Next Issue
Volume 10, 06
Previous Issue
Volume 10, 04
 
 
cardiovascmed-logo

Journal Browser

Journal Browser
Cardiovascular Medicine is published by MDPI from Volume 28 Issue 1 (2025). Previous articles were published by another publisher in Open Access under a CC-BY (or CC-BY-NC-ND) licence, and they are hosted by MDPI on mdpi.com as a courtesy and upon agreement with Editores Medicorum Helveticorum (EMH).

Cardiovasc. Med., Volume 10, Issue 5 (05 2007) – 6 articles

  • Issues are regarded as officially published after their release is announced to the table of contents alert mailing list.
  • You may sign up for e-mail alerts to receive table of contents of newly released issues.
  • PDF is the official format for papers published in both, html and pdf forms. To view the papers in pdf format, click on the "PDF Full-text" link, and use the free Adobe Reader to open them.
Order results
Result details
Select all
Export citation of selected articles as:
2 pages, 340 KB  
Interesting Images
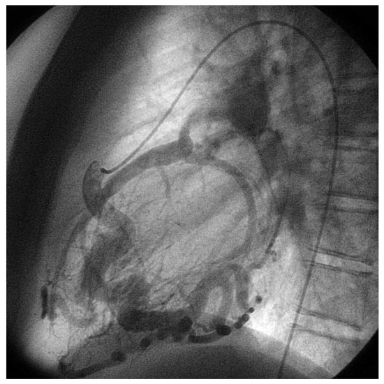
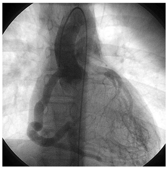
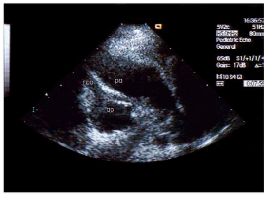
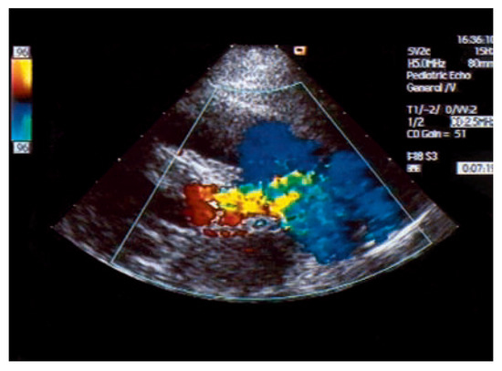
Asymptomatic Bland-White-Garland Syndrome in a 13-Year-Old Girl
by Jean-Pierre Pfammatter, Mladen Pavlovic and Stephan Windecker
Cardiovasc. Med. 2007, 10(5), 179; https://doi.org/10.4414/cvm.2007.01247 - 25 May 2007
Viewed by 147
Abstract
An otherwise healthy 13-year-old girl was referred to the pediatric cardiology outpatient clinic for evaluation of a newly observed systolic murmur [...] Full article
Show Figures

Figure 1

3 pages, 428 KB  
Interesting Images
Sudden Occurrence of Q Waves: Missed Infarction?
by Micha T. Maeder and Dagmar I. Keller
Cardiovasc. Med. 2007, 10(5), 176; https://doi.org/10.4414/cvm.2007.01245 - 25 May 2007
Viewed by 144
Abstract
A 61-year-old lady was admitted to the emergency department because of atypical chest pain lasting for several days[...] Full article
Show Figures

Figure 1

2 pages, 253 KB  
Case Report
Very Late Stent Thrombosis of a Paclitaxel-Eluting Stent After Left Main Coronary Artery Stenting
by Stéphane Cook, Peter Wenaweser and Christian Seiler
Cardiovasc. Med. 2007, 10(5), 174; https://doi.org/10.4414/cvm.2007.01243 - 25 May 2007
Viewed by 171 Show Figures

Figure 1

6 pages, 250 KB  
Proceeding Paper
Anticoagulation in Atrial Fibrillation
by J. Steffel and J. H. Beer
Cardiovasc. Med. 2007, 10(5), 168; https://doi.org/10.4414/cvm.2007.01246 - 25 May 2007
Viewed by 229
Abstract
In atrial fibrillation (AF), uncoordinated and rapid activation of the left atrium results in futile contractions of the left atrium leading to left atrial wall stunning; as a result, severely reduced left atrial wall motion in conjunction with blood stasis in the left [...] Read more.
In atrial fibrillation (AF), uncoordinated and rapid activation of the left atrium results in futile contractions of the left atrium leading to left atrial wall stunning; as a result, severely reduced left atrial wall motion in conjunction with blood stasis in the left atrium favors local thrombus formation which subsequently increases the risk of systemic thromboembolism and stroke. Major risk factors for the development of stroke in AF patients are congestive heart failure, hypertension, age, diabetes mellitus and, most importantly, prior stroke which are combined in the CHADS2 risk-assessment score. In order to provide optimal care, a riskbenefit assessment with respect to the mode of anticoagulation in a specific patient has to be performed on an individual basis. There is strong evidence that moderate- to high-risk patients should be treated with oral anticoagulation and for these patients, and a target INR (international normalised ratio) of 2.0–3.0 may offer the best degree of anticoagulation for optimal stroke prevention while keeping the risk of major bleeding complications at a minimum; in contrast, only low-risk patients or patients with contraindications to oral anticoagulation are considered to profit from acetylsalicylic acid therapy alone for stroke prevention. However, if a good INR control cannot be reached despite best efforts from both the patient and physician, oral anticoagulation may provide little overall benefit as compared to platelet inhibition. This article reviews risk-assessment- as well as treatmentstrategies for patients with atrial fibrillation with special attention to the recently published ACTIVE-W (Atrial fibrillation Clopidogrel Trial with Irbesartan for prevention of Vascular Events) trial and its implications. Full article
Show Figures

Figure 1

5 pages, 421 KB  
Review
Adipozyten: Endokrine Hochleistungsfabriken
by Rolf Christian Gaillard
Cardiovasc. Med. 2007, 10(5), 163; https://doi.org/10.4414/cvm.2007.01248 - 25 May 2007
Cited by 3 | Viewed by 158
Abstract
Adipocytes not only act as the body’s energy warehouse – they also effectively form a highly active endocrine organ [...] Full article
Show Figures

Figure 1

2 pages, 163 KB  
Editorial
Die Richtlinien der Schweizerischen Akademie der Medizinischen Wissenschaften zur «Zusammenarbeit Ärzteschaft - Industrie»: was wollen und können wir damit erreichen?
by W. H. Reinhart
Cardiovasc. Med. 2007, 10(5), 161; https://doi.org/10.4414/cvm.2007.01244 (registering DOI) - 25 May 2007
Viewed by 127
Previous Issue
Next Issue
Back to TopTop