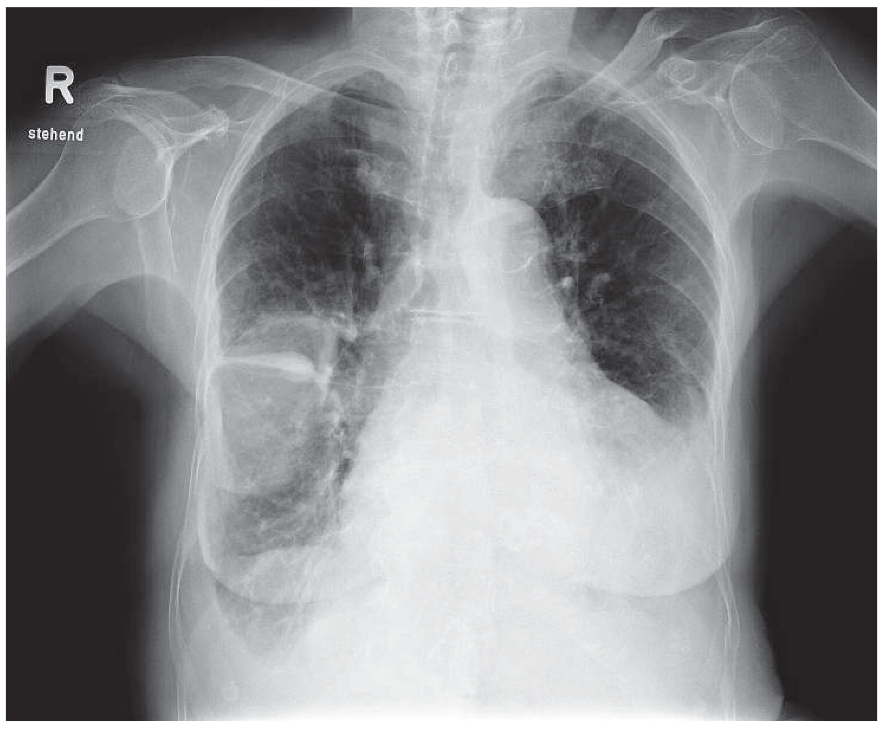
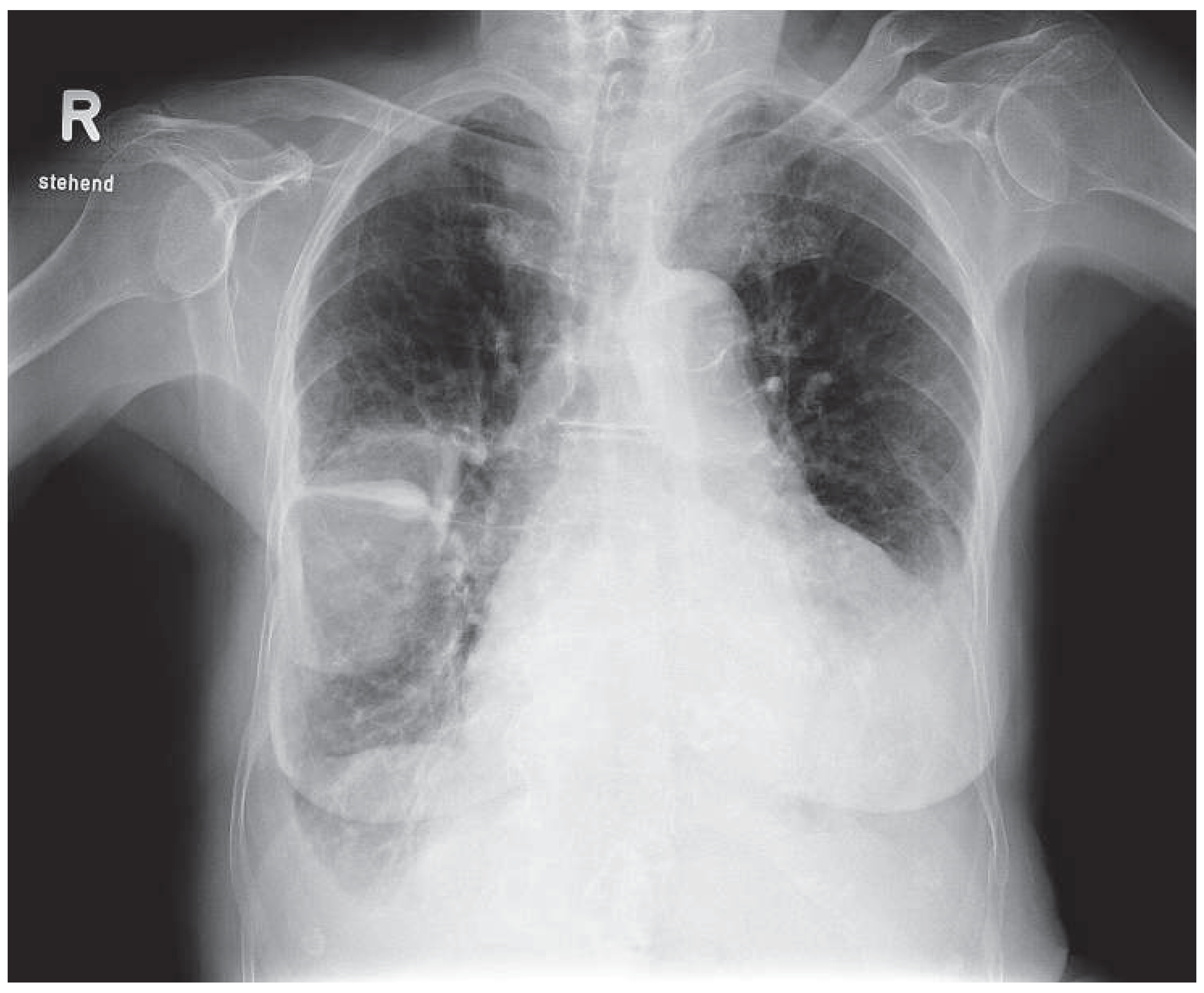
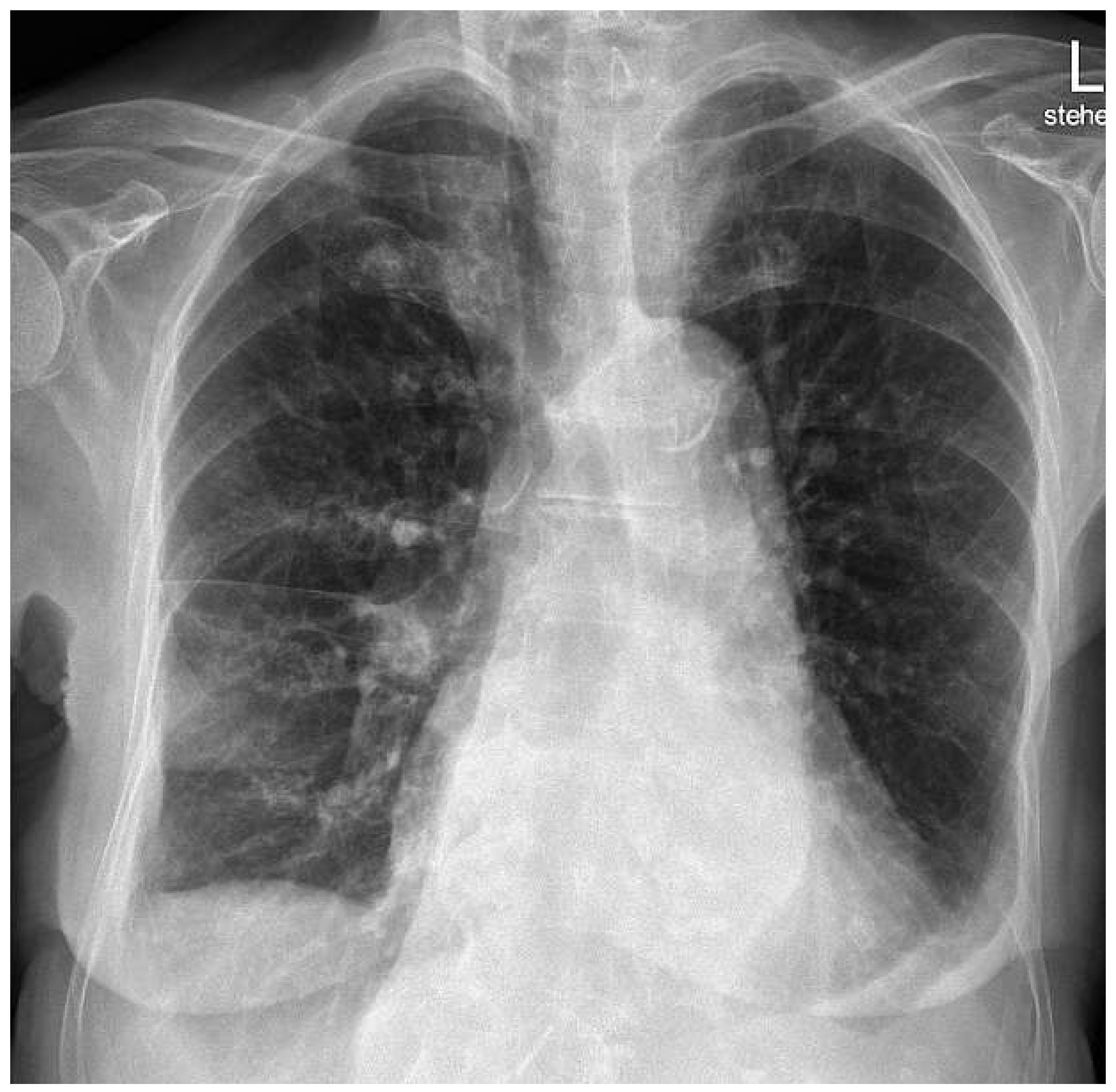
Phantom Tumour of the Lung
Case report
References
- Maisel, A.S.; Krishnaswamy, P.; Novak, R.M.; McCord, J.; Hollander, J.E.; Duc, P.; et al. Rapid Measurement of B-type natriuretic peptide in the emergency diagnosis of heart failure. NEJM. 2002, 347, 161–7. [Google Scholar] [CrossRef] [PubMed]
- Nohria, A.; Mielniczuk, L.M.; Stevenson, L.W. Evaluation and monitoring of patients with acute heart failure syndromes. Am J Cardiol. 2005, 96, 32G. [Google Scholar] [CrossRef] [PubMed]
