Next Issue
Volume 10, 09
Previous Issue
Volume 10, 06
 
 
cardiovascmed-logo

Journal Browser

Journal Browser
Cardiovascular Medicine is published by MDPI from Volume 28 Issue 1 (2025). Previous articles were published by another publisher in Open Access under a CC-BY (or CC-BY-NC-ND) licence, and they are hosted by MDPI on mdpi.com as a courtesy and upon agreement with Editores Medicorum Helveticorum (EMH).

Cardiovasc. Med., Volume 10, Issue 7 (08 2007) – 7 articles

  • Issues are regarded as officially published after their release is announced to the table of contents alert mailing list.
  • You may sign up for e-mail alerts to receive table of contents of newly released issues.
  • PDF is the official format for papers published in both, html and pdf forms. To view the papers in pdf format, click on the "PDF Full-text" link, and use the free Adobe Reader to open them.
Order results
Result details
Select all
Export citation of selected articles as:
1 pages, 162 KB  
Letter
Permeabilitätsproblem Oder Volumenüberlastung?
by Martin Kliem and Christophe Wyss
Cardiovasc. Med. 2007, 10(7), 263; https://doi.org/10.4414/cvm.2007.01260 - 24 Aug 2007
Viewed by 130
Abstract
Mit grossem Interesse habe ich den wichtigen Artikel von Wyss et al, «Nichtkardiogenes kontrastmittelinduziertes Lungenödem» [...] Full article
1 pages, 188 KB  
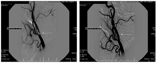
Interesting Images
Cold Hands, Headache and Chest Pain: A Winter Disease?
by Igal Moarof, Ulrich Ingold and Stéphane Cook
Cardiovasc. Med. 2007, 10(7), 262; https://doi.org/10.4414/cvm.2007.01257 - 24 Aug 2007
Viewed by 126
Abstract
A 57-year-old woman was scheduled to undergo elective invasive coronary angiography after having recurrent chest pain on exertion during the last four winter months [...] Full article
Show Figures

Figure 1

4 pages, 1185 KB  
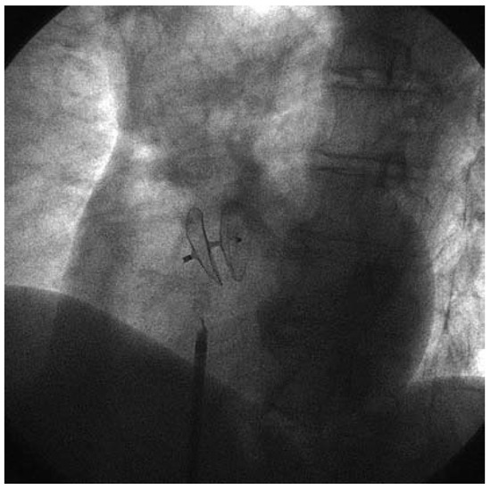
Interesting Images
Tachycardie à QRS Large Puis Fin Chez un Nouveau-né
by Amadou Lamine Fall, Jürg Schläpfer, Yvan Mivelaz, Stefano Di Bernardo, Erik Jan Meïjboom and Nicole Sekarski
Cardiovasc. Med. 2007, 10(7), 258; https://doi.org/10.4414/cvm.2007.01258 - 24 Aug 2007
Viewed by 105
Abstract
Le passage d’un QRS large à un QRS fin ou inversement durant une tachycardie est rarement observé [...] Full article
Show Figures

Figure 1

14 pages, 287 KB  
Editorial
Stellenwert Psychotherapeutischer Betreuung bei Kardialen Erkrankungen
by Christiane Kranzusch and Wilhard Kottmann
Cardiovasc. Med. 2007, 10(7), 244; https://doi.org/10.4414/cvm.2007.01255 - 24 Aug 2007
Viewed by 106
Abstract
Psychological and psychotherapeutic interventions are regularly required as part of the treatment for patients with cardiac disorders. Standards for assessing the need of psychological interventions or unified methods do not yet exist. Preliminary studies differ widely from each other. However, there are many [...] Read more.
Psychological and psychotherapeutic interventions are regularly required as part of the treatment for patients with cardiac disorders. Standards for assessing the need of psychological interventions or unified methods do not yet exist. Preliminary studies differ widely from each other. However, there are many indications that suggest that cardiac patients with a pronounced psychic co-morbidity react more positively to psycho-social interventions in comparison to patients with no psychic comorbidity. Physicians should be aware of these correlations in order to identify these patients as soon as possible, so that in case of acute or chronic co-morbidity an intensive psychotherapy or pharmacological therapy can be commenced immediately. Various facts indicate a prognostic benefit when these therapies are applied to certain cardiac patients. Positive effects of a healthy coronary life style are undisputed. Health promoting interventions are important to improve the prognosis and are therapeutically effective. Especially efficient—not only for somatic but also for psychological reasons – is the promotion of regular physical activity as well as nicotine abstinence. Full article
Show Figures

