Next Issue
Volume 10, 08
Previous Issue
Volume 10, 05
 
 
cardiovascmed-logo

Journal Browser

Journal Browser
Cardiovascular Medicine is published by MDPI from Volume 28 Issue 1 (2025). Previous articles were published by another publisher in Open Access under a CC-BY (or CC-BY-NC-ND) licence, and they are hosted by MDPI on mdpi.com as a courtesy and upon agreement with Editores Medicorum Helveticorum (EMH).

Cardiovasc. Med., Volume 10, Issue 6 (06 2007) – 6 articles

  • Issues are regarded as officially published after their release is announced to the table of contents alert mailing list.
  • You may sign up for e-mail alerts to receive table of contents of newly released issues.
  • PDF is the official format for papers published in both, html and pdf forms. To view the papers in pdf format, click on the "PDF Full-text" link, and use the free Adobe Reader to open them.
Order results
Result details
Select all
Export citation of selected articles as:
8 pages, 319 KB  
Communication
Cardio Vasc Suisse: Rehabilitationsstrukturen
by Ulrike Körner and Andreas Hoffmann
Cardiovasc. Med. 2007, 10(6), 213; https://doi.org/10.4414/cvm.2007.01254 - 29 Jun 2007
Viewed by 96
Abstract
Ausgangslage. CardioVascSuisse verbindet als Netzwerk derzeit 21 kardiovaskuläre Fachgesellschaften, Stiftungen und Patientenorganisationen [...] Full article
Show Figures

Figure 1

1 pages, 199 KB  
Interesting Images
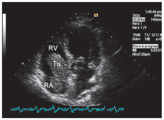
Endometrial Stromal Sarcoma—A Rare Tumor Invading the Heart
by Jens Seiler, Volkhard Göber and B. Nazan Walpoth
Cardiovasc. Med. 2007, 10(6), 212; https://doi.org/10.4414/cvm.2007.01249 - 29 Jun 2007
Viewed by 107
Abstract
A 47-year-old female patient presented with progressive dyspnea on exertion, abdominal pain, loss of weight and tachycardia [...] Full article
Show Figures

Figure 1

2 pages, 305 KB  
Interesting Images
«Critical Incident» in der Kardiologie
by Barbara Naegeli
Cardiovasc. Med. 2007, 10(6), 210; https://doi.org/10.4414/cvm.2007.01250 - 29 Jun 2007
Viewed by 110
Abstract
Einer 80jährigen Patientin wurde wegen eines intermittierenden, symptomatischen AVBlocks 3 [...] Full article
Show Figures

Figure 1

8 pages, 511 KB  
Editorial
Fréquence Cardiaque Élevée Comme Facteur de Risque Cardiovasculaire: Que Dit L’évidence?
by Stéphane Cook, and Otto M. Hess
Cardiovasc. Med. 2007, 10(6), 202; https://doi.org/10.4414/cvm.2007.01252 - 29 Jun 2007
Viewed by 124
Abstract
Resting heart rate determines life expectancy in mammals. In humans, several studies observed an association between high resting heart rate and increased mortality in subjects with moderate (elderly, hypertensive or diabetics) and high cardiovascular risk (acute myocardial infarction or chronic ischaemic cardiopathy). Moreover, [...] Read more.
Resting heart rate determines life expectancy in mammals. In humans, several studies observed an association between high resting heart rate and increased mortality in subjects with moderate (elderly, hypertensive or diabetics) and high cardiovascular risk (acute myocardial infarction or chronic ischaemic cardiopathy). Moreover, new epidemiologic studies accuse high heart rate (>80 beats per minute) as an independent cardiovascular risk factor in the general population. We briefly present the so far accumulated evidence on this topic and expose some important pathophysiological aspects before discussing the impact of therapies aiming to decrease heart rate. Full article
Show Figures

Figure 1

10 pages, 373 KB  
Proceeding Paper
Current and Future Therapies for Pulmonary Hypertension
by Silvia Ulrich, Manuel Fischler and Rudolf Speich 1,2
Cardiovasc. Med. 2007, 10(6), 192; https://doi.org/10.4414/cvm.2007.01251 - 29 Jun 2007
Viewed by 128
Abstract
The diagnosis of pulmonary hypertension (PH) is often difficult and many different disorders may lead to an elevated pulmonary arterial pressure necessitating therapy. Untreated PH usually has a dismal prognosis due to an progressive increase in pulmonary vascular resistance leading to right ventricular [...] Read more.
The diagnosis of pulmonary hypertension (PH) is often difficult and many different disorders may lead to an elevated pulmonary arterial pressure necessitating therapy. Untreated PH usually has a dismal prognosis due to an progressive increase in pulmonary vascular resistance leading to right ventricular failure and death. Beside conservative therapeutic strategies, such as anticoagulation and diuretics, the past decade has brought remarkable improvements in the therapy for the major classifications groups of PH (pulmonary arterial and chronic thromboembolic pulmonary hypertension) based on a better understanding of the underlying pathobiology. The selection of appropriate therapies for PH remains complex, requires familiarity with the disease process, evidence from clinical trials, complicated drug delivery systems, dosing regimens, side effects and complications. Despite these advances, neither of the current therapeutic pathways is curative. This article discusses the medication classes currently available in the treatment of PH, the role of combination therapy and the surgical option for some patients with chronic thromboembolic disease. The review will close with speculations on new directions emerging from bench research with a potential for future valuable therapies in this life-threatening disease. Full article
Show Figures

Figure 1

3 pages, 166 KB  
Editorial
Fallpauschalen – DRG-System: Chance oder die Nächste Katastrophe?
by Paul R. Vogt
Cardiovasc. Med. 2007, 10(6), 189; https://doi.org/10.4414/cvm.2007.01253 - 29 Jun 2007
Viewed by 87
Abstract
«Fallpauschale» definiert eine bestimmte Vergütungsform von Gesundheitsleistungen [...] Full article
Previous Issue
Next Issue
Back to TopTop