- Gefter, W.I.; Boucot, K.R.; Marshall, E.W. Localized interlobar effusion in congestive heart failure; vanishing tumor of the lung. Circulation. 1950, 2, 336–43. [Google Scholar] [CrossRef] [PubMed]
- Haus, B.M.; Stark, P.; Shofer, S.L.; Kuschner, W.G. Massive pulmonary pseudotumor. Chest. 2003, 124, 758–60. [Google Scholar] [CrossRef] [PubMed]
- Buch, K.P.; Morehead, R.S. Multiple left-sided vanishing tumors. Chest. 2000, 118, 1486–9. [Google Scholar] [CrossRef] [PubMed]


© 2011 by the author. Attribution - Non-Commercial - NoDerivatives 4.0.
Share and Cite
Gilhofer, T.S.; Huber, L.C. Phantom Tumour of the Lung. Cardiovasc. Med. 2011, 14, 327. https://doi.org/10.4414/cvm.2011.01625
Gilhofer TS, Huber LC. Phantom Tumour of the Lung. Cardiovascular Medicine. 2011; 14(11):327. https://doi.org/10.4414/cvm.2011.01625
Chicago/Turabian StyleGilhofer, Thomas Sebastian, and Lars C. Huber. 2011. "Phantom Tumour of the Lung" Cardiovascular Medicine 14, no. 11: 327. https://doi.org/10.4414/cvm.2011.01625
APA StyleGilhofer, T. S., & Huber, L. C. (2011). Phantom Tumour of the Lung. Cardiovascular Medicine, 14(11), 327. https://doi.org/10.4414/cvm.2011.01625
