- Interesting Images
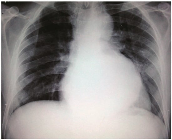
Neo Snowman in X-Ray
- Arunkumar Panneerselvam,
- Rajiv Ananthakrishna,
- Prabhavathi Bhat and
- Manjunath C Nanjappa
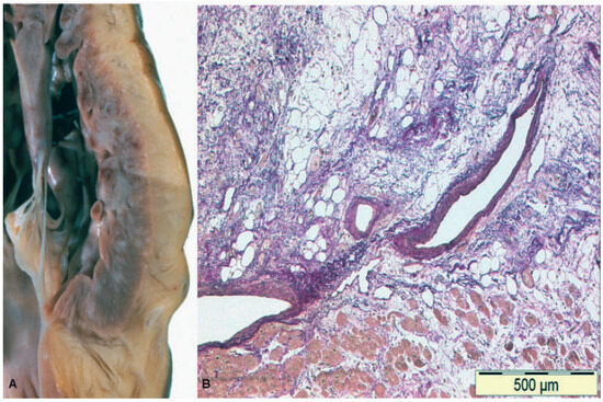
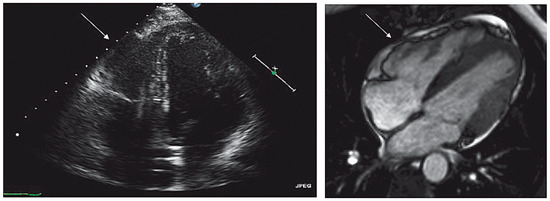
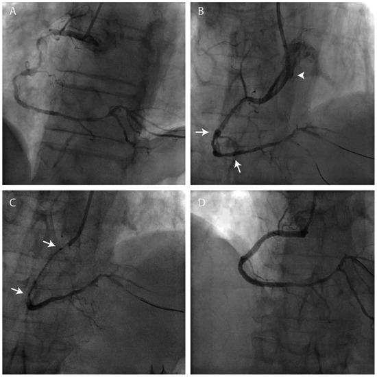
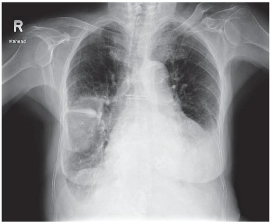
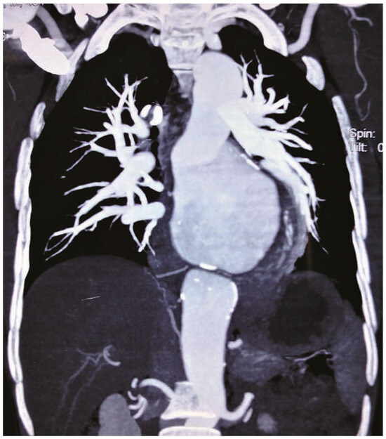
Case report. A 63-year-old hypertensive male presented with atypical chest discomfort and breathlessness on exertion [...]