Figure 1

8 pages, 195 KB  
Article
Evolution à moyen terme et rôle de l’échocardiographie après Remplacement Valvulaire
by Stéphane Zaza, Andres Jaussi, Jean Crittin and Antoine Bloch
Cardiovasc. Med. 2007, 10(7), 236; https://doi.org/10.4414/cvm.2007.01261 - 24 Aug 2007
Viewed by 95
Abstract
Aims: The aim of the study was to evaluate the rate of occurrence of complications associated with prosthetic valves (PV) in ambulatory practice and to further evaluate the usefulness of echocardiography in the diagnosis and follow- up of these complications. Method: The study [...] Read more.
Aims: The aim of the study was to evaluate the rate of occurrence of complications associated with prosthetic valves (PV) in ambulatory practice and to further evaluate the usefulness of echocardiography in the diagnosis and follow- up of these complications. Method: The study included 226 patients with a mean age of 57.7 ± 14.7 years in whom 253 PV (209 mechanical and 44 biological) were implanted. Immediate post-operative echocardiography was performed followed by annual echographic control studies. Results: Mean follow-up was 6.8 ± 3.8 years, corresponding to 1526 patient years. Complication-free patients numbered 72.7 ± 3.5% in the presence of mechanical prosthetic valves (MV) and 68.6 ± 8.1% in the presence of biological valves (BV) (p = 0.55). With respect to positions, complication-free patients numbered 68.3 ± 4.0%, 85.3 ± 4.8% and 51.9 ± 15% with PV in the aortic, mitral and mitro-aortic positions respectively (p = 0.54). The haemorrhagic and endocarditic risk was most important in the presence of a MV. All cases of PV degeneration occurred in patients with a BV in the mitral position. There was a tendency towards an increased incidence of paravalvalvular leaks and re-interventions in the presence of BV and a tendency towards an increased incidence of thrombo-embolic complications with PV in the aortic position. A PV linked complication was detected on average every 24.4 echocardiographs. Conclusion: The incidence of PV linked complications is low with a majority of patients free of any complications following valve replacement. The type and position of the PV only appears to influence the incidence of haemorrhages, degenerescence, re-intervention and endocarditis. The usefulness of routine echocardiographic follow-up therefore seems limited. An echocardiographic follow-up is, however, justified in certain settings, namely in the presence of para-valvular leaks, increased trans-valvular gradients, unfavourable clinical evolutions and in cases of a multiple year old BV. Full article
4 pages, 174 KB  
Article
Beneficial Effect of PFO Closure with the Intrasept Device on the Incidence of Migraine Headache
by Carlo Gonnella, Jean-Christophe Stauffer, Manon Siegenthaler, François Perret, Reza Owlya, Milos Savcic, Philippe Beuret, Régis Ménétrey and Jean-Jacques Goy
Cardiovasc. Med. 2007, 10(7), 232; https://doi.org/10.4414/cvm.2007.01256 - 24 Aug 2007
Viewed by 123
Abstract
Patent foramen ovale (PFO) may be involved in the development of migraine in some patients. We evaluated the possible beneficial role of PFO closure in patients referred to our institution for this closure. All patients completed the international headache questionnaire to determine migraine [...] Read more.
Patent foramen ovale (PFO) may be involved in the development of migraine in some patients. We evaluated the possible beneficial role of PFO closure in patients referred to our institution for this closure. All patients completed the international headache questionnaire to determine migraine status before treatment and again at 6 months and 1 year after PFO closure. Before intervention, each patient was evaluated clinically by transthoracic and transoesophageal echocardiography. Closure of PFO was attempted in 123 patients (58 men and 65 women) with a mean age of 51 ± 10 years. Twentyeight of these patients (16%) (16 women and 12 men) had true migraine attacks prior to intervention. All patients were treated medically with anti-inflammatory drugs or triptan derivates before intervention. At 6 month the PFO was completely closed at rest in 94% of patients. A small (grade 2) residual shunt was present during Valsalva in 14% of patients. All patients received antiplatelet therapy (acetylsalicylic acid [ASA] and clopidogrel) for 6 months. Among the 28 patients with migraine, 10 patients (37%) were completely free of migraine and another 10 patients (37%) reported a significant improvement in their symptoms with less attacks, less pain and were taking less medication. Five patients (19%) had no change and 1 patient (7%) had a significant worsening of his symptoms. Finally 1 patient (1%) without migraine before the intervention started to have migraine attacks during follow- up. Four patients with migraine had residual shunt of which two were improved and 2 had no changes in their symptoms. Our data confirmed a possible positive effect of PFO closure in the prevention and treatment of migraine. Full article
3 pages, 250 KB  
Editorial
Nichtkoronare Eingriffe—Neue Horizonte in der Kardiologie und Herz-Gefäss-Chirurgie
by Thomas F. Lüscher, Lukas Altwegg and M. Roffi
Cardiovasc. Med. 2007, 10(7), 229; https://doi.org/10.4414/cvm.2007.01259 - 24 Aug 2007
Viewed by 105
Abstract
Die koronare Herzkrankheit ist das mit Abstand bedeutendste Krankheitsbild der kardiovaskulären Medizin [...] Full article
Show Figures

Figure 1

Previous Issue
Next Issue
Back to TopTop